The Phytochemical Profile and Biological Activity of Malva neglecta Wallr. in Surgically Induced Endometriosis Model in Rats
Abstract
1. Introduction
2. Results
2.1. Composition of Methanol Extract Prepared from Malva neglecta Leaves
2.2. Evaluation of Adhesion Scores
2.3. Evaluation of Endometriotic Implant Volumes
2.4. Evaluation of Cytokine Levels
2.5. TNF-alpha and VEGF Expression by Real-Time PCR
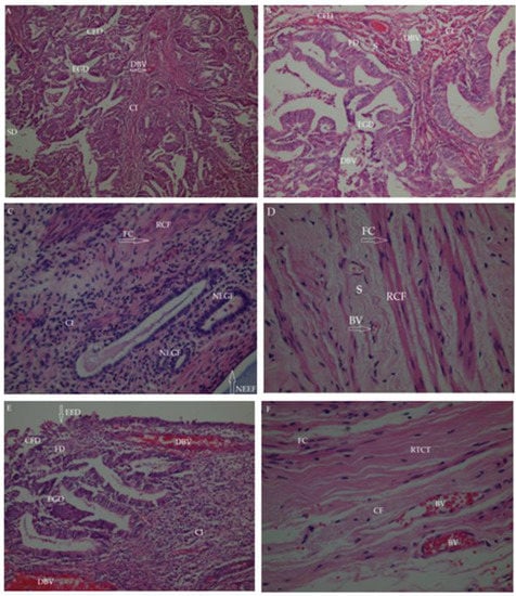
2.6. Histopathological Analyses
3. Discussion
4. Material and Methods
4.1. Plant Material
4.2. Extraction Procedure
4.3. Determination of the Chemical Profile of Methanol Extract Prepared from Malva neglecta Leaves by HPLC
4.4. Bioactivity Studies
4.4.1. Animals
4.4.2. Preparation of Test Samples
4.4.3. In Vivo Activity Assays
Endometriosis Rat Model
- 0:
- No adhesion
- 1:
- Thin adhesion
- 2:
- Thick adhesion in one area
- 3:
- Spread of thick adhesion
- 4:
- Adhesion including internal organs
4.4.4. In Vitro Activity Assays
Measurement of Cytokine Levels in the Peritoneal Fluid
Measurement of TNF-α, VEGF, and IL-6 and Levels in Peritoneal Fluid
RNA Extraction
The cDNA Synthesis and Quantitative Real-Time PCR (qRT-PCR)
4.4.5. Techniques for Histopathological Investigation
4.4.6. Statistical Analysis
5. Conclusions
Author Contributions
Funding
Institutional Review Board Statement
Informed Consent Statement
Data Availability Statement
Acknowledgments
Conflicts of Interest
Sample Availability
References
- Özler, A.; Yaldız, Ş.; Değirmencioğlu, A.I. Abdominal wall endometriosis; A Case Report. Dicle Med. J. 2010, 37, 410–412. [Google Scholar]
- Machairiotis, N.; Stylianaki, A.; Dryllis, G.; Zarogoulidis, P.; Kouroutou, P.; Tsiamis, N.; Katsikogiannis, N.; Sarika, E.; Courcoutsakis, N.; Tsiouda, T.; et al. Extrapelvic endometriosis: A rare entity or an under diagnosed condition? Diagn. Pathol. 2013, 8, 194. [Google Scholar] [CrossRef] [PubMed]
- Özcan, C. Fertil Ve İnfertil Endometriyozis Hastalarının Ötopik Endometriyum Dokularında Hoxa-10 Gen Ekspresyonunun Değerlendirilmesi. Specialization in Clinical Medicine. Ph.D. Thesis, Kocaeli University Faculty of Medicine, Izmit, Turkey, 2015; pp. 3–7. [Google Scholar]
- İlhan, M. Halk Arasında Jinekolojik Rahatsızlıklarda Kullanılan Bitkilerin Etkinlikleri Üzerinde Farmakognozik Araştırmalar. Ph.D. Thesis, Gazi University Institute of Health Sciences, Ankara, Turkey, 2019; pp. 3–210. [Google Scholar]
- Dabrosin, C.; Gyorffy, S.; Margetts, P.; Ross, C.; Gauldie, J. Therapeutic effect of angiostatin gene transfer in a murine model of endometriosis. Am. J. Clin. Pathol. 2002, 161, 909–918. [Google Scholar] [CrossRef]
- Kitawaki, J.; Kado, N.; Ishihara, H.; Koshiba, H.; Kitaoka, Y.; Honjo, H. Endometriosis: The pathophysiology as an estrogen-dependent disease. J. Steroid Biochem. Mol. Biol. 2002, 83, 149–155. [Google Scholar] [CrossRef]
- Shah, D.K.; Missmer, S.A. Scientific investigation of endometriosis among adolescents. J. Pediatr. Adolesc. Gynecol. 2011, 24, 18–19. [Google Scholar] [CrossRef]
- Bayram, E.; Kırıcı, S.; Tansı, S.; Yılmaz, G.; Kızıl, O.A.S. Tıbbi Ve Aromatik Bitkiler Üretiminin Arttirilmasi Olanakları. In Proceedings of the Agricultural Engineering VII Technical Congress, Ankara, Turkey, 11–15 January 2010. [Google Scholar]
