A Lanosteryl Triterpene (RA-3) Exhibits Antihyperuricemic and Nephroprotective Effects in Rats
Abstract
1. Introduction
2. Results
2.1. Confirmation of the Isolated Lanosteryl Triterepene (RA-3)
2.2. Body Weight Changes
2.3. Changes on Serum Levels of Some Renal Dysfunction Biomarkers
2.4. Serum Levels of Xanthine Oxidase, Uric Acid and Interleukin-6
2.5. Serum Biomarkers of Oxidative Stress
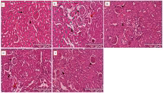
2.6. Histological Analysis of the Kidney Tissues
3. Discussion
4. Materials and Methods
4.1. Reagents
4.2. Plant Extraction and Isolation of the Lanosteryl Triterpene (RA-3)
4.3. Animals
4.4. Preparation of RA-3 Solution
4.5. Investigation of the Antihyperuricemic and Nephroprotective Potential of RA-3
4.5.1. Biochemical Analysis
4.5.2. Histological Analysis of Kidney Tissues
4.6. Data Analysis
5. Conclusions
Author Contributions
Funding
Acknowledgments
Conflicts of Interest
References
- Wang, H.; Naghavi, M.; Allen, C.; Barber, R.M.; Bhutta, Z.A.; Carter, A.; Casey, D.C.; Charlson, F.J.; Chen, A.Z.; Coates, M.M.; et al. Global, regional, and national life expectancy, all-cause mortality, and cause-specific mortality for 249 causes of death, 1980–2015: A systematic analysis for the Global Burden of Disease Study 2015. Lancet 2016, 388, 1459–1544. [Google Scholar] [CrossRef]
- Gong, Q.; He, L.L.; Wang, M.L.; Ouyang, H.; Gao, H.W.; Feng, Y.L.; Yang, S.L.; Du, L.J.; Li, J.; Luo, Y.Y. Anemoside B4 protects rat kidney from adenine-induced injury by attenuating inflammation and fibrosis and enhancing podocin and nephrin expression. Evid. Based Complement. Alternat. Med. 2019. [Google Scholar] [CrossRef] [PubMed]
- Siddama, A.; Suneel, I.M. Drug induced kidney disease. Open Acc. J. Toxicol. 2017. [Google Scholar] [CrossRef]
- Dhodi, D.K.; Bhagat, S.B.; Pathak, D.; Patel, S.B. Drug-induced nephrotoxicity. Int. J. Basic. Clin. Pharmacol. 2014, 3, 591–597. [Google Scholar] [CrossRef]
- Franklin, B.S.; Mangan, M.S.; Latz, E. Crystal formation in inflammation. Annu. Rev. Immunol. 2016, 34, 173–202. [Google Scholar] [CrossRef] [PubMed]
- Xu, X.; Hu, J.; Song, N.; Chen, R.; Zhang, T.; Ding, X. Hyperuricemia increases the risk of acute kidney injury: A systematic review and meta-analysis. BMC Nephrol. 2017, 18, 27. [Google Scholar] [CrossRef]
- Hahn, K.; Kanbay, M.; Lanaspa, M.A.; Johnson, R.J.; Ejazd, A.A. Serum uric acid and acute kidney injury: A mini review. J. Adv. Res. 2017, 8, 529–536. [Google Scholar] [CrossRef]
- Shah, P.B.; Soundararajan, P.; Sathiyasekaran, B.W.C.; Sanjeev, C.; Hegde, S.C. Diuretics for people with chronic kidney disease. Cochrane Database Syst. Rev. 2014, 2014. [Google Scholar] [CrossRef]
- Kim, S.; Kim, H.J.; Ahn, H.S.; Oh, S.W.; Han, K.H.; Um, T.H.; Cho, C.R.; Han, S.Y. Renoprotective effects of febuxostat compared with allopurinol in patients with hyperuricemia: A systematic review and meta-analysis. Kidney Res. Clin. Pract. 2017, 36, 274–281. [Google Scholar] [CrossRef]
