Novel Carbon Dots Derived from Puerariae lobatae Radix and Their Anti-Gout Effects
Abstract
:1. Introduction
2. Results
2.1. Characterization of PLR-CDs
2.2. Cellular Toxicity
2.3. Anti-Hyperuricemic Bioactivity and Effect on XOD of PLR-CDs
2.3.1. Anti-Hyperuricemic Bioactivity of PLR-CDs
2.3.2. Effect on XOD of PLR-CDs
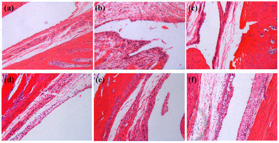
2.4. Effect of PLR-CDs in Rat Models of Monosodium Urate (MSU)-Induced Arthritis
3. Discussion
Primary Causes
4. Materials and Methods
4.1. Chemicals
4.2. Preparation of PLR-CDs
4.3. Characterization of PLR-CDs
4.4. Animals
4.5. In Vitro Cell Viability in the Presence of PLR-CDs
4.6. Effect of PLR-CDs on Hyperuricemic Rats
4.7. Effect of PLR-CDs on Gouty Arthritis
4.8. Statistical Analysis
5. Conclusions
Author Contributions
Funding
Conflicts of Interest
References
- Jia, W.; Tang, B.; Wu, P. Carbon Dots with Multi-Functional Groups and the Application in Proton Exchange Membranes. Electrochim. Acta 2018, 260, 92–100. [Google Scholar] [CrossRef]
- Atabaev, T.S. Doped Carbon Dots for Sensing and Bioimaging Applications: A Minireview. Nanomaterials 2018, 8, 342. [Google Scholar] [CrossRef] [PubMed]
- Zhou, N.; Hao, Z.; Zhao, X.; Maharjan, S.; Zhu, S.; Song, Y.; Yang, B.; Lu, L. A Novel Fluorescent Retrograde Neural Tracer: Cholera Toxin B Conjugated Carbon Dots. Nanoscale 2015, 7, 15635–15642. [Google Scholar] [CrossRef] [PubMed]
- Ding, H.; Du, F.; Liu, P.; Chen, Z.; Shen, J. DNA–Carbon Dots Function as Fluorescent Vehicles for Drug Delivery. ACS Appl. Mater. Interfaces 2015, 7, 6889–6897. [Google Scholar] [CrossRef] [PubMed]
- Yu, Y.; Yang, Y.; Ding, J.; Meng, S.; Li, C.; Yin, X. Design of a Biocompatible and Ratiometric Fluorescent Probe for the Capture, Detection, Release, and Reculture of Rare Number CTCs. Anal. Chem. 2018, 90, 13290–13298. [Google Scholar] [CrossRef]
- Sri, S.; Kumar, R.; Panda, A.K.; Solanki, P.R.; Panda, D.A. Highly Biocompatible, Fluorescence, and Zwitterionic Carbon Dots as a Novel Approach for Bioimaging Applications in Cancerous Cells. ACS Appl. Mater. Interfaces 2018, 10, 37835–37845. [Google Scholar] [CrossRef]
- Prasad, R.; Chauhan, D.S.; Yadav, A.S.; Devrukhkar, J.; Singh, B.; Gorain, M.; Temgire, M.; Bellare, J.; Kundu, G.C.; Srivastava, R. A Biodegradable Fluorescent Nanohybrid for Photo-Driven tumor Diagnosis and Tumor Growth Inhibition. Nanoscale 2018, 10, 19082–19091. [Google Scholar] [CrossRef]
- Xue, M.; Zhao, J.; Zhan, Z.; Zhao, S.; Lan, C.; Ye, F.; Liang, H. Dual Functionalized Natural Biomass Carbon Dots from Lychee Exocarp for Cancer Cell Targetable Near-Infrared Fluorescence Imaging and Photodynamic Therapy. Nanoscale 2018, 10, 18124–18130. [Google Scholar] [CrossRef]
