Novel Isoxazole Derivative Attenuates Ethanol-Induced Gastric Mucosal Injury through Inhibition of H+/K+-ATPase Pump, Oxidative Stress and Inflammatory Pathways
Abstract
1. Introduction
2. Materials and Methods
2.1. Chemicals
Chemical Information of MBO
2.2. Animals
2.3. In Silico Studies
2.4. Anti H. pylori Activity
2.5. H+/K+-ATPase Inhibitory Assay
2.6. Antioxidant Profile
2.7. Ethanol-Induced Gastric Ulcer Model
2.8. Hematoxylin and Eosin (H&E) Staining
2.9. Immunohistochemistry (IHC) Investigation
2.10. Enzyme-Linked Immunosorbent Assay (ELISA)
2.11. Real-Time Polymerase Chain Reaction (RT-PCR) Analysis
2.12. ADMET Analysis
2.13. Cardiac Toxicity
2.14. Statistical Analysis
3. Results
3.1. In Silico Analysis
3.2. Effect of MBO on H. pylori Inhibition
3.3. Effect of MBO on Rat Gastric H+/K+-ATPase Inhibition
3.4. Effect on Oxidative Stress Markers
3.5. Effect of MBO on Ethanol-Induced Gastric Ulcer Model
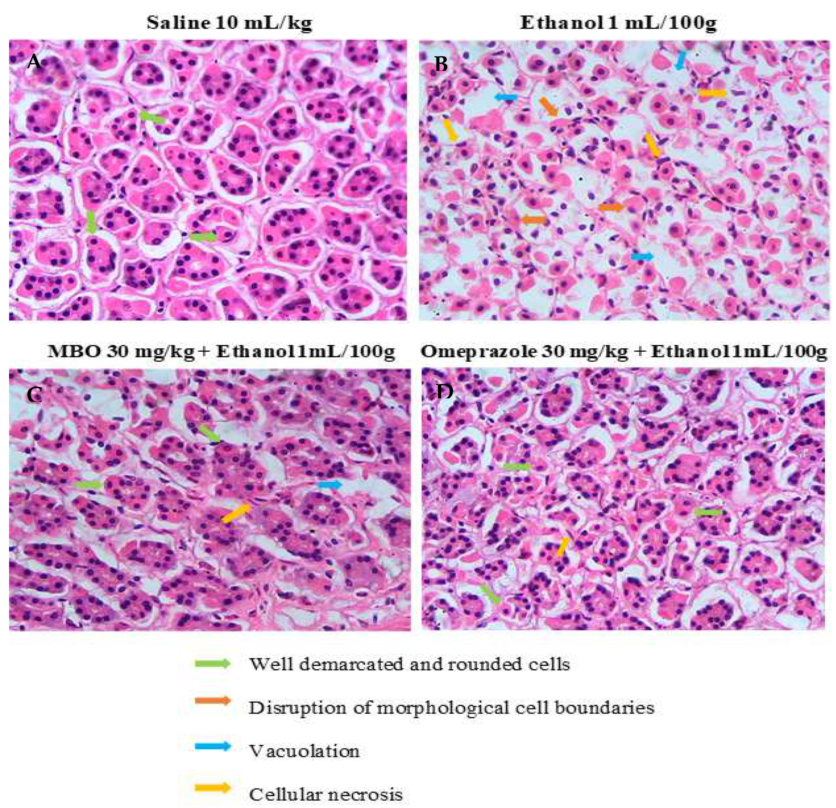
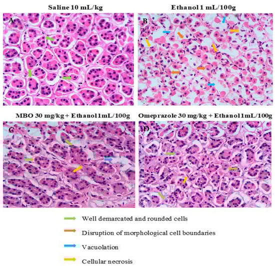
3.6. Histopathological Examination
3.7. Immunohistochemistry (IHC) Analysis
3.8. Effect of MBO on Inflammatory Markers by ELISA
3.9. Effect of MBO on Expression of H+/K+-ATPase through RT-PCR Analysis
3.10. Pharmacokinetics and ADMET
Cardiac Toxicity
4. Discussion
5. Conclusions
Supplementary Materials
Author Contributions
Funding
Institutional Review Board Statement
Informed Consent Statement
Data Availability Statement
Acknowledgments
Conflicts of Interest
Sample Availability
References
- Fazalda, A.; Quraisiah, A.; Azlina, M.F.N. Antiulcer Effect of Honey in Nonsteroidal Anti-Inflammatory Drugs Induced Gastric Ulcer Model in Rats: A Systematic Review. Evid. Based Complement. Altern. Med. 2018, 2018, 1–12. [Google Scholar] [CrossRef] [PubMed]
- Lanas, A.; Chan, F.K.L. Peptic ulcer disease. Lancet 2017, 390, 613–624. [Google Scholar] [CrossRef]
- Dunlap, J.J.; Patterson, S. Peptic Ulcer Disease. Gastroenterol. Nurs. Off. J. Soc. Gastroentero. Nurs. Assoc. 2019, 42, 451–454. [Google Scholar] [CrossRef] [PubMed]
- Kuna, L.; Jakab, J.; Smolic, R.; Raguz-Lucic, N.; Vcev, A.; Smolic, M. Peptic Ulcer Disease: A Brief Review of Conventional Therapy and Herbal Treatment Options. J. Clin. Med. 2019, 8, 179. [Google Scholar] [CrossRef] [PubMed]
- Zamani, M.; Ebrahimtabar, F.; Zamani, V.; Miller, W.H.; Alizadeh-Navaei, R.; Shokri-Shirvani, J.; Derakhshan, M.H. Systematic review with meta-analysis: The worldwide prevalence of Helicobacter pylori infection. Aliment. Pharmacol. Ther. 2018, 47, 868–876. [Google Scholar] [CrossRef]
- Sadiq, A.; Mahnashi, M.H.; Rashid, U.; Jan, M.S.; Alshahrani, M.A.; Huneif, M.A. 3-(((1S,3S)-3-((R)-Hydroxy(4-(trifluoromethyl)phenyl)methyl)-4-oxocyclohexyl)methyl)pentane-2,4-dione: Design and Synthesis of New Stereopure Multi-Target Antidiabetic Agent. Molecules 2022, 27, 3265. [Google Scholar] [CrossRef] [PubMed]
