The Antiproliferative Activity of Oxypeucedanin via Induction of G2/M Phase Cell Cycle Arrest and p53-Dependent MDM2/p21 Expression in Human Hepatoma Cells
Abstract
1. Introduction
2. Results
2.1. Antiproliferative Effects of Oxypeucedanin (OPD) in SK-Hep-1 Human Hepatoma Cells
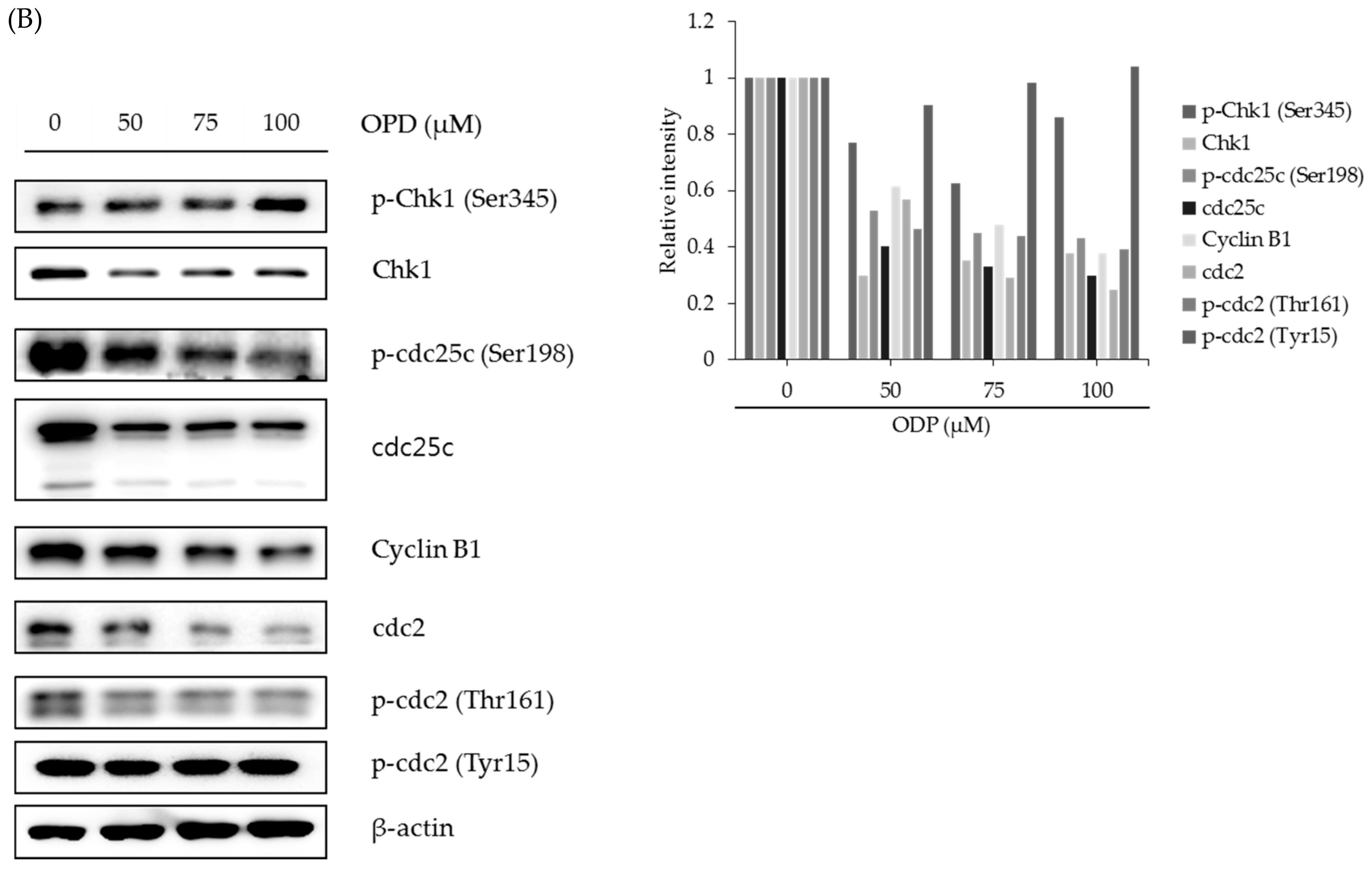
2.2. Effects of OPD on the Cell Cycle Distribution of SK-Hep-1 Cells
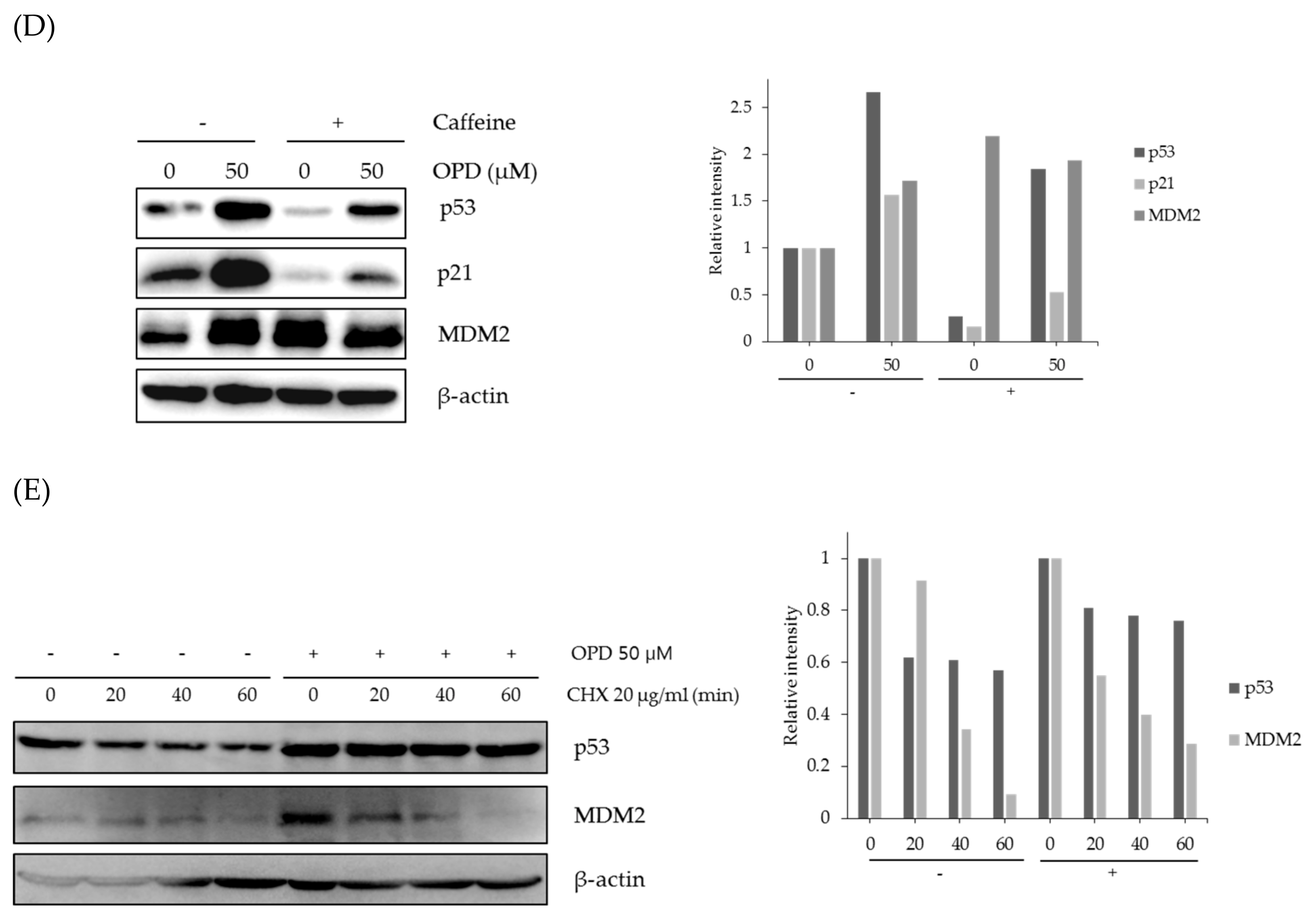
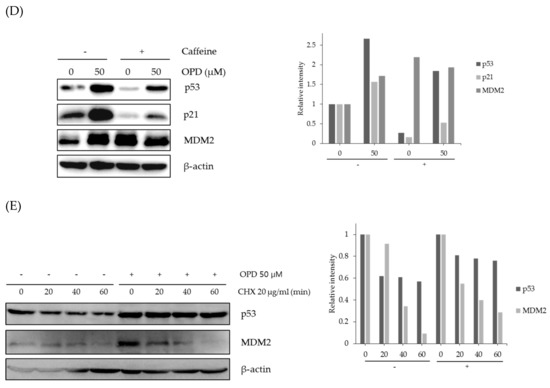
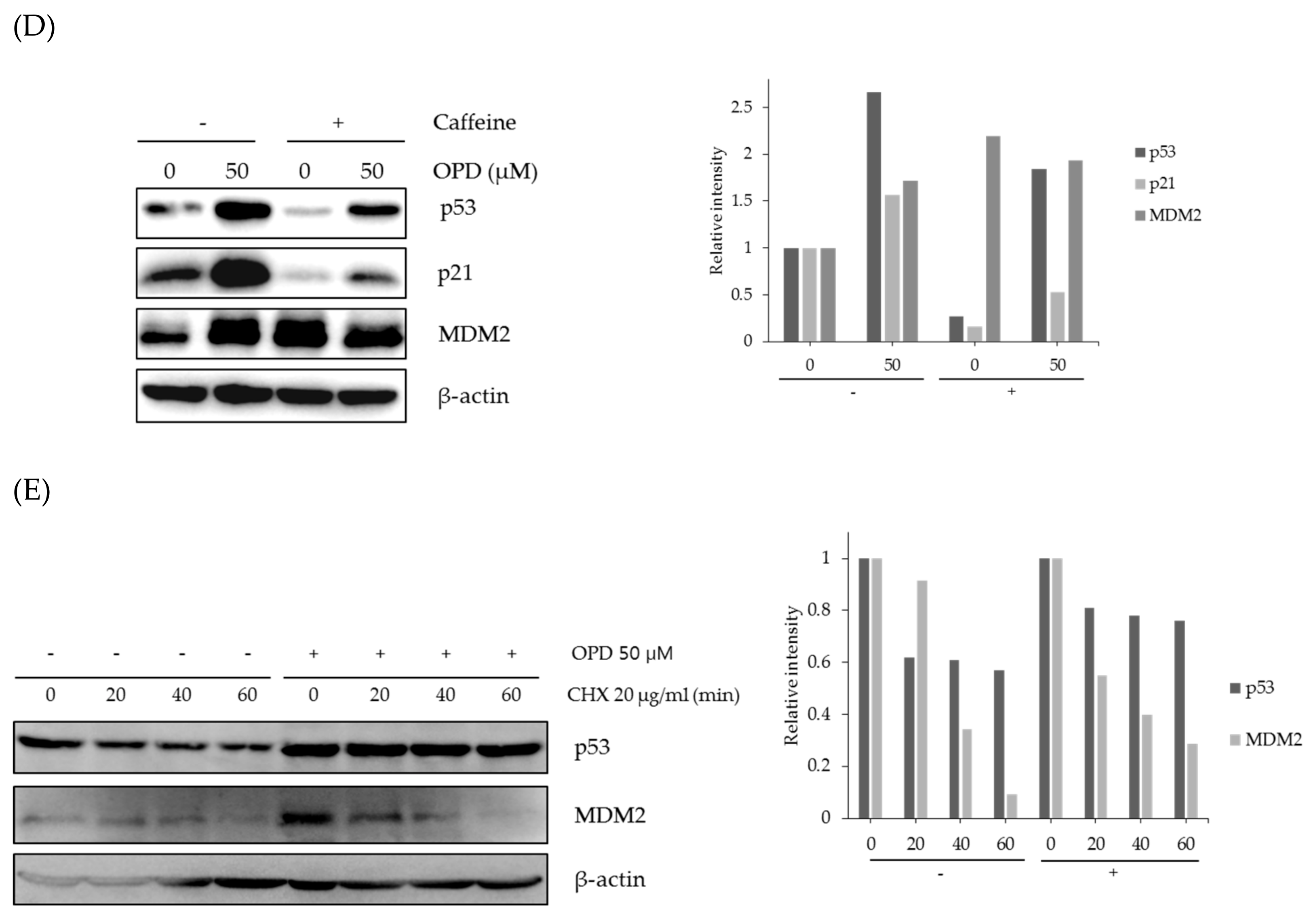
2.3. Effects of OPD on the Regulation of p53-associated Signaling Pathways in SK-Hep-1 Cells
2.4. Effects of OPD on Cell Proliferation Depending on the p53 Status in Hepatoma Cells
2.5. Effects of OPD in Combination with Gemcitabine on the Cell Proliferation of SK-Hep-1 Cells
3. Materials and Methods
3.1. Chemicals
3.2. Cell Culture
3.3. Cell Proliferation Assay
3.4. Cell Cycle Analysis
3.5. Western Blot Analysis
3.6. RNA Interference
3.7. Combination Assay
3.8. Statistical Analysis
4. Conclusions
Author Contributions
Funding
Conflicts of Interest
References
- Jemal, A.; Bray, F.; Center, M.M.; Ferlay, J.; Ward, E.; Forman, D. Global cancer statistics. Ca. Cancer. J. Clin. 2011, 61, 69–90. [Google Scholar] [CrossRef]
- Llovet, J.M.; Burroughs, A.; Bruix, J. Hepatocellular carcinoma. Lancet 2003, 362, 1907–1917. [Google Scholar] [CrossRef]
- Bruix, J.; Sherman, M. Management of hepatocellular carcinoma. Hepatology 2005, 42, 1208–1236. [Google Scholar] [CrossRef] [PubMed]
