The Ameliorative Effect of Empagliflozin in Vigabatrin-Induced Cerebellar/Neurobehavioral Deficits: Targeting mTOR/AMPK/SIRT-1 Signaling Pathways
Abstract
:1. Introduction
2. Material and Methods
2.1. Drugs and Chemicals
2.2. Animals
2.3. Experimental Design
- (1)
- Group I (control group, n = 10), where the rats received a daily intraperitoneal (IP) injection of 0.9% sodium chloride along with oral administration of DMSO (1 mL/kg) by oral gavage for 6 consecutive weeks.
- (2)
- Group II (vigabatrin group, n = 10), where the rats received an IP injection of 250 mg/kg/day vigabatrin dissolved in 0.9% sodium chloride (the final concentration was 25 mg in each one milliliter of 0.9% sodium chloride) for 6 consecutive weeks [4].
- (3)
- Group III (Empagliflozin-treated vigabatrin group, n = 10), an IP injection of 250 mg/kg/day vigabatrin dissolved in 0.9% sodium chloride at a concentration of 25 mg/mL along with daily oral administration by oral gavage of 10 mg/kg/day empagliflozin dissolved in DMSO (the final concentration was 10 mg in each one milliliter of DMSO) starting on day 1 with the first dose of vigabatrin for 6 consecutive weeks [12].
- (4)
- Group IV (Empagliflozin-treated group, n = 10), daily oral administration by oral gavage of 10 mg/kg/day empagliflozin dissolved in DMSO (the final concentration was 10 mg in each one milliliter of DMSO) starting on day 1 [12].
2.4. Behavioral Test
2.4.1. Open Field Activity
2.4.2. Rotarod Test
2.5. Data and Sample Collection
2.6. Tissue Samples
2.7. Histological and Immunohistochemical Assessments
2.8. Biochemical Parameters Assessment
2.8.1. Redox Status Parameters
2.8.2. Immunoassay of mTOR, Beclin1, and AMPK
2.8.3. Quantitative Analysis of SIRT1 and P62 Gene Expression by Quantitative Real-Time Polymerase Chain Reaction (RT-PCR)
- (a)
- Firstly, RNA was extracted from tissue homogenate using Gene JET RNA Purification Kit (Thermo Fisher Scientific, Waltham, MA, USA) according to manufacturer’s instructions. RNA concentration and purity were determined by measuring OD260 and OD260/280 ratio, respectively, on a Nano Drop spectrophotometer (Nano-Drop Technologies, Inc., Wilmington, NC, USA); the isolated RNA was kept frozen at −80 °C.
- (b)
- Revert Aid H Minus Reverse Transcriptase was used for reverse transcription of total RNA (Thermo Fisher Scientific, USA) to produce cDNA. The cDNA was stored at −20 °C until used. Primers were selected from Primer Bank listed in Table 1.
- (c)
- The relative expression of SIRT1 and P62 genes was detected using a cDNA template by Step One Plus real-time PCR system (Applied Biosystem, Foster City, CA, USA).
- (d)
- The conditions of thermal cycler: Denaturation step at 95 °C for 10 min, followed by 40 to 45 amplification cycles (DNA denaturation for 15 s at 95 °C, annealing for 30 s at 60 °C then extension for 30 s at 72 °C). At the end of the last cycle, the temperature raised from 63 to 95 °C for melting curve analysis. The Ct values (cycle threshold) for both (target and housekeeping) genes were estimated, and the relative gene expression assessment was performed using the 2−ΔΔCt method [19].
