Establishment of a PCR Assay for the Detection and Discrimination of Authentic Cordyceps and Adulterant Species in Food and Herbal Medicines
Abstract
1. Introduction
2. Results
2.1. Species Identification of Fungal Materials and Analysis of the nrDNA-ITS Sequences
2.2. Development of the SCAR Markers and the Real-Time PCR Assays
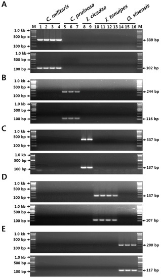
2.3. Verification of the SCAR Markers and the Real-Time PCR Assay Using Commercial Products
3. Discussion
4. Materials and Methods
4.1. Fungal Material, DNA Extraction, and Sequencing
4.2. Phylogenetic Analysis
4.3. PCR Amplification of nrDNA-ITS and Species Identification
4.4. Analysis of the nrDNA-ITS Sequences and Development of SCAR Markers
4.5. Establishment of a SYBR Green Real-Time PCR Assay
4.6. Verification of the SCAR Markers and Real-Time PCR Assay Using Commercial Products
4.7. Data Availability
5. Conclusions
Supplementary Materials
Author Contributions
Funding
Acknowledgments
Conflicts of Interest
References
- Kuo, H.C.; Su, T.L.; Yang, H.L.; Chen, T.Y. Identification of chinese medicinal fungus Cordyceps sinensis by PCR single stranded confromation polymorphism and phylogenetic relationship. J. Agric. Food Chem. 2005, 53, 3963–3968. [Google Scholar] [CrossRef] [PubMed]
- Korea Institute of Oriental Medicine. Defining Dictionary for Medicinal Herbs. Available online: http://boncho.kiom.re.kr/codex/ (accessed on 6 June 2018). (In Korean).
- Liu, Y.; Wang, X.Y.; Gao, Z.T.; Han, J.P.; Xiang, L. Detection of Ophiocordyceps sinensis and Its Common Adulterates Using Species-Specific Primers. Front. Microbiol. 2017, 8, 1179. [Google Scholar] [CrossRef] [PubMed]
- Korea Food & Drug Administration. Korean Food Standards Codex (Food Material). Available online: https://www.foodsafetykorea.go.kr/portal/safefoodlife/foodMeterial/foodMeterialDB.do?menu_grp=MENU_NEW04&menu_no=2968 (accessed on 6 June 2018). (In Korean)
- Zhou, X.; Gong, Z.; Su, Y.; Lin, J.; Tang, K. Cordyceps fungi: Natural products, pharmacological functions and developmental products. J. Pharm. Pharmacol. 2009, 61, 279–291. [Google Scholar] [CrossRef] [PubMed]
- Lam, K.Y.; Chan, G.K.; Xin, G.Z.; Xu, H.; Ku, C.F.; Chen, J.P.; Yao, P.; Lin, H.Q.; Dong, T.T.; Tsim, K.W. Authentication of Cordyceps sinensis by DNA Analyses: Comparison of ITS Sequence Analysis and RAPD-Derived Molecular Markers. Molecules 2015, 20, 22454–22462. [Google Scholar] [CrossRef] [PubMed]
- Inglis, P.W.; Myrian, S.T. Identification and taxonomy of some entomopathogenic Paecilomyces spp.(Ascomycota) isolates using rDNA-ITS sequences. Genet. Mol. Biol. 2006, 29, 132–136. [Google Scholar] [CrossRef]
- Li, S.P.; Yang, F.Q.; Tsim, K.W. Quality control of Cordyceps sinensis, a valued traditional Chinese medicine. J. Pharm. Biomed. Anal. 2006, 41, 1571–1584. [Google Scholar] [CrossRef] [PubMed]
- Hong, E.; Lee, S.Y.; Jeong, J.Y.; Park, J.M.; Kim, B.H.; Kwon, K.; Chun, H.S. Modern Analytical Methods for the Detection of Food Fraud and Adulteration by Food Category. J. Sci. Food Agric. 2017, 97, 3877–3896. [Google Scholar] [CrossRef] [PubMed]
- Daria, S.; Rosa, R. DNA Markers for Food Products Authentication. Diversity 2014, 6, 579–596. [Google Scholar]