- Göktaş, Ö.; Gıdık, B. Uses of Medicinal and Aromatic Plants. Bayburt Univ. J. Sci. 2019, 2, 136–142. [Google Scholar]
- Gül, A.; Özçelik, H.; Uzun, Ö. Isparta Yöresindeki Bazı Doğal Yerörtücü Bitkilerin Adaptasyon ve Özellikleri. Süleyman Demirel Üniversitesi Fen Bilim. Enstitüsü Derg. 2014, 16, 133–145. [Google Scholar]
- Ahmad, S.; Saeed, K.; Shahzad, Q.; Dad, R. In vivo identification of pharmacological activities of Malva neglecta Wallr. In Proceedings of the International Conference on Energy, Environment and Bioengineering, Xi’an, China, 7–9 August 2020. [Google Scholar]
- Yeşilada, E.; Honda, G.; Sezik, E.; Tabata, M.; Fujita, T.; Tanaka, T.; Takeda, Y.; Takaishi, Y. Traditional medicine in Turkey. V. Folk medicine in the inner Taurus Mountains. J. Ethnopharmacol. 1995, 46, 133–152. [Google Scholar] [CrossRef]
- Dalar, A.; Türker, M.; Konczak, I. Antioxidant capacity and phenolic constituents of Malva neglecta Wallr. and Plantago lanceolata L. from Eastern Anatolia Region of Turkey. J. Herb. Med. 2012, 2, 42–51. [Google Scholar] [CrossRef]
- Polat, R.; Cakilcioglu, U.; Kaltalioglu, K.; Ulusan, M.D.; Türkmen, Z. An ethnobotanical study on medicinal plants in Espiye and its surrounding (Giresun-Turkey). J. Ethnopharmacol. 2015, 163, 1–11. [Google Scholar] [CrossRef]
- Demir, İ. Hizan İlçesinde Kullanılan Tıbbi Bitkilerin Etnobotanik İncelemesi (Bitlis-Türkiye). Yüzüncü Yıl Üniversitesi Tarım Bilim. Derg. 2020, 30, 732–741. [Google Scholar] [CrossRef]
- Günbatan, T.; Gürbüz, İ.; Özkan, A.M.G. The current status of ethnopharmacobotanical knowledge in Çamlıdere (Ankara, Turkey). Turk. J. Bot. 2016, 40, 241–249. [Google Scholar] [CrossRef]
- Akgul, A.; Akgul, A.; Senol, S.G.; Yildirim, H.; Secmen, O.; Dogan, Y. An ethnobotanical study in Midyat (Turkey), a city on the silk road where cultures meet. J. Ethnobiol. Ethnomed. 2018, 14, 12. [Google Scholar] [CrossRef] [PubMed]
- Güder, A. Urtica dioica L. ve Malva neglecta Wallr. Bitkilerinin ve Karışımlarının Antioksidant Aktivitesinin Belirlenmesi. Master’s Thesis, Ondokuz Mayıs University Institute of Natural and Applied Sciences, Samsun, Turkey, 2008; pp. 38–101. [Google Scholar]
- Seyyednejad, S.M.; Koochak, H.; Darabpour, E.; Motamedi, H. A survey on Hibiscus rosa-sinensis, Alcea rosea L. and Malva neglecta Wallr as antibacterial agents. Asian Pac. J. Trop. Med. 2010, 3, 351–355. [Google Scholar] [CrossRef]
- Özgen, U.; Kaya, Y.; Houghton, P. Folk medicines in the villages of Ilıca District (Erzurum, Turkey). Turk. J. Biol. 2012, 36, 93–106. [Google Scholar] [CrossRef]
- Türker, M.; Dalar, A. In vitro antioxidant and enzyme inhibitory properties and phenolic composition of M. neglecta Wallr. (Malvaceae) fruit: A traditional medicinal fruit from Eastern Anatolia. Ind. Crops Prod. 2013, 51, 376–380. [Google Scholar] [CrossRef]
- Yeşilyurt, E.B.; Şimşek, I.; Tuncel, T.; Akaydın, G.; Erdem, Y. Marmara Bölgesi’nin Bazı Yerleşim Merkezlerinde Halk İlacı Olarak Kullanılan Bitkiler. Marmara Pharm. J. 2017, 21, 132–148. [Google Scholar] [CrossRef]
- Saleem, U.; Khalid, S.; Zaib, S.; Anwar, F.; Ahmad, B.; Ullah, I.; Zeb, A.; Ayaz, M. Phytochemical analysis and wound healing studies on ethnomedicinally important plant Malva neglecta Wallr. J. Ethnopharmacol. 2020, 249, 112401. [Google Scholar] [CrossRef]
