Anti-Inflammatory Effects of Phenolic Compounds Isolated from Quercus Mongolica Fisch. ex Ledeb. on UVB-Irradiated Human Skin Cells
Abstract
1. Introduction
2. Results
2.1. Phytochemicals from QM
2.2. Inhibition of Chemokine and Cytokine Production
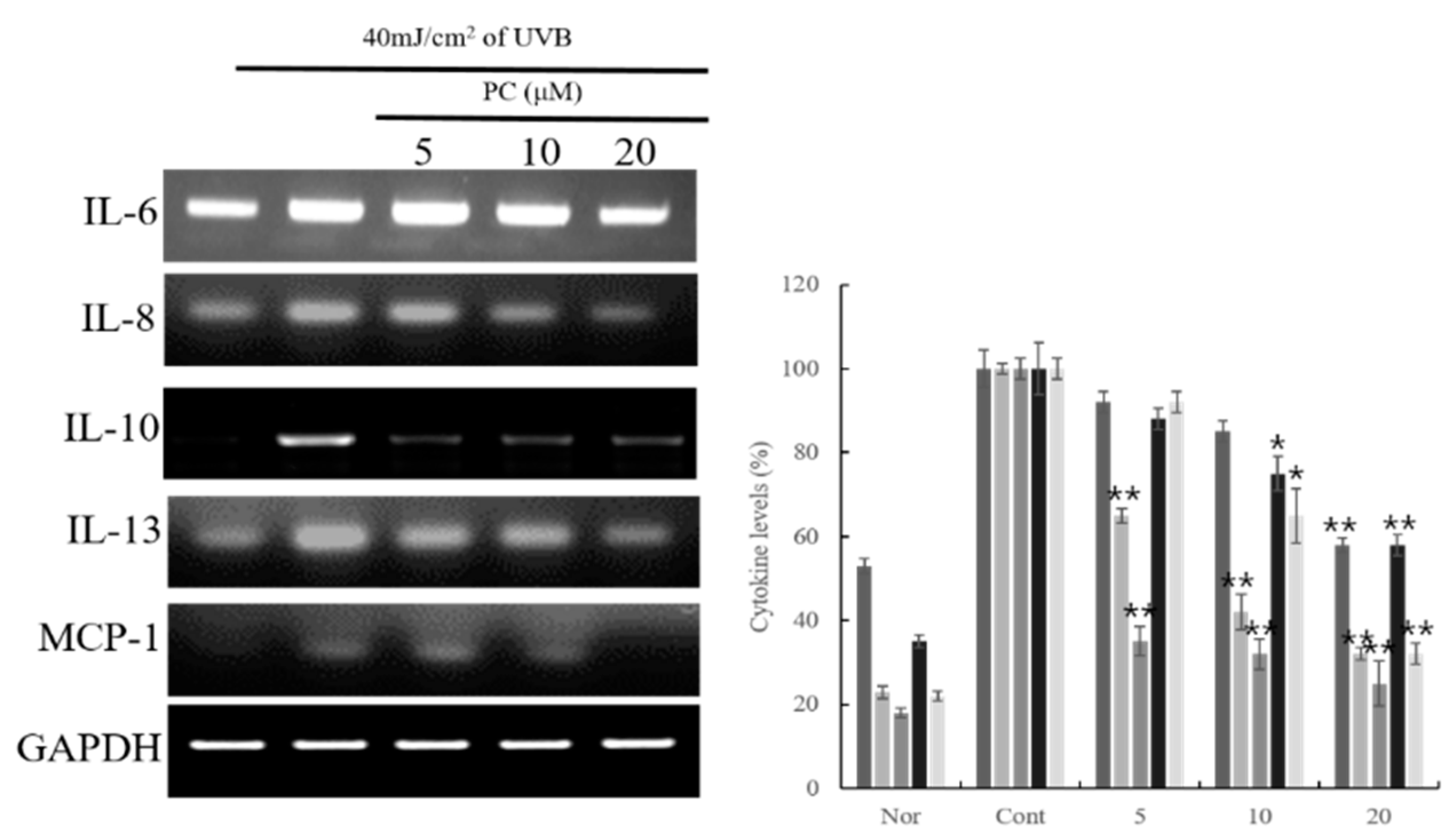
2.3. mRNA Expression of Chemokines and Cytokines
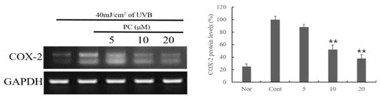
2.4. mRNA Expression of COX-2
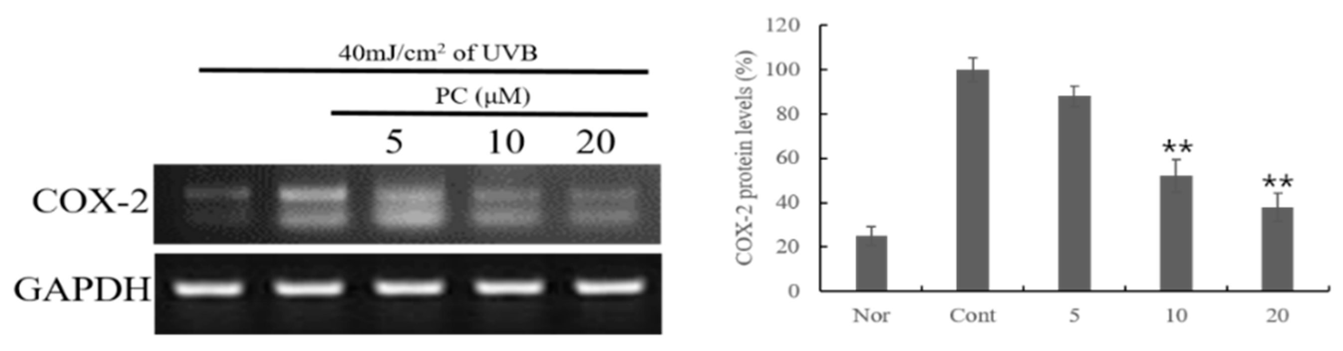
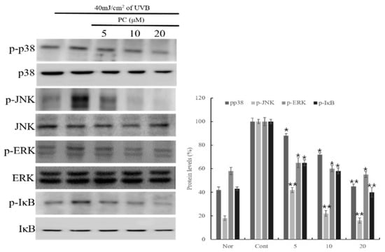
2.5. Inhibitory Activity on Phosphorylation of p38/JNK/ERK/IκB and Signaling Pathways Activating STAT/JAK and NF-κB
2.6. Cell Migration
3. Discussion
4. Materials and Methods
4.1. Plant Material
4.2. Extract Preparation and Compound Identification
4.3. General Experimental Procedure
4.4. Cell Culture
4.5. Immunoassays for Cytokines and Chemokines
4.6. Total RNA Extraction and Reverse Transcription Polymerase Chain Reaction (RT-PCR)
4.7. Preparation of Cytosolic and Nuclear Extracts
4.8. Western Blot Assay
4.9. Immunofluorescence
4.10. Cell Migration Assay
4.11. Statistical Analysis
5. Conclusions
Supplementary Materials
Author Contributions
Funding
Acknowledgments
Conflicts of Interest
Abbreviations
| QM | Quercus mongolica Fisch. ex Ledeb. |
| PC | Pedunculagin |
| NF-κB | Nuclear factor-κB |
| STAT | Signal transducer and activator of transcription |
| JAK | Janus kinase |
| COX-2 | Cyclooxygenase-2 |
| P38 | p38 mitogen-activated protein kinases |
| IL | Interleukin |
| MCP-1 | Monocyte chemoattractant protein-1 |
| JNK | c-Jun N-terminal kinase |
| ERK | Extracellular signal-regulated kinase |
| UVB | Ultraviolet B |
| TARC | Thymus and activation-regulated chemokine |
| MDC | Macrophage-derived chemokine |
| MAPK | Mitogen-activated protein kinase |
| DMEM | Dulbecco’s modified Eagle medium |
| HaCaT | Human keratinocytes |
| RT-PCR | Reverse transcription-polymerase chain reaction |
| PBS | Phosphate-buffered saline |
| LPS | Lipopolysaccharides |
| EtOAc | Ethyl acetate |
References
- Buckman, S.Y.; Gresham, A.; Hale, P.; Hruza, G.; Anast, J.; Masferrer, J.; Pentland, A.P. COX-2 expression is induced by UVB exposure in human skin: Implications for the development of skin cancer. Carcinogenesis 1998, 19, 723–729. [Google Scholar] [CrossRef] [PubMed]
- Yoshizumi, M.; Nakamura, T.; Kato, M.; Ishioka, T.; Kozawa, K.; Wakamatsu, K.; Kimura, H. Release of cytokines/chemokines and cell death in UVB-irradiated human keratinocytes, HaCaT. Cell Biol. Int. 2008, 32, 1405–1411. [Google Scholar] [CrossRef] [PubMed]
