Phytochemical Profiling and Quality Control of Terminalia sericea Burch. ex DC. Using HPTLC Metabolomics
Abstract
1. Introduction
2. Results and Discussion
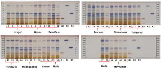
2.1. Chemical Fingerprinting to Determine Inter- and Intra-Population Chemical Variation within Root Bark
2.2. Quantitative Analysis
2.3. Chemometric Analysis of HPTLC Data
2.3.1. Selection of Appropriate Rf Ranges for Modelling
2.3.2. Chemical Variation within T. sericea Root Bark Samples from Three Districts in Limpopo Province, South Africa
3. Materials and Methods
3.1. Plant Material and Extraction
3.2. Chemicals and Reference Standards
3.3. Analysis of Root Bark Samples Using HPTLC
3.4. Method Validation
3.5. Analysis of Root Bark Samples Using UPLC-PDA and UPLC-MS
3.6. Chemometric Analysis of the HPTLC Data Using rTLC
4. Conclusions
Supplementary Materials
Author Contributions
Funding
Institutional Review Board Statement
Informed Consent Statement
Data Availability Statement
Acknowledgments
Conflicts of Interest
Sample Availability:
References
- Van Wyk, B.-E.; van Oudtshoorn, B.; Gericke, N. Medicinal Plants of South Africa; Briza Publications: Pretoria, South Africa, 2013; p. 288. [Google Scholar]
- Ndhlala, A.; Stafford, G.; Finnie, J.; Van Staden, J. Commercial herbal preparations in KwaZulu-Natal, South Africa: The urban face of traditional medicine. S. Afr. J. Bot. 2011, 77, 830–843. [Google Scholar] [CrossRef]
- Street, R.; Stirk, W.; Van Staden, J. South African traditional medicinal plant trade—challenges in regulating quality, safety and efficacy. J. Ethnopharmacol. 2008, 119, 705–710. [Google Scholar] [CrossRef] [PubMed]
- Alaerts, G.; Dejaegher, B.; Smeyers-Verbeke, J.; Vander Heyden, Y. Recent developments in chromatographic fingerprints from herbal products: Set-up and data analysis. Comb. Chem. High Throughput Screen. 2010, 13, 900–922. [Google Scholar] [CrossRef] [PubMed]
- Boudesocque-Delaye, L.; Lanoue, A.; Dorat, J.; Bruyère, F.; Gueiffier, A.; Enguehard-Gueiffier, C. Quality control of commercial cranberry products: HPTLC-densitometry a new deal. Food Control 2018, 86, 214–223. [Google Scholar] [CrossRef]
- Sagi, S.; Avula, B.; Wang, Y.; Khan, I. Application of HPTLC in fingerprint analysis and quality control of botanicals. Planta Med. 2015, 81, PA21. [Google Scholar] [CrossRef]
- Cañigueral i Folcarà, S.; Frommenwiler, D.; Reich, E.; Vila Casanovas, R. High performance thin-layer chromatography (HPTLC) in the quality control of herbal products. In Recent Advances in Pharmaceutical Sciences; Muñoz-Torrero, D., Cajal, Y., Liobet, J.M., Eds.; Research Signpost: Thiruananthapuram, India, 2018; Volume VIII, pp. 119–136. [Google Scholar]
- Tistaert, C.; Dejaegher, B.; Vander Heyden, Y. Chromatographic separation techniques and data handling methods for herbal fingerprints: A review. Anal. Chim. Acta 2011, 690, 148–161. [Google Scholar] [CrossRef] [PubMed]
- Nicoletti, M. HPTLC fingerprint: A modern approach for the analytical determination of botanicals. Rev. Bras. Farmacogn. 2011, 21, 818–823. [Google Scholar] [CrossRef]
- Bezerra, I.C.; Ramos, R.T.d.M.; Ferreira, M.R.; Soares, L.A. Chromatographic profiles of extractives from leaves of Eugenia uniflora. Rev. Bras. Farmacogn. 2018, 28, 92–101. [Google Scholar] [CrossRef]