- Memariani, Z.; Abbas, S.Q.; ul Hassan, S.S.; Ahmadi, A.; Chabra, A. Naringin and naringenin as anticancer agents and adjuvants in cancer combination therapy: Efficacy and molecular mechanisms of action, a comprehensive narrative review. Pharmacol. Res. 2021, 171, 105264. [Google Scholar] [CrossRef]
- Noor, A.; Qazi, N.G.; Nadeem, H.; Khan, A.-U.; Paracha, R.Z.; Ali, F.; Saeed, A. Synthesis, characterization, anti-ulcer action and molecular docking evaluation of novel benzimidazole-pyrazole hybrids. Chem. Cent. J. 2017, 11, 85. [Google Scholar] [CrossRef]
- Sysak, A.; Obmińska-Mrukowicz, B. Isoxazole ring as a useful scaffold in a search for new therapeutic agents. Eur. J. Med. Chem. 2017, 137, 292–309. [Google Scholar] [CrossRef]
- Majid, M.; Farhan, A.; Asad, M.I.; Khan, M.R.; Hassan, S.S.U.; Haq, I.-U.; Bungau, S. An Extensive Pharmacological Evaluation of New Anti-Cancer Triterpenoid (Nummularic Acid) from Ipomoea batatas through In Vitro, In Silico, and In Vivo Studies. Molecules 2022, 27, 2474. [Google Scholar] [CrossRef]
- Sussman, J.L.; Lin, D.; Jiang, J.; Manning, N.O.; Prilusky, J.; Ritter, O.; Abola, E.E. Protein Data Bank (PDB): Database of three-dimensional structural information of biological macromolecules. Acta Crystallogr. Sect. D Biol. Crystallogr. 1998, 54, 1078–1084. [Google Scholar] [CrossRef] [PubMed]
- Shams ul Hassan, S.; Qamar Abbas, S.; Ali, F.; Ishaq, M.; Bano, I.; Hassan, M.; Jin, H.-Z.; Bungau, S.G. A Comprehensive In Silico Exploration of Pharmacological Properties, Bioactivities, Molecular Docking, and Anticancer Potential of Vieloplain F from Xylopia vielana Targeting B-Raf Kinase. Molecules 2022, 27, 917. [Google Scholar] [CrossRef] [PubMed]
- Hassan, S.S.U.; Zhang, W.-D.; Jin, H.-Z.; Basha, S.H.; Priya, S.V.S.S. In-silico anti-inflammatory potential of guaiane dimers from Xylopia vielana targeting COX-2. J. Biomol. Struct. Dyn. 2022, 40, 484–498. [Google Scholar] [CrossRef] [PubMed]
- Zou, Y.; Wu, H.; Guo, X.; Peng, L.; Ding, Y.; Tang, J.; Guo, F. MK-FSVM-SVDD: A Multiple Kernel-based Fuzzy SVM Model for Predicting DNA-binding Proteins via Support Vector Data Description. Curr. Bioinform. 2021, 16, 274–283. [Google Scholar] [CrossRef]
- Malekzadeh, F.; Ehsanifar, H.; Shahamat, M.; Levin, M.; Colwell, R.R. Antibacterial activity of black myrobalan (Terminalia chebula Retz) against Helicobacter pylori. Int. J. Antimicrob. 2001, 18, 85–88. [Google Scholar] [CrossRef]
- Zhang, S.-L.; Li, H.; He, X.; Zhang, R.-Q.; Sun, Y.-H.; Zhang, C.-F.; Wang, C.-Z.; Yuan, C.-S. Alkaloids from Mahonia bealei posses anti-H+/K+-ATPase and anti-gastrin effects on pyloric ligation-induced gastric ulcer in rats. Phytomed. Int. J. Phytother. Phytopharm. 2014, 21, 1356–1363. [Google Scholar] [CrossRef]
