The Potential of Corchorus olitorius Seeds Buccal Films for Treatment of Recurrent Minor Aphthous Ulcerations in Human Volunteers
Abstract
1. Introduction
2. Results
2.1. Metabolomic Profiling of Corchorus olitorius Seeds
2.2. In Vitro Antioxidant Activity
2.2.1. Hydrogen Peroxide Scavenging Activity
2.2.2. Superoxide Radical Scavenging Activity
2.3. Wound Healing Activity
2.3.1. Wound Closure Rate Estimation
2.3.2. Effect of Corchorus olitorius Seed Extract on Expression of TGF-β, TNF-α, IL-1β
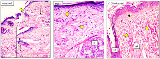
2.3.3. Histopathological Study
2.4. Corchorus Olitorius Seeds Buccal Films for Treatment of Recurrent Minor Aphthous Ulcerations
The Clinical Assessment
2.5. Wound Healing In-Silico Molecular Modeling
3. Materials and Methods
3.1. Plant Material
Extraction of Corchorus olitorius Seeds
3.2. Metabolomic Analysis
3.3. In Vitro Antioxidant Activity
In Vivo Wound Healing Activity
3.4. Corchorus olitorius Seeds Buccal Films
3.4.1. Preparation Methodology
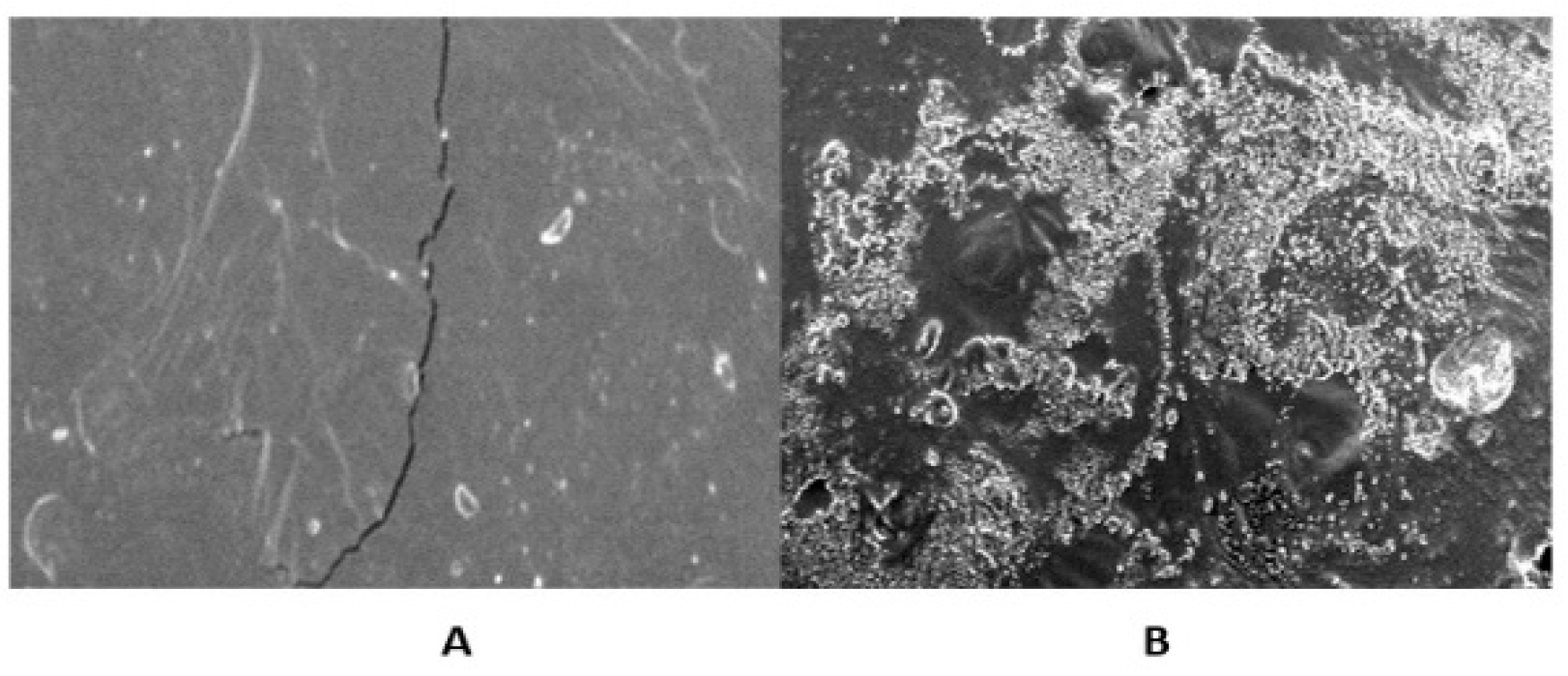
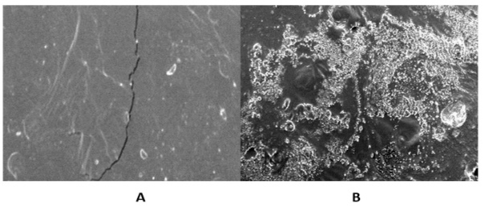
3.4.2. Characterization of the Prepared Films
3.4.3. Clinical Assessment
3.4.4. Inclusion and Exclusion Criteria
3.4.5. Subjects and Study Design
3.5. In Silico Molecular Modeling
4. Conclusions
Supplementary Materials
Author Contributions
Funding
Institutional Review Board Statement
Informed Consent Statement
Data Availability Statement
Acknowledgments
Conflicts of Interest
References
- Mohamad, S.A.; Sarhan, H.A.; Abdelkader, H.; Mansour, H.F. Vitamin B12—Loaded Buccoadhesive Films as a Noninvasive Supplement in Vitamin B12 Deficiency: In Vitro Evaluation and In Vivo Comparative Study With Intramuscular Injection. J. Pharm. Sci. 2017, 106, 1849–1858. [Google Scholar] [CrossRef] [PubMed]
- Mohamad, S.A.; Salem, H.; Yassin, H.A.; Mansour, H.F. Bucco-Adhesive Film as a Pediatric Proper Dosage Form for Systemic Delivery of Propranolol Hydrochloride: In-vitro and in-vivo Evaluation. Drug Design. Dev. Ther. 2020, 14, 4277–4289. [Google Scholar] [CrossRef] [PubMed]
- Mohamad, S.A.; Badawi, A.M.; Mansour, H.F. Insulin fast-dissolving film for intranasal delivery via olfactory region, a promising approach for the treatment of anosmia in COVID-19 patients: Design, in-vitro characterization and clinical evaluation. Int. J. Pharm. 2021, 601, 120600. [Google Scholar] [CrossRef] [PubMed]
- Sampaopan, Y.; Suksaeree, J. Effect of Eudragit® NE 40D on the properties of pectin film-based polymer blends. J. Polym. Environ. 2021, 29, 2881–2887. [Google Scholar] [CrossRef]
- Kurian, M.; Sherlin, H.J.; Jayaraj, G. Dietary Habits Leading to Recurrent Aphthous Ulcers-A Survey. Res. J. Pharm. Technol. 2019, 12, 3479–3482. [Google Scholar] [CrossRef]
- Dalessandri, D.; Zotti, F.; Laffranchi, L.; Migliorati, M.; Isola, G.; Bonetti, S.; Visconti, L. Treatment of recurrent aphthous stomatitis (RAS; aphthae; canker sores) with a barrier forming mouth rinse or topical gel formulation containing hyaluronic acid: A retrospective clinical study. BMC Oral Health 2019, 19, 153. [Google Scholar] [CrossRef]
- Hasan, H.; Jawad, E. Phytochemical investigation of leaves and seeds of Corchorus olitorius L. Cultivated in iraq. Asian J. Pharm. Clin. Res. 2018, 11, 408. [Google Scholar] [CrossRef]
- Helaly, A.; Alkharpotly, A.E.B.A.; Mady, E.; Craker, L.E. Characterization of Four Molokhia (Corchorus olitorius) Landraces by Morphology and Chemistry. J. Med. Act. Plants 2017, 5, 1–6. [Google Scholar]
- Nwangburuka, C.; Denton, O.A. Heritability, character association and genetic advance in six agronomic and yield related characters in leaf Corchorus olitorius. Int. J. Agric. Res. 2012, 7, 367–375. [Google Scholar] [CrossRef]
- Loumerem, M.; Alercia, A. Descriptors for jute (Corchorus olitorius L.). Genet. Resour. Crop Evol. 2016, 63, 1103–1111. [Google Scholar] [CrossRef]
- Nyadanu, D.; Amoah, R.A.; Kwarteng, A.O.; Akromah, R.; Aboagye, L.M.; Adu-Dapaah, H.; Dansi, A.; Lotsu, F.; Tsama, A. Domestication of jute mallow (Corchorus olitorius L.): Ethnobotany, production constraints and phenomics of local cultivars in Ghana. Genet. Resour. Crop Evol. 2016, 64, 1313–1329. [Google Scholar] [CrossRef]