2.9. Morphometric Study
2.10. Statistical Analysis
3. Results
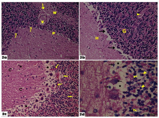
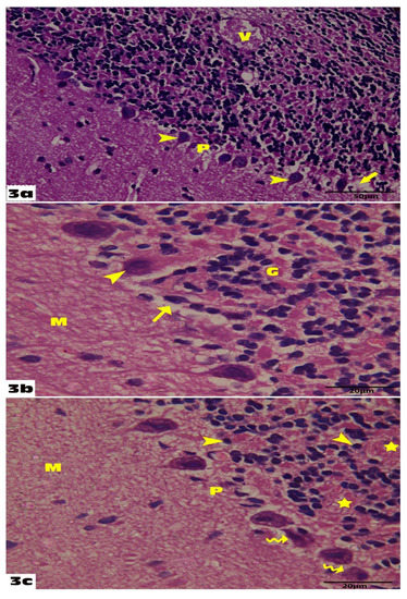
3.1. The Ameliorative Effect of Empagliflozin on Histological and Immunohistochemical Results
3.2. The Ameliorative Effect of Treatment on Morphometric Results
3.3. The Antioxidant Effect of Empagliflozin
3.4. The Ameliorative Effect of Empagliflozin on Autophagy
3.5. The Modifying Effect of Empagliflozin on mTOR, AMPK, and Relative mRNA Gene Expression of SIRT1 Levels
3.6. The Motor Function Improvement as Tested by Behavioral Tests
4. Discussion
5. Conclusions
6. Limitations
Author Contributions
Funding
Institutional Review Board Statement
Informed Consent Statement
Data Availability Statement
Conflicts of Interest
References
- Wheless, J.W.; Ramsay, R.E.; Collins, S.D. Vigabatrin. Neurotherapeutics 2007, 4, 163–172. [Google Scholar] [CrossRef] [PubMed] [Green Version]
- Gram, L.; Larsson, O.; Johnsen, A.; Schousboe, A. Experimental studies of the influence of vigabatrin on the GABA system. Br. J. Clin. Pharmacol. 1989, 27, 13S–17S. [Google Scholar] [CrossRef] [PubMed] [Green Version]
- Sander, J.W.; Hart, Y.M.; Trimble, M.R.; Shorvon, S.D. Vigabatrin and psychosis. J. Neurol. Neurosurg. Psychiatry 1991, 54, 435–439. [Google Scholar] [CrossRef] [PubMed] [Green Version]
- Singh, D.; Jethani, S.L.; Dubey, A. Vigabatrin induced cell loss in the cerebellar cortex of albino rats. J. Clin. Diagn. Res. JCDR 2013, 7, 2555. [Google Scholar] [CrossRef] [PubMed]
- Singh, D.; Jethani, S.; Dubey, A.; Deepa, S.; Aksh, D. Vigabatrin induced intramyelinic oedema in cerebellum of albino rats. J. Anat. Soc. India 2014, 63, 156–160. [Google Scholar] [CrossRef]
- Vogel, K.R.; Ainslie, G.R.; Schmidt, M.A.; Wisor, J.P.; Gibson, K.M. mTOR Inhibition Mitigates Molecular and Biochemical Alterations of Vigabatrin-Induced Visual Field Toxicity in Mice. Pediatr. Neurol. 2017, 66, 44–52. [Google Scholar] [CrossRef] [PubMed]
- Lakhani, R.; Vogel, K.R.; Till, A.; Liu, J.; Burnett, S.F.; Gibson, K.M.; Subramani, S. Defects in GABA metabolism affect selective autophagy pathways and are alleviated by m TOR inhibition. EMBO Mol. Med. 2014, 6, 551–566. [Google Scholar] [CrossRef]
- Ni, H.-M.; Williams, J.A.; Jaeschke, H.; Ding, W.-X. Zonated induction of autophagy and mitochondrial spheroids limits acetaminophen-induced necrosis in the liver. Redox Biol. 2013, 1, 427–432. [Google Scholar] [CrossRef] [Green Version]
- Wu, Y.; Li, W.; Hu, Y.; Liu, Y. Sun Suppression of sirtuin 1 alleviates airway inflammation through mTOR-mediated autophagy. Mol. Med. Rep. 2020, 22, 2219–2226. [Google Scholar] [CrossRef]
- Yu, A.S.; Hirayama, B.A.; Timbol, G.; Liu, J.; Diez-Sampedro, A.; Kepe, V.; Satyamurthy, N.; Huang, S.-C.; Wright, E.M.; Barrio, J.R. Regional distribution of SGLT activity in rat brain in vivo. Am. J. Physiol. Physiol. 2013, 304, C240–C247. [Google Scholar] [CrossRef]
- Ndefo, U.A.; Anidiobi, N.O.; Basheer, E.; Eaton, A.T. Empagliflozin (Jardiance): A Novel SGLT2 Inhibitor for the Treatment of Type-2 Diabetes. Pharm. Ther. 2015, 40, 364–368. [Google Scholar]