- Hasimi, N.; Ertaş, A.; Varhan Oral, E.; Alkan, H.; Boğa, M.; Yılmaz, M.A.; Yener, İ.; Gazioğlu, I.; Özaslan, C.; Akdeniz, M.; et al. Chemical Profile of Malva neglecta and Malvella sherardiana by LC- MS/MS, GC/MS and Their Anticholinesterase, Antimicrobial and Antioxidant Properties with Aflatoxin-Contents. Marmara Pharm. J. 2017, 21, 471–484. [Google Scholar] [CrossRef]
- Keser, F. Bazı Yenilebilir Bitkilerin Antiradikal, Antibakteriyel ve Antikanser Özellikleri ile İçerdikleri Fitokimyasal Bileşiklerin Saptanması. Master’s Thesis, Fırat University Institute of Natural and Applied Sciences, Elazığ, Turkey, 2018; pp. 20–59. [Google Scholar]
- Huzafa, M.; Jamal, Z.; Ahmed, A. Qualitative Phytochemical Analysis of Incarvillea emodi (Royle ex Lindl.) Chatterjee and Malva neglecta Wallr. Ukr. J. Ecol. 2020, 10, 93–95. [Google Scholar] [CrossRef]
- Papetti, A.; Maietta, M.; Corana, F.; Marrubini, G.; Gazzani, G. Polyphenolic profile of green/red spotted Italian Cichorium intybus salads by RP-HPLC-PDA-ESI-MSn. J. Food Compos. Anal. 2017, 63, 189–197. [Google Scholar] [CrossRef]
- Santos, J.; Oliveiraa, M.B.P.P.; Ibánez, E.; Herrero, M. Phenolic profile evolution of different ready-to-eat baby-leaf vegetables during storage. J. Chromatogr. A 2014, 1327, 118–131. [Google Scholar] [CrossRef] [PubMed]
- Weisz, G.M.; Kammerer, D.R.; Carle, R. Identification and quantification of phenolic compounds from sunflower (Helianthus annuus L.) kernels and shells by HPLC-DAD/ESI-MSn. Food Chem. 2009, 115, 758–765. [Google Scholar] [CrossRef]
- Cornillie, F.J.; Oosterlynck, D.; Lauweryns, J.M.; Koninckx, P.R. Deeply infiltrating pelvic endometriosis: Histology and clinical significance. Fertil. Steril. 1990, 53, 978–983. [Google Scholar] [CrossRef]
- Viganò, P.; Parazzini, F.; Somigliana, E.; Vercellini, P. Endometriosis: Epidemiology and etiological factors. Best Pract. Res. Clin. Obstet. Gynaecol. 2004, 18, 177–200. [Google Scholar] [CrossRef]
- Kasapoğlu, I. Endometriyozis Varlığının ve Endometriyozis Kist Eksizyonunun Over Rezerv Belirteçleri Üzerine Etkisi. Specialization in Clinical Medicine. Ph.D. Thesis, Uludag University Faculty of Medicine, Bursa, Turkey, 2011; pp. 3–8. [Google Scholar]
- Kold, M.; Hansen, T.; Vedsted-Hansen, H.; Forman, A. Mindfulness-based psychological intervention for coping with pain in endometriosis. Nord. Psychol. 2012, 64, 2–16. [Google Scholar] [CrossRef]
- Bedaiwy, M.A.; Alfaraj, S.; Yong, P.; Casper, R. New developments in the medical treatment of endometriosis. Fertil. Steril. 2017, 107, 555–565. [Google Scholar] [CrossRef]
- Schweppe, K.W.; Assmann, G. Changes of plasma lipids and lipoprotein levels during danazol treatment for endometriosis. Horm. Metab. Res. 1984, 16, 593–597. [Google Scholar] [CrossRef]
- Mounsey, A.L.; Wılgus, A.; Slawson, D.C. Diagnosis and Management of Endometriosis. Am. Fam. Physician. 2006, 74, 594–600. [Google Scholar]
- Rafique, S.; Decherney, A.H. Medical Management of Endometriosis. Clin. Obstet. Gynecol. 2017, 60, 485–496. [Google Scholar] [CrossRef]
- Baytop, T. Türkiye’de Bitkiler ile Tedavi, Geçmişte ve Bugün, 2nd ed.; Nobel Tıp Kitabevleri: İstanbul, Turkey, 1999; p. 480. ISBN 975-420-021-1. [Google Scholar]
