Effects of Peppermint Essential Oil on Learning and Memory Ability in APP/PS1 Transgenic Mice
Abstract
1. Introduction
2. Materials and Methods
2.1. Materials
2.1.1. Reagents and Equipment
2.1.2. Animals and Groups
2.2. Methods
2.2.1. Morris Water Maze
2.2.2. Shuttle Box Test
2.2.3. Sample Collection and Pretreatment
2.2.4. Parameters of GC-TOFMS
- Essential oil composition determination.
- 2.
- Serum samples.
2.2.5. Data Processing and Analysis
3. Results
3.1. Behavioural Experiments
3.1.1. Morris Water Maze
3.1.2. Shuttle Box Test
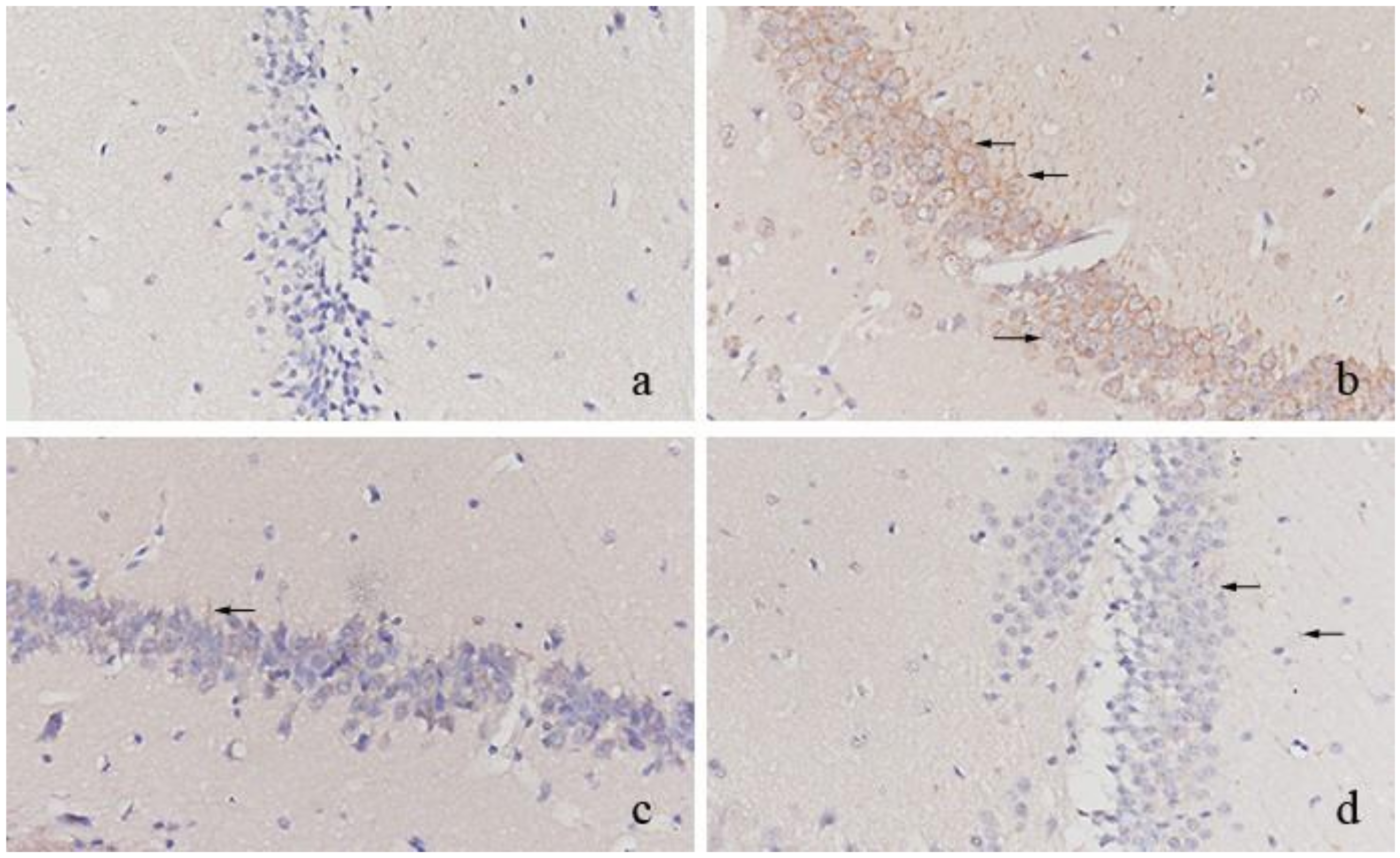
3.2. Pathological Features Observation and Detection Results
3.2.1. Pathological Features Observation
3.2.2. Oxidative Stress Index
3.3. Effects of Sniffing Peppermint Essential Oil on Serum Metabolites
3.3.1. PCA and OPLS-DA Analysis
3.3.2. Potential Biomarkers
3.4. Metabolic Pathway Analysis
3.5. Composition of Peppermint Essential Oil
4. Discussion
4.1. Behavioural Experiment
4.2. Observation and Detection of Pathological Characteristics of Brain Tissue in Mice
4.3. Serum Metabonomics of APP/PS1 Transgenic Mice
4.3.1. Amino Acid Metabolism
4.3.2. Arginine and Proline Metabolism
4.3.3. Cysteine and Methionine Metabolism
4.3.4. Inositol Phosphate Metabolism
4.4. Composition, Efficacy, and Safety of Peppermint Essential Oil
4.5. Prospect
5. Conclusions
Author Contributions
Funding
Institutional Review Board Statement
Conflicts of Interest
Sample Availability
References
- Albert, M.S.; DeKosky, S.T.; Dickson, D.; Dubois, B.; Feldman, H.H.; Fox, N.C.; Gamst, A.; Holtzman, D.M.; Jagust, W.J.; Petersen, R.C. The diagnosis of mild cognitive impairment due to Alzheimer’s disease: Recommendations from the National Institute on Aging-Alzheimer’s Association workgroups on diagnostic guidelines for Alzheimer’s disease. Alzheimer’s Dement. 2011, 7, 270–279. [Google Scholar] [CrossRef] [PubMed]
- Lane, C.A.; Hardy, J.; Schott, J.M. Alzheimer’s disease. Eur. J. Neurol. 2018, 25, 59–70. [Google Scholar] [CrossRef] [PubMed]
- Winblad, B. What will be the best treatment for Alzheimer disease? Neurobiol. Aging 2016, 39, S19. [Google Scholar] [CrossRef]
- Liang, Y. Status of Alzheimer’s disease diagnosis and treatment. Health Times 2021, 7. [Google Scholar] [CrossRef]