- Miodovnik, M.; Koren, R.; Ziv, E.; Ravid, A. The inflammatory response of keratinocytes and its modulation by vitamin D: The role of MAPK signaling pathways. J. Cell. Physiol. 2012, 227, 2175–2183. [Google Scholar] [CrossRef] [PubMed]
- Ashida, M.; Bito, T.; Budiyanto, A.; Ichihashi, M.; Ueda, M. Involvement of EGF receptor activation in the induction of cyclooxygenase-2 in HaCaT keratinocytes after UVB. Exp. Dermatol. 2003, 12, 445–452. [Google Scholar] [CrossRef] [PubMed]
- Wilmer, J.L.; Luster, M.I. Chemical induction of interleukin-8, a proinflammatory chemokine, in human epidermal keratinocyte cultures and its relation to cytogenetic toxicity. Cell Biol. Toxicol. 1995, 11, 37–50. [Google Scholar] [PubMed]
- Vestergaard, C.; Yoneyama, H.; Murai, M.; Nakamura, K.; Tamaki, K.; Terashima, Y.; Imai, T.; Yoshie, O.; Irimura, T.; Mizutani, H.; et al. Overproduction of Th2-specific chemokines in NC/Nga mice exhibiting atopic dermatitis—Like lesions. J. Clin. Investig. 1999, 104, 1097–1105. [Google Scholar] [CrossRef] [PubMed]
- Shimada, Y.; Takehara, K.; Sato, S. Both Th2 and Th1 chemokines (TARC/CCL17, MDC/CCL22, and Mig/CXCL9) are elevated in sera from patients with atopic dermatitis. J. Dermatol. Sci. 2004, 34, 201–208. [Google Scholar] [CrossRef] [PubMed]
- Raport, C.J.; Gosling, J.; Schweickart, V.L.; Gray, P.W.; Charo, I.F. Molecular Cloning and Functional Characterization of a Novel CC Chemokine, Stimulated T Cell Chemotactic Protein (STCP-1) That Specifically Acts on Activated T Lymphocytes. J. Biol. Chem. 1997, 272, 25229–25237. [Google Scholar]
- Henkel, T.; Machleidt, T.; Alkalay, I.; Krönke, M.; Ben-Neriah, Y.; Baeuerle, P.A. Rapid proteolysis of IκB-α is necessary for activation of transcription factor NF-κB. Nature 1993, 365, 182–185. [Google Scholar] [CrossRef]
- Das, J.; Ghosh, J.; Manna, P.; Sil, P.C. Taurine suppresses doxorubicin-triggered oxidative stress and cardiac apoptosis in rat via up-regulation of PI3-K/Akt and inhibition of p53, p38-JNK. Biochem. Pharmacol. 2011, 81, 891–909. [Google Scholar] [CrossRef]
- Xia, Z.; Dickens, M.; Raingeaud, J.; Davis, R.J.; Greenberg, M.E. Opposing Effects of ERK and JNK-p38 MAP Kinases on Apoptosis. Science 1995, 270, 1326–1331. [Google Scholar] [CrossRef]