- Bruix, J.; Sherman, M.; Llovet, J.M.; Beaugrand, M.; Lencioni, R.; Burroughs, A.K.; Christensen, E.; Pagliaro, L.; Colombo, M.; Rodes, J. Clinical management of hepatocellular carcinoma. Conclusions of the barcelona-2000 easl conference. European association for the study of the liver. J. Hepatol. 2001, 35, 421–430. [Google Scholar] [CrossRef]
- Llovet, J.M.; Bruix, J. Systematic review of randomized trials for unresectable hepatocellular carcinoma: Chemoembolization improves survival. Hepatology 2003, 37, 429–442. [Google Scholar] [CrossRef]
- Bai, Y.; Li, D.; Zhou, T.; Qin, N.; Li, Z.; Yu, Z.; Hua, H. Coumarins from the roots of angelica dahurica with antioxidant and antiproliferative activities. J. Funct. Foods 2016, 20, 453–462. [Google Scholar] [CrossRef]
- Wall, M.E.; Wani, M.C.; Manikumar, G.; Hughes, T.J.; Taylor, H.; McGivney, R.; Warner, J. Plant antimutagenic agents, 3. Coumarins. J. Nat. Prod. 1988, 51, 1148–1152. [Google Scholar] [CrossRef]
- Cai, Y.; Baer-Dubowska, W.; Ashwood-Smith, M.; DiGiovanni, J. Inhibitory effects of naturally occurring coumarins on the metabolic activation of benzo[a]pyrene and 7,12-dimethylbenz[a]anthracene in cultured mouse keratinocytes. Carcinogenesis 1997, 18, 215–222. [Google Scholar] [CrossRef]
- Oh, H.; Lee, H.S.; Kim, T.; Chai, K.Y.; Chung, H.T.; Kwon, T.O.; Jun, J.Y.; Jeong, O.S.; Kim, Y.C.; Yun, Y.G. Furocoumarins from angelica dahurica with hepatoprotective activity on tacrine-induced cytotoxicity in hep g2 cells. Planta Med. 2002, 68, 463–464. [Google Scholar] [CrossRef]
- Branzei, D.; Foiani, M. Regulation of DNA repair throughout the cell cycle. Nat. Rev. Mol. Cell Biol. 2008, 9, 297–308. [Google Scholar] [CrossRef]
