Administration of Ethanolic Extract of Spinacia oleracea Rich in Omega-3 Improves Oxidative Stress and Goblet Cells in Broiler Chickens Infected with Eimeria tenella
Abstract
:1. Introduction
2. Results
2.1. GC-MS of Spinach Extract
2.2. In Vitro Studies of Spinach Extract on Eimeria tenella Oocysts
2.3. Bloody Diarrhea
2.4. Survival Percentage and Lesion Scoring
2.5. Oocysts per Gram of Feces
2.6. Oocyst Index
2.7. Feed Conversion Ratio
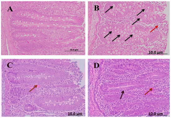
2.8. Histopathological Studies
2.8.1. Number of Developmental Parasitic Stages and Goblet Cells in Ceca of Chickens
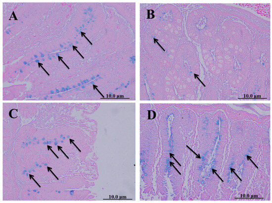
2.8.2. Number of Goblet Cells in Ceca of Chickens
2.9. Biochemical Studies on the Ceca of Chickens Infected with Eimeria tenella
3. Discussion
4. Materials and Methods
4.1. Botanical Extract Preparation
Gas Chromatography–Mass Spectrometry (GC-MS) of Spinach Extract
4.2. Eimeria tenella Oocysts Collection
4.3. In Vitro Evaluation of Spinach Extract against E. tenella Oocysts
4.4. Experimental Design of In Vivo Evaluation of Spinach Extract against Eimeria tenella Oocysts on Broiler Chickens
4.5. Evaluation of Spinach Extract Anticoccidial Activity
4.5.1. Clinical Examination, Clinical Symptoms, Mortality, and Bloody Diarrhea
4.5.2. Lesion Scoring and Cecal Core
4.5.3. Parasitological Examination (Oocyst Count per Gram of Feces)
4.5.4. Oocyst Index
4.6. Growth Performance
4.7. Histological Studies
4.8. Biochemical Studies (Oxidative Markers) on the Ceca of Infected Birds
4.9. Statistical Analysis
5. Conclusions
Author Contributions
Funding
Institutional Review Board Statement
Informed Consent Statement
Data Availability Statement
Acknowledgments
Conflicts of Interest
Sample Availability
References
- Allen, P.C.; Fetterer, R. Recent advances in biology and immunobiology of Eimeria species and in diagnosis and control of infection with these coccidian parasites of poultry. Clin. Microbiol. Rev. 2002, 15, 58–65. [Google Scholar] [CrossRef] [PubMed]
- Rashid, M.; Akbar, H.; Bakhsh, A.; Rashid, M.I.; Hassan, M.A.; Ullah, R.; Hussain, T.; Manzoor, S.; Yin, H. Assessing the prevalence and economic significance of coccidiosis individually and in combination with concurrent infections in Pakistani commercial poultry farms. Poult. Sci. 2019, 98, 1167–1175. [Google Scholar] [CrossRef] [PubMed]
- Abbas, R.Z.; Iqbal, Z.; Akhtar, M.S.; Khan, M.N.; Jabbar, A.; Sandhu, Z. Anticoccidial screening of Azadirachta indica (Neem) in broilers. Pharmacologyonline 2006, 3, 365–371. [Google Scholar]
- Patricia, O.; Zoue, L.; Megnanou, R.-M.; Doue, R.; Niamke, S. Proximate composition and nutritive value of leafy vegetables consumed in Northern Cote d’Ivoire. Eur. Sci. J. 2014, 10. [Google Scholar]
- Bergquist, S. Bioactive Compounds in Baby Spinach (Spinacia oleracea L.); Department of Crop Science, Swedish University of Agricultural Sciences: Alnarp, Sweden, 2006; Volume 2006. [Google Scholar]
- Olagoke, O. Phytochemical analysis and antibacterial activities of spinach leaf. Am. J. Phytomed. Clin. Ther. Vol. 2018, 6, 8. [Google Scholar]
- Han, M.; Hu, W.; Chen, T.; Guo, H.; Zhu, J.; Chen, F. Anticoccidial activity of natural plants extracts mixture against Eimeria tenella: An in vitro and in vivo study. Front. Vet. Sci. 2022, 9, 1066543. [Google Scholar] [CrossRef]
