Puree and Juice of Thai Mango and Pineapple Analyzed by High-Performance Thin-Layer Chromatography Hyphenated with Effect-Directed Assays
Abstract
:1. Introduction
2. Results and Discussion
2.1. Physico-Chemical Characterization of the Produced Fruit Purees and Juices
2.2. Development of the Effect-Directed Profiling
2.3. Selection of the Extraction Solvent for Effect-Directed Profiling
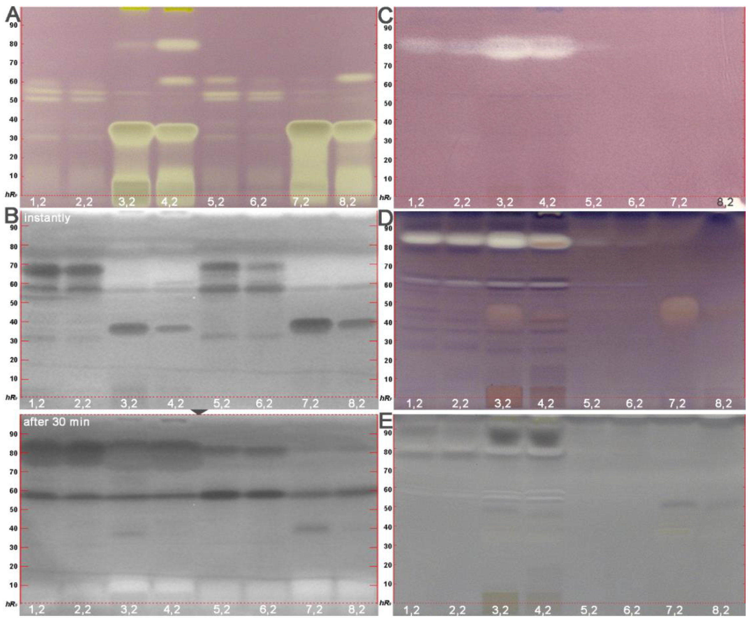
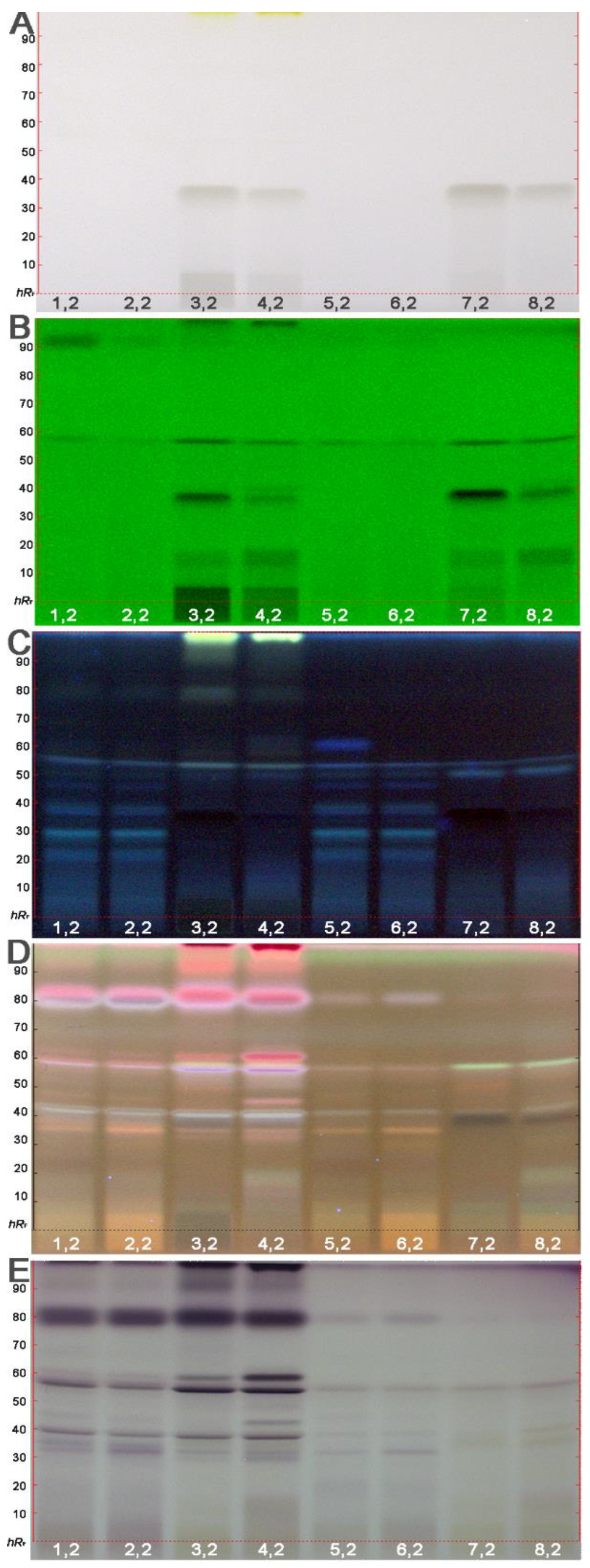
2.4. Physico-Chemical Profiling of the Fruit Product Extracts
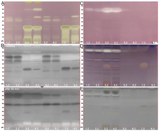
2.5. Effect-Directed Profiling of the Fruit Product Extracts
3. Materials and Methods
3.1. Chemicals and Reagents
3.2. Production of Puree Samples
3.3. Production of Juice Samples
3.4. Physico-Chemical Characterization of the Produced Purees and Juices
3.5. HPTLC−UV/Vis/FLD−EDA Analysis of the Produced Purees and Juices
3.5.1. Extraction
3.5.2. Sample Application and Development
3.5.3. Derivatization and Documentation
3.5.4. Effect-Directed Detection
4. Conclusions
Supplementary Materials
Author Contributions
Funding
Institutional Review Board Statement
Informed Consent Statement
Data Availability Statement
Acknowledgments
Conflicts of Interest
Sample Availability
References
