Synergistic Anti Leukemia Effect of a Novel Hsp90 and a Pan Cyclin Dependent Kinase Inhibitors
Abstract
1. Introduction
2. Results
2.1. Surface Plasmon Resonance
2.2. Molecular Docking Study
2.3. MTT Combination Study
2.4. Cell Cycle Analysis
2.5. Detection of Apoptosis
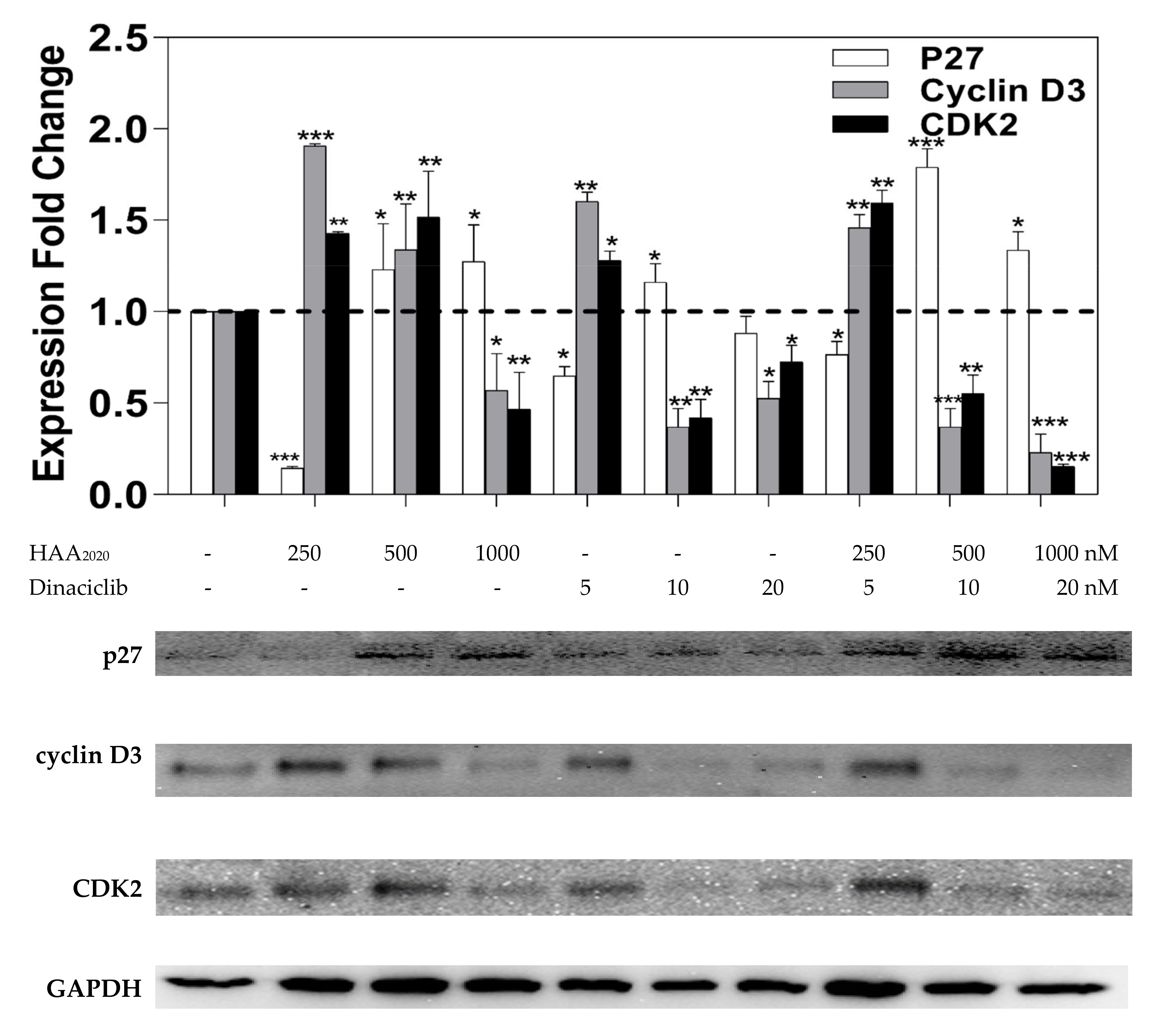
2.6. Real Time PCR
2.7. Western Blotting
3. Discussion
4. Materials and Methods
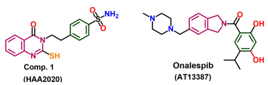
4.1. Compounds and Reagents
4.2. Methods
4.2.1. Surface Plasmon Resonance
4.2.2. Molecular Docking Study
4.2.3. Cell Culture
4.2.4. MTT Combination Study
4.2.5. Cell Cycle Analysis
4.2.6. Detection of Apoptosis
4.2.7. Gene Expression Analysis and Quantitative Real Time PCR
4.2.8. Western Blotting
4.3. Statistics
Supplementary Materials
Author Contributions
Funding
Conflicts of Interest
Abbreviations
| 17-AAG | 17-N-allylamino-17-demethoxygeldanamycin |
| AML | Acute Myeloid Leukaemia |
| CDK | Cyclin dependent kinases |
| CI | Combination index |
| EGFR | Epidermal growth factor receptor |
| Hsp90 | Heat shock protein 90 |
| KSA | Kingdom of Saudi Arabia |
| M1 | AML without maturation |
| PI | Propidium iodide |
| SPR | Surface Plasmon Resonance |
| TNF-α | tumor necrosis factor alfa |
| VEGF | Vascular endothelial growth factor |
| VEGFR | Vascular endothelial growth factor receptor |
References
- Registry, S.C. Saudi Cancer Registry Cancer Incidence Report Saudi Arabia, 2014; 2017, 1–81. 2017. Available online: https://nhic.gov.sa/eServices/Documents/2014.pdf (accessed on 1 April 2020).
- Bawazir, A.; Al-Zamel, N.; Amen, A.; Akiel, M.A.; Alhawiti, N.M.; AlShehri, A. The burden of leukemia in the Kingdom of Saudi Arabia: 15 years period (1999–2013). Bmc Cancer 2019, 19, 703. [Google Scholar] [CrossRef] [PubMed]
- Zahrani, M.; Al-Quozi, A.; Alaskar, A.; Faleh, A. Clinical features and outcome of acute myeloid leukemia, a single institution experience in Saudi Arabia. J. Appl. Hematol. 2015, 6, 6. [Google Scholar] [CrossRef]
- Lai, C.; Doucette, K.; Norsworthy, K. Recent drug approvals for acute myeloid leukemia. J. Hematol. Oncol. 2019, 12, 100–120. [Google Scholar] [CrossRef] [PubMed]
- Gilliland, D.; Griffin, J.D. The roles of FLT3 in hematopoiesis and leukemia. Blood 2002, 100, 1532–1542. [Google Scholar] [CrossRef] [PubMed]
- Antar, A.I.; Otrock, Z.K.; Jabbour, E.; Mohty, M.; Bazarbachi, A. FLT3 inhibitors in acute myeloid leukemia: Ten frequently asked questions. Leukemia 2020, 34, 682–696. [Google Scholar] [CrossRef] [PubMed]
