Polymerized Whey Protein Concentrate-Based Glutathione Delivery System: Physicochemical Characterization, Bioavailability and Sub-Chronic Toxicity Evaluation
Abstract
1. Introduction
2. Results and Discussion
2.1. Physicochemical and Structural Properties of the PWPC-GSH System
2.2. In Vivo Pharmacokinetic and Antioxidant Activity of PWPC-GSH
2.3. Toxicity Evaluation of PWPC-GSH System
2.3.1. Clinical Observations, Body Weight, and Food Consumption
2.3.2. Hematology
2.3.3. Serum Biochemistry
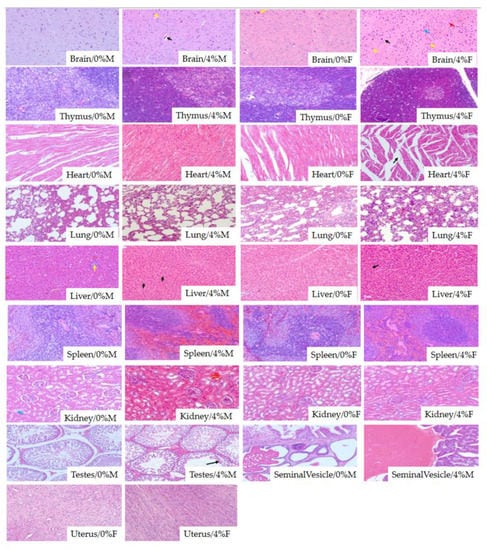
2.3.4. Relative Organ Weights and Histopathology
3. Materials and Methods
3.1. Materials
3.2. Preparation of Polymerized Whey Protein Concentrate Based GSH Delivery System
3.3. Characterization of PWPC-GSH Delivery System
3.3.1. Particle Size and Zeta Potential Measurement
3.3.2. Flow Behavior Measurement
3.3.3. Differential Scanning Calorimetry (DSC) Measurement
3.3.4. Fourier Transform Infrared Spectrometry (FT-IR) Measurement
3.3.5. Transmission Electron Microscopy (TEM) Measurement
3.4. Animal Care
3.5. In Vivo Pharmacokinetic Study and Antioxidant Activity Analysis
3.6. Sub-Chronic Toxicity Evaluation
3.6.1. Experimental Design
3.6.2. Clinical Examination, Body Weight, and Food Consumption
3.6.3. Clinical Pathology
3.6.4. Organ Weights and Histopathology
3.7. Statistical Analysis
4. Conclusions
Supplementary Materials
Author Contributions
Funding
Institutional Review Board Statement
Informed Consent Statement
Data Availability Statement
Conflicts of Interest
Sample Availability
References
- Lash, L.H.; Hagen, T.M.; Jones, D.P. Exogenous glutathione protects intestinal epithelial cells from oxidative injury. Proc. Natl. Acad. Sci. USA 1986, 83, 4641–4645. [Google Scholar] [CrossRef]
- Aw, T.Y. Intestinal glutathione: Determinant of mucosal peroxide transport, metabolism, and oxidative susceptibility. Toxicol. Appl. Pharmacol. 2005, 204, 320–328. [Google Scholar] [CrossRef]
- Li, P.; Yin, Y.L.; Li, D.; Kim, S.W.; Wu, G. Amino acids and immune function. Br. J. Nutr. 2007, 98, 237–252. [Google Scholar] [CrossRef]
- Fraternale, A.; Brundu, S.; Magnani, M. Glutathione and glutathione derivatives in immunotherapy. Biol. Chem. 2017, 398, 261–275. [Google Scholar] [CrossRef]
- Postić, S. Free radicals and antioxidants in normal physiological functions and human disease. Int. J. Biochem. Cell Biol. 2007, 39, 44–84. [Google Scholar]
- Pastore, S. Analysis of glutathione: Implication in redox and detoxification. Clin. Chim. Acta 2003, 333, 19–39. [Google Scholar] [CrossRef]
- Herzenberg, L.A. Glutathione Deficiency is associated with impaired survival in HIV disease. Proc. Natl. Acad. Sci. USA 1997, 94, 1967–1972. [Google Scholar] [CrossRef]
- Balendiran, G.K.; Dabur, R.; Fraser, D. The role of glutathione in cancer. Cell Biochem. Funct. 2004, 22, 343–352. [Google Scholar] [CrossRef] [PubMed]
- Wu, G.; Fang, Y.Z.; Yang, S.; Lupton, J.R.; Turner, N.D. Glutathione Metabolism and Its Implication for Health. J. Nutr. 2004, 134, 489–492. [Google Scholar] [CrossRef]
- Grimble, R.F. The Effects of Sulfur Amino Acid Intake on Immune Function in Humans. J. Nutr. 2006, 6, 1660S–1665S. [Google Scholar] [CrossRef]
