Antibacterial Effect of Lemongrass (Cymbopogon citratus) against the Aetiological Agents of Pitted Keratolyis
Abstract
1. Introduction
2. Results
2.1. Antibacterial Effects of EOs—Drop Plate Method
2.2. Minimal Inhibitory and Minimal Bactericidal Concentration Determinations (MIC and MBC)
2.3. Spore-Formation Inhibition Test
2.4. HS-SPME/GC-MS Analysis
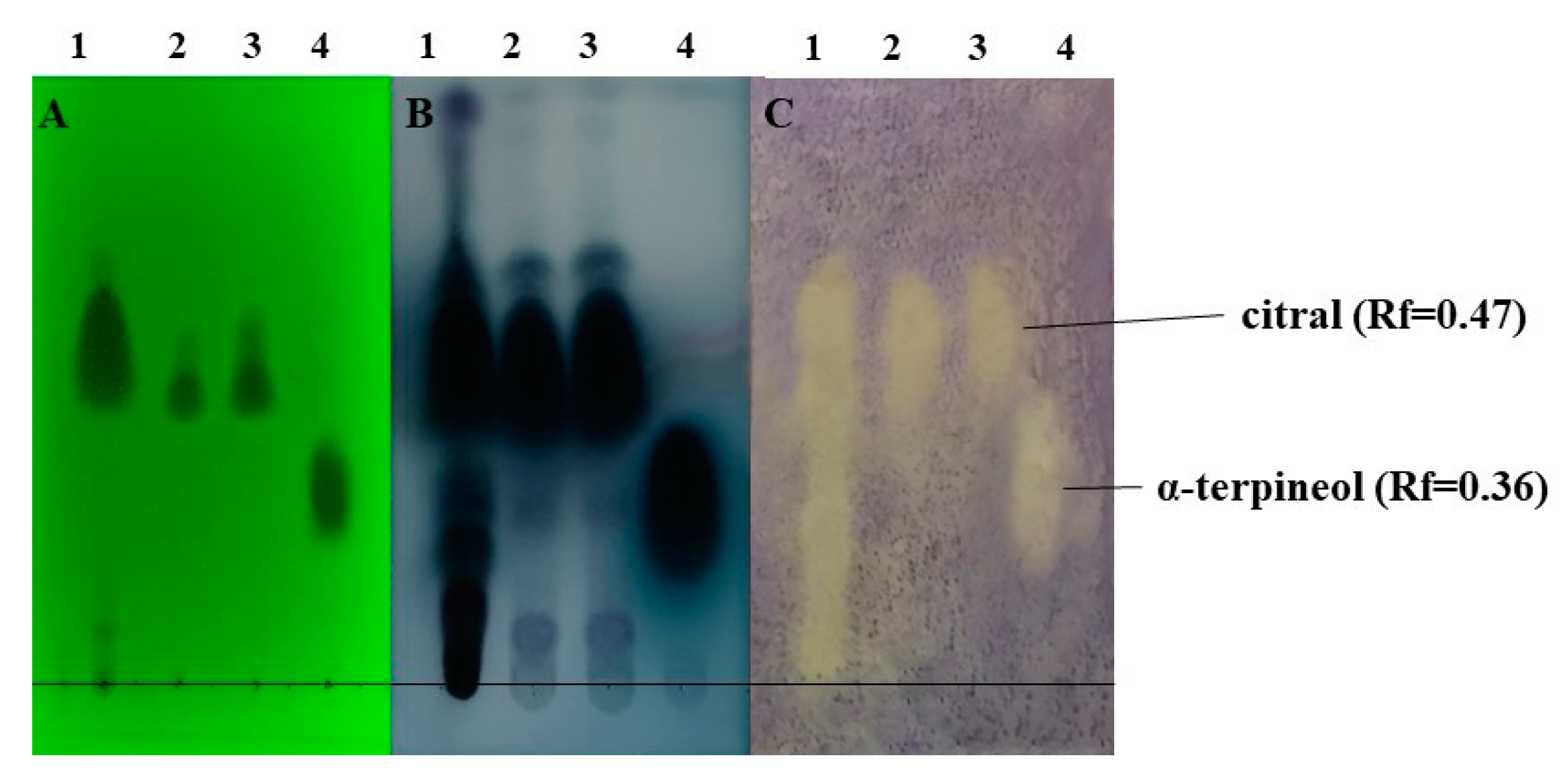
2.5. Analysis of Antibacterial Compounds of Lemongrass EO Using Thin-Layer Chromatography Combined with Direct Bioautography
2.6. Component Identification with Headspace Solid-Phase Microextraction and Gas Cromatography–Mass Spectrometry (HS-SPME/GC-MS)
2.7. Antibacterial Effects of Citral and α-Terpineol: Drop Plate Method
2.8. MIC and MBC of Citral and α-Terpineol
2.9. Confirmation the Antibacterial Features of Citral and α-Terpineol with Thin-Layer Chromatography Combined with Direct Bioautography (TLC-DB)
3. Discussion
4. Materials and Methods
4.1. Bacterium Isolates and Growth Conditions
4.2. Essential Oils
4.3. Antibacterial Testing—Drop Plate Method
4.4. Minimum Inhibitory Concentration (MIC) and Minimum Bactericidal Concentration (MBC)
4.5. Spore-Formation Inhibition Test
4.6. Headspace Solid-Phase Microextraction (SPME) Conditions
4.7. Gas Chromatography–Mass Spectrometry (GC-MS) Analysis
4.8. Thin-Layer Chromatography Combined with Direct Bioautography (TLC-DB)
5. Conclusions
Author Contributions
Funding
Institutional Review Board Statement
Informed Consent Statement
Data Availability Statement
Conflicts of Interest
Sample Availability
References
- Singh, G.; Naik, C.L. Pitted keratolysis. Indian J. Dermatol. Venereol. Leprol 2005, 71, 213–215. [Google Scholar] [CrossRef]
- Kaptanoglu, A.F.; Yuksel, O.; Ozyurt, S. Plantar pitted keratolysis: A study from non-risk groups. Dermatol. Rep. 2012, 4, e4. [Google Scholar] [CrossRef]
- Stollsteiner, S.; Chung, S.; Laganier, J.; Tan, A.; Brun, C.; Ducasse, V.; Teixeira, A. A story of hands and smelly feet. Eur. Geriatr. Med. 2016, 7, 100–101. [Google Scholar] [CrossRef]
- Dhitavat, J.; Bussaratid, V.; Choovichian, V.; Tunyong, W.; Chanket, P. Pitted keratolysis during flooding in Thailand. Int. J. Infect. Dis. 2012, 16, e217. [Google Scholar] [CrossRef]
- Leung, A.K.C.; Barankin, B. Pitted Keratolysis. J. Pediatr. 2015, 167, 1165. [Google Scholar] [CrossRef] [PubMed][Green Version]