- Zhang, J.; Gu, Y.; Chen, B. Mechanisms of drug resistance in acute myeloid leukemia. Oncotargets 2019, 12, 1937–1945. [Google Scholar] [CrossRef]
- Ball, B.; Stein, E.M. Which are the most promising targets for minimal residual disease-directed therapy in acute myeloid leukemia prior to allogeneic stem cell transplant? Haematol. 2019, 104, 1521–1531. [Google Scholar] [CrossRef]
- Mancini, M.; Yarden, Y.; Belkacemi, L. Resistance to Anti-Cancer Therapeutics Targeting Receptor Tyrosine Kinases and Downstream Pathways; Springer AG: Basel, Switzerland, 2018; Volume 15, pp. 29–49. [Google Scholar]
- Mikhail, S.; Albanese, C.; Pishvaian, M.J. Cyclin-dependent kinase inhibitors and the treatment of gastrointestinal cancers. Am. J. Pathol. 2015, 185, 1185–1197. [Google Scholar] [CrossRef]
- Lee, D.J.; Zeidner, J.F. Cyclin-dependent kinase (CDK) 9 and 4/6 inhibitors in acute myeloid leukemia (AML): A promising therapeutic approach. Expert Opin. Investig. Drugs 2019, 28, 989–1001. [Google Scholar] [CrossRef]
- Baker, A.; Gregory, G.; Verbrugge, I.; Kats, L.M.; Hilton, J.J.; Vidacs, E.; Lee, E.M.; Lock, R.B.; Zuber, J.; Shortt, J.; et al. The CDK9 Inhibitor Dinaciclib Exerts Potent Apoptotic and Antitumor Effects in Preclinical Models of MLL-Rearranged Acute Myeloid Leukemia. Cancer Res. 2015, 76, 1158–1169. [Google Scholar] [CrossRef]
- Trepel, J.; Mollapour, M.; Giaccone, G.; Neckers, L. Targeting the dynamic HSP90 complex in cancer. Nat. Rev. Cancer 2010, 10, 537–549. [Google Scholar] [CrossRef] [PubMed]
- Neckers, L.M.; Workman, P. Hsp90 molecular chaperone inhibitors: Are we there yet? Clin. Cancer Res. 2012, 18, 64–76. [Google Scholar] [CrossRef] [PubMed]
- Proia, D.A.; Bates, R.C. Ganetespib and HSP90: Translating Preclinical Hypotheses into Clinical Promise. Cancer Res. 2014, 74, 1294–1300. [Google Scholar] [CrossRef] [PubMed]
- Lanneau, D.; De Thonel, A.; Maurel, S.; Mirjolet, C.; Garrido, C. Apoptosis Versus Cell Differentiation. Prion 2007, 1, 53–60. [Google Scholar] [CrossRef]
- Kimura, T.; Uesugi, M.; Takase, K.; Miyamoto, N.; Sawada, K. Hsp90 inhibitor geldanamycin attenuates the cytotoxicity of sunitinib in cardiomyocytes via inhibition of the autophagy pathway. Toxicol. Appl. Pharm. 2017, 329, 282–292. [Google Scholar] [CrossRef]