- Albanesi, C.; De Pità, O.; Girolomoni, G. Resident skin cells in psoriasis: A special look at the pathogenetic functions of keratinocytes. Clin. Dermatol. 2007, 25, 581–588. [Google Scholar] [CrossRef]
- Bak, J.P.; Kim, J.B.; Park, J.H.; Yang, Y.J.; Kim, I.S.; Choung, E.S.; Kang, S.C. Screening and compound isolation from natural plants for anti-allergic activity. J. Korean Soc. Appl. Biol. Chem. 2011, 54, 367–375. [Google Scholar] [CrossRef]
- Yeo, H.-D.; Lee, H.-C.; Kug Lim, B.; Kyu Kim, H.; Suk Choi, M.; Yang, J.-K. Antifungal Activity of the Quercus Mongolica Extracts against Botrytis cinerea. J. Korean Wood Sci. Technol. 2008, 36, 88–101. [Google Scholar]
- Kong, Y.J.; Kang, T.S.; Lee, M.K.; Park, B.K.; Oh, D.H. Antimicrobial and Antioxidative Activities of Solvent Fractions of Quercus mongolica Leaf. Korean Soc. Food Sci. Nutr. 2001, 30, 338–343. [Google Scholar]
- Kim, C.; Shin, M.; Ahn, D. The Encyclopedia of Oriental Herbal Medicine; Jungdam: Seoul, Korea, 1998. [Google Scholar]
- Ishimaru, K.; Nonaka, G.-I.; Nishioka, I. Phenolic glucoside gallates from quercus mongolica and q. acutissima. Phytochemistry 1987, 26, 1147–1152. [Google Scholar] [CrossRef]
- Omar, M.; Matsuo, Y.; Maeda, H.; Saito, Y.; Tanaka, T. New ellagitannin and galloyl esters of phenolic glycosides from sapwood of Quercus mongolica var. crispula (Japanese oak). Phytochem. Lett. 2013, 6, 486–490. [Google Scholar] [CrossRef]
- Kim, H.H.; Kim, D.H.; Oh, M.H.; Park, K.J.; Heo, J.H.; Lee, M.W. Inhibition of matrix metalloproteinase-1 and type-I procollagen expression by phenolic compounds isolated from the leaves of Quercus mongolica in ultraviolet-irradiated human fibroblast cells. Arch. Pharm. Res. 2015, 38, 11–17. [Google Scholar] [CrossRef]
- Yuan, J.; Sun, Q. Chemical constituents of Quercus mongolica Fisch. China J. Chin. Mater. Med. 1998, 23, 548–549, 576. [Google Scholar]
- Schreiber, E.; Matthias, P.; Müller, M.M.; Schaffner, W. Rapid detection of octamer binding proteins with ‘mini-extracts’, prepared from a small number of cells. Nucleic Acids Res. 1989, 17, 6419. [Google Scholar] [CrossRef]
- Kim, B.E.; Leung, D.Y.M.; Boguniewicz, M.; Howell, M.D. Loricrin and involucrin expression is down-regulated by Th2 cytokines through STAT-6. Clin. Immunol. 2008, 126, 332–337. [Google Scholar] [CrossRef]
- Howell, M.D.; Fairchild, H.R.; Kim, B.E.; Bin, L.; Boguniewicz, M.; Redzic, J.S.; Hansen, K.C.; Leung, D.Y.M. Th2 Cytokines Act on S100/A11 to Downregulate Keratinocyte Differentiation. J. Investig. Dermatol. 2008, 128, 2248–2258. [Google Scholar] [CrossRef]