- Block, G.; Patterson, B.; Subar, A. Fruit, vegetables, and cancer prevention: A review of the epidemiological evidence. Nutr. Cancer 1992, 18, 1–29. [Google Scholar] [CrossRef] [PubMed]
- Ribeiro, S.M.R.; Schieber, A. Chapter 34-Bioactive Compounds in Mango (Mangifera indica L.). In Bioactive Foods in Promoting Health: Fruits and Vegetables, 1st ed.; Watson, R.R., Preedy, V.R., Eds.; Academic Press: Boston, MA, USA, 2010; pp. 507–523. ISBN 978-0-12-374628-3. [Google Scholar]
- Giuffrè, A.M. Bergamot (Citrus bergamia, Risso): The Effects of Cultivar and Harvest Date on Functional Properties of Juice and Cloudy Juice. Antioxidants 2019, 8, 221. [Google Scholar] [CrossRef] [PubMed] [Green Version]
- Siriwoharn, T.; Wrolstad, R.E.; Finn, C.E.; Pereira, C.B. Influence of cultivar, maturity, and sampling on blackberry (Rubus, L. Hybrids) anthocyanins, polyphenolics, and antioxidant properties. J. Agric. Food Chem. 2004, 52, 8021–8030. [Google Scholar] [CrossRef]
- González-Aguilar, G.; Robles-Sánchez, R.M.; Martínez-Téllez, M.A.; Olivas, G.I.; Alvarez-Parrilla, E.; Rosa, L.A. Bioactive compounds in fruits: Health benefits and effect of storage conditions. Stewart Postharvest Rev. 2008, 4, 1–10. [Google Scholar] [CrossRef]
- Food and Agricultural Organization of the United Nations. Available online: http://www.fao.org/faostat/en/#data/QC (accessed on 16 December 2021).
