Effects and Characterization of Some Topical Ointments Based on Vegetal Extracts on Incision, Excision, and Thermal Wound Models
Abstract
1. Introduction
2. Results
2.1. Determination of Total Polyphenol Content
2.2. HPLC Analysis
2.3. Rheological Characterization
2.4. Wound Healing Evaluation Parameters
2.4.1. Period of Re-Epithelialization and Wound Contraction Rate (WCR)
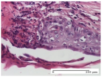
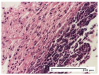
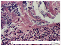
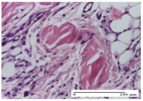
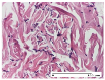
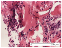
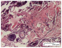
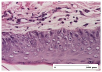
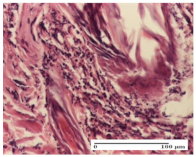
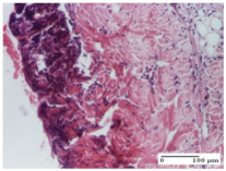
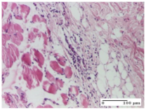
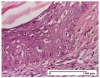
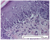
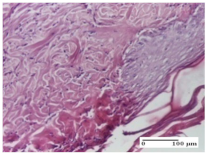
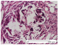
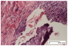
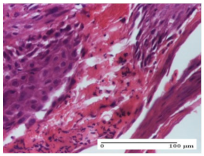
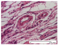
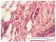
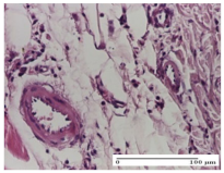
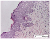
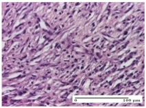
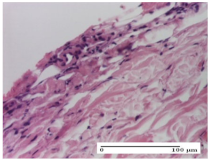
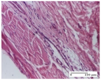
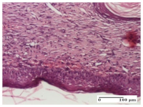
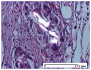
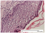
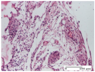
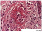
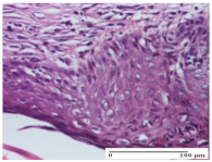
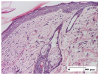
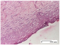
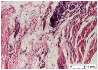
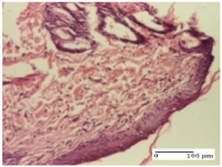
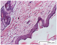
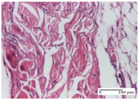
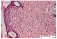
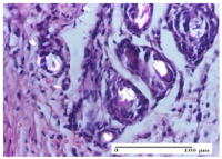
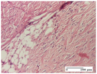
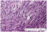
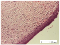
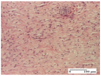
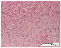
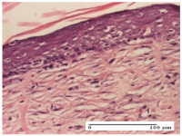
2.4.2. Histological Examination
3. Discussion
4. Materials and Methods
4.1. Plant Material
4.2. Preparation of the Oily and Hydro-Alcoholic Extracts
4.3. Preparation of the Ointments
4.4. Chemical Reagents
4.5. Determination of Total Polyphenol Content
4.6. HPLC Analysis
4.7. Rheological Characterization of Ointments
4.8. Animal Experiment
4.9. Statistical Analysis
5. Conclusions
Author Contributions
Funding
Conflicts of Interest
References
- Ito, H.; Asmussen, S.; Traber, D.L.; Cox, R.A.; Hawkins, H.K.; Connelly, R.; Traber, L.D.; Walker, T.W.; Malgerud, E.; Sakurai, H.; et al. Healing efficacy of sea buckthorn (Hippophae rhamnoides L.) seed oil in an ovine burn wound model. Burns 2014, 40, 511–519. [Google Scholar] [PubMed]
