Physicochemical Properties and Elimination of the Activity of Anti-Nutritional Serine Protease Inhibitors from Mulberry Leaves
Abstract
1. Introduction
2. Results
2.1. TI and CI Activities Were Present in Mulberry Leaves
2.2. Types and Activity Distribution of TIs from Mulberry Leaves
2.3. Types and Activity Distribution of CIs in Mulberry Leaves
2.4. No Elastase Inhibitor nor Subtilisin Inhibitor Activity Was Detected in Mulberry Leaves
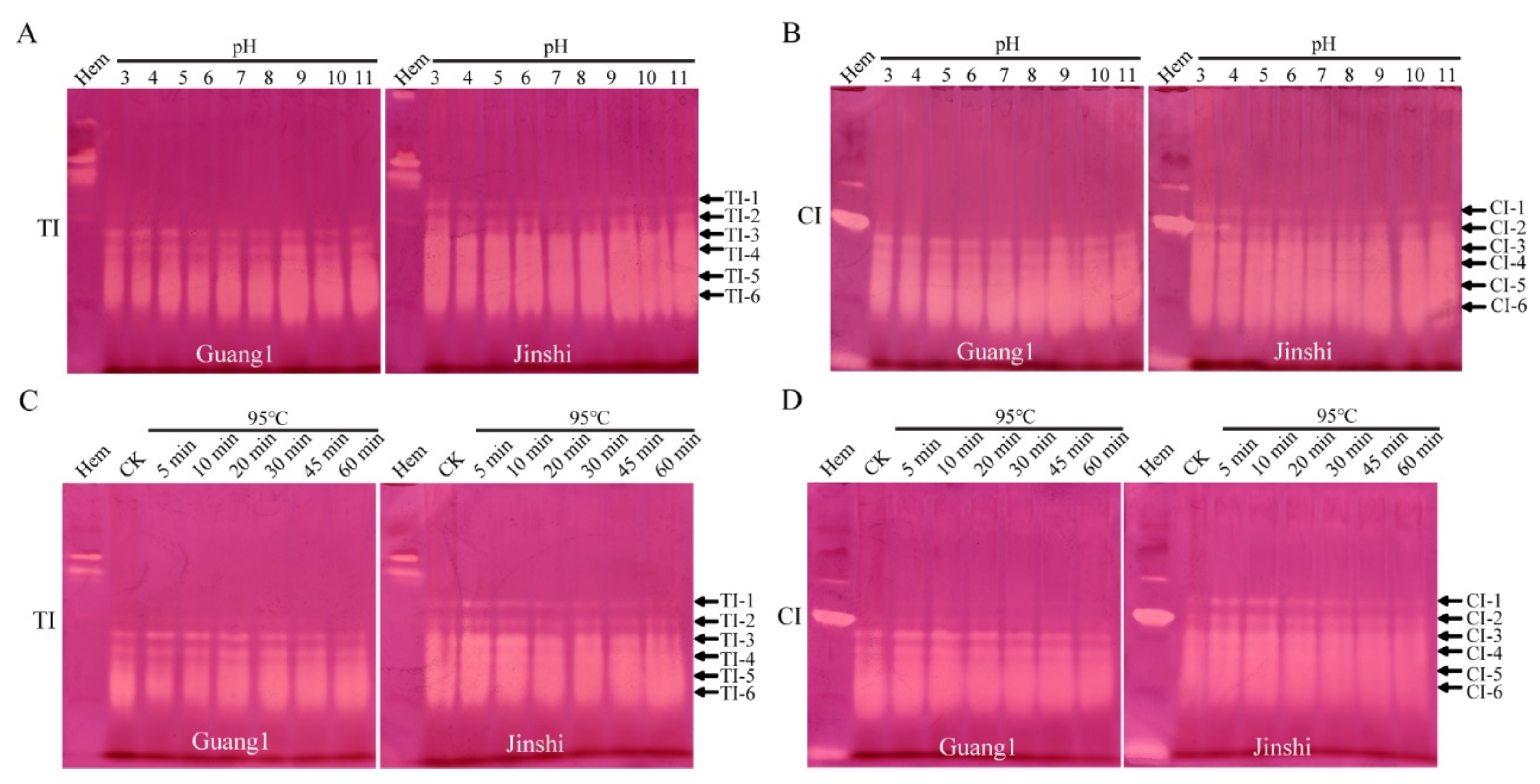
2.5. TIs and CIs from Mulberry Leaves Had Strong Acid–Base and High Thermal Stability
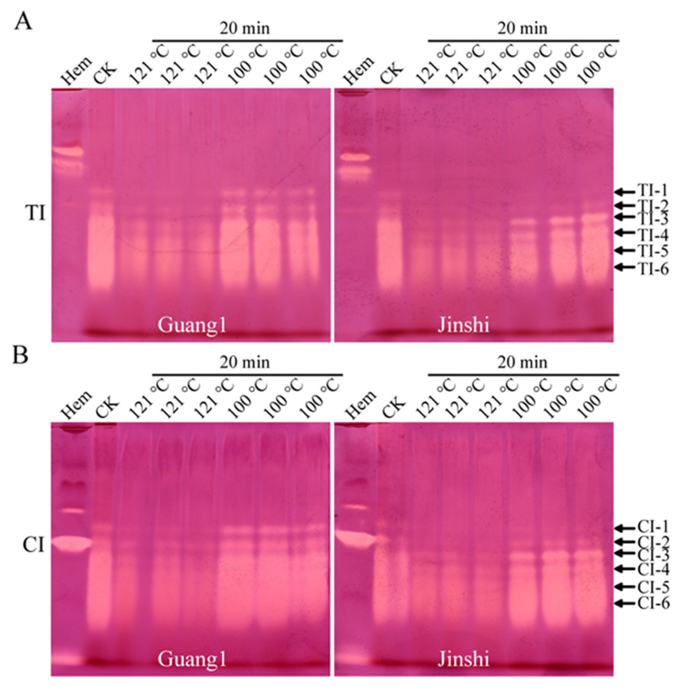
2.6. Combined Treatment of High Temperature and High Pressure Could Greatly Weaken TI and CI Activities in Mulberry Leaves
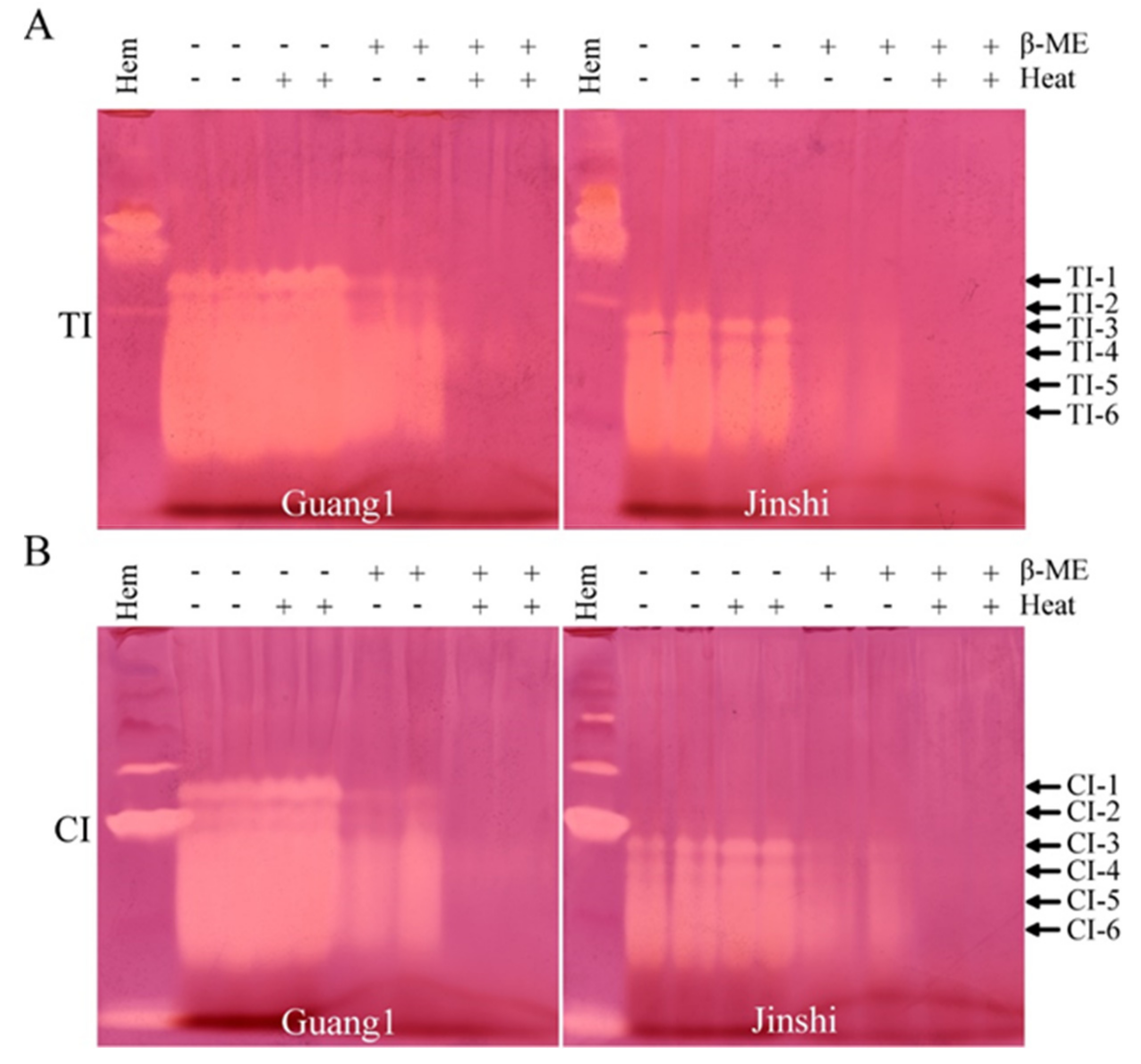
2.7. TI and CI Activities in Mulberry Leaves Could Be Eliminated by Treating with β-Mercaptoethanol
2.8. Glucose-Mediated Maillard Reaction Impaired Part of TI and CI Activities
3. Discussion
4. Materials and Methods
4.1. Mulberry-Leaf Collection and Main Reagents
4.2. Extraction and Quantification of Mulberry-Leaf Protein
4.3. Native PAGE
4.4. In-Gel Activity Staining of SPIs
4.5. Acid–Base and Thermal Stability of TIs and CIs from Mulberry Leaves
4.6. Elimination of Activities of TIs and CIs from Mulberry Leaves
5. Conclusions
Supplementary Materials
Author Contributions
Funding
Institutional Review Board Statement
Informed Consent Statement
Data Availability Statement
Conflicts of Interest
References
- Xia, M. Brief history of the classification and research of mulberry trees. China Sericult. 2015, 36, 7–13. [Google Scholar] [CrossRef]
- Phan, T.N.; Kim, O.; Ha, M.T.; Hwangbo, C.; Min, B.-S.; Lee, J.-H. Albanol B from Mulberries Exerts Anti-Cancer Effect through Mitochondria ROS Production in Lung Cancer Cells and Suppresses In Vivo Tumor Growth. Int. J. Mol. Sci. 2020, 21, 9502. [Google Scholar] [CrossRef] [PubMed]
- Thabti, I.; Albert, Q.; Philippot, S.; Dupire, F.; Westerhuis, B.; Fontanay, S.; Risler, A.; Kassab, T.; Elfalleh, W.; Aferchichi, A.; et al. Advances on antiviral activity of Morus spp. plant extracts: Human coronavirus and virus-related respiratory tract infections in the spotlight. Molecules 2020, 25, 1876. [Google Scholar] [CrossRef] [PubMed]
