Improving the Functional Performance of Date Seed Protein Concentrate by High-Intensity Ultrasonic Treatment
Abstract
1. Introduction
2. Results and Discussion
2.1. Proximate Chemical Composition
2.2. Response Surface Modeling
2.3. Optimization of High-Intensity Ultrasound Variables Based on the Protein Solubility
2.4. Comparison of Techno-Functional Properties of DSPC
2.4.1. Solubility and Water/Oil Binding
2.4.2. Emulsifying Ability and Stability
2.4.3. Foaming Capacity and Stability
2.5. Comparison of Physicochemical Properties of DSPC
3. Materials and Methods
3.1. Materials
3.2. Methods
3.2.1. Production of Date Seeds Protein Concentrates (DSPC)
3.2.2. Proximate Composition
3.2.3. High-Intensity Ultrasonic Treatment
3.2.4. Determination of Acoustic Energy
3.2.5. Response Surface Methodology
3.2.6. Techno-Functional Performances
Protein Solubility
Determination of Emulsifying Properties
Determination of Foaming Properties
Determination of Water/Oil Binding Capacity
3.2.7. Physicochemical Properties
Scanning Electron Microscopy of DSPC
Particle Size and Zeta (ζ) Potential Determination of DSPC
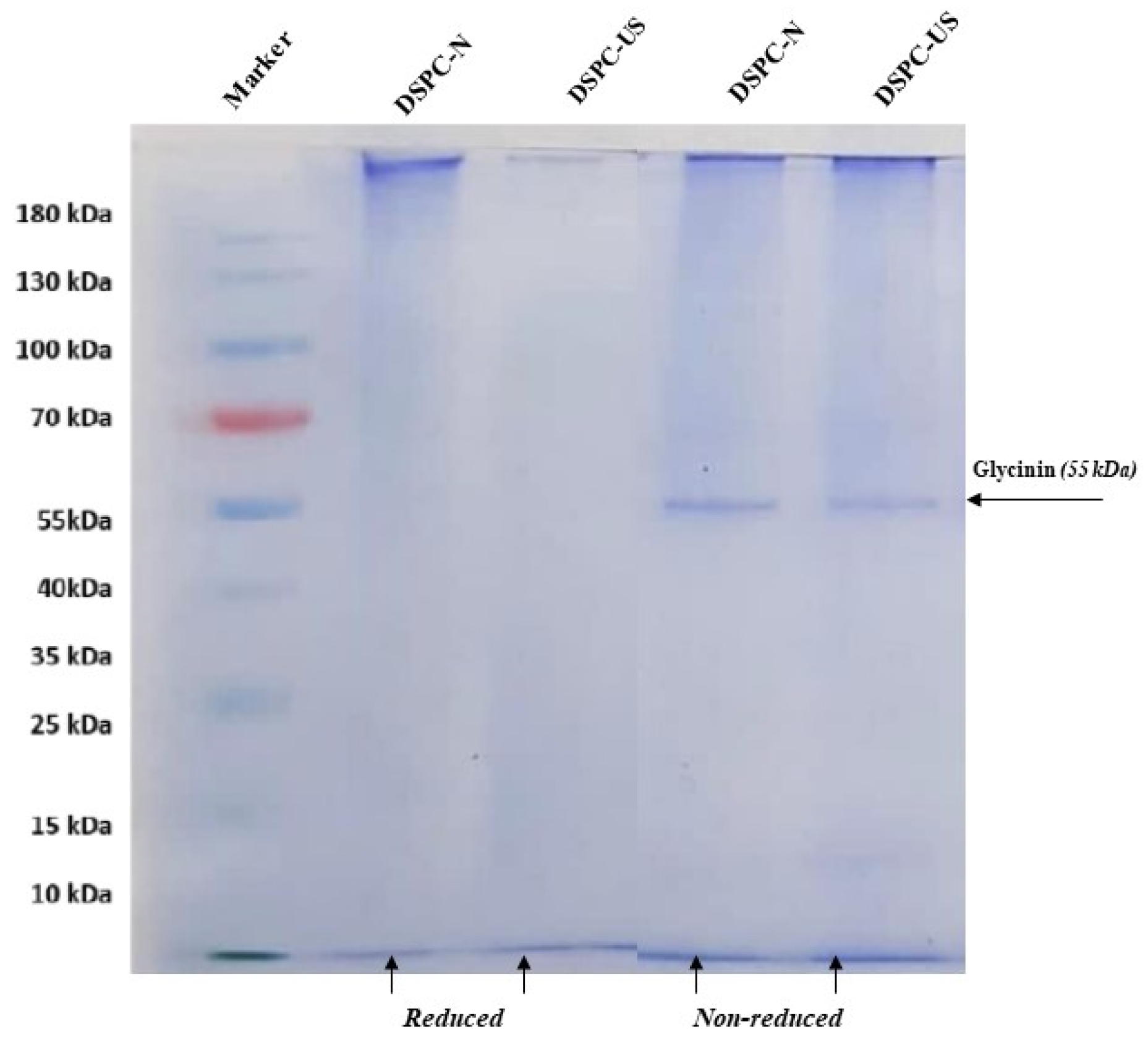
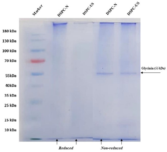
Sodium Dodecyl Sulfate-Polyacrylamide Gel Electrophoresis (SDS-PAGE)
Fourier-Transform Infrared (FTIR) Spectroscopy of DSPC
Surface Sulfhydryl Groups (SH) Determination
Intrinsic Fluorescence Emission
Surface Hydrophobicity (H0) Determination
Differential Scanning Calorimetry of DSPC
3.2.8. Statistical Analysis
4. Conclusions
Author Contributions
Funding
Institutional Review Board Statement
Informed Consent Statement
Data Availability Statement
Acknowledgments
Conflicts of Interest
References
- Zaid, A.; de Wet, P.F. Pollination and Bunch Management. In Date Palm Cultivation; Plant Production and Protection; Zaid, A., Ed.; FAO: Rome, Italy, 2002; Chapter 8; p. 156. [Google Scholar]
- FAO. World Food and Agriculture—Statistical Yearbook; FAO: Rome, Italy, 2020. [Google Scholar]
- Abdul Afiq, M.J.; Abdul Rahman, R.; Che Man, Y.B.; AlKahtani, H.A.; Mansor, T.S.T. Date seed and date seed oil. Int. Food Res. J. 2013, 20, 2035–2043. [Google Scholar]
- Granato, D.; Nunes, D.S.; Barba, F.J. An integrated strategy between food chemistry, biology, nutrition, pharmacology, and statistics in the development of functional foods: A proposal. Trends Food Sci. Technol. 2017, 62, 13–22. [Google Scholar] [CrossRef]
- Besbes, S.; Blecker, C.; Deroanne, C.; Drira, N.; Attia, H. Date seeds: Chemical composition and characteristic profiles of the lipid fraction. Food Chem. 2004, 84, 577–584. [Google Scholar] [CrossRef]