- Witcombe, D.M.; Smith, N.C. Strategies for anti-coccidial prophylaxis. Parasitology 2014, 141, 1379–1389. [Google Scholar] [CrossRef]
- Khater, H.F.; Ziam, H.; Abbas, A.; Abbas, R.Z.; Raza, M.A.; Hussain, K.; Younis, E.; Radwan, I.; Selim, A. Avian coccidiosis: Recent advances in alternative control strategies and vaccine development. Agrobiol. Rec. 2020, 1, 11–25. [Google Scholar] [CrossRef]
- Alzahrani, F.; Al-Shaebi, E.M.; Dkhil, M.A.; Al-Quraishy, S. In Vivo anti-eimeria and in vitro anthelmintic activity of Ziziphus spina-christi leaf extracts. Pakistan Journal of Zoology 2016, 48. [Google Scholar]
- Metwaly, M.S.; Dkhil, M.A.; Gewik, M.M.; Al-Ghamdy, A.O.; Al-Quraishy, S. Induced metabolic disturbance and growth depression in rabbits infected with Eimeria coecicola. Parasitol. Res. 2013, 112, 3109–3114. [Google Scholar] [CrossRef]
- Djuricic, I.; Calder, P.C. Beneficial outcomes of omega-6 and omega-3 polyunsaturated fatty acids on human health: An update for 2021. Nutrients 2021, 13, 2421. [Google Scholar] [CrossRef] [PubMed]
- Torequl Islam, M.; Quispe, C.; Herrera-Bravo, J.; Rahaman, M.M.; Hossain, R.; Sarkar, C.; Raihan, M.A.; Chowdhury, M.M.; Uddin, S.J.; Shilpi, J.A. Activities and molecular mechanisms of diterpenes, diterpenoids, and their derivatives in rheumatoid arthritis. Evid.-Based Complement. Altern. Med. 2022, 2022, 4787643. [Google Scholar] [CrossRef] [PubMed]
- Arru, L.; Mussi, F.; Forti, L.; Buschini, A. Biological effect of different spinach extracts in comparison with the individual components of the phytocomplex. Foods 2021, 10, 382. [Google Scholar] [CrossRef] [PubMed]
- Abdelgawad, S.M.; Hetta, M.H.; Ibrahim, M.A.; Balachandran, P.; Zhang, J.; Wang, M.; Fawzy, G.A.; El-Askary, H.I.; Ross, S.A. Phytochemical Investigation of Egyptian Spinach Leaves, a Potential Source for Antileukemic Metabolites: In Vitro and In Silico Study. Rev. Bras. Farmacogn. 2022, 32, 774–785. [Google Scholar] [CrossRef]
- Hetta, M.H.; Moawad, A.S.; Hamed, M.A.-A.; Sabri, A.I. In-Vitro and in-vivo hypolipidemic activity of spinach roots and flowers. Iran. J. Pharm. Res. IJPR 2017, 16, 1509. [Google Scholar]
- Das, U.N. Essential fatty acids: Biochemistry, physiology and pathology. Biotechnol. J. Healthc. Nutr. Technol. 2006, 1, 420–439. [Google Scholar] [CrossRef]
- Dilika, F.; Bremner, P.; Meyer, J. Antibacterial activity of linoleic and oleic acids isolated from Helichrysum pedunculatum: A plant used during circumcision rites. Fitoterapia 2000, 71, 450–452. [Google Scholar] [CrossRef]
- McGaw, L.; Jäger, A.; Van Staden, J. Isolation of antibacterial fatty acids from Schotia brachypetala. Fitoterapia 2002, 73, 431–433. [Google Scholar] [CrossRef]
- Krugliak, M.; Deharo, E.; Shalmiev, G.; Sauvain, M.; Moretti, C.; Ginsburg, H. Antimalarial effects of C18 fatty acids on Plasmodium falciparum in culture and on Plasmodium vinckei petteri and Plasmodium yoelii nigeriensis in vivo. Exp. Parasitol. 1995, 81, 97–105. [Google Scholar] [CrossRef]
- Peet, M.; Stokes, C. Omega-3 fatty acids in the treatment of psychiatric disorders. Drugs 2005, 65, 1051–1059. [Google Scholar] [CrossRef]