- Bae, U.-J.; Jung, E.-S.; Jung, S.-J.; Chae, S.-W.; Park, B.-H. Mulberry leaf extract displays antidiabetic activity in db/db mice via Akt and AMP-activated protein kinase phosphorylation. Food Nutr. Res. 2018, 62, 1473. [Google Scholar] [CrossRef]
- Sheng, Y.; Liu, J.; Zheng, S.; Liang, F.; Luo, Y.; Huang, K.; Xu, W.; He, X. Mulberry leaves ameliorate obesity through enhancing brown adipose tissue activity and modulating gut microbiota. Food Funct. 2019, 10, 4771–4781. [Google Scholar] [CrossRef]
- Yang, M.-Y.; Huang, C.-N.; Chan, K.-C.; Yang, Y.-S.; Peng, C.-H.; Wang, C.-J. Mulberry leaf polyphenols possess antiatherogenesis effect via inhibiting LDL oxidation and foam cell formation. J. Agric. Food Chem. 2011, 59, 1985–1995. [Google Scholar] [CrossRef]
- Chen, G.; Shui, S.; Chai, M.; Wang, D.; Su, Y.; Wu, H.; Sui, X.; Yin, Y. Effects of paper mulberry (Broussonetia papyrifera) leaf extract on growth performance and fecal microflora of weaned piglets. BioMed Res. Int. 2020, 2020, 6508494. [Google Scholar] [CrossRef]
- Sun, H.; Luo, Y.; Zhao, F.; Fan, Y.; Ma, J.; Jin, Y.; Hou, Q.; Ahmed, G.; Wang, H. The Effect of Replacing Wildrye Hay with Mulberry Leaves on the Growth Performance, Blood Metabolites, and Carcass Characteristics of Sheep. Animals 2020, 10, 2018. [Google Scholar] [CrossRef]
- Ding, Y.; Jiang, X.; Yao, X.; Zhang, H.; Song, Z.; He, X.; Cao, R. Effects of Feeding Fermented Mulberry Leaf Powder on Growth Performance, Slaughter Performance, and Meat Quality in Chicken Broilers. Animals 2021, 11, 3294. [Google Scholar] [CrossRef]
- Srivastava, S.; Kapoor, R.; Thathola, A.; Srivastava, R.P. Nutritional quality of leaves of some genotypes of mulberry (Morus alba). Int. J. Food Sci. Nutr. 2006, 57, 305–313. [Google Scholar] [CrossRef]
- Deepa, M.; Sureshkumar, T.; Satheeshkumar, P.K.; Priya, S. Purified mulberry leaf lectin (MLL) induces apoptosis and cell cycle arrest in human breast cancer and colon cancer cells. Chem. Biol. Interact. 2012, 200, 38–44. [Google Scholar] [CrossRef] [PubMed]