- Rios-Romenets, S.; Lopez, H.; Lopez, L.; Hincapie, L.; Saldarriaga, A.; Madrigal, L.; Piedrahita, F.; Navarro, A.; Acosta-Uribe, J.; Ramirez, L. The Colombian Alzheimer’s Prevention Initiative (API) Registry. Alzheimer’s Dement. 2017, 13, 602–605. [Google Scholar] [CrossRef]
- Xiao, J.; Tundis, R. Natural products for Alzheimer’s disease therapy: Basic and application. J. Pharm. Pharmacol. 2013, 65, 1679–1680. [Google Scholar] [CrossRef] [PubMed]
- Lye, S.; Aust, C.E.; Griffiths, L.R.; Fernandez, F. Exploring new avenues for modifying course of progression of Alzheimer’s disease: The rise of natural medicine. J. Neurol. Sci. 2021, 422, 117332. [Google Scholar] [CrossRef] [PubMed]
- Takahashi, A.; Watanabe, T.; Fujita, T.; Hasegawa, T.; Saito, M.; Suganuma, M. Green tea aroma fraction reduces β-amyloid peptide-induced toxicity in Caenorhabditis elegans transfected with human β-amyloid minigene. Biosci. Biotechnol. Biochem. 2014, 78, 1206–1211. [Google Scholar] [CrossRef]
- Kouzuki, M.; Kitao, S.; Kaju, T.; Urakami, K. Evaluation of the effect of aroma oil as a bath salt on cognitive function. Psychogeriatrics 2020, 20, 163–171. [Google Scholar] [CrossRef]
- Tundis, R.; Loizzo, M.R.; Bonesi, M.; Menichini, F.; Mastellone, V.; Colica, C.; Menichini, F. Comparative Study on the Antioxidant Capacity and Cholinesterase Inhibitory Activity of Citrus aurantifolia Swingle, C. aurantium L. and C. bergamia Risso and Poit. Peel Essential Oils. J. Food Sci. 2012, 77, H40–H46. [Google Scholar] [CrossRef]
- McKay, L.D.; Blumberg, J.B. A review of the bioactivity and potential health benefits of peppermint tea (Mentha piperita L.). Phytother. Res. 2006, 20, 619–633. [Google Scholar] [CrossRef] [PubMed]
- Yu, Y.Q.; Zhu, B.X. Research Advances in the Planting of Mentha haplocalyx and Extraction of Peppermint Essential Oil. J. Anhui Agric. Sci. 2012, 40, 7911–7913. [Google Scholar]
- Sun, F.; Shi, M.; Xu, S.S.; Liang, K.K.; Xiang, W.H. Study on the effect of mint compound essential oil sniffing on acetylcholinesterase in patients with mild cognitive impairment. China Pract. Med. 2019, 14, 19–21. [Google Scholar]
- Filiptsova, O.V.; Gazzavi-Rogozina, L.V.; Timoshyna, I.A.; Naboka, O.I.; Dyomina, Y.V.; Ochkur, A.V. The essential oil of rosemary and its effect on the human image and numerical short-term memory. Egypt. J. Basic Appl. Sci. 2017, 4, 107–111. [Google Scholar] [CrossRef][Green Version]