- Kukreja, R.C.; Hess, M.L. The oxygen free radical system: From equations through membrane-protein interactions to cardiovascular injury and protection. Cardiovasc. Res. 1992, 7, 641–655. [Google Scholar] [CrossRef]
- Dhalla, N.S.; Temsah, R.M.; Netticadan, T. Role of oxidative stress in cardiovascular diseases. J. Hypertens. 2000, 18, 655–673. [Google Scholar] [CrossRef] [PubMed]
- Maurice, M.M. Evidence for the role of an altered redox state in hyporesponsiveness of synovial T cells in rheumatoid arthritis. J. Immunol. 1997, 158, 1458–1465. [Google Scholar] [PubMed]
- Tretter, L.; Sipos, I.; Adamvizi, V. Initiation of neuronal damage by complex I deficiency and oxidative stress in Parkinson’s disease. Neurochem. Researc. 2004, 29, 569–577. [Google Scholar] [CrossRef] [PubMed]
- Rahman, I.; Macnee, W. Oxidative stress and regulation of glutathione in lung inflammation. Eur. Respir. J. 2010, 16, 534–554. [Google Scholar] [CrossRef]
- Estrela, J.M.; Ortega, A.; Obrador, E. Glutathione in Cancer Biology and Therapy. Crit. Rev. Clin. Lab. Sci. 2006, 43, 143–181. [Google Scholar] [CrossRef]
- Witschi, A. The systemic availability of oral glutathione. Eur. J. Clin. Pharmacol. 1992, 43, 667–669. [Google Scholar] [CrossRef]
- Peng, X.; Xiong, Y.L.; Kong, B. Antioxidant activity of peptide fractions from whey protein hydrolysates as measured by electron spin resonance. Food Chem. 2009, 113, 196–201. [Google Scholar] [CrossRef]
- Tong, L.M.; Sasaki, S.; Mcclements, D.J.; Decker, E.A. Mechanisms of the antioxidant activity of a high molecular weight fraction of whey. J. Agric. Food Chem. 2000, 48, 1473–1478. [Google Scholar] [CrossRef]
- Chung, C.; Rojanasasithara, T.; Mutilangi, W.; McClements, D.J. Enhanced stability of anthocyanin-based color in model beverage systems through whey protein isolate complexation. Food Res. Int. 2015, 76, 761–768. [Google Scholar] [CrossRef]
- Chotiko, A.; Sathivel, S. Releasing characteristics of anthocyanins extract in pectin–whey protein complex microcapsules coated with zein. J. Food Sci. Technol. 2017, 54, 1–8. [Google Scholar] [CrossRef]
- Weinbreck, F.; Minor, M.; De Kruif, C.G. Microencapsulation of oils using whey protein/gum Arabic coacervates. J. Microencapsul. 2004, 21, 667–679. [Google Scholar] [CrossRef]
- Carneiro, H.C.F.; Tonon, R.V.; Grosso, C.R.F.; Hubinger, M.D. Encapsulation efficiency and oxidative stability of flaxseed oil microencapsulated by spray drying using different combinations of wall material. J. Food Eng. 2013, 115, 443–451. [Google Scholar] [CrossRef]
- Abbasi, A.; Emam-D-Jomeh, Z.; Mousavi, M.A.; Davoodi, D. Stability of vitamin D_3 encapsulated in nanoparticles of whey protein isolate. Food Chem. 2014, 143, 379–383. [Google Scholar] [CrossRef] [PubMed]
- Liang, L.; Leung Sok Line, V.; Remondetto Gabrie, E.; Subirade, M. In vitro release of α-tocopherol from emulsion-loaded β-lactoglobulin gels. Int. Dairy J. 2010, 20, 176–181. [Google Scholar] [CrossRef]
- Somchue, W.; Sermsri, W.; Shiowatana, J.; Siripinyanond, A. Encapsulation of α-tocopherol in protein-based delivery particles. Food Res. Int. 2009, 42, 909–914. [Google Scholar] [CrossRef]
- Wang, C.N.; Zhou, X.H.; Wang, H.; Sun, X.M.; Guo, M.R. Interactions between β-Lactoglobulin and 3,3′-Diindolylmethane in Model System. Molecules 2019, 24, 2151. [Google Scholar] [CrossRef]