- Barretto, L.C.d.O.; Moreira, J.d.J.d.S.; Santos, J.A.B.d.; Narendra, N.; Santos, R.A.R.d. Characterization and extraction of volatile compounds from pineapple (Ananas comosus L. Merril) processing residues. Food Sci. Technol (Camp.) 2013, 33, 638–645. [Google Scholar] [CrossRef] [Green Version]
- Pino, J.A.; Queris, O. Analysis of volatile compounds of pineapple wine using solid-phase microextraction techniques. Food Chem. 2010, 122, 1241–1246. [Google Scholar] [CrossRef]
- Chomchalow, N.; Somsri, S.; Na Songkhla, P. Marketing and Export of Major Tropical Fruits from Thailand. AU J.T. 2008, 11, 133–143. [Google Scholar]
- Gardner, P.T.; White, T.A.C.; McPhail, D.B.; Duthie, G.G. The relative contributions of vitamin C, carotenoids and phenolics to the antioxidant potential of fruit juices. Food Chem. 2000, 68, 471–474. [Google Scholar] [CrossRef]
- Mhatre, M.; Tilak-Jain, J.; De, S.; Devasagayam, T.P.A. Evaluation of the antioxidant activity of non-transformed and transformed pineapple: A comparative study. Food Chem. Toxicol. 2009, 47, 2696–2702. [Google Scholar] [CrossRef]
- Kongsuwan, A.; Suthiluk, P.; Theppakorn, T.; Srilaong, V.; Setha, S. Bioactive compounds and antioxidant capacity of phulae and nanglae pineapple. As. J. Food Ag-Ind. 2009, 2, S44–S50. [Google Scholar]
- Lu, X.-H.; Sun, D.-Q.; Wu, Q.-S.; Liu, S.-H.; Sun, G.-M. Physico-chemical properties, antioxidant activity and mineral contents of pineapple genotypes grown in china. Molecules 2014, 19, 8518–8532. [Google Scholar] [CrossRef]
- Freitas, A.; Moldão-Martins, M.; Costa, H.S.; Albuquerque, T.G.; Valente, A.; Sanches-Silva, A. Effect of UV-C radiation on bioactive compounds of pineapple (Ananas comosus L. Merr.) by-products. J. Sci. Food Agric. 2015, 95, 44–52. [Google Scholar] [CrossRef] [PubMed]
- Ferreira, E.A.; Siqueira, H.E.; Boas, E.V.V.; Hermes, V.S.; Rios, A.D.O. Bioactive compounds and antioxidant activity of pineapple fruit of different cultivars. Rev. Bras. Frutic. 2016, 38, 527. [Google Scholar] [CrossRef] [Green Version]
- Ramteke, R.S.; Vilajayalaskshmi, M.R.; Eipeson, W.E. Processing and value addition to mangoes. Indian Food Ind. 1999, 18, 155–163. [Google Scholar]
- Morlock, G.E.; Schwack, W. Hyphenations in planar chromatography. J. Chromatogr. A 2010, 1217, 6600–6609. [Google Scholar] [CrossRef] [PubMed]
- Morlock, G.E. Background mass signals in TLC/HPTLC-ESI-MS and practical advices for use of the TLC-MS interface. J. Liq. Chromatogr. Relat. 2014, 37, 2892–2914. [Google Scholar] [CrossRef]
- Morlock, G.E. Bioassays–Effects-detection in chromatography. In Reference Module in Encyclopedia of Analytical Science, 3rd ed.; Worsfold, P.J., Poole, A., Townshend, A., Miro, M., Eds.; Elsevier Science: Amsterdam, The Netherlands, 2019; pp. 261–270. ISBN 978-0-0810-1983-2. [Google Scholar]
- Krüger, S.; Urmann, O.; Morlock, G.E. Development of a planar chromatographic method for quantitation of anthocyanes in pomace, feed, juice and wine. J. Chromatogr. A 2013, 1289, 105–118. [Google Scholar] [CrossRef] [PubMed]
- Cretu, G.C.; Morlock, G.E. Analysis of anthocyanins in powdered berry extracts by planar chromatography linked with bioassay and mass spectrometry. Food Chem. 2014, 146, 104–112. [Google Scholar] [CrossRef]
- Morlock, G.E.; Klingelhöfer, I. Liquid chromatography-bioassay-mass spectrometry for profiling of physiologically active food. Anal. Chem. 2014, 86, 8289–8295. [Google Scholar] [CrossRef] [PubMed]
- Teh, S.-S.; Morlock, G. Analysis of bioactive components of oilseed cakes by high-performance thin-layer chromatography-(bio)assay combined with mass spectrometry. Chromatography 2015, 2, 125–140. [Google Scholar] [CrossRef]
- Ristivojević, P.M.; Morlock, G.E. Effect-directed classification of biological, biochemical and chemical profiles of 50 German beers. Food Chem. 2018, 260, 344–353. [Google Scholar] [CrossRef] [Green Version]
- Joomwong, A.; Sornsrivichai, J. Morphological characteristic, chemical composition and sensory quality of pineapple fruit in different seasons. Chiang Mai Univ. J. Nat. Sci. 2005, 4, 149–164. Available online: https://cmuj.cmu.ac.th/uploads/journal_list_index/594162253.pdf (accessed on 16 December 2021).