- Schram, L.B.; Nielsen, C.J.; Porsgaard, T.; Nielsen, N.S.; Holm, R.; Mu, H. Food matrices affect the bioavailability of (n − 3) polyunsaturated fatty acids in a single meal study in humans. Food Res. Int. 2007, 40, 1062–1068. [Google Scholar] [CrossRef]
- Simopoulos, A.P. Evolutionary aspects of diet: The omega-6/omega-3 ratio and the brain. Mol. Neurobiol. 2011, 44, 203–215. [Google Scholar] [CrossRef] [PubMed]
- Calder, P.C. Marine omega-3 fatty acids and inflammatory processes: Effects, mechanisms and clinical relevance. Biochim. Biophys. Acta (BBA)—Mol. Cell Biol. Lipids 2015, 1851, 469–484. [Google Scholar] [CrossRef] [PubMed]
- Novak, T.E.; Babcock, T.A.; Jho, D.H.; Helton, W.S.; Espat, N.J. NF-κB inhibition by ω-3 fatty acids modulates LPS-stimulated macrophage TNF-α transcription. Am. J. Physiol.—Lung Cell. Mol. Physiol. 2003, 284, L84–L89. [Google Scholar] [CrossRef]
- ALLEN, P.C.; DANFORTH, H.D.; LEVANDER, O.A. Diets high in n-3 fatty acids reduce cecal lesion scores in chickens infected with Eimeria tenella. Poult. Sci. 1996, 75, 179–185. [Google Scholar] [CrossRef]
- Choi, J.-W.; Lee, J.; Lee, J.-H.; Park, B.-J.; Lee, E.J.; Shin, S.; Cha, G.-H.; Lee, Y.-H.; Lim, K.; Yuk, J.-M. Omega-3 polyunsaturated fatty acids prevent Toxoplasma gondii infection by inducing autophagy via AMPK activation. Nutrients 2019, 11, 2137. [Google Scholar] [CrossRef]
- Stock, C.C.; Francis, T., Jr. The inactivation of the virus of epidemic influenza by soaps. J. Exp. Med. 1940, 71, 661. [Google Scholar] [CrossRef]
- Araújo, C.V.; Campbell, C.; Gonçalves-de-Albuquerque, C.F.; Molinaro, R.; Cody, M.J.; Yost, C.C.; Bozza, P.T.; Zimmerman, G.A.; Weyrich, A.S.; Castro-Faria-Neto, H.C. A PPARγ agonist enhances bacterial clearance through neutrophil extracellular trap formation and improves survival in sepsis. Shock 2016, 45, 393. [Google Scholar] [CrossRef]
- Molan, A.L.; Liu, Z.; De, S. Effect of pine bark (Pious radiata) extracts on sporulation of coccidian oocysts. Folia Parasitol. 2009, 56, 1. [Google Scholar] [CrossRef]
- Fatemi, A.; Razavi, S.M.; Asasi, K.; Torabi Goudarzi, M. Effects of Artemisia annua extracts on sporulation of Eimeria oocysts. Parasitol. Res. 2015, 114, 1207–1211. [Google Scholar] [CrossRef]
- Aldred, E.M. Pharmacology: A Handbook for Complementary Healthcare Professionals; Elsevier Health Sciences: Amsterdam, The Netherlands, 2008. [Google Scholar]
- Christaki, E.; Florou-Paneri, P.; Giannenas, I.; Papazahariadou, M.; Botsoglou, N.A.; Spais, A.B. Effect of a mixture of herbal extracts on broiler chickens infected with Eimeria tenella. Anim. Res. 2004, 53, 137–144. [Google Scholar] [CrossRef]
- Giannenas, I.; Florou-Paneri, P.; Papazahariadou, M.; Christaki, E.; Botsoglou, N.; Spais, A. Effect of dietary supplementation with oregano essential oil on performance of broilers after experimental infection with Eimeria tenella. Arch. Anim. Nutr. 2003, 57, 99–106. [Google Scholar] [CrossRef] [PubMed]
- Ultee, A.; Kets, E.; Smid, E. Mechanisms of action of carvacrol on the food-borne pathogen Bacillus cereus. Appl. Environ. Microbiol. 1999, 65, 4606–4610. [Google Scholar] [CrossRef] [PubMed]
