Ultrasound, Acetic Acid, and Peracetic Acid as Alternatives Sanitizers to Chlorine Compounds for Fresh-Cut Kale Decontamination
Abstract
1. Introduction
2. Material and Methods
2.1. Experimental Design, Obtaining Samples, and Sanitizing Procedure
2.2. Storage Time Study
2.3. Evaluation of the Efficiency of Sanitization in the Natural Microbiota
2.4. Inoculation of Salmonella enterica Typhimurium ATCC 14028 on Kale Surface
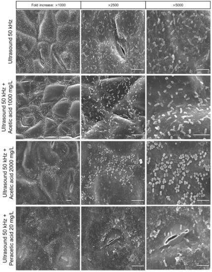
2.5. Scanning Electronic Microscopy after Inoculation of Salmonella enterica Typhimurium ATCC 14028 and Decontamination Procedures
2.6. Physicochemical and Bioactive Compound Analysis
2.7. Statistical Analysis
3. Results and Discussion
3.1. Effect of Sanitization Treatments on the Natural Contaminating Microbiota
3.2. Inactivation of Salmonella enterica Typhimurium and Microscopic Visualization of Cells Adhered to the Surface of Kale after Sanitization
3.3. Impact of Sanitization Treatments on the Physicochemical and Nutritional Parameters
4. Conclusions
Author Contributions
Funding
Institutional Review Board Statement
Informed Consent Statement
Data Availability Statement
Acknowledgments
Conflicts of Interest
Sample Availability
References
- Alenyorege, E.A.; Ma, H.; Aheto, J.H.; Ayim, I.; Chikari, F.; Osae, R.; Zhou, C. Response Surface Methodology Centred Optimization of Mono-Frequency Ultrasound Reduction of Bacteria in Fresh-Cut Chinese Cabbage and Its Effect on Quality. LWT 2020, 122, 108991. [Google Scholar] [CrossRef]
- Duarte, A.L.A.; do Rosário, D.K.A.; Oliveira, S.B.S.; de Souza, H.L.S.; de Carvalho, R.V.; Carneiro, J.C.S.; Silva, P.I.; Bernardes, P.C. Ultrasound Improves Antimicrobial Effect of Sodium Dichloroisocyanurate to Reduce Salmonella Typhimurium on Purple Cabbage. Int. J. Food Microbiol. 2018, 269, 12–18. [Google Scholar] [CrossRef] [PubMed]
- Marques, C.S.; Grillo, R.P.; Bravim, D.G.; Pereira, P.V.; Oliveira Villanova, J.C.; Pinheiro, P.F.; Souza Carneiro, J.C.; Bernardes, P.C. Preservation of Ready-to-Eat Salad: A Study with Combination of Sanitizers, Ultrasound, and Essential Oil-Containing β-Cyclodextrin Inclusion Complex. LWT 2019, 115, 108433. [Google Scholar] [CrossRef]
- Alenyorege, E.A.; Ma, H.; Ayim, I. Inactivation Kinetics of Inoculated Escherichia coli and Listeria innocua in Fresh-Cut Chinese Cabbage Using Sweeping Frequency Ultrasound. J. Food Saf. 2019, 39, e12696. [Google Scholar] [CrossRef]
- Vargas, L.; Kapoor, R.; Nemzer, B.; Feng, H. Application of Different Drying Methods for Evaluation of Phytochemical Content and Physical Properties of Broccoli, Kale, and Spinach. LWT 2022, 155, 112892. [Google Scholar] [CrossRef]
- Mir, S.A.; Shah, M.A.; Mir, M.M.; Dar, B.N.; Greiner, R.; Roohinejad, S. Microbiological Contamination of Ready-to-Eat Vegetable Salads in Developing Countries and Potential Solutions in the Supply Chain to Control Microbial Pathogens. Food Control 2018, 85, 235–244. [Google Scholar] [CrossRef]
- Mendoza, I.C.; Luna, E.O.; Pozo, M.D.; Vásquez, M.V.; Montoya, D.C.; Moran, G.C.; Romero, L.G.; Yépez, X.; Salazar, R.; Romero-Peña, M.; et al. Conventional and Non-Conventional Disinfection Methods to Prevent Microbial Contamination in Minimally Processed Fruits and Vegetables. LWT 2022, 165, 113714. [Google Scholar] [CrossRef]
- CDC Lettuce, Other Leafy Greens, and Food Safety. Available online: https://www.cdc.gov/foodsafety/communication/leafy-greens.html (accessed on 9 June 2020).