- Nakamura, T.; Goda, Y.; Sakai, S.; Kondo, K.; Akiyama, H.; Toyoda, M. Cardenolide glycosides from seeds of Corchorus olitorius. Phytochemistry 1998, 49, 2097–2101. [Google Scholar] [CrossRef]
- Oboh, G.; Ademiluyi, A.O.; Akinyemi, A.; Henle, T.; Saliu, J.A.; Schwarzenbolz, U. Inhibitory effect of polyphenol-rich extracts of jute leaf (Corchorus olitorius) on key enzyme linked to type 2 diabetes (α-amylase and α-glucosidase) and hypertension (angiotensin I converting) in vitro. J. Funct. Foods 2012, 4, 450–458. [Google Scholar] [CrossRef]
- Saliu, J.; Oboh, G.; Schetinger, M.R.; Stefanello, N.; Rocha, J.B.T. Antidiabetic potentials of jute leaf (Corchorus olitorius) on type-2 diabetic rats. J. Emerg. Trends Eng. Appl. Sci. 2015, 6, 223–230. [Google Scholar]
- Barku, V.; Boye, A.; Quansah, N. Antioxidant and Wound Healing Studies on the Extracts of Corchorus Olitorius Leaf. Sci. Res. Rew. J. 2013, 1, 67–73. [Google Scholar]
- Al Batran, R.; Al-Bayaty, F.; Ameen Abdulla, M.; Jamil Al-Obaidi, M.M.; Hajrezaei, M.; Hassandarvish, P.; Fouad, M.; Golbabapour, S.; Talaee, S. Gastroprotective effects of C orchorus olitorius leaf extract against ethanol-induced gastric mucosal hemorrhagic lesions in rats. J. Gastroenterol. Hepatol. 2013, 28, 1321–1329. [Google Scholar] [CrossRef]
- Sonibare, M.; Moody, J.; Adesanya, E.O. Use of medicinal plants for the treatment of measles in Nigeria. J. Ethnopharmacol. 2009, 122, 268–272. [Google Scholar] [CrossRef]
- Handoussa, H.; Hanafi, R.; Eddiasty, I.; El-Gendy, M.; El Khatib, A.; Linscheid, M.; Mahran, L.; Ayoub, N. Anti-inflammatory and cytotoxic activities of dietary phenolics isolated from Corchorus olitorius and Vitis vinifera. J. Funct. Foods 2013, 5, 1204–1216. [Google Scholar] [CrossRef]
- Ilhan, S.; SAVAROĞLU, F.; ÇOLAK, F. Antibacterial and Antifungal Activity of Corchorus olitorius L.(Molokhia) Extracts. Int. J. Nat. Eng. Sci. 2007, 1, 59–61. [Google Scholar]
- Al-Yousef, H.M.; Amina, M.; Ahamad, S.R. Comparative study on the chemical composition of Corchorus olitorius L. leaf and stem dry oils. Biomed. Res. 2017, 28, 4581–4587. [Google Scholar]
- Yoshikawa, M.; Shimada, H.; Saka, M.; Yoshizumi, S.; Yamahara, J.; Matsuda, H. Medicinal foodstuffs. V. Moroheiya. (1): Absolute stereostructures of corchoionosides A, B, and C, histamine release inhibitors from the leaves of Vietnamese Corchorus olitorius L. (Tiliaceae). Chem. Pharm. Bull. 1997, 45, 464–469. [Google Scholar] [CrossRef] [PubMed]
- Ragasa, C.; Vivar, J.L.A.; Tan, M.C.S.; Shen, C.C. Chemical Constituents of Corchorus olitorius L. Int. J. Pharmacogn. Phytochem. Res. 2016, 8, 2085. [Google Scholar]
- Yoshikawa, M.; Murakami, T.; Shimada, H.; YOSHIZUMI, S.; SAKA, M.; YAMAHARA, J.; MATSUDA, H. Medicinal foodstuffs. XIV. On the bioactive constituents of moroheiya. (2): New fatty acids, corchorifatty acids A, B, C, D, E, and F, from the leaves of Corchorus olitorius L. (Tiliaceae): Structures and inhibitory effect on NO production in mouse peritoneal macrophages. Chem. Pharm. Bull. 1998, 46, 1008–1014. [Google Scholar]
- Khan, M.; Bano, S.; Javed, K.; Mueed, M.A. A Comprehensive Review on the Chemistry and Pharmacology of Corchorus Species—A Source of Cardiac Glycosides, Triterpenoids, Ionones, Flavonoids, Coumarins, Steroids and Some Other Compounds. J. Sci. Ind. Res. 2006, 65, 283–298. [Google Scholar]
- Işeri, D.; Yurtcu, E.; Sahin, F.I.; Haberal, M. Corchorus olitorius (jute) extract induced cytotoxicity and genotoxicity on human multiple myeloma cells (ARH-77). Pharm. Biol. 2013, 51, 766–770. [Google Scholar] [CrossRef]
- Zeghichi, S.; Kallithraka, S.; Simopoulos, A.P. Nutritional composition of molokhia (Corchorus olitorius) and stamnagathi (Cichorium spinosum). World Rev. Nutr. Diet. 2003, 91, 1–21. [Google Scholar]
- Siwik, D.A.; Pagano, P.J.; Colucci, W.S. Oxidative stress regulates collagen synthesis and matrix metalloproteinase activity in cardiac fibroblasts. Am. J. Physiol. Cell Physiol. 2001, 280, C53–C60. [Google Scholar] [CrossRef]
- Campbell, T.F.; McKenzie, J.; Murray, J.; Delgoda, R.; Bowen-Forbes, C.S. Rubus rosifolius varieties as antioxidant and potential chemopreventive agents. J. Funct. Foods 2017, 37, 49–57. [Google Scholar] [CrossRef]
