Phytochemical Screening, Anti-Inflammatory, and Antidiabetic Activities of Different Extracts from Caralluma edulis Plant
Abstract
:1. Introduction
2. Materials and Methods
2.1. Chemicals
2.2. Collection and Identification of Plant Material
2.3. Preparation of Plant Extracts
2.4. GC-MS Analysis
Identification of Components
2.5. Determination of Extraction Yield
sample × 100
2.6. Determination of Total Phenolic, Alkaloid, Terpenoid, and Flavonoid Contents
2.6.1. Total Phenolics (TPC)
2.6.2. Total Flavonoids (TFC)
2.6.3. Total Alkaloids (TAC)
2.6.4. Total Terpenoids (TTeC)
100
2.6.5. Quantification of Phytochemicals
2.7. Acute Toxicity Studies
2.8. Determination of Antioxidant Activity
2.8.1. DPPH Radical-Scavenging Activity
2.8.2. Ferric Reducing Antioxidant Power (FRAP) Assay
2.9. Determination of In Vitro Anti-Inflammatory Activity
2.9.1. Inhibitory Action on Albumin Denaturation
2.9.2. Determination of Antiproteinase Activity
2.9.3. Membrane Stabilization
2.10. Determination of Antidiabetic Activity
2.10.1. Induction of Diabetes
2.10.2. Acute Effect of the Caralluma edulis Extracts in Alloxan-Induced Diabetic Rabbits
2.10.3. Subacute Effect of the Caralluma edulis Extracts in Alloxan-Induced Diabetic Rabbits
2.11. Analytical Method
2.11.1. Measurement of Blood Glucose Level
2.11.2. Measurement of Insulin Level
2.11.3. Measurement of the Lipid Peroxidation (LPO) in Serum
2.11.4. Estimation of Antioxidant Enzymes
2.12. Histopathological Analysis
2.13. Statistical Analysis
3. Results
3.1. GC-MS Profiling of Methanolic Extract of Caralluma edulis
3.2. Effects of Different Solvents on Extraction Yield
3.3. Impact of Extraction Solvents on Antioxidants and In Vitro Anti-Inflammatory Capacities of Caralluma edulis
3.3.1. Antioxidant Activity of Caralluma edulis Extracts
3.3.2. Anti-Inflammatory Activity of Caralluma edulis Extracts
Inhibition of Albumin Denaturation
Determination of Antiproteinase Activity
Determination of Membrane Stabilization Effect
3.4. Acute Toxicity Studies
3.5. Determination of Antidiabetic Activity
3.5.1. Acute Effect of the Caralluma edulis Extracts in Alloxan-Induced Diabetic Rabbits
3.5.2. Subacute Effect of the Caralluma edulis Extracts in Alloxan-Induced Diabetic Rabbits
3.5.3. Determination of Antioxidant Enzymes
3.6. Effect of Different Extracts from Caralluma edulis on Growth Rate of Experimental Animals
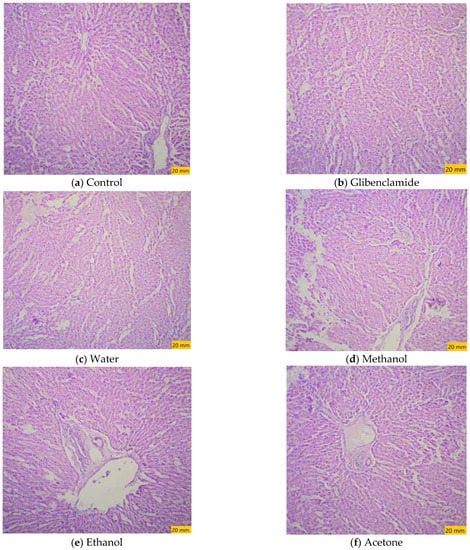
3.7. Histopathological Examination
4. Discussion
5. Conclusions
Author Contributions
Funding
Institutional Review Board Statement
Informed Consent Statement
Data Availability Statement
Acknowledgments
Conflicts of Interest
Sample Availability
Abbreviations
| DM | Diabetes mellitus |
| DPPH | 2,2-Diphenyl-1-picrylhydrazyl |
| SOD | Superoxide dismutase |
| CAT | Catalase |
| MDA | Malondialdehyde |
| LPO | Lipid peroxidation |
References
- Malladi, S.; Ratnakaram, V.N.; Babu, K.S.; Sreenivasulu, M. Pharmacological Review of Caralluma r.br: A Potential Herbal Genus. Asian J. Pharm. 2018, 12, S1146. [Google Scholar]
- Patel, A.K.; Phulwaria, M.; Rai, M.K.; Gupta, A.K.; Shekhawat, S.; Shekhawat, N. In vitro propagation and ex vitro rooting of Caralluma edulis (Edgew.) Benth. & Hook. f.: An endemic and endangered edible plant species of the Thar Desert. Sci. Hortic. 2014, 165, 175–180. [Google Scholar] [CrossRef]
- Priya, D.; Rajaram, K.; Suresh Kumar, P. Phytochemical studies and GC-MS analysis of Caralluma fimbriata Wall. Int. J. Pharm. Res. Dev. 2011, 3, 105–110. [Google Scholar]
- Oyeleke, S.A.; Ajayi, A.M.; Umukoro, S.; Aderibigbe, A.; Ademowo, O.G. Anti-inflammatory activity of Theobroma cacao L. stem bark ethanol extract and its fractions in experimental models. J. Ethnopharmacol. 2018, 222, 239–248. [Google Scholar] [CrossRef]
- Moreno-Quirós, C.V.; Sánchez-Medina, A.; Vázquez-Hernández, M.; Reyes, A.G.H.; García-Rodríguez, R.V. Antioxidant, anti-inflammatory and antinociceptive potential of Ternstroemia sylvatica Schltdl. & Cham. Asian Pac. J. Trop. Med. 2017, 10, 1047–1053. [Google Scholar] [CrossRef] [PubMed]
- International Diabetes Federation. Available online: https://idf.org/aboutdiabetes/what-is-diabetes/facts-figures.html (accessed on 29 June 2022).
