Docosahexaenoic Acid Promotes Cd Excretion by Restoring the Abundance of Parabacteroides in Cd-Exposed Mice
Abstract
1. Introduction
2. Results
2.1. Effects of DHA on Cd Levels in Cd-Exposed Mice
2.2. Effects of DHA on Gut Microbiota of Cd-Exposed Mice
2.3. DHA Restored the Abundance of Parabacteroides in Cd-Exposed Mice
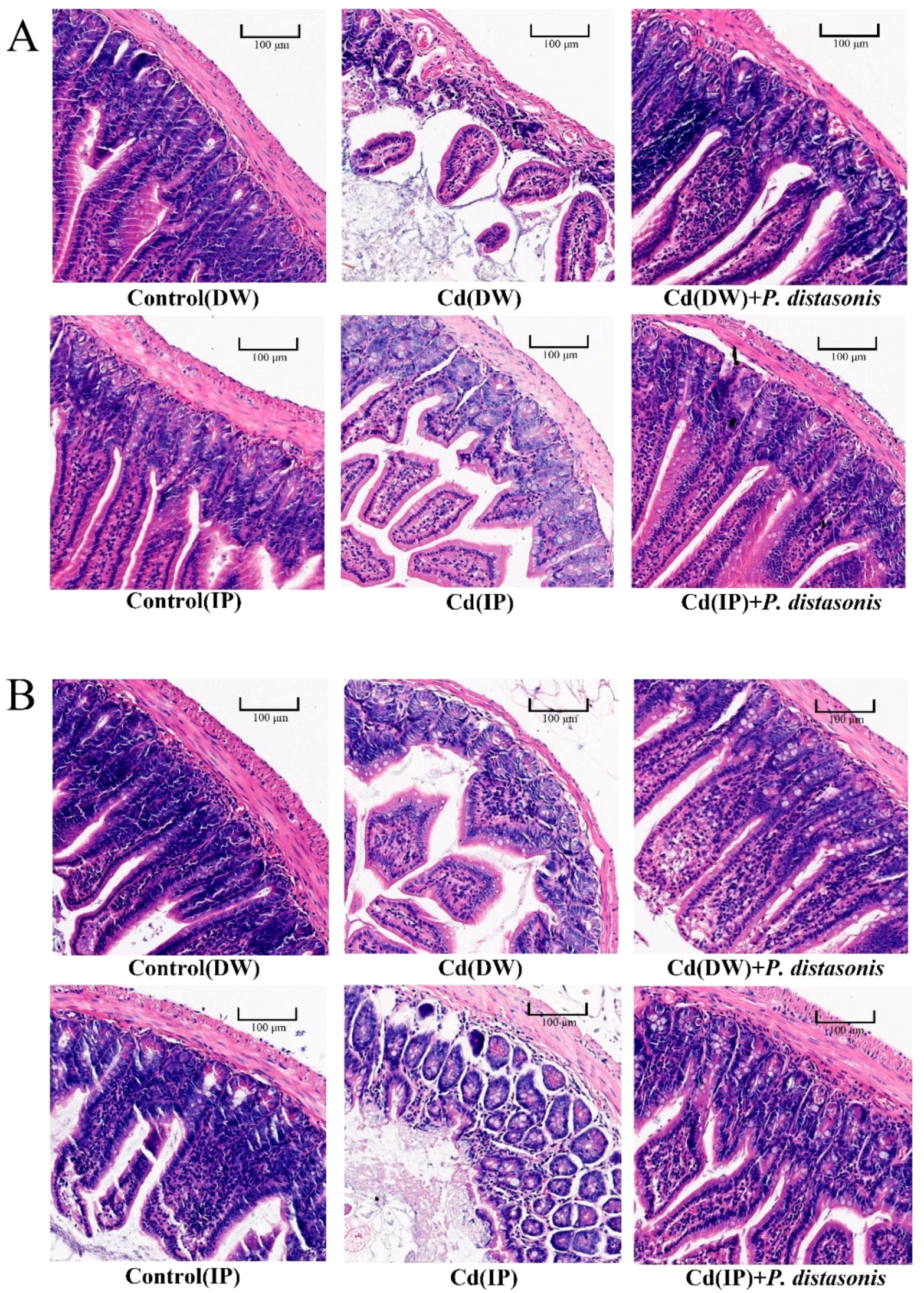
2.4. Effects of P. distasonis on Gut Tissues of Cd-Exposed Mice
2.5. Effects of P. distasonis on Cd Content in Cd-Exposed Mice
2.6. Effect of Succinic Acid on Cd Content in Cd-Exposed Mice
3. Discussion
3.1. Unsaturated Fatty Acid DHA Can Significantly Reduce Cd and Toxicity
3.2. The Cd Reduction and Detoxification Effect of DHA Is Closely Related to Its Regulation of Gut Microbiota, Especially Parabacteroides in the Gut
3.3. Succinic Acid, the Main Product of P. distasonis, Has Good Cd Reduction and Detoxification Effects
4. Materials and Methods
4.1. Reagents and Animals
4.2. DHA and EPA Treatment in Cd-Exposed Mice
4.3. P. distasonis Treatment in Cd-Exposed Mice
4.4. Succinic acid Treatment in Cd-Exposed Mice
4.5. Determination of Cd Content
4.6. Determination of Enzyme Activity in Mouse Serum Liver Function
4.7. Histopathological Observation of Livers and Gut Tracts in Mice
4.8. Sequencing of 16S rDNA Gene in Mouse Gut Microbiota
4.9. Determination of Cd Chelating Ability of DHA and EPA
4.10. P. distasonis Analysis of Sensitivity Differences
4.11. Determination of Succinic Acid Content
4.12. Statistical Analysis
5. Conclusions
Author Contributions
Funding
Institutional Review Board Statement
Informed Consent Statement
Data Availability Statement
Conflicts of Interest
Sample Availability
References
- Qing, Y.; Li, Y.; Cai, X.; He, W.; Liu, S.; Ji, Y.; Jiang, M.; Yang, L.; Wang, J.; Ping, S.; et al. Assessment of Cadmium Concentrations in Foodstuffs and Dietary Exposure Risk Across China: A Metadata Analysis. Expo. Health 2023, 1–11. [Google Scholar] [CrossRef]
- Zhao, D.; Wang, P.; Zhao, F.-J. Dietary cadmium exposure, risks to human health and mitigation strategies. Crit. Rev. Environ. Sci. Technol. 2023, 53, 939–963. [Google Scholar] [CrossRef]
- Johri, N.; Jacquillet, G.; Unwin, R. Heavy metal poisoning: The effects of cadmium on the kidney. BioMetals 2010, 23, 783–792. [Google Scholar] [CrossRef] [PubMed]
- Park, J.D.; Cherrington, N.J.; Klaassen, C.D. Intestinal absorption of cadmium is associated with divalent metal transporter 1 in rats. Toxicol. Sci. 2002, 68, 288–294. [Google Scholar] [CrossRef] [PubMed]
- Genchi, G.; Sinicropi, M.S.; Lauria, G.; Carocci, A.; Catalano, A. The Effects of Cadmium Toxicity. Int. J. Env. Res. Public Health 2020, 17, 3782. [Google Scholar] [CrossRef] [PubMed]