- Ramadevi, D. Phytochemical Examination of Corchorus olitorius roots. Int. J. Curr. Pharm. Rev. Res. 2013, 4, 42–46. [Google Scholar]
- Phuwapraisirisan, P.; Puksasook, T.; Kokpol, U.; Suwanborirux, K. Corchorusides A and B, new flavonol glycosides as α-glucosidase inhibitors from the leaves of Corchorus olitorius. Tetrahedron Lett. 2009, 50, 5864–5867. [Google Scholar] [CrossRef]
- Yoshikawa, M.; Murakami, T.; Shimada, H.; Fukada, N.; Matsuda, H.; Sashida, Y.; Yamahara, J. Corchorusosides A, B, C, D, and E, new cardiotonic oligoglycosides from the seeds of Corchorus olitorius L. (Moroheiya). Heterocycles 1998, 5, 869–873. [Google Scholar] [CrossRef]
- Mahato, S.B.; Sahu, N.P.; Roy, S.K.; Pramanik, B.N. Cardiac glycosides from Corchorus olitorius. J. Chem. Soc. Perkin Trans. 1989, 1, 2065–2068. [Google Scholar] [CrossRef]
- Shady, N.H.; Abdullah, H.S.; Maher, S.A.; Albohy, A.; Elrehany, M.A.; Mokhtar, F.A.; Oraby, H.F.; Shawky, A.M.; Abdelmohsen, U.R. Antiulcer Potential of Psidium guajava Seed Extract Supported by Metabolic Profiling and Molecular Docking. Antioxidants 2022, 11, 1230. [Google Scholar] [CrossRef] [PubMed]
- Rodriguez-Menocal, L.; Shareef, S.; Salgado, M.; Shabbir, A.; Van Badiavas, E. Role of whole bone marrow, whole bone marrow cultured cells, and mesenchymal stem cells in chronic wound healing. Stem Cell Res. Ther. 2015, 6, 24. [Google Scholar] [CrossRef]
- Singh, K.; Agrawal, N.K.; Gupta, S.K.; Sinha, P.; Singh, K. Increased expression of TLR9 associated with pro-inflammatory S100A8 and IL-8 in diabetic wounds could lead to unresolved inflammation in type 2 diabetes mellitus (T2DM) cases with impaired wound healing. J. Diabetes Complicat. 2016, 30, 99–108. [Google Scholar] [CrossRef]
- Kim, D.-O.; Chun, O.K.; Kim, Y.J.; Moon, H.-Y.; Lee, C.Y. Quantification of polyphenolics and their antioxidant capacity in fresh plums. J. Agric. Food Chem. 2003, 51, 6509–6515. [Google Scholar]
- Shady, N.H.; Soltane, R.; Maher, S.A.; Saber, E.A.; Elrehany, M.A.; Mostafa, Y.A.; Sayed, A.M.; Abdelmohsen, U.R. Wound Healing and Antioxidant Capabilities of Zizyphus mauritiana Fruits: In-Vitro, In-Vivo, and Molecular Modeling Study. Plants 2022, 11, 1392. [Google Scholar]
- Landén, N.X.; Li, D.; Ståhle, M. Transition from inflammation to proliferation: A critical step during wound healing. Cell. Mol. Life Sci. 2016, 73, 3861–3885. [Google Scholar] [CrossRef]
- Krzyszczyk, P.; Schloss, R.; Palmer, A.; Berthiaume, F. The role of macrophages in acute and chronic wound healing and interventions to promote pro-wound healing phenotypes. Front. Physiol. 2018, 9, 419. [Google Scholar]
- Pachuau, L. Recent developments in novel drug delivery systems for wound healing. Expert Opin Drug Deliv. 2015, 12, 1895–1909. [Google Scholar] [CrossRef]
- Suguna, L.; Singh, S.; Sivakumar, P.; Sampath, P.; Chandrakasan, G. Influence of Terminalia chebula on dermal wound healing in rats. Phytother. Res. 2002, 16, 227–231. [Google Scholar] [CrossRef] [PubMed]
- Tang, T.; Yin, L.; Yang, J.; Shan, G. Emodin, an anthraquinone derivative from Rheum officinale Baill, enhances cutaneous wound healing in rats. Eur. J. Pharmacol. 2007, 567, 177–185. [Google Scholar] [CrossRef] [PubMed]
- Sano, C.; Shimizu, T.; Tomioka, H. Effects of secretory leukocyte protease inhibitor on the tumor necrosis factor-alpha production and NF-κB activation of lipopolysaccharide-stimulated macrophages. Cytokine 2003, 21, 38–42. [Google Scholar] [CrossRef]
- Wankell, M.; Munz, B.; Hübner, G.; Hans, W.; Wolf, E.; Goppelt, A.; Werner, S. Impaired wound healing in transgenic mice overexpressing the activin antagonist follistatin in the epidermis. EMBO J. 2001, 20, 5361–5372. [Google Scholar] [CrossRef] [PubMed]
- Beer, H.-D.; Gassmann, M.G.; Munz, B.; Steiling, H.; Engelhardt, F.; Bleuel, K.; Werner, S. Expression and function of keratinocyte growth factor and activin in skin morphogenesis and cutaneous wound repair. In Journal of Investigative Dermatology Symposium Proceedings; Elsevier: Amsterdam, The Netherlands, 2000. [Google Scholar]