- Nordstrom, K.M.; McGinley, K.J.; Cappiello, L.; Zechman, J.M.; Leyden, J.J. Pitted keratolysis: The role of Micrococcus sedentarius. Arch. Dermatol. 1987, 123, 1320–1325. [Google Scholar] [CrossRef] [PubMed]
- Woodgyer, A.J.; Baxter, M.; Rush-Munro, F.M.; Brown, J.; Kaplan, W. Isolation of Dermatophilus congolensis from two New Zealand cases of pitted keratolysis. Aust. J. Dermatol. 1985, 26, 29–35. [Google Scholar] [CrossRef]
- Schneider, G.; Schweitzer, B.; Kovács, T. Bacillus thuringiensis: A causative agent of pitted keratolysis. Aust. J. Dermatol. 2021, 62, e609–e611. [Google Scholar] [CrossRef] [PubMed]
- Zaias, N. Pitted and ringed keratolysis. J. Am. Acad. Dermatol. 1982, 7, 787–791. [Google Scholar] [CrossRef]
- Vasireddy, L.; Bingle, L.E.H.; Davies, M.S. Antimicrobial activity of essential oils against multidrug-resistant clinical isolates of the Burkholderia cepacia complex. PLoS ONE 2018, 13, e0201835. [Google Scholar] [CrossRef]
- Bakkali, F.; Averbeck, S.; Averbeck, D.; Idaomar, M. Biological effects of essential oils—A review. Food Chem. Toxicol. 2008, 46, 446–475. [Google Scholar] [CrossRef] [PubMed]
- Naik, M.I.; Fomda, B.A.; Jaykumar, E.; Bhat, J.A. Antibacterial activity of lemongrass (Cymbopogon citratus) oil against some selected pathogenic bacterias. Asian Pac. J. Trop. Med. 2010, 3, 535–538. [Google Scholar] [CrossRef]
- Edward, M.J. American Herbal Products Association’s Botanical Safety Handbook; McGuffin, M., Hobbs, C., Upton, R., Goldberg, A., Eds.; CRC Press: Boca Raton, FL, USA, 1997. [Google Scholar]
- Shigeharu, I.; Toshio, T.; Hideyo, Y. Antibacterial activity of essential oils and their major constituents against respiratory tract pathogens by gaseous contact. J. Antimicrob. Chemother. 2001, 47, 565–573. [Google Scholar]
- Pereira, R.S.; Sumita, T.C.; Furlan, M.R.; Jorge, A.O.C.; Ueno, M. Antibacterial activity of essential oils on microorganisms isolated from urinary tract infections. Rev. Saude Publ. 2004, 38, 326–328. [Google Scholar] [CrossRef]
- Schaneberg, B.T.; Khan, I.A. Comparison of extraction methods for marker compounds in the essential oil of lemongrass by GC. J. Agric. Food Chem. 2002, 50, 1345–1349. [Google Scholar] [CrossRef]
- Pino, J.A.; Fon-Fay, F.M.; Pérez, J.C.; Falco, A.S.; Rodríguez, J.L.; Hernández, I.; Rodeiro, I.; Fernández, M.D. Chemical composition and biological activities of essential oil from lemongrass (Cympopogon citratus [D.C.] Stapf.) leaves grown in Amazonian Ecuador. Rev. CENIC Cienc. Quím. 2018, 49, 1–8. [Google Scholar]