- Al-Farsi, M.; Alasalvar, C.; Al-Abid, M.; Al-Shoaily, K.; Al-Amry, M.; Al-Rawahy, F. Compositional and functional characteristics of dates, syrups and their by–products. Food Chem. 2007, 104, 943–994. [Google Scholar] [CrossRef]
- Al-Farsi, M.A.; Lee, C.Y. Optimization of phenolic and dietary fibre extraction from date seeds. Food Chem. 2008, 108, 977–985. [Google Scholar] [CrossRef]
- Mattila, P.; Mäkinen, S.; Eurola, M.; Jalava, T.; Pihlava, J.M.; Hellström, J.; Pihlanto, A. Nutritional value of commercial protein-rich plant products. Plant Foods Hum. Nutr. 2018, 73, 108–115. [Google Scholar] [CrossRef]
- FAO. The State of Food Security and Nutrition in the World (SOFI); FAO: Rome, Italy, 2021. [Google Scholar]
- Ismail, B.P.; Senaratne-Lenagala, L.; Stube, A.; Brackenridge, A. Protein demand: Review of plant and animal proteins used in alternative protein product development and production. Anim. Front. 2020, 10, 53–63. [Google Scholar] [CrossRef]
- Wen, C.; Zhang, J.; Zhang, H.; Dzah, C.S.; Zandile, M.; Duan, Y.; Ma, H.; Luo, X. Advances in ultrasound assisted extraction of bioactive compounds from cash crops—A review. Ultrason. Sonochem. 2018, 48, 538–549. [Google Scholar] [CrossRef]
- Kinsella, J.E.; Melachouris, N. Functional properties of proteins in foods: A survey. Crit. Rev. Food Sci. Nutr. 1976, 7, 219–280. [Google Scholar] [CrossRef]
- Mirmoghtadaie, L.; Shojaee Aliabadi, S.; Hosseini, S.M. Recent approaches in physical modification of protein functionality. Food Chem. 2016, 199, 619–627. [Google Scholar] [CrossRef]
- Sim, S.Y.J.; Srv, A.; Chiang, J.H.; Henry, C.J. Plant Proteins for Future Foods: A Roadmap. Foods 2021, 10, 1967. [Google Scholar] [CrossRef] [PubMed]
- Wen, C.; Zhang, J.; Zhou, J.; Duan, Y.; Zhang, H.; Ma, H. Effects of slit divergent ultrasound and enzymatic treatment on the structure and antioxidant activity of arrowhead protein. Ultrason. Sonochem. 2018, 49, 294–302. [Google Scholar] [CrossRef] [PubMed]
- Zhang, J.; Wen, C.; Zhang, H.; Zandile, M.; Luo, X.; Duan, Y.; Ma, H. Structure of the zein protein as treated with subcritical water. Int. J. Food Prop. 2018, 21, 128–138. [Google Scholar] [CrossRef]
- Jambrak, A.R.; Lelas, V.; Mason, T.J.; Krešić, G.; Badanjak, M. Physical properties of ultrasound treated soy proteins. J. Food Eng. 2009, 93, 386–393. [Google Scholar] [CrossRef]
- Hu, H.; Wu, J.; Li-Chan, E.C.; Zhu, L.; Zhang, F.; Xu, X.; Fan, G.; Wang, L.; Huang, X.; Pan, S. Effects of ultrasound on structural and physical properties of soy protein isolate (SPI) dispersions. Food Hydrocoll. 2013, 30, 647–655. [Google Scholar] [CrossRef]