- Xiang, L.; Song, J.; Xin, T.; Zhu, Y.; Shi, L.; Xu, X.; Pang, X.; Yao, H.; Li, W.; Chen, S. DNA barcoding the commercial Chinese caterpillar fungus. FEMS Microbiol. Lett. 2013, 347, 156–162. [Google Scholar] [CrossRef] [PubMed]
- Chen, S.; Pang, X.; Song, J.; Shi, L.; Yao, H.; Han, J.; Leon, C. A renaissance in herbal medicine identification: From morphology to DNA. Biotechnol. Adv. 2014, 32, 1237–1244. [Google Scholar] [CrossRef] [PubMed]
- Sheorey, R.R.; Tiwati, A. Random amplified polymorphic DNA (RAPD) for identification of herbal materials and medicine—A review. J. Sci. Ind. Res. 2011, 70, 319–326. [Google Scholar]
- Vos, P.; Hogers, R.; Bleeker, M.; Reijans, M.; van de Lee, T.; Hornes, M.; Friters, A.; Pot, J.; Paleman, J.; Kuiper, M.; et al. AFLP: A new technique for DNA fingerprinting. Nucleic Acids Res. 1995, 23, 4407–4414. [Google Scholar] [CrossRef] [PubMed]
- Kim, W.J.; Moon, B.C.; Yang, S.; Han, K.S.; Choi, G.; Lee, A.Y. Rapid Authentication of the Herbal Medicine Plant Species Aralia continentalis Kitag. and Angelica biserrata CQ Yuan and RH Shan Using ITS2 Sequences and Multiplex-SCAR Markers. Molecules 2016, 21, 270. [Google Scholar] [CrossRef] [PubMed]
- Lee, Y.M.; Ji, Y.; Kang, Y.M.; Kim, W.J.; Choi, G.; Moon, B.C. Molecular authentication of Pinelliae Tuber and its common adulterants using RAPD-derived multiplex sequence characterized amplified region (multiplex-SCAR) markers. Int. J. Clin. Exp. Med. 2016, 9, 40–50. [Google Scholar]
- Moon, B.C.; Kim, W.J.; Han, K.S.; Yang, S.; Kang, Y.M.; Park, I.; Piao, R. Differentiating Authentic Adenophorae Radix from Its Adulterants in Commercially-Processed Samples Using Multiplexed ITS Sequence-Based SCAR Markers. Appl. Sci. 2017, 7, 660. [Google Scholar] [CrossRef]
- Heubl, G. New aspects of DNA-based authentication of Chinese medicinal plants by molecular biological techniques. Planta Med. 2010, 76, 1963–1974. [Google Scholar] [CrossRef] [PubMed]
- Bhagyawant, S.S. RAPD-SCAR Markers: An Interface Tool for Authentication of Traits. J. Biosci. Med. 2016, 4, 1–9. [Google Scholar] [CrossRef]
- Choi, Y.E.; Ahn, C.H.; Kim, B.B.; Yoon, E.S. Development of species specific AFLP-derived SCAR marker for authentication of Panax japonicus C. A. MEYER. Biol. Pharm. Bull. 2008, 31, 135–138. [Google Scholar] [CrossRef] [PubMed]
- Torelli, A.; Marieschi, M.; Bruni, R. Authentication of saffron (Crocus sativus L.) in different processed, retail products by means of SCAR markers. Food Control 2014, 36, 126–131. [Google Scholar] [CrossRef]
- Wolff, K.; Schoen, E.D.; Rijn, J.P. Optimizing the generation of random amplified polymorphic DNAs in chrysanthemum. Theor. Appl. Genet. 1993, 86, 1033–1037. [Google Scholar] [CrossRef] [PubMed]
- Babaei, S.; Talebi, M.; Bahar, M. Developing an SCAR and ITS reliable multiplex PCR-based assay for safflower adulterant detection in saffron samples. Food Control 2014, 35, 323–328. [Google Scholar] [CrossRef]
- Al-Kahtani, H.A.; Ismail, E.A.; Ahmed, M.A. Pork detection in binary meat mixtures and some commercial food products using conventional and real-time PCR techniques. Food Chem. 2017, 219, 54–60. [Google Scholar] [CrossRef] [PubMed]
- Gao, L.; Yu, H.X.; Kang, X.H.; Shen, H.M.; Li, C.; Liu, T.G.; Liu, B.; Chen, W.Q. Development of SCAR Markers and an SYBR Green Assay to Detect Puccinia striiformis f. sp. tritici in Infected Wheat Leaves. Plant Dis. 2016, 100, 1840–1847. [Google Scholar]