- Zaharia, O.P.; Strassburger, K.; Strom, A.; Bönhof, G.J.; Karusheva, Y.; Antoniou, S.; Bódis, K.; Markgraf, D.F.; Burkart, V.; Müssig, K. Risk of diabetes-associated diseases in subgroups of patients with recent-onset diabetes: A 5-year follow-up study. Lancet Diabetes Endocrinol. 2019, 7, 684–694. [Google Scholar] [CrossRef]
- Ahangarpour, A.; Oroojan, A.A.; Khorsandi, L.; Kouchak, M.; Badavi, M. Hyperglycemia-induced oxidative stress in isolated proximal tubules of mouse: The in vitro effects of myricitrin and its solid lipid nanoparticle, Arch. Physiol. Biochem. 2021, 127, 422–428. [Google Scholar] [CrossRef]
- Martemucci, G.; Costagliola, C.; Mariano, M.; D’andrea, L.; Napolitano, P.; D’Alessandro, A.G. Free radical properties, source and targets, antioxidant consumption and health. Oxygen 2022, 2, 6. [Google Scholar] [CrossRef]
- Skowron, M.; Zalejska-Fiolka, J.; Błaszczyk, U.; Chwalińska, E.; Owczarek, A.; Birkner, E. Antioxidant enzyme activities in rabbits under oxidative stress induced by high fat diet. J. Vet. Res. 2018, 62, 199–205. [Google Scholar] [CrossRef] [Green Version]
- Rehman, K.; Akash, M.S.H. Mechanism of generation of oxidative stress and pathophysiology of Type 2 Diabetes mellitus: How they are interlinked? J. Cell Biochem. 2017, 118, 3577–3585. [Google Scholar] [CrossRef]
- Asmat, U.; Abad, K.; Ismail, K. Diabetes mellitus and oxidative stress—A concise review. Saudi. Pharm. J. 2016, 24, 547–553. [Google Scholar] [CrossRef] [Green Version]
- Sekhon-Loodu, S.; Rupasinghe, H.P.V. Evaluation of antioxidant, antidiabetic and antiobesity potential of selected traditional medicinal plants. Front. Nutr. 2019, 6, 53. [Google Scholar] [CrossRef] [PubMed]
- Zhang, Q.-W.; Lin, L.-G.; Ye, W.-C. Techniques for extraction and isolation of natural products: A comprehensive review. Chin. Med. 2018, 13, 20. [Google Scholar] [CrossRef] [PubMed] [Green Version]
- Le, A.V.; Parks, S.E.; Nguyen, M.H.; Roach, P.D. Effect of solvents and extraction methods on recovery of bioactive compounds from defatted Gac (Momordica cochinchinensis Spreng.) seeds. Separations 2018, 5, 39. [Google Scholar] [CrossRef] [Green Version]
- Altemimi, A.; Lakhssassi, N.; Baharlouei, A.; Watson, D.G.; Lightfoot, D.A. Phytochemicals: Extraction, isolation, and identification of bioactive compounds from plant extracts. Plants 2017, 6, 42. [Google Scholar] [CrossRef] [PubMed]
- Do, Q.D.; Angkawijaya, A.E.; Tran-Nguyen, P.L.; Huynh, L.H.; Soetaredjo, F.E.; Ismadji, S.; Ju, Y.-H. Effect of extraction solvent on total phenol content, total flavonoid content, and antioxidant activity of Limnophila aromatica. J. Food Drug Anal. 2014, 22, 296–302. [Google Scholar] [CrossRef] [Green Version]
- McDonald, S.; Prenzler, P.D.; Antolovich, M.; Robards, K. Phenolic content and antioxidant activity of olive extracts. Food Chem. 2001, 73, 73–84. [Google Scholar] [CrossRef]
- Chang, C.-C.; Yang, M.-H.; Wen, H.-M.; Chern, J.-C. Estimation of total flavonoid content in propolis by two complementary colorimetric methods. J. Food Drug Anal. 2002, 10, 178–182. [Google Scholar]
- Ajanal, M.; Gundkalle, M.B.; Nayak, S.U. Estimation of total alkaloid in Chitrakadivati by UV-Spectrophotometer. Anc. Sci. Life 2012, 31, 198–201. [Google Scholar] [CrossRef]
- Malik, S.; Ahmad, M.; Khan, F. Qualtitative and quantitative estimation of terpenoid contents in some important plants of Punjab, Pakistan. Pak. J. Sci. 2017, 69, 150–154. [Google Scholar]
- Salehi, B.; Quispe, C.; Sharififi-Rad, J.; Cruz-Martins, N.; Nigam, M.; Mishra, A.P.; Konovalov, D.A.; Orobinskaya, V.; Abu-Reidah, I.M.; Zam, W.; et al. Phytosterols: From Preclinical Evidence to Potential Clinical Applications. Front. Pharmacol. 2021, 11, 599959. [Google Scholar] [CrossRef] [PubMed]