- Nasiri-Ansari, N.; Nikolopoulou, C.; Papoutsi, K.; Kyrou, I.; Mantzoros, C.S.; Kyriakopoulos, G.; Kassi, E. Empagliflozin Attenuates Non-Alcoholic Fatty Liver Disease (NAFLD) in High Fat Diet Fed ApoE (-/-) Mice by Activating Autophagy and Reducing ER Stress and Apoptosis. Int. J. Mol. Sci. 2021, 22, 818. [Google Scholar] [CrossRef]
- Farina, M.; Franco, J.L.; Ribas, C.M.; Meotti, F.C.; Dafré, A.L.; Santos, A.R.S.; Missau, F.; Pizzolatti, M.G. Protective effects of Polygala paniculata extract against methylmercury-induced neurotoxicity in mice. J. Pharm. Pharmacol. 2005, 57, 1503–1508. [Google Scholar] [CrossRef] [PubMed]
- Janahmadi, M.; Goudarzi, I.; Kaffashian, M.R.; Behzadi, G.; Fathollahi, Y.; Hajizadeh, S. Co-treatment with riluzole, a neuroprotective drug, ameliorates the 3-acetylpyridine-induced neurotoxicity in cerebellar Purkinje neurones of rats: Behavioural and electrophysiological evidence. Neurotoxicology 2009, 30, 393–402. [Google Scholar] [CrossRef] [PubMed]
- Bancroft, J.D.; Gamble, M. Theory and Practice of Histological Techniques, 6th ed.; Elsevier: London, UK, 2008; pp. 121–132. [Google Scholar]
- Wallauer, M.M.; Huf, F.; Tortorelli, L.S.; Rahmeier, F.L.; Carvalho, F.B.; Meurer, R.T.; Fernandes, M.D.C. Morphological changes in the cerebellum as a result of ethanol treatment and cigarette smoke exposure: A study on astrogliosis, apoptosis and Purkinje cells. Neurosci. Lett. 2018, 672, 70–77. [Google Scholar] [CrossRef] [PubMed]
- Sun, Y.; Oberley, L.W.; Li, Y. A simple method for clinical assay of superoxide dismutase. Clin. Chem. 1988, 34, 497–500. [Google Scholar] [CrossRef]
- Ohkawa, H.; Ohishi, N.; Yagi, K. Assay for lipid peroxides in animal tissues by thiobarbituric acid reaction. Anal. Biochem. 1979, 95, 351–358. [Google Scholar] [CrossRef]
- Livak, K.J.; Schmittgen, T.D. Analysis of relative gene expression data using real-time quantitative PCR and the 2 (-Delta Delta C (T)) method. Methods 2001, 25, 402–408. [Google Scholar] [CrossRef]
- Vogel, K.R.; Ainslie, G.R.; Gibson, K.M. mTOR inhibitors rescue premature lethality and attenuate dysregulation of GABAergic/glutamatergic transcription in murine succinate semialdehyde dehydrogenase deficiency (SSADHD), a disorder of GABA metabolism. J. Inherit. Metab. Dis. 2016, 39, 877–886. [Google Scholar] [CrossRef] [Green Version]
- Vogel, K.R.; Ainslie, G.R.; Jansen, E.E.W.; Salomons, G.S.; Gibson, K.M. Torin 1 partially corrects vigabatrin-induced mitochondrial increase in mouse. Ann. Clin. Transl. Neurol. 2015, 2, 699–706. [Google Scholar] [CrossRef]
- Garza-Lombó, C.; Schroder, A.; Reyes-Reyes, E.M.; Franco, R. mTOR/AMPK signaling in the brain: Cell metabolism, proteostasis and survival. Curr. Opin. Toxicol. 2018, 8, 102–110. [Google Scholar] [CrossRef] [PubMed]
- Packer, M. SGLT2 Inhibitors Produce Cardiorenal Benefits by Promoting Adaptive Cellular Reprogramming to Induce a State of Fasting Mimicry: A Paradigm Shift in Understanding Their Mechanism of Action. Diabetes Care 2020, 43, 508–511. [Google Scholar] [CrossRef] [Green Version]