- Lawrence, H.A.; Palombo, E.A. Activity of essential oils against Bacillus subtilis spores. J. Microbiol. Biotechnol. 2009, 19, 1590–1595. [Google Scholar] [CrossRef]
- Garneau, J.R.; Valiquette, L.; Fortier, L.C. Prevention of Clostridium difficile spore formation by sub-inhibitory concentrations of tigecycline and piperacillin/tazobactam. BMC Infect. Dis. 2014, 14, 29. [Google Scholar] [CrossRef] [PubMed]
- Shukr, M.H.; Metwally, G.F. Evaluation of topical gel bases formulated with various essential oils for antibacterial activity against methicillin-resistant Staphylococcus aureus. Trop. J. Pharm. Res 2013, 12, 877–884. [Google Scholar] [CrossRef]
- Moore-Neibel, K.; Gerber, C.; Patel, J.; Friedman, M.; Ravishankar, S. Antimicrobial activity of lemongrass oil against Salmonella enterica on organic leafy greens. J. Appl. Microbiol. 2011, 112, 485–492. [Google Scholar] [CrossRef]
- Berthold Pluta, A.; Stasiak Różańska, L.; Pluta, A.; Garbowska, M. Antibacterial activities of plant-derived compounds and essential oils against Cronobacter strains. Eur. Food Res. Technol. 2019, 245, 1137–1147. [Google Scholar] [CrossRef]
- Oulkheir, S.; Aghrouch, M.; El Mourabit, F.; Dalha, F.; Graich, H.; Amouch, F.; Ouzaid, K.; Moukale, A.; Chadli, S. Antibacterial activity of essential oils extracts from cinnamon, thyme, clove and geranium against a gram negative and gram positive pathogenic bacteria. J. Dis. Med. Plants 2017, 3, 1–5. [Google Scholar]
- Cui, H.; Zhang, X.; Zhou, H.; Zhao, C.; Lin, L. Antimicrobial activity and mechanisms of Salvia sclarea essential oil. Bot. Stud. 2015, 56, 16. [Google Scholar] [CrossRef] [PubMed]
- Shahbazi, Y. Chemical composition and in vitro antibacterial activity of Mentha spicata essential oil against common food-borne pathogenic bacteria. J. Pathog. 2015, 2015, 916305. [Google Scholar] [CrossRef]
- Al Zuhairi, J.J.M.J.; Kashi, F.J.; Rahimi-Moghaddam, A.; Yazdani, M. Antioxidant, cytotoxic and antibacterial activity of Rosmarinus officinalis L. essential oil against bacteria isolated from urinary tract infection. Eur. J. Integr. Med. 2020, 38, 101192. [Google Scholar] [CrossRef]
- Timung, R.; Barik, C.R.; Purohit, S.; Goud, V.V. Composition and anti-bacterial activity analysis of citronella oil obtained by hydrodistillation: Process optimization study. Ind. Crops. Prod. 2016, 94, 178–188. [Google Scholar] [CrossRef]