- Sezik, E.; Yeşilada, E.; Tabata, M.; Honda, G.; Takaıshı, Y.; Takeda, Y.; Tanaka, T. Traditional medicine in Turkey, X. Folk medicine in Central Anatolia. J. Ethnopharmacol. 2001, 75, 95–115. [Google Scholar] [CrossRef]
- Ososki, A.L.; Lohr, P.; Reiff, M.; Balick, M.J.; Kronenberg, F.; Fugh-Berman, A.; O’Connor, B. Ethnobotanical literature survey of medicinal plants in the Dominican Republic used for women’s health conditions. J. Ethnopharmacol. 2002, 79, 285–298. [Google Scholar] [CrossRef]
- Tuzlaci, E. A Dictionary of Turkish Plants, 2nd ed.; Alfa Yayinlari: İstanbul, Turkey, 2006; ISBN 605-106-361-7. [Google Scholar]
- Yeşil, Y. Kürecik (Akçadağ/Malatya) Bucağında Etnobotanik Bir Araştırma. Master’s Thesis, Istanbul University Institute of Health Sciences, İstanbul, Turkey, 2007; pp. 163–164. [Google Scholar]
- Ilhan, M.; Gürağaç Dereli, F.T.; Küpeli Akkol, E. Novel drug targets with traditional herbal medicines for overcoming endometriosis. Curr Drug Deliv. 2019, 16, 386–399. [Google Scholar] [CrossRef] [PubMed]
- Uysal, I.; Onar, S.; Karabacak, E.; Çelik, S. Ethnobotanical aspects of Kapıdağ Peninsula (Turkey). Biol. Divers. Conserv. 2010, 3, 15–22. [Google Scholar]
- Neto, J.N.; Coelho, T.M.; Aguiar, G.C.; Carvalho, L.R.; De Araújo, A.G.P.; Girão, M.J.B.C.; Schor, E. Experimental endometriosis reduction in rats treated with Uncaria tomentosa (cat’s claw) extract. Eur. J. Obstet. Gynecol. Reprod. Biol. 2011, 154, 205–208. [Google Scholar] [CrossRef] [PubMed]
- Demirel, M.A.; Süntar, I.; İlhan, M.; Keleş, H.; Küpeli Akkol, E. Experimental endometriosis remission in rats treated with Achillea biebersteinii Afan.: Histopathological evaluation and determination of cytokine levels. Eur. J. Obstet. Gynecol. Reprod. Biol. 2014, 175, 172–177. [Google Scholar] [CrossRef]
- Saltan, G.; Süntar, I.; Ozbilgin, S.; Ilhan, M.; Demirel, M.A.; Oz, B.E.; Keles, H.; Kupeli Akkol, E. Viburnum opulus L.: A remedy for the treatment of endometriosis demonstrated by rat model of surgically-induced endometriosis. J. Ethnopharmacol. 2016, 193, 450–455. [Google Scholar] [CrossRef]
- İlhan, M.; Ali, Z.; Khan, I.A.; Taştan, H.; Küpeli Akkol, E. Promising Activity of Anthemis austriaca Jacq. on the Endometriosis Rat Model an Isolation of its Active Constituents. Saudi Pharm. J. 2019, 27, 889–899. [Google Scholar] [CrossRef]
- İlhan, M.; Ali, Z.; Khan, I.A.; Taştan, H.; Küpeli Akkol, E. The regression of endometriosis with glycosylated flavonoids isolated from Melilotus officinalis (L.) Pall. Taiwan J. Obstet. Gynecol. 2020, 59, 211–219. [Google Scholar] [CrossRef]
- Oral, E.; Olive, D.L.; Arici, A. The peritoneal environment in endometriosis. Hum. Reprod. Update. 1996, 2, 385–398. [Google Scholar] [CrossRef]
- Harada, T.; Iwabe, T.; Terakawa, N. Role of cytokines in endometriosis. Fertil. Steril. 2001, 76, 1–10. [Google Scholar] [CrossRef]
- Gazvani, R.; Templeton, A. New considerations for the pathogenesis of endometriosis. Int. J. Gynecol. Obstet. 2002, 76, 117–126. [Google Scholar] [CrossRef]
- Tsudo, T.; Harada, T.; Iwabe, T.; Tanikawa, M.; Nagano, Y.; Ito, M.; Taniguchi, F.; Terakawa, N. Altered gene expression and secretion of interleukin-6 in stromal cells derived from endometriotic tissues. Fertil. Steril. 2000, 73, 205–211. [Google Scholar] [CrossRef]