- Goodarzi, A.A.; Block, W.D.; Lees-Miller, S.P. The role of atm and atr in DNA damage-induced cell cycle control. Prog. Cell Cycle Res. 2003, 5, 393–411. [Google Scholar] [PubMed]
- Zhivotovsky, B.; Kroemer, G. Apoptosis and genomic instability. Nat. Rev. Mol. Cell Biol. 2004, 5, 752–762. [Google Scholar] [CrossRef] [PubMed]
- Hartwell, L.H.; Kastan, M.B. Cell cycle control and cancer. Science 1994, 266, 1821–1828. [Google Scholar] [CrossRef] [PubMed]
- Molinari, M. Cell cycle checkpoints and their inactivation in human cancer. Cell Prolif. 2000, 33, 261–274. [Google Scholar] [CrossRef]
- Levine, A.J. P53, the cellular gatekeeper for growth and division. Cell 1997, 88, 323–331. [Google Scholar] [CrossRef]
- Dai, Y.; Grant, S. New insights into checkpoint kinase 1 in the DNA damage response signaling network. Clin. Cancer Res. 2010, 16, 376–383. [Google Scholar] [CrossRef]
- Jessus, C.; Ozon, R. Function and regulation of cdc25 protein phosphate through mitosis and meiosis. Prog. Cell Cycle Res. 1995, 1, 215–228. [Google Scholar]
- Blasina, A.; de Weyer, I.V.; Laus, M.C.; Luyten, W.H.; Parker, A.E.; McGowan, C.H. A human homologue of the checkpoint kinase cds1 directly inhibits cdc25 phosphatase. Curr. Biol. 1999, 9, 1–10. [Google Scholar] [CrossRef]
- Furnari, B.; Blasina, A.; Boddy, M.N.; McGowan, C.H.; Russell, P. Cdc25 inhibited in vivo and in vitro by checkpoint kinases cds1 and chk1. Mol. Biol. Cell 1999, 10, 833–845. [Google Scholar] [CrossRef]
- Porter, L.A.; Donoghue, D.J. Cyclin b1 and cdk1: Nuclear localization and upstream regulators. Prog. Cell Cycle Res. 2003, 5, 335–347. [Google Scholar]