- Pastar, I.; Stojadinovic, O.; Yin, N.C.; Ramirez, H.; Nusbaum, A.G.; Sawaya, A.; Patel, S.B.; Khalid, L.; Isseroff, R.R.; Tomic-Canic, M. Epithelialization in wound healing: A comprehensive review. Adv. Wound Care 2014, 3, 445–464. [Google Scholar] [CrossRef]
- Haroon, Z.A.; Amin, K.; Saito, W.; Wilson, W.; Greenberg, C.S.; Dewhirst, M.W. SU5416 delays wound healing through inhibition of TGF-β activation. Cancer Biol. Ther. 2002, 1, 121–126. [Google Scholar] [CrossRef]
- Feinberg, R.A.; Kim, I.; Hokama, L.; de Ruyter, K.; Keen, C. Operational Determinants of Caller Satisfaction in the Call Center. Int. J. Serv. Ind. Manag. 2000, 11, 131–141. [Google Scholar] [CrossRef]
- Schultz, G.S.; Ladwig, G.; Wysocki, A. Extracellular matrix: Review of its roles in acute and chronic wounds. World Wide Wounds 2005, 2005, 1–18. [Google Scholar]
- Sasaki, M.; Kashima, M.; Ito, T.; Watanabe, A.; Izumiyama, N.; Sano, M.; Kagaya, M.; Shioya, T.; Miura, M. Differential regulation of metalloproteinase production, proliferation and chemotaxis of human lung fibroblasts by PDGF, interleukin-1β and TNF-α. Mediat. Inflamm. 2000, 9, 155–160. [Google Scholar] [CrossRef]
- Atiyeh, B.S.; Ioannovich, J.; Magliacani, G.; Masellis, M.; Costagliola, M.; Dham, R.; Al-Farhan, M. Efficacy of moist exposed burn ointment in the management of cutaneous wounds and ulcers: A multicenter pilot study. Ann. Plast. Surg. 2002, 48, 226–227. [Google Scholar] [CrossRef][Green Version]
- Hoffmann, A.; Daniels, R. Ultra-fast disintegrating ODTs comprising viable probiotic bacteria and HPMC as a mucoadhesive. Eur. J. Pharm. Biopharm. 2019, 139, 240–245. [Google Scholar] [CrossRef] [PubMed]
- Al-Sanea, M.M.; Parambi, D.G.T.; Shaker, M.E.; Elsherif, H.A.M.; Elshemy, H.A.H.; Bakr, R.B.; Abdelgawad, M.A. Design, synthesis, and in vitro cytotoxic activity of certain 2-[3-Phenyl-4-(pyrimidin-4-yl)-1H-pyrazol1-yl] acetamide derivatives. Russ. J. Org. Chem. 2020, 56, 514–520. [Google Scholar] [CrossRef]
- Crystal Structure of Glycogen Synthase Kinase 3 in Complexed with Inhibitor. RCSB PDB, Protein Data Bank. 2004. Available online: https://www.rcsb.org/structure/1q5k (accessed on 6 September 2022).
- Crystal Structure of TNF-Alpha with a Small Molecule Inhibitor. RCSB, Protein Data Bank. 2005. Available online: https://www.rcsb.org/structure/2az5 (accessed on 6 September 2022).
- Vigers, G.P.; Anderson, L.J.; Caffes, P. Crystal structure of the type-I interleukin-1 receptor complexed with interleukin-1beta. Nature 1997, 386, 190–194. [Google Scholar] [CrossRef]
- He, M.M.; Smith, A.S.; Oslob, J.D. Small-molecule inhibition of TNF-alpha. Science 2005, 310, 1022–1025. [Google Scholar] [CrossRef] [PubMed]
- Al-Sanea, M.M.; Ali Khan, M.S.; Abdelazem, A.Z.; Lee, S.H.; Mok, P.L.; Gamal, M.; Omar, N.N. Synthesis and in vitro antiproliferative activity of new 1-phenyl-3-(4-(pyridin-3-yl) phenyl) urea scaffold-based compounds. Molecules 2018, 23, 297. [Google Scholar] [CrossRef] [PubMed]
- Bhat, R.; Xue, Y.; Berg, S. Structural insights and biological effects of glycogen synthase kinase 3-specific inhibitor AR-A014418. J. Biol. Chem. 2003, 278, 45937–45945. [Google Scholar] [CrossRef]
- Musa, A.; Shady, N.; Ahmed, S.; Alnusaire, T.; Sayed, A.; Alowaiesh, B.; Sabouni, I.; Al-Sanea, M.; Mostafa, E.; Youssif, K.; et al. Antiulcer potential of Olea europea L. Cv. arbequina leaf extract supported by metabolic profiling and molecular docking. Antioxidants 2021, 10, 644. [Google Scholar] [CrossRef]
- Bahri-Najafi, R.; Tavakoli, N.; Senemar, M.; Peikanpour, M. Preparation and pharmaceutical evaluation of glibenclamide slow release mucoadhesive buccal film. Res. Pharm. Sci. 2014, 9, 213. [Google Scholar]
- Mohamad, S.A.; Abdelkader, H.; Elrehany, M.; Mansour, H.F. Vitamin B12 buccoadhesive tablets: Auspicious non-invasive substitute for intra muscular injection: Formulation, in vitro and in vivo appraisal. Drug Dev. Ind. Pharm. 2018, 45, 244–251. [Google Scholar] [CrossRef]
- Raman, P.; Pitty, H.R. Correlation of pain score with ulcer size in oral aphthous ulcers using 2% curcumin gel and 0.1% triamcinolone oral paste-A parallel comparison study. J. Indian Acad. Oral Med. Radiol. 2021, 33, 53. [Google Scholar]