- Taboada, L.; Sanchez, A.; Sotelo, C.G. A new real-time PCR method for rapid and specific detection of ling (Molva molva). Food Chem. 2017, 228, 469–475. [Google Scholar] [CrossRef] [PubMed]
- Cammà, C.; Di Domenico, M.; Monaco, F. Development and validation of fast Real-Time PCR assays for species identification in raw and cooked meat mixtures. Food Control 2012, 23, 400–404. [Google Scholar] [CrossRef]
- Mano, J.; Nishitsuji, Y.; Kikuchi, Y.; Fukudome, S.I.; Hayashida, T.; Kawakami, H.; Kurimoto, Y.; Noguchi, A.; Kondo, K.; Teshima, R.; et al. Quantification of DNA fragmentation in processed foods using real-time PCR. Food Chem. 2017, 226, 149–155. [Google Scholar] [CrossRef] [PubMed]
- Jung, J.; Kim, K.H.; Yang, K.; Bang, K.H.; Yang, T.J. Practical application of DNA markers for high-throughput authentication of Panax ginseng and Panax quinquefolius from commercial ginseng products. J. Ginseng Res. 2014, 38, 123–129. [Google Scholar] [CrossRef] [PubMed]
- Jin, G.S.; Wang, X.L.; Li, Y.; Wang, W.J.; Yang, R.H.; Ren, S.Y.; Yao, Y.J. Development of conventional and nested PCR assays for the detection of Ophiocordyceps sinensis. J. Basic Microbiol. 2013, 53, 340–347. [Google Scholar] [CrossRef] [PubMed]
- Peng, Q.; Zhong, X.; Lei, W.; Zhang, G.; Liu, X. Detection of Ophiocordyceps sinensis in soil by quantitative real-time PCR. Can. J. Microbiol. 2013, 59, 204–209. [Google Scholar] [CrossRef] [PubMed]
- Lei, W.; Li, S.; Peng, Q.; Zhang, G.; Liu, X. A real-time qPCR assay to quantify Ophiocordyceps sinensis biomass in Thitarodes larvae. J. Microbiol. 2013, 51, 229–233. [Google Scholar] [CrossRef] [PubMed]
- Hall, T.A. BioEdit: A User-Friendly Biological Sequence Alignment Editor and Analysis Program for Windows 95/98/NT. In Nucleic Acids Symposium Series; Oxford University Press: Oxford, UK, 1999; Volume 41, pp. 95–98. Available online: http://brownlab.mbio.ncsu.edu/JWB/papers/1999Hall1.pdf (accessed on 1 August 2018).
- Ganie, S.H.; Upadhyay, P.; Das, S.; Sharma, M.P. Authentication of medicinal plants by DNA markers. Plant Gene 2015, 4, 83–99. [Google Scholar] [CrossRef]
- Sung, G.H.; Hywel-Jones, N.L.; Sung, J.M.; Luangsa-Ard, J.J.; Shrestha, B.; Spatafora, J.W. Phylogenetic classification of Cordyceps and the clavicipitaceous fungi. Stud. Mycol. 2007, 57, 5–59. [Google Scholar] [CrossRef] [PubMed]
- Semagn, K.; Bjørnstad, Å.; Ndjiondjop, M. An overview of molecular marker methods for plants. Afr. J. Biotechnol. 2006, 5, 2540–2568. [Google Scholar]
- Kumar, S.; Stecher, G.; Tamura, K. MEGA7: Molecular Evolutionary Genetics Analysis Version 7.0 for Bigger Datasets. Mol. Biol. Evol. 2016, 33, 1870–1874. [Google Scholar] [CrossRef] [PubMed]
- White, T.J.; Bruns, T.; Lee, S.; Taylor, J. PCR Protocols: A Guide to Methods and Applications; Academic Press: New York, NY, USA, 1990; Volume 18, pp. 315–322. [Google Scholar]
Sample Availability: Samples of the fungal strains are available from KACC and KCTC and commercial products are available from the authors and the herbarium of KIOM. |



| Source | Name | Species Identification | Location | GenBank Number | Gel Lane | |
|---|---|---|---|---|---|---|
| Registered No. | Registered Name | Current Name | ||||