- Thosar, N.; Basak, S.; Bahadure, R.N.; Rajurkar, M. Antimicrobial efficacy of five essential oils against oral pathogens: An in vitro study. Eur. J. Dent. 2013, 7, 71–77. [Google Scholar] [CrossRef]
- Soetjipto, H. Antibacterial properties of essential oil in some indonesian herbs. In Potential of Essential Oils; El-Shemyn, H.A., Ed.; IntechOpen: Salatiga, Indonesia, 2018; Volume 3, pp. 41–58. [Google Scholar]
- Damjanović-Vratnica, B.; Đakov, T.; Šuković, D.; Damjanović, J. Antimicrobial effect of essential oil isolated from Eucalyptus globulus Labill. from Montenegro. Czech J. Food Sci. 2011, 29, 277–284. [Google Scholar] [CrossRef]
- Messaoudi, M.; Benreguieg, M.; Merah, M.; Messaoudi, Z.A. Antibacterial effects of Thymus algeriensis extracts on some pathogenic bacteria. Acta Sci. Biol. Sci. 2019, 41, e48548. [Google Scholar] [CrossRef]
- Sienkiewicz, M.; Lysakowska, M.; Denys, P.; Kowalczyk, E. The antimicrobial activity of thyme essential oil against multidrug resistant clinical bacterial strains. Microb. Drug Resist 2012, 18, 137–148. [Google Scholar] [CrossRef]
- Kačániová, M.; Galovičová, L.; Valková, V.; Tvrdá, E.; Terentjeva, M.; Žiarovská, J.; Kunová, S.; Savitskaya, T.; Grinshpan, D.; Štefániková, J.; et al. Antimicrobial and antioxidant activities of Cinnamomum cassia essential oil and its application in food preservation. Open Chem. 2021, 19, 214–227. [Google Scholar] [CrossRef]
- Gende, L.B.; Floris, I.; Fritz, R.; Eguaras, M.J. Antimicrobial activity of cinnamon (Cinnamomum zeylanicum) essential oil and its main components against Paenibacillus larvae from Argentine. Bull. Insectol. 2008, 61, 1–4. [Google Scholar]
- Aiemsaard, J.; Aiumlamai, S.; Aromdee, C.; Taweechaisupapong, S.; Khunkitti, W. The effect of lemongrass oil and its major components on clinical isolate mastitis pathogens and their mechanisms of action on Staphylococcus aureus DMST 4745. Res. Vet. Sci. 2011, 91, e31–e37. [Google Scholar] [CrossRef]
- Salem, A.M.; Mohamed, E.F.; Selim, E.M. Antimicrobial effect of some natural oils on Bacillus cereus in minced beef. BVMJ 2018, 34, 149–156. [Google Scholar] [CrossRef]
- Calnan, C.D. Cinnamon dermatitis from an ointment. Contact Derm. 1976, 2, 167–170. [Google Scholar] [CrossRef]