- Huan-You, L.; Tzu-Cheng, C.; Chang, S.-T. A review of antioxidant and pharmacological properties of phenolic compounds in Acacia confusa. J. Tradit. Complement. Med. 2018, 8, 443–450. [Google Scholar] [CrossRef]
- Pedersen, H.K.; Gudmundsdottir, V.; Nielsen, H.B.; Hyotylainen, T.; Nielsen, T.; Jensen, B.A.H.; Forslund, K.; Hildebrand, F.; Prifti, E.; Falony, G.; et al. Human gut microbes impact host serum metabolome and insulin sensitivity. Nature 2016, 535, 376–381. [Google Scholar] [CrossRef] [PubMed]
- Baliyan, S.; Mukherjee, R.; Priyadarshini, A.; Vibhuti, A.; Gupta, A.; Pandey, R.P.; Chang, C.-M. Determination of Antioxidants by DPPH Radical Scavenging Activity and Quantitative Phytochemical Analysis of Ficus religiosa. Molecules 2022, 27, 1326. [Google Scholar] [CrossRef]
- Benzie, I.F.F.; Strain, J.J. The ferric reducing ability of plasma (FRAP) as a measure of “antioxidant power”: The FRAP assay. Anal. Biochem. 1996, 239, 70–76. [Google Scholar] [CrossRef] [Green Version]
- Oyedapo, O.; Famurewa, A.J. Antiprotease and membrane stabilizing activities of extracts of Fagara zanthoxyloides, Olax subscorpioides and Tetrapleura tetraptera. Int. J. Pharmacogn. 1995, 33, 65–69. [Google Scholar] [CrossRef]
- Eshwarappa, R.S.B.; Ramachandra, Y.L.; Subaramaihha, S.R.; Subbaiah, S.G.P.; Austin, R.S.; Dhananjaya, B.L. Anti-Lipoxygenase activity of leaf gall extracts of Terminalia chebula (Gaertn.) Retz. (Combretaceae). Pharmacogn. Res. 2016, 8, 78–82. [Google Scholar] [CrossRef] [Green Version]
- Yoshioka, T.; Kawada, K.; Shimada, T.; Mori, M. Lipid peroxidation in maternal and cord blood and protective mechanism against activated-oxygen toxicity in the blood. Am. J. Obstet. Gynecol. 1979, 135, 372–376. [Google Scholar] [CrossRef]
- Sun, Y.; Oberley, L.W.; Li, Y. A simple method for clinical assay of superoxide dismutase. Clin. Chem. 1988, 34, 497–500. [Google Scholar] [CrossRef]
- Yasmineh, W.G.; Kaur, T.P.; Blazar, B.R.; Theologides, A. Serum catalase as marker of graft-vs-host disease in allogeneic bone marrow transplant recipients: Pilot study. Clin. Chem. 1995, 41, 1574–1580. [Google Scholar] [CrossRef]
- Samtiya, M.; Aluko, R.E.; Dhewa, T.; Moreno-Rojas, J.M. Potential health benefits of plant food-derived bioactive components: An overview. Foods 2021, 10, 839. [Google Scholar] [CrossRef] [PubMed]
- Idris, F.N.; Mohd Nadzir, M. Comparative studies on different extraction methods of Centella asiatica and extracts bioactive compounds effects on antimicrobial activities. Antibiotics 2021, 10, 457. [Google Scholar] [CrossRef] [PubMed]
- Nawaz, H.; Shad, M.A.; Rehman, N.; Andaleeb, H.; Ullah, N. Effect of solvent polarity on extraction yield and antioxidant properties of phytochemicals from bean (Phaseolus vulgaris) seeds. Braz. J. Pharm. Sci. 2020, 56, e17129. [Google Scholar] [CrossRef] [Green Version]
- Truong, D.-H.; Nguyen, D.H.; Ta, N.T.A.; Bui, A.V.; Do, T.H.; Nguyen, H.C. Evaluation of the use of different solvents for phytochemical constituents, antioxidants, and in vitro anti-inflammatory activities of Severinia buxifolia. J. Food Qual. 2019, 2019, 8178294. [Google Scholar] [CrossRef] [Green Version]
- Öztürk, M.; Altay, V.; Hakeem, K.R.; Akçiçek, E. Pharmacological activities and phytochemical constituents. In Liquorice; Springer: Cham, Switzerland, 2017; pp. 45–72. [Google Scholar]
- Mtewa, A.G.; Egbuna, C.; Beressa, T.B.; Ngwira, K.J.; Lampiao, F. Phytopharmaceuticals: Efficacy, safety, and regulation. In Preparation of Phytopharmaceuticals for the Management of Disorders; Elsevier: Amsterdam, The Netherlands, 2021; pp. 25–38. [Google Scholar]
- Zhang, Y.-J.; Gan, R.-Y.; Li, S.; Zhou, Y.; Li, A.-N.; Xu, D.-P.; Li, H.-B. Antioxidant phytochemicals for the prevention and treatment of chronic diseases. Molecules 2015, 20, 21138–21156. [Google Scholar] [CrossRef] [PubMed]