- He, C.; Zhu, H.; Li, H.; Zou, M.-H.; Xie, Z. Dissociation of Bcl-2–Beclin1 Complex by Activated AMPK Enhances Cardiac Autophagy and Protects Against Cardiomyocyte Apoptosis in Diabetes. Diabetes 2013, 62, 1270–1281. [Google Scholar] [CrossRef] [Green Version]
- Fang, E.F.; Scheibye-Knudsen, M.; Brace, L.E.; Kassahun, H.; Sen Gupta, T.; Nilsen, H. Bohr Defective mitophagy in XPA via PARP-1 hyperactivation and NAD+/SIRT1 reduction. Cell 2014, 157, 882–896. [Google Scholar] [CrossRef] [PubMed] [Green Version]
- Chen, X.; Li, X.; Zhang, W.; He, J.; Xu, B.; Lei, B.; Li, J. Activation of AMPK inhibits inflammatory response during hypoxia and reoxygenation through modulating JNK-mediated NF-κB pathway. Metabolism 2018, 83, 256–270. [Google Scholar] [CrossRef]
- Sa-Nguanmoo, P.; Tanajak, P.; Kerdphoo, S.; Jaiwongkam, T.; Pratchayasakul, W.; Chattipakorn, N.; Chattipakorn, S.C. SGLT2-inhibitor and DPP-4 inhibitor improve brain function via attenuating mitochondrial dysfunction, insulin resistance, inflammation, and apoptosis in HFD-induced obese rats. Toxicol. Appl. Pharmacol. 2017, 333, 43–50. [Google Scholar] [CrossRef] [PubMed]
- Ferrannini, E.; Baldi, S.; Frascerra, S.; Astiarraga, B.; Heise, T.; Bizzotto, R.; Muscelli, E. Shift to Fatty Substrate Utilization in Response to Sodium–Glucose Cotransporter 2 Inhibition in Subjects Without Diabetes and Patients with Type 2 Diabetes. Diabetes 2016, 65, 1190–1195. [Google Scholar] [CrossRef] [Green Version]
- Inoue, M.-K.; Matsunaga, Y.; Nakatsu, Y.; Yamamotoya, T.; Ueda, K.; Kushiyama, A.; Asano, T. Possible involvement of normalized Pin1 expression level and AMPK activation in the molecular mechanisms underlying renal protective effects of SGLT2 inhibitors in mice. Diabetol. Metab. Syndr. 2019, 11, 1–11. [Google Scholar] [CrossRef]
- Aragón-Herrera, A.; Feijóo-Bandín, S.; Santiago, M.O.; Barral, L.; Campos-Toimil, M.; Gil-Longo, J.; Lago, F. Empagliflozin reduces the levels of CD36 and cardiotoxic lipids while improving autophagy in the hearts of Zucker diabetic fatty rats. Biochem. Pharmacol. 2019, 170, 113677. [Google Scholar] [CrossRef]
- Lee, Y.H.; Kim, S.H.; Kang, J.M.; Heo, J.H.; Kim, D.-J.; Park, S.H.; Lee, S.Y. Empagliflozin attenuates diabetic tubulopathy by improving mitochondrial fragmentation and autophagy. Am. J. Physiol. Physiol. Ren. Physiol. 2019, 317, 767–780. [Google Scholar] [CrossRef]
- Xu, L.; Nagata, N.; Nagashimada, M.; Zhuge, F.; Ni, Y.; Chen, G.; Ota, T. SGLT2 Inhibition by Empagliflozin Promotes Fat Utilization and Browning and Attenuates Inflammation and Insulin Resistance by Polarizing M2 Macrophages in Diet-induced Obese Mice. eBioMedicine 2017, 20, 137–149. [Google Scholar] [CrossRef] [PubMed] [Green Version]
- Mathew, R.; Karp, C.M.; Beaudoin, B.; Vuong, N.; Chen, G.; Chen, H.-Y. Autophagy Suppresses Tumorigenesis through Elimination of p62. Cell 2009, 137, 1062–1075. [Google Scholar] [CrossRef] [PubMed] [Green Version]
