Romanian Wormwood (Artemisia absinthium L.): Physicochemical and Nutraceutical Screening
Abstract
:1. Introduction
2. Results
2.1. Physicochemical Analysis
2.1.1. Thermal Analysis
2.1.2. FT-IR Investigations
2.2. Phenolic Composition
2.2.1. Raw Profiling
2.2.2. LC-MS Fingerprint
2.2.3. Antioxidant Activity
2.3. Bioactivity
2.3.1. Cytotoxicity and Selectivity Index Assessment
2.3.2. Scratch Assay Assessment
2.3.3. Anti-Inflammatory Assessment
3. Discussion
3.1. Physicochemical Analysis
3.2. Phenolic Composition
3.3. Bioactivity
4. Materials and Methods
4.1. Chemicals and Reagents
4.2. Cell Lines
4.3. Plant Material
4.4. Preparation of A. absinthium L. Ethanolic Extracts
4.5. Physico-Chemical Characterization
4.6. Antioxidant Activity Assay
4.7. Determination of Total Phenolic Content and Total Flavonoid Content of A. Absinthium
4.8. Alamar Blue Assay–Cell Viability Assessment
4.9. Selectivity-Index
4.10. Scratch Assay–Assessment of the Anti-Migratory Potential
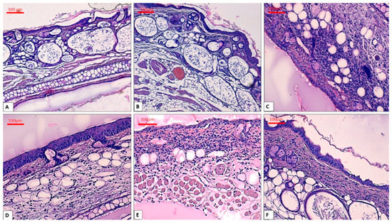
4.11. In Vivo TPA-Induced Ear Inflammation Protocol
4.12. Histopathological Assessment of Mice Ears
4.13. Statistical Analysis
5. Conclusions
Supplementary Materials
Author Contributions
Funding
Conflicts of Interest
Abbreviations
| LC-MS | Liquid chromatography–mass spectrometry |
| TG-DSC | Thermogravimetry-differential scanning calorimeter analysis |
| FT-IR | Fourier-transform infrared spectroscopy |
| Rt | Retention time |
| DPPH | 2,2-Diphenyl-1-picrylhydrazyl |
| AOA | Antioxidant activity |
| IC50 | Maximal inhibitory concentration |
| IP | Inhibition percentage |
| HaCaT | Human keratinocytes |
| MCF7 | Human breast adenocarcinoma cell line |
| PBS | Phosphate-buffered saline |
| A375 | Human melanoma cell line |
| ATCC | American Type Culture Collection |
| DMEM | Dulbecco’s Modified Eagle’s Medium |
| EMEM | Eagle’s Minimum Essential Medium |
| FBS | Fetal bovine serum |
| SD | Standard deviation |
| TPA | 12-O-Tetradecanoylphorbol-13-acetate |
| ROS | Reactive oxygen species |
| MS | Mass spectroscopy |
| ESI | Electrospray ionization |
| SIM | Single ion monitoring mode |
| SI | Selectivity index |
| mg GAE | Milligrams of gallic equivalents |
| mg CE | Milligrams cathechin equivalents |
References
- Deans, S.G.; Kennedy, A.I. Artemisia absinthium. In Artemisia, 1st ed.; Wright, C.W., Ed.; CRC Press: London, UK, 2001; pp. 79–90. [Google Scholar]
- Bora, K.S.; Sharma, A. The Genus Artemisia: A Comprehensive Review. Pharm. Biol. 2011, 49, 101–109. [Google Scholar] [CrossRef] [PubMed]
- European Medicines Agency. Assessment Report on Artemisia absinthium L., herba. Available online: https://docplayer.net/90203895-Assessment-report-on-artemisia-absinthium-l-herba.html (accessed on 24 August 2019).