- Takahashi, R.H.; Nagao, T.; Gouras, G.K. Plaque formation and the intraneuronal accumulation of β-amyloid in Alzheimer’s disease. Pathol. Int. 2017, 67, 185–193. [Google Scholar] [CrossRef] [PubMed]
- Roher, A.E.; Kokjohn, T.A.; Clarke, S.G.; Sierks, M.R.; Maarouf, C.L.; Serrano, G.E.; Sabbagh, M.S.; Beach, T.G. APP/Aβ structural diversity and Alzheimer’s disease pathogenesis. Neurochem. Int. 2017, 110, 1–13. [Google Scholar] [CrossRef]
- Naderi, J.; Lopez, C.; Pandey, S. Chronically increased oxidative stress in fibroblasts from Alzheimer’s disease patients causes early senescence and renders resistance to apoptosis by oxidative stress. Mech. Ageing Dev. 2006, 127, 25–35. [Google Scholar] [CrossRef]
- Chen, C.Z.; Zhong, C.J. Oxidative stress in Alzheimer’s disease. Neurosci. Bull. 2014, 30, 271–281. [Google Scholar] [CrossRef]
- Jing, S.; Jiang, W.H.; Sun, W. Effects of Smoking on Serum SOD and GSH-PX Activities and MDA Contents in Rats with Gastric Ulcer. In Proceedings of the 2nd International Conference on Renewable Energy and Environmental Technology (REET), Dalian, China, 19–20 August 2014. [Google Scholar]
- Dusak, A.; Atasoy, N.; Demir, H.; Dogan, E.; Gürsoy, T.; Sarikaya, E. Investigation of levels of oxidative stress and antioxidant enzymes in colon cancers. J. Clin. Anal. Med. 2017, 8, 469–473. [Google Scholar]
- Xu, X.R.; Zhang, B.; Gu, X.Q. The Application of System Biology in the Study of Connitive Dysfunction. Curr. Biotechnol. 2020, 10, 124–129. [Google Scholar]
- Wang, Z.; Li, W.; Li, J.Y.; Li, L.; Li, N.J. Metabonomics study in the effect of Valeriana amurensis extractive for model mice with Alzheimer’s disease. China Med. Her. 2016, 13, 4–7. [Google Scholar]
- Abe, S.; Ezaki, O.; Suzuki, M. Medium-Chain Triglycerides in Combination with Leucine and Vitamin D Benefit Cognition in Frail Elderly Adults: A Randomized Controlled Trial. J. Nutr. Sci. Vitaminol. 2017, 63, 133–140. [Google Scholar] [CrossRef] [PubMed]
- Hong, C.W.; Kim, Y.M.; Pyo, H.; Lee, J.H.; Kim, S.; Lee, S.; Noh, J.M. Involvement of inducible nitric oxide synthase in radiation-induced vascular endothelial damage. J. Radiat. Res. 2013, 54, 1036–1042. [Google Scholar] [CrossRef] [PubMed]
- Raij, L. Nitric oxide in hypertension: Relationship with renal injury and left ventricular hypertrophy. Hypertension 1998, 31, 189–193. [Google Scholar] [CrossRef] [PubMed]