| KACC 43316 | C. militaris | C. militaris | C. militaris | Jeju, Korea | MG833296 | 1 |
| KACC 43319 | Youngju, Korea | MG833296 | 2 | |||
| KACC 44463 | Cheongyang, Korea | MG833296 | 3 | |||
| KCTC 6064 | Unknown, Korea | MG833296 | 4 | |||
| KACC 43329 | C. pruinosa | C. pruinosa | C. pruinosa | Cheongyang, Korea | MG833296 | 5 |
| KACC 43333 | Hoengseong, Korea | MG833296 | 6 | |||
| KACC 43331 | Jecheon, Korea | MG833296 | 7 | |||
| KACC 43335 | P. tenuipes | I. tenuipes | I. cicadae | Yanju, Korea | MG833296 | 8 |
| KACC 44107 | P. cicadae | I. cicadae | Jeju, Korea | MG833296 | 9 | |
| KACC 43336 | P. tenuipes | I. tenuipes | I. tenuipes | Hoengseong, Korea | MG833296 | 10 |
| KACC 51995 | Suwon, Korea | MG833296 | 11 | |||
| KACC 52194 | Jeju, Korea | MG833296 | 12 | |||
| KACC 44476 | P. cicadae | I. cicadae | Inje, Korea | MG833296 | 13 | |
| 2-2016-F027 | C. sinensis | O. sinensis | O. sinensis | Paro, Bhutan | MG833296 | 14 |
| 2-2016-F028 | Thimphu, Bhutan | MG833296 | 15 | |||
| 2-2016-F029 | Unknown, China | MG833296 | 16 | |||
| KACC 43338 | P. tenuipes | I. tenuipes | B. bassiana | Pyeongchang, Korea | MG833296 | 17 |
| KACC 43334 | P. cicadae | I. cicadae | Jangseong, Korea | MG833296 | 18 | |
| Species | Constant Length (bp) | Aligned Length (bp) | Intraspecific Variability | Interspecific Variability | GC Content (%) |
|---|---|---|---|---|---|
| C. militaris | 567 | 611 | 0.0021 ± 0.0013 | 0.1136 ± 0.0534 | 56.57 |
| C. pruinosa | 583 | 611 | 0.0000 ± 0.0000 | 0.1062 ± 0.0462 | 57.98 |
| I. cicadae | 587 | 611 | 0.0000 ± 0.0000 | 0.0931 ± 0.0691 | 59.11 |
| I. tenuipes | 587 | 611 | 0.0000 ± 0.0000 | 0.1093 ± 0.0629 | 59.97 |
| O. sinensis | 580 | 611 | 0.0023 ± 0.0020 | 0.2136 ± 0.0095 | 62.24 |
| B. bassiana | 569 | 611 | 0.0000 ± 0.0000 | 0.1028 ± 0.0579 | 56.06 |
| Primer Name | Primer Sequence (5′→3′) | Amplicon Size (bp) | Species Specificity |
|---|---|---|---|
| CM F2 | GGCCCCAAACAGTGTATCTAC | 339 | C. militaris |
| CM R2 | CCGGTGCGAGTTGGCGTACTA | ||
| CM F3 * | CAACCCTTTGTGAACATACCT | 102 | |
| CM R3 * | GTAGATACACTGTTTGGGGCC | ||
| CP F2 | GACCCCAAACTCTGTTTCTAG | 244 | C. pruinosa |
| CP R2 | CCCCGCGAGGAGGGGTCGAGT | ||
| CP F1 * | ACTCGACCCCTCCTCGCGGGG | 116 | |
| CP R1 * | GTCCCGGTGCGACTGGTGTG | ||
| IC F1 | ACGCAACCCTGTATCCATCAG T | 337 | I. cicadae |
| IC R1 | TTCCCGGTGCGACTGGTTGT | ||
| IC F3 * | ACCCTTCTGTGAACCTACGCATC | 137 | |
| IC R3 * | GATTCAGCGAGACTGATGGAT | ||
| IT F4 * | CCTTCTGTGAACCTACCCATA | 132 | I. tenuipes |
| IT R3 * | GAGCGGCTCACAGATACAGG | ||
| IT F3 | CCATACTTGCTTCGGCGGACC | 107 | |
| IT R2 | GCTCACAGATACAGGGTTGC | ||
| OS F1 * | AGCGTCATCTCAACCCTCGAG | 200 | O. sinensis |
| OS R2 * | TGATCCGAGGTCAACTGGAGG | ||
| OS F3 | GAACACCACAGCAGTTGCCT | 117 | |
| OS R3 | GCTTCTTGACTGAGAGATGCC |
| Sample | Ct Value | Efficiency | R2 | Slope | ||||
|---|---|---|---|---|---|---|---|---|
| 15 ng | 1.5 ng | 150 pg | 15 pg | 1.5 pg | ||||
| C. militaris | 7.55 | 10.30 | 13.65 | 17.27 | 20.75 | 99 | 0.99759 | −3.337 |
| C. pruinosa | 11.27 | 14.02 | 17.60 | 21.28 | 24.46 | 98 | 0.99783 | −3.364 |
| I. cicadae | 14.72 | 17.97 | 21.47 | 24.76 | 28.19 | 98 | 0.99990 | −3.372 |
| I. tenuipes | 13.89 | 14.62 | 17.50 | 20.88 | 24.55 | 131 | 0.95865 | −2.757 |