- Woodhead, A.J.; Angove, H.; Carr, M.G.; Chessari, G.; Congreve, M.; Coyle, J.E.; Cosme, J.; Graham, B.; Day, P.J.; Downham, R.; et al. Discovery of (2,4-Dihydroxy-5-isopropylphenyl)-[5-(4-methylpiperazin-1-ylmethyl)-1,3-dihydroisoindol-2-yl]methanone (AT13387), a Novel Inhibitor of the Molecular Chaperone Hsp90 by Fragment Based Drug Design. J. Med. Chem. 2010, 53, 5956–5969. [Google Scholar] [CrossRef]
- Dias, S.; Shmelkov, S.V.; Lam, G.; Rafii, S. VEGF165 promotes survival of leukemic cells by Hsp90-mediated induction of Bcl-2 expression and apoptosis inhibition. Blood 2002, 99, 2532–2540. [Google Scholar] [CrossRef]
- Xue, N.; Jin, J.; Liu, D.; Yan, R.; Zhang, S.; Yu, X.; Chen, X. Antiproliferative effect of HSP90 inhibitor Y306zh against pancreatic cancer is mediated by interruption of AKT and MAPK signaling pathways. Curr. Cancer Drug Targets 2014, 14, 671–683. [Google Scholar] [CrossRef]
- Gyurkocza, B.; Plescia, J.; Raskett, C.M.; Garlick, D.S.; Lowry, P.A.; Carter, B.Z.; Andreeff, M.; Meli, M.; Colombo, G.; Altieri, D.C. Antileukemic Activity of Shepherdin and Molecular Diversity of Hsp90 Inhibitors. J. Natl. Cancer Inst. 2006, 98, 1068–1077. [Google Scholar] [CrossRef]
- Azimi, A.; Caramuta, S.; Seashore-Ludlow, B.; Boström, J.; Robinson, J.L.; Edfors, F.; Tuominen, R.; Kemper, K.; Krijgsman, O.; Peeper, D.S.; et al. Targeting CDK 2 overcomes melanoma resistance against BRAF and Hsp90 inhibitors. Mol. Syst. Boil. 2018, 14, e7858. [Google Scholar] [CrossRef]
- Stebbins, E.; A Russo, A.; Schneider, C.; Rosen, N.; Hartl, F.U.; Pavletich, N.P. Crystal Structure of an Hsp90–Geldanamycin Complex: Targeting of a Protein Chaperone by an Antitumor Agent. Cell 1997, 89, 239–250. [Google Scholar] [CrossRef]
- Ou, W.-B.; Hubert, C.; Fletcher, J.A.; Corson, J.M.; Bueno, R.; Flynn, D.L.; Sugarbaker, D.J. Targeted Inhibition of Multiple Receptor Tyrosine Kinases in Mesothelioma. Neoplasia 2011, 13, 12–22. [Google Scholar] [CrossRef] [PubMed]
- Lee, Y.H.; Song, G.G. 17-AAG enhances the cytotoxicity of flavopiridol in mantle cell lymphoma via autophagy suppression. Neoplasma 2013, 60, 607–616. [Google Scholar]
- Wang, L.; Harshman, S.W.; Liu, S.; Ren, C.; Xu, H.; Sallans, L.; Grever, M.; Byrd, J.C.; Marcucci, G.; Freitas, M. Assaying pharmacodynamic endpoints with targeted therapy: Flavopiridol and 17AAG induced dephosphorylation of histone H1.5 in acute myeloid leukemia. Proteomics 2010, 10, 4281–4292. [Google Scholar] [CrossRef]