- Rodriguez-Gomez, I.; Moliz, J.N.; Quesada, A.; Montoro-Molina, S.; Vargas-Tendero, P.; Osuna, A.; Wangensteen, R.; Vargas, F. L-Arginine metabolism in cardiovascular and renal tissue from hyper- and hypothyroid rats. Exp. Biol. Med. 2016, 241, 550–556. [Google Scholar] [CrossRef]
- Peng, L.X.; Xie, T.; Shan, J.J. Metabolomic Study of Kidney Injury Induced by Antitubercular Drugs and Therapeutic Effect of Glutathione Based on Gas Chromatography-Mass Spectrometry. Chin. J. Anal. Chem. 2019, 48, 1160–1168. [Google Scholar] [CrossRef]
- Fan, G.; Feng, C.; Wu, F.; Ye, W.; Lin, F.; Wang, C.; Yan, J.; Zhu, G.; Xiao, Y.; Bi, Y. Methionine choline reverses lead-induced cognitive and N-methyl-D-aspartate receptor subunit 1 deficits. Toxicology 2010, 272, 23–31. [Google Scholar] [CrossRef]
- Feringa, F.M.; van der Kant, R. Cholesterol and Alzheimer’s Disease; From Risk Genes to Pathological Effects. Front. Aging Neurosci. 2021, 13, 690372. [Google Scholar] [CrossRef]
- Zhou, S.T.; Gu, Z.L.; Wu, F.Y.; Li, C.; Dai, R.; Gong, Y.J.; Liu, Y.J.; Chen, S.J. Effects of Inositol Supplement Level on Growth Performance, Fur Quality, Immune Organ Indices and Nutrient Availabilities of 2 to 4-Month-Old Growing Rex Rabbits. Chin. J. Anim. Nutr. 2015, 28, 780–787. [Google Scholar]
- Aoken, A.; Wu, T.; Bai, X.H.; Maitinuer, M. Comparative Study of Chemical Composition and Biological Activity of Essential oil from Four Species of Mentha L. Plants Growing in Xinjiang by GC-MS. Food Res. Dev. 2021, 42, 127–131. [Google Scholar]
- Nath, S.S.; Pandey, C.; Roy, D. A near fatal case of high dose peppermint oil ingestion—Lessons learnt. Indian J. Anaesth. 2012, 56, 582–584. [Google Scholar] [CrossRef] [PubMed]
- Kennedy, D.; Okello, E.; Chazot, P.; Howes, M.-J.; Ohiomokhare, S.; Jackson, P.; Haskell-Ramsay, C.; Khan, J.; Forster, J.; Wightman, E. Volatile Terpenes and Brain Function: Investigation of the Cognitive and Mood Effects of Mentha × Piperita L. Essential Oil with In Vitro Properties Relevant to Central Nervous System Function. Nutrients 2018, 10, 1029. [Google Scholar] [CrossRef] [PubMed]




| Groups | Escape Latency/s | ||||
|---|---|---|---|---|---|
| D1 | D2 | D3 | D4 | D5 | |
| Normal | 94.92 ± 9.41 | 75.18 ± 7.86 | 79.48 ± 3.23 | 55.61 ± 9.27 | 43.33 ± 3.39 |
| Model | 114.27 ± 2.70 | 104.82 ± 9.51 | 110.24 ± 4.27 * | 95.68 ± 5.02 * | 79.14 ± 5.88 * |
| Positive | 120.00 ± 0.00 | 82.12 ± 6.02 | 85.47 ± 3.65 # | 60.32 ± 8.02 # | 55.12 ± 2.56 |