- Tang, T.; Bai, J.; Ao, Z.; Wei, Z.; Hu, Y.; Liu, S. Effects of Dietary Paper Mulberry (Broussonetia papyrifera) on Growth Performance and Muscle Quality of Grass Carp (Ctenopharyngodon idella). Animals 2021, 11, 1655. [Google Scholar] [CrossRef] [PubMed]
- Wang, C.; Yang, F.; Wang, Q.; Zhou, X.; Xie, M.; Kang, P.; Wang, Y.; Peng, X. Nutritive value of mulberry leaf meal and its effect on the performance of 35–70-day-old geese. J. Poult. Sci. 2017, 54, 41–46. [Google Scholar] [CrossRef] [PubMed][Green Version]
- Arnaiz, A.; Talavera-Mateo, L.; Gonzalez-Melendi, P.; Martinez, M.; Diaz, I.; Santamaria, M.E. Arabidopsis Kunitz trypsin inhibitors in defense against spider mites. Front. Plant Sci. 2018, 9, 986. [Google Scholar] [CrossRef] [PubMed]
- Li, J.; Brader, G.; Palva, E.T. Kunitz trypsin inhibitor: An antagonist of cell death triggered by phytopathogens and fumonisin B1 in Arabidopsis. Mol. Plant 2008, 1, 482–495. [Google Scholar] [CrossRef]
- Hao, H. Expression Analysis of Mulberry Kunitz Genes and Stability of MnKPI-9 Silkworm Digestive Tract; Southwest University: Chongqing, China, 2018. [Google Scholar]
- He, N.; Zhang, C.; Qi, X.; Zhao, S.; Tao, Y.; Yang, G.; Lee, T.-H.; Wang, X.; Cai, Q.; Li, D.; et al. Draft genome sequence of the mulberry tree Morus notabilis. Nat. Commun. 2013, 4, 2445. [Google Scholar] [CrossRef]
- Wang, Y.; Liang, J.; Ding, G.; Li, W.; Yang, G.; He, N. Identification and expression pattern analysis of the serine protease inhibitor genes in Morus notabilis. Sci. Sericult. 2014, 40, 582–591. [Google Scholar] [CrossRef]
- Wang, D. Identification and Functional Characterization of Proteins Responsible for Food Digestion in Bombyx Mori Gut Digestive Juice. Ph.D. Thesis, Southwest University, El Paso, TX, USA, 2017. [Google Scholar]
- Li, Y.; Zhao, P.; Liu, S.; Dong, Z.; Chen, J.; Xiang, Z.; Xia, Q. A novel protease inhibitor in Bombyx mori is involved in defense against Beauveria bassiana. Insect Biochem. Mol. Biol. 2012, 42, 766–775. [Google Scholar] [CrossRef]