- Ivanescu, B.; Miron, A.; Lungu, C. Histo-anatomy of vegetative organs of some Artemisia species. Med. Surg. J. 2015, 119, 917–924. [Google Scholar]
- Bruneton, J. Pharmacognosie. Phytochimie. Plantes Médicinales, 5th ed.; Lavoisier: Paris, France, 2016; pp. 767–769. [Google Scholar]
- Hänsel, R.; Sticher, O. Pharmakognosie–Phytopharmazie, 8th ed.; Springer: Heidelberg, Germany, 2007; pp. 443–445. [Google Scholar]
- Lee, Y.J.; Thiruvengadam, M.; Chung, I.M.; Nagella, P. Polyphenol composition and antioxidant activity from the vegetable plant Artemisia absinthium L. AJCS 2013, 7, 1921–1926. [Google Scholar]
- Omer, B.; Krebs, S.; Omer, H.; Noor, T.O. Steroid-sparing effect of wormwood (Artemisia absinthium) in Crohn’s disease: A double-blind placebo-controlled study. Phytomedicine 2007, 14, 87–95. [Google Scholar] [CrossRef] [PubMed]
- Krebs, S.; Omer, T.N.; Omer, B. Wormwood (Artemisia absinthium) suppresses tumour necrosis factor alpha and accelerates healing in patients with Crohn’s disease—A controlled clinical trial. Phytomedicine 2010, 17, 305–309. [Google Scholar] [CrossRef] [PubMed]
- Krebs, S.; Omer, B.; Omer, T.N.; Fliser, D. Wormwood (Artemisia absinthium) for poorly responsive early-stage IgA nephropathy: A pilot uncontrolled trial. Am. J. Kidney Dis. 2010, 56, 1095–1099. [Google Scholar] [CrossRef] [PubMed]
- Easmin, S.; Sarker, M.Z.I.; Ghafoor, K.; Ferdosh, S.; Jaffri, J.; Ali, M.E.; Mirhosseini, H.; Al-Juhaimi, F.Y.; Perumal, V.; Khatib, A. Rapid investigation of α-glucosidase inhibitory activity of Phaleria macrocarpa extracts using FTIR-ATR based fingerprinting. J. Food Drug Anal. 2017, 25, 306–315. [Google Scholar] [CrossRef] [PubMed]
- Szymczycha-Madeja, A.; Welna, M.; Zyrnicki, W. Multi-element analysis, bioavailability and fractionation of herbal tea products. J. Braz. Chem. Soc. 2013, 24, 777–787. [Google Scholar] [CrossRef]
- Mohani, N.; Ahmad, M.; Mehjabeen; Jahan, N. Evaluation of phytoconstituents of three plants Acorus calamus linn. Artemisia absinthium Linn and Bergenia himalaica boriss by FTIR spectroscopic analysis. Pak. J. Pharm. Sci. 2014, 27, 2251–2255. [Google Scholar] [PubMed]
- Malaikozhundan, B.; Vaseeharan, B.; Vijayakumar, S.; Sudhakaran, R.; Gobi, N.; Shanthini, G. Antibacterial and antibiofilm assessment of Momordica charantia fruit extract coated silver nanoparticles. Biocatal. Agric. Biotechnol. 2016, 8, 189–196. [Google Scholar] [CrossRef]
- Chang, H.; Kao, M.J.; Chen, T.L.; Chen, C.H.; Cho, K.C.; Lai1, X.R. Characterization of Natural Dye Extracted from Wormwood and Purple Cabbage for Dye-Sensitized Solar Cells. Int. J. Photoenergy 2013, 1–8. [Google Scholar] [CrossRef]
- Kumar, P.; SenthamilSelvi, S.; LakshmiPraba, A.; PremKumar, K.; Ganeshkumar, R.S.; Govindaraju, M. Synthesis of silver nanoparticles from Sargassum tenerrimum and screening phytochemcials for its anti-bacterial activity. Nano Biomed. Eng. 2012, 4, 12–16. [Google Scholar] [CrossRef]
- Li, Y.Q.; Kong, D.X.; Wu, H. Analysis and evaluation of essential oil components of cinnamon barks using GC–MS and FTIR spectroscopy. Ind. Crops Prod. 2013, 41, 269–278. [Google Scholar] [CrossRef]