- Tucker, P.S.; Scanlan, A.T.; Dalbo, V.J. Chronic kidney disease influences multiple systems: Describing the relationship between oxidative stress, inflammation, kidney damage, and concomitant disease. Oxid. Med. Cell Longev. 2015, 2015, 806358. [Google Scholar] [CrossRef]
- Torres-González, L.; Cienfuegos-Pecina, E.; Perales-Quintana, M.M.; Alarcon-Galvan, G.; Muñoz-Espinosa, L.E.; Pérez-Rodríguez, E.; Cordero-Pérez, P. Nephroprotective effect of Sonchus oleraceus extract against kidney injury induced by ischemia-reperfusion in Wistar Rats. Oxid. Med. Cell Longev. 2018, 2018, 9572803. [Google Scholar] [CrossRef] [PubMed]
- Chinnappan, S.M.; George, A.; Thaggikuppe, P.; Choudhary, Y.K.; Choudhar, V.K.; Ramani, Y.; Dewangan, R. Nephroprotective effect of herbal extract Eurycoma longifolia on paracetamol-induced nephrotoxicity in rats. Evid. Based Complement Alternat. Med. 2019, 2019, 4916519. [Google Scholar] [CrossRef]
- Lee, S.; Jung, K.; Lee, D.; Lee, S.R.; Lee, K.R.; Kang, K.S.; Kim, K.H. Protective effect and mechanism of action of lupane triterpenes from Cornus walteri in cisplatin-induced nephrotoxicity. Bioorg. Med. Chem. Lett. 2015, 25, 5613–5618. [Google Scholar] [CrossRef] [PubMed]
- Machaba, K.E.; Cobongela, S.Z.Z.; Mosa, R.A.; Lawal, O.A.; Djarova, T.G.; Opoku, A.R. In vivo anti-hyperlipidemic activity of the triterpene from the stem bark of Protorhus longifolia (Benrh) Engl. Lipids Health Dis. 2014. [Google Scholar] [CrossRef] [PubMed]
- Mabhida, S.E.; Mosa, R.A.; Penduka, D.; Osunsanmi, F.O.; Dludla, P.V.; Djarova, T.G.; Opoku, A.R. A lanosteryl triterpene from Protorhus longifolia improves glucose tolerance and pancreatic beta cell ultrastructure in type 2 diabetic rats. Molecules 2017, 1252. [Google Scholar] [CrossRef]
- Mosa, R.A.; Hlophe, N.B.; Ngema, N.T.; Dambudzo, P.; Lawal, O.A.; Opoku, A.R. Cardioprotective potential of a lanosteryl triterpene from Protorhus longifolia. Pharm. Biol. 2016, 54, 3244–3248. [Google Scholar] [CrossRef] [PubMed]
- Mosa, R.A.; Oyedeji, O.A.; Shode, F.O.; Singh, M.; Opoku, A.R. Triterpenes from the stem bark of Protorhus longifolia exhibit anti-platelet aggregation activity. Afri. J. Pharm. Pharmacol. 2011, 5, 2698–2714. [Google Scholar]
- Mosa, R.A.; Naidoo, J.J.; Nkomo, F.S.; Mazibuko, S.E.; Muller, C.J.; Opoku, A.R. In vitro antihyperlipidemic potential of triterpenes from stem bark of Protorhus longifolia. Planta Med. 2014, 80, 1685–1691. [Google Scholar] [CrossRef]
- Prakash, B.; Surendran, A.; Chandraprabha, V.R.; Pettamanna, A.; Nair, H.N.R. Betulinic acid, natural pentacyclic triterpenoid prevents arsenic-induced nephrotoxicity in male Wistar rats. Comp. Clin. Path. 2018, 27, 37–44. [Google Scholar] [CrossRef]