| O. sinensis | 8.31 | 11.66 | 15.06 | 18.68 | 21.98 | 96 | 0.99981 | −3.434 |
| No. | Voucher No. | Product Name (Species) | Product Form | Identification | Quantity (ng/μL) | Country |
|---|---|---|---|---|---|---|
| 1 | 2-2016-F013 | DCHC (not specified) ** | Dried food ingredient | I. tenuipes | 29.8 | Korea |
| 2 | 2-2016-F014 | Yellow DCHC (not specified) ** | Dried food ingredient | I. tenuipes | 10.8 | Korea |
| 3 | 2-2016-F015 | Red DCHC (not specified) ** | Dried herbal medicine | C. militaris | 11.4 | Korea |
| 4 | 2-2016-F016 | DCHC (not specified) ** | Dried herbal medicine | C. militaris | 2.2 | Korea |
| 5 | 2-2016-F017 | DCHC Cho (not specified) ** | Fresh fruiting body | C. militaris | 6.3 | Korea |
| 6 | 2-2016-F018 | DCHC (not specified) ** | Fresh fruiting body | C. militaris | 4.7 | Korea |
| 7 | 2-2016-F019 | DCHC (C. militaris) * | Dried herbal medicine | C. militaris | 1.9 | Korea |
| 8 | 2-2016-F020 | DCHC (P. japonica) * | Dried food ingredient | I. tenuipes | 7.2 | Korea |
| 9 | 2-2016-F021 | DCHC (I. tenuipes) * | Dried herbal medicine | I. tenuipes | 11.2 | Korea |
| 10 | 2-2016-F022 | DCHC (not specified) ** | Dietary supplement (dried powder) | C. militaris | 0.2 | Korea |
| 11 | 2-2016-F023 | DCHC (C. militaris) * | Dietary supplement (dried powder) | C. militaris | 2.1 | Korea |
| 12 | 2-2016-F024 | DCHC (I. tenuipes) * | Dietary supplement (mixed pill) | I. tenuipes | 8.2 | Korea |
| 13 | 2-2016-F025 | DCHC (C. militaris) * | Dietary supplement (mixed pill) | C. militaris | 0.9 | Korea |
| 14 | 2-2016-F026 | DCHC (not specified) ** | Dried herbal medicine | O. sinensis | 3.4 | Bhutan |
| 15 | 2-2016-F032 | DCHC (not specified) ** | Dried herbal medicine | O. sinensis | 6.7 | China |
| 16 | 2-2016-F033 | DCHC (not specified) ** | Dried herbal medicine | O. sinensis | 1.6 | China |
| 17 | 2-2016-F034 | DCHC (not specified) ** | Dried herbal medicine | O. sinensis | 4.5 | China |
© 2018 by the authors. Licensee MDPI, Basel, Switzerland. This article is an open access article distributed under the terms and conditions of the Creative Commons Attribution (CC BY) license (http://creativecommons.org/licenses/by/4.0/).
Share and Cite
Moon, B.C.; Kim, W.J.; Park, I.; Sung, G.-H.; Noh, P. Establishment of a PCR Assay for the Detection and Discrimination of Authentic Cordyceps and Adulterant Species in Food and Herbal Medicines. Molecules 2018, 23, 1932. https://doi.org/10.3390/molecules23081932
Moon BC, Kim WJ, Park I, Sung G-H, Noh P. Establishment of a PCR Assay for the Detection and Discrimination of Authentic Cordyceps and Adulterant Species in Food and Herbal Medicines. Molecules. 2018; 23(8):1932. https://doi.org/10.3390/molecules23081932
Chicago/Turabian StyleMoon, Byeong Cheol, Wook Jin Kim, Inkyu Park, Gi-Ho Sung, and Pureum Noh. 2018. "Establishment of a PCR Assay for the Detection and Discrimination of Authentic Cordyceps and Adulterant Species in Food and Herbal Medicines" Molecules 23, no. 8: 1932. https://doi.org/10.3390/molecules23081932
APA StyleMoon, B. C., Kim, W. J., Park, I., Sung, G.-H., & Noh, P. (2018). Establishment of a PCR Assay for the Detection and Discrimination of Authentic Cordyceps and Adulterant Species in Food and Herbal Medicines. Molecules, 23(8), 1932. https://doi.org/10.3390/molecules23081932