- Jahnz-Rozyk, K.; Targowski, T.; Paluchowska, E.; Owczarek, W.; Kucharczyk, A. Serum thymus and activation-regulated chemokine, macrophage-derived chemokine and eotaxin as markers of severity of atopic dermatitis. Allergy 2005, 60, 685–688. [Google Scholar] [CrossRef]
- Nedoszytko, B.; Sokołowska-Wojdyło, M.; Ruckemann-Dziurdzińska, K.; Roszkiewicz, J.; Nowicki, R.J. Chemokines and cytokines network in the pathogenesis of the inflammatory skin diseases: Atopic dermatitis, psoriasis and skin mastocytosis. Postep. Dermatol. Alergol. 2014, 31, 84–91. [Google Scholar] [CrossRef]
- Kaburagi, Y.; Shimada, Y.; Nagaoka, T.; Hasegawa, M.; Takehara, K.; Sato, S. Enhanced production of CC-chemokines (RANTES, MCP-1, MIP-1α, MIP-1β, and eotaxin) in patients with atopic dermatitis. Arch. Dermatol. Res. 2001, 293, 350–355. [Google Scholar] [CrossRef]
- Kim, H.-J.; Kim, K.-W.; Yu, B.-P.; Chung, H.-Y. The effect of age on cyclooxygenase-2 gene expression: NF-κB activation and IκBα degradation. Free Radic. Biol. Med. 2000, 28, 683–692. [Google Scholar] [CrossRef]
- Surh, Y.-J.; Chun, K.-S.; Cha, H.-H.; Han, S.S.; Keum, Y.-S.; Park, K.-K.; Lee, S.S. Molecular mechanisms underlying chemopreventive activities of anti-inflammatory phytochemicals: Down-regulation of COX-2 and iNOS through suppression of NF-κB activation. Mutat. Res. Fundam. Mol. Mech. Mutagen. 2001, 480, 243–268. [Google Scholar] [CrossRef]
- Lowes, M.A.; Bowcock, A.M.; Krueger, J.G. Pathogenesis and therapy of psoriasis. Nature 2007, 445, 866. [Google Scholar] [CrossRef]
- Guttman-Yassky, E.; Krueger, J. Psoriasis: Evolution of pathogenic concepts and new therapies through phases of translational research. Br. J. Dermatol. 2007, 157, 1103–1115. [Google Scholar] [CrossRef]
- Nograles, K.E.; Davidovici, B.; Krueger, J.G. New insights in the immunologic basis of psoriasis. Semin. Cutan. Med. Surg. 2010, 27, 3. [Google Scholar] [CrossRef]
- Johnson, G.L.; Lapadat, R. Mitogen-activated protein kinase pathways mediated by ERK, JNK, and p38 protein kinases. Science 2002, 298, 1911–1912. [Google Scholar] [CrossRef]
- Schulze-Osthoff, K.; Bauer, M.K.; Vogt, M.; Wesselborg, S. Oxidative stress and signal transduction. Int. J. Vitam. Nutr. Res. 1997, 67, 336–342. [Google Scholar]
- Thalhamer, T.; McGrath, M.; Harnett, M. MAPKs and their relevance to arthritis and inflammation. Rheumatology 2008, 47, 409–414. [Google Scholar] [CrossRef]