- Bhilwadikar, T.; Pounraj, S.; Manivannan, S.; Rastogi, N.K.; Negi, P.S. Decontamination of Microorganisms and Pesticides from Fresh Fruits and Vegetables: A Comprehensive Review from Common Household Processes to Modern Techniques. Compr. Rev. Food Sci. Food Saf. 2019, 18, 1003–1038. [Google Scholar] [CrossRef]
- Pelissari, E.M.R.; Covre, K.V.; do Rosario, D.K.A.; de São José, J.F.B. Application of Chemometrics to Assess the Influence of Ultrasound and Chemical Sanitizers on Vegetables: Impact on Natural Microbiota, Salmonella Enteritidis and Physicochemical Nutritional Quality. LWT 2021, 148, 111711. [Google Scholar] [CrossRef]
- Lepaus, B.M.; Rocha, J.S.; de São José, J.F.B. Organic Acids and Hydrogen Peroxide Can Replace Chlorinated Compounds as Sanitizers on Strawberries, Cucumbers and Rocket Leaves. Food Sci. Technol. 2020, 40, 242–249. [Google Scholar] [CrossRef]
- De São José, J.F.B.; Medeiros, H.S.; de Andrade, N.J.; Ramos, A.M.; Vanetti, M.C.D. Effect of Ultrasound and Chemical Compounds on Microbial Contamination, Physicochemical Parameters and Bioactive Compounds of Cherry Tomatoes. Italian J. Food Sci. 2018, 30, 467–486. [Google Scholar] [CrossRef]
- Pahariya, P.; Fisher, D.J.; Choudhary, R. Comparative Analyses of Sanitizing Solutions on Microbial Reduction and Quality of Leafy Greens. LWT 2022, 154, 112696. [Google Scholar] [CrossRef]
- Nicolau-Lapeña, I.; Abadias, M.; Bobo, G.; Aguiló-Aguayo, I.; Lafarga, T.; Viñas, I. Strawberry Sanitization by Peracetic Acid Washing and Its Effect on Fruit Quality. Food Microbiol. 2019, 83, 159–166. [Google Scholar] [CrossRef]
- Zhou, B.; Luo, Y.; Nou, X.; Mwangi, E.; Poverenov, E.; Rodov, V.; Demokritou, P.; Fonseca, J.M. Effects of a Novel Combination of Gallic Acid, Hydrogen Peroxide and Lactic Acid on Pathogen Inactivation and Shelf-Life of Baby Spinach. Food Control 2023, 143, 109284. [Google Scholar] [CrossRef]
- Lippman, B.; Yao, S.; Huang, R.; Chen, H. Evaluation of the Combined Treatment of Ultraviolet Light and Peracetic Acid as an Alternative to Chlorine Washing for Lettuce Decontamination. Int. J. Food Microbiol. 2020, 323, 108590. [Google Scholar] [CrossRef] [PubMed]
- Alenyorege, E.A.; Ma, H.; Ayim, I.; Lu, F.; Zhou, C. Efficacy of Sweep Ultrasound on Natural Microbiota Reduction and Quality Preservation of Chinese Cabbage during Storage. Ultrason. Sonochem. 2019, 59, 104712. [Google Scholar] [CrossRef] [PubMed]
- Coswosck, K.H.C.; Giorgette, M.A.; Lepaus, B.M.; da Silva, E.M.M.; Sena, G.G.S.; de Almeida Azevedo, M.C.; de São José, J.F.B. Impact of Alternative Sanitizers on the Physicochemical Quality, Chlorophyll Content and Bioactive Compounds of Fresh Vegetables. Food Sci. Technol. 2021, 41, 328–334. [Google Scholar] [CrossRef]