- Banothu, V.; Neelagiri, C.; Adepally, U.; Lingam, J.; Bommareddy, K. Phytochemical screening and evaluation of in vitro antioxidant and antimicrobial activities of the indigenous medicinal plant Albizia odoratissima. Pharm. Biol. 2017, 55, 1155–1161. [Google Scholar] [CrossRef] [Green Version]
- Guan, R.; van Le, Q.; Yang, H.; Zhang, D.; Gu, H.; Yang, Y.; Sonne, C.; Lam, S.S.; Zhong, J.; Jianguang, Z. A review of dietary phytochemicals and their relation to oxidative stress and human diseases. Chemosphere 2021, 271, 129499. [Google Scholar] [CrossRef]
- Shin, S.A.; Joo, B.J.; Lee, J.S.; Ryu, G.; Han, M.; Kim, W.Y.; Park, H.H.; Lee, J.H.; Lee, C.S. Phytochemicals as anti-inflammatory agents in animal models of prevalent inflammatory diseases. Molecules 2020, 25, 5932. [Google Scholar] [CrossRef]
- Mokhtari, M.; Chabani, S.; Mouffouk, S.; Aberkane, M.-C.; Dibi, A.; Benkhaled, M.; Haba, H. Phytochemicals, Antihemolytic, Anti-inflammatory, Antioxidant, and Antibacterial Activities from Thymus algeriensis. J. Herbs Spices Med. Plants 2021, 27, 253–266. [Google Scholar] [CrossRef]
- Ashfaq, A.; Khan, A.-u.; Minhas, A.M.; Aqeel, T.; Assiri, A.M.; Bukhari, I.A. Anti-hyperlipidemic effects of Caralluma edulis (Asclepiadaceae) and Verbena officinalis (Verbenaceae) whole plants against high-fat diet-induced hyperlipidemia in mice. Trop. J. Pharm. Res. 2017, 16, 2417–2423. [Google Scholar] [CrossRef]
- Saravanan, R.; Pari, L. Antihyperlipidemic and antiperoxidative effect of Diasulin, a polyherbal formulation in alloxan induced hyperglycemic rats. BMC Complement. Altern. Med. 2005, 5, 14. [Google Scholar] [CrossRef] [PubMed] [Green Version]
- Tafesse, T.B.; Hymete, A.; Mekonnen, Y.; Tadesse, M. Antidiabetic activity and phytochemical screening of extracts of the leaves of Ajuga remota Benth on alloxan-induced diabetic mice. BMC Complement. Altern. Med. 2017, 17, 243. [Google Scholar] [CrossRef] [PubMed] [Green Version]
- Okokon, J.E.; Davies, K.; John, L.; Iwara, K.; Li, W.-W.; Thomas, P.S. Phytochemical characterization, antihyperglycaemic and antihyperlipidemic activities of Setaria megaphylla in alloxan-induced diabetic rats. Phytomed. Plus 2022, 2, 100182. [Google Scholar] [CrossRef]
- Sun, R.; Kong, B.; Yang, N.; Cao, B.; Feng, D.; Yu, X.; Ge, C.; Feng, S.; Fei, F.; Huang, J. The hypoglycemic effect of berberine and berberrubine involves modulation of intestinal farnesoid X receptor signaling pathway and inhibition of hepatic gluconeogenesis. Drug Metab. Dispos. 2021, 49, 276–286. [Google Scholar] [CrossRef]
- Adhikari, B. Roles of alkaloids from medicinal plants in the management of diabetes mellitus. J. Chem. 2021, 2691525. [Google Scholar] [CrossRef]
- Numan, M.; Raza, S.A.; Mushtaq, M.N.; Khan, Z.; Ahmad, T.; Ahsan, H.; Asif, H.; Noor, N.; Uttra, A.M.; Arshad, L. Evaluation of anti-diabetic effects of poly-herbal product “Diabetic BAL” in alloxan-induced diabetic rabbits. Acta Pol. Pharm. 2016, 73, 967–974. [Google Scholar]
- Oliveira, H.; Fernandes, A.; Brás, N.F.; Mateus, N.; de Freitas, V.; Fernandes, I. Anthocyanins as antidiabetic agents—In vitro and in silico approaches of preventive and therapeutic effects. Molecules 2020, 25, 3813. [Google Scholar] [CrossRef]
- Liu, B.; Kang, Z.; Yan, W. Synthesis, Stability, and Antidiabetic Activity Evaluation of (−)-Epigallocatechin Gallate (EGCG) Palmitate Derived from Natural Tea Polyphenols. Molecules 2021, 26, 393. [Google Scholar] [CrossRef]
- Babu, S.; Jayaraman, S. An update on β-sitosterol: A potential herbal nutraceutical for diabetic management. Biomed. Pharmacother. 2020, 131, 110702. [Google Scholar] [CrossRef]