- Chehab, N.H.; Malikzay, A.; Stavridi, E.S.; Halazonetis, T.D. Phosphorylation of ser-20 mediates stabilization of human p53 in response to DNA damage. Proc. Natl. Acad. Sci. USA 1999, 96, 13777–13782. [Google Scholar] [CrossRef] [PubMed]
- Unger, T.; Juven-Gershon, T.; Moallem, E.; Berger, M.; Vogt Sionov, R.; Lozano, G.; Oren, M.; Haupt, Y. Critical role for ser20 of human p53 in the negative regulation of p53 by mdm2. Embo J. 1999, 18, 1805–1814. [Google Scholar] [CrossRef] [PubMed]
- Yuan, J.; Luo, K.; Zhang, L.; Cheville, J.C.; Lou, Z. Usp10 regulates p53 localization and stability by deubiquitinating p53. Cell 2010, 140, 384–396. [Google Scholar] [CrossRef] [PubMed]
- Hall-Jackson, C.A.; Cross, D.A.; Morrice, N.; Smythe, C. Atr is a caffeine-sensitive, DNA-activated protein kinase with a substrate specificity distinct from DNA-pk. Oncogene 1999, 18, 6707–6713. [Google Scholar] [CrossRef]
- Nghiem, P.; Park, P.K.; Kim, Y.; Vaziri, C.; Schreiber, S.L. Atr inhibition selectively sensitizes g1 checkpoint-deficient cells to lethal premature chromatin condensation. Proc. Natl. Acad. Sci. USA 2001, 98, 9092–9097. [Google Scholar] [CrossRef]
- Jin, L.; Li, C.; Xu, Y.; Wang, L.; Liu, J.; Wang, D.; Hong, C.; Jiang, Z.; Ma, Y.; Chen, Q.; et al. Epigallocatechin gallate promotes p53 accumulation and activity via the inhibition of mdm2-mediated p53 ubiquitination in human lung cancer cells. Oncol. Rep. 2013, 29, 1983–1990. [Google Scholar] [CrossRef]
- Kang, T.J.; Lee, S.Y.; Singh, R.P.; Agarwal, R.; Yim, D.S. Anti-tumor activity of oxypeucedanin from ostericum koreanum against human prostate carcinoma du145 cells. Acta Oncol. 2009, 48, 895–900. [Google Scholar] [CrossRef]
