Disentangling Unusual Catalytic Properties and the Role of the [4Fe-4S] Cluster of Three Endonuclease III from the Extremophile D. radiodurans
Abstract
:1. Introduction
2. Results and Discussion
2.1. Analysis of DrEndoIII1 and DrEndoIII3 Mutants
2.1.1. Protein Expression
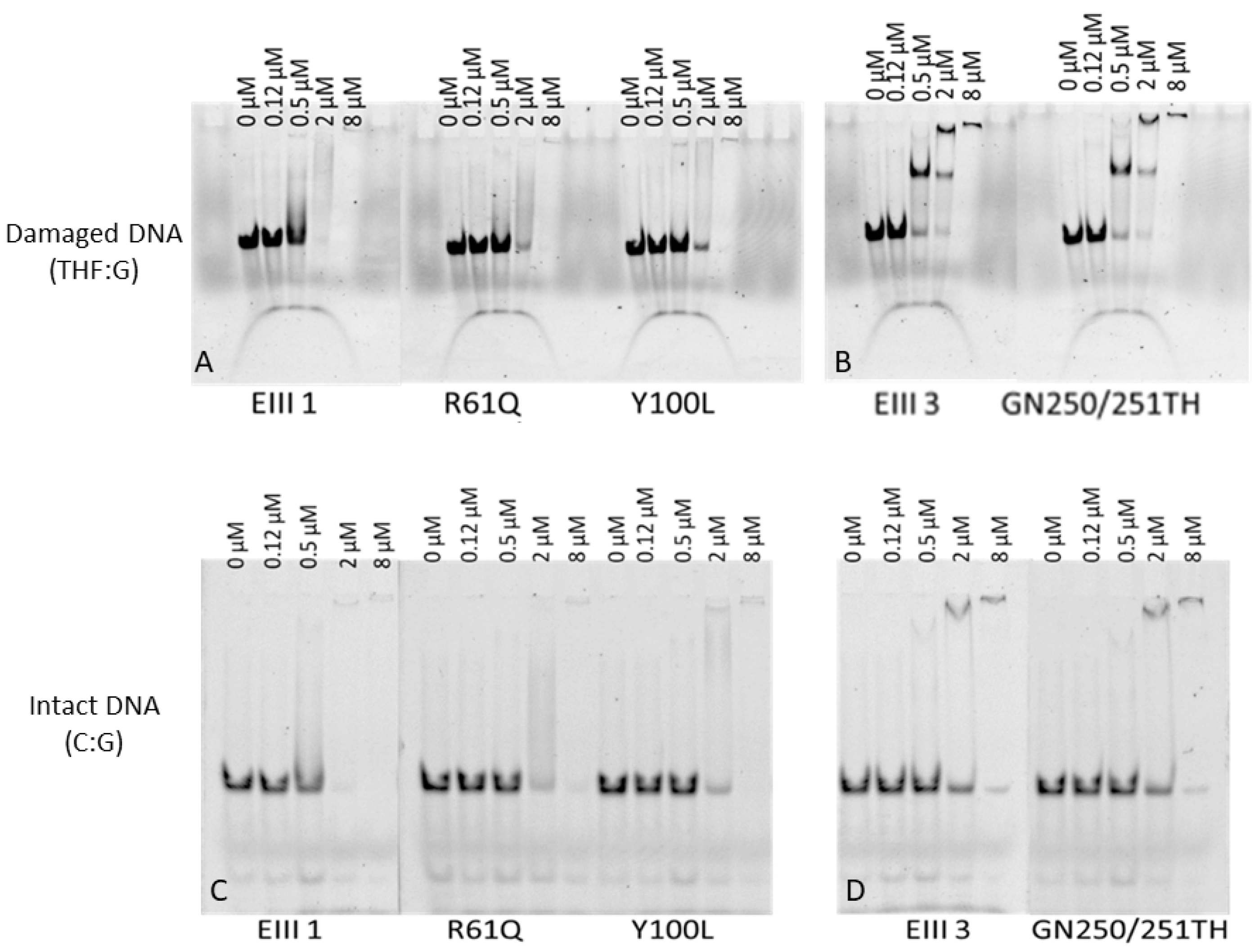
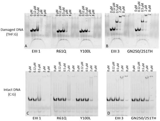
2.1.2. Biochemical Characterization
2.1.3. Crystal Structure Determination
2.2. Biophysical Characterization
2.2.1. Protein Thermal Stability
2.2.2. Electrochemical and RR Analysis
2.3. The Role of the FeS Cluster for DrEndoIII Enzymes
3. Concluding Remarks
4. Materials and Methods
4.1. Construction of Mutants
4.2. Protein Expression and Purification
4.3. Crystallization and Cryo-Protection
4.4. Data Collection and Processing
4.5. Structure Determination and Refinement
4.6. Activity Assays
4.7. EMSA
4.8. Circular Dichroism
4.9. Electrochemistry
4.10. Resonance Raman
Supplementary Materials
Author Contributions
Funding
Institutional Review Board Statement
Informed Consent Statement
Data Availability Statement
Acknowledgments
Conflicts of Interest
References
- Dizdaroglu, M. Base-Excision Repair of Oxidative DNA Damage by DNA Glycosylases. Mutat. Res. Fundam. Mol. Mech. Mutagenesis 2005, 591, 45–59. [Google Scholar] [CrossRef] [PubMed]
- Weren, R.D.A.; Ligtenberg, M.J.L.; Geurts van Kessel, A.; de Voer, R.M.; Hoogerbrugge, N.; Kuiper, R.P. NTHL1 and MUTYH Polyposis Syndromes: Two Sides of the Same Coin? J. Pathol. 2018, 244, 135–142. [Google Scholar] [CrossRef] [PubMed] [Green Version]
- Thayer, M.M.; Ahern, H.; Xing, D.; Cunningham, R.P.; Tainer, J.A. Novel DNA Binding Motifs in the DNA Repair Enzyme Endonuclease III Crystal Structure. EMBO J. 1995, 14, 4108–4120. [Google Scholar] [CrossRef]
- Sarre, A.; Ökvist, M.; Klar, T.; Hall, D.R.; Smalås, A.O.; McSweeney, S.; Timmins, J.; Moe, E. Structural and Functional Characterization of Two Unusual Endonuclease III Enzymes from Deinococcus Radiodurans. J. Struct. Biol. 2015, 191, 87–99. [Google Scholar] [CrossRef]
- Fromme, J.C.; Verdine, G.L. Structure of a Trapped Endonuclease III-DNA Covalent Intermediate. EMBO J. 2003, 22, 3461–3471. [Google Scholar] [CrossRef] [PubMed] [Green Version]
- Carroll, B.L.; Zahn, K.E.; Hanley, J.P.; Wallace, S.S.; Dragon, J.A.; Doublié, S. Caught in Motion: Human NTHL1 Undergoes Interdomain Rearrangement Necessary for Catalysis. Nucleic Acids Res. 2021, 49, 13165–13178. [Google Scholar] [CrossRef] [PubMed]