| Peppermint | 87.99 ± 6.19 | 84.50 ± 4.02 | 85.24 ± 5.08 # | 64.10 ± 6.57 # | 57.70 ± 0.65 |
| Groups | Residence Time in Original Platform Quadrant/s | Number of Times Crossing the Original Platform |
|---|---|---|
| Normal | 32.87 ± 8.70 | 4.50 ± 0.45 |
| Model | 24.64 ± 6.58 * | 1.13 ± 0.13 * |
| Positive | 31.97 ± 5.13 # | 3.13 ± 0.36 # |
| Peppermint | 31.28 ± 2.45 # | 3.38 ± 0.60 # |
| Groups | Number of Active Escapes | Latency of Active Escape/s |
|---|---|---|
| Normal | 6.00 ± 1.93 | 2.62 ± 0.42 |
| Model | 2.75 ± 0.28 * | 3.40 ± 0.31 * |
| Positive | 5.13 ± 1.46 # | 2.77 ± 0.67 # |
| Peppermint | 4.75 ± 1.75 # | 2.80 ± 0.44 # |
| Groups | MDA (nmol/mgprot) | SOD (U/mgprot) | GSH-PX (U/mgprot) |
|---|---|---|---|
| Normal | 5.01 ± 1.44 | 146.07 ± 18.85 | 84.05 ± 14.10 |
| Model | 17.71 ± 1.36 * | 81.35 ± 10.49 * | 36.91 ± 5.85 * |
| Positive | 8.11 ± 1.60 # | 122.75 ± 15.98 # | 70.32 ± 6.69 # |
| Peppermint | 8.21 ± 2.20 # | 119.62 ± 12.78 # | 68.00 ± 6.84 # |
| Differential Metabolites | Normal Group vs. Model Group | Model Group vs. Positive Group | Model Group vs. Peppermint Essential Oil Group | ||||||
|---|---|---|---|---|---|---|---|---|---|
| VIP | p-value | Trend | VIP | p-Value | Trend | VIP | p-Value | Trend | |
| Glycine | 3.64 | 9.68 × 10−6 | ↓ | 2.61 | 1.52 × 10−3 | ↓ | 2.81 | 2.75 × 10−6 | ↓ |
| Palmitic acid | 1.98 | 3.28 × 10−2 | ↓ | 3.05 | 4.45 × 10−3 | ↓ | |||
| Stearic acid | 1.23 | 9.60 × 10−3 | ↓ | 1.11 | 1.60 × 10−2 | ↓ | |||
| L-Allothreonine | 1.06 | 5.94 × 10−3 | ↓ | ||||||
| 6-(2-Aminopropyl)benzofuran | 1.11 | 1.29 × 10−3 | ↓ | ||||||
| 2-hydroxybutanoic acid | 1.16 | 1.51 × 10−2 | ↓ | ||||||
| Threonine | 1.08 | 2.29 × 10−3 | ↓ | ||||||
| Proline | 5.24 | 1.06 × 10−2 | ↓ | 5.41 | 1.52 × 10−2 | ↑ | |||
| 2-Hydroxy-3-methylbutyric acid | 1.16 | 4.70 × 10−3 | ↓ | ||||||
| Succinic acid | 1.12 | 1.65 × 10−5 | ↓ | ||||||
| Alanine | 1.16 | 2.33 × 10−3 | ↓ | ||||||
| Cyclopentene-4-carboxylic acid, 1-(trimethylsilyl)oxy-,methyl ester | 1.25 | 1.41 × 10−2 | ↓ | ||||||
| Oxoproline | 6.89 | 5.84 × 10−4 | ↓ | ||||||
| Leucine | 5.06 | 8.63 × 10−3 | ↓ | 5.05 | 2.22 × 10−2 | ↑ | |||
| Isoleucine | 3.97 | 6.17 × 10−3 | ↓ | 3.92 | 2.84 × 10−2 | ↑ | |||
| N-(2-Acetamido)iminodiacetic acid | 1.20 | 5.50 × 10−5 | ↑ | 1.74 | 1.36 × 10−3 | ↑ | |||