- Nilprapruck, P.; Pradisthakarn, N.; Authanithee, F.; Keebjan, P. Effect of exogenous methyl jasmonate on chilling injury and quality of pineapple (Ananas comosus L.) cv. Pattavia. SUSTJ 2008, 2, 33–42. [Google Scholar] [CrossRef]
- Boonyaritthongchai, P.; Puthmee, T.; Wongs-Aree, C. Quality changes of fresh-cut ‘Mahachanok’ mango at different storage temperatures. Acta Hortic. 2015, 431–434. [Google Scholar] [CrossRef]
- Lapcharoensuk, R.; Phannote, N.; Kasetyangyunsapa, D. Physicochemical properties of pineapple at difference maturity. In Proceedings of the Conference paper of the 10th TSAE International Conference, Bangkok, Thailand, 7–9 September 2017. [Google Scholar]
- Chuensombat, N.; Rungraeng, N.; Setha, S.; Suthiluk, P. A preliminary study of high pressure processing effect on quality changes in ‘Nanglae’ pineapple juice during cold storage. JFAT 2019, 5, 13–18. [Google Scholar]
- Logemann, A.; Schafberg, M.; Brockmeyer, B. Using the HPTLC-bioluminescence bacteria assay for the determination of acute toxicities in marine sediments and its eligibility as a monitoring assessment tool. Chemosphere 2019, 233, 936–945. [Google Scholar] [CrossRef] [PubMed]
- Jamshidi-Aidji, M.; Morlock, G.E. From bioprofiling and characterization to bioquantification of natural antibiotics by direct bioautography linked to high-resolution mass spectrometry: Exemplarily shown for Salvia miltiorrhiza root. Anal. Chem. 2016, 88, 10979–10986. [Google Scholar] [CrossRef]
- Pozharitskaya, O.N.; Ivanova, S.A.; Shikov, A.N.; Makarov, V.G. Separation and free radical-scavenging activity of major curcuminoids of Curcuma longa using HPTLC-DPPH method. Phytochem. Anal. 2008, 19, 236–243. [Google Scholar] [CrossRef] [PubMed]
- Water Quality-Determination of the Inhibitory Effect of Water Samples on the Light Emission of Vibrio Fischeri (Luminescent Bacteria Test)-Part 1: Method Using Freshly Prepared Bacteria (ISO 11348-1:2007); Beuth Verlag: Berlin, Germany, 2009.