- Satarug, S. Dietary cadmium intake and its effects on kidneys. Toxics 2018, 6, 15. [Google Scholar] [CrossRef]
- Tinkov, A.A.; Gritsenko, V.A.; Skalnaya, M.G.; Cherkasov, S.V.; Aaseth, J.; Skalny, A.V. Gut as a target for cadmium toxicity. Environ. Pollut. 2018, 235, 429–434. [Google Scholar] [CrossRef]
- Unsal, V.; Dalkıran, T.; Çiçek, M.; Kölükçü, E. The role of natural antioxidants against reactive oxygen species produced by cadmium toxicity: A review. Adv. Pharm. Bull. 2020, 10, 184. [Google Scholar] [CrossRef]
- Liu, X.; Zhang, J.; Si, J.; Li, P.; Gao, H.; Li, W.; Chen, Y. What happens to gut microorganisms and potential repair mechanisms when meet heavy metal(loid)s. Environ. Pollut. 2023, 317, 120780. [Google Scholar] [CrossRef]
- Alnahdi, H.S.; Sharaf, I.A. Possible prophylactic effect of omega-3 fatty acids on cadmium-induced neurotoxicity in rats’ brains. Environ. Sci. Pollut. Res. Int. 2019, 26, 31254–31262. [Google Scholar] [CrossRef]
- Lunn, J.; Theobald, H. The health effects of dietary unsaturated fatty acids. Nutr. Bull. 2006, 31, 178–224. [Google Scholar] [CrossRef]
- Linhartova, P.; Sampels, S. Combined incubation of Cadmium, docosahexaenoic and eicosapentaenoic acid results in increased uptake of cadmium and elevated docosapentaenoic acid content in Hepatocytes in vitro. Lipids Health Dis. 2015, 14, 156. [Google Scholar] [CrossRef] [PubMed]
- Yu, H.N.; Zhu, J.; Pan, W.S.; Shen, S.R.; Shan, W.G.; Das, U.N. Effects of fish oil with a high content of n-3 polyunsaturated fatty acids on mouse gut microbiota. Arch. Med. Res. 2014, 45, 195–202. [Google Scholar] [CrossRef] [PubMed]
- Al-Bulish, M.S.M.; Cao, W.; Yang, R.; Wang, Y.; Xue, C.; Tang, Q. Docosahexaenoic acid-rich fish oil alleviates hepatic steatosis in association with regulation of gut microbiome in ob/ob mice. Food Res. Int. 2022, 157, 111373. [Google Scholar] [CrossRef] [PubMed]
- Fang, Z.; Chen, Y.; Li, Y.; Sun, L.; Deng, Q.; Wang, J.; Gooneratne, R. Oleic Acid Facilitates Cd Excretion by Increasing the Abundance of Burkholderia in Cd-Exposed Mice. Int. J. Mol. Sci. 2022, 23, 14718. [Google Scholar] [CrossRef]
- Sanchez-Tapia, M.; Tovar, A.R.; Torres, N. Diet as Regulator of Gut Microbiota and its Role in Health and Disease. Arch. Med. Res. 2019, 50, 259–268. [Google Scholar] [CrossRef]
- Fan, Y.; Pedersen, O. Gut microbiota in human metabolic health and disease. Nat. Rev. Microbiol. 2021, 19, 55–71. [Google Scholar] [CrossRef]