- Lv, Y.; Ma, M.; Huang, Y.; Xia, Y. Carbon Dot Nanozymes: How to Be Close to Natural Enzymes. Chem. A Eur. J. 2019, 25, 954–960. [Google Scholar] [CrossRef]
- Sun, Z.; Lu, F.; Cheng, J.; Zhang, M.; Zhang, Y.; Xiong, W.; Zhao, Y.; Qu, H. Haemostatic Bioactivity of Novel Schizonepetae Spica Carbonisata-Derived Carbon Dots Via Platelet Counts Elevation. Artif. Cells Nanomed. Biotechnol. 2018, 46, S308–S317. [Google Scholar] [CrossRef]
- Yan, X.; Zhao, Y.; Luo, J.; Xiong, W.; Liu, X.; Cheng, J.; Wang, Y.; Zhang, M.; Qu, H. Hemostatic Bioactivity of Novel Pollen Typhae Carbonisata-Derived Carbon Quantum Dots. J. Nanobiotechnol. 2017, 15, 60. [Google Scholar] [CrossRef] [PubMed]
- Liu, X.; Wang, Y.; Yan, X.; Zhang, M.; Zhang, Y.; Cheng, J.; Lu, F.; Qu, H.; Wang, Q.; Zhao, Y. Novel Phellodendri Cortex (Huang Bo)-Derived Carbon Dots and Their Hemostatic Effect. Nanomedicine 2018, 13, 391–405. [Google Scholar] [CrossRef] [PubMed]
- Chatzimitakos, T.G.; Kasouni, A.I.; Troganis, A.N.; Stalikas, C.D. Carbonization of Human Fingernails: Toward the Sustainable Production of Multifunctional Nitrogen and Sulfur Codoped Carbon Nanodots with Highly Luminescent Probing and Cell Proliferative/Migration Properties. ACS Appl. Mater. Interfaces 2018, 10, 16024–16032. [Google Scholar] [CrossRef] [PubMed]
- Sun, Z.; Lu, F.; Cheng, J.; Zhang, M.; Zhu, Y.; Zhang, Y.; Kong, H.; Qu, H.; Zhao, Y. Hypoglycemic Bioactivity of Novel Eco-Friendly Carbon Dots Derived from Traditional Chinese Medicine. J. Biomed. Nanotechnol. 2018, 14, 2146–2155. [Google Scholar] [CrossRef] [PubMed]
- Cheng, J.; Zhang, M.; Sun, Z.; Lu, F.; Xiong, W.; Luo, J.; Kong, H.; Wang, Q.; Qu, H.; Zhao, Y. Hemostatic and Hepatoprotective Bioactivity of Junci Medulla Carbonisata-Derived Carbon Dots. Nanomedicine 2019, 14, 431–446. [Google Scholar] [CrossRef] [PubMed]
- Zhao, S.; Lan, M.; Zhu, X.; Xue, H.; Ng, T.W.; Meng, X.; Lee, C.S.; Wang, P.F.; Zhang, W. Green Synthesis of Bifunctional Fluorescent Carbon Dots from Garlic for Cellular Imaging and Free Radical Scavenging. ACS Appl. Mater. Interfaces 2015, 7, 17054–17060. [Google Scholar] [CrossRef] [PubMed]
- Shi, W.; Wang, Q.; Long, Y.; Cheng, Z.; Chen, S.; Zheng, H.; Huang, Y. Carbon Nanodots as Peroxidase Mimetics and Their Applications to Glucose Detection. Chem. Commun. 2011, 47, 6695–6697. [Google Scholar] [CrossRef]
- Yao, H.; Li, J.; Song, Y.; Zhao, H.; Wei, Z.; Li, X.; Jin, Y.R.; Yang, B.; Jiang, J. Synthesis of Ginsenoside Re-Based Carbon Dots Applied for Bioimaging and Effective Inhibition of Cancer Cells. Int. J. Nanomed. 2018, 13, 6249–6264. [Google Scholar] [CrossRef]
- Zhang, J.; Liu, X.; Wang, X.; Mu, L.; Yuan, M.; Liu, B.; Shi, H. Carbon Dots-Decorated Na2W4O13 Composite with WO3 for Highly Efficient Photocatalytic Antibacterial Activity. J. Hazard. Mater. 2018, 359, 1–8. [Google Scholar] [CrossRef]