- Cox, M.M.; Battista, J.R. Deinococcus Radiodurans—The Consummate Survivor. Nat. Rev. Microbiol. 2005, 3, 882–892. [Google Scholar] [CrossRef]
- White, O.; Eisen, J.A.; Heidelberg, J.F.; Hickey, E.K.; Peterson, J.D.; Dodson, R.J.; Haft, D.H.; Gwinn, M.L.; Nelson, W.C.; Richardson, D.L.; et al. Genome Sequence of the Radioresistant Bacterium Deinococcus Radiodurans R1. Science 1999, 286, 1571–1577. [Google Scholar] [CrossRef] [Green Version]
- Makarova, K.S.; Aravind, L.; Wolf, Y.I.; Tatusov, R.L.; Minton, K.W.; Koonin, E.v.; Daly, M.J. Genome of the Extremely Radiation-Resistant Bacterium Deinococcus Radiodurans Viewed from the Perspective of Comparative Genomics. Microbiol. Mol. Biol. Rev. 2001, 65, 44–79. [Google Scholar] [CrossRef] [Green Version]
- Culotta, V.C.; Daly, M.J. Manganese Complexes: Diverse Metabolic Routes to Oxidative Stress Resistance in Prokaryotes and Yeast. Antioxid. Redox Signal. 2013, 19, 933–944. [Google Scholar] [CrossRef] [Green Version]
- Lim, S.; Jung, J.H.; Blanchard, L.; de Groot, A. Conservation and Diversity of Radiation and Oxidative Stress Resistance Mechanisms in Deinococcus Species. FEMS Microbiol. Rev. 2019, 43, 19–52. [Google Scholar] [CrossRef] [Green Version]
- Sarre, A.; Stelter, M.; Rollo, F.; de Bonis, S.; Seck, A.; Hognon, C.; Ravanat, J.L.; Monari, A.; Dehez, F.; Moe, E.; et al. The Three Endonuclease III Variants of Deinococcus Radiodurans Possess Distinct and Complementary DNA Repair Activities. DNA Repair 2019, 78, 45–59. [Google Scholar] [CrossRef] [PubMed]
- Fu, W.; O’Handley, S.; Cunningham, R.P.; Johnson, M.K. The Role of the Iron-Sulfur Cluster in Escherichia Coli Endonuclease III. A Resonance Raman Study. J. Biol. Chem. 1992, 267, 16135–16137. [Google Scholar] [CrossRef]
- Cunningham, R.P.; Asahara, H.; Bank, J.F.; Scholes, C.P.; Salerno, J.C.; Surerus, K.; Miinck, E.; McCracken, J.; Peisach, J.; Emptage, M.H. Endonuclease III Is an Iron-Sulfur Protein. Biochemistry 1989, 28, 4450–4455. [Google Scholar] [CrossRef] [PubMed]
- Boal, A.K.; Yavin, E.; Lukianova, O.A.; O’Shea, V.L.; David, S.S.; Barton, J.K. DNA-Bound Redox Activity of DNA Repair Glycosylases Containing [4Fe-4S] Clusters. Biochemistry 2005, 44, 8397–8407. [Google Scholar] [CrossRef]