- Li, X.; Bai, Y.; Jin, Z.; Svensson, B. Food-derived non-phenolic α-amylase and α-glucosidase inhibitors for controlling starch digestion rate and guiding diabetes-friendly recipes. LWT 2022, 153, 112455. [Google Scholar] [CrossRef]
- Wadood, A.; Wadood, N.; Shah, S. Effects of Acacia arabica and Caralluma edulis on blood glucose levels of normal and alloxan diabetic rabbits. J. Pak. Med. Assoc. 1989, 39, 208–212. [Google Scholar] [PubMed]
- Ma, X.; Chen, Z.; Wang, L.; Wang, G.; Wang, Z.; Dong, X.; Wen, B.; Zhang, Z. The pathogenesis of diabetes mellitus by oxidative stress and inflammation: Its inhibition by berberine. Front. Pharmacol. 2018, 9, 782. [Google Scholar] [CrossRef] [PubMed] [Green Version]
- Matough, F.A.; Budin, S.B.; Hamid, Z.A.; Alwahaibi, N.; Mohamed, J. The role of oxidative stress and antioxidants in diabetic complications. Sultan Qaboos Univ. Med. J. 2012, 12, 5–18. [Google Scholar] [CrossRef] [PubMed]
- Phaniendra, A.; Jestadi, D.B.; Periyasamy, L. Free radicals: Properties, sources, targets, and their implication in various diseases. Indian J. Clin. Biochem. 2015, 30, 11–26. [Google Scholar] [CrossRef] [PubMed] [Green Version]
- Gaschler, M.M.; Stockwell, B.R. Lipid peroxidation in cell death. Biochem. Biophys. Res. Commun. 2017, 482, 419–425. [Google Scholar] [CrossRef]
- Kasote, D.M.; Katyare, S.S.; Hegde, M.V.; Bae, H. Significance of antioxidant potential of plants and its relevance to therapeutic applications. Int. J. Biol. Sci. 2015, 11, 982–991. [Google Scholar] [CrossRef] [Green Version]
- Aliahmat, N.S.; Noor, M.R.M.; Yusof, W.J.W.; Makpol, S.; Ngah, W.Z.W.; Yusof, Y.A.M. Antioxidant enzyme activity and malondialdehyde levels can be modulated by Piper betle, tocotrienol rich fraction and Chlorella vulgaris in aging C57BL/6 mice. Clinics 2012, 67, 1447–1454. [Google Scholar] [CrossRef]
- Hasanuzzaman, M.; Bhuyan, M.; Zulfiqar, F.; Raza, A.; Mohsin, S.M.; Mahmud, J.A.; Fujita, M.; Fotopoulos, V. Reactive oxygen species and antioxidant defense in plants under abiotic stress: Revisiting the crucial role of a universal defense regulator. Antioxidants 2020, 9, 681. [Google Scholar] [CrossRef]
- Ighodaro, O.; Akinloye, O. First line defence antioxidants-superoxide dismutase (SOD), catalase (CAT) and glutathione peroxidase (GPX): Their fundamental role in the entire antioxidant defence grid. Alexandria J. Med. 2018, 54, 287–293. [Google Scholar] [CrossRef] [Green Version]
- Al-Azzawie, H.F.; Alhamdani, M.-S.S. Hypoglycemic and antioxidant effect of oleuropein in alloxan-diabetic rabbits. Life Sci. 2006, 78, 1371–1377. [Google Scholar] [CrossRef]
- Sepici-Dincel, A.; Açıkgöz, Ş.; Çevik, C.; Sengelen, M.; Yeşilada, E. Effects of in vivo antioxidant enzyme activities of myrtle oil in normoglycaemic and alloxan diabetic rabbits. J. Ethnopharmacol. 2007, 110, 498–503. [Google Scholar] [CrossRef] [PubMed]
- Kurutas, E.B. The importance of antioxidants which play the role in cellular response against oxidative/nitrosative stress: Current state. Nutr. J. 2015, 15, 71. [Google Scholar] [CrossRef] [PubMed] [Green Version]




| S. No | RT in min | Name of the Compound | Molecular Formula | Peak Area % |
|---|---|---|---|---|
| 1 | 5.279 | Propane, 1,2,3,-trimethoxy- | C6H14O3 | 0.91 |
| 2 | 5.279 | 2-Oxoacetic acid, ethyl ester, oxime | C4H7NO3 | 0.91 |
| 3 | 7.376 | (E)-Stilbene | C14H12 | 0.94 |
| 4 | 7.376 | 2,3,5,6-Tetrafluoroanisole | C7H4F4O | 0.94 |
| 5 | 7.376 | Butyric acid, 4-amino-3-(4-methoxyphenyl)- | C13H19NO3 | 0.94 |
| 6 | 10.206 | n-Hexadecanoic acid (Palmitic acid) | C16H32O2 | 2.09 |
| 7 | 10.206 | Pentadecanoic acid | C15H30O2 | 2.09 |
| 8 | 10.206 | Octadecanoic acid | C18H36O2 | 2.09 |
| 9 | 11.302 | 9,12-Octadecadienoic acid (Z,Z)- | C18H32O2 | 0.91 |
| 10 | 11.333 | cis-Vaccenic acid | C18H34O2 | 1.52 |
| 11 | 11.333 | cis-13-Octadecenoic acid | C18H34O2 | 1.52 |