- Xiong, W.; Wang, Y.; Zhang, C.; Wan, J.; Shah, B.R.; Pei, Y.; Zhou, B.; Li, J.; Li, B. High intensity ultrasound modified ovalbumin: Structure, interface and gelation properties. Ultrason. Sonochem. 2016, 31, 302–309. [Google Scholar] [CrossRef] [PubMed]
- Jiang, L.; Wang, J.; Li, Y.; Wang, Z.; Liang, J.; Wang, R.; Chen, Y.; Ma, W.; Qi, B.; Zhang, M. Effects of ultrasound on the structure and physical properties of black bean protein isolates. Food Res. Int. 2014, 62, 595–601. [Google Scholar] [CrossRef]
- Malik, M.A.; Sharma, H.K.; Saini, C.S. High intensity ultrasound treatment of protein isolate extracted from dephenolized sunflower meal: Effect on physicochemical and functional properties. Ultrason. Sonochem. 2017, 39, 511–519. [Google Scholar] [CrossRef]
- Martínez-Velasco, A.; Lobato-Calleros, C.; Hernández-Rodríguez, B.E.; Román-Guerrero, A.; Alvarez-Ramirez, J.; Vernon-Carter, E.J. High intensity ultrasound treatment of faba bean (Vicia faba L.) protein: Effect on surface properties, foaming ability and structural changes. Ultrason. Sonochem. 2018, 44, 97–105. [Google Scholar] [CrossRef]
- Nazari, B.; Mohammadifar, M.A.; Shojaee-Aliabadi, S.; Feizollahi, E.; Mirmoghtadaie, L. Effect of ultrasound treatments on functional properties and structure of millet protein concentrate. Ultrason. Sonochem. 2018, 41, 382–388. [Google Scholar] [CrossRef]
- Vera, A.; Valenzuela, M.A.; Yazdani-Pedram, M.; Tapia, C.; Abugoch, L. Conformational and physicochemical properties of quinoa proteins affected by different conditions of high-intensity ultrasound treatments. Ultrason. Sonochem. 2019, 51, 186–196. [Google Scholar] [CrossRef] [PubMed]
- Zhang, Q.Z.; Tu, Z.-C.; Xiao, H.; Wang, H.; Huang, X.-Q.; Liu, G.-X.; Liu, C.-M.; Shi, Y.; Fan, L.-L.; Lin, D.-R. Influence of ultrasonic treatment on the structure and emulsifying properties of peanut protein isolate. Food Bioprod. Process. 2014, 92, 30–37. [Google Scholar] [CrossRef]
- Zhu, Z.; Zhu, W.; Yi, J.; Liu, N.; Cao, Y.; Lu, J.; Decker, E.A.; McClements, D.J. Effects of sonication on the physicochemical and functional properties of walnut protein isolate. Food Res. Int. 2018, 106, 853–861. [Google Scholar] [CrossRef] [PubMed]
- Karabulut, G.; Yemis, O. Modification of hemp seed protein isolate (Cannabis sativa L.) by high-intensity ultrasound treatment. Part 1: Functional properties. Food Chem. 2022, 375, 131843. [Google Scholar] [CrossRef] [PubMed]
- Karabulut, G.; Feng, H.; Yemis, O. Physicochemical and Antioxidant Properties of Industrial Hemp Seed Protein Isolate Treated by High-Intensity Ultrasound. Plant Foods Hum. Nutr. 2022, 77, 577–583. [Google Scholar] [CrossRef] [PubMed]