- Ranjha, M.M.A.N.; Irfan, S.; Lorenzo, J.M.; Shafique, B.; Kanwal, R.; Pateiro, M.; Arshad, R.N.; Wang, L.; Nayik, G.A.; Roobab, U.; et al. Sonication, a Potential Technique for Extraction of Phytoconstituents: A Systematic Review. Processes 2021, 9, 1406. [Google Scholar] [CrossRef]
- Zia, S.; Khan, M.R.; Shabbir, M.A.; Aslam Maan, A.; Khan, M.K.I.; Nadeem, M.; Khalil, A.A.; Din, A.; Aadil, R.M. An Inclusive Overview of Advanced Thermal and Nonthermal Extraction Techniques for Bioactive Compounds in Food and Food-Related Matrices. Food Rev. Int. 2022, 38, 1166–1196. [Google Scholar] [CrossRef]
- Downes, F.P.; Ito, K. Compendium of Methods for Microbiological Examination of Foods; American Public Health Association: Washington, DC, USA, 2001. [Google Scholar]
- De São José, J.F.B.; de Medeiros, H.S.; Bernardes, P.C.; de Andrade, N.J. Removal of Salmonella enterica Enteritidis and Escherichia coli from Green Peppers and Melons by Ultrasound and Organic Acids. Int. J. Food Microbiol. 2014, 190, 9–13. [Google Scholar] [CrossRef]
- AOAC International. Official Methods of Analysis of AOAC International; AOAC International: Gaithersburg, MD, USA, 2005. [Google Scholar]
- Singleton, V.L.; Orthofer, R.; Lamuela-Raventós, R.M. Analysis of Total Phenols and Other Oxidation Substrates and Antioxidants by Means of Folin-Ciocalteu Reagent. Methods Enzymol. 1999, 299, 152–178. [Google Scholar] [CrossRef]
- Blois, M.S. Antioxidant Determinations by the Use of a Stable Free Radical. Nature 1958, 181, 1199–1200. [Google Scholar] [CrossRef]
- Alvarenga, P.D.L.; Mileib Vasconcelos, C.; de São José, J.F.B. Application of Ultrasound Combined with Acetic Acid and Peracetic Acid: Microbiological and Physicochemical Quality of Strawberries. Molecules 2020, 26, 16. [Google Scholar] [CrossRef] [PubMed]
- Cao, S.; Hu, Z.; Pang, B.; Wang, H.; Xie, H.; Wu, F. Effect of Ultrasound Treatment on Fruit Decay and Quality Maintenance in Strawberry after Harvest. Food Control 2010, 21, 529–532. [Google Scholar] [CrossRef]
- Ju, S.Y.; Ko, J.J.; Yoon, H.S.; Seon, S.J.; Yoon, Y.R.; Lee, D.I.; Kim, S.Y.; Chang, H.J. Does Electrolyzed Water Have Different Sanitizing Effects than Sodium Hypochlorite on Different Vegetable Types? Br. Food J. 2017, 119, 342–356. [Google Scholar] [CrossRef]
- Bang, H.J.; Park, S.Y.; Kim, S.E.; Md Furkanur Rahaman, M.; Ha, S.D. Synergistic Effects of Combined Ultrasound and Peroxyacetic Acid Treatments against Cronobacter sakazakii Biofilms on Fresh Cucumber. LWT 2017, 84, 91–98. [Google Scholar] [CrossRef]