- Makowicz, E.; Jasicka-Misiak, I.; Teper, D.; Kafarski, P. HPTLC Fingerprinting–Rapid Method for the Differentiation of Honeys of Different Botanical Origin Based on the Composition of the Lipophilic Fractions. Molecules 2018, 23, 1811. [Google Scholar] [CrossRef]
- Fichou, D.; Ristivojević, P.; Morlock, G.E. Proof-of-principle of rTLC, an open-source software developed for image evaluation and multivariate analysis of planar chromatograms. Anal. Chem. 2016, 88, 12494–12501. [Google Scholar] [CrossRef]
- Mongalo, N.; McGaw, L.; Segapelo, T.; Finnie, J.; Van Staden, J. Ethnobotany, phytochemistry, toxicology and pharmacological properties of Terminalia sericea Burch. ex DC.(Combretaceae)–A review. J. Ethnopharmacol. 2016, 194, 789–802. [Google Scholar] [CrossRef] [PubMed]
- Rukangira, E. Medicinal plants and traditional medicine in Africa: Constraints and challenges. Sustain. Dev. Int. 2001, 4, 179–184. [Google Scholar]
- Bombardelli, E.; Bonati, A.; Gabetta, B.; Mustich, G. Triterpenoids of Terminalia sericea. Phytochemistry 1974, 13, 2559–2562. [Google Scholar] [CrossRef]
- Bombardelli, E.; Martinelli, E.; Mustich, G. Plants of Mozambique. IX. A new hydroxystilbene glycoside from Terminalia sericea. Fitoterapia 1975, 46, 199–200. [Google Scholar]
- Eldeen, I.M.; Elgorashi, E.E.; Mulholland, D.A.; van Staden, J. Anolignan B: A bioactive compound from the roots of Terminalia sericea. J. Ethnopharmacol. 2006, 103, 135–138. [Google Scholar] [CrossRef] [PubMed]
- Eldeen, I.M.; Van Heerden, F.R.; Van Staden, J. Isolation and biological activities of termilignan B and arjunic acid from Terminalia sericea roots. Planta Med. 2008, 74, 411–413. [Google Scholar] [CrossRef] [PubMed]
- Joseph, C.C.; Moshi, M.; Innocent, E.; Nkunya, M. Isolation of a stilbene glycoside and other constituents of Terminalia sericeae. Afr. J. Tradit. Complement. Altern. Med. 2007, 4, 383–386. [Google Scholar] [CrossRef]
- Anokwuru, C.P.; Tankeu, S.; van Vuuren, S.; Viljoen, A.; Ramaite, I.D.; Taglialatela-Scafati, O.; Combrinck, S. Unravelling the Antibacterial Activity of Terminalia sericea Root Bark through a Metabolomic Approach. Molecules 2020, 25, 3683. [Google Scholar] [CrossRef]
- Sotenjwa, V.Z.; Chen, W.; Veale, C.G.; Anokwuru, C.P.; Tankeu, S.Y.; Combrinck, S.; Kamatou, G.P.; Viljoen, A.M. Chemotypic variation of non-volatile constituents of Artemisia afra (African wormwood) from South Africa. Fitoterapia 2020, 147, 104740. [Google Scholar] [CrossRef]
- Lerotholi, L.J.; Chaudhary, S.K.; Chen, W.; Veale, C.G.; Combrinck, S.; Viljoen, A.M. Identification, isolation and determination of biomarkers for quality control of bush tea (Athrixia phyllicoides). Planta Med. 2018, 84, 902–912. [Google Scholar] [CrossRef]
- Guideline, I.H.T. Validation of analytical procedures: Text and methodology. 2005, 1, 5. Available online: https://www.ema.europa.eu/en/documents/scientific-guideline/ich-q−2-r1-validation-analytical-procedures-text-methodology-step−5_en.pdf (accessed on 9 September 2020).
- Renger, B.; Végh, Z.; Ferenczi-Fodor, K. Validation of thin layer and high performance thin layer chromatographic methods. J. Chromatogr. A 2011, 1218, 2712–2721. [Google Scholar] [CrossRef] [PubMed]
- Viennot, L.; Hosson, C.D. Colour phenomena and partial absorption. 2012. Available online: http://education.epsdivisions.org/muse/ (accessed on 9 September 2020).