- Liaquat, I.; Khan, A.-U.; Khan, S. Pharmacological evaluation of continentalic acid for antidiabetic potential. Biomed. Pharmacother. 2021, 138, 111411. [Google Scholar] [CrossRef]
- Ul Hassan, S.S.U.; Muhammad, I.; Abbas, S.Q.; Hassan, M.; Majid, M.; Jin, H.-Z.; Bungau, S. Stress driven discovery of natural products from actinobacteria with anti-oxidant and cytotoxic activities including docking and admet properties. Int. J. Mol. Sci. 2021, 22, 11432. [Google Scholar] [CrossRef]
- Qazi, N.G.; Khan, A.U.; Ali, F. Anti-diarrheal, anti-secretory, anti-spasmodic and antiulcer activities of acacia modesta (Mimosaceae) aerial parts. Trop. J. Pharm. Res. 2017, 16, 2231–2237. [Google Scholar] [CrossRef][Green Version]
- Mahmoud, Y.I.; Abd El-Ghffar, E.A. Spirulina ameliorates aspirin-induced gastric ulcer in albino mice by alleviating oxidative stress and inflammation. Biomed. Pharmacother. 2019, 109, 314–321. [Google Scholar] [CrossRef]
- Ansari, S.F.; Khan, A.-U.; Qazi, N.G.; Shah, F.A.; Naeem, K. In Vivo, Proteomic, and In Silico Investigation of Sapodilla for Therapeutic Potential in Gastrointestinal Disorders. BioMed Res. Int. 2019, 2019, 4921086. [Google Scholar] [CrossRef] [PubMed]
- Shah, F.A.; Zeb, A.; Ali, T.; Muhammad, T.; Faheem, M.; Alam, S.I.; Saeed, K.; Koh, P.-O.; Lee, K.W.; Kim, M.O. Identification of Proteins Differentially Expressed in the Striatum by Melatonin in a Middle Cerebral Artery Occlusion Rat Model-a Proteomic and in silico Approach. Front. Neurosci. 2018, 12, 888. [Google Scholar] [CrossRef]
- Hassan, S.S.U.; Shah, S.A.A.; Pan, C.; Fu, L.; Cao, X.; Shi, Y.; Wu, X.; Wang, K.; Wu, B. Production of an antibiotic enterocin from a marine actinobacteria strain H1003 by metal-stress technique with enhanced enrichment using response surface methodology. Pak. J. Pharm. Sci. 2017, 30, 313–324. [Google Scholar]
- Malik, I.; Shah, F.A.; Ali, T.; Tan, Z.; Alattar, A.; Ullah, N.; Khan, A.-U.; Alshaman, R.; Li, S. Potent Natural Antioxidant Carveol Attenuates MCAO-Stress Induced Oxidative, Neurodegeneration by Regulating the Nrf-2 Pathway. Front. Neurosci. 2020, 14, 659. [Google Scholar] [CrossRef]
- Shin, J.-K.; Park, J.H.; Kim, K.S.; Kang, T.H.; Kim, H.S. Antiulcer Activity of Steamed Ginger Extract against Ethanol/HCl-Induced Gastric Mucosal Injury in Rats. Molecules 2020, 25, 4663. [Google Scholar] [CrossRef] [PubMed]
- Hassan, S.S.U.; Abbas, S.Q.; Hassan, M.; Jin, H.-Z. Computational Exploration of Anti-Cancer Potential of Guaiane Dimers from Xylopia vielana by Targeting B-Raf Kinase Using Chemo-Informatics, Molecular Docking and MD Simulation Studies. Anti-Cancer Agents Med. Chem. 2021, 21, 1–16. [Google Scholar] [CrossRef]