- Conway, D.; Mathis, G.; Lang, M. The use of diclazuril in extended withdrawal anticoccidial programs: 1. Efficacy against Eimeria spp. in broiler chickens in floor pens. Poult. Sci. 2002, 81, 349–352. [Google Scholar] [CrossRef] [PubMed]
- Esteban, R.; Fleta-Soriano, E.; Buezo, J.; Míguez, F.; Becerril, J.M.; García-Plazaola, J.I. Enhancement of zeaxanthin in two-steps by environmental stress induction in rocket and spinach. Food Res. Int. 2014, 65, 207–214. [Google Scholar] [CrossRef]
- de Moraes, J.; de Oliveira, R.N.; Costa, J.P.; Junior, A.L.; de Sousa, D.P.; Freitas, R.M.; Allegretti, S.M.; Pinto, P.L. Phytol, a diterpene alcohol from chlorophyll, as a drug against neglected tropical disease Schistosomiasis mansoni. PLoS Negl. Trop. Dis. 2014, 8, e2617. [Google Scholar] [CrossRef]
- Baldwin, F.M.; Wiswell, O.B.; Jankiewicz, H.A. Hemorrhage control in Eimeria tenella infected chicks when protected by anti-hemorrhagic factor, vitamin K. Proc. Soc. Exp. Biol. Med. 1941, 48, 278–280. [Google Scholar] [CrossRef]
- Ryley, J.F.; Hardman, L. The use of vitamin K deficient diets in the screening and evaluation of anticoccidial drugs. Parasitology 1978, 76, 11–20. [Google Scholar] [CrossRef]
- Wagde, M.S.; Sharma, S.K.; Sharma, B.K.; Shivani, A.P.; Keer, N.R. Effect of natural β-carotene from-carrot (Daucus carota) and Spinach (Spinacia oleracea) on colouration of an ornamental fish-swordtail (Xiphophorus hellerii). J. Entomol. Zool. Stud. 2018, 6, 699–705. [Google Scholar]
- Abbas, R.Z.; Iqbal, Z.; Khan, M.N.; Zafar, M.A.; Zia, M.A. Anticoccidial activity of Curcuma longa L. in broilers. Braz. Arch. Biol. Technol. 2010, 53, 63–67. [Google Scholar] [CrossRef]
- Abbas, R.Z.; Iqbal, Z.; Khan, M.N.; Hashmi, N.; Hussain, A. Prophylactic efficacy of diclazuril in broilers experimentally infected with three field isolates of Eimeria tenella. Int. J. Agric. Biol. 2009, 11, 606–610. [Google Scholar]
- Rayan, P.; Stenzel, D.; McDonnell, P.A. The effects of saturated fatty acids on Giardia duodenalis trophozoites in vitro. Parasitol. Res. 2005, 97, 191–200. [Google Scholar] [CrossRef] [PubMed]
- Deplancke, B.; Gaskins, H.R. Microbial modulation of innate defense: Goblet cells and the intestinal mucus layer. Am. J. Clin. Nutr. 2001, 73, 1131S–1141S. [Google Scholar] [CrossRef] [PubMed]
- Uddin, M.J.; Leslie, J.L.; Petri, W.A. Host protective mechanisms to intestinal amebiasis. Trends Parasitol. 2021, 37, 165–175. [Google Scholar] [CrossRef] [PubMed]
- Cheng, H. Origin, differentiation and renewal of the four main epithelial cell types in the mouse small intestine II. Mucous cells. Am. J. Anat. 1974, 141, 481–501. [Google Scholar] [CrossRef]
- Yunus, M.; Horii, Y.; Makimura, S.; Smith, A.L. Murine goblet cell hypoplasia during Eimeria pragensis infection is ameliorated by clindamycin treatment. J. Vet. Med. Sci. 2005, 67, 311–315. [Google Scholar] [CrossRef]
- Dkhil, M.A.; Al-Quraishy, S.; Abdel Moneim, A.E.; Delic, D. Protective effect of Azadirachta indica extract against Eimeria papillata-induced coccidiosis. Parasitol. Res. 2013, 112, 101–106. [Google Scholar] [CrossRef]
- Leite, J.P.V.; Oliveira, A.B.; Lombardi, J.A.; S Filho, J.D.; Chiari, E. Trypanocidal activity of triterpenes from Arrabidaea triplinervia and derivatives. Biol. Pharm. Bull. 2006, 29, 2307–2309. [Google Scholar] [CrossRef]