- Fu, W.; Sharma, S.S.; Ma, L.; Chu, B.; Bui, M.M.; Reed, D.R.; Pledger, W.J. Apoptosis of osteosarcoma cultures by the combination of the cyclin-dependent kinase inhibitor SCH727965 and a heat shock protein 90 inhibitor. Cell Death Dis. 2013, 4, e566. [Google Scholar] [CrossRef]
- Song, G.; Li, Y.; Jiang, G. Role of VEGF/VEGFR in the pathogenesis of leukemias and as treatment targets (Review). Oncol. Rep. 2012, 28, 1935–1944. [Google Scholar] [CrossRef]
- Alkahtani, H.M.; Abdalla, A.N.; Obaidullah, A.J.; Alanazi, M.M.; Almehizia, A.A.; Alanazi, M.G.; Ahmed, A.Y.; Alwassil, O.I.; Darwish, H.W.; Abdel-Aziz, A.A.-M.; et al. Synthesis, cytotoxic evaluation, and molecular docking studies of novel quinazoline derivatives with benzenesulfonamide and anilide tails: Dual inhibitors of EGFR/HER2. Bioorganic Chem. 2020, 95, 103461. [Google Scholar] [CrossRef]
- Caputo, M.; De Rosa, M.C.; Rescigno, T.; Zirpoli, H.; Vassallo, A.; De Tommasi, N.; Torino, G.; Tecce, M.F. Binding of polyunsaturated fatty acids to LXRαand modulation of SREBP-1 interaction with a specific SCD1 promoter element. Cell Biochem. Funct. 2014, 32, 637–646. [Google Scholar] [CrossRef]
- Malafronte, N.; Vassallo, A.; Piaz, F.D.; Bader, A.; Braca, A.; De Tommasi, N. Biflavonoids from Daphne linearifolia Hart. Phytochem. Lett. 2012, 5, 621–625. [Google Scholar] [CrossRef]
- Dal Piaz, F.; Ferro, P.; Vassallo, A.; Vasaturo, M.; Forte, G.; Chini, M.G.; Bifulco, G.; Tosco, A.; De Tommasi, N. Identification and mechanism of action analysis of the new PARP-1 inhibitor 2″-hydroxygenkwanol A. Biochim. Et Biophys. Acta Gen. Subj. 2015, 1850, 1806–1814. [Google Scholar] [CrossRef]
- Terracciano, S.; Chini, M.G.; Vaccaro, M.C.; Strocchia, M.; Foglia, A.; Vassallo, A.; Saturnino, C.; Riccio, R.; Bifulco, G.; Bruno, I. Identification of the key structural elements of a dihydropyrimidinone core driving toward more potent Hsp90 C-terminal inhibitors. Chem. Commun. 2016, 87, 12857–12860. [Google Scholar] [CrossRef] [PubMed]
- Cooper, M.A. Label-free screening of bio-molecular interactions. Anal. Bioanal. Chem. 2003, 377, 834–842. [Google Scholar] [CrossRef] [PubMed]
- Discovery Studio Visualization. Version 2.5.5.9350. Available online: https://www.3dsbiovia.com/products/collaborative-science/biovia-discovery-studio/visualization-download.php (accessed on 1 March 2020).