- Heredia-Guerrero, J.A.; Benítez, J.J.; Domínguez, E.; Bayer, I.S.; Cingolani, R.; Athanassiou, A.; Heredia, A. Infrared and Raman spectroscopic features of plant cuticles: A review. Front. Plant Sci. 2014, 5, 305. [Google Scholar] [CrossRef] [PubMed]
- Dai, J.; Mumper, R.J. Plant phenolics: Extraction, analysis and their antioxidant and anticancer properties. Molecules 2010, 15, 7313–7352. [Google Scholar] [CrossRef] [PubMed]
- Bhat, M.Y.; Gul, M.Z.; Lohamror, L.R.; Qureshi, I.A.; Ghazi, I.A. An in vitro Study of the Antioxidant and Antiproliferative Properties of Artemisia absinthium—A Potent Medicinal Plant. Free Radic. Antioxid. 2018, 8, 18–25. [Google Scholar]
- Bora, K.S.; Sharma, A. Evaluation of antioxidant and free-radical scavenging potential of Artemisia absinthium. Pharm. Biol. 2011, 49, 1216–1223. [Google Scholar] [CrossRef] [PubMed]
- Msaada, K.; Salem, N.; Bachrouch, O.; Bousselmi, S.; Tammar, S.; Alfaify, A.; Al Sane, K.; Ben Ammar, W.; Azeiz, S.; Haj Brahim, A.; et al. Chemical composition and antioxidant and antimicrobial activities of wormwood (Artemisia absinthium L.) essential oils and phenolics. J. Chem. 2015, 804658, 1–12. [Google Scholar] [CrossRef]
- Ivanescu, B.; Vlase, L.; Lungu, C.; Corciova, A. HPLC analysis of phenolic compounds from Artemisia species. Eur. Chem. Bull. 2016, 5, 119–123. [Google Scholar]
- Sengul, M.; Ercisli, S.; Yildiz, H.; Gungor, N.; Kavaz, A.; Çetin, B. Antioxidant, antimicrobial activity and total phenolic content within the aerial parts of Artemisia absinthum, Artemisia santonicum and Saponaria officinalis. Iran. J. Pharm. Res. 2011, 10, 49–56. [Google Scholar]
- Kumar, S.; Pandey, A.K. Chemistry and biological activities of flavonoids: An overview. Sci. World J. 2013, 1–16. [Google Scholar] [CrossRef]
- Singh, R.; Verma, P.K.; Singh, G. Total phenolic, flavonoids and tannin contents in different extracts of Artemisia absinthium. J. Intercult. Ethnopharmacol. 2012, 1, 101–104. [Google Scholar] [CrossRef]
- Ivanescu, B.; Vlase, L.; Corciova, A.; Lazar, M.I. HPLC-DAD-MS study of polyphenols from Artemisia absinthium, A. annua, and A. vulgaris. Chem. Nat. Compd. 2010, 46, 468–470. [Google Scholar] [CrossRef]
- Craciunescu, O.; Constantin, D.; Gaspar, A.; Toma, L.; Utoiu, E.; Moldovan, L. Evaluation of antioxidant and cytoprotective activities of Arnica montana L. and Artemisia absinthium L. ethanolic extracts. Chem. Cent. J. 2012, 6, 97. [Google Scholar] [CrossRef] [PubMed]
- Aberham, A.; Cicek, S.S.; Schneider, P.; Stuppner, H. Analysis of Sesquiterpene Lactones, Lignans, and Flavonoids in Wormwood (Artemisia absinthium L.) Using High-Performance Liquid Chromatography (HPLC)−Mass Spectrometry, Reversed Phase HPLC, and HPLC−Solid Phase Extraction−Nuclear Magnetic Resonance. J. Agric. Food Chem. 2010, 58, 10817–10823. [Google Scholar] [CrossRef]
- Sahin, S.; Aybastıer, O.; Işık, E. Optimisation of ultrasonic-assisted extraction of antioxidant compounds from Artemisia absinthium using response surface methodology. Food Chem. 2013, 141, 1361–1368. [Google Scholar] [CrossRef]