- Jamshidi-Aidji, M.; Morlock, G.E. Bioprofiling of unknown antibiotics in herbal extracts: Development of a streamlined direct bioautography using Bacillus subtilis linked to mass spectrometry. J. Chromatogr. A 2015, 1420, 110–118. [Google Scholar] [CrossRef] [PubMed]
- Akkad, R.; Schwack, W. Multi-enzyme inhibition assay for the detection of insecticidal organophosphates and carbamates by high-performance thin-layer chromatography applied to determine enzyme inhibition factors and residues in juice and water samples. J. Chromatogr. B 2010, 878, 1337–1345. [Google Scholar] [CrossRef]
- Hage, S.; Morlock, G.E. Bioprofiling of Salicaceae bud extracts through high-performance thin-layer chromatography hyphenated to biochemical, microbiological and chemical detections. J. Chromatogr. A 2017, 1490, 201–211. [Google Scholar] [CrossRef] [PubMed]
- Krüger, S.; Bergin, A.; Morlock, G.E. Effect-directed analysis of ginger (Zingiber officinale) and its food products, and quantification of bioactive compounds via high-performance thin-layer chromatography and mass spectrometry. Food Chem. 2018, 243, 258–268. [Google Scholar] [CrossRef] [PubMed]




| Pineapple Cultivar | Mango Cultivar | |||
|---|---|---|---|---|
| PTV | NL | NDM | MHC | |
| Parameters | Produced Puree | |||
| Total Soluble Solids (°Brix) | 14.4 ± 0.2 d | 15.3 ± 0.1 c | 18.0 ± 0.2 a | 16.4 ± 0.1 b |
| Total Sugar (g/L) | 133 ± 0 d | 142 ± 0 c | 159 ± 0 a | 151 ± 0 b |
| pH | 4.6 ± 0.0 a | 4.5 ± 0.0 a | 3.7 ± 0.0 c | 4.0 ± 0.0 b |
| Total Acidity (pH 8.1 as citric acid, g/L) | 2.4 ± 0.0 c | 2.4 ± 0.0 c | 7.8 ± 0.2 a | 4.1 ± 0.1 b |
| Produced Juice | ||||
| Total Amino Acids (mg/L) | 3335 ± 8 a | 2790 ± 11 b | 1641 ± 4 c | 1366 ± 14 d |
| Total Phenolics (mg/L) | 426 ± 3 d | 442 ± 4 c | 845 ± 6 a | 616 ± 4 b |
| Puree Extract | Juice Extract | ||
|---|---|---|---|
| ID | Fruit Cultivar | ID | Fruit Cultivar |
| 1,1 | Pineapple PTV | 5,1 | Pineapple PTV |
| 1,2 | 5,2 | ||
| 2,1 | Pineapple NL | 6,1 | Pineapple NL |
| 2,2 | 6,2 | ||
| 3,1 | Mango NDM | 7,1 | Mango NDM |
| 3,2 | 7,2 | ||
| 4,1 | Mango MHC | 8,1 | Mango MHC |
| 4,2 | 8,2 | ||
Publisher’s Note: MDPI stays neutral with regard to jurisdictional claims in published maps and institutional affiliations. |
© 2021 by the authors. Licensee MDPI, Basel, Switzerland. This article is an open access article distributed under the terms and conditions of the Creative Commons Attribution (CC BY) license (https://creativecommons.org/licenses/by/4.0/).
Share and Cite
Morlock, G.E.; Wutthinithisanand, N.; Rauhut, D. Puree and Juice of Thai Mango and Pineapple Analyzed by High-Performance Thin-Layer Chromatography Hyphenated with Effect-Directed Assays. Molecules 2021, 26, 7683. https://doi.org/10.3390/molecules26247683
Morlock GE, Wutthinithisanand N, Rauhut D. Puree and Juice of Thai Mango and Pineapple Analyzed by High-Performance Thin-Layer Chromatography Hyphenated with Effect-Directed Assays. Molecules. 2021; 26(24):7683. https://doi.org/10.3390/molecules26247683
Chicago/Turabian StyleMorlock, Gertrud E., Newitchaya Wutthinithisanand, and Doris Rauhut. 2021. "Puree and Juice of Thai Mango and Pineapple Analyzed by High-Performance Thin-Layer Chromatography Hyphenated with Effect-Directed Assays" Molecules 26, no. 24: 7683. https://doi.org/10.3390/molecules26247683
APA StyleMorlock, G. E., Wutthinithisanand, N., & Rauhut, D. (2021). Puree and Juice of Thai Mango and Pineapple Analyzed by High-Performance Thin-Layer Chromatography Hyphenated with Effect-Directed Assays. Molecules, 26(24), 7683. https://doi.org/10.3390/molecules26247683