- Schlechte, J.; Skalosky, I.; Geuking, M.B.; McDonald, B. Long-distance relationships-regulation of systemic host defense against infections by the gut microbiota. Mucosal Immunol. 2022, 15, 809–818. [Google Scholar] [CrossRef]
- Kamioka, M.; Goto, Y.; Nakamura, K.; Yokoi, Y.; Sugimoto, R.; Ohira, S.; Kurashima, Y.; Umemoto, S.; Sato, S.; Kunisawa, J. Intestinal commensal microbiota and cytokines regulate Fut2+ Paneth cells for gut defense. Proc. Natl. Acad. Sci. USA 2022, 119, e2115230119. [Google Scholar] [CrossRef]
- Li, Y.; Liu, K.; Shen, J.; Liu, Y. Wheat bran intake can attenuate chronic cadmium toxicity in mice gut microbiota. Food Funct 2016, 7, 3524–3530. [Google Scholar] [CrossRef]
- Chang, X.; Li, H.; Feng, J.; Chen, Y.; Nie, G.; Zhang, J. Effects of cadmium exposure on the composition and diversity of the intestinal microbial community of common carp (Cyprinus carpio L. ). Ecotoxicol. Environ. Saf. 2019, 171, 92–98. [Google Scholar] [CrossRef] [PubMed]
- Breton, J.; Daniel, C.; Dewulf, J.; Pothion, S.; Froux, N.; Sauty, M.; Thomas, P.; Pot, B.; Foligne, B. Gut microbiota limits heavy metals burden caused by chronic oral exposure. Toxicol. Lett. 2013, 222, 132–138. [Google Scholar] [CrossRef] [PubMed]
- Li, X.; Wu, Y.; Xie, G.; Tan, Z. Effects of chronic cadmium exposure on the structure and function of intestinal mucosal flora in mice. Toxin Rev. 2022, 41, 904–917. [Google Scholar] [CrossRef]
- Liu, Y.; Li, Y.; Xia, Y.; Liu, K.; Ren, L.; Ji, Y. The Dysbiosis of Gut Microbiota Caused by Low-Dose Cadmium Aggravate the Injury of Mice Liver through Increasing Intestinal Permeability. Microorganisms 2020, 8, 211. [Google Scholar] [CrossRef] [PubMed]
- Akinrinde, A.S.; Adekanmbi, A.O.; Olojo, F.O. Nigella sativa oil protects against cadmium-induced intestinal toxicity via promotion of anti-inflammatory mechanisms, mucin expression and microbiota integrity. Avicenna J. Phytomed. 2022, 12, 241–256. [Google Scholar]
- Liu, Y.; Li, Y.; Liu, K.; Shen, J. Exposing to cadmium stress cause profound toxic effect on microbiota of the mice intestinal tract. PLoS ONE 2014, 9, e85323. [Google Scholar] [CrossRef]
- Duan, H.; Yu, L.; Tian, F.; Zhai, Q.; Fan, L.; Chen, W. Gut microbiota: A target for heavy metal toxicity and a probiotic protective strategy. Sci. Total Environ. 2020, 742, 140429. [Google Scholar] [CrossRef]
- Zhai, Q.; Tian, F.; Zhao, J.; Zhang, H.; Narbad, A.; Chen, W. Oral administration of probiotics inhibits absorption of the heavy metal cadmium by protecting the intestinal barrier. Appl. Environ. Microbiol. 2016, 82, 4429–4440. [Google Scholar] [CrossRef]