- Pai, P.G.; Nawarathna, S.C.; Kulkarni, A.; Habeeba, U.; Reddy, S.C.; Teerthanath, S.; Shenoy, J.P. Nephroprotective effect of ursolic acid in a murine model of gentamicin-induced renal damage. Int. Sch. Res. Not. 2012, 2012, 410902. [Google Scholar] [CrossRef]
- Nomura, J.; Busso, N.; Ives, A.; Tsujimoto, S.; Tamura, M.; So, A.; Yamanaka, Y. Febuxostat, an inhibitor of xanthine oxidase, suppresses lipopolysaccharide-induced MCP-1 production via MAPK phosphatase-1-mediated inactivation of JNK. PLoS ONE 2013, 8, e75527. [Google Scholar] [CrossRef] [PubMed]
- Xu, W.H.; Wang, H.; Sun, Y.; Xue, Z.; Liang, M.; Su, W. Antihyperuricemic and nephroprotective effects of extracts from Orthosiphon stamineus in hyperuricemic mice. J. Pharm. Pharmacol. 2020, 72, 551–560. [Google Scholar] [CrossRef]
- Isaka, Y.; Takabatake, Y.; Takahashi, A.; Saitoh, T.; Yoshimo, T. Hyperuricemia-induced inflammasome and kidney diseases. Nephrol. Dial. Transpl. 2016, 31, 890–896. [Google Scholar] [CrossRef]
- Kang, D.H.; Nakagawa, T.; Feng, L.; Watanabe, S.; Han, L.; Mazzali, M.; Truong, L.; Harris, R.; Johnson, R.J. A role for uric acid in the progression of renal disease. J. Am. Soc. Nephrol. 2002, 13, 2888–2897. [Google Scholar] [CrossRef]
- Nwankwo, E.A.; Wudiri, W.W.; Akinsola, A. Risk factors for the development of chronic kidney disease among Nigerians with essential hypertension. J. Med. Sci. 2007, 7, 579–584. [Google Scholar]
- Orth, S.; Nowicki, M.; Wiecek, A.; Ritz, E. Nephroprotective effect of ACE inhibitors. Drugs 1993, 46, 189–196. [Google Scholar] [CrossRef] [PubMed]
- Hsu, F.Y.; Lin, F.J.; Ou, H.T.; Huang, S.H.; Wang, C.C. Renoprotective effect of angiotensin-converting enzyme inhibitors and angiotensin II receptor blockers in diabetic patients with proteinuria. Kidney Blood Press. Res. 2017, 42, 358–368. [Google Scholar] [CrossRef] [PubMed]
- Kivity, S.; Kopel, E.; Maor, E. Association of serum uric acid and cardiovascular disease in healthy adults. Am. J. Cardiol. 2013, 111, 1146–1151. [Google Scholar] [CrossRef] [PubMed]
- Giordano, C.; Karasik, O.; King-Morris, K.; Asmar, A. Uric acid as a marker of kidney disease: Review of the current literature. Dis. Markers 2015, 2015, 382918. [Google Scholar] [CrossRef]
- Nile, S.H.; Ko, E.Y.; Kim, D.H.; Keum, Y.S. Screening of ferulic acid related compounds as inhibitors of xanthine oxidase and cyclooxygenase-2 with anti-inflammatory activity. Rev. Bras. Farmacogn. 2016, 26, 50–55. [Google Scholar] [CrossRef]
- Al Nahdi, A.M.T.; John, A.; Haider Raza, H. Elucidation of molecular mechanisms of streptozotocin-induced oxidative stress, apoptosis, and mitochondrial dysfunction in Rin-5F pancreatic β-cells. Oxid. Med. Cell Longev. 2017, 2017, 7054272. [Google Scholar] [CrossRef] [PubMed]
- Kumar, H.S.; Anandan, R.; Devaki, T.; Kumar, M.S. Cardioprotective effects of Picrorrhiza kurroa against isoproterenol-induced myocardial stress in rats. Fitoterapia 2001, 72, 402–405. [Google Scholar] [CrossRef]