- Laskowski, R.A.; Swindells, M.B. LigPlot+: Multiple Ligand–Protein Interaction Diagrams for Drug Discovery. J. Chem. Inf. Model. 2011, 51, 2778–2786. [Google Scholar] [CrossRef] [PubMed]
- Park, H.; Kim, Y.-J.; Hahn, J.-S. A novel class of Hsp90 inhibitors isolated by structure-based virtual screening. Bioorganic Med. Chem. Lett. 2007, 17, 6345–6349. [Google Scholar] [CrossRef]
- Nimmanapalli, R.; O’Bryan, E.; Kuhn, D.; Yamaguchi, H.; Wang, H.G.; Bhalla, K.N. Regulation of 17-AAG-induced apoptosis: Role of Bcl-2, Bcl-XL, and Bax downstream of 17-AAG-mediated down-regulation of Akt, Raf-1, and Src kinases. Blood 2003, 102, 269–275. [Google Scholar] [CrossRef]
- Lazenby, M.; Hills, R.K.; Burnett, A.; Zabkiewicz, J. The HSP90 inhibitor ganetespib: A potential effective agent for Acute Myeloid Leukemia in combination with cytarabine. Leuk. Res. 2015, 39, 617–624. [Google Scholar] [CrossRef][Green Version]
- Totzke, J.; Gurbani, D.; Raphemot, R.; Hughes, P.F.; Bodoor, K.; Carlson, D.A.; Loiselle, D.R.; Bera, A.K.; Eibschutz, L.; Perkins, M.M.; et al. Takinib, a Selective TAK1 Inhibitor, Broadens the Therapeutic Efficacy of TNF-α Inhibition for Cancer and Autoimmune Disease. Cell Chem. Boil. 2017, 24, 1029–1039. [Google Scholar] [CrossRef]
- Fritsch, J.; Fickers, R.; Klawitter, J.; Särchen, V.; Zingler, P.; Adam, D.; Janssen, O.; Krause, E.; Schütze, S. TNF induced cleavage of HSP90 by cathepsin D potentiates apoptotic cell death. Oncotarget 2016, 7, 75774–75789. [Google Scholar] [CrossRef][Green Version]
- Yuno, A.; Lee, M.-j.; Lee, S.; Tomita, Y.; Rekhtman, D.; Moore, B.; Trepel, J.B. Chapter 29: Clinical Evaluation and Biomarker Profiling of Hsp90 Inhibitors. In Chaperones Methods and Protocols; Springer AG: Basel, Switzerland, 2018; Volume 1709. [Google Scholar]
- Butler, L.M.; Ferraldeschi, R.; Armstrong, H.; Centenera, M.; Workman, P. Maximizing the Therapeutic Potential of Hsp90 Inhibitors. Mol. Cancer Res. 2015, 13, 1445–1451. [Google Scholar] [CrossRef]
- Shaltiel, I.A.; Krenning, L.; Bruinsma, W.; Medema, R.H. The same, only different—DNA damage checkpoints and their reversal throughout the cell cycle. J. Cell Sci. 2015, 128, 607–620. [Google Scholar] [CrossRef]
- Camero, C.M.; Vassallo, A.; De Leo, M.; Temraz, A.; De Tommasi, N.; Braca, A. Limonoids from Aphanamixis polystachya Leaves and Their Interaction with Hsp90. Planta Med. 2018, 84, 964–970. [Google Scholar] [CrossRef] [PubMed]
- Terracciano, S.; Russo, A.; Chini, M.G.; Vaccaro, M.C.; Potenza, M.; Vassallo, A.; Riccio, R.; Bifulco, G.; Bruno, I. Discovery of new molecular entities able to strongly interfere with Hsp90 C-terminal domain. Sci. Rep. 2018, 8, 1709. [Google Scholar] [CrossRef] [PubMed]