- Mulimani, V.H.; Vadiraj, S. Effects of heat treatment and germination on trypsin and chymotrypsin inhibitory activities in sorghum (Sorghum bicolor (L.) Moench) seeds. Plant Foods Hum. Nutr. 1993, 44, 221–226. [Google Scholar] [CrossRef]
- Huang, G. Vitro-Stability of Soybean Trypsin Inhibitor and Its anti-Obesity Effect in High Fat Diet-Induced Obesity Mice; Ocean University of China: Qingdao, China, 2012. [Google Scholar]
- Yang, S.J.; Park, N.-Y.; Lim, Y. Anti-adipogenic effect of mulberry leaf ethanol extract in 3T3-L1 adipocytes. Nutr. Res. Pract. 2014, 8, 613–617. [Google Scholar] [CrossRef]
- Xuan, Y.; Ma, B.; Li, D.; Tian, Y.; Zeng, Q.; He, N. Chromosome restructuring and number change during the evolution of Morus notabilis and Morus alba. Hortic. Res. 2022, 9, uhab030. [Google Scholar] [CrossRef] [PubMed]
- Prasad, E.R.; Merzendorfer, H.; Madhurarekha, C.; Dutta-Gupta, A.; Padmasree, K. Bowman-Birk proteinase inhibitor from Cajanus cajan seeds: Purification, characterization, and insecticidal properties. J. Agric. Food Chem. 2010, 58, 2838–2847. [Google Scholar] [CrossRef] [PubMed]
- Dantzger, M.; Vasconcelos, I.M.; Scorsato, V.; Aparicio, R.; Marangoni, S.; Macedo, M.L.R. Bowman-Birk proteinase inhibitor from Clitoria fairchildiana seeds: Isolation, biochemical properties and insecticidal potential. Phytochemistry 2015, 118, 224–235. [Google Scholar] [CrossRef] [PubMed]
- Mohanraj, S.S.; Tetali, S.D.; Mallikarjuna, N.; Dutta-Gupta, A.; Padmasree, K. Biochemical properties of a bacterially-expressed Bowman-Birk inhibitor from Rhynchosia sublobata (Schumach.) Meikle seeds and its activity against gut proteases of Achaea janata. Phytochemistry 2018, 151, 78–90. [Google Scholar] [CrossRef] [PubMed]
- Siddhuraju, P.; Becker, K. Effect of various domestic processing methods on antinutrients and in vitro protein and starch digestibility of two indigenous varieties of Indian tribal pulse, Mucuna pruriens Var. utilis. J. Agric. Food Chem. 2001, 49, 3058–3067. [Google Scholar] [CrossRef]