- Huang, D. Dietary Antioxidants and Health Promotion. Antioxidants 2018, 7, 9. [Google Scholar] [CrossRef]
- Kim, W.S.; Choi, W.J.; Lee, S.; Kim, W.J.; Lee, D.C.; Sohn, U.D.; Shin, H.S.; Kim, W. Anti-inflammatory, Antioxidant and Antimicrobial Effects of Artemisinin Extracts from Artemisia annua L. Korean J. Physiol. Pharm. 2015, 19, 21–27. [Google Scholar] [CrossRef]
- Lee, J.H.; Lee, J.M.; Lee, S.H.; Kim, Y.G.; Lee, S.; Kim, S.M.; Cha, S.W. Comparison of Artemisinin Content and Antioxidant Activity from Various Organs of Artemisia Species. Hortic. Environ. Biotechnol. 2015, 56, 697–703. [Google Scholar] [CrossRef]
- Mahmoudi, M.; Ebrahimzadeh, M.A.; Ansaroudi, F.; Nabavi, S.F.; Nabavi, S.M. Antidepressant and antioxidant activities of Artemisia absinthium L. at flowering stage. Afr. J. Biotechnol. 2009, 8, 7170–7175. [Google Scholar]
- Koyuncu, I. Evaluation of anticancer, antioxidant activity and phenolic compounds of Artemisia absinthium L. Extract. Cell Mol. Biol. 2018, 64, 25–34. [Google Scholar] [CrossRef]
- Gordanian, B.; Behbahani, M.; Carapetian, J.; Fazilati, M. In vitro evaluation of cytotoxic activity of flower, leaf, stem and root extracts of five Artemisia species. Res. Pharm. Sci. 2014, 9, 91–96. [Google Scholar]
- Badisa, R.B.; Darling-Reed, S.F.; Joseph, P.; Cooperwood, J.S.; Latinwo, L.M.; Goodman, C.B. Selective cytotoxic activities of two novel synthetic drugs on human breast carcinoma MCF-7 cells. Anticancer Res. 2009, 29, 2993–2996. [Google Scholar]
- Peña-Morán, O.A.; Villarreal, M.L.; Álvarez-Berber, L.; Meneses-Acosta, A.; Rodríguez-López, V. Cytotoxicity, Post-Treatment Recovery, and Selectivity Analysis of Naturally Occurring Podophyllotoxins from Bursera fagaroides var. fagaroides on Breast Cancer Cell Lines. Molecules 2016, 21, 1013. [Google Scholar]
- Shafi, G.; Hasan, T.N.; Syed, N.A.; Al-Hazzani, A.A.; Alshatwi, A.A.; Jyothi, A.; Munshi, A. Artemisia absinthium (AA): A novel potential complementary and alternative medicine for breast cancer. Mol. Biol. Rep. 2012, 39, 7373–7379. [Google Scholar] [CrossRef]
- Wei, X.; Xia, L.; Ziyayiding, D.; Chen, Q.; Liu, R.; Xu, X.; Li, J. The Extracts of Artemisia absinthium L. Suppress the Growth of Hepatocellular Carcinoma Cells through Induction of Apoptosis via Endoplasmic Reticulum Stress and Mitochondrial-Dependent Pathway. Molecules 2019, 24, 913. [Google Scholar] [CrossRef]
- Bralley, E.E.; Greenspan, P.; Hargrove, J.L.; Wicker, L.; Hartle, D.K. Topical anti-inflammatory activity of Polygonum cuspidatum extract in the TPA model of mouse ear inflammation. J. Inflamm. (Lond.) 2008, 5, 1. [Google Scholar] [CrossRef]
- Mau, J.L.; Chang, C.N.; Huang, S.J.; Chen, C.C. Antioxidant properties of methanolic extracts from Grifola frondosa, Morchella esculenta and Termitomyces albuminosus mycelia. Food Chem. 2004, 87, 111–118. [Google Scholar] [CrossRef]