- Kanama, S.; Viljoen, A.; Enslin, G.; Kamatou, G.; Chen, W.; Sandasi, M.; Idowu, T. Uzara–A quality control perspective of Xysmalobium undulatum. Pharm. Biol. 2016, 54, 1272–1279. [Google Scholar] [CrossRef] [PubMed]
- Serabele, K.; Chen, W.; Tankeu, S.; Combrinck, S.; Veale, C.G.; van Vuuren, S.; Chaudhary, S.K.; Viljoen, A. Comparative chemical profiling and antimicrobial activity of two interchangeably used ‘Imphepho’species (Helichrysum odoratissimum and Helichrysum petiolare). S. Afri. J. Bot. 2021, 137, 117–132. [Google Scholar] [CrossRef]
- Wang, H.-p.; Liu, Y.; Chen, C.; Xiao, H.-b. Screening specific biomarkers of herbs using a metabolomics approach: A case study of Panax ginseng. Sci. Rep. 2017, 7, 1–9. [Google Scholar] [CrossRef] [PubMed]
- Osman, A.G.; Haider, S.; Chittiboyina, A.G.; Khan, I.A. Utility of alkaloids as chemical and biomarkers for quality, efficacy, and safety assessment of botanical ingredients. Phytomedicine 2019, 54, 347–356. [Google Scholar] [CrossRef]
- Mochizuki, M.; Hasegawa, N. Anti-inflammatory effect of extract of Terminalia sericea roots in an experimental model of colitis. J. Health Sci. 2007, 53, 329–331. [Google Scholar] [CrossRef]
- Rode, T. Complex formation of sericoside with hydrophilic cyclodextrins: Improvement of solubility and skin penetration in topical emulsion based formulations. Eur. J. Pharm. Biopharm. 2003, 55, 191–198. [Google Scholar] [CrossRef]
- Pagin, I.T.S.; Maramaldi, G.; Cattaneo, R.; Caccia, G.; Eggenhoffner, R.; Giacomelli, L. Anti-aging effects of a novel sericoside 0.5% cream in reducing skin wrinkles and ameliorating skin texture. Dermatol. Exp. 2016, 18, 183–186. [Google Scholar]
- Chong, J.; Wishart, D.S.; Xia, J. Using MetaboAnalyst 4.0 for comprehensive and integrative metabolomics data analysis. Curr. Protoc. Bioinformatics 2019, 6, e86. [Google Scholar] [CrossRef]





| Locality | Voucher | Compound Concentration | |||||
|---|---|---|---|---|---|---|---|
| Resveratrol-3-O-β-Rutinoside (Brown Rf = 0.24) | Sericic Acid(Blue Rf = 0.83) | Sericoside(Blue Rf = 0.48) | |||||
| mg/g | BI | mg/g | BI | mg/g | BI | ||
| KNP | CPA004 | ||||||
| K1 | 24.7 | +++ | 18.3 | +++ | 11.2 | ++ | |
| K2 | 19.0 | ++ | 12.3 | ++ | 6.14 | + | |
| K3 | 26.4 | +++ | 18.9 | +++ | 28.4 | +++ | |
| K4 | 26.0 | +++ | 20.2 | +++ | 12.6 | +++ | |
| K5 | 16.0 | ++ | 11.4 | ++ | 6.64 | ++ | |
| Giyani | CPA002 | ||||||
| G1 | 17.9 | ++ | 3.18 | ++ | 8.36 | ++ | |
| G2 | 26.6 | +++ | 18.6 | +++ | 26.6 | +++ | |
| G3 | 25.9 | +++ | 19.0 | +++ | 27.7 | +++ | |
| G4 | 11.1 | ++ | 3.35 | ++ | 7.33 | ++ | |
| Bela-Bela | CPA001 | ||||||
| BP1 | 28.1 | +++ | 18.0 | +++ | 12.4 | ++ | |
| BP2 | 28.0 | +++ | 17.0 | +++ | 26.3 | +++ | |
| BP3 | 27.9 | +++ | 2.58 | + | 4.82 | + | |
| Tzaneen | CPA009 | ||||||
| TZ1 | 3.03 | + | 15.9 | +++ | 30.2 | +++ | |
| TZ2 | 2.22 | + | 18.2 | +++ | 25.4 | +++ | |
| TZ3 | 16.7 | ++ | 19.0 | +++ | 27.2 | +++ | |
| TZ4 | 27.9 | +++ | 17.4 | +++ | 26.1 | +++ | |