- Li, Y.; Zhao, P.; Liu, H.; Guo, X.; He, H.; Zhu, R.; Xiang, Z.; Xia, Q. TIL-type protease inhibitors may be used as targeted resistance factors to enhance silkworm defenses against invasive fungi. Insect Biochem. Mol. Biol. 2015, 57, 11–19. [Google Scholar] [CrossRef]
- Prasad, E.R.; Dutta-Gupta, A.; Padmasree, K. Purification and characterization of a Bowman-Birk proteinase inhibitor from the seeds of black gram (Vigna mungo). Phytochemistry 2010, 71, 363–372. [Google Scholar] [CrossRef]
- Arques, M.C.; Pastoriza, S.; Delgado-Andrade, C.; Clemente, A.; Rufián-Henares, J.A. Relationship between glycation and polyphenol content and the bioactivity of selected commercial soy milks. J. Agric. Food Chem. 2016, 64, 1823–1830. [Google Scholar] [CrossRef]
- He, H. Study on Heat-Induced Inactiviation of Bowman-Birk Trypsin Inhibitor in Soymilk. Master’s Thesis, Jiangnan University, Wuxi, China, 2017. [Google Scholar]
- Bijina, B.; Chellappan, S.; Krishna, J.G.; Basheer, S.M.; Elyas, K.K.; Bahkali, A.H.; Chandrasekaran, M. Protease inhibitor from Moringa oleifera with potential for use as therapeutic drug and as seafood preservative. Saudi J. Biol. Sci. 2011, 18, 273–281. [Google Scholar] [CrossRef]
- Satheesh, L.S.; Murugan, K. Antimicrobial activity of protease inhibitor from leaves of Coccinia grandis (L.) Voigt. Indian J Exp. Biol. 2011, 49, 366–374. [Google Scholar]
- Kruger, N.J. The Bradford method for protein quantitation. In Basic Protein and Peptide Protocols; Humana Press: Totowa, NJ, USA, 1994. [Google Scholar] [CrossRef]






| No. | Cultivars | Species | No. | Cultivars | Species |
|---|---|---|---|---|---|
| 1 | Nong14 | Morus multicaulis | 18 | Dongguangdabai | Morus alba |
| 2 | Nong12 | M. multicaulis | 19 | Zhenzhubai | M. alba |
| 3 | Sichuantiansang | M. multicaulis | 20 | Guoshensang | M. alba |
| 4 | Luyou3 | M. multicaulis | 21 | Xiaoguansang | M. alba |
| 5 | Luyou7 | M. multicaulis | 22 | Shaansang403 | M. alba |
| 6 | Heiyumodou | M. multicaulis | 23 | Qingyeshufan | M. alba |
| 7 | Yu711 | M. multicaulis | 24 | Xiaohongpi | M. alba |
| 8 | Dashi | Morus atropurpurea | 25 | Huaiyin4 | M. alba |