- Toiu, A.; Mocan, A.; Vlase, L.; Pârvu, A.E.; Vodnar, D.C.; Gheldiu, A.M.; Moldovan, C.; Oniga, I. Comparative Phytochemical Profile, Antioxidant, Antimicrobial and In Vivo Anti-Inflammatory Activity of Different Extracts of Traditionally Used Romanian Ajuga genevensis L. and A. reptans L. (Lamiaceae). Molecules 2019, 24, 1597. [Google Scholar] [CrossRef]
- Manzocco, L.; Anese, M.; Nicoli, M.C. Antioxidant Properties of Tea Extracts as Affected by Processing. LWT—Food Sci. Technol. 1998, 31, 694–698. [Google Scholar] [CrossRef]
- Riahi, L.; Chograni, H.; Elferchichi, M.; Zaouali, Y.; Zoghlami, N.; Mliki, A. Variations in Tunisian wormwood essential oil profiles and phenolic contents between leaves and flowers and their effects on antioxidant activities. Ind. Crops Prod. 2013, 46, 290–296. [Google Scholar] [CrossRef]
- Siewert, B.; Pianowski, E.; Obernauer, A.; Csuk, R. Towards cytotoxic and selective derivatives of maslinic acid. Bioorg. Med. Chem. 2014, 22, 594–615. [Google Scholar] [CrossRef]
- Ghițu, A.; Schwiebs, A.; Radeke, H.H.; Avram, S.; Zupko, I.; Bor, A.; Pavel, I.Z.; Dehelean, C.A.; Oprean, C.; Bojin, F.; et al. A Comprehensive Assessment of Apigenin as an Antiproliferative, Proapoptotic, Antiangiogenic and Immunomodulatory Phytocompound. Nutrients 2019, 11, 858. [Google Scholar] [CrossRef]
- Felice, F.; Zambito, Y.; Belardinelli, E.; Fabiano, A.; Santoni, T.; Di Stefano, R. Effect of different chitosan derivatives on in vitro scratch wound assay: A comparative study. Int. J. Biol. Macromol. 2015, 76, 236–241. [Google Scholar] [CrossRef]
Sample Availability: Not available. |






| Characteristic Absorptions [cm−1] Leaves Extract/Stems Extract | Functional Group | Bond |
|---|---|---|
| 3365.78/3381.21 | Amines, amide, alcohol | N-H stretching O-H stretch (H-bonded) |
| 2926.01/2924.09; 2852.72 | Alkanes | C-H strech |
| 1616.35/1600.92 | Amide | N-H bending |
| 1516.05/1506.41 | Nitro compounds | N-O asymmetric strech |
| 1456.26 | Aromatics | C=C stretch (in ring) |
| 1398.39/1384.89 | Alkanes | -C-H bending |
| 1338.60/- | Amines | C-N strech |
| 1265.30/1269.16; 1238.30 | Acids | C-O strech |
| 1068.56/1068.56; 1124.50 | Alcohols | C-O stretch |
| 866.04/912.33 | Alkenes | =C-H bending |
| 817.82/817.82 | Alkenes | =C-H bending |
| 769.60/767.67 | Alkenes | =C-H bending |
| 655.80/657.73 | Alkenes | =C-H bending |
| 617.22/611.43 | Alkenes | =C-H bending |
| 534.28/534.28 | Alkenes | =C-H bending |
| Extract | Total Phenolic Content (mg GAE/g Extract) | Total Flavonoid Content (mg CE/g Extract) |
|---|---|---|
| Leaves extract | 54.68 ± 1.93 | 43.08 ± 2.47 |
| Stems extract | 44.15 ± 1.12 | 34.14 ± 2.16 |
| Compound Name | Rt (min) | [M − H+]+ (m/z) | A. absinthium Leaves (µg/mg d.w.) | A. absinthium Stems (µg/mg d.w.) | |
|---|---|---|---|---|---|
| 1. | Gentisic acid | 2.67 | 153 | ND | NQ |
| 2. | Chlorogenic acid | 6.45 | 353 | 1.94 | 2.03 |
| 3. | Caffeic acid | 6.97 | 179 | NQ | NQ |
| 4. | p-Coumaric acid | 10.56 | 163 | NQ | ND |
| 5. | Isoquercitrin | 22.50 | 463 | 0.04 | 0.07 |
| 6. | Rutin | 23.01 | 609 | 0.08 | 0.55 |
| 7. | Quercitrin | 26.18 | 447 | 0.11 | 0.05 |