- Hassan, S.S.U.; Jin, H.-Z.; Abu-Izneid, T.; Rauf, A.; Ishaq, M.; Suleria, H.A.R. Stress-driven discovery in the natural products: A gateway towards new drugs. Biomed. Pharmacother. 2019, 109, 459–467. [Google Scholar] [CrossRef]
- Feng, Y.; Li, F.; Yan, J.; Guo, X.; Wang, F.; Shi, H.; Du, J.; Zhang, H.; Gao, Y.; Li, D.; et al. Pan-cancer analysis and experiments with cell lines reveal that the slightly elevated expression of DLGAP5 is involved in clear cell renal cell carcinoma progression. Life Sci. 2021, 287, 120056. [Google Scholar] [CrossRef]
- Li, H.; Wang, F. Core-shell chitosan microsphere with antimicrobial and vascularized functions for promoting skin wound healing. Mater. Des. 2021, 204, 109683. [Google Scholar] [CrossRef]
- Perera, L.M.; Ruedas, D.; Gómez, B.C. Gastric antiulcer effect of Rhizophora mangle L. J. Ethnopharmacol. 2001, 77, 1–3. [Google Scholar] [CrossRef]
- García-Rayado, G.; Navarro, M.; Lanas, A. NSAID induced gastrointestinal damage and designing GI-sparing NSAIDs. Expert Rev. Clin. Pharmacol. 2018, 11, 1031–1043. [Google Scholar] [CrossRef] [PubMed]
- Dallakyan, S.; Olson, A.J. Small-molecule library screening by docking with PyRx. Methods Mol. Biol. 2015, 1263, 243–250. [Google Scholar] [CrossRef] [PubMed]
- Goodsell, D.S. Computational docking of biomolecular complexes with AutoDock. Cold Spring Harb. Protoc. 2009, 8, 5200. [Google Scholar] [CrossRef] [PubMed]
- Lee, H.-A.; Hong, S.; Yoo, J.-H.; Chung, Y.; Kim, O. Anti-Helicobacter pylori activity and inhibition of gastritis by Allium hookeri extract. Lab. Anim. Res. 2018, 34, 75–79. [Google Scholar] [CrossRef] [PubMed]
- Shams ul Hassan, S.; Ishaq, M.; Zhang, W.; Jin, H.-Z. An overview of the mechanisms of marine fungi-derived antiinflammatory and anti-tumor agents and their novel role in drug targeting. Curr. Pharm. Des. 2021, 27, 2605–2614. [Google Scholar] [CrossRef]
- Zhu, J.; Mo, J.; Lin, H.-Z.; Chen, Y.; Sun, H.-P. The recent progress of isoxazole in medicinal chemistry. Bioorg. Med. Chem. 2018, 26, 3065–3075. [Google Scholar] [CrossRef]
- Nassini, R.; Andrè, E.; Gazzieri, D.; De Siena, G.; Zanasi, A.; Geppetti, P.; Materazzi, S. A bicarbonate-alkaline mineral water protects from ethanol-induced hemorrhagic gastric lesions in mice. Biol. Pharm. Bull. 2010, 33, 1319–1323. [Google Scholar] [CrossRef][Green Version]
- Suo, H.; Zhao, X.; Qian, Y.; Sun, P.; Zhu, K.; Li, J.; Sun, B. Lactobacillus fermentum Suo Attenuates HCl/Ethanol Induced Gastric Injury in Mice through Its Antioxidant Effects. Nutrients 2016, 8, 155. [Google Scholar] [CrossRef]
- Xue, X.; Liu, H.; Wang, S.; Hu, Y.; Huang, B.; Li, M.; Gao, J.; Wang, X.; Su, J. Neutrophil-erythrocyte hybrid membrane-coated hollow copper sulfide nanoparticles for targeted and photothermal/anti-inflammatory therapy of osteoarthritis. Compos. Part B Eng. 2022, 237, 109855. [Google Scholar] [CrossRef]