- Khem, S.; Small, D.M.; May, B.K. The behaviour of whey protein isolate in protecting Lactobacillus plantarum. Food Chem. 2016, 190, 717–723. [Google Scholar] [CrossRef] [PubMed]
- Zhang, X.F.; Sun, X.M.; Gao, F.; Wang, J.Q.; Wang, C.N. Systematical characterization of physiochemical and rheological properties of thermal-induced polymerized whey protein. J. Sci. Food Agric. 2019, 99, 923–932. [Google Scholar] [CrossRef]
- Gate, L.; Vauthier, C.; Couvreur, P.; Tew, K.D.; Tapiero, H. Glutathione-loaded poly(isobutylcyanoacrylate) nanoparticles and liposomes: Comparative effects in murine erythroleukæmia and macrophage-like cells. STP Pharma Sci. 2001, 11, 355–361. [Google Scholar]
- Trapani, A.; Laquintana, V.; Denora, N.; Lopedota, A.; Cutrignelli, A.; Franco, M.; Trapani, G.; Liso, G. Eudragit RS 100 microparticles containing 2-hydroxypropyl-β-cyclodextrin and glutathione: Physicochemical characterization, drug release and transport studies. Eur. J. Pharm. Sci. 2007, 30, 64–74. [Google Scholar] [CrossRef] [PubMed]
- Baek, M.; Choy, J.; Choi, S. Montmorillonite intercalated with glutathione for antioxidant delivery: Synthesis, characterization, and bioavailability evaluation. Int. J. Pharm. 2012, 425, 29–34. [Google Scholar] [CrossRef] [PubMed]
- Liu, D.R.; Cheng, J.J.; Zhao, C.H.; Guo, M.R. Effect of sodium triphosphate on particle size of heat-induced whey protein concentrate aggregates. Food Sci. Nutr. 2018, 6, 1940–1949. [Google Scholar] [CrossRef] [PubMed]
- Chen, L.; Chen, J.S.; Ren, J.Y.; Zhao, M.M. Effects of Ultrasound Pretreatment on the Enzymatic Hydrolysis of Soy Protein Isolates and on the Emulsifying Properties of Hydrolysates. J. Agric. Food Chem. 2011, 59, 2600–2609. [Google Scholar] [CrossRef] [PubMed]
- Salatin, S.; Dizaj, S.M.; Khosroushahi, A.Y. Effect of the surface modification, size, and shape on cellular uptake of nanoparticles. Cell Biol. Int. 2015, 39, 881–890. [Google Scholar] [CrossRef]
- Mantovani, R.A.; Fattori, J.; Michelon, M.; Cunha, R.L. Formation and pH-stability of whey protein fibrils in the presence of lecithin. Food Hydrocoll. 2016, 60, 288–298. [Google Scholar] [CrossRef]
- Naji-Tabasi, S.; Razavi, S.M.; Mehditabar, H. Fabrication of basil seed gum nanoparticles as a novel oral delivery system of glutathione. Carbohydr. Polym. 2017, 157, 1703–1713. [Google Scholar] [CrossRef]
- Guo, M.R.; Fox, P.F.; Flynm, A.; Kindstedt, P.S. Susceptibility of β-Lactoglobulin and Sodium Caseinate to Proteolysis by Pepsin and Trypsin. J. Dairy Sci. 1995, 78, 2336–2344. [Google Scholar] [CrossRef]
- Fitzsimons, S.M.; Mulvihill, D.M.; Morris, E.R. Denaturation and aggregation processes in thermal gelation of whey proteins resolved by differential scanning calorimetry. Food Hydrocoll. 2007, 21, 638–644. [Google Scholar] [CrossRef]
- Doherty, S.B.; Gee, V.L.; Ross, R.P.; Stanton, C.; Fitzgerald, G.F.; Brodkorb, A. Efficacy of whey protein gel networks as potential viability-enhancing scaffolds for cell immobilization of Lactobacillus rhamnosus GG. J. Microbiol. Methods 2010, 80, 231–241. [Google Scholar] [CrossRef]
- Jain, A.; Sharma, G.; Ghoshal, G.; Kesharwani, P.; Singh, B.; Shivha, U.S.; Katare, O.P. Lycopene loaded whey protein isolate nanoparticles: An innovative endeavor for enhanced bioavailability of lycopene and anti-cancer activity. Int. J. Pharm. 2018, 456, 97–105. [Google Scholar] [CrossRef] [PubMed]