- Yaron, S.; Römling, U. Biofilm Formation by Enteric Pathogens and Its Role in Plant Colonization and Persistence. Microb. Biotechnol. 2014, 7, 496–516. [Google Scholar] [CrossRef]
- De São José, J.F.B.; Vanetti, M.C.D. Effect of Ultrasound and Commercial Sanitizers in Removing Natural Contaminants and Salmonella enterica Typhimurium on Cherry Tomatoes. Food Control 2012, 24, 95–99. [Google Scholar] [CrossRef]
- Rosário, D.K.A.; da Silva Mutz, Y.; Peixoto, J.M.C.; Oliveira, S.B.S.; de Carvalho, R.V.; Carneiro, J.C.S.; de São José, J.F.B.; Bernardes, P.C. Ultrasound Improves Chemical Reduction of Natural Contaminant Microbiota and Salmonella enterica subsp. Enterica on Strawberries. Int. J. Food Microbiol. 2017, 241, 23–29. [Google Scholar] [CrossRef]
- Turhan, E.U.; Polat, S.; Erginkaya, Z.; Konuray, G. Investigation of Synergistic Antibacterial Effect of Organic Acids and Ultrasound against Pathogen Biofilms on Lettuce. Food Biosci. 2022, 47, 101643. [Google Scholar] [CrossRef]
- De São José, J.F.B.; de Andrade, N.J.; Ramos, A.M.; Vanetti, M.C.D.; Stringheta, P.C.; Chaves, J.B.P. Decontamination by Ultrasound Application in Fresh Fruits and Vegetables. Food Control 2014, 45, 36–55. [Google Scholar] [CrossRef]
- Li, J.; Suo, Y.; Liao, X.; Ahn, J.; Liu, D.; Chen, S.; Ye, X.; Ding, T. Analysis of Staphylococcus aureus Cell Viability, Sublethal Injury and Death Induced by Synergistic Combination of Ultrasound and Mild Heat. Ultrason. Sonochem. 2017, 39, 101–110. [Google Scholar] [CrossRef]
- Tan, M.S.F.; Rahman, S.; Dykes, G.A. Sonication Reduces the Attachment of Salmonella Typhimurium ATCC 14028 Cells to Bacterial Cellulose-Based Plant Cell Wall Models and Cut Plant Material. Food Microbiol. 2017, 62, 62–67. [Google Scholar] [CrossRef] [PubMed]
- Giaouris, E.E.; Simões, M.V. Pathogenic Biofilm Formation in the Food Industry and Alternative Control Strategies. Foodborne Dis. 2018, 15, 309–377. [Google Scholar] [CrossRef]
- De Jesus Pimentel-Filho, N.; de Freitas Martins, M.C.; Nogueira, G.B.; Mantovani, H.C.; Vanetti, M.C.D. Bovicin HC5 and Nisin Reduce Staphylococcus aureus Adhesion to Polystyrene and Change the Hydrophobicity Profile and Gibbs Free Energy of Adhesion. Int. J. Food Microbiol. 2014, 190, 1–8. [Google Scholar] [CrossRef] [PubMed]
- Bayoudh, S.; Othmane, A.; Bettaieb, F.; Bakhrouf, A.; Ouada, H.B.; Ponsonnet, L. Quantification of the Adhesion Free Energy between Bacteria and Hydrophobic and Hydrophilic Substrata. Mater. Sci. Eng. C 2006, 26, 300–305. [Google Scholar] [CrossRef]
- De São José, J.F.B.; Vanetti, M.C.D. Application of Ultrasound and Chemical Sanitizers to Watercress, Parsley and Strawberry: Microbiological and Physicochemical Quality. LWT 2015, 63, 946–952. [Google Scholar] [CrossRef]