- Moe, E.; Sezer, M.; Hildebrandt, P.; Todorovic, S. Surface Enhanced Vibrational Spectroscopic Evidence for an Alternative DNA-Independent Redox Activation of Endonuclease III. Chem. Commun. 2015, 51, 3255–3257. [Google Scholar] [CrossRef] [Green Version]
- Moe, E.; Rollo, F.; Silveira, C.M.; Sezer, M.; Hildebrandt, P.; Todorovic, S. Spectroelectrochemical Insights into Structural and Redox Properties of Immobilized Endonuclease III and Its Catalytically Inactive Mutant. Spectrochim. Acta Part A Mol. Biomol. Spectrosc. 2018, 188, 149–154. [Google Scholar] [CrossRef]
- Golinelli, M.P.; Chmiel, N.H.; David, S.S. Site-Directed Mutagenesis of the Cysteine Ligands to the [4Fe-4S] Cluster of Escherichia Coli MutY. Biochemistry 1999, 38, 6997–7007. [Google Scholar] [CrossRef]
- Marenstein, D.R.; Ocampo, M.T.A.; Chan, M.K.; Altamirano, A.; Basu, A.K.; Boorstein, R.J.; Cunningham, R.P.; Teebor, G.W. Stimulation of Human Endonuclease III by Y Box-Binding Protein 1 (DNA-Binding Protein B). Interaction between a Base Excision Repair Enzyme and a Transcription Factor. J. Biol. Chem. 2001, 276, 21242–21249. [Google Scholar] [CrossRef] [Green Version]
- Moulis, J.M.; Davasse, V.; Golinelli, M.P.; Meyer, J.; Quinkal, I. The Coordination Sphere of Iron-Sulfur Clusters: Lessons from Site-Directed Mutagenesis Experiments. J. Biol. Inorg. Chem. 1996, 1, 2–14. [Google Scholar] [CrossRef]
- Agarwal, A.; Li, D.; Cowan, J.A. Influence of Oxygen Ligation on [Fe4S4] Cluster Properties. Characterization of the Cys77Ser Mutant of Chromatium Vinosum HiPIP. J. Am. Chem. Soc. 1996, 118, 927–928. [Google Scholar] [CrossRef]
- Sarre, A.; Ökvist, M.; Klar, T.; Moe, E.; Timmins, J. Expression, Purification and Crystallization of Two Endonuclease III Enzymes from Deinococcus Radiodurans. Acta Crystallogr. Sect. F Struct. Biol. Commun. 2014, 70, 1688–1692. [Google Scholar] [CrossRef] [Green Version]
- Juanhuix, J.; Gil-Ortiz, F.; Cuní, G.; Colldelram, C.; Nicolás, J.; Lidón, J.; Boter, E.; Ruget, C.; Ferrer, S.; Benach, J. Developments in Optics and Performance at BL13-XALOC, the Macromolecular Crystallography Beamline at the Alba Synchrotron. J. Synchrotron Radiat. 2014, 21, 679–689. [Google Scholar] [CrossRef] [PubMed]
- Kabsch, W. 2010. Xds. Acta Crystallogr. D 2010, 66, 125–132. [Google Scholar] [CrossRef] [PubMed] [Green Version]