- Xavier, P.; Belo, L.; Beires, J.; Rebelo, I.; Martinez-de-Oliveira, J.; Lunet, N.; Barros, H. Serum levels of VEGF and TNF-alpha and their association with C-reactive protein in patients with endometriosis. Arch. Gynecol. Obstet. 2000, 273, 227–231. [Google Scholar] [CrossRef] [PubMed]
- Asghari, S.; Valizadeh, A.; Aghebati-Maleki, L.; Nouri, M.; Yousefi, M. Endometriosis: Perspective, lights, and shadows of etiology. Biomed. Pharmacother. 2018, 106, 163–174. [Google Scholar] [CrossRef]
- Mackay, F.; Loetscher, H.; Stueber, D.; Gehr, G.; Lesslauer, W. Tumor necrosis factor-α (TNF-α)-induced cell adhesion to human endothelial cells is under dominant control of one TNF receptor type, TNF-R55. J. Exp. Med. 1993, 177, 1277–1286. [Google Scholar] [CrossRef]
- Iwabe, T.; Harada, T.; Tsudo, T.; Nagano, Y.; Yoshida, S.; Tanikawa, M.; Terakawa, N. Tumor necrosis factor-alpha promotes proliferation of endometriotic stromal cells by inducing interleukin-8 gene and protein expression. J. Clin. Endocrinol. Metab. 2000, 85, 824–829. [Google Scholar]
- Wu, M.Y.; Ho, H.N. The role of cytokines in endometriosis. Am. J. Reprod. Immunol. 2003, 49, 285–296. [Google Scholar] [CrossRef]
- Charnock-Jones, D.S.; Sharkey, A.M.; Rajput-Williams, J.; Burch, D.; Schofield, J.P.; Fountain, S.A.; Boocock, C.A.; Smith, S.K. Identification and localization of alternately spliced mRNAs for vascular endothelial growth factor in human uterus and estrogen regulation in endometrial carcinoma cell lines. Biol. Reprod. 1993, 48, 1120–1128. [Google Scholar] [CrossRef]
- Smith, S.K. Angiogenesis, vascular endothelial growth factor and the endometrium. Hum. Reprod. Update 1998, 4, 509–519. [Google Scholar] [CrossRef]
- McLaren, J.; Prentice, A.; Charnock-Jones, D.S.; Millican, S.A.; Muller, K.H.; Sharkey, A.M.; Smith, S.K. Vascular endothelial growth factor is produced by peritoneal fluid macrophages in endometriosis and is regulated by ovarian steroids. J. Clin. Investig. 1996, 98, 482–489. [Google Scholar] [CrossRef] [PubMed]
- Abramov, Y.; Barak, V.; Nisman, B.; Schenker, J.G. Vascular endothelial growth factor plasma levels correlate to the clinical picture in severe ovarian hyperstimulation syndrome. Fertil. Steril. 1997, 67, 261–265. [Google Scholar] [CrossRef]
- Amaya, S.C.; Savaris, R.F.; Filipovic, C.J.; Wise, J.D.; Hestermann, E.; Young, S.L.; Lessey, B.A. Resveratrol and Endometrium: A Closer Look at an Active Ingredient of Red Wine Using in vivo and in vitro Models. Reprod. Sci. 2014, 21, 1362–1369. [Google Scholar] [CrossRef] [PubMed]
- Zhang, Y.; Cao, H.; Yu, Z.; Peng, H.-Y.; Zhang, C.-J. Curcumin Inhibits Endometriosis Endometrial Cells by Reducing Estradiol Production. Iran. J. Reprod. Med. 2013, 11, 415–422. [Google Scholar] [PubMed]
- Tsuchiya, M.; Miura, T.; Hanaoka, T.; Iwasaki, M.; Sasaki, H.; Tanaka, T.; Nakao, H.; Katoh, T.; Ikenoue, T.; Kabuto, M.; et al. Effect of Soy Isoflavones on Endometriosis: Interaction with Estrogen Receptor 2 Gene Polymorphism. Epidemiology 2007, 18, 402–408. [Google Scholar] [CrossRef] [PubMed]
- Bin, L. Estrogen-Independent Inhibition of Curcumin on Formation of Endometriotic Foci in Rats with Experimental Endometriosis. Med. J. West China 2012, 5, 24. [Google Scholar]