| 8. | Luteolin | 32.78 | 285 | NQ | ND |
| 9. | Apigenin | 36.91 | 269 | NQ | ND |
| Ascorbic Acid | A. absinthium Leaves Extract | A. absinthium Stems Extract | |||
|---|---|---|---|---|---|
| Concentration [mg/mL] | % Inhibition | Concentration [mg/mL] | % Inhibition | Concentration [mg/mL] | % Inhibition |
| 0.1 | 94.88 ± 0.029 | 2 | 53.11 ± 0.014 | 2 | 55.77 ± 0.054 |
| 0.08 | 95.47 ± 0.001 | 1.4 | 49.47 ± 0.015 | 1.4 | 56.84 ± 0.026 |
| 0.06 | 95.06 ± 0.001 | 0.7 | 47.32 ± 0.026 | 0.7 | 48.79 ± 0.015 |
| 0.04 | 94.85 ± 0.0015 | 0.2 | 32.61 ± 0.020 | 0.2 | 37.71 ± 0.019 |
| 0.02 | 83.19 ± 0.005 | 0.1 | 31.15 ± 0.021 | 0.1 | 34.02 ± 0.056 |
| Extract | HaCaT IC50 (µg/mL) | A375 IC50 (µg/mL) | MCF7 IC50 (µg/mL) | SI * |
|---|---|---|---|---|
| A. absinthium leaves | 397.7 ± 7.2 | 295.4 ± 7.1 - | - 250.6 ± 6.3 | 1.35 1.59 |
| A. absinthium stems | 361.8 ± 9.3 | 312 ± 3.4 - | - 246.8 ± 7.2 | 1.16 1.47 |
| Group No. | Group Name | Description |
|---|---|---|
| 1 | Control | With no intervention |
| 2 | Control + Acetone | Acetone (solvent for TPA)—20 μL/mouse ear |
| 3 | TPA | TPA solution (20 μL/mouse ear) |
| 4 | TPA + Indomethacin | Indomethacine cream (4%) was topically applied after the TPA solution |
| 5 | TPA + A. absinthium L. leaves extract | A. absinthium leaves extract (~2%) was topically applied after the TPA solution |
| 6 | TPA + A. absinthium L. stems extract | A. absinthium stems extract (~2%) was topically applied after the TPA solution |
© 2019 by the authors. Licensee MDPI, Basel, Switzerland. This article is an open access article distributed under the terms and conditions of the Creative Commons Attribution (CC BY) license (http://creativecommons.org/licenses/by/4.0/).
Share and Cite
Moacă, E.-A.; Pavel, I.Z.; Danciu, C.; Crăiniceanu, Z.; Minda, D.; Ardelean, F.; Antal, D.S.; Ghiulai, R.; Cioca, A.; Derban, M.; et al. Romanian Wormwood (Artemisia absinthium L.): Physicochemical and Nutraceutical Screening. Molecules 2019, 24, 3087. https://doi.org/10.3390/molecules24173087
Moacă E-A, Pavel IZ, Danciu C, Crăiniceanu Z, Minda D, Ardelean F, Antal DS, Ghiulai R, Cioca A, Derban M, et al. Romanian Wormwood (Artemisia absinthium L.): Physicochemical and Nutraceutical Screening. Molecules. 2019; 24(17):3087. https://doi.org/10.3390/molecules24173087
Chicago/Turabian StyleMoacă, Elena-Alina, Ioana Zinuca Pavel, Corina Danciu, Zorin Crăiniceanu, Daliana Minda, Florina Ardelean, Diana Simona Antal, Roxana Ghiulai, Andreea Cioca, Mihnea Derban, and et al. 2019. "Romanian Wormwood (Artemisia absinthium L.): Physicochemical and Nutraceutical Screening" Molecules 24, no. 17: 3087. https://doi.org/10.3390/molecules24173087
APA StyleMoacă, E.-A., Pavel, I. Z., Danciu, C., Crăiniceanu, Z., Minda, D., Ardelean, F., Antal, D. S., Ghiulai, R., Cioca, A., Derban, M., Simu, S., Chioibaş, R., Szuhanek, C., & Dehelean, C.-A. (2019). Romanian Wormwood (Artemisia absinthium L.): Physicochemical and Nutraceutical Screening. Molecules, 24(17), 3087. https://doi.org/10.3390/molecules24173087