- Kimura, Y.; Sumiyoshi, M.; Sakanaka, M.; Taniguchi, M.; Baba, K. In vitro and in vivo antiproliferative effect of a combination of ultraviolet-a and alkoxy furocoumarins isolated from umbelliferae medicinal plants, in melanoma cells. Photochem. Photobiol. 2013, 89, 1216–1225. [Google Scholar] [CrossRef]
- Greenblatt, M.S.; Bennett, W.P.; Hollstein, M.; Harris, C.C. Mutations in the p53 tumor suppressor gene: Clues to cancer etiology and molecular pathogenesis. Cancer Res. 1994, 54, 4855–4878. [Google Scholar]
- Hollstein, M.; Sidransky, D.; Vogelstein, B.; Harris, C.C. P53 mutations in human cancers. Science 1991, 253, 49–53. [Google Scholar] [CrossRef]
- Dai, C.; Gu, W. P53 post-translational modification: Deregulated in tumorigenesis. Trends Mol. Med. 2010, 16, 528–536. [Google Scholar] [CrossRef] [PubMed]
- Carmichael, J. The role of gemcitabine in the treatment of other tumours. Br. J. Cancer 1998, 78 (Suppl. 3), 21–25. [Google Scholar] [CrossRef]
- Nabhan, C.; Krett, N.; Gandhi, V.; Rosen, S. Gemcitabine in hematologic malignancies. Curr. Opin. Oncol. 2001, 13, 514–521. [Google Scholar] [CrossRef] [PubMed]
- Arlander, S.J.; Eapen, A.K.; Vroman, B.T.; McDonald, R.J.; Toft, D.O.; Karnitz, L.M. Hsp90 inhibition depletes chk1 and sensitizes tumor cells to replication stress. J. Biol. Chem. 2003, 278, 52572–52577. [Google Scholar] [CrossRef] [PubMed]
- Chen, L.; Jian, Y.; Wei, N.; Yuan, M.; Zhuang, X.; Li, H. Separation and simultaneous quantification of nine furanocoumarins from radix angelicae dahuricae using liquid chromatography with tandem mass spectrometry for bioavailability determination in rats. J. Sep. Sci. 2015, 38, 4216–4224. [Google Scholar] [CrossRef] [PubMed]