- Lee, J.E.; Seo, S.M.; Huh, M.J.; Lee, S.C.; Park, I.K. Reactive oxygen species mediated-antifungal activity of cinnamon bark (Cinnamomum verum) and lemongrass (Cymbopogon citratus) essential oils and their constituents against two phytopathogenic fungi. Pestic. Biochem. Physiol. 2020, 168, 104644. [Google Scholar] [CrossRef] [PubMed]
- Hanaa, A.R.M.; Sallam, Y.I.; El-Leithy, A.S.; Aly, S.E. Lemongrass (Cymbopogon citratus) essential oil as affected by drying methods. Ann. Agric. Sci. 2012, 57, 113–116. [Google Scholar] [CrossRef]
- Al Naqqash, Z.A.; Al-Bazaz, H.K.; Salh, F.M.; Ibraheem, S.Q. GC-Mass and phytochemical investigation of Cymbopogon citratus. Res. J. Pharm. Technol. 2019, 12, 67–73. [Google Scholar] [CrossRef]
- Tisserand, R.; Young, R. Essential Oil Safety: A Guide for Health Care Proffessionals, 2nd ed.; Churchill Livingstone Elsevier: Edinburgh, UK, 2014. [Google Scholar]
- Dhifi, W.; Bellili, S.; Jazi, S.; Bahloul, N.; Mnif, W. Essential oils’ chemical characterization and investigation of some biological activities: A critical review. MDPI Med. 2016, 3, 25. [Google Scholar] [CrossRef] [PubMed]
- Barra, A. Factors affecting chemical variability of essential oils: A review of recent developments. Nat. Prod. Commun. 2009, 4, 1147–1154. [Google Scholar] [CrossRef] [PubMed]
- Falcao, M.A.; Fianco, A.L.B.; Lucas, A.M.L.; Pereira, M.A.A.; Torres, F.C.; Vargas, R.M.F.; Cassel, E. Determination of antibacterial activity of vacuum distillation fractions of lemongrass essential oil. Phytochem. Rev. 2012, 11, 405–412. [Google Scholar] [CrossRef]
- An, M.; Haig, T.; Hatfield, P. On-site field sampling and analysis of fragrance from living Lavender (Lavandula angustifolia L.) flowers by solid-phase microextraction coupled to gas chromatography and ion-trap mass spectrometry. J. Chromatogr. A 2001, 917, 245–250. [Google Scholar] [CrossRef]
- CLSI. Methods for Determining Bactericidal Activity of Antimicrobial Agents: Approved Guideline; CLSI document M26-A; Clinical and Laboratory Standards Institute: Wayne, PA, USA, 1999. [Google Scholar]
- Kovács, J.K.; Felső, P.; Horváth, G.; Schmidt, J.; Dorn, Á.; Ábrahám, H.; Cox, A.; Márk, L.; Emődy, L.; Kovács, T.; et al. Stress response and virulence potential modulating effect of peppermint essential oil in Campylobacter jejuni. Biomed. Res. Int. 2018, 2019, 2971741. [Google Scholar]