| 12 | 11.333 | trans-13-Octadecenoic acid | C18H34O2 | 1.52 |
| 13 | 13.655 | Bis(2-ethylhexyl) phthalate | C24H38O4 | 1.03 |
| 14 | 13.655 | Phthalic acid, cyclohexyl 2-pentyl ester | C19H26O4 | 1.03 |
| 15 | 13.881 | Heptadecane | C17H36 | 0.59 |
| 16 | 14.379 | Heptacosane, 1-chloro- | C27H55Cl | 0.84 |
| 17 | 14.856 | Tetracosane | C24H50 | 0.93 |
| 18 | 16.203 | Hentriacontane | C31H64 | 17.63 |
| 19 | 16.203 | Triacontane | C30H62 | 17.63 |
| 20 | 16.827 | Octadecamethyloctasiloxane | C18H54O7Si8 | 2.88 |
| 21 | 16.827 | 1,1,3,3,5,5,7,7,9,9,11,11,13,13-Tetradecamethylheptasiloxane | C14H42O6Si7 | 2.88 |
| 22 | 16.827 | 1H-Indole, 1-methyl-2-phenyl- | C15H13N | 2.88 |
| 23 | 16.916 | Benzo[h]quinoline, 2,4-dimethyl- | C15H13N | 1.92 |
| 24 | 16.916 | Cyclotrisiloxane, hexamethyl- | C6H18O3Si3 | 1.92 |
| 25 | 17.057 | Tetracosane | C24H50 | 49.63 |
| 26 | 17.057 | 1-Iodohexadecane | C16H33I | 49.63 |
| 27 | 17.057 | Octadecane | C18H38 | 49.63 |
| 28 | 17.341 | gamma-sitosterol | C29H50O | 4.12 |
| 29 | 17.341 | beta-sitosterol | C29H50O | 4.12 |
| 30 | 17.807 | 1-Benzazirene-1-carboxylic acid, 2,2,5a-trimethyl-1a-[3-oxo-1-butenyl] perhydro-, methyl ester | C15H23NO3 | 2.37 |
| 31 | 17.807 | 9,10-Methanoanthracen-11-ol,9,10-dihydro-9,10,11-trimethyl- | C18H18O | 2.37 |
| 32 | 18.048 | Eicosane | C20H42 | 5.63 |
| Extraction Solvent | Phenolics (mg GAE/g DW) | Flavonoids (mg QE/g DW) | Alkaloids (mg AE/g DW) | Terpenoids (%, g/g) |
|---|---|---|---|---|
| Distilled water | 6.20 ± 0.99 b | 0.63 ± 0.11 c | 0.14 ± 0.01 d | 0.45 ± 0.05 c |
| Methanol | 14.3 ± 1.95 a | 1.88 ± 0.18 a | 1.44 ± 0.22 a | 1.22 ± 0.09 a |
| Ethanol | 4.44 ± 0.60 bc | 0.62 ± 0.13 c | 1.32 ± 0.17 ab | 0.97 ± 0.14 ab |
| Acetone | 2.91± 0.75 c | 0.76 ± 0.12 bc | 0.88 ± 0.19 bc | 0.52 ± 0.07 c |
| Name of Compound and Class | Wavelength | Pharmacological Activities | C. edulis (Water ext.) | C. edulis (Methanol ext.) | C. edulis (Ethanol ext.) | C. edulis (Acetone ext.) |
|---|---|---|---|---|---|---|
| Campesterol (Phytosterol) | 254 nm | Antioxidant, anti-inflammatory, antidiabetic | 0.309 | 0.205 | 0.368 | 0.265 |
| β-sitosterol (Phytosterol) | 210 nm | Antioxidant, anti-inflammatory, antidiabetic | 0.159 | 0.324 | 0.279 | 1.239 |
| (E)-Stilbene (Phenolic compound) | 285 nm | Antioxidant, hepatoprotective, anti-inflammatory | 0.347 | 0.651 | 0.418 | 0.517 |
| Gallic acid (Phenolic compound) | 256 nm | Radical scavenging, anti-inflammatory, immunoregulatory | 0.884 | 1.341 | 0.947 | 0.748 |
| Pentadecanoic acid (Fatty acid) | 364 nm | Antidiabetic | 0.336 | 0.427 | 0.254 | 0.387 |
| Extraction Solvent | FRAP (μmol Fe (II)/g DW) | IC50 (μg/mL) |
|---|---|---|
| Distilled water | 256.3 ± 8.54 d | 369.2 ± 9.11 d |
| Methanol | 543.8 ± 7.68 a | 175.5 ± 3.67 a |
| Ethanol | 429.4 ± 9.12 b | 230.6 ± 4.68 b |
| Acetone | 376.1± 6.97 c | 282.7 ± 5.53 c |
| Samples | IC50 Values (µg/mL) | ||
|---|---|---|---|
| Albumin Denaturation | Proteinase Inhibition | Membrane Stabilization | |
| Water extract | 759.0 ± 19.9 a | 589.9 ± 22.5 a | 835.1 ± 21.7 a |
| Methanolic extract | 26.1 ± 2.25 c | 408.4 ± 15.3 c | 319.3 ± 13.6 cd |
| Ethanolic extract | 36.0 ± 4.33 c | 421.0 ± 12.6 c | 355.8 ± 18.7 c |
| Acetone extract | 94.3 ± 6.97 b | 576.3 ± 17.2 ab | 586.4 ± 19.1 b |
| Inhibitory activity, % | |||
| Aspirin (100 µg/mL) | 32.4 ± 5.4 | 35.6 ± 2.3 | 28.2 ± 1.9 |
| Group | Dose (mg/kg) | Mean Blood Glucose Concentration + S.D. (mg/dL) | |||
|---|---|---|---|---|---|
| 0 h | 1 h | 3 h | 6 h | ||
| Control (healthy) | 10 | 117 ± 7.02 | 128 ± 5.03 | 126 ± 2.08 | 117 ± 4.16 |
| Glibenclamide | 5 | 121 ± 9.50 | 106 ± 4.16 * | 92 ± 5.27 ** | 82 ± 8.93 ** |
| Caralluma edulis (water extract) | 200 | 114 ± 5.29 | 124 ± 6.50 | 114 ± 9.01 | 109 ± 3.05 |