- Wu, W.; Gao, H.; Chen, H.; Fang, X.; Han, Q.; Zhong, Q. Combined Effects of Aqueous Chlorine Dioxide and Ultrasonic Treatments on Shelf-Life and Nutritional Quality of Bok Choy (Brassica chinensis). LWT 2019, 101, 757–763. [Google Scholar] [CrossRef]




| Treatment | Aerobic Mesophilic Bacteria | Molds and Yeasts | Coliforms at 35 °C | |||
|---|---|---|---|---|---|---|
| Day 1 | Day 6 | Day 1 | Day 6 | Day 1 | Day 6 | |
| Non-sanitizer | 6.8 ± 0.3 aA | 8.4 ± 0.1 bA | 5.4 ± 0.3 aA | 5.5 ± 0.5 aA | 3.8 ± 0.3 aA | 2.00 ± 0.19 b |
| SDC 200 mg/L | 5.4 ± 0.4 aBC | 8.1 ± 0.3 bA | 4.2 ± 0.3 aBC | 4.5 ± 0.5 aAB | 2.6 ± 0.2 B | Nd |
| AA 1000 mg/L | 5.0 ± 0.5 aBCD | 7.7 ± 0.3 bA | 3.6 ± 0.3 aBCD | 4.0 ± 0.2 aAB | 2.2 ± 0.3 BC | Nd |
| AA 2000 mg/L | 4.5 ± 0.5 aCD | 5.8 ± 0.8 bAB | 3.5 ± 0.2 aCD | 3.9 ± 0.3 aAB | 2.3 ± 0.3 B | Nd |
| PAA 20 mg/L | 5.0 ± 0.3 aBCD | 6.7 ± 0.9 bAB | 3.6 ± 0.3 aBCD | 3.7 ± 0.3 aB | 2.0 ± 0.5 BC | Nd |
| US 50 kHz | 5.7 ± 0.4 aAB | 7.4 ± 0.6 bAB | 4.4 ± 0.3 aB | 4.5 ± 0.6 aAB | 2.9 ± 0.6 AB | Nd |
| US 50 kHz + AA 1000 mg/L | 5.0 ± 0.2 aBCD | 5.0 ± 0.8 aB | 3.1 ± 0.3 aD | 3.9 ± 0.5 aB | 2.1 ± 0.2 BC | Nd |
| US 50 kHz + AA 2000 mg/L | 4.3 ± 0.4 aD | 5.0 ± 0.6 aB | 3.3 ± 0.2 aD | 3.7 ± 0.3 aB | 2.2 ± 0.2 BC | Nd |
| US 50 kHz + PA 20 mg/L | 4.2 ± 0.1 aD | 4.6 ± 0.3 aB | 3.0 ± 0.2 aD | 3.4 ± 0.2 aB | 1.2 ± 0.3 C | Nd |
| Treatment | pH | TTA (mg Citric Acid/100 mg) | TSS (°Brix) | |||
|---|---|---|---|---|---|---|
| Day 1 | Day 6 | Day 1 | Day 6 | Day 1 | Day 6 | |
| Non-sanitizer | 6.7 ± 0.3 aAB | 6.8 ± 0.1 aA | 0.1 ± 0.01 aC | 0.08 ± 0.01 aB | 7.5 ± 0.5 aA | 6.1 ± 0.3 aA |
| SDC 200 mg/L | 6.8 ± 0.2 aA | 6.8 ± 0.2 aA | 0.1 ± 0.01 aC | 0.10 ± 0.01 aB | 6.2 ± 0.4 aABC | 6.2 ± 0.3 aA |
| AA 1000 mg/L | 5.3 ± 0.1aBC | 5.6 ± 0.4 aAB | 0.4± 0.01 aABC | 0.26 ± 0.02 aAB | 4.9 ± 0.3 aBC | 5.9 ± 0.3 aA |
| AA 2000 mg/L | 5.0 ± 0.1 aC | 4.7 ± 0.1 bB | 0.5 ± 0.08 aA | 0.49 ± 0.11 aA | 5.7 ± 0.3 aBC | 5.8 ± 0.1 aA |
| PAA 20 mg/L | 6.8 ± 0.2 aAB | 6.9 ± 0.2 aA | 0.2 ± 0.02 aBC | 0.10 ± 0.02 aB | 6.1 ± 0.1 aABC | 6.1 ± 0.5 aA |
| US 50 kHz | 6.8 ± 0.2 aAB | 7.0 ± 0.2 aA | 0.1 ± 0.01 aC | 0.14 ± 0.03 aB | 6.9 ± 0.4 aAB | 5.8 ± 0.4 aA |
| US 50 kHz + AA 1000 mg/L | 5.8 ± 0.7 aABC | 6.1 ± 0.8 aAB | 0.3 ± 0.12 aABC | 0.28 ± 0.10 aAB | 5.4 ± 0.1 aBC | 5.8 ± 0.2 aA |
| US 50 kHz + AA 2000 mg/L | 5.1 ± 0.4 aC | 4.9 ± 0.1 aB | 0.4 ± 0.06 aAB | 0.53 ± 0.07 aA | 5.9 ± 0.2 aABC | 6.4 ± 0.4 aA |
| US 50 kHz + PAA 20 mg/L | 6.8 ± 0.2 aAB | 6.9 ± 0.1 aA | 0.1 ± 0.01 aC | 0.13 ± 0.03 aB | 5.6 ± 0.4 aBC | 5.7 ± 0.6 aA |
| Treatment | Vitamin C | Total Phenolic Compounds | Antioxidant Activity | |||
|---|---|---|---|---|---|---|