- Daintith, J. Dictionary of Chemistry, 6th ed.; Oxford University Press: Oxford, UK, 2008. [Google Scholar]
- Idroes, R.; Japnur, A.F.; Suhendra, R.; Rusyana, A. Kovats Retention Index analysis of flavor and fragrance compound using Biplot Statistical method in gas chromatography systems. IOP Conf. Ser. Mater. Sci. Eng. 2019, 523, 012007. [Google Scholar] [CrossRef]






| B. thuringiensis | D. congolensis | K. sedentarius | ||||
|---|---|---|---|---|---|---|
| MIC | MBC | MIC | MBC | MIC | MBC | |
| Rosemary | 0.5 ± 0.02 | 0.5 ± 0.02 | 0.6 ± 0.07 | 0.6 ± 0.02 | 0.2 ± 0 | 0.5 ± 0.03 |
| Lemongrass | 0.15 ± 0 | 0.2 ± 0 | 0.15 ± 0 | 0.15 ± 0.02 | 0.1 ± 0 | 0.15 ± 0 |
| Clove | 0.3 ± 0.04 | 0.4 ± 0 | 0.2 ± 0 | 0.2 ± 0 | 0.1 ± 0 | 0.25 ± 0.04 |
| Salvia | 0.3 ± 0.04 | 0.5 ± 0.04 | 0.5 ± 0.03 | 0.5 ± 0 | 0.1 ± 0 | 0.1 ± 0 |
| Cinnamon | 0.1 ± 0 | 0.15 ± 0 | 0.1 ± 0 | 0.1 ± 0 | 0.1 ± 0 | 0.1 ± 0 |
| Citronella | 0.3 ± 0.04 | 0.4 ± 0 | 0.3 ± 0 | 0.3 ± 0 | 0.15 ± 0 | 0.9 ± 0.07 |
| Eucalyptus | 1.2 ± 0.16 | 1.2 ± 0.26 | 2.4 ± 0.13 | 2.4 ± 0.03 | 1.8 ± 0.07 | 2.4 ± 0.03 |
| Fennel | 4 ± 0.39 | 4.8 ± 0.26 | 0.8 ± 0 | 0.8 ± 0 | 0.3 ± 0.04 | 3.3 ± 0.05 |
| Spearmint | 0.6 ± 0.08 | 0.6 ± 0.08 | 0.6 ± 0.08 | 0.6 ± 0.08 | 0.4 ± 0 | 0.8 ± 0 |
| Peppermint | 0.4 ± 0 | 0.4 ± 0 | 0.6 ± 0 | 0.6 ± 0.06 | 0.25 ± 0.01 | 0.6 ± 0 |
| Lemon | 1.2 ± 0.16 | 1.2 ± 0.16 | 1.2 ± 0.02 | 2 ± 0 | 0.45 ±0.03 | 1 ± 0.02 |
| Thyme | 0.1 ± 0 | 0.1 ± 0 | 0.1 ± 0 | 0.1 ± 0 | 0.1 ± 0 | 0.1 ± 0 |
| Clindamycin | 0.8 ± 0 | 0.8 ± 0 | 0.1 ± 0 | 0.1 ± 0 | 0.2 ± 0 | 0.8 ± 0 |
| Erythromycin | 0.1 ± 0 | 0.1 ± 0 | 0.1 ± 0 | 0.1 ± 0 | 0.1 ± 0 | 0.1 ± 0 |
| Name of Compounds | tR (min) | KI | Presence in % | |
|---|---|---|---|---|
| Lemongrass EO | Fraction | |||
| Camphene | 5.5 | 941 | 0.8 | |
| Limonene | 7.3 | 1023 | 1.3 | |
| Linalool | 8.8 | 1091 | 2.6 | |
| Verbenol | 10.5 | 1171 | 0.4 | |
| α-Terpineol | 10.9 | 1190 | 1.7 | 13.2 |
| Carveol, trans | 11.0 | 1195 | 0.5 | |
| Carveol, cis | 11.4 | 1216 | 1.0 | |
| Neral | 11.8 | 1237 | 26.1 | |
| Geraniol | 12.0 | 1247 | 4.3 | |
| Piperitone | 12.1 | 1253 | 0.6 | |
| Geranial | 12.4 | 1268 | 34.5 | |
| Geranyl formate | 12.8 | 1289 | 0.7 | |
| Neryl acetate | 13.9 | 1350 | 0.7 | |
| β-Caryophyllene | 15.2 | 1424 | 1.0 | |
| Cadinene | 16.7 | 1513 | 1.4 | 7.0 |
| Calamenene | 16.9 | 1525 | 0.6 | 3.7 |
| Caryophyllene-oxide | 17.9 | 1588 | 4.7 | |
| Sum | 82.2 | |||
| M+140 | 6.3 | 977 | 0.8 | |