- Akasha, I.A.; Campbell, L.; Euston, S.R. Extraction and characterization of protein fraction from date palm fruit seeds. World Acad. Sci. Eng. Technol. 2012, 6, 10–25. [Google Scholar]
- Akasha, I.A.; Campbell, L.; Euston, S.R. The major proteins of the seed of the fruit of the date palm (Phoenix dactylifera L.): Characterization and emulsifying properties. Food Chem. 2016, 197, 799–806. [Google Scholar] [CrossRef]
- Golshan, T.A.; Solaimani Dahdivan, N.; Yasini Ardakani, S.A. Physicochemical properties and applications of date seed and its oil. Int. Food Res. J. 2017, 24, 1399–1406. [Google Scholar]
- Joglekar, A.M.; May, A.T.; Graf, E.; Saguy, I. Product excellence through experimental design. In Food Product Development: From Concept to the Marketplace; Graf, E., Saguy, I., Eds.; Chapman and Hall: Boca Raton, FL, USA, 1987; pp. 211–230. [Google Scholar]
- Wang, Y.; Wang, Y.; Li, K.; Bai, Y.; Li, B.; Xu, W. Effect of high intensity ultrasound on physicochemical, interfacial and gel properties of chickpea protein isolate. LWT. 2020, 129, 109563. [Google Scholar] [CrossRef]
- Zhao, Q.; Xie, T.; Hong, X.; Zhou, Y.; Fan, L.; Liu, Y.; Li, J. Modification of functional properties of perilla protein isolate by high-intensity ultrasonic treatment and stability of o/w emulsion. Food Chem. 2022, 368, 130848. [Google Scholar] [CrossRef]
- Kadam, S.U.; Tiwari, B.K.; Alvarez, C.; O’Donnell, C.P. Ultrasound treatments for the extraction, identification and delivery of food proteins and bioactive peptides. Trends Food Sci. Technol. 2015, 46, 60–67. [Google Scholar] [CrossRef]
- Shirsath, S.R.; Sonawane, S.H.; Gogate, P.R. Intensification of extraction of natural products using ultrasonic irradiations-A review of current status. Chem. Eng. Process. Process Intensif. 2012, 53, 10–23. [Google Scholar] [CrossRef]
- Mir, N.A.; Riar, C.S.; Singh, S. Effect of pH and holding time on the characteristics of protein isolates from Chenopodium seeds and study of their amino acid profile and scoring. Food Chem. 2019, 272, 165–173. [Google Scholar] [CrossRef]
- Arzeni, C.; Martinez, K.; Zema, P.; Arias, A.; Perez, O.E.; Pilosof, A.M.R. Comparative study of high-intensity ultrasound effects on food proteins functionality. J. Food Eng. 2012, 108, 463–472. [Google Scholar] [CrossRef]
- Do Evangelho, J.A.; Vanier, N.L.; Pinto, V.Z.; De Berrios, J.J.; Dias, A.R.G.; da Rosa Zavareze, E. Black bean (Phaseolus vulgaris L.) protein hydrolysates: Physicochemical and functional properties. Food Chem. 2017, 214, 460–467. [Google Scholar] [CrossRef]
- Saha, J.; Deka, S.C. Functional properties of sonicated and non-sonicated extracted leaf protein concentrate from Diplazium esculentum. Int. J. Food Prop. 2017, 20, 1051–1061. [Google Scholar] [CrossRef]