| Caralluma edulis (methanol extract) | 200 | 109 ± 7.09 | 119 ± 7.02 | 115 ± 3.51 | 104 ± 2.43 |
| Caralluma edulis (ethanol extract) | 200 | 118 ± 7.02 | 111 ± 11.06 | 118 ± 3.67 | 107 ± 3.46 |
| Caralluma edulis (acetone extract) | 200 | 115 ± 6.52 | 112 ± 1.70 | 117 ± 2.56 | 108 ± 3.65 |
| Group | Dose (mg/kg) | Mean Serum Insulin Level + S.D. (µIU/dL) | |||
|---|---|---|---|---|---|
| 0 h | 1 h | 3 h | 6 h | ||
| Control (healthy) | 10 | 11.66 ± 1.65 | 12.17 ± 1.20 | 13.2 ± 0.60 | 12.41 ± 0.56 |
| Glibenclamide | 5 | 12.46 ± 2.54 | 14.58 ± 0.85 * | 16.31 ± 0.95 ** | 18.53 ± 0.71 ** |
| Caralluma edulis (water extract) | 200 | 11.76 ± 1.30 | 13.13 ± 0.38 | 14.50 ± 0.65 | 12.05 ± 0.48 |
| Caralluma edulis (methanol extract) | 200 | 11.50 ± 0.79 | 13.66 ± 0.56 | 14.62 ± 0.60 | 14.1 ± 0.50 |
| Caralluma edulis (ethanol extract) | 200 | 11.93 ± 1.50 | 13.18 ± 0.94 | 14.70 ± 0.55 | 12.40 ± 0.45 |
| Caralluma edulis (acetone extract) | 200 | 11.56 ± 0.96 | 13.12 ± 0.62 | 14.49 ± 0.54 | 12.3 ± 0.36 |
| Group | Dose (mg/kg) | Mean Blood Glucose Concentration + S.D. (mg/dL) | |||
|---|---|---|---|---|---|
| 1st Day | 3rd Day | 5th Day | 8th Day | ||
| Control (healthy) | 10 | 121.6 ± 8.14 | 113.1 ± 7.54 | 118.3 ± 7.09 | 110.6 ± 7.05 |
| Diabetic control (a) | 10 | 427.9 ± 12.01 *** | 451.5 ± 12.01 *** | 428.4 ± 8.50 *** | 374.6 ± 4.04 *** |
| Glibenclamide (b) | 5 | 399.7 ± 9.60 * | 388.8 ± 11.06 ** | 379.6 ± 9.49 ** | 342.6 ± 7.37 ** |
| Caralluma edulis (water extract) (b) | 200 | 406.2 ± 8.54 | 414.2 ± 6.02 * | 400.1 ± 9.01 * | 356.2 ± 3.60 * |
| Caralluma edulis (methanol extract) (b) | 200 | 401.8 ± 6.02 * | 394.3 ± 15.01 ** | 390.2 ± 8.86 ** | 346.6 ± 5.85 ** |
| Caralluma edulis (ethanol extract) (b) | 200 | 410.1 ± 10.59 | 419.6 ± 10.5 * | 399.6 ± 6.35 * | 357.1 ± 3.60 * |
| Caralluma edulis (acetone extract) (b) | 200 | 419.6 ± 6.80 | 417.2 ± 7.02 * | 402.3 ± 10.01 * | 358.3 ± 6.80 * |
| Group | Dose (mg/kg) | Mean Serum Insulin Level + S.D. (µIU/dL) | |||
|---|---|---|---|---|---|
| 1st Day | 3rd Day | 5th Day | 8th Day | ||
| Control (healthy) | 10 | 13.48 ± 0.46 | 13.25 ± 0.40 | 13.70 ± 0.14 | 14.16 ± 0.19 |
| Diabetic control (a) | 10 | 5.95 ± 0.04 *** | 5.70 ± 0.12 *** | 5.83 ± 0.15 ** | 6.03 ± 0.71 *** |
| Glibenclamide (b) | 5 | 6.13 ± 0.08 * | 6.17 ± 0.09 ** | 6.22 ± 0.05 ** | 6.48 ± 0.26 ** |
| Caralluma edulis (water extract) (b) | 200 | 6.08 ± 0.23 | 6.01 ± 0.28 * | 6.12 ± 0.13 * | 6.27 ± 0.38 * |
| Caralluma edulis (methanol extract) (b) | 200 | 6.12 ± 0.05 * | 6.15 ± 0.07 ** | 6.18 ± 0.11 ** | 6.43 ± 0.15 ** |
| Caralluma edulis (ethanol extract) (b) | 200 | 6.01 ± 0.09 | 5.98 ± 0.12 * | 6.13 ± 0.21 * | 6.25 ± 0.22 * |
| Caralluma edulis (acetone extract) (b) | 200 | 6.04 ± 0.17 | 5.97 ± 0.15 * | 6.12 ± 0.17 * | 6.23 ± 0.13 * |
| Group | Dose (mg/kg) | Mean Serum SOD (U/mL), MDA (nmol/mL) and Catalase Levels (kU/I) + S.D. | |||
|---|---|---|---|---|---|
| Control | 10 | 1st Day | 3rd Day | 5th Day | 8th Day |
| SOD | 87.8 ± 7.53 | 86.4 ± 8.56 | 88.6 ± 7.76 | 87.6 ± 1.85 | |
| MDA | 4.43 ± 0.47 | 4.33 ± 0.08 | 4.63 ± 0.12 | 4.71 ± 0.17 | |
| Catalase | 54.2 ± 2.54 | 58.0 ± 1.47 | 59.7 ± 1.10 | 55.2 ± 1.15 | |
| Diabetic control(a) | |||||
| SOD | 53.5 ± 6.75 *** | 55.4 ± 5.06 *** | 60.3 ± 7.05 *** | 60.4 ± 1.95 *** | |
| MDA | 9.17 ± 0.16 *** | 9.31 ± 0.14 *** | 9.39 ± 0.14 *** | 9.75 ± 0.16 *** | |
| Catalase | 31.7 ± 0.66 *** | 32.8 ± 1.51 *** | 34.6 ± 0.75 *** | 39.2 ± 0.26 *** | |
| Glibenclamide(b) | 5 | ||||
| SOD | 58.1 ± 5.27 | 63.4 ± 9.09 | 76.1 ± 2.51 ** | 72.9 ± 3.09 ** | |
| MDA | 8.72 ± 0.06 | 8.84 ± 0.15 | 8.58 ± 0.17 ** | 7.77 ± 0.18 ** | |
| Catalase | 29.2 ± 1.68 | 34.9 ± 1.07 | 39.0 ± 0.72 ** | 48.0 ± 1.41 ** | |
| Caralluma edulis (water ex.)(b) | 200 | ||||