- Bing, W.; Sun, H.; Yan, Z.; Ren, J.; Qu, X. Programmed Bacteria Death Induced by Carbon Dots with Different Surface Charge. Small 2016, 12, 4713–4718. [Google Scholar] [CrossRef]
- Perez Ruiz, F.; Dalbeth, N. Combination Urate-Lowering Therapy in the Treatment of Gout: What is the Evidence? Semin. Arthritis Rheum. 2019, 48, 658–668. [Google Scholar] [CrossRef] [PubMed]
- Liang, G.; Nie, Y.; Chang, Y.; Zeng, S.; Liang, C.; Zheng, X.; Xiao, D.; Zhan, S.Q.; Zheng, Q. Protective Effects of Rhizoma Smilacis Glabrae Extracts on Potassium Oxonate-And Monosodium Urate-Induced Hyperuricemia and Gout in Mice. Phytomedicine 2019, 59, 152772. [Google Scholar] [CrossRef] [PubMed]
- Cui, L.; Meng, L.; Wang, G.; Yuan, X.; Li, Z.; Mu, R.; Wu, S. Prevalence and Risk Factors of Hyperuricemia: Results of the Kailuan Cohort Study. Mod. Rheumatol. 2017, 27, 1066–1071. [Google Scholar] [CrossRef] [PubMed]
- Wu, Y.; Wang, X.; Fan, E. Optimisation of Ultrasound-Assisted Extraction of Puerarin and Total Isoflavones from Puerariae Lobatae Radix (Pueraria Lobata (Wild.) Ohwi) with Response Surface Methodology. Phytochem. Anal. 2012, 23, 513–519. [Google Scholar] [CrossRef]
- Miao, H.; Wang, L.; Zhuo, Y.; Zhou, Z.; Yang, X. Label-Free Fluorimetric Detection of CEA Using Carbon Dots Derived from Tomato Juice. Biosens. Bioelectron. 2016, 86, 83–89. [Google Scholar] [CrossRef]
- Vandarkuzhali, S.A.A.; Jeyalakshmi, V.; Sivaraman, G.; Singaravadivel, S.; Krishnamurthy, K.R.; Viswanathan, B. Highly Fluorescent Carbon Dots from Pseudo-Stem of Banana Plant: Applications as Nanosensor and Bio-Imaging Agents. Sens. Actuators B Chem. 2017, 252, 894–900. [Google Scholar] [CrossRef]
- Hasan, M.; Ullah, I.; Zulfiqar, H.; Naeem, K.; Iqbal, A.; Gul, H.; Ashfaq, M.; Mahmood, N. Muhammad Ashfaq Biological Entities as Chemical Reactors for Synthesis of Nanomaterials: Progress, Challenges and Future Perspective. Mater. Today Chem. 2018, 8, 13–28. [Google Scholar] [CrossRef]
- Yousaf, M.; Ahmad, M.; Bhatti, I.A.; Nasir, A.; Hasan, M.; Jian, X.; Kalantar Zadeh, K.; Mahmood, N. In Vivo and In Vitro Monitoring of Amyloid Aggregation via BSA@FGQDs Multimodal Probe. Acs Sens. 2019, 4, 200–210. [Google Scholar] [CrossRef]
- Hasan, M.; Zafar, A.; Yousaf, M.; Gulzar, H.; Mehmood, K.; Hassan, S.G.; Saeed, A.; Yousaf, A.; Mazher, A.; Rongji, D.; et al. Synthesis of Loureirin B-Loaded Nanoliposomes for Pharmacokinetics in Rat Plasma. ACS Omega 2019, 4, 6914–6922. [Google Scholar] [CrossRef]
- Zulfiqar, H.; Zafar, A.; Rasheed, M.N.; Ali, Z.; Mehmood, K.; Mazher, A.; Hasan, M.; Mahmood, N. Synthesis of Silver Nanoparticles Using Fagonia Cretica and Their Antimicrobial Activities. Nanoscale Adv. 2019, 1, 1707–1713. [Google Scholar] [CrossRef]