- Su, Y.-W.; Chiou, W.-F.; Chao, S.-H.; Lee, M.-H.; Chen, C.-C.; Tsai, Y.-C. Ligustilide prevents LPS-induced iNOS expression in RAW 264.7 macrophages by preventing ROS production and down-regulating the MAPK, NF-κB and AP-1 signaling pathways. Int. Immunopharmacol. 2011, 11, 1166–1172. [Google Scholar] [CrossRef]
- Han, E.H.; Hwang, Y.P.; Choi, J.H.; Yang, J.H.; Seo, J.K.; Chung, Y.C.; Jeong, H.G. Psidium guajava extract inhibits thymus and activation-regulated chemokine (TARC/CCL17) production in human keratinocytes by inducing heme oxygenase-1 and blocking NF-κB and STAT1 activation. Environ. Toxicol. Pharmacol. 2011, 32, 136–145. [Google Scholar] [CrossRef]
- Ju, S.M.; Song, H.Y.; Lee, S.J.; Seo, W.Y.; Sin, D.H.; Goh, A.R.; Kang, Y.-H.; Kang, I.-J.; Won, M.-H.; Yi, J.-S. Suppression of thymus-and activation-regulated chemokine (TARC/CCL17) production by 1, 2, 3, 4, 6-penta-O-galloyl-β-d-glucose via blockade of NF-κB and STAT1 activation in the HaCaT cells. Biochem. Biophys. Res. Commun. 2009, 387, 115–120. [Google Scholar] [CrossRef]
- Komine, M.; Kakinuma, T.; Kagami, S.; Hanakawa, Y.; Hashimoto, K.; Tamaki, K. Mechanism of thymus-and activation-regulated chemokine (TARC)/CCL17 production and its modulation by roxithromycin. J. Investig. Dermatol. 2005, 125, 491–498. [Google Scholar] [CrossRef]
- Han, S.; Baek, H.; Bae, K.; Lee, K.; Yeo, J.; Kweon, H.; Woo, S.; Lee, I.; Lee, M.; Lee, M. Studies on the Antimicorbial Effect of Collected Bee Venom Using Electric Shock Method (Ⅰ). Korean J. Apic. 2005, 20, 53–58. [Google Scholar]
- Lantz, R.C.; Chen, G.; Solyom, A.; Jolad, S.; Timmermann, B. The effect of turmeric extracts on inflammatory mediator production. Phytomedicine 2005, 12, 445–452. [Google Scholar] [CrossRef]
Sample Availability: Not available. |






| Chemokine and Cytokine | QM Extract | n-Hexane Layer | EtOAc Layer | H2O Layer |
|---|---|---|---|---|
| IC50 (μg/mL) | ||||
| MCP-1 | 32.9 ± 2.7 b | <100 | 17.0 ± 1.5 a | 36.3 ± 0.4 b |
| TARC | 36.0 ± 1.7 b | <100 | 16.1 ± 0.8 a | 49.9 ± 0.7 b |
| IL-6 | 37.1 ± 0.9 b | <100 | 25.0 ± 1.1 a | 56.3 ± 2.1 c |
| IL-8 | 27.4 ± 1.1 b | <100 | 20.5 ± 1.9 a | 45.5 ± 1.5 b |
| IL-10 | 15.8 ± 1.3 a | <100 | 9.3 ± 2.2 a | 55.6 ± 2.3 b |
| IL-13 | 21.1 ± 2.2 a | <100 | 5.8 ± 0.4 a | 65.0 ± 1.7 b |
| Chemokine and Cytokine | 1 | 2 | 3 | 4 | 5 | 6 |
|---|---|---|---|---|---|---|