- Ferella, L.; Bastón, J.I.; Bilotas, M.A.; Singla, J.J.; González, A.M.; Olivares, C.N.; Meresman, G.F. Active compounds present in Rosmarinus officinalis leaves and Scutellaria baicalensis root evaluated as new therapeutic agents for endometriosis. Reprod. Biomed. Online 2018, 37, 769–782. [Google Scholar] [CrossRef]
- Signorile, P.G.; Viceconte, R.; Baldi, A. Novel dietary supplement association reduces symptoms in endometriosis patients. J. Cell. Physiol. 2018, 233, 5920–5925. [Google Scholar] [CrossRef]
- Gołabek, A.; Kowalska, K.; Olejnik, A. Polyphenols as a Diet Therapy Concept for Endometriosis-Current Opinion and Future Perspectives. Nutrients 2021, 13, 1347. [Google Scholar] [CrossRef]
- Park, S.; Lim, W.; Bazer, F.W.; Whang, K.Y.; Song, G. Quercetin inhibits proliferation of endometriosis regulating cyclin D1 and its target microRNAs in vitro and in vivo. J. Nutr. Biochem. 2018, 63, 87–100. [Google Scholar] [CrossRef]
- Cao, H.; Wei, Y.X.; Zhou, Q.; Zhang, Y.; Guo, X.P.; Zhang, J. Inhibitory effect of curcumin in human endometriosis endometrial cells via downregulation of vascular endothelial growth factor. Mol. Med. Rep. 2017, 16, 5611–5617. [Google Scholar] [CrossRef] [PubMed]
- Khazaei, M.R.; Rashidi, Z.; Chobsaz, F.; Niromand, E.; Khazaei, M. Inhibitory effect of resveratrol on the growth and angiogenesis of human endometrial tissue in an in vitro three-dimensional model of endometriosis. Reprod. Biol. 2020, 20, 484–490. [Google Scholar] [CrossRef] [PubMed]
- Kolahdouz-Mohammadi, R.; Delbandi, A.A.; Khodaverdi, S.; Arefi, S.; Arablou, T.; Shidfar, F. The effects of resveratrol treatment on Bcl-2 and bax gene expression in endometriotic compared with non-endometriotic stromal cells. Iran. J. Public Health. 2020, 49, 1546–1554. [Google Scholar] [CrossRef] [PubMed]
- Bahrami, A.; Ayen, E.; Razi, M.; Behfar, M. Effects of atorvastatin and resveratrol against the experimental endometriosis; evidence for glucose and monocarboxylate transporters, neoangiogenesis. Life Sci. 2021, 272, 119230. [Google Scholar] [CrossRef]
- Wang, C.; Chen, Z.; Zhao, X.; Lin, C.; Hong, S.; Lou, Y.; Shi, X.; Zhao, M.; Yang, X.; Guan, M.X.; et al. Transcriptome-based analysis reveals therapeutic effects of resveratrol on endometriosis in a rat model. Drug Des. Devel Ther. 2021, 15, 4141–4155. [Google Scholar] [CrossRef]
- Chen, Z.; Wang, C.; Lin, C.; Zhang, L.; Zheng, H.; Zhou, Y.; Li, X.; Li, C.; Zhang, X.; Yang, X.; et al. Lipidomic alterations and PPAR α activation induced by resveratrol Lead to reduction in lesion size in endometriosis models. Oxidative Med. Cell. Longev. 2021, 2021, 9979953. [Google Scholar] [CrossRef]
- Khodarahmian, M.; Amidi, F.; Moini, A.; Kashani, L.; Salahi, E.; Danaii-Mehrabad, S.; Nashtaei, M.S.; Mojtahedi, M.F.; Esfandyari, S.; Sobhani, A. A randomized exploratory trial to assess the effects of resveratrol on VEGF and TNF-α 2 expression in endometriosis women. J. Reprod. Immunol. 2021, 143, 103248. [Google Scholar] [CrossRef]
- Liu, L.Z.; Fang, J.; Zhou, Q.; Hu, X.; Shi, X.; Jiang, B.H. Apigenin inhibits expression of vascular endothelial growth factor and angiogenesis in human lung cancer cells: Implication of chemoprevention of lung cancer. Mol. Pharmacol. 2005, 68, 635–643. [Google Scholar] [CrossRef]