- Zhu, J.; Yu, L.; Shen, X.; Tian, F.; Zhao, J.; Zhang, H.; Chen, W.; Zhai, Q. Protective Effects of Lactobacillus plantarum CCFM8610 against Acute Toxicity Caused by Different Food-Derived Forms of Cadmium in Mice. Int. J. Mol. Sci. 2021, 22, 11045. [Google Scholar] [CrossRef]
- Ferain, A.; Bonnineau, C.; Neefs, I.; Rees, J.F.; Larondelle, Y.; Schamphelaere, K.A.; Debier, C. The fatty acid profile of rainbow trout liver cells modulates their tolerance to methylmercury and cadmium. Aquat. Toxicol. 2016, 177, 171–181. [Google Scholar] [CrossRef]
- Agans, R.; Gordon, A.; Kramer, D.L.; Perez-Burillo, S.; Rufián-Henares, J.A.; Paliy, O. Dietary fatty acids sustain the growth of the human gut microbiota. Appl. Environ. Microbiol. 2018, 84, e01525-18. [Google Scholar] [CrossRef]
- Ma, X.; Hou, M.; Liu, C.; Li, J.; Ba, Q.; Wang, H. Cadmium accelerates bacterial oleic acid production to promote fat accumulation in Caenorhabditis elegans. J. Hazard Mater. 2022, 421, 126723. [Google Scholar] [CrossRef] [PubMed]
- Ayaz, N.O. Protective Mechanisms of Omega-3 Fatty Acids Against Hepatotoxic Impact of Cadmium Exposure in Rats. Pharmacophore 2017, 8, 25–34. [Google Scholar]
- Konar, V.; Aydoğmuş, C.; Örün, İ.; Kandemir, Ş. The effects of cadmium on fatty acid composition in the muscle and skin of juvenile rainbow trout (Oncorhynchus mykiss, Walbaum 1792). J. Anim. Vet. Adv. 2010, 9, 1191–1196. [Google Scholar]
- Ferain, A.; Delbecque, E.; Neefs, I.; Dailly, H.; De Saeyer, N.; Van Larebeke, M.; Cornet, V.; Larondelle, Y.; Rees, J.F.; Kestemont, P.; et al. Interplay between dietary lipids and cadmium exposure in rainbow trout liver: Influence on fatty acid metabolism, metal accumulation and stress response. Aquat. Toxicol. 2021, 231, 105676. [Google Scholar] [CrossRef]
- Chen, H.; Zhu, C.; Zhou, X. Effects of Lead and Cadmium Combined Heavy Metals on Liver Function and Lipid Metabolism in Mice. Biol. Trace Elem. Res. 2022, 201, 2864–2876. [Google Scholar] [CrossRef]
- Kasarala, G.; Tillmann, H.L. Standard liver tests. Clin. Liver Dis. 2016, 8, 13. [Google Scholar] [CrossRef]
- Kumar, A.; Siddiqi, N.J.; Alrashood, S.T.; Khan, H.A.; Dubey, A.; Sharma, B. Protective effect of eugenol on hepatic inflammation and oxidative stress induced by cadmium in male rats. Biomed. Pharmacother. 2021, 139, 111588. [Google Scholar] [CrossRef]
- Liu, C.; Rao, W.; Cui, Z.; Chen, P.; Lei, K.; Mai, K.; Zhang, W. Comparative evaluation on the effects of dietary docosahexaenoic acid on growth performance, fatty acid profile and lipid metabolism in two sizes of abalone Haliotis discus hannai Ino. Aquaculture 2023, 565, 739136. [Google Scholar] [CrossRef]