- Meira, C.S.; Barbosa-Filho, J.M.; Lanfredi-Rangel, A.; Guimaraes, E.T.; Moreira, D.R.M.; Soares, M.B.P. Antiparasitic evaluation of betulinic acid derivatives reveals effective and selective anti-Trypanosoma cruzi inhibitors. Exp. Parasitol. 2016, 166, 108–115. [Google Scholar] [CrossRef]
- Alnahdi, A.; John, A.; Raza, H. Augmentation of glucotoxicity, oxidative stress, apoptosis and mitochondrial dysfunction in HepG2 cells by palmitic acid. Nutrients 2019, 11, 1979. [Google Scholar] [CrossRef]
- Kim, E.-N.; Trang, N.M.; Kang, H.; Kim, K.H.; Jeong, G.-S. Phytol Suppresses Osteoclast Differentiation and Oxidative Stress through Nrf2/HO-1 Regulation in RANKL-Induced RAW264. 7 Cells. Cells 2022, 11, 3596. [Google Scholar] [CrossRef] [PubMed]
- Jameel, Y.J.; Sahib, A.M. Effect of In Ovo Injection with Newcastle Disease Vaccine, Multivitamins AD3E, and Omega-3 on Carcass Characteristics of Broilers. Mirror Res. Vet. Sci. Anim. 2014, 3, 23–30. [Google Scholar]
- Jameel, Y.J. Effect of the content of fish oil, L-carnitine and their combination in diet on immune response and some blood parameters of broilers. Int. J. Sci. Nat. 2014, 5, 501–504. [Google Scholar]
- Spurney, R.F.; Coffman, T.M.; Ruiz, P.; Albrightson, C.R.; Pisetsky, D.S. Fish oil feeding modulates leukotriene production in murine lupus nephritis. Prostaglandins 1994, 48, 331–348. [Google Scholar] [CrossRef] [PubMed]
- Allen, P.C. Production of free radical species during Eimeria maxima infections in chickens. Poult. Sci. 1997, 76, 814–821. [Google Scholar] [CrossRef] [PubMed]
- Okechukwu, P.U.; Okwesili, F.N.; Parker, E.J.; Abubakar, B.; Emmanuel, C.O.; Christian, E.O. Phytochemical and acute toxicity studies of Moringa oleifera ethanol leaf extract. Int. J. Life Sci. BiotechNol. Pharma Res. 2013, 2, 66–71. [Google Scholar]
- Bunea, A.; Andjelkovic, M.; Socaciu, C.; Bobis, O.; Neacsu, M.; Verhé, R.; Van Camp, J. Total and individual carotenoids and phenolic acids content in fresh, refrigerated and processed spinach (Spinacia oleracea L.). Food Chem. 2008, 108, 649–656. [Google Scholar] [CrossRef]
- Rodríguez-Hidalgo, S.; Artés-Hernández, F.; Gómez, P.A.; Fernández, J.A.; Artés, F. Quality of fresh-cut baby spinach grown under a floating trays system as affected by nitrogen fertilisation and innovative packaging treatments. J. Sci. Food Agric. 2010, 90, 1089–1097. [Google Scholar] [CrossRef]
- Adams, R.P. Identification of Essential Oil Components by Gas Chromatography/Mass Spectrometry, 5th ed.; Texensis Publishing: Gruver, TX, USA, 2017. [Google Scholar]
- Thienpont, D.; Rochette, F.; Vanparijs, O. Diagnosing helminthiasis through coprological examination. In Diagnosing Helminthiasis through Coprological Examination; Janssen Research Foundation: Beerse, Belgium, 1979. [Google Scholar]
- Davies, S.F.M.; Joyner, L.P.; Kendall, S.B. Coccidiosis; Oliver & Boyd: London, UK, 1963. [Google Scholar]
- Habibi, H.; Firouzi, S.; Nili, H.; Razavi, M.; Asadi, S.; Daneshi, S. Anticoccidial effects of herbal extracts on Eimeria tenella infection in broiler chickens. J. Parasit. Dis. 2016, 40, 401–407. [Google Scholar] [CrossRef]