| 9 | Hongguo2 | M. atropurpurea | 26 | Shaosang | M. alba |
| 10 | Lunjiao408 | M. atropurpurea | 27 | Tuosang | M. alba |
| 11 | Beiqu1 | M. atropurpurea | 28 | Ukrainian1 | M. alba |
| 12 | Shalun | M. atropurpurea | 29 | Xinjiangbaisang | M. alba |
| 13 | Guang1 | M. atropurpurea | 30 | Jinshi | Morus mizuho |
| 14 | Guangdongzajiao | M. atropurpurea | 31 | Hulusang | Morus cathayana |
| 15 | Guiyou12 | M. atropurpurea | 32 | Yixianheisang | Morus nigra |
| 16 | Guiyou62 | M. atropurpurea | 33 | Taiwanchangguosang | Morus leavigata |
| 17 | Shi2 | M. atropurpurea | 34 | Kenmochi | Morus bombycis |
Publisher’s Note: MDPI stays neutral with regard to jurisdictional claims in published maps and institutional affiliations. |
© 2022 by the authors. Licensee MDPI, Basel, Switzerland. This article is an open access article distributed under the terms and conditions of the Creative Commons Attribution (CC BY) license (https://creativecommons.org/licenses/by/4.0/).
Share and Cite
Luo, Z.; Yang, J.; Zhang, J.; Meng, G.; Lu, Q.; Yang, X.; Zhao, P.; Li, Y. Physicochemical Properties and Elimination of the Activity of Anti-Nutritional Serine Protease Inhibitors from Mulberry Leaves. Molecules 2022, 27, 1820. https://doi.org/10.3390/molecules27061820
Luo Z, Yang J, Zhang J, Meng G, Lu Q, Yang X, Zhao P, Li Y. Physicochemical Properties and Elimination of the Activity of Anti-Nutritional Serine Protease Inhibitors from Mulberry Leaves. Molecules. 2022; 27(6):1820. https://doi.org/10.3390/molecules27061820
Chicago/Turabian StyleLuo, Zhuxing, Jinhong Yang, Jie Zhang, Gang Meng, Qingjun Lu, Xi Yang, Ping Zhao, and Youshan Li. 2022. "Physicochemical Properties and Elimination of the Activity of Anti-Nutritional Serine Protease Inhibitors from Mulberry Leaves" Molecules 27, no. 6: 1820. https://doi.org/10.3390/molecules27061820
APA StyleLuo, Z., Yang, J., Zhang, J., Meng, G., Lu, Q., Yang, X., Zhao, P., & Li, Y. (2022). Physicochemical Properties and Elimination of the Activity of Anti-Nutritional Serine Protease Inhibitors from Mulberry Leaves. Molecules, 27(6), 1820. https://doi.org/10.3390/molecules27061820