| Day 1 | Day 6 | Day 1 | Day 6 | Day 1 | Day 6 | |
| No sanitizer | 56.0 ± 4.0 aA | 50.3 ± 6.9 aA | 21.9 ± 2.8 aA | 25.1 ± 3.2 aA | 92.6 ± 6.4 aA | 56.5 ± 11.9 bA |
| SD 200 mg/L | 52.9 ± 2.9 aA | 45.2 ± 2.0 aA | 21.4 ± 1.2 aA | 23.9 ± 4.6 aA | 87.9 ± 5.2 aA | 41.9 ± 7.7 bA |
| AA 1000 mg/L | 51.5 ± 1.9 aA | 41.4 ± 8.2 aA | 19.4 ± 2.5 aA | 24.1 ± 5.1 aA | 84.6 ± 13.6 aA | 29.3 ± 6.1 bA |
| AA 2000 mg/L | 52.1 ± 4.3 aA | 47.3 ± 4.7 aA | 24.3 ± 0.7 aA | 23.0 ± 5.5 aA | 76.0 ± 7.5 aA | 33.1 ± 3.3 bA |
| PAA 20 mg/L | 48.5 ± 9.1 aA | 48.2 ± 10.8 aA | 22.5 ± 3.5 aA | 20.1 ± 2.4 aA | 89.9 ± 11.1 aA | 40.1 ± 7.0 bA |
| US 50 kHz | 48.3 ± 2.9 aA | 46.5 ± 8.6 aA | 20.2 ± 5.3 aA | 23.0 ± 5.3 aA | 96.9 ± 2.4 aA | 40.9 ± 8.0 bA |
| US 50 kHz + AA 1000 mg/L | 51.9 ± 3.5 aA | 52.9 ± 6.6 aA | 23.7 ± 1.9 aA | 23.8 ± 5.1 aA | 96.3 ± 3.3 aA | 35.0 ± 6.5 bA |
| US 50 kHz + AA 2000 mg/L | 56.3 ± 6.3 aA | 53.6 ± 7.3 aA | 21.1 ± 1.1 aA | 25.7 ± 2.5 aA | 96.0 ± 3.9 aA | 33.8 ± 5.5 bA |
| US 50 kHz + PAA 20 mg/L | 48.4 ± 10.5 aA | 46.0 ± 11.1 aA | 19.2 ± 1.4 aA | 26.2 ± 6.9 aA | 96.6 ± 2.1 aA | 41.8 ± 5.6 bA |
Publisher’s Note: MDPI stays neutral with regard to jurisdictional claims in published maps and institutional affiliations. |
© 2022 by the authors. Licensee MDPI, Basel, Switzerland. This article is an open access article distributed under the terms and conditions of the Creative Commons Attribution (CC BY) license (https://creativecommons.org/licenses/by/4.0/).
Share and Cite
de Moraes Motta Machado, M.C.; Lepaus, B.M.; Bernardes, P.C.; de São José, J.F.B. Ultrasound, Acetic Acid, and Peracetic Acid as Alternatives Sanitizers to Chlorine Compounds for Fresh-Cut Kale Decontamination. Molecules 2022, 27, 7019. https://doi.org/10.3390/molecules27207019
de Moraes Motta Machado MC, Lepaus BM, Bernardes PC, de São José JFB. Ultrasound, Acetic Acid, and Peracetic Acid as Alternatives Sanitizers to Chlorine Compounds for Fresh-Cut Kale Decontamination. Molecules. 2022; 27(20):7019. https://doi.org/10.3390/molecules27207019
Chicago/Turabian Stylede Moraes Motta Machado, Maria Clara, Bárbara Morandi Lepaus, Patrícia Campos Bernardes, and Jackline Freitas Brilhante de São José. 2022. "Ultrasound, Acetic Acid, and Peracetic Acid as Alternatives Sanitizers to Chlorine Compounds for Fresh-Cut Kale Decontamination" Molecules 27, no. 20: 7019. https://doi.org/10.3390/molecules27207019
APA Stylede Moraes Motta Machado, M. C., Lepaus, B. M., Bernardes, P. C., & de São José, J. F. B. (2022). Ultrasound, Acetic Acid, and Peracetic Acid as Alternatives Sanitizers to Chlorine Compounds for Fresh-Cut Kale Decontamination. Molecules, 27(20), 7019. https://doi.org/10.3390/molecules27207019