- Guardia, T.; Rotelli, A.E.; Juarez, A.O.; Pelzer, L.E. Anti-inflammatory properties of plant flavonoids. Effects of rutin, quercetin and hesperidin on adjuvant arthritis in rat. Farmaco 2001, 56, 683–687. [Google Scholar] [CrossRef]
- Martins, C.A.F.; Campos, M.L.; Irioda, A.C.; Stremel, D.P.; Trindade, A.C.L.B.; Pontarolo, R. Anti-inflammatory effect of Malva sylvestris, Sida cordifolia, and Pelargonium graveolens are related to inhibition of prostanoid production. Molecules 2017, 22, 1883. [Google Scholar] [CrossRef]
- Benso, B.; Rosalen, P.L.; Alencar, S.M.; Murata, R.M. Malva sylvestris inhibits inflammatory response in oral human cells. An in vitro infection model. PLoS ONE 2015, 10, e0140331. [Google Scholar] [CrossRef] [PubMed]
- Vernon, M.W.; Wilson, E.A. Studies on the surgical induction of endometriosis in the rat. Fertil. Steril. 1985, 44, 684–694. [Google Scholar] [CrossRef]
- Altintas, D.; Kokcu, A.; Tosun, M.; Cetinkaya, M.B.; Kandemir, B. Comparison of the effects of cetrorelix, a GnRH antagonist, and leuprolide, a GnRH agonist, on experimental endometriosis. J. Obstet. Gynaecol. Res. 2008, 34, 1014–1019. [Google Scholar] [CrossRef] [PubMed]
- Blauer, K.L.; Collins, R.L. The effect of intraperitoneal progesterone on postoperative adhesion formation in rabbits. Fertil. Steril. 1988, 49, 144–149. [Google Scholar] [CrossRef]
- İlhan, M.; Ali, Z.; Khan, I.A.; Taştan, H.; Küpeli Akkol, E. Bioactivity-guided isolation of flavonoids from Urtica dioica L. and their effect on endometriosis rat model. J. Ethnopharmacol. 2019, 243, 112100. [Google Scholar] [CrossRef] [PubMed]
- Yang, M.; Lin, H.-B.; Gong, S.; Chen, P.-Y.; Geng, L.-L.; Zeng, Y.-M.; Li, D.-Y. Effect of Astragalus polysaccharides on expression of TNF-α, IL-1β and NFATc4 in a rat model of experimental colitis. Cytokine 2014, 70, 81–86. [Google Scholar] [CrossRef] [PubMed]
- Elgamal, D.A.; Rashad Othman, E.E.; Ahmed, S.F. Ultrastructural features of eutopic endometrium in a rat model of endometriosis. J. Microsc. Ultrastruct. 2016, 4, 20–27. [Google Scholar] [CrossRef]





| Retention Time (min) | Compound | Absorbance (nm) | Composition (mg/g) | Reference |
|---|---|---|---|---|
| 0.9 | p-Hydroxybenzoic acid | 252 | 3.7 ± 0.3 | [23] |
| 1.0 | Coumaroil hexoside | 264 | 97.2 ± 3.1 | [27] |
| 1.7 | Hydroxytyrosol | 230, 280 | 107.1 ± 3.2 | Standard |
| 6.5 | Tri-O-galloilquinic acid | 270 | 1.6 ± 0.1 | [28] |
| 8.8 | Epicatechin | 230, 270 | 2.1 ± 0.2 | Standard |
| 10.3 | Ferulic acid | 327 | 5.3 ± 0.4 | |
| 10.8 | 3-O-Caffeoylquinic acid | 305, 328 | 7.0 ± 0.5 | [23] |
| 12.1 | 5-O- Caffeoylquinic acid | 305, 327 | 3.4 ± 0.2 | |
| 13.4 | 3,4-Di-O-caffeoylquinic acid | 327 | 9.3 ± 0.6 | [29] |
| 14.0 | 3,5-Di-O-caffeoylquinic acid | 328 | 7.4 ± 1.1 | |
| 16.1 | 4,5-Di-O-Caffeoylquinic acid | 295, 327 | 1.3 ± 0.2 | |
| 18.8 | Quercetin-3-O-rutinoside | 256, 358 | 31.3 ± 1.1 | Standard |
| 22.7 | Quercetin -3-glucoside | 256, 352 | 24.2 ± 1.4 | |
| 25.3 | Quercetin-3(caffeoyl diglucoside)-7-glucoside | 270, 330 | 15.5 ± 0.6 | [23] |
| 28.0 | Kaempferol-3-(p-kumaroil diglukozit)-7-glukozit | 245, 330 | 37.1 ± 3.3 | [23] |
| 28.3 | Quercetin-3-(sinapoyl diglucoside)-7-glucoside | 250, 340 | 27.1 ± 1.4 | |