- Li, X.; Lu, Q.; Qiu, Y.; do Carmo, J.M.; Wang, Z.; da Silva, A.A.; Hall, M.E. Direct Cardiac Actions of the Sodium Glucose Co-Transporter 2 Inhibitor Empagliflozin Improve Myocardial Oxidative Phosphorylation and Attenuate Pressure-Overload Heart Failure. J. Am. Heart Assoc. 2021, 10, e018298. [Google Scholar] [CrossRef] [PubMed]
- Fukushima, K.; Kitamura, S.; Tsuji, K.; Sang, Y.; Wada, J. Sodium Glucose Co-Transporter 2 Inhibitor Ameliorates Autophagic Flux Impairment on Renal Proximal Tubular Cells in Obesity Mice. Int. J. Mol. Sci. 2020, 21, 4054. [Google Scholar] [CrossRef]
- Mohamed, H.E.; Asker, M.E.; Keshawy, M.M.; Hasan, R.A.; Mahmoud, Y.K. Inhibition of tumor necrosis factor-α enhanced the antifibrotic effect of empagliflozin in an animal model with renal insulin resistance. Mol. Cell. Biochem. 2020, 466, 45–54. [Google Scholar] [CrossRef]
- Kim, J.; Lee, Y.; You, Y.; Moon, M.K.; Yoon, K.; Ahn, Y.; Ko, S. Effect of sodium-glucose cotransporter 2 inhibitor, empagliflozin, and α-glucosidase inhibitor, voglibose, on hepatic steatosis in an animal model of type 2 diabetes. J. Cell. Biochem. 2019, 120, 8534–8546. [Google Scholar] [CrossRef]
- Amin, E.F.; Rifaai, R.A.; Abdel-Latif, R.G. Empagliflozin attenuates transient cerebral ischemia/reperfusion injury in hyperglycemic rats via repressing oxidative–inflammatory–apoptotic pathway. Fundam. Clin. Pharmacol. 2020, 34, 548–558. [Google Scholar] [CrossRef]
- Abdelhamid, A.M.; Elsheakh, A.R.; Abdelaziz, R.R.; Suddek, G.M. Empagliflozin ameliorates ethanol-induced liver injury by modulating NF-κB/Nrf-2/PPAR-γ interplay in mice. Life Sci. 2020, 256, 117908. [Google Scholar] [CrossRef]
- Youssef, M.E.; El-Fattah, A.; Eslam, E.; Abdelhamid, A.M.; Eissa, H.; El-Ahwany, E.; Saber, S. Interference with the AMPKα/mTOR/NLRP3 signaling and the IL-23/IL-17 axis effectively protects against the dextran sulfate sodium intoxication in rats: A new paradigm in empagliflozin and metformin reprofiling for the management of ulcerative colitis. Front. Pharmacol. 2021. [Google Scholar] [CrossRef]
- Qiao, M.; Malisza, K.L.; Del Bigio, M.R.; Kozlowski, P.; Seshia, S.S.; Tuor, U.I. Effect of Long-Term Vigabatrin Administration on the Immature Rat Brain. Epilepsia 2000, 41, 655–665. [Google Scholar] [CrossRef]
- El-Kader, M.A.; Hamza, E.; El-Gamal, R.; Sobhy, A.; Eladl, R.; El Nashar, E.M.; Alghamdi, M.A.; Erfan, O.S. Modulation of vigabatrin induced cerebellar injury: The role of caspase-3 and RIPK1/RIPK3-regulated cell death pathways. J. Mol. Histochol. 2021, 52, 781–798. [Google Scholar] [CrossRef] [PubMed]
- Hayden, M.R.; Grant, D.G.; Aroor, A.R.; DeMarco, V.G. Empagliflozin Ameliorates Type 2 Diabetes-Induced Ultrastructural Remodeling of the Neurovascular Unit and Neuroglia in the Female db/db Mouse. Brain Sci. 2019, 9, 57. [Google Scholar] [CrossRef] [Green Version]
- Rochfort, K.D.; Cummins, P.M. The blood–brain barrier endothelium: A target for pro-inflammatory cytokines. Biochem. Soc. Trans. 2015, 43, 702–706. [Google Scholar] [CrossRef] [PubMed]