- Liu, K.; Zha, X.Q.; Shen, W.D.; Li, Q.M.; Pan, L.H.; Luo, J.P. The hydrogel of whey protein isolate coated by lotus root amylopectin enhance the stability and bioavailability of quercetin. Carbohydr. Polym. 2020, 236, 116009. [Google Scholar] [CrossRef] [PubMed]
- Bounous, G.; Gervais, F.; Amer, V.; Batist, G.; Gold, P. The influence of dietary whey protein on tissue glutathione and the diseases of aging. Clin. Investig. Med. 1990, 12, 343–349. [Google Scholar]
- Micke, P.; Beeh, K.M.; Schlaak, J.F.; Buhl, R. Oral supplementation with whey proteins increases plasma glutathione levels of HIV-infected patients. Eur. J. Clin. Investig. 2001, 31, 171–178. [Google Scholar] [CrossRef] [PubMed]
- Kent, K.D.; Harper, W.J.; Bomser, J.A. Effect of whey protein isolate on intracellular glutathione and oxidant-induced cell death in human prostate epithelial cells. Toxicol. Int. J. Publ. Assoc. Bibra 2003, 17, 27–33. [Google Scholar] [CrossRef]
- Hagen, T.M.; Wierzbicka, G.T.; Sillau, A.H.; Bowman, B.B.; Jones, D.P. Bioavailability of dietary glutathione: Effect on plasma concentration. Am. J. Physiol. 1990, 259, G524–G529. [Google Scholar] [CrossRef]
- Colbert, L.B.; Decker, E.A. Antioxidant Activity of an Ultrafiltration Permeate from Acid Whey. J. Food Sci. 1991, 56, 1248–1250. [Google Scholar] [CrossRef]
- Taylor, M.J.; Richardson, T. Antioxidant Activity of Skim Milk: Effect of Heat and Resultant Sulfhydryl Groups. J. Dairy Sci. 1980, 63, 1783–1795. [Google Scholar] [CrossRef]
- Bauter, M.R.; Mendes, O. Subchronic toxicity of lyophilized apoaequorin protein powder in Sprague-Dawley rats. Toxicoligy Res. Appl. 2018, 2, 1–15. [Google Scholar] [CrossRef]
- Lee, J.M.; Lee, M.A.; Do, H.N.; Song, Y.I.; Bae, R.J.N.; Lee, H.Y.; Park, S.H.; Kang, J.S.; Kang, J.K. Historical control data from 13-week repeated toxicity studies in Crj:CD (SD) rats. Lab. Anim. Res. 2012, 28, 115–121. [Google Scholar] [CrossRef]
- Petterino, C.; Argentino-Storino, A. Clinical chemistry and haematology historical data in control Sprague-Dawley rats from pre-clinical toxicity studies. Exp. Toxicol. Pathol. 2006, 57, 213–219. [Google Scholar] [CrossRef]
- Saito, C.; Zwingmann, C.; Jaeschke, H. Novel Mechanisms protection against acetaminophen hepatotoxicity in mice by glutathione and N-acetylcysteine. Hepatology 2010, 51, 246–254. [Google Scholar] [CrossRef]
- Gad, A.S.; Khadrawy, Y.A.; El-Nekeety, A.A.; Mohamed, S.R.; Hassan, N.S.; Abdel-Wahhab, M.A. Antioxidant activity and hepatoprotective effects of whey protein and Spirulina in rats. Nutrition 2011, 27, 582–589. [Google Scholar] [CrossRef] [PubMed]
- Khan, A.; Wang, C.N.; Sun, X.M.; Adam, K.; Guo, M.R. Preparation and Characterization of Whey Protein Isolate–DIM Nanoparticles. Int. J. Mol. Sci. 2019, 20, 3917. [Google Scholar] [CrossRef] [PubMed]
- Poon, R.; Lecavalier, P.; Mueller, R.; Valli, V.E.; Procter, B.G.; Chu, I. Subchronic oral toxicity of di- n -octyl phthalate and di (2-et hylhexyl) phthalate in the rat. Food Chem. Toxicol. 1997, 35, 225–239. [Google Scholar] [CrossRef]





| 0% | 0.5% | 1% | 4% | ||
|---|---|---|---|---|---|