- Malomo, S.A.; He, R.; Aluko, R.E. Structural and functional properties of hemp seed protein products. J. Food Sci. 2014, 79, C1512-21. [Google Scholar] [CrossRef]
- Bouaziz, M.A.; Besbes, S.; Blecker, C.; Attia, H. Chemical composition and some functional properties of soluble fibro-protein extracts from Tunisian date palm seeds. Afr. J. Biotechnol. 2013, 12, 1BAB65922707. [Google Scholar]
- Biswas, B.; Sit, N. Effect of ultrasonication on functional properties of tamarind seed protein isolates. J. Food Sci. Technol. 2020, 57, 2070–2078. [Google Scholar] [CrossRef]
- Tan, Y.; Deng, X.; Liu, T.; Yang, B.; Zhao, M.; Zhao, Q. Influence of NaCl on the oil/water interfacial and emulsifying properties of walnut protein-xanthan gum. Food Hydrocoll. 2017, 72, 73–80. [Google Scholar] [CrossRef]
- Boye, J.; Zare, F.; Pletch, A. Pulse proteins: Processing, characterization, functional properties and applications in food and feed. Food Res. Int. 2010, 43, 414–431. [Google Scholar] [CrossRef]
- Kresic, G.; Lelas, V.; Jambrak, A.R.; Herceg, Z.; Brncic, S.R. Influence of novel food processing technologies on the rheological and thermophysical properties of whey proteins. J. Food Eng. 2008, 87, 64–73. [Google Scholar] [CrossRef]
- Camargo-Peream, A.; Rubio-Clemente, A.; Peñuela, G. Use of Ultrasound as an Advanced Oxidation Process for the Degradation of Emerging Pollutants in Water. Water 2020, 12, 1068. [Google Scholar] [CrossRef]
- Yan, S.; Xu, J.; Zhang, S.; Li, Y. Effects of flexibility and surface hydrophobicity on emulsifying properties: Ultrasound-treated soybean protein isolate. Lebensm.-Wiss. Technol. 2021, 142, 110881. [Google Scholar] [CrossRef]
- Sun-Waterhouse, D.; Zhao, M.; Waterhouse, G.I. Protein modification during ingredient preparation and food processing: Approaches to improve food processability and nutrition. Food Bioprocess Technol. 2014, 7, 1853–1893. [Google Scholar] [CrossRef]
- Morales, R.; Martínez, K.D.; Ruiz-Henestrosa, V.M.P.; Pilosof, A.M. Modification of foaming properties of soy protein isolate by high ultrasound intensity: Particle size effect. Ultrason. Sonochem. 2015, 26, 48–55. [Google Scholar] [CrossRef]
- O’Sullivan, J.; Murray, B.; Flynn, C.; Norton, I. Comparison of batch and continuous ultrasonic emulsification processes. J. Food Eng. 2015, 167, 114–121. [Google Scholar] [CrossRef]
- Sun, Y.; Chen, J.; Zhang, S.; Li, H.; Lu, J.; Liu, L.; Uluko, H.; Su, Y.; Cui, W.; Ge, W.; et al. Effect of power ultrasound pre-treatment on the physical and functional properties of reconstituted milk protein concentrate. J. Food Eng. 2014, 124, 11–18. [Google Scholar]