- Liao, K.; Ran, Z.; Meng, R.; Xu, J.; Cao, J.; Xu, X.; Wang, Y.; Xu, S.; Yan, X. Long-chain polyunsaturated fatty acid biosynthesis and its response to cadmium exposure in silver pomfret. Aquat. Toxicol. 2019, 206, 61–71. [Google Scholar] [CrossRef]
- Shati, A.A.; El-Kott, A.F. Resolvin D1 protects against cadmium chloride-induced memory loss and hippocampal damage in rats: A comparison with docosahexaenoic acid. Hum. Exp. Toxicol. 2021, 40, S215–S232. [Google Scholar] [CrossRef] [PubMed]
- Yang, J.; Chen, W.; Sun, Y.; Liu, J.; Zhang, W. Effects of cadmium on organ function, gut microbiota and its metabolomics profile in adolescent rats. Ecotoxicol. Environ. Saf. 2021, 222, 112501. [Google Scholar] [CrossRef]
- Mujico, J.R.; Baccan, G.C.; Gheorghe, A.; Diaz, L.E.; Marcos, A. Changes in gut microbiota due to supplemented fatty acids in diet-induced obese mice. Br. J. Nutr. 2013, 110, 711–720. [Google Scholar] [CrossRef] [PubMed]
- Robertson, R.C.; Seira Oriach, C.; Murphy, K.; Moloney, G.M.; Cryan, J.F.; Dinan, T.G.; Paul Ross, R.; Stanton, C. Omega-3 polyunsaturated fatty acids critically regulate behaviour and gut microbiota development in adolescence and adulthood. Brain Behav. Immun. 2017, 59, 21–37. [Google Scholar] [CrossRef] [PubMed]
- Ignacio, A.; Nakano, V.; Avila Campos, M. Intestinal Bacteroides vulgatus showing resistance to metals. Appl. Med. Res. 2015, 1, 46–50. [Google Scholar] [CrossRef]
- Zheng, X.; Wang, L.; You, L.; Liu, Y.-X.; Cohen, M.; Tian, S.; Li, W.; Li, X. Dietary licorice enhances in vivo cadmium detoxification and modulates gut microbial metabolism in mice. iMeta 2022, 1, e7. [Google Scholar] [CrossRef]
- Ba, Q.; Li, M.; Chen, P.; Huang, C.; Duan, X.; Lu, L.; Li, J.; Chu, R.; Xie, D.; Song, H.; et al. Sex-Dependent Effects of Cadmium Exposure in Early Life on Gut Microbiota and Fat Accumulation in Mice. Environ. Health Perspect. 2017, 125, 437–446. [Google Scholar] [CrossRef]
- Bhattacharya, S. The role of probiotics in the amelioration of cadmium toxicity. Biol. Trace Elem. Res. 2020, 197, 440–444. [Google Scholar] [CrossRef]
- Zhai, Q.; Liu, Y.; Wang, C.; Zhao, J.; Zhang, H.; Tian, F.; Lee, Y.-k.; Chen, W. Increased cadmium excretion due to oral administration of Lactobacillus plantarum strains by regulating enterohepatic circulation in mice. J. Agric. Food Chem. 2019, 67, 3956–3965. [Google Scholar] [CrossRef]
- Bisanz, J.E.; Enos, M.K.; Mwanga, J.R.; Changalucha, J.; Burton, J.P.; Gloor, G.B.; Reid, G. Randomized open-label pilot study of the influence of probiotics and the gut microbiome on toxic metal levels in Tanzanian pregnant women and school children. mBio 2014, 5, e01580-14. [Google Scholar] [CrossRef]