| M+155 | 8.2 | 1064 | 0.4 | |
| M+152 | 9.7 | 1133 | 0.5 | |
| M+166 | 10.6 | 1176 | 0.6 | |
| M+166 | 12.6 | 1279 | 0.4 | |
| M+168 | 13.6 | 1333 | 3.2 | |
| M+164 | 14.1 | 1361 | 0.4 | |
| M+204 | 14.3 | 1372 | 9.8 | |
| M+166 | 14.8 | 1400 | 0.6 | |
| M+204 | 16.1 | 1475 | 0.7 | |
| Sum | 17.4 |
| Citral (Diameter in mm) | α-Terpineol (Diameter in mm) | |
|---|---|---|
| B. thuringiensis | 29 ± 2 | 17 ± 3 |
| D. congolensis | 23 ± 2 | 7 ± 1 |
| K. sedentarius | 14 ± 2 | 6 ± 1 |
| Citral | α-Terpineol | |||
|---|---|---|---|---|
| MIC | MBC | MIC | MBC | |
| B. thuringiensis | 0.1 ± 0 | 0.1 ± 0 | 0.8 ± 0 | 0.8 ± 0 |
| D. congolensis | 0.1 ± 0 | 0.1 ± 0 | 0.4 ± 0 | 0.8 ± 0 |
| K. sedentarius | 0.1 ± 0 | 0.1 ± 0 | 0.4 ± 0 | 0.8 ± 0 |
Publisher’s Note: MDPI stays neutral with regard to jurisdictional claims in published maps and institutional affiliations. |
© 2022 by the authors. Licensee MDPI, Basel, Switzerland. This article is an open access article distributed under the terms and conditions of the Creative Commons Attribution (CC BY) license (https://creativecommons.org/licenses/by/4.0/).
Share and Cite
Schweitzer, B.; Balázs, V.L.; Molnár, S.; Szögi-Tatár, B.; Böszörményi, A.; Palkovics, T.; Horváth, G.; Schneider, G. Antibacterial Effect of Lemongrass (Cymbopogon citratus) against the Aetiological Agents of Pitted Keratolyis. Molecules 2022, 27, 1423. https://doi.org/10.3390/molecules27041423
Schweitzer B, Balázs VL, Molnár S, Szögi-Tatár B, Böszörményi A, Palkovics T, Horváth G, Schneider G. Antibacterial Effect of Lemongrass (Cymbopogon citratus) against the Aetiological Agents of Pitted Keratolyis. Molecules. 2022; 27(4):1423. https://doi.org/10.3390/molecules27041423
Chicago/Turabian StyleSchweitzer, Bettina, Viktória Lilla Balázs, Szilárd Molnár, Bernadett Szögi-Tatár, Andrea Böszörményi, Tamás Palkovics, Györgyi Horváth, and György Schneider. 2022. "Antibacterial Effect of Lemongrass (Cymbopogon citratus) against the Aetiological Agents of Pitted Keratolyis" Molecules 27, no. 4: 1423. https://doi.org/10.3390/molecules27041423
APA StyleSchweitzer, B., Balázs, V. L., Molnár, S., Szögi-Tatár, B., Böszörményi, A., Palkovics, T., Horváth, G., & Schneider, G. (2022). Antibacterial Effect of Lemongrass (Cymbopogon citratus) against the Aetiological Agents of Pitted Keratolyis. Molecules, 27(4), 1423. https://doi.org/10.3390/molecules27041423

