A Simple and Accurate Method for the Determination of Related Substances in Coenzyme Q10 Soft Capsules
Abstract
1. Introduction
2. Results and Discussion
2.1. Identification and Structural Analysis of the Degradable Impurity
2.1.1. Confirmation of Impurity X
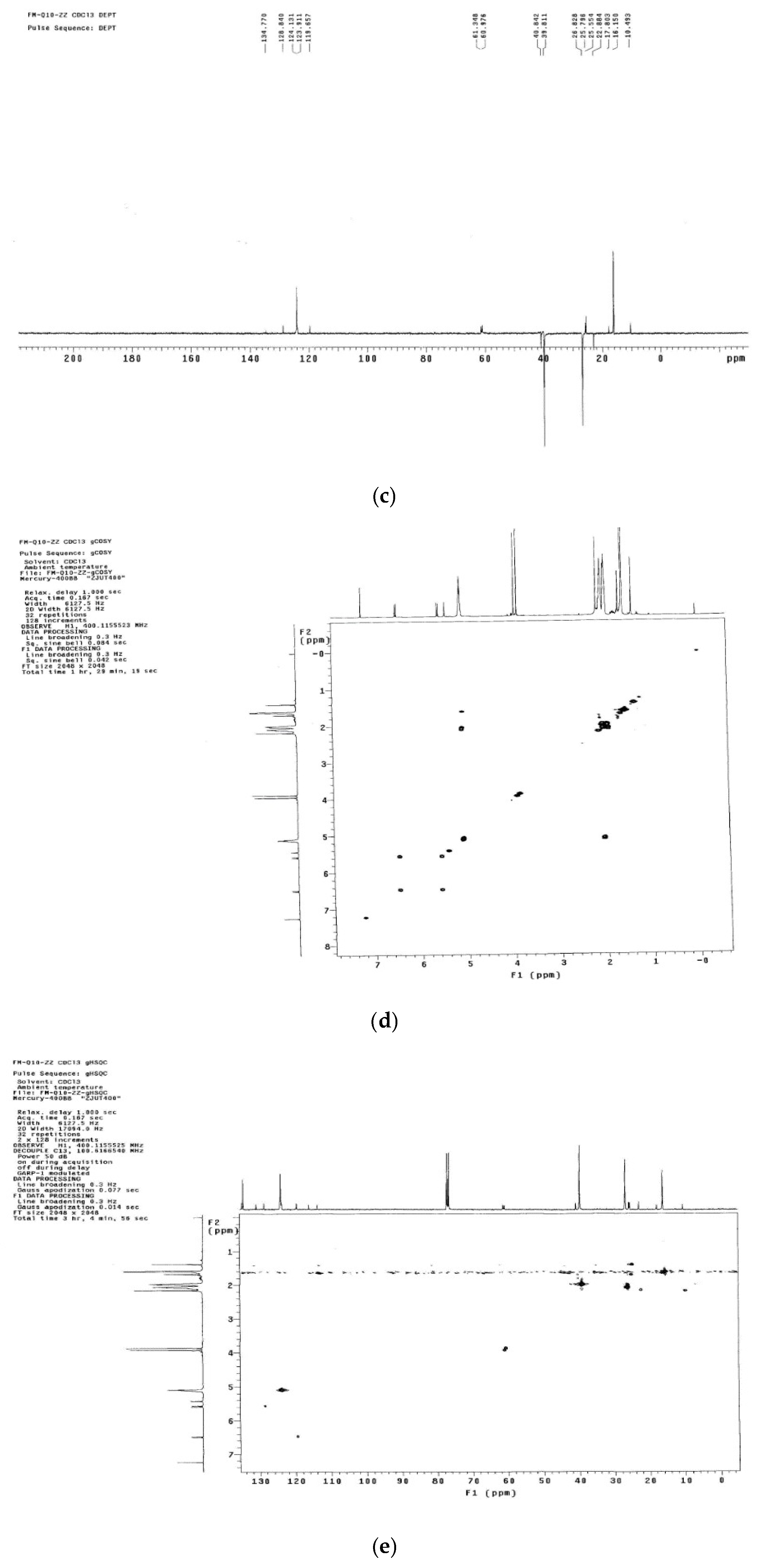
2.1.2. Purity and Structure Confirmation of Impurity X
The Purity of Impurity X
Structure Confirmation of Impurity X
2.2. Methodology for the Determination of Impurity X Content
2.2.1. Confirmation of the Preparation Conditions for the System Suitability Solution
2.2.2. Assay of the Relative Retention Time (RRT) 0.9 Chromatographic Peak
2.2.3. Measurement of Calibration Factors
2.2.4. Column Robustness
3. Materials and Methods
3.1. Chemicals and Reagents
3.2. Equipment
3.3. Sample Preparation
3.3.1. Preparation of Test Solution
3.3.2. Preparation of Impurity X
3.3.3. Preparation of Standard Solutions
3.4. Chromatographic Conditions
3.4.1. Liquid Chromatography
3.4.2. HPLC-MS/MS
4. Conclusions
Author Contributions
Funding
Acknowledgments
Conflicts of Interest
References
- Folkers, K. Coenzyme Q: Biochemistry, Bioenergetics and Clinical Applications of Ubiquinone; Lenaz, G., Ed.; Wiley-Interscience: New York, NY, USA, 1985. [Google Scholar]
- Crane, F. Biochemical functions of coenzyme Q10. J. Am. Coll. Nutr. 2001, 20, 591–598. [Google Scholar] [CrossRef] [PubMed]
- Zhang, H.; Wu, Y.H. Development of the studies of coenzyme Q10. Subvolume of Hygiene. Forei. Med. Sci. 2002, 29, 370–373. [Google Scholar]
- Zhang, J.S.; Wang, D.; Huang, Q.W.; Wu, R.J. Evaluation Studies on Related Substances of Domestic Coenzyme Q10. Northwest. Pharm. J. 2009, 24, 440–442. [Google Scholar]
- Littarru, G.P.; Tiano, L. Clinical aspects of coenzyme Q10: An. update. Nutrition 2010, 3, 250–254. [Google Scholar] [CrossRef] [PubMed]
- Mu, F.S.; Luo, M.; Fu, Y.J.; Zhang, X.; Yu, P.; Zu, Y.G. Synthesis of the Key Intermediate of Coenzyme Q10. Molecules 2011, 16, 4097–4103. [Google Scholar] [CrossRef]
- Contin, M.; Flor, S.; Martinefski, M.; Lucangioli, S.; Tripodi, V. The use of coenzyme Q10 as a template in the development of a molecularly imprinted polymer for the selective recognition of coenzyme Q10. Anal. Chim. Acta. 2014, 807, 67–74. [Google Scholar] [CrossRef] [PubMed]
- Pharmacopoeia of the People’s Republic of China (Part Four), 2015 edition; China Medical Science Press: Beijing, China, 2017; pp. 1218–1219.
- Tripodi, V.; Flor, S.; Contin, M.; Mario, C.; Silvia, L. Simple, highly sensitive micro HPLC method for the determination of coenzyme Q10 and its major related substances. J. Liq. Chrom. Rel. Tech®. 2009, 32, 860–873. [Google Scholar] [CrossRef]