- Ezeji, J.C.; Sarikonda, D.K.; Hopperton, A.; Erkkila, H.L.; Cohen, D.E.; Martinez, S.P.; Cominelli, F.; Kuwahara, T.; Dichosa, A.E.; Good, C.E. Parabacteroides distasonis: Intriguing aerotolerant gut anaerobe with emerging antimicrobial resistance and pathogenic and probiotic roles in human health. Gut Microbes 2021, 13, 1922241. [Google Scholar] [CrossRef] [PubMed]
- Sakamoto, M.; Benno, Y. Reclassification of Bacteroides distasonis, Bacteroides goldsteinii and Bacteroides merdae as Parabacteroides distasonis gen. nov., comb. nov., Parabacteroides goldsteinii comb. nov. and Parabacteroides merdae comb. nov. Int. J. Syst. Evol. Microbiol. 2006, 56, 1599–1605. [Google Scholar] [CrossRef]
- Sidhu, G.P.S.; Bali, A.S.; Bhardwaj, R. (Eds.) Role of Organic Acids in Mitigating Cadmium Toxicity in Plants. In Cadmium Tolerance in Plants; Academic Press: Amsterdam, The Netherlands, 2019; pp. 255–279. [Google Scholar]
- Guo, J.-j.; Tan, X.; Fu, H.-L.; Chen, J.-X.; Lin, X.-X.; Ma, Y.; Yang, Z.-Y. Selection for Cd pollution-safe cultivars of Chinese kale (Brassica alboglabra LH Bailey) and biochemical mechanisms of the cultivar-dependent Cd accumulation involving in Cd subcellular distribution. J. Agric. Food Chem. 2018, 66, 1923–1934. [Google Scholar] [CrossRef] [PubMed]
- Yu, L.; Qin, L.; Sun, X.; Wang, L.; Chen, S.; Wang, M. Intercropping with herbs minimizes cadmium availability through altering physicochemical dynamics and metabolite profiles in wheat rhizosphere. Soil Use Manag. 2023, 39, 645–658. [Google Scholar] [CrossRef]
- Chen, J.; Le, X.C.; Zhu, L. Metabolomics and transcriptomics reveal defense mechanism of rice (Oryza sativa) grains under stress of 2, 2′, 4, 4′-tetrabromodiphenyl ether. Environ. Int. 2019, 133, 105154. [Google Scholar] [CrossRef]
- Khashei, S.; Etemadifar, Z.; Rahmani, H.R. Multifunctional biofertilizer from Pseudomonas putida PT: A potential approach for simultaneous improving maize growth and bioremediation of cadmium-polluted soils. Biol. J. Microorg. 2019, 8, 117–129. [Google Scholar]
- Li, W.L.; Wang, J.F.; Lv, Y.; Dong, H.J.; Wang, L.L.; He, T.; Li, Q.S. Improving cadmium mobilization by phosphate-solubilizing bacteria via regulating organic acids metabolism with potassium. Chemosphere 2020, 244, 125475. [Google Scholar] [CrossRef] [PubMed]
- Xie, Y.; He, N.; Wei, M.; Wen, T.; Wang, X.; Liu, H.; Zhong, S.; Xu, H. Cadmium biosorption and mechanism investigation using a novel Bacillus subtilis KC6 isolated from pyrite mine. J. Clean. Prod. 2021, 312, 127749. [Google Scholar] [CrossRef]
- Niu, Z.; Li, X.; Sun, L.; Sun, T. Dynamics of three organic acids (malic, acetic and succinic acid) in sunflower exposed to cadmium and lead. Int. J. Phytoremediat. 2013, 15, 690–702. [Google Scholar] [CrossRef]