| Primer Sequences for H+/K+-ATPase and β-Actin | ||
|---|---|---|
| Primers | Forward sequence (5′-3′) | Reverse sequence (5′-3′) |
| Rat Beta-actin | CCCGCGAGTACAACCTTCT | CGTCATCCATGGCGAACT |
| H+/K+-ATPase (J02449) | TATGAATTGTACTCAGTGGA | TGGTCTGGTACTTCTGCT |
| Target Proteins | MBO | STANDARD DRUGS | |||||
|---|---|---|---|---|---|---|---|
| E-Value (Kcal/mol) | No of H Bonds | Binding Residues Forming H Bonds | Standard | E-Value (Kcal/mol) | No of H Bonds | Binding Residues Forming H Bonds | |
| H+/K+ ATPase (PDB ID:5ylu) | −7.4 | 1 | SER A:871 | Omeprazole | −8.2 | 3 | ALA A:339, CYS A:813, ASP A:137 |
| Muscarinic M1 (PDB ID:5CXV) | −8.2 | 1 | SER A:109 | Pirenzepine | −8.7 | - | - |
| Histaminergic H2 (PDB ID: 7ul3) | −6.2 | - | - | Ranitidine | −5.3 | 3 | ASN A:292, ALA A:232, LYS A:231 |
| Cox-1 (PDB ID:6y3c) | −7.5 | 1 | GLN A:203 | Aspirin | −6.7 | 2 | THR A:206, HIS A:207 |
| Cox-2 (PDB ID:5f1a) | −7.7 | 1 | SER A:530 | Aspirin | −6.8 | 2 | TYR A:385, VAL A:523 |
| TNF-α (PDB ID:4TSV) | −5.4 | 1 | GLN A:67 | Aspirin | −4.9 | 2 | GLY A:68 GLN A:67 |
| NFkB (PDB ID: 1A3Q) | −5.7 | 1 | ARG B:103 | Curcumin | −5.8 | 2 | SER B:108, THR B:149 |
| Zone of Inhibition (mm) at Concentrations (µg/disk) | MIC50 (µg/mL) | |||||||
|---|---|---|---|---|---|---|---|---|
| Samples | 0.5 | 1 | 2 | 4 | 8 | 16 | 32 | |
| STRAIN I | ||||||||
| MBO | 1.66 ± 0.33 | 2.33 ± 0.33 | 4 ± 0.57 | 6.66 ± 0.33 | 9 ± 0.57 | 12 ± 0.57 | 15.33 ± 0.88 | 15 |
| Metronidazole | 3.66 ± 0.33 | 4.66 ± 0.33 | 5.33 ± 0.66 | 7 ± 0.57 | 10.33 ± 1.20 | 14.66 ± 0.88 | 22 ± 1.15 | 4 |
| STRAIN II | ||||||||
| MBO | 1.66 ± 0.33 | 3 ± 0 | 4.66 ± 0.33 | 7.33 ± 0.66 | 9.66 ± 0.33 | 13 ± 0.57 | 16 ± 0.57 | 14 |
| Metronidazole | 4 ± 0.57 | 5 ± 0.57 | 5 ± 0.57 | 7.33 ± 0.88 | 10.33 ± 1.20 | 15 ± 1 | 20.66 ± 1.33 | 6 |
| STRAIN III | ||||||||
| MBO | 2.33 ± 0.33 | 3.66 ± 0.33 | 5 ± 0.57 | 8.33 ± 0.88 | 9 ± 0.57 | 13.33 ± 0.88 | 16.33 ± 0.88 | 14 |
| Metronidazole | 4 ± 0.57 | 4.66 ± 0.33 | 5.66 ± 0.88 | 8 ± 1.15 | 11.33 ± 0.66 | 15.66 ± 0.33 | 22.66 ± 0.66 | 4 |
| Treatment | Ulcer Index | % Inhibition |
|---|---|---|
| Saline 10 mL/kg | 0 | 100 |
| Ethanol 1 mL/100 g | 10 ± 0.1 ### | 0 |
| MBO (5 mg/kg) + Ethanol 1 mL/100 g | 8 ± 0.039 *** | 20 |
| MBO (10 mg/kg) + Ethanol 1 mL/100 g | 6 ± 0.086 *** | 40 |
| MBO (30 mg/kg) + Ethanol 1 mL/100 g | 1 ± 0.067 *** | 90 |
| Omeprazole (30 mg/kg) + Ethanol 1 mL/100 g | 1 ± 0.061 *** | 90 |
| Properties | Parameters | MBO |
|---|---|---|
| Physicochemical Properties | MW a (g/mol) | 187.19 g/mol |
| Rotatable bonds | 1 | |
| HBA b | 3 | |
| HBD c | 0 | |
| Fraction Csp3 | 0.09 | |
| TPSA d | 38.66 | |