- Gregory, S.R.; Piccolo, N.; Piccolo, M.T.; Piccolo, M.S.; Heggers, J.P. Comparison of propolis skin cream to silver sulfadiazine: A naturopathic alternative to antibiotics in treatment of minor burns. J. Altern. Complement. Med. 2008, 8, 77–83. [Google Scholar]
- Fuller, F.W. The side effects of silver sulfadiazine. J. Burn. Care Res. 2009, 30, 464–470. [Google Scholar] [PubMed]
- Cheng, J.; Kondo, K.; Suzuki, Y.; Ikeda, Y.; Meng, X.; Umemura, K. Inhibitory effects of total flavones of Hippophae rhamnoides L. on thrombosis in mouse femoral artery and in vitro platelet aggregation. Life Sci. 2003, 72, 2263–2271. [Google Scholar] [PubMed]
- Xue, M.; Jackson, C. Extracellular matrix reorganization during wound healing and its impact on abnormal scar. Adv. Wound Care 2015, 4, 119–136. [Google Scholar]
- Chan, Y.S.; Cheng, L.N.; Wu, J.H.; Chan, E.; Kwan, Y.W.; Lee, S.M.; Leung, G.P.; Yu, P.H.; Chan, S.W. A review of the pharmacological effects of Arctium lappa (burdock). Inflammopharmacology 2011, 19, 245–254. [Google Scholar] [PubMed]
- Dias, M.I.; Barros, L.; Duenas, M.; Pereira, E.; Carvalho, A.M.; Alves, R.C.; Oliveira, M.B.; Santos-Buelga, C.; Ferreira, I.C. Chemical composition of wild and commercial Achillea millefolium L. and bioactivity of the methanolic extract, infusion and decoction. Food Chem. 2013, 141, 4152–4160. [Google Scholar] [PubMed]
- Carlotto, J.; da Silva, L.M.; Dartora, N.; Maria-Ferreira, D.; de Sabry, D.; Filho, A.; de Paula Werner, M.; Sassaki, G.; Gorin, P.; Iacomini, M.; et al. Identification of a dicaffeoylquinic acid isomer from Arctium lappa with a potent anti-ulcer activity. Talanta 2015, 13, 50–57. [Google Scholar]
- Menda, J.; Reddy, T.; Deepika, R.; Pandima, D.; Sastry, T.P. Preparation and characterization of wound healing composites of chitosan, Aloe vera and Calendula officinalis—A comparative study. AJPCT 2014, 2, 61–76. [Google Scholar]
- Bahramsoltani, R.; Farzaei, M.H.; Rahimi, R. Medicinal plants and their natural components as future drugs for the treatment of burn wounds: An integrative review. Arch. Dermatol. 2014, 306, 601–617. [Google Scholar]
- Hostanska, K.; Rostock, M.; Melzer, J.; Baumgartner, S.; Saller, R. A homeopathic remedy from arnica, marigold, St. John’s wort and comfrey accelerates in vitro wound scratch closure of NIH 3T3 fibroblasts. BMC Complement. Altern. Med. 2012, 12, 100. [Google Scholar]
- Upadhyay, N.K.; Kumar, R.; Mandotra, S.K.; Meena, R.N.; Siddiqui, M.S.; Sawhney, R.C.; Gupta, A. Safety and healing efficacy of sea buckthorn (Hippophae rhamnoides L.) seed oil on burn wounds in rats. Food Chem. Toxicol. 2009, 47, 1146–1153. [Google Scholar] [PubMed]
- Yang, B.; Kallio, H. Effects of sea buckthorn oil on skin. Asia Pac. Pers. Care 2003, 4, 46–49. [Google Scholar]
- Yang, B.; Wu, Y.; Liu, Q.; Wang, B.; Kang, J.; Wang, J.; Kallio, H. Supercritical CO2 extracted Seabuckthorn pulp oil and seed oil improve microcirculation. In Seabuckthorn (Hippophae L.): A Multipurpose Wonder Plant; Singh, V., Kallio, H., Eds.; Daya Publishing House: Delhi, India, 2008; Volume 3, pp. 268–271. [Google Scholar]