- Wang, C.W.; Dao, R.L.; Chung, W.H. Immunopathogenesis and Risk Factors for Allopurinol Severe Cutaneous Adverse Reactions. Curr. Opin. Allergy Clin. Immunol. 2016, 16, 339–345. [Google Scholar] [CrossRef] [PubMed]
- Tziona, P.; Theodosis Nobelos, P.; Rekka, E. Medicinal Chemistry Approaches of Controlling Gastrointestinal Side Effects of Non-Steroidal Anti-Inflammatory Drugs. Endogenous Protective Mechanisms and Drug Design. Med. Chem. 2017, 13, 408–420. [Google Scholar] [CrossRef] [PubMed]
- Tong, D.C.; Wilson, A.M.; Layland, J. Colchicine in Cardiovascular Disease: An Ancient Drug with Modern Tricks. Heart 2016, 102, 995–1002. [Google Scholar] [CrossRef] [PubMed]
- Yong, T.; Zhang, M.; Chen, D.; Shuai, O.; Chen, S.; Su, J.; Jiao, C.; Feng, D.; Xie, Y. Actions of Water Extract from Cordyceps Militaris in Hyperuricemic Mice Induced by Potassium Oxonate Combined with Hypoxanthine. J. Ethnopharmacol. 2016, 194, 403–411. [Google Scholar] [CrossRef] [PubMed]
- Coderre, T.J.; Wall, P.D. Ankle Joint Urate Arthritis (AJUA) in Rats: An Alternative Animal Model of Arthritis to That Produced by Freund’s Adjuvant. Pain 1987, 28, 379–393. [Google Scholar] [CrossRef]
- Coderre, T.J.; Wall, P.D. Ankle Joint Urate Arthritis in Rats Provides a Useful Tool for the Evaluation of Analgesic and Anti-Arthritic Agents. Pharmacol. Biochem. Behav. 1988, 29, 461–466. [Google Scholar] [CrossRef]
Sample Availability: Samples of the compounds are not available from the authors. |








© 2019 by the authors. Licensee MDPI, Basel, Switzerland. This article is an open access article distributed under the terms and conditions of the Creative Commons Attribution (CC BY) license (http://creativecommons.org/licenses/by/4.0/).
Share and Cite
Wang, X.; Zhang, Y.; Zhang, M.; Kong, H.; Wang, S.; Cheng, J.; Qu, H.; Zhao, Y. Novel Carbon Dots Derived from Puerariae lobatae Radix and Their Anti-Gout Effects. Molecules 2019, 24, 4152. https://doi.org/10.3390/molecules24224152
Wang X, Zhang Y, Zhang M, Kong H, Wang S, Cheng J, Qu H, Zhao Y. Novel Carbon Dots Derived from Puerariae lobatae Radix and Their Anti-Gout Effects. Molecules. 2019; 24(22):4152. https://doi.org/10.3390/molecules24224152
Chicago/Turabian StyleWang, Xiaoke, Yue Zhang, Meiling Zhang, Hui Kong, Suna Wang, Jinjun Cheng, Huihua Qu, and Yan Zhao. 2019. "Novel Carbon Dots Derived from Puerariae lobatae Radix and Their Anti-Gout Effects" Molecules 24, no. 22: 4152. https://doi.org/10.3390/molecules24224152
APA StyleWang, X., Zhang, Y., Zhang, M., Kong, H., Wang, S., Cheng, J., Qu, H., & Zhao, Y. (2019). Novel Carbon Dots Derived from Puerariae lobatae Radix and Their Anti-Gout Effects. Molecules, 24(22), 4152. https://doi.org/10.3390/molecules24224152