- Resendiz-Vazquez, J.A.; Ulloa, J.A.; Urías-Silvas, J.E.; Bautista-Rosales, P.U.; Ramírez-Ramírez, J.C.; Rosas-Ulloa, P.; Gonz´alez-Torres, L. Effect of high-intensity ultrasound on the technofunctional properties and structure of jackfruit (Artocarpus heterophyllus) seed protein isolate. Ultrason. Sonochem. 2017, 37, 436–444. [Google Scholar] [CrossRef]
- Flores-Jiménez, N.T.; Ulloa, J.A.; Silvas, J.E.U.; Ramírez, J.C.R.; Ulloa, P.R.; Rosales, P.U.B.; Carrillo, Y.S.; Leyva, R.G. Effect of high-intensity ultrasound on the compositional, physicochemical, biochemical, functional and structural properties of canola (Brassica napus L.) protein isolate. Food Res. Int. 2019, 121, 947–956. [Google Scholar] [CrossRef]
- Khoshroo, S.M.R.; Khavarinjad, R.; Fahimi, H.; Mohammadi, Z.N. Seed storage protein electrophoretic profiles in some Iranian date palm (Phoenix dactylifera L.) cultivars. Afr. J. Biotechnol. 2011, 10, 17793–17804. [Google Scholar]
- Bouaziz, M.; Besbes, S.; Blecker, C.; Wathelet, B.; Deroanne, C.; Hamadi, A. Protein and amino acid profiles of Tunisian Deglet Nour and Allig date palm fruit seeds. Fruits 2008, 63, 37–43. [Google Scholar] [CrossRef]
- Miernyk, J.; Hajduch, J.M. Seed Proteomics. J. Proteom. 2011, 74, 389–400. [Google Scholar] [CrossRef] [PubMed]
- Ali, M.; Tang, T.; Zhou, L.; Ling, Z.; Guo, S.; Jiang, A. Effects of different proteases on the emulsifying capacity, rheological and structure characteristics of preserved egg white hydrolysates. Food Hydrocoll. 2019, 87, 933–942. [Google Scholar] [CrossRef]
- Sadat, A.; Joye, I. Article Peak Fitting Applied to Fourier Transform Infrared and Raman Spectroscopic Analysis of Proteins. Appl. Sci. 2020, 10, 5918. [Google Scholar] [CrossRef]
- Jin, J.; Ma, H.; Wang, W.; Luo, M.; Wang, B.; Qu, W.; He, R.; Owusu, J.; Li, Y. Effects and mechanism of ultrasound pretreatment on rapeseed protein enzymolysis. J. Sci. Food Agric. 2016, 96, 1159–1166. [Google Scholar] [CrossRef]
- Tian, R.; Feng, J.; Huang, G.; Tian, B.; Zhang, Y.; Jiang, L.; Sui, X. Ultrasound driven conformational and physicochemical changes of soy protein hydrolysates. Ultrason. Sonochem. 2020, 68, 105202. [Google Scholar] [CrossRef]
- Karoui, R.; Blecker, C. Fluorescence spectroscopy measurement for quality assessment of food systems-a review. Food Bioprocess Technol. 2011, 4, 364–386. [Google Scholar] [CrossRef]
- Liu, Y.; Li, D.; Tao, Y.; Zhang, R.; Han, Y. Effect of Ultrasound and Sodium Bicarbonate Treatment on the Soaking Characteristics of Mung Beans. Sci. Technol. Food Ind. 2022, 43, 42–49, (In Chinese with English Abstract). [Google Scholar] [CrossRef]