- Basu, M.; Prasad, R.; Jayamurthy, P. Anti-atherogenic effects of sea buckthorn (Hippophae rhamnoides) seed oil. Phytomedicine 2007, 14, 770–777. [Google Scholar] [PubMed]
- Upadhyay, N.K.; Kumar, R.; Siddiqui, M.S.; Gupta, A. Mechanism of wound-healing activity of Hippophae rhamnoides L. leaf extract in experimental burns. Evid. Based Complement. Altern. Med. 2011, 2011, 659705. [Google Scholar]
- Nand, P.; Drabu, S.; Gupta, R. In vitro antibacterial and antioxidant potential of medicinal plants used in the treatment of acne. Int. J. Pharm. Pharm. Sci. 2012, 4, 185–190. [Google Scholar]
- Parente, L.M.; Lino Júnior, R.; Tresvenzol, L.M.; Vinaud, M.C.; de Paula, J.R.; Paulo, N.M. Wound healing and anti-inflammatory effect in animal models of Calendula officinalis L. growing in Brazil. Evid. Based Complement. Altern. Med. 2012, 2012, 375671. [Google Scholar]
- Tanideh, N.; Tavakoli, P.; Saghiri, M.A.; Garcia-Godoy, F.; Amanat, D.; Tadbir, A.A.; Samani, S.M.; Tamadon, A. Healing acceleration in hamsters of oral mucositis induced by 5-fluorouracil with topical Calendula officinalis. Oral Surg Oral Med. Oral Pathol. Oral Radiol. 2013, 115, 332–338. [Google Scholar]
- Efstratiou, E.; Hussain, A.; Nigam, P.; Moore, J.; Ayub, M.; Rao, J. Antimicrobial activity of Calendula officinalis petal extracts against fungi, as well as Gram-negative and Gram-positive clinical pathogens. Complement. Ther. Clin. Pract. 2012, 18, 173–176. [Google Scholar]
- Parsaeimehr, A.; Chen, Y.F.; Sargsyan, E. Bioactive molecules of herbal extracts with anti-infective and wound healing properties. In Microbiology for Surgical Infections: Diagnosis, Prognosis and Treatment; Kon, K., Rai, M., Eds.; Elsevier Academic Press: Amsterdam, The Netherlands, 2014; pp. 205–220. [Google Scholar]
- Fronza, M.; Heinzmann, B.; Hamburger, M.; Laufer, S.; Merfort, I. Determination of the wound healing effect of Calendula extracts using the scratch assay with 3T3 fibroblasts. J. Ehnopharmacol. 2009, 126, 463–467. [Google Scholar]
- Nicolaus, C.; Junghanns, S.; Hartmann, A.; Murillo, R.; Ganzera, M.; Merfort, I. In vitro studies to evaluate the wound healing properties of Calendula officinalis extracts. J. Ehnopharmacol. 2017, 196, 94–103. [Google Scholar] [CrossRef] [PubMed]
- Parente, L.M.; Andrade, M.A.; Brito, L.A.; Moura, V.M.; Miguel, M.P.; Lino Júnior, R.; Tresvenzol, L.M.; de Paula, J.R.; Paulo, N.M. Angiogenic activity of Calendula officinalis flowers L. in rats. Acta Cir. Bras. 2011, 26, 19–24. [Google Scholar] [CrossRef] [PubMed]
- Chen, W.C.; Liou, S.S.; Tzeng, T.F.; Lee, S.L.; Liu, I.M. Effect of topical application of chlorogenic acid on excision wound healing in rats. Planta Med. 2013, 79, 616–621. [Google Scholar] [CrossRef] [PubMed]
- Burlando, B.; Verotta, L.; Cornara, L.; Bottini-Massa, E. Herbal Principles in Cosmetics: Properties and Mechanisms of Action; CRC Press: New York, NY, USA, 2010; pp. 97–101. [Google Scholar]