| TZ5 | 2.23 | + | 4.81 | + | 15.4 | ++ | |
| Tshandama | CP007 | ||||||
| TSA1 | 27.7 | +++ | 18.7 | +++ | 28.0 | +++ | |
| TSA2 | 27.5 | +++ | 22.7 | +++ | 27.0 | +++ | |
| TSA3 | 29.0 | +++ | 19.7 | +++ | 26.9 | +++ | |
| TSA4 | 28.9 | +++ | 18.9 | +++ | 28.6 | +++ | |
| TSA5 | 29.0 | +++ | 19.2 | +++ | 27.6 | +++ | |
| Tshitavha | CPA008 | ||||||
| TSH1 | 28.8 | +++ | 17.7 | +++ | 28.4 | +++ | |
| TSH2 | 29.0 | +++ | 18.0 | +++ | 27.4 | +++ | |
| TSH3 | 17.7 | ++ | 18.4 | +++ | 28.3 | +++ | |
| TSH4 | 27.8 | +++ | 19.5 | +++ | 27.2 | +++ | |
| TSH5 | 28.4 | +++ | 19.6 | +++ | 28.7 | +++ | |
| Mookgophong | CPA006 | ||||||
| MP1 | 26.9 | +++ | 8.36 | ++ | 15.4 | ++ | |
| MP2 | 27.7 | +++ | 16.6 | +++ | 17.2 | ++ | |
| MP3 | 29.8 | +++ | 18.0 | +++ | 28.7 | +++ | |
| MP4 | 15.4 | ++ | 5.25 | + | 28.7 | + | |
| MP5 | 18.3 | ++ | 5.02 | + | 7.55 | + | |
| Vuwani | CPA010 | ||||||
| V1 | 16.7 | ++ | 7.36 | ++ | 6.89 | + | |
| V2 | 18.1 | ++ | 8.69 | ++ | 15.7 | ++ | |
| Maila | CPA003 | ||||||
| J1 | 1.54 | + | 3.78 | ++ | 27.0 | +++ | |
| J2 | 1.43 | + | 3.55 | +++ | 24.4 | +++ | |
| J3 | 2.05 | ++ | 18.3 | +++ | 24.5 | +++ | |
| J4 | 2.65 | + | 19.0 | +++ | 26.0 | +++ | |
| Mavhambe | CPA005 | ||||||
| MMR1 | 25.4 | +++ | 3.77 | ++ | 12.8 | ++ | |
| MMR2 | 27.6 | +++ | 6.23 | ++ | 26.6 | +++ | |
| MMR3 | 13.4 | ++ | 7.48 | ++ | 13.7 | ++ | |
| MMR4 | 16.2 | ++ | 7.36 | ++ | 13.7 | +++ | |
Publisher’s Note: MDPI stays neutral with regard to jurisdictional claims in published maps and institutional affiliations. |
© 2021 by the authors. Licensee MDPI, Basel, Switzerland. This article is an open access article distributed under the terms and conditions of the Creative Commons Attribution (CC BY) license (http://creativecommons.org/licenses/by/4.0/).
Share and Cite
Mulaudzi, N.; Anokwuru, C.P.; Tankeu, S.Y.; Combrinck, S.; Chen, W.; Vermaak, I.; Viljoen, A.M. Phytochemical Profiling and Quality Control of Terminalia sericea Burch. ex DC. Using HPTLC Metabolomics. Molecules 2021, 26, 432. https://doi.org/10.3390/molecules26020432
Mulaudzi N, Anokwuru CP, Tankeu SY, Combrinck S, Chen W, Vermaak I, Viljoen AM. Phytochemical Profiling and Quality Control of Terminalia sericea Burch. ex DC. Using HPTLC Metabolomics. Molecules. 2021; 26(2):432. https://doi.org/10.3390/molecules26020432
Chicago/Turabian StyleMulaudzi, Nduvho, Chinedu P. Anokwuru, Sidonie Y. Tankeu, Sandra Combrinck, Weiyang Chen, Ilze Vermaak, and Alvaro M Viljoen. 2021. "Phytochemical Profiling and Quality Control of Terminalia sericea Burch. ex DC. Using HPTLC Metabolomics" Molecules 26, no. 2: 432. https://doi.org/10.3390/molecules26020432
APA StyleMulaudzi, N., Anokwuru, C. P., Tankeu, S. Y., Combrinck, S., Chen, W., Vermaak, I., & Viljoen, A. M. (2021). Phytochemical Profiling and Quality Control of Terminalia sericea Burch. ex DC. Using HPTLC Metabolomics. Molecules, 26(2), 432. https://doi.org/10.3390/molecules26020432