- AOAC. Official Method for Analysis, 15th ed.; Association of Official Analytical Chemists: Washington, DC, USA, 1990. [Google Scholar]
- Taurozzi, J.S.; Hackley, V.A.; Wiesner, M.R. Ultrasonic dispersion of nanoparticles for environmental, health and safety assessment—Issues and recommendations. Nanotoxicology 2012, 5, 711–729. [Google Scholar] [CrossRef]
- Morr, C.V.; German, B.; Kinsella, J.E.; Regenstein, J.M.; Buren, J.P.V.; Kilara, A.; Lewis, B.A.; Mangino, M.E. A collaborative study to develop a standardized food protein solubility procedure. J. Food Sci. 1985, 50, 1715–1718. [Google Scholar] [CrossRef]
- Bradford, M.M. A rapid sensitive method for the quantification of microgram quantities of protein utilising the principle of protein-Dye Binding. Anal. Biochem. 1976, 72, 248–254. [Google Scholar] [CrossRef] [PubMed]
- Pearce, K.N.; Kinsella, J.E. Emulsifying properties of proteins: Evaluation of a turbidimetric technique. J. Agric. Food Chem. 1978, 26, 716–723. [Google Scholar] [CrossRef]
- Aydemir, L.Y.; Yemenicioglu, A. Potential of Turkish Kabuli type chickpea and green and red lentil cultivars as source of soy and animal origin functional protein alternatives. LWT-Food Sci. Technol. 2013, 50, 686–694. [Google Scholar] [CrossRef]
- Peng, D.; Jin, W.; Li, J.; Xiong, W.; Pei, Y.; Wang, Y.; Li, Y.; Li, B. Adsorption and distribution of edible gliadin nanoparticles at the air/water interface. J. Agric. Food Chem. 2017, 65, 2454–2460. [Google Scholar] [CrossRef] [PubMed]





| Moisture | Protein | Fat | Ash | Carbohydrate | |
|---|---|---|---|---|---|
| Date seed | 7.21 ± 0.25 | 6.17 ± 0.28 | 9.56 ± 0.14 | 3.44 ± 0.01 | 73.62 ± 0.34 |
| Defatted date seed | 6.74 ± 0.09 | 8.81 ± 0.21 | 0.49 ± 0.12 | 4.22 ± 0.10 | 79.74 ± 0.26 |
| DSPC | 5.96 ± 0.09 | 70.28 ± 0.33 | 0.13 ± 0.04 | 3.38 ± 0.06 | 20.25 ± 0.40 |
| Run | Process Variables | Response | ||||
|---|---|---|---|---|---|---|
| Amplitude (%) A | Acoustic Power W/cm2 | Time (min) B | Solubility | |||
| Actual | Predicted | RD * (%) | ||||
| 1 | 40 (−1) | 9.24 | 5 (−1) | 20.32 | 21.37 | −5.2 |
| 2 | 80 (+1) | 60.56 | 15 (+1) | 32.56 | 32.87 | −1.0 |
| 3 | 60 (0) | 24.82 | 10 (0) | 22.04 | 22.83 | −3.6 |
| 4 | 60 (0) | 23.52 | 10 (0) | 22.05 | 22.83 | −3.6 |
| 5 | 60 (0) | 22.82 | 5 (−1) | 20.85 | 19.76 | 5.3 |
| 6 | 60 (0) | 24.41 | 10 (0) | 23.38 | 22.83 | 2.4 |
| 7 | 80 (+1) | 63.29 | 5 (−1) | 28.36 | 28.47 | −0.4 |
| 8 | 40 (−1) | 10.41 | 10 (0) | 27.02 | 24.75 | 8.4 |
| 9 | 60 (0) | 24.18 | 10 (0) | 21.14 | 22.83 | −8.0 |
| 10 | 80 (+1) | 57.62 | 10 (0) | 31.56 | 31.24 | 1.0 |
| 11 | 40 (−1) | 9.46 | 15 (+1) | 25.73 | 26.98 | −4.9 |