- Potrich, F.B.; Allemand, A.; Mota da Silva, L.; Dos Santos, A.C.; Baggio, C.H.; Freitas, C.S.; Mendes, D.A.; Andre, E.; Werner, M.F.; Marques, M.C. Antiulcerogenic activity of hydroalcoholic extract of Achillea millefolium L.: Involvement of the antioxidant system. J. Ethnopharmacol. 2010, 130, 85–92. [Google Scholar] [CrossRef] [PubMed]
- Shah, R.; Peethambaran, B. Anti-inflammatory and anti-microbial properties of Achillea millefolium in acne treatment. In Immunity and Inflammation in Health and Disease; Chatterjee, S., Jungraithmayr, W., Bagchi, D., Eds.; Elsevier Academic Press: Amsterdam, The Netherlands, 2018; pp. 241–248. [Google Scholar]
- Denisow-Pietrzyk, M.; Pietrzyk, L.; Denisow, B. Asteraceae species as potential environmental factors of allergy. Environ. Sci. Pollut. Res. 2019, 26, 6290–6300. [Google Scholar] [CrossRef] [PubMed]
- Ibănescu, C.; Danu, M.; Nanu, A.; Lungu, M.; Simionescu, B.C. Stability of disperse systems estimated using rheological oscillatory shear tests. Rev. Roum. Chim. 2010, 55, 933–940. [Google Scholar]
- Draganescu, D.; Ibănescu, C.; Tamba, B.I.; Andrițoiu, C.V.; Dodi, G.; Popa, M.I. Flaxeed lignin wound healing formulation: Characterization and in vivo therapeutic evaluation. Int. J. Biol. Macromol. 2015, 2, 614–623. [Google Scholar] [CrossRef]
- Lungu Apetrei, C.; Tuchiluş, C.; Aprotosoaie, A.C.; Oprea, A.; Malterud, K.E.; Miron, A. Chemical, antioxidant and antimicrobial investigations of Pinus cembra L. bark and needles. Molecules 2011, 16, 7773–7788. [Google Scholar] [CrossRef]
- Khalaf, I.; Vlase, L.; Ivanescu, B.; Lazar, D.; Corciova, A. HPLC analysis of polyphenolic compounds, phytoestrogens and sterols from Glycyrrhiza glabra L. tincture. Stud. Univ. Babes Bolyai Chem. 2012, 57, 113–118. [Google Scholar]
- Ivanescu, B.; Lungu, C.; Vlase, L.; Gheldiu, A.M.; Grigorescu, C.; Corciova, A. Bioactive compounds from Artemisia campestris L. subsp. campestris. Rev. Chim. 2018, 69, 3076–3081. [Google Scholar] [CrossRef]
- Danu, M.; Rotaru, I.; Ibănescu, C.; Hurduc, N.; Ibănescu, S.A.; Simionescu, B.C. Gluten content influence on rheological behavior of starch-gluten networks. Environ. Eng. Manag. J. 2012, 11, 1883–1888. [Google Scholar]
- Süntar, I.P.; Akkol, E.K.; Yilmazer, D.; Baykal, T.; Kirmizibekmez, H.; Alper, M.; Yeşilada, E. Investigations on the in vivo wound healing potential of Hypericum perforatum L. J. Ethnopharmacol. 2010, 127, 468–477. [Google Scholar] [CrossRef] [PubMed]
- De Mesquita, C.J.; Leite, J.A.; Fechine, F.V.; de Rocha, J.L.C.; Leite, J.G.; Leite Filho, J.A.; Barbosa Filho, R.C. Effect of imiquimod on partial-thickness burns. Burns 2010, 36, 97–108. [Google Scholar] [CrossRef]
- Clark, M.; Peters-Kennedy, J.; Scott, D. Resident lymphocytes in the epidermis and adnexal epithelia of normal dorsolateral thorax of alpacas. Can. J. Vet. Res. 2013, 77, 63–65. [Google Scholar] [PubMed]
- Agbaje, M.; Rutland, C.; Maboni, G.; Blanchard, A.; Bexon, M.; Stewart, C.; Jone, M.; Totemeyer, S. Novel inflammatory cell infiltration scoring system to investigate healthy and footrot affected ovine interdigital skin. PeerJ 2018, 6, e5097. [Google Scholar] [CrossRef]