- Vichai, V.; Kirtikara, K. Sulforhodamine b colorimetric assay for cytotoxicity screening. Nat. Protoc. 2006, 1, 1112–1116. [Google Scholar] [CrossRef] [PubMed]
- Smith, P.K.; Krohn, R.I.; Hermanson, G.; Mallia, A.; Gartner, F.; Provenzano, M.; Fujimoto, E.; Goeke, N.; Olson, B.; Klenk, D. Measurement of protein using bicinchoninic acid. Anal. Biochem. 1985, 150, 76–85. [Google Scholar] [CrossRef]
- Byun, W.S.; Kim, W.K.; Han, H.J.; Chung, H.-J.; Jang, K.; Kim, H.S.; Kim, S.; Kim, D.; Bae, E.S.; Park, S. Targeting histone methyltransferase dot1l by a novel psammaplin a analog inhibits growth and metastasis of triple-negative breast cancer. Mol. Ther. -Oncolytics 2019, 15, 140–152. [Google Scholar] [CrossRef]









| Compounds | MDA-MB-231 a | T47D | SNU638 | SK-Hep-1 | A549 |
|---|---|---|---|---|---|
| Isoimperatorin | >100 | >100 | 90.2 | >100 | >100 |
| Byakangelicol | 74.7 b | 46.0 | 50.0 | 72.1 | 41.1 |
| Oxypeucedanin | 50.8 | 95.5 | 50.4 | 32.4 | 46.3 |

| Compounds | R | IC50 (μM) |
|---|---|---|
| Oxypeucedanin | ![]() | 32.4 |
| Isooxypeucedanin | ![]() | 91.5 |
| Oxypeucedanin hydrate | ![]() | 81.0 |
| Oxypeucedanin methanolate | ![]() | 77.4 |
| Range of Combination Index | Description | Symbols |
|---|---|---|
| <0.1 | Very strong synergism | +++++ |
| 0.1–0.3 | Strong synergism | ++++ |
| 0.3–0.7 | Synergism | +++ |
| 0.7–0.85 | Moderative synergism | ++ |
| 0.85–0.90 | Slight synergism | + |