- Kantardjieff, K.A.; Rupp, B. Matthews Coefficient Probabilities: Improved Estimates for Unit Cell Contents of Proteins, DNA, and Protein-Nucleic Acid Complex Crystals. Protein Sci. 2003, 12, 1865–1871. [Google Scholar] [CrossRef]
- Matthews, B.W. Solvent Content of Protein Crystals. J. Mol. Biol. 1968, 33, 491–497. [Google Scholar] [CrossRef]
- Vagin, A.; Lebedev, A. MoRDa, an Automatic Molecular Replacement Pipeline. Acta Crystallogr. Sect. A Found. Adv. 2015, 71, s19. [Google Scholar] [CrossRef] [Green Version]
- Adams, P.D.; Afonine, P.v.; Bunkóczi, G.; Chen, V.B.; Davis, I.W.; Echols, N.; Headd, J.J.; Hung, L.W.; Kapral, G.J.; Grosse-Kunstleve, R.W.; et al. PHENIX: A Comprehensive Python-Based System for Macromolecular Structure Solution. Acta Crystallogr. Sect. D Biol. Crystallogr. 2010, 66, 213–221. [Google Scholar] [CrossRef] [Green Version]
- Afonine, P.v.; Grosse-Kunstleve, R.W.; Echols, N.; Headd, J.J.; Moriarty, N.W.; Mustyakimov, M.; Terwilliger, T.C.; Urzhumtsev, A.; Zwart, P.H.; Adams, P.D. Towards Automated Crystallographic Structure Refinement with Phenix. Refine. Acta Crystallogr. Sect. D Biol. Crystallogr. 2012, 68, 352–367. [Google Scholar] [CrossRef] [Green Version]
- Terwilliger, T.C.; Grosse-Kunstleve, R.W.; Afonine, P.v.; Moriarty, N.W.; Zwart, P.H.; Hung, L.W.; Read, R.J.; Adams, P.D. Iterative Model Building, Structure Refinement and Density Modification with the PHENIX AutoBuild Wizard. Proc. Acta Crystallogr. Sect. D Biol. Crystallogr. 2007, 64, 61–69. [Google Scholar] [CrossRef] [Green Version]
- Painter, J.; Merritt, E.A. Optimal Description of a Protein Structure in Terms of Multiple Groups Undergoing TLS Motion. Acta Crystallogr. Sect. D Biol. Crystallogr. 2006, 62, 439–450. [Google Scholar] [CrossRef] [PubMed]
- Emsley, P.; Cowtan, K. Coot: Model-Building Tools for Molecular Graphics. Acta Crystallogr. Sect. D Biol. Crystallogr. 2004, 60, 2126–2132. [Google Scholar] [CrossRef] [PubMed] [Green Version]
- Engh, R.A.; Huber, R. Accurate Bond and Angle Parameters for X-ray Protein Structure Refinement. Acta Crystallogr. Sect. A 1991, 47, 392–400. [Google Scholar] [CrossRef]
- Chen, V.B.; Arendall, W.B.; Headd, J.J.; Keedy, D.A.; Immormino, R.M.; Kapral, G.J.; Murray, L.W.; Richardson, J.S.; Richardson, D.C. MolProbity: All-Atom Structure Validation for Macromolecular Crystallography. Acta Crystallogr. Sect. D Biol. Crystallogr. 2010, 66, 12–21. [Google Scholar] [CrossRef] [Green Version]