| Polyphenols | Arctium lappa | Achillea millefolium | Calendula officinalis | |||
|---|---|---|---|---|---|---|
| MS | Conc. | MS | Conc. | MS | Conc. | |
| Gentisic acid | * | |||||
| Caffeic acid | 0.74 | 1.63 | 1.74 | |||
| Chlorogenic acid | * | 339.06 | * | 238.57 | * | 46.35 |
| p-coumaric acid | * | - | ||||
| Ferulic acid | * | 0.153 | ||||
| Hyperoside | * | - | ||||
| Isoquercitrin | * | - | * | 9.905 | ||
| Rutoside | * | 99.279 | * | 1.599 | * | 7.983 |
| Quercitrin | * | 1.487 | * | - | ||
| Quercetin | * | 0.394 | ||||
| Luteolin | * | 7.796 | ||||
| Apigenin | * | 3.226 | ||||
| Methoxylated Flavonoids | Arctium lappa | Achillea millefolium | Calendula officinalis |
|---|---|---|---|
| Acacetin | - | 107.12 | - |
| Casticin | - | 63.56 | - |
| Hispidulin | - | 877.78 | - |
| Sterols | Arctium lappa | Achillea millefolium | Calendula officinalis |
|---|---|---|---|
| Stigmasterol | - | 1.036 | 1.584 |
| Beta-sitosterol | 1.139 | 7.700 | 3.264 |
| Campesterol | - | 0.3121 | 0.116 |
| Brassicasterol | - | 0.166 | - |
| Experimental Groups | Wound Area (mm2) | The Re-Epithelialization Area (mm) | WCR (%) (Mean ± SEM) | |||
|---|---|---|---|---|---|---|
| Day 0 | Day 6 | Day 9 | Day 12 | Day 6 | Day 9 | |
| HR Group | 64 | 36 | 7.5 | 2 × 2.5 | 69.38 ± 0.83 | 88.23 ± 0.49 |
| (8 × 8) | (6 × 6) | (2.5 × 3) | ||||
| CO Group | 64 | 28 | 5 | 1.5 × 2 | 57.29 ± 1.80 * | 92.70 ± 0.47 * |
| (8 × 8) | (4 × 7) | (2 × 2.5) | ||||
| AL Group | 64 | 15 | 3.4 | 1 ×2 | 77.66 ± 0.68 | 94.29 ± 0.26 |
| (8 × 8) | (3 × 5) | (1.7 × 2) | ||||
| AM Group | 64 | 32.5 | 7.5 | 2 × 3 | 51.30 ± 1.14 | 87.50 ± 0.41 |
| (8 × 8) | (5 × 6.5) | (2.5 × 3) | ||||
| OB Group | 64 | 45.5 | 40.8 | - | 26.74 ± 2.13 * | 33.79 ± 2.21 * |
| (8 × 8) | (6.5 × 7) | (6 × 6.8) | ||||
| NC Group | 64 | 61.6 | 56.25 | - | 5.78 ± 1.86 | 14.85 ± 2.95 |
| (8 × 8) | (7.7 × 8) | (7.5 × 7.5) | ||||
| Experimental Groups | Experimental Models | ||
|---|---|---|---|
| Incision | Excision | Thermal Burn | |
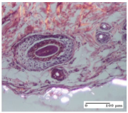
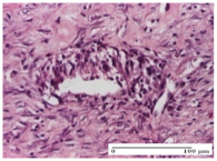
| NC Group | ![]() | ![]() | ![]() |
| abscess with epidermal ulceration, Score 3 | purulent exudate, Score 3 | ulceration and bacterial colonies, Score 3 | |
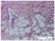
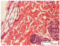
| OB Group | ![]() | ![]() | ![]() |
| inflammatory infiltration in hypodermis, striated muscle, Score 1 | adipose tissue with inflammation, Score 2 | dermal edema, Score 1 | |
| HR Group | ![]() | ![]() | ![]() |
| lymphocytes arranged around capillary and intramuscular blood vessels, Score 3 | numerous lymphocytes, polymorphonuclear cells, Score 3 | inflammatory infiltrate in the muscular layer, Score 1 | |
| CO Group | ![]() | ![]() | ![]() |
| lymphocytes in superficial dermis, Score 1 | fibrosis and lymphocytic infiltration, Score 1 | ulcerated epithelium, Score 3 | |
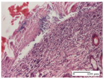