- Tanweer, A.J.; Saddique, U.; Bailey, C.; Khan, R. Antiparasitic effect of wild rue (Peganum harmala L.) against experimentally induced coccidiosis in broiler chicks. Parasitol. Res. 2014, 113, 2951–2960. [Google Scholar] [CrossRef]
- Hodgson, J. Coccidiosis: Oocyst counting technique for coccidiostat evaluation. Exp. Parasitol. 1970, 28, 99–102. [Google Scholar] [CrossRef]
- Long, P.; Rowell, J. Counting oocysts of chicken coccidia. Lab. Pract. 1958, 7, 534. [Google Scholar]
- Long, P.; Millard, B.; Joyner, L.; Norton, C. A guide to laboratory techniques used in the study and diagnosis of avian coccidiosis. Folia Vet. Lat. 1976, 6, 201–217. [Google Scholar] [PubMed]
- Allen, A. The role of mucus in the protection of the gastroduodenal mucosa. Scand. J. Gastroenterol. Suppl. 1987, 128, 6–13. [Google Scholar] [CrossRef] [PubMed]
- Preuss, H.G.; Jarrell, S.T.; Scheckenbach, R.; Lieberman, S.; Anderson, R.A. Comparative effects of chromium, vanadium and Gymnema sylvestre on sugar-induced blood pressure elevations in SHR. J. Am. Coll. Nutr. 1998, 17, 116–123. [Google Scholar] [CrossRef]
- Marklund, S.; Marklund, G. Involvement of the superoxide anion radical in the autoxidation of pyrogallol and a convenient assay for superoxide dismutase. Eur. J. Biochem. 1974, 47, 469–474. [Google Scholar] [CrossRef]
- Manoranjan, K.; Mishra, D. Catalase, peroxidase, and polyphenoloxidase activities during rice leaf senescence. Plant Physiol. 1976, 57, 315–319. [Google Scholar]
- Cohen, G.; Dembree, D.; Marcus, J. An assay to analyse the catalase level in tissues. Anal. Biochem. 1970, 34, 30–38. [Google Scholar] [CrossRef]
- James, S.; Glaven, J. Macrophage cytotoxicity against schistosomula of Schistosoma mansoni involves arginine-dependent production of reactive nitrogen intermediates. J. Immunol. 1989, 143, 4208–4212. [Google Scholar] [CrossRef]







| Compound Name | RT (Min) | Area (%) | MF | Molecular Formula | Molecular Weight (g) | |
|---|---|---|---|---|---|---|
| 1 | Alpha-Linoleic acid (omega-3) | 29.26 | 23.37 | 909 | C15H32O2 | 280 |
| 2 | Oleic Acid (omega-9 fatty acid) | 29.42 | 17.53 | 931 | C18H34O2 | 282 |
| 3 | Palmitic acid | 26.23 | 11.26 | 931 | C16H32O2 | 256 |
| 4 | Phytol (present in vitamin K, vitamin E, and other tocopherols) | 29.03 | 7.97 | 930 | C20H40O | 296 |
| 5 | Ethyl linolenate | 29.82 | 3.12 | 925 | C20H34O2 | 306 |
| 6 | Ursolic aldehyde | 40.93 | 2.88 | 880 | C30H48O2 | 440 |
| 7 | Octadecanoic acid (Stearic acid) | 29.88 | 2.76 | 861 | C18H36O2 | 284 |
| 8 | 2-Oleoylglycerol | 37.62 | 2.62 | 849 | C21H40O4 | 356 |
| 9 | Betulin | 43.01 | 2.20 | 742 | C30H50O2 | 442 |
| 10 | Cyclopropanebutanoic acid | 25.53 | 2.07 | 799 | C25H42O2 | 374 |
| 11 | Stigmasterol | 44.88 | 1.83 | 741 | C29H48O | 412 |
| 12 | 3,7,12-Trihhdroxycholan-24-oic acid | 44.88 | 1.83 | 733 | C24H40O5 | 408 |
| 13 | Coumaran | 9.34 | 1.76 | 897 | C8H8O | 120 |
| 14 | Methyl o-coumarate | 9.34 | 1.76 | 871 | C9H8O3 | 164 |
| 15 | 3-O Hexopyranosylhex-2-ul ofuranosyl | 18.61 | 1.65 | 731 | C18H32O16 | 504 |
| 16 | Trimethylolpropane ester of ricinoleic acid | 37.61 | 1.55 | 860 | C21H38O4 | 354 |
| 17 | 2-Methoxy-4-vinylphenol | 11.47 | 1.32 | 891 | C9H10O2 | 150 |