| 0.90–1.10 | Nearly addictive | ± |
| 1.10–1.20 | Slight antagonism | − |
| 1.20–1.45 | Moderate antagonism | −− |
| 1.45–3.3 | Antagonism | −−− |
| 3.3–10 | Strong antagonism | −−−− |
| >10 | Very strong antagonism | −−−−− |
© 2020 by the authors. Licensee MDPI, Basel, Switzerland. This article is an open access article distributed under the terms and conditions of the Creative Commons Attribution (CC BY) license (http://creativecommons.org/licenses/by/4.0/).
Share and Cite
Park, S.H.; Hong, J.-Y.; Park, H.J.; Lee, S.K. The Antiproliferative Activity of Oxypeucedanin via Induction of G2/M Phase Cell Cycle Arrest and p53-Dependent MDM2/p21 Expression in Human Hepatoma Cells. Molecules 2020, 25, 501. https://doi.org/10.3390/molecules25030501
Park SH, Hong J-Y, Park HJ, Lee SK. The Antiproliferative Activity of Oxypeucedanin via Induction of G2/M Phase Cell Cycle Arrest and p53-Dependent MDM2/p21 Expression in Human Hepatoma Cells. Molecules. 2020; 25(3):501. https://doi.org/10.3390/molecules25030501
Chicago/Turabian StylePark, So Hyun, Ji-Young Hong, Hyen Joo Park, and Sang Kook Lee. 2020. "The Antiproliferative Activity of Oxypeucedanin via Induction of G2/M Phase Cell Cycle Arrest and p53-Dependent MDM2/p21 Expression in Human Hepatoma Cells" Molecules 25, no. 3: 501. https://doi.org/10.3390/molecules25030501
APA StylePark, S. H., Hong, J.-Y., Park, H. J., & Lee, S. K. (2020). The Antiproliferative Activity of Oxypeucedanin via Induction of G2/M Phase Cell Cycle Arrest and p53-Dependent MDM2/p21 Expression in Human Hepatoma Cells. Molecules, 25(3), 501. https://doi.org/10.3390/molecules25030501