- Greer, R.O., Jr.; Lindenmuth, J.E.; Juarez, T.; Khandwala, A. A double-blind study of topically applied 5% amlexanox in the treatment of aphthous ulcers. J. Oral Maxillofac. Surg. 1993, 51, 243–248. [Google Scholar] [CrossRef]
- Carey, B.; Ormond, M.; Setterfield, J.F. Clinical Scores, in Diseases of the Oral Mucosa; Springer: Berlin/Heidelberg, Germany, 2021; pp. 35–50. [Google Scholar]
- Panda, D.S.; Padhy, S.K.; Alruwaili, N.K.; Gamal, M.; Giri, R.K.; Patro, S.K. Phytochemical analysis and investigation of Antimicrobial and Antioxidant potential of the Leaf Extracts of Putranjiva ruxburghi. Res. J. Pharm. Technol. 2021, 14, 6216–6222. [Google Scholar] [CrossRef]
- VanGuilder, H.D.; Vrana, K.E.; Freeman, W.M. Twenty-five years of quantitative PCR for gene expression analysis. Biotechniques 2008, 44, 619–626. [Google Scholar] [CrossRef] [PubMed]
- Hassan, H.A.; Abdel-Aziz, A.F. Evaluation of free radical-scavenging and anti-oxidant properties of black berry against fluoride toxicity in rats. Food Chem. Toxicol. 2010, 48, 1999–2004. [Google Scholar] [CrossRef]
- Sonboli, A.; Mojarrad, M.; Ebrahimi, S.N.; Enayat, S. Free radical scavenging activity and total phenolic content of methanolic extracts from male inflorescence of Salix aegyptiaca grown in Iran. Iran J. Pharm. Res. 2010, 9, 293–296. [Google Scholar]
- Alsenani, F.; Ashour, A.M.; Alzubaidi, M.A.; Azmy, A.F.; Hetta, M.H.; Abu-Baih, D.H.; Elrehany, M.A.; Zayed, A.; Sayed, A.M.; Abdelmohsen, U.R.; et al. Wound Healing Metabolites from Peters’ Elephant-Nose Fish Oil: An In Vivo Investigation Supported by In Vitro and In Silico Studies. Mar. Drugs 2021, 19, 605. [Google Scholar] [CrossRef]
- Ozbilgin, S.; Ozkardesler, S.; Akan, M.; Boztas, N.; Ozbilgin, M.; Ergur, B.U.; Derici, S.; Guneli, M.E.; Meseri, R. Renal ischemia/reperfusion injury in diabetic rats: The role of local ischemic preconditioning. BioMed Res. Int. 2016, 2016, 8580475. [Google Scholar] [CrossRef]
- Sandhu, S.K.; Kumar, S.; Raut, J.; Singh, M.; Kaur, S.; Sharma, G.; Roldan, T.L.; Trehan, S.; Holloway, J.; Gabriella Wahler, G.; et al. Systematic development and characterization of novel, high drug-loaded, photostable, cur-cumin solid lipid nanoparticle hydrogel for wound healing. Antioxidants 2021, 10, 725. [Google Scholar] [CrossRef]

















| No | Name | Structure | Source | Exact Mass | Ref. |
|---|---|---|---|---|---|
| 1 | Corchorifatty acid C. | ![]() | Corchorus olitorius | 308.417 | [23] |
| 2 | Digitoxigenin boivinoside. | ![]() | Corchorus olitorius | 504.662 | [24] |
| 3 | 4,7-Dihydroxycoumarin. | ![]() | Corchorus olitorius | 178.02661 | [25] |
| 4 | 9-Hydroxy-10-undecenoic acid | ![]() | Corchorus olitorius | 200.141245 | [23] |
| 5 | Corchorifatty acid B. | ![]() | Corchorus olitorius | 308.19876 | [23] |
| 6 | Corchorifatty acid F. | ![]() | Corchorus olitorius | 328.224975 | [23] |
| 7 | Corchoionoside C. | ![]() | Corchorus olitorius | 386.19407 | [26] |
| 8 | Corchoionoside A. | ![]() | Corchorus olitorius | 388.20972 | [26] |
| 9 | Corchoionoside B. | ![]() | Corchorus olitorius | 400.173335 | [26] |
| 10 | Corchoroside B. | ![]() | Corchorus olitorius | 518.28797 | [24] |
| 11 | Trachelosperogenin A. | ![]() | Corchorus olitorius | 518.324355 | [28] |
| 12 | Corchoroside A. | ![]() | Corchorus olitorius | 534.282885 | [29] |
| 13 | Corchorosol A. | ![]() | Corchorus olitorius | 536.298535 | [24] |
| 14 | Corchoruside B. | ![]() | Corchorus olitorius | 638.148305 | [30] |
| 15 | Coroloside. | ![]() | Corchorus olitorius | 666.36153 | [12] |
| 16 | Corchorusoside B. | ![]() | Corchorus olitorius | 682.356445 | [31] |
| 17 | Olitoriside. | ![]() | Corchorus olitorius | 696.33571 | [32] |
| 18 | Corchorusoside D. | ![]() | Corchorus olitorius | 698.35136 | [31] |
| 19 | Corchorusoside A | ![]() | Corchorus olitorius | 800.10 | [31] |
| 20 | Olitoriusin. | ![]() | Corchorus olitorius | 858.388535 | [32] |
| 21 | Corchorusoside E. | ![]() | Corchorus olitorius | 860.404185 | [31] |
| Sociodemographic Characteristics | Control Group | Intervention Group | p-Value |
|---|---|---|---|
| Age | 36.6 ± 6 | 35.6 ± 4 | 0.74 |
| Sex (male %) | 45 ± 2 | 55 ± 3 | 0.7 |
| Residence (rural %) | 50 ± 0.5 | 50 ± 1 | <0.5 |
| Education (well-educated %) | 55 ± 0.3 | 45 ± 0.2 | <0.5 |