- Gualtieri, M.J.; Malafronte, N.; Vassallo, A.; Braca, A.; Cotugno, R.; Vasaturo, M.; De Tommasi, N.; Piaz, F.D. Bioactive Limonoids from the Leaves of Azaridachta indica (Neem). J. Nat. Prod. 2014, 77, 596–602. [Google Scholar] [CrossRef]
- Schulte, T.W.; Akinaga, S.; Soga, S.; Sullivan, W.; Stensgard, B.; Toft, D.; Neckers, L.M. Antibiotic radicicol binds to the N-terminal domain of Hsp90 and shares important biologic activities with geldanamycin. Cell Stress Chaperon. 1998, 3, 100–108. [Google Scholar] [CrossRef]
- Guo, W.; Reigan, P.; Siegel, D.; Zirrolli, J.; Gustafson, D.; Ross, D. Formation of 17-Allylamino-Demethoxygeldanamycin (17-AAG) Hydroquinone by NAD(P)H:Quinone Oxidoreductase 1: Role of 17-AAG Hydroquinone in Heat Shock Protein 90 Inhibition. Cancer Res. 2005, 65, 10006–10015. [Google Scholar] [CrossRef]
- Gouda, A.M.; Abdelazeem, A.; Omar, H.A.; Abdalla, A.N.; Abourehab, M.; Ali, H. Pyrrolizines: Design, synthesis, anticancer evaluation and investigation of the potential mechanism of action. Bioorganic Med. Chem. 2017, 25, 5637–5651. [Google Scholar] [CrossRef]
- Abdalla, A.N.; Shaheen, U.; Abdallah, Q.M.A.; Flamini, G.; Bkhaitan, M.M.; Abdelhady, M.I.S.; Ascrizzi, R.; Bader, A. Proapoptotic Activity of Achillea membranacea Essential Oil and Its Major Constituent 1,8-Cineole against A2780 Ovarian Cancer Cells. Molecules 2020, 25, 1582. [Google Scholar] [CrossRef]
- Alkahtani, H.M.; Alanazi, M.M.; Aleanizy, F.S.; Alqahtani, F.Y.; Alhoshani, A.; Alanazi, F.E.; Almehizia, A.; Abdalla, A.N.; Alanazi, M.G.; El-Azab, A.S.; et al. Synthesis, anticancer, apoptosis-inducing activities and EGFR and VEGFR2 assay mechanistic studies of 5,5-diphenylimidazolidine-2,4-dione derivatives: Molecular docking studies. Saudi Pharm. J. 2019, 27, 682–693. [Google Scholar] [CrossRef]
- Li, Y.; Wang, P.P.; Li, X.X.; Yu, C.Y.; Yang, H.; Zhou, J.; Xue, W.W.; Tan, J.; Zhu, F. The Human Kinome Targeted by FDA Approved Multi-Target Drugs and Combination Products: A Comparative Study from the Drug-Target Interaction Network Perspective. PLoS ONE 2016, 11, e0165737. [Google Scholar] [CrossRef]
- Lin, S.-Y.; Hu, F.-F.; Miao, Y.-R.; Hu, H.; Lei, Q.; Zhang, Q.; Li, Q.; Wang, H.; Chen, Z.; Guo, A.-Y. Identification of STAB1 in Multiple Datasets as a Prognostic Factor for Cytogenetically Normal AML: Mechanism and Drug Indications. Mol. Nucleic Acids 2019, 18, 476–484. [Google Scholar] [CrossRef]