| IC50 (μM) | ||||||
| MCP-1 | 8.5 ± 2.3 a | 78.7 ± 1.1 d | 74.2 ± 5.5 b | 13.7 ± 4.1 ab | <100 | 15.2 ± 1.1 ab |
| TARC | 6.9 ± 0.4 a | 42.6 ± 1.9 c | 20.7 ± 2.2 b | 11.2 ± 1.5 ab | 42.5 ± 2.5 c | 16.2 ± 1.5 ab |
| IL-6 | 16.4 ± 2.1 ab | 39.0 ± 2.2 bc | 36.3 ± 3.1 b | 14.5 ± 1.7 a | 37.8 ± 2.6 bc | 16.6 ± 0.8 a |
| IL-8 | 16.5 ± 1.3 b | 26.4 ± 0.9 c | 40.1 ± 1.5 d | 18.5 ± 0.3 b | 3.1 ± 1.2 a | 25.8 ± 0.7 c |
| IL-10 | 5.4 ± 0.6 a | 8.9 ± 1.1 a | 15.7 ± 4.3 bc | 7.3 ± 0.6 a | 13.6 ± 1.5 b | 15.6 ± 2.3 b |
| IL-13 | 16.1 ± 1.4 a | 40.4 ± 2.6 c | 44.8 ± 2.2 c | 26.2 ± 0.5 b | 32.6 ± 0.5 bc | 28.1 ± 0.9 b |
| Gene | Sense | Antisense |
|---|---|---|
| MDC | GCATGGCTCGCCTACAGACT | GCAGGGAGGGAGGCAGAGGA |
| TARC | ATGGCCCCACTGAAGATGCT | TGAACACCAACGGTGGAGGT |
| IL-6 | ATGAACTCCTTCTCCACAAGC | GTTTTCTGCCAGTGCCTCTTTG |
| IL-8 | ATGACTTCCAAGCTGGCCGTGGCT | TCTCAGCCCTCTTCAAAAACTTCT |
| IL-10 | GCCTAACATGCTTCGAGATC | CTCATGGCTTTGTAGATGCC |
| IL-13 | TGAGGAGCTGGTCAACATCA | CAGGTTGATGCTCCATACCAT |
| MCP-1 | ACTGAAGCTCGTACTCTC | CTTGGGTTGTGGAGTGAG |
| COX-2 | CTGGCACCCAGCACAATGAAG | ACCGACTGCTGTCACCTTCA |
© 2019 by the authors. Licensee MDPI, Basel, Switzerland. This article is an open access article distributed under the terms and conditions of the Creative Commons Attribution (CC BY) license (http://creativecommons.org/licenses/by/4.0/).
Share and Cite
Yin, J.; Kim, H.H.; Hwang, I.H.; Kim, D.H.; Lee, M.W. Anti-Inflammatory Effects of Phenolic Compounds Isolated from Quercus Mongolica Fisch. ex Ledeb. on UVB-Irradiated Human Skin Cells. Molecules 2019, 24, 3094. https://doi.org/10.3390/molecules24173094
Yin J, Kim HH, Hwang IH, Kim DH, Lee MW. Anti-Inflammatory Effects of Phenolic Compounds Isolated from Quercus Mongolica Fisch. ex Ledeb. on UVB-Irradiated Human Skin Cells. Molecules. 2019; 24(17):3094. https://doi.org/10.3390/molecules24173094
Chicago/Turabian StyleYin, Jun, Han Hyuk Kim, In Hyeok Hwang, Dong Hee Kim, and Min Won Lee. 2019. "Anti-Inflammatory Effects of Phenolic Compounds Isolated from Quercus Mongolica Fisch. ex Ledeb. on UVB-Irradiated Human Skin Cells" Molecules 24, no. 17: 3094. https://doi.org/10.3390/molecules24173094
APA StyleYin, J., Kim, H. H., Hwang, I. H., Kim, D. H., & Lee, M. W. (2019). Anti-Inflammatory Effects of Phenolic Compounds Isolated from Quercus Mongolica Fisch. ex Ledeb. on UVB-Irradiated Human Skin Cells. Molecules, 24(17), 3094. https://doi.org/10.3390/molecules24173094