| Onset of ulcers (days) | 1 ± 0.3 | 1 ± 0.6 | <0.5 |
| Observation | Control Group | Intervention Group | p-Value |
|---|---|---|---|
| Pain score (0–10) | 8 ± 1 | 7 ± 2 | 0.74 |
| Ulcer size (mm) | 5 ± 2 | 5 ± 3 | 0.71 |
| Erythema (0–5) | 3 ± 0.5 | 4 ± 1 | 0.81 |
| Observation | Control Group | Intervention Group | p-Value |
|---|---|---|---|
| Pain score | 6.5 ± 0.5 | 4 ± 2 | 0.042 * |
| Ulcer size (mm) | 3 ± 1 | 0 ± 2 | 0.0052 ** |
| Erythema | 2 ± 0.5 | 1 ± 1.5 | 0.034 * |
| Observation | Control Group | Intervention Group |
|---|---|---|
| Pain score (EI%) | 45% | 75% |
| Ulcer size (EI%) | 25% | 70% |
| Erythema (EI%) | 50% | 75% |
| Compound | TNF-α (PDB 2AZ5) | IL-1β (PDB 6Y8M) | ||||||
|---|---|---|---|---|---|---|---|---|
| Binding Energy Score (kcal/mol) | Interacting Residues | Interaction Type | Interaction Distance (Å) | Binding Energy Score (kcal/mol) | Interacting Residues | Interaction Type | Interaction Distance (Å) | |
| Co-crystallized ligand | −7.16 | Leu120 | H-donor | 3.02 | −4.77 | Met44 | H-donor | 4.27 |
| Leu120 | pi-H | 4.69 | Met148 | H-donor | 4.13 | |||
| Tyr59 | pi-pi | 3.94 | Lys103 | H-acceptor | 3.01 | |||
| Lys103 | H-acceptor | 3.24 | ||||||
| Lys103 | H-acceptor | 2.97 | ||||||
| Leu110 | pi-H | 4.45 | ||||||
| 1 | −6.27 | Gly122 | H-acceptor | 3.35 | −6.20 | Met148 | H-donor | 3.65 |
| His15 | H-pi | 4.09 | Arg11 | H-acceptor | 2.94 | |||
| Tyr59 | H-pi | 4.44 | Arg11 | H-acceptor | 3.42 | |||
| Tyr59 | H-pi | 4.21 | Lys103 | H-acceptor | 3.04 | |||
| Thr147 | H-acceptor | 3.41 | ||||||
| 2 | −6.97 | Tyr119 | H-pi | 4.38 | −7.49 | Asn53 | H-donor | 3.25 |
| Gln149 | H-acceptor | 3.23 | ||||||
| Lys103 | H-acceptor | 3.08 | ||||||
| 3 | −4.26 | Tyr119 | H-donor | 3.08 | −4.09 | Thr147 | pi-H | 4.90 |
| Tyr151 | H-acceptor | 3.61 | Met148 | pi-H | 4.10 | |||
| Gln61 | H-acceptor | 3.69 | Met148 | pi-H | 4.37 | |||
| Tyr151 | H-acceptor | 3.54 | ||||||
| 4 | −5.20 | Tyr119 | H-donor | 3.08 | −5.52 | Met148 | H-acceptor | 2.93 |
| Tyr151 | H-acceptor | 3.61 | Thr147 | H-acceptor | 3.27 | |||
| Gln61 | H-acceptor | 3.69 | Met148 | H-acceptor | 3.28 | |||
| Tyr151 | H-acceptor | 3.54 | ||||||
| 5 | −6.46 | Tyr151 | H-acceptor | 3.14 | −7.13 | Met148 | H-acceptor | 3.53 |
| Leu120 | H-acceptor | 3.52 | Arg11 | H-acceptor | 3.09 | |||
| Gly121 | H-acceptor | 3.01 | Arg | ionic | 2.93 | |||
| Arg | ionic | 3.55 | ||||||
| 6 | −6.39 | Lys98 | H-acceptor | 3.25 | −6.79 | Lys103 | H-acceptor | 2.72 |
| Ile118 | H-acceptor | 3.6 | Asp54 | H-acceptor | 3.30 | |||
| Tyr119 | H-acceptor | 3.71 | Met148 | H-acceptor | 3.23 | |||
| Lys98 | H-acceptor | 3.28 | ||||||
| Lys98 | ionic | 3.37 | ||||||
| 7 | −6.33 | Tyr119 | H-donor | 3.31 | −7.76 | Asn53 | H-donor | 3.08 |
| Gly121 | H-donor | 3.08 | Thr147 | H-acceptor | 3.29 | |||
| Met148 | H-acceptor | 3.09 | ||||||
| Lys103 | H-acceptor | 2.94 | ||||||
| 8 | −6.34 | Tyr119 | H-donor | 3.15 | −6.95 | Asn53 | H-donor | 3.05 |
| Leu120 | H-acceptor | 3.47 | Asn108 | H-donor | 3.18 | |||
| Gly121 | H-acceptor | 3.35 | Lys103 | H-acceptor | 2.98 | |||
| Met148 | H-acceptor | 3.35 | ||||||
| 9 | −6.33 | Lys98 | H-acceptor | 3.24 | −7.22 | Met148 | H-donor | 3.19 |
| Tyr119 | H-pi | 4.63 | Asn53 | H-donor | 2.88 | |||
| Lys103 | H-acceptor | 3.50 | ||||||
| Met148 | H-acceptor | 3.51 | ||||||
| Lys103 | H-acceptor | 2.86 | ||||||
| 10 | −7.38 | Tyr119 | H-donor | 3.51 | −7.37 | Met148 | H-donor | 3.39 |
| Tyr119 | H-pi | 4.35 | Gln15 | H-donor | 3.09 | |||
| Tyr151 | H-pi | 5 | Met148 | H-acceptor | 3.12 | |||
| Tyr119 | H-pi | 4.64 | Gln149 | H-acceptor | 3.50 | |||
| Arg11 | H-acceptor | 3.01 | ||||||
| 11 | −5.72 | Tyr151 | H-acceptor | 3.11 | −6.16 | Met148 | H-donor | 2.88 |
| Tyr59 | H-pi | 4.25 | Thr147 | H-acceptor | 3.37 | |||
| Lys103 | ionic | 2.74 | ||||||
| 12 | −6.63 | Gly121 | H-donor | 3.46 | −8.01 | Met148 | H-donor | 3.40 |
| Gly121 | H-acceptor | 3.17 | Met148 | H-acceptor | 2.93 | |||
| Tyr59 | H-pi | 4.74 | Gln149 | H-acceptor | 3.07 | |||
| Tyr59 | H-pi | 3.77 | ||||||
| 13 | −6.81 | Leu120 | H-donor | 2.97 | −7.52 | Asn108 | H-donor | 2.81 |
| Tyr119 | H-donor | 3.2 | Met148 | H-acceptor | 3.17 | |||