- Chou, T.-C. Drug Combination Studies and Their Synergy Quantification Using the Chou-Talalay Method. Cancer Res. 2010, 70, 440–446. [Google Scholar] [CrossRef] [PubMed]
- Shaheen, U.; Ragab, E.A.; Abdalla, A.N.; Bader, A. Triterpenoidal saponins from the fruits of Gleditsia caspica with proapoptotic properties. Phytochem. 2018, 145, 168–178. [Google Scholar] [CrossRef] [PubMed]
- Grothaus, P.G.; Cragg, G.M.; Newman, D.J. Plant Natural Products in Anticancer Drug Discovery. Curr. Org. Chem. 2010, 14, 1781–1791. [Google Scholar] [CrossRef]
- Ghobrial, I.M.; Witzig, T.E.; Adjei, A.A. Targeting apoptosis pathways in cancer therapy. Ca A Cancer J. Clin. 2005, 55, 178–194. [Google Scholar] [CrossRef] [PubMed]
- Malki, W.H.; Gouda, A.M.; Ali, H.E.; Al-Rousan, R.; Samaha, D.; Abdalla, A.N.; Bustamante, J.; Elmageed, Z.Y.A.; Ali, H. Structural-based design, synthesis, and antitumor activity of novel alloxazine analogues with potential selective kinase inhibition. Eur. J. Med. Chem. 2018, 152, 31–52. [Google Scholar] [CrossRef] [PubMed]
- El-Boshy, M.; Basalamah, M.A.; Ahmad, J.; Idris, S.; Mahbub, A.; Abdelghany, A.H.; Almaimani, R.A.; Almasmoum, H.; Ghaith, M.M.; Elzubier, M.; et al. Vitamin D protects against oxidative stress, inflammation and hepatorenal damage induced by acute paracetamol toxicity in rat. Free. Radic. Boil. Med. 2019, 141, 310–321. [Google Scholar] [CrossRef] [PubMed]
- Burnette, W. “Western Blotting”: Electrophoretic transfer of proteins from sodium dodecyl sulfate-polyacrylamide gels to unmodified nitrocellulose and radiographic detection with antibody and radioiodinated protein A. Anal. Biochem. 1981, 112, 195–203. [Google Scholar] [CrossRef]
Sample Availability: Samples of the compounds are available from the authors. Subject to conditions and terms. |








| Compound | KD (nM)a |
|---|---|
| 1b | 51.0 ± 2.9 |
| 4 | NBc |
| 5 | NB |
| 17-AAG | 360.0 ± 21.9 |
| No. | Inhibitor | Targets | IC50 nM | IC50 (nM) Combination HAA2020/Inhibitor a (50:1) | CI b at Fa = 0.9 |
|---|---|---|---|---|---|
| 1 | PHA-767491 | CDK1/2,CDK5, Cdc7/CDK9, GSK3-β,MK2 PLK1, CHK2 | 26.1 ± 3.8 | 21.8 ± 3.2 | 0.991 |
| 2 | Dinaciclib | CDK1, CDK2, CDK5, CDK9 | 8.2 ± 0.3 | 4.9 ± 1.3 | 0.628 |
| 3 | ON123300 | CDK4, Ark5, PDGFRβ, FGFR RET, Fyn | 37.3 ± 3.5 | 1872.5 ± 45.9 | >1 |
| 4 | AMG 925 | CDK4/FLT3 | 54.4 ± 7.7 | 3355 ± 347.8 | >1 |
| 5 | KW2449 | FLT3, EGFR, FGFR1, Bcr-Abl PDGFRβ, IGF-1R | 56.5 ± 10.8 | 2535.5 ± 318.9 | >1 |
| 6 | AZD2932 | FLT3, c-Kit, VEGFR, PDGFRβ | 15.2 ± 3.1 | 2394 ± 380.4 | >1 |
| 7 | Dasatinib | c-Kit, Abl, Src | 12.1 ± 2.9 | 3036 ± 181.1 | >1 |