| Lipophilicity Log Po/w | iLOGP | 1.95 |
| XLOGP3 | 2.23 | |
| MLOGP | 1.95 | |
| Consensus | 2.15 | |
| Absorption | Human intestinal absorption | 97.16% |
| Caco2 permeability | 1.339 | |
| Skin Permeability | −2.466 | |
| P-glycoprotein Substrate | No | |
| Distribution | Blood-brain barrier Permeability | 0.382 |
| CNS permeability | −1.973 | |
| Metabolism | CYP3A4 substrate | No |
| CYP2D6 substrate | No | |
| CYP2D6 inhibitor | No | |
| CYP1A2 inhibitor | Yes | |
| CYP2C19 inhibitor | No | |
| CYP3A4 inhibitor | No | |
| Excretion | Total clearance | 0.662 |
| Renal OCT2 substrate | No | |
| Toxicity | Oral rat acute toxicity (LD50)(mol/kg) | 2.231 |
| Oral rat Chronic toxicity (LOAEL) (mg/kg) | 2.188 | |
| Hepatotoxicity | Yes | |
| hERG I Inhibitor | No | |
| hERG II Inhibitor | No | |
| AMES toxicity | No | |
| Max. Tolerated Dose (human) (log mg/kg/day) | 0.733 | |
| Fathead Minnow (log mM) | 1.108 | |
| Tetrahymena pyriformis (log ug/L) | 0.902 | |
| Skin sensitisation | Yes |
Publisher’s Note: MDPI stays neutral with regard to jurisdictional claims in published maps and institutional affiliations. |
© 2022 by the authors. Licensee MDPI, Basel, Switzerland. This article is an open access article distributed under the terms and conditions of the Creative Commons Attribution (CC BY) license (https://creativecommons.org/licenses/by/4.0/).
Share and Cite
Razzaq, S.; Minhas, A.M.; Qazi, N.G.; Nadeem, H.; Khan, A.-u.; Ali, F.; Hassan, S.S.u.; Bungau, S. Novel Isoxazole Derivative Attenuates Ethanol-Induced Gastric Mucosal Injury through Inhibition of H+/K+-ATPase Pump, Oxidative Stress and Inflammatory Pathways. Molecules 2022, 27, 5065. https://doi.org/10.3390/molecules27165065
Razzaq S, Minhas AM, Qazi NG, Nadeem H, Khan A-u, Ali F, Hassan SSu, Bungau S. Novel Isoxazole Derivative Attenuates Ethanol-Induced Gastric Mucosal Injury through Inhibition of H+/K+-ATPase Pump, Oxidative Stress and Inflammatory Pathways. Molecules. 2022; 27(16):5065. https://doi.org/10.3390/molecules27165065
Chicago/Turabian StyleRazzaq, Sidra, Amber Mahmood Minhas, Neelum Gul Qazi, Humaira Nadeem, Arif-ullah Khan, Fawad Ali, Syed Shams ul Hassan, and Simona Bungau. 2022. "Novel Isoxazole Derivative Attenuates Ethanol-Induced Gastric Mucosal Injury through Inhibition of H+/K+-ATPase Pump, Oxidative Stress and Inflammatory Pathways" Molecules 27, no. 16: 5065. https://doi.org/10.3390/molecules27165065
APA StyleRazzaq, S., Minhas, A. M., Qazi, N. G., Nadeem, H., Khan, A.-u., Ali, F., Hassan, S. S. u., & Bungau, S. (2022). Novel Isoxazole Derivative Attenuates Ethanol-Induced Gastric Mucosal Injury through Inhibition of H+/K+-ATPase Pump, Oxidative Stress and Inflammatory Pathways. Molecules, 27(16), 5065. https://doi.org/10.3390/molecules27165065

