Two-Holder Strategy for Efficient and Selective Synthesis of Lk 1 ssDNA Catenane
Abstract
1. Introduction
2. Results and Discussion
2.1. Two-Holder Strategy to Synthesize Lk 1 Catenanes Selectively from Two ssDNA Strands in High Yields
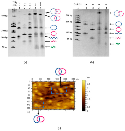
2.2. Evidence for Catenane Formation
2.3. Verification of Lk 1 Structure of the DNA Catenane Synthesized by the Two-Holder Strategy
2.4. Effects of the Lengths of Holder Strands
2.5. Successful Preparation of Lk 1 Catenane Even in the Presence of Mismatches between Quasi-Rings
3. Materials and Methods
3.1. Materials
3.2. Preparation of α/β-Catenane Using Two Holder Strands
3.3. Preparation of Monocyclic DNA
3.4. Restriction Digestion of α/β-Catenane by CvikI-1
3.5. Denaturing PAGE
4. Conclusions
Author Contributions
Funding
Conflicts of Interest
References
- Seeman, N.C. Nucleic-acid junctions and lattices. J. Theor. Biol. 1982, 99, 237–247. [Google Scholar] [CrossRef]
- Rothemund, P.W.K. Folding DNA to create nanoscale shapes and patterns. Nature 2006, 440, 297–302. [Google Scholar] [CrossRef] [PubMed]
- Ke, Y. Designer three-dimensional DNA architectures. Curr. Opin. Struct. Biol. 2014, 27, 122–128. [Google Scholar] [CrossRef] [PubMed]
- Zheng, H.; Xiao, M.; Yan, Q.; Ma, Y.; Xiao, S.J. Small circular DNA molecules act as rigid motifs to build DNA nanotubes. J. Am. Chem. Soc. 2014, 136, 10194–10197. [Google Scholar] [CrossRef] [PubMed]
- Komiyama, M.; Yoshimoto, K.; Sisido, M.; Ariga, K. Chemistry can make strict and fuzzy controls for bio-systems: DNA nanoarchitectonics and cell-macromolecular nanoarchitectonics. Bull. Chem. Soc. Jpn. 2017, 90, 967–1004. [Google Scholar] [CrossRef]
- Komiyama, M.; Mori, T.; Ariga, K. Molecular imprinting: Materials nanoarchitectonics with molecular information. Bull. Chem. Soc. Jpn. 2018, 91, 1075–1111. [Google Scholar] [CrossRef]
- Wu, Z.S.; Shen, Z.; Tram, K.; Li, Y.F. Engineering interlocking DNA rings with weak physical interactions. Nat. Commun. 2014, 5, 4279. [Google Scholar] [CrossRef] [PubMed]
- Balzani, V.; Gomez-Lopez, M.; Stoddart, J.F. Molecular machines. Acc. Chem. Res. 1998, 31, 405–414. [Google Scholar] [CrossRef]
- Sauvage, J.P. Transition metal-containing rotaxanes and catenanes in motion: Toward molecular machines and motors. Acc. Chem. Res. 1998, 31, 611–619. [Google Scholar] [CrossRef]
- Schmidt, T.L.; Heckel, A. Construction of a structurally defined double-stranded DNA catenane. Nano Lett. 2011, 11, 1739–1742. [Google Scholar] [CrossRef] [PubMed]
- Billen, L.P.; Li, Y. Synthesis and characterization of topologically linked single-stranded DNA rings. Bioorg. Chem. 2004, 32, 582–598. [Google Scholar] [CrossRef] [PubMed]
- Mao, C.; Sun, W.; Seeman, N.C. Assembly of borromean rings from DNA. Nature 1997, 386, 137–138. [Google Scholar] [CrossRef] [PubMed]
- Seeman, N.C. DNA enables nanoscale control of the structure of matter. Q. Rev. Biophys. 2005, 38, 363–371. [Google Scholar] [CrossRef] [PubMed]
- Zhang, Y.W.; Seeman, N.C. Construction of a DNA-truncated octahedron. J. Am. Chem. Soc. 1994, 116, 1661–1669. [Google Scholar] [CrossRef]
- Wilner, O.I.; Weizmann, Y.; Gill, R.; Lioubashevski, O.; Freeman, R.; Willner, I. Enzyme cascades activated on topologically programmed DNA scaffolds. Nat. Nanotechnol. 2009, 4, 249–254. [Google Scholar] [CrossRef] [PubMed]
- Qi, X.J.; Lu, C.H.; Cecconello, A.; Yang, H.H.; Willner, I. A two-ring interlocked DNA catenane rotor undergoing switchable transitions across three states. Chem. Commun. 2014, 50, 4717–4720. [Google Scholar] [CrossRef] [PubMed]
- Elbaz, J.; Cecconello, A.; Fan, Z.Y.; Govorov, A.O.; Willner, I. Powering the programmed nanostructure and function of gold nanoparticles with catenated DNA machines. Nat. Commun. 2013, 4, 2000. [Google Scholar] [CrossRef] [PubMed]
- Hu, L.Z.; Lu, C.H.; Willner, I. Switchable catalytic DNA catenanes. Nano Lett. 2015, 15, 2099–2103. [Google Scholar] [CrossRef] [PubMed]
- Weizmann, Y.; Braunschweig, A.B.; Wilner, O.I.; Cheglakov, Z.; Willner, I. A polycatenated DNA scaffold for the one-step assembly of hierarchical nanostructures. Proc. Natl. Acad. Sci. USA 2008, 105, 5289–5294. [Google Scholar] [CrossRef] [PubMed]