| 18 | Cyclopentanone,3-eth3nyl-2,4,4-trimethyl | 11.47 | 1.32 | 878 | C10H16O | 152 |
| 19 | 5-Azecanol | 12.89 | 1.14 | 709 | C9H19NO | 157 |
| 20 | Cyclohexanol, 1R-4cis-acetamido-5,6cis-epoxy-2tra ns,3cis-dimethoxy- | 12.89 | 1.14 | 713 | C10H17NO5 | 231 |
| 21 | Mannose | 19.22 | 1.10 | 770 | C6H12O6 | 180 |
| 22 | Desulphosinigrin | 19.22 | 1.10 | 770 | C10H17NO6S | 279 |
| 23 | Diisooctyl phthalate | 35.68 | 0.9 | 939 | C24H38O4 | 390 |
| 24 | Cyclohexane, 1R-acetamido-4cis-acetoxy-5,6Zcisep | 15.26 | 0.80 | 658 | C12H19NO6 | 273 |
| 25 | (3-Carboxy-3-{[4-Hydroxyt etrahy-dro-2H-pyran-4-yl)methyl] amino}propyl)(dimethyl)sulfonium | 15.26 | 0.80 | 702 | C12H24NO4S | 278 |
| 26 | 9-octadecenamide | 15.26 | 0.80 | 656 | C18H35NO | 281 |
| 27 | Benzeneethanamine, N-(3-methylbutylidene)- | 14.32 | 0.79 | 886 | C13H19N | 189 |
| 28 | 2-Propanamine, N-(phenylmethylene)- | 14.32 | 0.79 | 689 | C10H13N | 147 |
| 29 | Formamide, N-[1-[(1-Cyanopropyl)hydroxyl-amino]-2-methylepropyle]- | 10.36 | 0.79 | 678 | C9H17N3O2 | 199 |
| 30 | Ethyl iso-allocholate | 45.02 | 0.69 | 750 | C26H44O5 | 436 |
| Extract | Concentration | Sporulation (%) | ||
|---|---|---|---|---|
| After 24 h | After 48 h | After 72 h | ||
| Negative control (Pot. dichromate) | 2.50% | 60.95 ± 1 | 71.3 ± 0.5 | 85.43 ± 2 |
| Positive control (formalin) | 10% | 10.24 ± 1 * | 13.12 ± 1 * | 18.16 ± 1.2 * |
| Spinach | 10% | 27.31 ± 0.9 * | 30.81 ± 2.1 * | 33.33 ± 2.9 * |
| 5% | 33.35 ± 2.1 * | 37.96 ± 1.5 * | 40.34 ± 2 * | |
| 2.50% | 58.77 ± 2 | 63.94 ± 1.5 * | 69.86 ± 3.2 * | |
| 1.25% | 57.28 ± 3.5 | 67.25 ± 1 | 73.83 ± 1 * | |
| 0.625% | 58.69 ± 2 | 69.53 ± 1.5 | 75.16 ± 1 * | |
| Day Post-Infection (DPI) | |||||||
|---|---|---|---|---|---|---|---|
| 4 | 5 | 6 | 7 | 8 | 9 | 10 | |
| Negative Control | ---- | ---- | ---- | ---- | ---- | ---- | ---- |
| Positive Control | ++ | ++++ | +++ | +++ | + | + | + |
| Diclazuril | + | ++ | ++ | + | ---- | ---- | ---- |
| Spinach | ++ | + | + | + | ---- | ---- | ---- |
| Group Name | No. of Deaths | Survival Percentage | Lesion Score |
|---|---|---|---|
| Negative control | 0 | 100 * | 0 |
| Positive control | 5 | 80 | 3 |
| Diclazuril | 1 | 96 * | 1 |
| Spinach | 2 | 92 * | 1 |
| Mean Oocyst Count Shed ± SE (per Gram of Feces ×1000) | ||||||||
|---|---|---|---|---|---|---|---|---|
| Day Post-Infection (DPI) | ||||||||
| Group | 4 | 5 | 6 | 7 | 8 | 9 | 10 | Mean ± SE |
| Negative control | 0.00 ± 0.00 | 0.00 ± 0.00 | 0.00 ± 0.00 | 0.00 ± 0.00 | 0.00 ± 0.00 | 0.00 ± 0.00 | 0.00 ± 0.00 | 0.00 ± 0.00 a |
| Positive control | 0.00 ± 0.00 | 1.14 ± 0.001 | 4.15 ± 0.001 | 4.82 ± 0.006 | 13.1 ± 0.004 | 58.7 ± 0.007 | 10.0 ± 0.058 | 13.1 ± 0.007 b |
| Diclazuril | 0.00 ± 0.00 | 0.34 ± 0.001 | 0.40 ± 0.001 | 0.67 ± 0.006 | 3.82 ± 0.004 | 1.21 ± 0.007 | 1.1 ± 0.06 | 1.1 ± 0.007 c |
| Spinach | 0.00 ± 0.00 | 0.6 ± 0.001 | 2.28 ± 0.001 | 3.1 ± 0.006 | 7.91 ± 0.004 | 2.95 ± 0.007 | 2.0 ± 0.058 | 2.7 ± 0.007 d |
| FCR for 1st Week per Bird | 2nd Week | 3rd Week | 4th Week | 5th Week | |||||||||||
|---|---|---|---|---|---|---|---|---|---|---|---|---|---|---|---|
| BWG g/bird | FI (g) | FCR (g/g) | BWG g/bird | FI (g) | FCR (g/g) | BWG g/bird | FI (g) | FCR (g/g) | BWG g/bird | FI (g) | FCR (g/g) | BWG g/bird | FI (g) | FCR (g/g) | |