| 12 | 60 (0) | 24.62 | 15 (+1) | 26.25 | 24.76 | 5.7 |
| Variables | Solubility | ||
|---|---|---|---|
| k | F-Value | p-Value | |
| Intercept | +22.81 | ||
| A-Amplitude | +3.23 | 23.77 | 0.0028 |
| B-Time | +2.50 | 23.77 | 0.0093 |
| AB | −0.2896 | 14.23 | 0.7259 |
| A2 | +5.16 | 0.1350 | 0.0020 |
| B2 | −0.5738 | 0.3324 | 0.5852 |
| Lack of Fit | 5.17 | 0.1052 | |
| Model | 13.31 | 0.0034 | |
| R2 | 0.9173 | ||
| Adjusted R2 | 0.8484 | ||
| C.V. % | 6.47 | ||
| Main effects | |||
| Amplitude | * | ||
| Time | * | ||
| Property | DSPC-N | DSPC-US |
|---|---|---|
| Solubility (%) | 14.10 ± 0.47 a | 32.56 ± 0.31 b |
| WBC (g/g) | 2.76 ± 0.18 a | 1.55 ± 0.17 b |
| OBC (g/g) | 1.73 ± 0.04 a | 4.79 ± 0.26 b |
| EAI (m2/g) | 11.92 ± 0.20 a | 19.15 ± 0.67 b |
| ESI (min) | 17.63 ± 0.36 a | 23.88 ± 0.53 b |
| FC (%) | 44 ± 3.82 a | 84 ± 2.43 b |
| FS (%) | 8 ± 0.82 a | 21 ± 2.43 b |
| Td (°C) | 87.7 ± 0.83 a | 61.96 ± 0.55 b |
| ΔH (J/g) | 204.0 ± 2.21 a | 191.5 ± 1.02 b |
| Particle size (nm) | 123.91 ± 1.34 a | 100.87 ± 1.96 b |
| SH (µmol/g) | 1.58 ± 0.17 a | 3.06 ± 0.24 b |
| H0 | 164.20 ± 0.70 a | 147.30 ± 0.10 b |
| (ζ) potential (mV) | −28.73 ± 1.34 a | −37.83 ± 0.47 b |
Disclaimer/Publisher’s Note: The statements, opinions and data contained in all publications are solely those of the individual author(s) and contributor(s) and not of MDPI and/or the editor(s). MDPI and/or the editor(s) disclaim responsibility for any injury to people or property resulting from any ideas, methods, instructions or products referred to in the content. |
© 2022 by the authors. Licensee MDPI, Basel, Switzerland. This article is an open access article distributed under the terms and conditions of the Creative Commons Attribution (CC BY) license (https://creativecommons.org/licenses/by/4.0/).
Share and Cite
Kelany, M.; Yemiş, O. Improving the Functional Performance of Date Seed Protein Concentrate by High-Intensity Ultrasonic Treatment. Molecules 2023, 28, 209. https://doi.org/10.3390/molecules28010209
Kelany M, Yemiş O. Improving the Functional Performance of Date Seed Protein Concentrate by High-Intensity Ultrasonic Treatment. Molecules. 2023; 28(1):209. https://doi.org/10.3390/molecules28010209
Chicago/Turabian StyleKelany, Mohamed, and Oktay Yemiş. 2023. "Improving the Functional Performance of Date Seed Protein Concentrate by High-Intensity Ultrasonic Treatment" Molecules 28, no. 1: 209. https://doi.org/10.3390/molecules28010209
APA StyleKelany, M., & Yemiş, O. (2023). Improving the Functional Performance of Date Seed Protein Concentrate by High-Intensity Ultrasonic Treatment. Molecules, 28(1), 209. https://doi.org/10.3390/molecules28010209