- Huang, H.; Lu, R.; Zhan, J.; He, J.; Wang, Y.; Li, T. Role of Root Exudates in Cadmium Accumulation of a Low-Cadmium-Accumulating Tobacco Line (Nicotiana tabacum L.). Toxics 2023, 11, 141. [Google Scholar] [CrossRef]
- Song, J.; Zhang, H.; Duan, C.; Cui, X. Exogenous application of succinic acid enhances tolerance of Larix olgensis seedling to lead stress. J. For. Res. 2018, 29, 1497–1505. [Google Scholar] [CrossRef]
- Garg, U.K.; Kaur, M.P.; Sud, D.; Garg, V.K. Removal of hexavalent chromium from aqueous solution by adsorption on treated sugarcane bagasse using response surface methodological approach. Desalination 2009, 249, 475–479. [Google Scholar] [CrossRef]
- Sivaram, A.K.; Logeshwaran, P.; Lockington, R.; Naidu, R.; Megharaj, M. The impact of low molecular weight organic acids from plants with C3 and C4 photosystems on the rhizoremediation of polycyclic aromatic hydrocarbons contaminated soil. Environ. Technol. Innov. 2020, 19, 100957. [Google Scholar] [CrossRef]
- Fan, R.; Hu, P.-C.; Wang, Y.; Lin, H.-Y.; Su, K.; Feng, X.-S.; Wei, L.; Yang, F. Betulinic acid protects mice from cadmium chloride-induced toxicity by inhibiting cadmium-induced apoptosis in kidney and liver. Toxicol. Lett. 2018, 299, 56–66. [Google Scholar] [CrossRef] [PubMed]
- Chen, S.; Zheng, Y.; Zhou, Y.; Guo, W.; Tang, Q.; Rong, G.; Hu, W.; Tang, J.; Luo, H. Gut dysbiosis with minimal enteritis induced by high temperature and humidity. Sci. Rep. 2019, 9, 18686. [Google Scholar] [CrossRef] [PubMed]
- Xiao, X.; San Yeoh, B.; Saha, P.; Tian, Y.; Singh, V.; Patterson, A.D.; Vijay-Kumar, M. Modulation of urinary siderophores by the diet, gut microbiota and inflammation in mice. J. Nutr. Biochem. 2017, 41, 25–33. [Google Scholar] [CrossRef]
- Li, Y.; Fang, Z.; Zhou, X.; Gao, J.; Wang, J.; Huang, L.; Chen, Y.; Sun, L.; Deng, Q.; Gooneratne, R. Threonine Facilitates Cd Excretion by Increasing the Abundance of Gut Escherichia coli in Cd-Exposed Mice. Molecules 2022, 28, 177. [Google Scholar] [CrossRef]
- Huang, L.; Fang, Z.; Gao, J.; Wang, J.; Li, Y.; Sun, L.; Wang, Y.; Liao, J.; Gooneratne, R. Protective role of l-threonine against cadmium toxicity in Saccharomyces cerevisiae. J. Basic Microbiol. 2021, 61, 339–350. [Google Scholar] [CrossRef]






| Group | Number of Animals | Cd Concentration in Drinking Water (μM) | Intragastric Solution (μmol/g/d) |
|---|---|---|---|
| Control | 6 | - | - |
| Cd | 6 | 100 | - |
| Cd+ DHA | 6 | 100 | 40 |
| Cd+ EPA | 6 | 100 | 40 |