| Sedoheptulose | 2.45 | 3.92 × 10−2 | ↓ | 4.69 | 1.80 × 10−2 | ↑ | |||
| Methionine | 3.41 | 2.74 × 10−2 | ↓ | 3.30 | 2.79 × 10−2 | ↑ | |||
| Phenylalanine | 1.53 | 1.84 × 10−2 | ↓ | ||||||
| Myo-inositol | 1.52 | 6.67 × 10−3 | ↓ | 2.47 | 2.17 × 10−4 | ↑ | |||
| Octanal | 1.84 | 3.05 × 10−2 | ↓ | ||||||
| Octanoic acid, di (tert-butyl)silyl ester | 1.10 | 1.49 × 10−5 | ↑ | 1.17 | 2.76 × 10−4 | ↑ | |||
| trans-4-Hydroxy-L-proline | 1.31 | 7.02 × 10−4 | ↓ | 1.40 | 9.23 × 10−4 | ↑ | |||
| O-Desmethylnaproxen | 2.07 | 5.55 × 10−5 | ↑ | 3.29 | 6.88 × 10−7 | ↑ | |||
| L-Aspartic acid | 1.30 | 4.04 × 10−5 | ↑ | 1.99 | 4.09 × 10−5 | ↑ | 3.03 | 5.30 × 10−10 | ↑ |
| L-Proline | 1.62 | 8.09 × 10−3 | ↓ | ||||||
| Phosphate | 10.49 | 1.64 × 10−3 | ↓ | 11.99 | 4.93 × 10−3 | ↑ | |||
| Methylmalonic acid | 3.17 | 2.11 × 10−2 | ↓ | 7.89 | 3.42 × 10−5 | ↑ | |||
| 2-Imino-6-mercapto-4,4-Dimethyl-1,2,3,4-tetrahydro-pyridine-3,5-dicarbonitrile | 1.26 | 1.98 × 10−2 | ↓ | ||||||
| Pentasiloxane-dodecamethyl | 1.05 | 4.96 × 10−3 | ↓ | 1.91 | 1.94 × 10−3 | ↓ | |||
| 4-Aminobutanoic acid | 1.35 | 5.45 × 10−5 | ↓ | ||||||
| Adonitol | 2.06 | 3.20 × 10−2 | ↓ | ||||||
| Maltose Monohydrate | 1.57 | 3.29 × 10−2 | ↓ | 2.03 | 4.02 × 10−3 | ↑ | |||
| Monolaurin derivative | 1.64 | 1.82 × 10−6 | ↑ | 1.70 | 1.87 × 10−2 | ↑ | 2.80 | 2.25 × 10−5 | ↑ |
| 2-Butene-1,4-diol | 2.41 | 4.29 × 10−3 | ↓ | ||||||
| 4-Acetoxy-N, N-Methylisopropyltryptamine | 1.23 | 6.56 × 10−3 | ↓ | 1.27 | 1.70 × 10−2 | ↑ | |||
| No. | Retention Time (min) | Component | Relative Content (%) |
|---|---|---|---|
| 1 | 5.556 | Isopentyl alcohol | 0.02 |
| 2 | 12.647 | α-Thujene | 0.03 |
| 3 | 13.083 | α-Pinene | 0.5 |
| 4 | 15.667 | Sabinene | 0.86 |
| 5 | 16.265 | Myrcene | 0.11 |
| 6 | 16.741 | 3-Octanol | 0.18 |
| 7 | 17.396 | α-Phellandrene | 0.02 |
| 8 | 18.065 | α-Terpinene | 0.22 |
| 9 | 18.577 | p-Cymene | 0.11 |
| 10 | 18.863 | Limonene | 1.48 |
| 11 | 19.095 | 1,8-Cineole | 4.77 |
| 12 | 19.237 | cis-β-Ocimene | 0.15 |
| 13 | 19.943 | trans-β-Ocimene | 0.04 |
| 14 | 20.776 | γ-Terpinene | 0.37 |
| 15 | 21.622 | cis-Sabinene hydrate | 0.46 |
| 16 | 22.612 | Terpinolene | 0.1 |
| 17 | 23.596 | Linalool | 0.19 |
| 18 | 23.749 | trans-Sabinene hydrate | 0.08 |
| 19 | 24.188 | 2-Methyl butyl isovalerate | 0.06 |
| 20 | 24.919 | 3-Octyl acetate | 0.04 |
| 21 | 25.383 | cis-para-Menth-2-en-1-ol | 0.03 |
| 22 | 27.081 | trans-Chrysanthemal | 0.07 |