| 29.1 | Isorhamnetin-3-O-glucoside-7-glucoside | 253, 340 | 21.1 ± 1.1 | [28] |
| 33.7 | Epikateşin-3-O-(4-O-metil)-gallat | 275 | 31.4 ± 3.5 | |
| Total amount | 433.1 | |||
| Group | Extract | Adhesion Scores ± S.E.M. | Decrease in Adhesion Scores (%) | |
|---|---|---|---|---|
| Pre-Treatment | Post-Treatment | |||
| Control | 3.4 ± 0.7 | 3.5 ± 0.9 | - | |
| M. neglecta | n-Hexane | 3.2 ± 0.5 | 2.9 ± 0.8 | 9.4 |
| Ethyl acetate | 3.3 ± 0.9 | 2.7 ± 0.6 | 18.2 | |
| Methanol | 3.3 ± 0.8 | 1.4 ± 0.5 * | 57.6 | |
| Aqueous | 3.1 ± 1.1 | 2.9 ± 0.9 | 6.5 | |
| Reference | Buserelin acetate | 3.3 ± 0.9 | 0.0 ± 0.0 *** | 100 |
| Group | Extract | Peritoneal TNF-α Level (pg/mL) ± S.E.M. | Peritoneal VEGF Level (pg/mL) ± S.E.M. | Peritoneal IL-6 Level (pg/mL) ± S.E.M. | |||
|---|---|---|---|---|---|---|---|
| Pre-Treatment | Post-Treatment | Pre-Treatment | Post-Treatment | Pre-Treatment | Post-Treatment | ||
| Control | 9.3 ± 3.1 | 8.8 ± 2.0 | 25.1 ± 5.2 | 27.4 ± 4.8 | 51.5 ± 9.2 | 52.5 ± 7.1 | |
| M. neglecta | n-Hexane | 9.1 ± 2.8 | 8.6 ± 2.1 | 19.1 ± 4.6 | 17.3 ± 5.1 | 48.7 ± 7.3 | 46.6 ± 6.2 |
| Ethyl acetate | 9.9 ± 3.2 | 8.3 ± 2.2 | 23.3 ± 5.8 | 20.2 ± 7.9 | 50.4 ± 5.4 | 57.9 ± 4.8 | |
| Methanol | 9.6 ± 2.4 | 4.9 ± 0.7 * | 24.6 ± 5.1 | 12.1 ± 3.8 * | 43.1 ± 5.1 | 34.1 ± 4.6 * | |
| Aqueous | 8.4± 3.3 | 7.9 ± 2.6 | 18.7 ± 4.8 | 19.0 ± 4.1 | 50.4 ± 6.8 | 48.2 ± 7.3 | |
| Reference | Buserelin acetate | 8.8. ± 1.4 | 2.3± 0.7 *** | 20.4 ± 5.1 | 9.2 ± 2.8 *** | 49.2 ± 4.9 | 21.2 ± 4.3 *** |
Publisher’s Note: MDPI stays neutral with regard to jurisdictional claims in published maps and institutional affiliations. |
© 2022 by the authors. Licensee MDPI, Basel, Switzerland. This article is an open access article distributed under the terms and conditions of the Creative Commons Attribution (CC BY) license (https://creativecommons.org/licenses/by/4.0/).
Share and Cite
Akkol, E.K.; Karpuz, B.; Türkcanoğlu, G.; Coşgunçelebi, F.G.; Taştan, H.; Aschner, M.; Khatkar, A.; Sobarzo-Sánchez, E. The Phytochemical Profile and Biological Activity of Malva neglecta Wallr. in Surgically Induced Endometriosis Model in Rats. Molecules 2022, 27, 7869. https://doi.org/10.3390/molecules27227869
Akkol EK, Karpuz B, Türkcanoğlu G, Coşgunçelebi FG, Taştan H, Aschner M, Khatkar A, Sobarzo-Sánchez E. The Phytochemical Profile and Biological Activity of Malva neglecta Wallr. in Surgically Induced Endometriosis Model in Rats. Molecules. 2022; 27(22):7869. https://doi.org/10.3390/molecules27227869
Chicago/Turabian StyleAkkol, Esra Küpeli, Büşra Karpuz, Gizem Türkcanoğlu, Fatma Gül Coşgunçelebi, Hakkı Taştan, Michael Aschner, Anurag Khatkar, and Eduardo Sobarzo-Sánchez. 2022. "The Phytochemical Profile and Biological Activity of Malva neglecta Wallr. in Surgically Induced Endometriosis Model in Rats" Molecules 27, no. 22: 7869. https://doi.org/10.3390/molecules27227869
APA StyleAkkol, E. K., Karpuz, B., Türkcanoğlu, G., Coşgunçelebi, F. G., Taştan, H., Aschner, M., Khatkar, A., & Sobarzo-Sánchez, E. (2022). The Phytochemical Profile and Biological Activity of Malva neglecta Wallr. in Surgically Induced Endometriosis Model in Rats. Molecules, 27(22), 7869. https://doi.org/10.3390/molecules27227869