| Group | Number of Animals | Cd Water Concentration (μM) | Intraperitoneally Injected Cd Dose (μg/d) | P. distasonis by Intragastric Administration (CFU/d) |
|---|---|---|---|---|
| Control (DW) | 6 | - | - | - |
| Control (IP) | 6 | - | - | - |
| Cd (DW) | 6 | 100 | - | - |
| Cd (IP) | 6 | - | 9 | - |
| Cd (DW) + P. distasonis | 6 | 100 | - | 1 × 109 |
| Cd (IP) + P. distasonis | 6 | - | 9 | 1 × 109 |
| Group | Number of Animals | Cd Water Concentration (μM) | Intraperitoneally Injected Cd Dose (μg) | Intragastric Dosage of Succinic Acid (mmol/g/d) |
|---|---|---|---|---|
| Control (DW) | 6 | - | - | - |
| Control (IP) | 6 | - | - | - |
| Cd (DW) | 6 | 100 | - | - |
| Cd (DW) + Succinic Acid (L) | 6 | 100 | - | 20 |
| Cd (DW) + Succinic Acid (H) | 6 | 100 | - | 40 |
| Cd (IP) | 6 | - | 9 | - |
| Cd (IP) + Succinic Acid (L) | 6 | - | 9 | 20 |
| Cd (IP) + Succinic Acid (H) | 6 | - | 9 | 40 |
Disclaimer/Publisher’s Note: The statements, opinions and data contained in all publications are solely those of the individual author(s) and contributor(s) and not of MDPI and/or the editor(s). MDPI and/or the editor(s) disclaim responsibility for any injury to people or property resulting from any ideas, methods, instructions or products referred to in the content. |
© 2023 by the authors. Licensee MDPI, Basel, Switzerland. This article is an open access article distributed under the terms and conditions of the Creative Commons Attribution (CC BY) license (https://creativecommons.org/licenses/by/4.0/).
Share and Cite
Liao, J.; Bi, S.; Fang, Z.; Deng, Q.; Chen, Y.; Sun, L.; Jiang, Y.; Huang, L.; Gooneratne, R. Docosahexaenoic Acid Promotes Cd Excretion by Restoring the Abundance of Parabacteroides in Cd-Exposed Mice. Molecules 2023, 28, 4217. https://doi.org/10.3390/molecules28104217
Liao J, Bi S, Fang Z, Deng Q, Chen Y, Sun L, Jiang Y, Huang L, Gooneratne R. Docosahexaenoic Acid Promotes Cd Excretion by Restoring the Abundance of Parabacteroides in Cd-Exposed Mice. Molecules. 2023; 28(10):4217. https://doi.org/10.3390/molecules28104217
Chicago/Turabian StyleLiao, Jianzhen, Siyuan Bi, Zhijia Fang, Qi Deng, Yinyan Chen, Lijun Sun, Yongqing Jiang, Linru Huang, and Ravi Gooneratne. 2023. "Docosahexaenoic Acid Promotes Cd Excretion by Restoring the Abundance of Parabacteroides in Cd-Exposed Mice" Molecules 28, no. 10: 4217. https://doi.org/10.3390/molecules28104217
APA StyleLiao, J., Bi, S., Fang, Z., Deng, Q., Chen, Y., Sun, L., Jiang, Y., Huang, L., & Gooneratne, R. (2023). Docosahexaenoic Acid Promotes Cd Excretion by Restoring the Abundance of Parabacteroides in Cd-Exposed Mice. Molecules, 28(10), 4217. https://doi.org/10.3390/molecules28104217