- Lu, C.H.; Qi, X.J.; Cecconello, A.; Jester, S.S.; Famulok, M.; Willner, I. Switchable reconfiguration of an interlocked DNA olympiadane nanostructure. Angew. Chem. Int. Ed. 2014, 53, 7499–7503. [Google Scholar] [CrossRef] [PubMed]
- Lu, C.H.; Cecconello, A.; Elbaz, J.; Credi, A.; Willner, I. A three-station DNA catenane rotary motor with controlled directionality. Nano Lett. 2013, 13, 2303–2308. [Google Scholar] [CrossRef] [PubMed]
- Hudson, B.; Vinograd, J. Catenated circular DNA molecules in Hela cell mitochondria. Nature 1967, 216, 647–652. [Google Scholar] [CrossRef] [PubMed]
- Lohmann, F.; Valero, J.; Famulok, M. A novel family of structurally stable double stranded DNA catenanes. Chem. Commun. 2014, 50, 6091–6093. [Google Scholar] [CrossRef] [PubMed]
- Zhou, M.; Liang, X.; Mochizuki, T.; Asanuma, H. A light-driven DNA nanomachine for the efficient photoswitching of RNA digestion. Angew. Chem. Int. Ed. 2010, 49, 2167–2170. [Google Scholar] [CrossRef] [PubMed]
- Qi, X.J.; Lu, C.H.; Liu, X.Q.; Shimron, S.; Yang, H.H.; Willner, I. Autonomous control of interfacial electron transfer and the activation of DNA machines by an oscillatory pH system. Nano Lett. 2013, 13, 4920–4924. [Google Scholar] [CrossRef] [PubMed]
- Vologodskii, A.V.; Cozzarelli, N.R. Monte-Carlo analysis of the conformation of DNA catenanes. J. Mol. Biol. 1993, 232, 1130–1140. [Google Scholar] [CrossRef] [PubMed]
- Liang, X.; Kuhn, H.; Frank-Kamenetskii, M.D. Monitoring single-stranded DNA secondary structure formation by determining the topological state of DNA catenanes. Biophys. J. 2006, 90, 2877–2889. [Google Scholar] [CrossRef] [PubMed]
- Li, Q.; Wu, G.; Wu, W.; Liang, X. Effective synthesis of topolgically linked three-ring DNA catenanes. Chem. Bio. Chem. 2016, 17, 1127–1131. [Google Scholar] [CrossRef] [PubMed]
- Bucka, A.; Stasiak, A. Construction and electrophoretic migration of single-stranded DNA knots and catenanes. Nucleic Acids Res. 2002, 30, e24. [Google Scholar] [CrossRef] [PubMed]
- Goncalves, D.P.; Schmidt, T.L.; Koeppel, M.B.; Heckel, A. DNA minicircles connected via G-quadruplex interaction modules. Small 2010, 6, 1347–1352. [Google Scholar] [CrossRef] [PubMed]
Sample Availability: Samples of the monomeric rings and the DNA catenanes are available from the authors. |






| Strand | Sequences (5′–3′) | Length (nt) |
|---|---|---|
| LDNAα | p-GACTAGAGCAGATAtaatacgactCACTATAGGGATACAATAGGCAGC TGGACGTGTACCAAGTTAGCAGTCATG | 75 |
| LDNAβ | p-ATGTCTGGTTCGTCTCACGACTCATCACGCCCTATAGTG gatcagcacACATCATATCACAGC | 63 |
| HSI | GTACACGTCCAGCTGCCTATTGTATCGTGATGAGTCGTGAGACGAA | 46 |
| HSII | gtgctgatcagtcgtatta | 19 |
| RSα | CTAGTCCATGAC | 12 |
| RSβ | AGACATGCTGTG | 12 |
| LDNAγ | p-TCTAAGCCATCCGCAAAAATGACCTCTTATCAAAAGGAGCAA ttaaaggtactCTCTAATCCTGACCTGTTG | 72 |
| LDNAδ | p-GTCTGCTGCTATTTttggttctataGTTCTCCGTATACGTTTTCTTCAAA CAGGTCTCC | 59 |
| HSI′ | GTTTGAAGAAAACGTTAGATAAGAGGTCATTTTTGCGG | 38 |
| HSII′ | agtacctttatgatagaaccaa | 22 |
| RSγ | CTTAGACAACAG | 12 |
| RSδ | GCAGACGGAGAC | 12 |
© 2018 by the authors. Licensee MDPI, Basel, Switzerland. This article is an open access article distributed under the terms and conditions of the Creative Commons Attribution (CC BY) license (http://creativecommons.org/licenses/by/4.0/).
Share and Cite
Li, Q.; Li, J.; Cui, Y.; Liu, S.; An, R.; Liang, X.; Komiyama, M. Two-Holder Strategy for Efficient and Selective Synthesis of Lk 1 ssDNA Catenane. Molecules 2018, 23, 2270. https://doi.org/10.3390/molecules23092270
Li Q, Li J, Cui Y, Liu S, An R, Liang X, Komiyama M. Two-Holder Strategy for Efficient and Selective Synthesis of Lk 1 ssDNA Catenane. Molecules. 2018; 23(9):2270. https://doi.org/10.3390/molecules23092270
Chicago/Turabian StyleLi, Qi, Jing Li, Yixiao Cui, Sheng Liu, Ran An, Xingguo Liang, and Makoto Komiyama. 2018. "Two-Holder Strategy for Efficient and Selective Synthesis of Lk 1 ssDNA Catenane" Molecules 23, no. 9: 2270. https://doi.org/10.3390/molecules23092270
APA StyleLi, Q., Li, J., Cui, Y., Liu, S., An, R., Liang, X., & Komiyama, M. (2018). Two-Holder Strategy for Efficient and Selective Synthesis of Lk 1 ssDNA Catenane. Molecules, 23(9), 2270. https://doi.org/10.3390/molecules23092270