- Ning, Y.L.; W, M.C.; Z, G. Identification of coenzyme Q10 and its impurity structure. J. Instr. Anal 2008, S1, 266–269. [Google Scholar]
- Jiang, P.; Wu, M.; Zheng, Y.; Wang, C.; Li, Y.; Xin, J.; Xu, G. Analysis of coenzyme Q10 in human plasma by column-switching liquid chromatography. J. Chrom. B. 2004, 805, 297–301. [Google Scholar] [CrossRef]
- Turkowicz, M.J.; Karpińska, J. Analytical problems with the determination of coenzyme Q10 in biological samples. J. Biof. 2013, 39, 176–185. [Google Scholar]
- Zu, Y.G.; Zhao, C.J.; Li, C.Y.; Zhang, L. A rapid and sensitive LC-MS/MS method for determination of coenzyme Q10 in tobacco (Nicotiana tabacum L.) leaves. J. Sep. Sci. 2006, 29, 1607–1612. [Google Scholar] [CrossRef] [PubMed]
- Ruiz-Jiménez, J.; Priego-Capote, F.; Mata-Granados, J.M.; Quesada, J.M.; Luque de Castro, M.D. Determination of the ubiquinol-10 and ubiquinone-10 (coenzyme Q10) in human serum by liquid chromatography tandem mass spectrometry to evaluate the oxidative stress. J. Chroma. A. 2007, 1175, 242–248. [Google Scholar] [CrossRef] [PubMed]
- Rácz, A.; Vass, A.; Héberger, K.; Marietta, F. Quantitative determination of coenzyme Q10 from dietary supplements by FT-NIR spectroscopy and statistical analysis. J. Anal. Bioanal Chem. 2015, 407, 2887–2898. [Google Scholar]
- Xue, X.F.; Zhao, J.; Chen, L.Z.; Zhou, J.H.; Yue, B.; Li, Y.; Wu, L.M.; Liu, F.M. Analysis of coenzyme Q10 in bee pollen using online cleanup by accelerated solvent extraction and high-performance liquid chromatography. J. Food Chem. 2012, 133, 573–578. [Google Scholar] [CrossRef] [PubMed]
- Vander, H.Y.; Nijhuis, A.; Smeyers-Verbeke, J.; Vandeginste, B.; Massart, D. Guidance for robustness/ruggedness tests in method validation. J. Pharm. Biomed. Anal. 2001, 24, 723–753. [Google Scholar] [CrossRef]
Sample Availability: Samples of the compounds are not available from the authors. |

















| Location | 13C-NMR | DEPT | HSQC (Contain 1H-NMR) | HMBC |
|---|---|---|---|---|
| 1 | 139.35 | quaternary carbon | - | - |
| 2 | 116.25 | quaternary carbon | - | - |
| 3 | 113.84 | quaternary carbon | - | - |
| 4 | 140.26 | quaternary carbon | - | - |
| 5 | 138.78 | quaternary carbon | - | - |
| 6 | 135.19 | quaternary carbon | - | - |
| 7 | 119.72 | CH | 6.46, 6.49 (1H, J = 7.5 Hz) | 139.35, 116.25, 113.84 |
| 8 | 128.85 | CH | 5.56, 5.58 (1H, J = 7.5 Hz) | 116.25, 40.87,25.58 |
| 10 | 40.87 | CH2 | 1.97 | 134.85, 124.15, 26.84 |
| 11 | 22.89 | CH2 | 2.15 (2H) | 39.83, 26.84 |