| Body weight | M | 296.8 ± 11.47 | 272.78 ± 10.28 ** | 261 ± 12.59 ** | 275 ± 18.70 * |
| F | 203.80 ± 10.14 | 205.20 ± 16.01 | 199.70 ± 11.93 | 192.10 ± 8.77 * | |
| Brain | M | 5.35 ± 0.85 | 5.90 ± 2.11 | 6.45 ± 0.63 * | 6.67 ± 0.67 * |
| F | 7.14 ± 1.40 | 8.52 ± 0.86 | 8.22 ± 1.02 | 8.65 ± 0.84 | |
| Thymus | M | 2.58 ± 0.60 | 3.01 ± 0.42 | 2.37 ± 0.38 | 2.66 ± 0.47 |
| F | 3.36 ± 0.46 | 3.31 ± 0.38 | 3.40 ± 0.52 | 3.31 ± 0.44 | |
| Heart | M | 3.80 ± 0.30 | 4.03 ± 0.50 | 3.92 ± 0.28 | 3.89 ± 0.28 |
| F | 4.10±0.01 | 3.99 ± 0.26 | 4.26 ± 0.37 | 4.08 ± 0.31 | |
| Lung | M | 4.74 ± 0.38 | 5.31 ± 1.08 | 4.98 ± 0.52 | 4.78 ± 0.31 |
| F | 5.44 ± 0.55 | 5.09 ± 0.39 | 5.19 ± 0.35 | 5.13 ± 0.33 | |
| Liver | M | 39.00 ± 4.33 | 37.22 ± 4.83 | 36.62 ± 2.96 | 34.92 ± 2.83 * |
| F | 35.76 ± 2.74 | 38.28 ± 7.27 | 34.54 ± 2.14 | 36.08 ± 1.55 | |
| Spleen | M | 2.79 ± 0.92 | 2.78 ± 0.72 | 2.47 ± 0.35 | 2.79 ± 0.39 |
| F | 2.51 ± 0.32 | 2.56 ± 0.40 | 2.32 ± 0.34 | 2.57 ± 0.21 | |
| Kidney | M | 9.16 ± 0.70 | 9.32 ± 0.39 | 9.38 ± 0.38 | 9.66 ± 0.51 * |
| F | 8.83 ± 0.46 | 8.54 ± 1.53 | 8.70 ± 0.31 | 9.47 ± 0.51 | |
| Bladder | M | 0.28 ± 0.04 | 0.31 ± 0.07 | 0.32 ± 0.05 | 0.29 ± 0.07 |
| F | 0.35 ± 0.03 | 0.36 ± 0.07 | 0.35 ± 0.04 | 0.35 ± 0.06 | |
| Testes | M | 6.796 ± 1.79 | 8.62 ± 1.05 | 8.25 ± 0.23 | 8.67 ± 0.76 |
| Epididymis | M | 0.57 ± 0.11 | 0.48 ± 0.15 | 0.58 ± 0.09 | 0.59 ± 0.05 |
| Seminal Vesicle | M | 1.95 ± 0.58 | 1.47 ± 0.42 | 1.11 ± 0.68 | 1.59 ± 0.50 |
| Ovary | F | 0.71 ± 023 | 1.65 ± 0.28 | 0.54 ± 0.16 | 0.56 ± 0.14 |
| Uterus | F | 2.11 ± 0.62 | 1.98 ± 0.62 | 1.75 ± 0.65 | 1.99 ± 0.98 |
Publisher’s Note: MDPI stays neutral with regard to jurisdictional claims in published maps and institutional affiliations. |
© 2021 by the authors. Licensee MDPI, Basel, Switzerland. This article is an open access article distributed under the terms and conditions of the Creative Commons Attribution (CC BY) license (http://creativecommons.org/licenses/by/4.0/).
Share and Cite
Zhang, S.; Wang, C.; Zhong, W.; Kemp, A.H.; Guo, M.; Killpartrick, A. Polymerized Whey Protein Concentrate-Based Glutathione Delivery System: Physicochemical Characterization, Bioavailability and Sub-Chronic Toxicity Evaluation. Molecules 2021, 26, 1824. https://doi.org/10.3390/molecules26071824
Zhang S, Wang C, Zhong W, Kemp AH, Guo M, Killpartrick A. Polymerized Whey Protein Concentrate-Based Glutathione Delivery System: Physicochemical Characterization, Bioavailability and Sub-Chronic Toxicity Evaluation. Molecules. 2021; 26(7):1824. https://doi.org/10.3390/molecules26071824
Chicago/Turabian StyleZhang, Siyu, Cuina Wang, Weigang Zhong, Alyssa H. Kemp, Mingruo Guo, and Adam Killpartrick. 2021. "Polymerized Whey Protein Concentrate-Based Glutathione Delivery System: Physicochemical Characterization, Bioavailability and Sub-Chronic Toxicity Evaluation" Molecules 26, no. 7: 1824. https://doi.org/10.3390/molecules26071824
APA StyleZhang, S., Wang, C., Zhong, W., Kemp, A. H., Guo, M., & Killpartrick, A. (2021). Polymerized Whey Protein Concentrate-Based Glutathione Delivery System: Physicochemical Characterization, Bioavailability and Sub-Chronic Toxicity Evaluation. Molecules, 26(7), 1824. https://doi.org/10.3390/molecules26071824