- Ojha, S.; Venkataraman, B.; Kurdi, A.; Mahgoub, E.; Sadek, B.; Mohanraj Rajesh, M. Plant-derived agents for counteracting cisplatin-induced nephrotoxicity. Oxid. Med. Cell Longev. 2016, 2016, 4320374. [Google Scholar] [CrossRef] [PubMed]
- Meng, Z.; Yan, Y.; Tang, Z.; Guo, C.; Li, N.; Huang, W.; Ding, G.; Wang, Z.; Xiao, W.; Yang, Z. Anti-hyperuricemic and nephroprotective effects of Rhein in hyperuricemic mice. Planta Med. 2015, 81, 279–285. [Google Scholar] [CrossRef] [PubMed]
Sample Availability: Sample of the compound is available from the authors. |




| Group | Initial Body Weight (g) | Final Body Weight (g) | Body Weight Changes (g) |
|---|---|---|---|
| Normal | 192.3 ± 9.33 | 215.0 ± 4.71 | 22.7 * |
| Model control | 165.8 ± 14.06 | 176.9 ± 10.32 | 11.1 |
| Allopurinol (10 mg/kg) | 155.2 ± 21.68 | 173.1 ± 7.77 | 17.9 * |
| RA-3 (50 mg/kg) | 179.1 ± 6.20 | 193.7 ± 15.49 | 14.6 |
| RA-3 (100 mg/kg) | 159.6 ± 10.18 | 176.8 ± 20.17 | 17.2 |
| Group | GSH (nmol/mL) | SOD (Units/mL) | Total Antioxidant Status (mM) | MDA (nmol/µL) |
|---|---|---|---|---|
| Normal | 0.91 ± 0.31 * | 71 ± 0.14 * | 1.94 ± 0.17 * | 0.17 ± 0.06 * |
| Model control | 0.22 ± 0.06 | 14.3 ± 0.06 | 0.34 ± 0.02 | 1.04 ± 0.03 |
| Allopurinol (10 mg/kg) | 1.20 ± 0.68 * | 21.0 ± 0.03 | 1.00 ± 0.55 | 0.20 ± 0. 44 * |
| RA-3 (50 mg/kg) | 0.74 ± 0.22 | 24. 7± 0.15 * | 1.40 ± 0.40 * | 0.16 ± 0.04 * |
| RA-3 (100 mg/kg) | 0.80 ± 0.18 * | 55.0 ± 0.17 * | 1.87 ± 0.20 * | 0.14 ± 0.02 * |
© 2020 by the authors. Licensee MDPI, Basel, Switzerland. This article is an open access article distributed under the terms and conditions of the Creative Commons Attribution (CC BY) license (http://creativecommons.org/licenses/by/4.0/).
Share and Cite
Hlophe, N.B.; Opoku, A.R.; Osunsanmi, F.O.; Djarova-Daniels, T.G.; Lawal, O.A.; Mosa, R.A. A Lanosteryl Triterpene (RA-3) Exhibits Antihyperuricemic and Nephroprotective Effects in Rats. Molecules 2020, 25, 4010. https://doi.org/10.3390/molecules25174010
Hlophe NB, Opoku AR, Osunsanmi FO, Djarova-Daniels TG, Lawal OA, Mosa RA. A Lanosteryl Triterpene (RA-3) Exhibits Antihyperuricemic and Nephroprotective Effects in Rats. Molecules. 2020; 25(17):4010. https://doi.org/10.3390/molecules25174010
Chicago/Turabian StyleHlophe, Nomadlozi Blessings, Andrew Rowland Opoku, Foluso Oluwagbemiga Osunsanmi, Trayana Georgieva Djarova-Daniels, Oladipupo Adejumobi Lawal, and Rebamang Anthony Mosa. 2020. "A Lanosteryl Triterpene (RA-3) Exhibits Antihyperuricemic and Nephroprotective Effects in Rats" Molecules 25, no. 17: 4010. https://doi.org/10.3390/molecules25174010
APA StyleHlophe, N. B., Opoku, A. R., Osunsanmi, F. O., Djarova-Daniels, T. G., Lawal, O. A., & Mosa, R. A. (2020). A Lanosteryl Triterpene (RA-3) Exhibits Antihyperuricemic and Nephroprotective Effects in Rats. Molecules, 25(17), 4010. https://doi.org/10.3390/molecules25174010