| 12 | 124.15 | CH | 5.08 (9H) | 39.83, 26.84,16.15 |
| 13 | 134.85 | quaternary carbon | - | - |
| 14 | 39.83 | CH2 | 1.97, 1.98, 1.99 (mutiple H) | 134.85, 124.15, 26.84, 16.15 |
| 15 | 26.84 | CH2 | 2.06, 2.07, 2.09 (mutiple H) | 134.85, 124.15, 123.95, 39.83 |
| 16 | 123.95 | CH | 5.10 (1H) | 39.83, 26.84, 16.15 |
| 17 | 131.06 | quaternary carbon | - | - |
| 18 | 17.82 | CH3 | 1.58 (3H) | 131.06, 124.15 |
| 19 | 25.80 | CH3 | 1.67 (3H) | 131.06, 123.95, 17.82 |
| 20 | 10.49 | CH3 | 2.15 (3H) | 140.26, 116.25, 113.84 |
| 21 | 25.58 | CH3 | 1.38 (3H) | 128.85, 40.87, 16.15 |
| 22 | 16.15 | CH3 | 1.59 (mutiple H) | 134.85, 124.15, 39.83, 26.84 |
| -OCH3 | 61.39 | CH3 | 3.93 | 140.26 |
| -OCH3 | 61.01 | CH3 | 3.87 | 139.95 |
| Item | MS | MS/MS |
|---|---|---|
| Coenzyme Q10 | 886.6740 | 218.0542, 257.0780, 272.1019, 325.1385 |
| Isomer of Co-Q10 | 886.6768 | 218.0547, 257.0776, 272.1023, 325.1394 |
| Peak Area of Co-Q10 | Mass of Co-Q10 (ng) | Peak Area of impurity X | Mass of impurity X (ng) |
|---|---|---|---|
| 220.77 | 431.20 | 262.51 | 560.03 |
| 167.80 | 323.40 | 198.46 | 420.01 |
| 111.20 | 215.60 | 131.22 | 280.02 |
| 55.94 | 107.80 | 65.08 | 140.01 |
| 28.38 | 53.90 | 32.84 | 70.01 |
© 2019 by the authors. Licensee MDPI, Basel, Switzerland. This article is an open access article distributed under the terms and conditions of the Creative Commons Attribution (CC BY) license (http://creativecommons.org/licenses/by/4.0/).
Share and Cite
Bao, K.; Zhang, C.; Xie, S.; Feng, G.; Liao, S.; Cai, L.; He, J.; Guo, Y.; Jiang, C. A Simple and Accurate Method for the Determination of Related Substances in Coenzyme Q10 Soft Capsules. Molecules 2019, 24, 1767. https://doi.org/10.3390/molecules24091767
Bao K, Zhang C, Xie S, Feng G, Liao S, Cai L, He J, Guo Y, Jiang C. A Simple and Accurate Method for the Determination of Related Substances in Coenzyme Q10 Soft Capsules. Molecules. 2019; 24(9):1767. https://doi.org/10.3390/molecules24091767
Chicago/Turabian StyleBao, Kangde, Chaojun Zhang, Shenggu Xie, Guifang Feng, Shiyu Liao, Lietao Cai, Jiajia He, Yueqin Guo, and Chengxi Jiang. 2019. "A Simple and Accurate Method for the Determination of Related Substances in Coenzyme Q10 Soft Capsules" Molecules 24, no. 9: 1767. https://doi.org/10.3390/molecules24091767
APA StyleBao, K., Zhang, C., Xie, S., Feng, G., Liao, S., Cai, L., He, J., Guo, Y., & Jiang, C. (2019). A Simple and Accurate Method for the Determination of Related Substances in Coenzyme Q10 Soft Capsules. Molecules, 24(9), 1767. https://doi.org/10.3390/molecules24091767