| Tyr59 | H-pi | 4.48 | Lys103 | H-acceptor | 2.96 | |||
| Tyr59 | H-pi | 4.68 | Gln149 | H-acceptor | 3.18 | |||
| 14 | −7.75 | Tyr151 | H-acceptor | 3.12 | −8.44 | Asn53 | H-donor | 2.89 |
| Tyr119 | pi-H | 3.53 | Asn108 | H-donor | 3.03 | |||
| Tyr119 | pi-H | 4.33 | Lys103 | H-donor | 2.96 | |||
| Tyr119 | pi-H | 4.75 | Thr147 | H-acceptor | 3.35 | |||
| Asn108 | H-acceptor | 3.33 | ||||||
| Asp54 | H-acceptor | 3.68 | ||||||
| Gln149 | H-acceptor | 3.32 | ||||||
| 15 | −7.81 | Gly121 | H-donor | 3.04 | −8.63 | Met148 | H-donor | 3.47 |
| Tyr151 | H-acceptor | 2.96 | Asn53 | H-donor | 2.91 | |||
| Tyr151 | H-acceptor | 3.01 | Asn53 | H-donor | 3.22 | |||
| Gly121 | H-acceptor | 3.08 | Asp54 | H-donor | 3.56 | |||
| Tyr119 | H-pi | 4.52 | Glu105 | H-donor | 3.38 | |||
| Tyr59 | H-pi | 3.66 | Gln149 | H-acceptor | 3.21 | |||
| 16 | −7.61 | Gly148 | H-donor | 3.02 | −8.34 | Met148 | H-donor | 3.05 |
| Asn34 | H-donor | 2.91 | Met148 | H-donor | 3.65 | |||
| Gln149 | H-acceptor | 3.27 | Asp54 | H-donor | 2.89 | |||
| Tyr59 | H-pi | 3.64 | Thr147 | H-acceptor | 3.49 | |||
| His15 | H-pi | 4.38 | Lys103 | H-acceptor | 2.97 | |||
| Tyr151 | H-pi | 4.07 | Lys103 | H-acceptor | 3.05 | |||
| 17 | −8.36 | Gln61 | H-donor | 3.15 | −8.87 | Met148 | H-donor | 3.61 |
| Gln149 | H-donor | 2.92 | Met148 | H-acceptor | 2.90 | |||
| Tyr119 | H-pi | 4.66 | Gln149 | H-acceptor | 3.58 | |||
| Tyr59 | H-pi | 4.93 | Arg11 | H-acceptor | 3.53 | |||
| Gln149 | H-acceptor | 3.42 | ||||||
| Arg11 | H-acceptor | 3.10 | ||||||
| 18 | −8.44 | Gly121 | H-donor | 2.9 | −8.49 | Asn53 | H-donor | 3.00 |
| Ser95 | H-donor | 3.38 | Glu105 | H-donor | 3.29 | |||
| Gly121 | H-donor | 3.42 | Gln149 | H-acceptor | 3.53 | |||
| Ser95 | H-donor | 3.54 | Lys103 | H-acceptor | 3.13 | |||
| Tyr151 | H-acceptor | 3.54 | Lys103 | H-acceptor | 2.97 | |||
| Tyr151 | H-acceptor | 2.96 | ||||||
| 19 | −9.37 | Ser95 | H-donor | 2.87 | −9.72 | Glu105 | H-donor | 3.34 |
| Leu120 | pi-H | 4.95 | Asp54 | H-donor | 2.76 | |||
| Gly121 | pi-H | 4.77 | Met148 | H-donor | 3.06 | |||
| Gly121 | pi-H | 4.82 | Lys103 | H-acceptor | 2.94 | |||
| Phe46 | H-pi | 3.86 | ||||||
| Met148 | H-pi | 4.64 | ||||||
| 20 | −8.83 | Glu146 | H-donor | 3.47 | −9.17 | Asn108 | H-donor | 2.87 |
| Glu146 | H-donor | 3.12 | Met148 | H-donor | 2.90 | |||
| Gly121 | H-donor | 3.64 | Met148 | H-acceptor | 3.19 | |||
| Tyr119 | H-pi | 3.84 | Arg11 | H-acceptor | 3.17 | |||
| Tyr115 | H-pi | 4.35 | Gln149 | H-acceptor | 3.58 | |||
| 21 | −9.08 | Glu146 | H-donor | 2.84 | −9.74 | Met148 | H-donor | 3.49 |
| Glu146 | H-donor | 2.79 | Asn108 | H-donor | 2.89 | |||
| Tyr151 | H-acceptor | 2.91 | Asn108 | H-donor | 3.19 | |||
| Tyr119 | H-pi | 4.53 | Met148 | H-donor | 2.94 | |||
| Ser152 | H-acceptor | 3.00 | ||||||
| Lys103 | H-acceptor | 3.20 | ||||||
| Lys103 | H-acceptor | 2.89 | ||||||
| Glu105 | H-acceptor | 3.46 | ||||||
| Lys103 | H-acceptor | 3.09 | ||||||
| Cpd | Binding Energy Score (kcal/mol) | Interacting Residues | Interaction Type | Interaction Distance (Å) |
|---|---|---|---|---|
| TMU | −8.20 | VAL135 | H-donor | 2.49 |
| ASP133 | H-donor | 3.35 | ||
| VAL135 | H-donor | 3.11 | ||
| VAL135 | H-acceptor | 3.22 | ||
| ILE62 | pi-H | 3.89 | ||
| 1 | −8.59 | PRO136 | H-donor | 2.77 |
| LYS60 | H-acceptor | 2.99 | ||
| GLN72 | H-acceptor | 3.45 | ||
| LYS60 | H-acceptor | 2.88 | ||
| LYS60 | ionic | 2.99 | ||
| 2 | −8.32 | LYS85 | H-acceptor | 3.75 |
| ARG144 | H-acceptor | 2.99 | ||
| ARG144 | H-acceptor | 3.35 | ||
| 3 | −5.39 | VAL135 | H-donor | 3.33 |
| ASP200 | H-acceptor | 3.22 | ||
| VAL70 | pi-H | 4.29 | ||
| VAL70 | pi-H | 4.59 | ||
| 4 | −7.33 | PRO136 | H-donor | 2.92 |
| ASP200 | H-acceptor | 3.24 | ||
| LYS85 | H-acceptor | 3.57 | ||
| 5 | −7.99 | CYS199 | H-donor | 3.76 |
| LYS60 | H-acceptor | 2.97 | ||
| LYS85 | H-acceptor | 3.59 | ||
| LYS60 | H-acceptor | 2.99 | ||
| GLN72 | H-acceptor | 3.52 | ||
| LYS60 | ionic | 2.97 | ||
| 6 | −8.97 | ARG141 | H-acceptor | 3.14 |
| ARG144 | H-acceptor | 2.94 | ||
| TYR134 | H-acceptor | 3.35 | ||
| ARG144 | H-acceptor | 3.02 | ||
| VAL135 | H-acceptor | 3.24 | ||
| 7 | −8.40 | VAL135 | H-donor | 3.11 |
| ILE62 | H-acceptor | 3.58 | ||