- DeLano, W.L. Unraveling Hot Spots in Binding Interfaces: Progress and Challenges. Curr. Opin. Struct. Biol. 2002, 12, 14–20. [Google Scholar] [CrossRef]
- Schrodinger, L.L.C. The Pymol Molecular Graphics System, version 1.8. 2010. [Google Scholar]
- Berman, H.M.; Westbrook, J.; Feng, Z.; Gilliland, G.; Bhat, T.N.; Weissig, H.; Shindyalov, I.N.; Bourne, P.E. The Protein Data Bank. Nucleic Acids Research 2000, 28, 235–242. [Google Scholar] [CrossRef] [Green Version]
- Laviron, E. General Expression of the Linear Potential Sweep Voltammogram in the Case of Diffusionless Electrochemical Systems. J. Electroanal. Chem. 1979, 101, 19–28. [Google Scholar] [CrossRef]








Publisher’s Note: MDPI stays neutral with regard to jurisdictional claims in published maps and institutional affiliations. |
© 2022 by the authors. Licensee MDPI, Basel, Switzerland. This article is an open access article distributed under the terms and conditions of the Creative Commons Attribution (CC BY) license (https://creativecommons.org/licenses/by/4.0/).
Share and Cite
Rollo, F.; Borges, P.T.; Silveira, C.M.; Rosa, M.T.G.; Todorovic, S.; Moe, E. Disentangling Unusual Catalytic Properties and the Role of the [4Fe-4S] Cluster of Three Endonuclease III from the Extremophile D. radiodurans. Molecules 2022, 27, 4270. https://doi.org/10.3390/molecules27134270
Rollo F, Borges PT, Silveira CM, Rosa MTG, Todorovic S, Moe E. Disentangling Unusual Catalytic Properties and the Role of the [4Fe-4S] Cluster of Three Endonuclease III from the Extremophile D. radiodurans. Molecules. 2022; 27(13):4270. https://doi.org/10.3390/molecules27134270
Chicago/Turabian StyleRollo, Filipe, Patricia T. Borges, Célia M. Silveira, Margarida T. G. Rosa, Smilja Todorovic, and Elin Moe. 2022. "Disentangling Unusual Catalytic Properties and the Role of the [4Fe-4S] Cluster of Three Endonuclease III from the Extremophile D. radiodurans" Molecules 27, no. 13: 4270. https://doi.org/10.3390/molecules27134270
APA StyleRollo, F., Borges, P. T., Silveira, C. M., Rosa, M. T. G., Todorovic, S., & Moe, E. (2022). Disentangling Unusual Catalytic Properties and the Role of the [4Fe-4S] Cluster of Three Endonuclease III from the Extremophile D. radiodurans. Molecules, 27(13), 4270. https://doi.org/10.3390/molecules27134270