| AL Group | ![]() | ![]() | ![]() |
| vascular congestion and perivascular lymphocytes, Score 1 | inflammatory infiltrate in the hypodermis, Score 1 | periadnexal inflammatory infiltrate, Score 2 | |
| AM Group | ![]() | ![]() | ![]() |
| perivascular inflammatory infiltrate, Score 1 | ulcerated epidermis, Score 3 | lymphocytes, hypodermis and muscle, Score 1 | |
| Experimental Group | Experimental Models | ||
|---|---|---|---|
| Incision | Excision | Thermal Burn | |
| NC group | ![]() | ![]() | ![]() |
| vacuolar degeneration, epidermal acanthosis, Score 1 | spongiosis, edema, lymphocytes, fibroblasts, Score 1 | vacuolar degeneration in the epidermis, epidermal ulceration, Score 1 | |
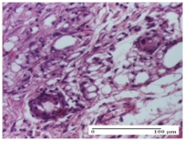
| OB group | ![]() | ![]() | ![]() |
| multinucleated foreign-body giant cells, Score 2 | epidermal ulceration, Score 3 | hemorrhage and abscess, Score 2 | |
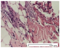
| HR group | ![]() | ![]() | ![]() |
| perivascular lymphocytes, Score 1 | lymphocytes, Score 1 | perivascular lymphocytes, Score 1 | |
| CO group | ![]() | ![]() | ![]() |
| superficial dermal collagenization, Score 2 | area undergoing connective tissue organization, Score 2 | lymphocytes in the dermis, Score 1 | |
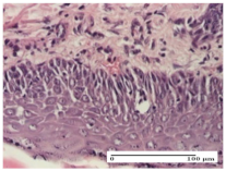
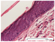
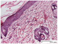
| AL group | ![]() | ![]() | ![]() |
| normal striated muscle, Score 1 | granulation tissue in course of conjunctive organization, Score 1 | normal hair, detail in polarized light microscopy, Score 0 | |
| AM group | ![]() | ![]() | ![]() |
| rare lymphocytes, Score 0 | residual myocytes and inflammatory infiltrate, Score 2 | rare lymphocytes, Score 1 | |
| Experimental Groups | Experimental Models | ||
|---|---|---|---|
| Incision | Excision | Thermal Burn | |
| NC group | ![]() | ![]() | ![]() |
| lymphocytic infiltrate in the hypodermis, Score 2 | congestion, lymphocytic infiltrate in the dermis, Score 2 | inflammatory infiltrate, striated muscle, Score 2 | |
| OB group | ![]() | ![]() | ![]() |
| foreign body-type multinucleated giant cell, detail in polarized light microscopy, Score 1 | multinucleated giant cell, detail in polarized light microscopy, Score 1 | acanthosis and vacuolar degeneration, Score 1 | |
| HR group | ![]() | ![]() | ![]() |
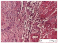
| lymphocytes, capillary congestion, Score 2 | lymphocytes, fibroblasts, Score 2 | dermal collagenization, Score 1 | |
| CO group | ![]() | ![]() | ![]() |
| mild dermal collagenization (collagen fibers with a horizontal and homogenized arrangement), Score 1 | collagenization, Score 1 | significant dermal collagenization, Score 1 | |
| AL group | ![]() | ![]() | ![]() |
| rectilinear epidermis; lymphocytes in the superficial dermis, Score 1 | residual myocytes, in the organized conjunctival area detail, Score 1 | lymphocytes in the superficial dermis, Score 1 | |
| AM group | ![]() | ![]() | ![]() |