- Iannantuoni, F.; De Marañon, A.M.; Diaz-Morales, N.; Falcon, R.; Hernandez-Mijares, A.; Rovira-llopis, S. The SGLT2 Inhibitor Empagliflozin Ameliorates the Inflammatory Profile in Type 2 Diabetic Patients and Promotes an Antioxidant Response in Leukocytes. J. Clin. Med. 2019, 8, 1814. [Google Scholar] [CrossRef] [PubMed] [Green Version]








| Primer for SIRT1: | |
|---|---|
| Forward: | 5′-CCAGCCATCTCTCTGTCACA-3′ |
| Reverse: | 5′-TGGTTTCATGATAGCAAGCGG-3′ |
| Primer for P62: | |
| Forward: | 5′- GCACCCCAATGTGATCTG C -3′ |
| Reverse: | 5′- CGCTACACAAGTCGTAGTCTGG -3′ |
| Primer Housekeeping gene GAPDH: | |
| Forward: | 5′-CCACTCCTCCACCTTTGAC-3′ |
| Reverse: | 5′-ACCCTGTTGCTGTAGCCA-3′ |
| Parameter | Control (I) a N = 10 | Vigabtrin (II) b N = 10 | Vigabtrin + Empagliflozin (III) c N = 10 | Empagliflozin (IV) d N = 10 |
|---|---|---|---|---|
| SOD (Activity units/mg protein) | 429.312 ± 10.8 b | 357.2 ± 22.45 a,c,d | 437.8 ± 11.23 b | 431.012 ± 12.2 b |
| MDA (nmol/mg protein/mL) | 58.46 ± 5.2 b | 152.608 ± 6.4 a,c,d | 60.36 ± 9.6 b | 56.98 ± 4.2 b |
| m.Tor (pg/mL) | 9.25 ± 1.2 b | 21.22 ± 2 a,c,d | 8.458 ± 9 b | 8.98 ± 2.1 b |
| AMPK (ng/mg protein/mL) | 1.74 ± 0.4 b | 0.95 ± 0.2 a,c,d | 1.62 ± 0.3 b | 1.79 ± o.3 b |
| Beclin1 (ng/mg protein/mL) | 1.096 ± 0.16 b | 0.314 ± 0.17 a, c, d | 1.268 ± 0.22 b | 1.13 ± 0.23 b |
Publisher’s Note: MDPI stays neutral with regard to jurisdictional claims in published maps and institutional affiliations. |
© 2022 by the authors. Licensee MDPI, Basel, Switzerland. This article is an open access article distributed under the terms and conditions of the Creative Commons Attribution (CC BY) license (https://creativecommons.org/licenses/by/4.0/).
Share and Cite
Amer, R.M.; Eltokhy, A.K.; Elesawy, R.O.; Barakat, A.N.; Basha, E.; Eldeeb, O.S.; Aboalsoud, A.; Elgharabawy, N.M.; Ismail, R. The Ameliorative Effect of Empagliflozin in Vigabatrin-Induced Cerebellar/Neurobehavioral Deficits: Targeting mTOR/AMPK/SIRT-1 Signaling Pathways. Molecules 2022, 27, 3659. https://doi.org/10.3390/molecules27123659
Amer RM, Eltokhy AK, Elesawy RO, Barakat AN, Basha E, Eldeeb OS, Aboalsoud A, Elgharabawy NM, Ismail R. The Ameliorative Effect of Empagliflozin in Vigabatrin-Induced Cerebellar/Neurobehavioral Deficits: Targeting mTOR/AMPK/SIRT-1 Signaling Pathways. Molecules. 2022; 27(12):3659. https://doi.org/10.3390/molecules27123659
Chicago/Turabian StyleAmer, Rabab M., Amira Kamel Eltokhy, Rasha Osama Elesawy, Amany Nagy Barakat, Eman Basha, Omnia Safwat Eldeeb, Alshimaa Aboalsoud, Nancy Mohamed Elgharabawy, and Radwa Ismail. 2022. "The Ameliorative Effect of Empagliflozin in Vigabatrin-Induced Cerebellar/Neurobehavioral Deficits: Targeting mTOR/AMPK/SIRT-1 Signaling Pathways" Molecules 27, no. 12: 3659. https://doi.org/10.3390/molecules27123659
APA StyleAmer, R. M., Eltokhy, A. K., Elesawy, R. O., Barakat, A. N., Basha, E., Eldeeb, O. S., Aboalsoud, A., Elgharabawy, N. M., & Ismail, R. (2022). The Ameliorative Effect of Empagliflozin in Vigabatrin-Induced Cerebellar/Neurobehavioral Deficits: Targeting mTOR/AMPK/SIRT-1 Signaling Pathways. Molecules, 27(12), 3659. https://doi.org/10.3390/molecules27123659