| 8 | BGJ398 | Kit, FGFR, VEGFR2, Abl, Fyn, Lck, Lyn, Yes | 16.2 ± 1.7 | 2952.5 ± 170.6 | >1 |
| 9 | Saracatinib | EGFR, Src, Yes, Fyn, Lyn, Blk, Fgr, Lck, Abl | 16.8 ± 1.2 | 1821.5 ± 40.3 | >1 |
| 10 | Lapatinib | EGFR, HER2 | 12.1 ± 2.0 | 2383.5 ± 245.3 | >1 |
| 11 | Taselisib | PI3Kα/δ/γ | 7.9 ± 0.4 | 2647 ± 203.6 | >1 |
| HAA2020 | VEGFR2, EGFR, HER2 | 1814.5 ± 230.8 | - | - |
| Drug/Combination (1:50) | Dm | m | r | CI a at Fa = 0.9 |
|---|---|---|---|---|
| Dinaciclib | 15.985 | –0.358 | –0.911 | - |
| HAA2020 | 0.340 | –1.184 | –0.997 | - |
| HAA2020 + Dinaciclib | 0.552 | –0.722 | –0.998 | 0.628 |
| Gene | Sequence |
|---|---|
| Hep90α | (F) TTGGTTACTTCCCCGTGCTG (R) GCCTTTTGCCGTAGGGTTTC |
| TNF-α | (F) CTCTTCTGCCTGCTGCACTTTG (R) ATGGGCTACAGGCTTGTCACTC |
| caspase-7 | (F) GGACCGAGTGCCCACTTATC (R) TCGCTTTGTCGAAGTTCTTGTT |
| EGFR | (F) GCGTCTCTTGCCGGAATGT (R) GGCTCACCCTCCAGAAGGTT |
| GAPDH | (F) AGGTCGGTGTGAACGGATTTG (R) TGTAGACCATGTAGTTGAGGTCA |
© 2020 by the authors. Licensee MDPI, Basel, Switzerland. This article is an open access article distributed under the terms and conditions of the Creative Commons Attribution (CC BY) license (http://creativecommons.org/licenses/by/4.0/).
Share and Cite
Abdalla, A.N.; Abdallah, M.E.; Aslam, A.; Bader, A.; Vassallo, A.; Tommasi, N.D.; Malki, W.H.; Gouda, A.M.; Mukhtar, M.H.; El-Readi, M.Z.; et al. Synergistic Anti Leukemia Effect of a Novel Hsp90 and a Pan Cyclin Dependent Kinase Inhibitors. Molecules 2020, 25, 2220. https://doi.org/10.3390/molecules25092220
Abdalla AN, Abdallah ME, Aslam A, Bader A, Vassallo A, Tommasi ND, Malki WH, Gouda AM, Mukhtar MH, El-Readi MZ, et al. Synergistic Anti Leukemia Effect of a Novel Hsp90 and a Pan Cyclin Dependent Kinase Inhibitors. Molecules. 2020; 25(9):2220. https://doi.org/10.3390/molecules25092220
Chicago/Turabian StyleAbdalla, Ashraf N., Mohamed E. Abdallah, Akhmed Aslam, Ammar Bader, Antonio Vassallo, Nunziatina De Tommasi, Waleed H. Malki, Ahmed M. Gouda, Mohammed H. Mukhtar, Mahmoud Zaki El-Readi, and et al. 2020. "Synergistic Anti Leukemia Effect of a Novel Hsp90 and a Pan Cyclin Dependent Kinase Inhibitors" Molecules 25, no. 9: 2220. https://doi.org/10.3390/molecules25092220
APA StyleAbdalla, A. N., Abdallah, M. E., Aslam, A., Bader, A., Vassallo, A., Tommasi, N. D., Malki, W. H., Gouda, A. M., Mukhtar, M. H., El-Readi, M. Z., Alkahtani, H. M., Abdel-Aziz, A. A.-M., & El-Azab, A. S. (2020). Synergistic Anti Leukemia Effect of a Novel Hsp90 and a Pan Cyclin Dependent Kinase Inhibitors. Molecules, 25(9), 2220. https://doi.org/10.3390/molecules25092220