| mild dermal collagenization, Score 1 | significant dermal collagenization, detail in polarized light microscopy, Score 1 | dermal collagenization, Score 1 | |
| Experimental Groups | Experimental Models | ||
|---|---|---|---|
| Incision | Excision | Thermal Burn | |
| NC group | ![]() | ![]() | ![]() |
| rich inflammatory infiltrate, predominantly lympho-plasmacytic, Score 3 | dermal edema, Score 2 | vacuolar degeneration, Score 1 | |
| OB group | ![]() | ![]() | ![]() |
| vascular congestion, Score 1 | mild edema, Score 1 | lymphocytes, Score 1 | |
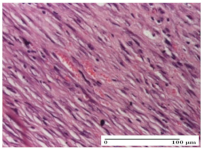
| HR group | ![]() | ![]() | ![]() |
| muscle, Score 1 | dermal collagenization, Score 1 | dermal collagenization, Score 1 | |
| CO group | ![]() | ![]() | ![]() |
| moderate lymphocytic infiltrate; medium dermal collagenization, Score 1 | dermal collagenization, Score 1 | significant dermal collagenization, Score 1 | |
| AL group | ![]() | ![]() | ![]() |
| mature granulation tissue, Score 2 | mature granulation tissue, Score 1 | mature granulation tissue, Score 1 | |
| AM group | ![]() | ![]() | ![]() |
| dermal collagenization, Score 1 | dermal collagenization, Score 1 | dermal collagenization, Score 1 | |
Sample Availability: Sample of the compounds are not available from the authors. | |
Publisher’s Note: MDPI stays neutral with regard to jurisdictional claims in published maps and institutional affiliations. |
© 2020 by the authors. Licensee MDPI, Basel, Switzerland. This article is an open access article distributed under the terms and conditions of the Creative Commons Attribution (CC BY) license (http://creativecommons.org/licenses/by/4.0/).
Share and Cite
Andritoiu, C.V.; Andriescu, C.E.; Ibanescu, C.; Lungu, C.; Ivanescu, B.; Vlase, L.; Havarneanu, C.; Popa, M. Effects and Characterization of Some Topical Ointments Based on Vegetal Extracts on Incision, Excision, and Thermal Wound Models. Molecules 2020, 25, 5356. https://doi.org/10.3390/molecules25225356
Andritoiu CV, Andriescu CE, Ibanescu C, Lungu C, Ivanescu B, Vlase L, Havarneanu C, Popa M. Effects and Characterization of Some Topical Ointments Based on Vegetal Extracts on Incision, Excision, and Thermal Wound Models. Molecules. 2020; 25(22):5356. https://doi.org/10.3390/molecules25225356
Chicago/Turabian StyleAndritoiu, Calin Vasile, Corina Elena Andriescu, Constanta Ibanescu, Cristina Lungu, Bianca Ivanescu, Laurian Vlase, Cornel Havarneanu, and Marcel Popa. 2020. "Effects and Characterization of Some Topical Ointments Based on Vegetal Extracts on Incision, Excision, and Thermal Wound Models" Molecules 25, no. 22: 5356. https://doi.org/10.3390/molecules25225356
APA StyleAndritoiu, C. V., Andriescu, C. E., Ibanescu, C., Lungu, C., Ivanescu, B., Vlase, L., Havarneanu, C., & Popa, M. (2020). Effects and Characterization of Some Topical Ointments Based on Vegetal Extracts on Incision, Excision, and Thermal Wound Models. Molecules, 25(22), 5356. https://doi.org/10.3390/molecules25225356









































