| Negative control | 65 ± 4.3 | 96.8 | 1.49 | 188 ± 23.7 | 290 | 1.55 | 441.5 ± 24.9 * | 640 | 1.45 ** | 484.8 ± 20.3 *** | 718 | 1.48 *** | 482 ± 51.4 ** | 733 | 1.52 *** |
| Positive control | 184 ± 25.4 | 290 | 1.56 | 339.4 ± 20 | 630 | 1.86 | 314.88 ± 16 | 642 | 2.04 | 227 ± 32.5 | 581 | 2.56 | |||
| Diclazuril | 188 ± 27.7 | 290 | 1.55 | 381.5 ± 15.6 | 595 | 1.56 * | 448.96 ± 28.4 ** | 727 | 1.62 ** | 425 ± 67.95 * | 701 | 1.65 *** | |||
| Spinach | 165 ± 24.9 | 290 | 1.76 | 395.13 ± 10.6 | 630 | 1.6 * | 450.8 ± 30.8 ** | 789 | 1.75 ** | 390 ± 37.9 * | 694 | 1.78 *** | |||
| Group | Microgamont | Macrogamont | Meront | Developing Oocyst | Total Number of Parasitic Stages | Goblet Cells Number |
|---|---|---|---|---|---|---|
| Negative control | 0 | 0 | 0 | 0 | 0 | 18.3 ± 3.5 ** |
| Positive control | 5.3 ± 1.5 | 22.7 ± 7 | 2.3 ± 0.6 | 12.7 ± 1.5 | 43 ± 10.6 | 11.3 ± 2.5 |
| Diclazuril | 1.7 ± 0.6 ** | 2 ± 1 *** | 1.3 ± 0.6 * | 3.3 ± 1.5 *** | 8.3 ± 3.7 *** | 15.7 ± 2.1 |
| Spinach | 1.7 ± 1.2 ** | 7 ± 1.7 ** | 3.3 ± 0.6 * | 4.7 ± 1.5 *** | 16.7 ± 5 ** | 17.3 ± 3.5 * |
Disclaimer/Publisher’s Note: The statements, opinions and data contained in all publications are solely those of the individual author(s) and contributor(s) and not of MDPI and/or the editor(s). MDPI and/or the editor(s) disclaim responsibility for any injury to people or property resulting from any ideas, methods, instructions or products referred to in the content. |
© 2023 by the authors. Licensee MDPI, Basel, Switzerland. This article is an open access article distributed under the terms and conditions of the Creative Commons Attribution (CC BY) license (https://creativecommons.org/licenses/by/4.0/).
Share and Cite
Ewais, O.; Abdel-Tawab, H.; El-Fayoumi, H.; Aboelhadid, S.M.; Al-Quraishy, S.; Falkowski, P.; Abdel-Baki, A.-A.S. Administration of Ethanolic Extract of Spinacia oleracea Rich in Omega-3 Improves Oxidative Stress and Goblet Cells in Broiler Chickens Infected with Eimeria tenella. Molecules 2023, 28, 6621. https://doi.org/10.3390/molecules28186621
Ewais O, Abdel-Tawab H, El-Fayoumi H, Aboelhadid SM, Al-Quraishy S, Falkowski P, Abdel-Baki A-AS. Administration of Ethanolic Extract of Spinacia oleracea Rich in Omega-3 Improves Oxidative Stress and Goblet Cells in Broiler Chickens Infected with Eimeria tenella. Molecules. 2023; 28(18):6621. https://doi.org/10.3390/molecules28186621
Chicago/Turabian StyleEwais, Osama, Heba Abdel-Tawab, Huda El-Fayoumi, Shawky M Aboelhadid, Saleh Al-Quraishy, Piotr Falkowski, and Abdel-Azeem S. Abdel-Baki. 2023. "Administration of Ethanolic Extract of Spinacia oleracea Rich in Omega-3 Improves Oxidative Stress and Goblet Cells in Broiler Chickens Infected with Eimeria tenella" Molecules 28, no. 18: 6621. https://doi.org/10.3390/molecules28186621
APA StyleEwais, O., Abdel-Tawab, H., El-Fayoumi, H., Aboelhadid, S. M., Al-Quraishy, S., Falkowski, P., & Abdel-Baki, A.-A. S. (2023). Administration of Ethanolic Extract of Spinacia oleracea Rich in Omega-3 Improves Oxidative Stress and Goblet Cells in Broiler Chickens Infected with Eimeria tenella. Molecules, 28(18), 6621. https://doi.org/10.3390/molecules28186621