| SOD | 55.1 ± 6.51 | 57.9 ± 7.60 | 72.1 ± 2.98 * | 69.7 ± 0.75 ** | |
| MDA | 8.89 ± 0.23 | 8.88 ± 0.21 | 8.83 ± 0.15 * | 8.47 ± 0.18 ** | |
| Catalase | 30.6 ± 1.05 | 31.5 ± 1.05 | 37.0 ± 1.25 * | 41.4 ± 0.37 * | |
| Caralluma edulis (methanol ex.)(b) | 200 | ||||
| SOD | 58.6 ± 5.93 | 61.5 ± 8.12 | 75.8 ± 1.51 ** | 71.4 ± 1.15 ** | |
| MDA | 8.77 ± 0.12 | 8.84 ± 0.18 | 8.65 ± 0.12 ** | 7.86 ± 0.20 ** | |
| Catalase | 28.8 ± 0.70 | 33.0 ± 1.20 | 38.1 ± 0.55 ** | 47.7 ± 0.43 ** | |
| Caralluma edulis (ethanol ex.)(b) | 200 | ||||
| SOD | 59.4 ± 6.70 | 60.5 ± 8.55 | 70.7 ± 1.71 * | 69.4 ± 1.09 ** | |
| MDA | 8.78 ± 0.20 | 8.87 ± 014 | 7.78 ± 0.14 * | 8.62 ± 0.27 ** | |
| Catalase | 29.4 ± 0.88 | 30.1 ± 0.57 | 37.1 ± 1.66 * | 42.4 ± 0.66 * | |
| Caralluma edulis (acetone ex.)(b) | 200 | ||||
| SOD | 57.9 ± 7.40 | 58.6 ± 6.57 | 71.9 ± 1.62 * | 70.4 ± 1.05 ** | |
| MDA | 8.76 ± 0.22 | 8.84 ± 0.19 | 8.80 ± 0.25 * | 8.50 ± 0.28 ** | |
| Catalase | 29.1 ± 1.56 | 30.9 ± 0.43 | 37.0 ± 0.40 * | 41.9 ± 0.52 * | |
| Group | Dose (mg/kg) | Mean Body Weight + S.D. (kg) Percent Increase from the Initial Weight | |||
|---|---|---|---|---|---|
| 1st Day | 3rd Day | 5th Day | 8th Day | ||
| Control (healthy) | 10 | 2.19 ± 0.5 | 2.26 ± 0.4 (3.1%) | 2.3 ± 0.3 (5.3%) | 2.32 ± 0.6 (9.3%) |
| Diabetic control (a) | 10 | 2.40 ± 0.8 | 2.43 ± 0.3 (3.8%) | 2.47 ± 0.6 (4.4%) | 2.52 ± 0.7 (7.6%) |
| Glibenclamide (b) | 5 | 2.73 ± 0.7 | 2.77 ± 0.6 (2.9%) | 2.84 ± 0.2 (4.6%) | 2.91 ± 0.5 (8.1%) |
| Caralluma edulis (water extract) (b) | 200 | 2.58 ± 0.6 | 2.63 ± 0.8 (3.1%) | 2.67 ± 0.8 (5.1%) | 2.73 ± 0.4 (7.0%) |
| Caralluma edulis (methanol extract) (b) | 200 | 2.79 ± 0.7 | 2.86 ± 0.9 (2.3%) | 2.92 ± 0.7 (6.4%) | 2.95 ± 0.8 (8.1%) |
| Caralluma edulis (ethanol extract) (b) | 200 | 2.29 ± 0.5 | 2.32 ± 0.2 (3.3%) | 2.41 ± 0.3 (7.5%) | 2.49 ± 0.9 (9.5%) |
| Caralluma edulis (acetone extract) (b) | 200 | 2.35 ± 0.4 | 2.38 ± 0.3 (3.4%) | 2.47 ± 0.5 (6.9%) | 2.53 ± 0.8 (8.3%) |
Publisher’s Note: MDPI stays neutral with regard to jurisdictional claims in published maps and institutional affiliations. |
© 2022 by the authors. Licensee MDPI, Basel, Switzerland. This article is an open access article distributed under the terms and conditions of the Creative Commons Attribution (CC BY) license (https://creativecommons.org/licenses/by/4.0/).
Share and Cite
Khan, M.; Manzoor, Z.; Rafiq, M.; Munawar, S.H.; Waqas, M.Y.; Majeed, H.; Ali Shah, S.Z.; Hussain, R.; Hussain, H.I.; Tahir, T.; et al. Phytochemical Screening, Anti-Inflammatory, and Antidiabetic Activities of Different Extracts from Caralluma edulis Plant. Molecules 2022, 27, 5346. https://doi.org/10.3390/molecules27165346
Khan M, Manzoor Z, Rafiq M, Munawar SH, Waqas MY, Majeed H, Ali Shah SZ, Hussain R, Hussain HI, Tahir T, et al. Phytochemical Screening, Anti-Inflammatory, and Antidiabetic Activities of Different Extracts from Caralluma edulis Plant. Molecules. 2022; 27(16):5346. https://doi.org/10.3390/molecules27165346
Chicago/Turabian StyleKhan, Maria, Zahid Manzoor, Muhammad Rafiq, Shaukat Hussain Munawar, Muhammad Yasir Waqas, Hamid Majeed, Syed Zahid Ali Shah, Riaz Hussain, Hafiz Iftikhar Hussain, Tehreem Tahir, and et al. 2022. "Phytochemical Screening, Anti-Inflammatory, and Antidiabetic Activities of Different Extracts from Caralluma edulis Plant" Molecules 27, no. 16: 5346. https://doi.org/10.3390/molecules27165346
APA StyleKhan, M., Manzoor, Z., Rafiq, M., Munawar, S. H., Waqas, M. Y., Majeed, H., Ali Shah, S. Z., Hussain, R., Hussain, H. I., Tahir, T., Kotwica-Mojzych, K., & Mojzych, M. (2022). Phytochemical Screening, Anti-Inflammatory, and Antidiabetic Activities of Different Extracts from Caralluma edulis Plant. Molecules, 27(16), 5346. https://doi.org/10.3390/molecules27165346