| 8 | −8.81 | CYS199 | H-donor | 3.67 |
| ILE62 | H-donor | 3.26 | ||
| PRO136 | H-donor | 3.19 | ||
| LYS85 | H-acceptor | 3.53 | ||
| 9 | −8.36 | CYS199 | H-donor | 3.52 |
| ARG141 | H-acceptor | 3.41 | ||
| ARG144 | H-acceptor | 3.07 | ||
| ARG144 | H-acceptor | 3.1 | ||
| LYS85 | H-acceptor | 3.12 | ||
| TYR140 | H-pi | 4.97 | ||
| 10 | −8.14 | GLN185 | H-donor | 3.16 |
| VAL135 | H-donor | 3.1 | ||
| ARG141 | H-acceptor | 3.34 | ||
| 11 | −7.70 | ARG141 | H-acceptor | 3.06 |
| LYS85 | H-acceptor | 2.8 | ||
| ARG144 | ionic | 3.98 | ||
| 12 | −8.66 | CYS199 | H-donor | 3.33 |
| GLN185 | H-donor | 3.39 | ||
| GLN185 | H-donor | 3.47 | ||
| CYS199 | H-donor | 3.62 | ||
| 13 | −9.04 | ASN186 | H-donor | 3.44 |
| ILE62 | H-donor | 3.39 | ||
| VAL61 | H-donor | 3.39 | ||
| PHE67 | H-acceptor | 3.3 | ||
| 14 | −11.13 | CYS199 | H-donor | 3.8 |
| CYS199 | H-donor | 4.29 | ||
| PRO136 | H-donor | 2.8 | ||
| ILE62 | H-donor | 3.13 | ||
| CYS199 | H-acceptor | 3.17 | ||
| ASP200 | H-acceptor | 3.15 | ||
| ILE62 | pi-H | 3.93 | ||
| ARG141 | pi-H | 3.52 | ||
| 15 | −10.37 | ILE62 | H-donor | 3.67 |
| ARG141 | H-acceptor | 3.12 | ||
| 16 | −11.49 | ASN186 | H-donor | 3.91 |
| ASP200 | H-donor | 2.82 | ||
| PRO136 | H-donor | 3.51 | ||
| ARG141 | H-acceptor | 3.21 | ||
| 17 | −10.12 | ILE62 | H-donor | 3.26 |
| VAL61 | H-donor | 2.97 | ||
| ARG144 | H-acceptor | 3.27 | ||
| ARG141 | H-acceptor | 3.08 | ||
| LYS85 | H-acceptor | 3.64 | ||
| 18 | −9.92 | ILE62 | H-donor | 3.41 |
| CYS199 | H-donor | 3.67 | ||
| ILE62 | H-acceptor | 3.52 | ||
| ARG141 | H-acceptor | 3.35 | ||
| ASP200 | H-acceptor | 3.5 | ||
| LYS85 | H-acceptor | 3.07 | ||
| 19 | −11.29 | ASN64 | H-donor | 3.3 |
| GLN72 | H-acceptor | 3.13 | ||
| ILE62 | pi-H | 3.82 | ||
| VAL70 | pi-H | 4.22 | ||
| ARG141 | pi-H | 4.23 | ||
| CYS199 | pi-H | 3.69 | ||
| 20 | −11.45 | ILE62 | H-donor | 3.37 |
| ILE62 | H-donor | 3.54 | ||
| GLN185 | H-donor | 3.69 | ||
| CYS199 | H-donor | 3.51 | ||
| ILE62 | H-acceptor | 3.54 | ||
| CYS199 | H-acceptor | 3.68 | ||
| ASP200 | H-acceptor | 3.13 | ||
| 21 | −9.71 | ILE62 | H-donor | 3.24 |
| LYS60 | H-acceptor | 3.19 | ||
| ARG141 | H-acceptor | 3.36 | ||
| LYS183 | H-acceptor | 3.33 |
Publisher’s Note: MDPI stays neutral with regard to jurisdictional claims in published maps and institutional affiliations. |
© 2022 by the authors. Licensee MDPI, Basel, Switzerland. This article is an open access article distributed under the terms and conditions of the Creative Commons Attribution (CC BY) license (https://creativecommons.org/licenses/by/4.0/).
Share and Cite
Shady, N.H.; Altemani, A.H.; Altemani, F.H.; Maher, S.A.; Elrehany, M.A.; Saber, E.A.; Badawi, A.M.; El-Mordy, F.M.A.; Mohamed, N.M.; Abourehab, M.A.S.; et al. The Potential of Corchorus olitorius Seeds Buccal Films for Treatment of Recurrent Minor Aphthous Ulcerations in Human Volunteers. Molecules 2022, 27, 7020. https://doi.org/10.3390/molecules27207020
Shady NH, Altemani AH, Altemani FH, Maher SA, Elrehany MA, Saber EA, Badawi AM, El-Mordy FMA, Mohamed NM, Abourehab MAS, et al. The Potential of Corchorus olitorius Seeds Buccal Films for Treatment of Recurrent Minor Aphthous Ulcerations in Human Volunteers. Molecules. 2022; 27(20):7020. https://doi.org/10.3390/molecules27207020
Chicago/Turabian StyleShady, Nourhan Hisham, Abdullah H. Altemani, Faisal H. Altemani, Sherif A. Maher, Mahmoud A. Elrehany, Entesar Ali Saber, Ahmed M. Badawi, Fatma Mohamed Abd El-Mordy, Nada M. Mohamed, Mohammed A. S. Abourehab, and et al. 2022. "The Potential of Corchorus olitorius Seeds Buccal Films for Treatment of Recurrent Minor Aphthous Ulcerations in Human Volunteers" Molecules 27, no. 20: 7020. https://doi.org/10.3390/molecules27207020
APA StyleShady, N. H., Altemani, A. H., Altemani, F. H., Maher, S. A., Elrehany, M. A., Saber, E. A., Badawi, A. M., El-Mordy, F. M. A., Mohamed, N. M., Abourehab, M. A. S., Sayed, A. M., Abdelmohsen, U. R., & Mohamad, S. A. (2022). The Potential of Corchorus olitorius Seeds Buccal Films for Treatment of Recurrent Minor Aphthous Ulcerations in Human Volunteers. Molecules, 27(20), 7020. https://doi.org/10.3390/molecules27207020






