| 23 | 27.709 | Menthone | 20.9 |
| 24 | 28.127 | Menthofuran | 2.05 |
| 25 | 28.272 | Isomenthone | 3.08 |
| 26 | 28.591 | Neomenthol | 3.27 |
| 27 | 29.289 | Menthol | 45.56 |
| 28 | 29.388 | Terpinen-4-ol | 0.82 |
| 29 | 29.929 | Isomenthol | 0.59 |
| 30 | 30.119 | Neoisomenthol | 0.15 |
| 31 | 30.369 | α-Terpineol | 0.24 |
| 32 | 33.344 | Pulegone | 1.31 |
| 33 | 33.763 | Carvone | 0.03 |
| 34 | 34.429 | Piperitone | 0.5 |
| 35 | 35.603 | Neomenthyl acetate | 0.28 |
| 36 | 36.813 | Menthyl acetate | 6.64 |
| 37 | 37.855 | Isomenthyl acetate | 0.2 |
| 38 | 42.504 | α-Copaene | 0.04 |
| 39 | 43.038 | α-Bourbonene | 0.33 |
| 40 | 43.389 | β-trans-Elemene | 0.07 |
| 41 | 45.367 | β-Caryophyllene | 1.79 |
| 42 | 46.004 | β-Gurjunene | 0.05 |
| 43 | 47.390 | trans-β-Farnesene | 0.22 |
| 44 | 47.641 | α-Humulene | 0.08 |
| 45 | 49.235 | Germacrene D | 1.17 |
| 46 | 50.124 | Bicyclogermacrene | 0.2 |
| 47 | 50.302 | γ-Amorphene | 0.04 |
| 48 | 51.475 | delta-Cadinene | 0.07 |
| 49 | 56.093 | Viridiflorol | 0.11 |
Publisher’s Note: MDPI stays neutral with regard to jurisdictional claims in published maps and institutional affiliations. |
© 2022 by the authors. Licensee MDPI, Basel, Switzerland. This article is an open access article distributed under the terms and conditions of the Creative Commons Attribution (CC BY) license (https://creativecommons.org/licenses/by/4.0/).
Share and Cite
Lv, X.; Feng, Y.; Ma, R.; Tang, Y.; Li, Y.; Cui, D.; Wu, Y. Effects of Peppermint Essential Oil on Learning and Memory Ability in APP/PS1 Transgenic Mice. Molecules 2022, 27, 2051. https://doi.org/10.3390/molecules27072051
Lv X, Feng Y, Ma R, Tang Y, Li Y, Cui D, Wu Y. Effects of Peppermint Essential Oil on Learning and Memory Ability in APP/PS1 Transgenic Mice. Molecules. 2022; 27(7):2051. https://doi.org/10.3390/molecules27072051
Chicago/Turabian StyleLv, Xiaofan, Yueyang Feng, Rui Ma, Yin Tang, Ye Li, Donghong Cui, and Yani Wu. 2022. "Effects of Peppermint Essential Oil on Learning and Memory Ability in APP/PS1 Transgenic Mice" Molecules 27, no. 7: 2051. https://doi.org/10.3390/molecules27072051
APA StyleLv, X., Feng, Y., Ma, R., Tang, Y., Li, Y., Cui, D., & Wu, Y. (2022). Effects of Peppermint Essential Oil on Learning and Memory Ability in APP/PS1 Transgenic Mice. Molecules, 27(7), 2051. https://doi.org/10.3390/molecules27072051
