Improved Antioxidant Capacity of Optimization of a Self-Microemulsifying Drug Delivery System for Resveratrol
Abstract
:1. Introduction
2. Results and Discussion
2.1. Solubility of RSV in Various Oils, Surfactants and Cosurfactants

| Excipient | Solvent | Solubility (mg/mL) |
|---|---|---|
| Oil | Ethyl oleate | 60.84 ± 5.28 |
| Castor oil | 5.95 ± 0.82 | |
| Olive oil | 7.23 ± 1.54 | |
| Surfactant | Tween 80 | 7.30 ± 2.12 |
| Triton X-100 | 23.22 ± 4.19 | |
| Co-surfactant | PEG 400 | 33.22 ±3.45 |
| Glycerol | 21.08 ± 4.08 | |
| Glycol ether | 35.17 ± 6.83 |
2.2. Phase Diagram Construction

2.3. Characteristics of RSV Emulsion

| Ethyl Oleate:Tween 80:PEG 400 | d (nm) | PDI |
|---|---|---|
| 25:45:30 | 51.84 ± 2.32 | 0.109 ± 0.022 |
| 25:50:25 | 43.97 ± 1.67 | 0.198 ± 0.015 |
| 25:60:15 | 51.2 ± 2.25 | 0.127 ± 0.019 |
| 30:45:25 | 58.36 ± 1.98 | 0.165 ± 0.013 |
| 35:40:25 | 48.66 ± 2.83 | 0.185 ± 0.017 |
2.4. In Vitro Stability
| Days | d (nm) | PDI |
|---|---|---|
| 0 | 48.66 ± 2.83 | 0.185 ± 0.017 |
| 10 | 50.2 ± 1.26 | 0.108 ± 0.021 |
| 20 | 49.32 ± 2.05 | 0.173 ± 0.012 |
| 30 | 50.08 ± 2.01 | 0.145 ± 0.016 |
| Medium | d (nm) | PDI | Zeta Potential (mV) |
|---|---|---|---|
| Water | 43.15 ± 3.67 | 0.207 ± 0.02 | −0.2715 ± 0.02 |
| pH = 1.2 (HCl) | 34.61 ± 2.87 * | 0.197 ± 0.01 | −0.3642 ± 0.03 |
| pH = 7.4 (PBS) | 33.5 ± 4.06 * | 0.129 ± 0.01 | −0.1091 ± 0.03 |
2.5. Cytotoxicity of Encapsulated RSV

2.6. Intracellular Antioxidant Activity

3. Experimental Section
3.1. Materials and Chemicals
3.2. Solubility Study of RSV in Various Oils, Surfactants, and Cosurfactants
3.3. Ultraviolet-Visible Spectroscopy (UV)
3.4. Phase Diagram Construction
3.5. Preparation of the RSV Emulsion Formulation
3.6. Droplet Size Determination
3.7. Zeta Potential
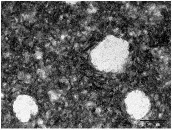
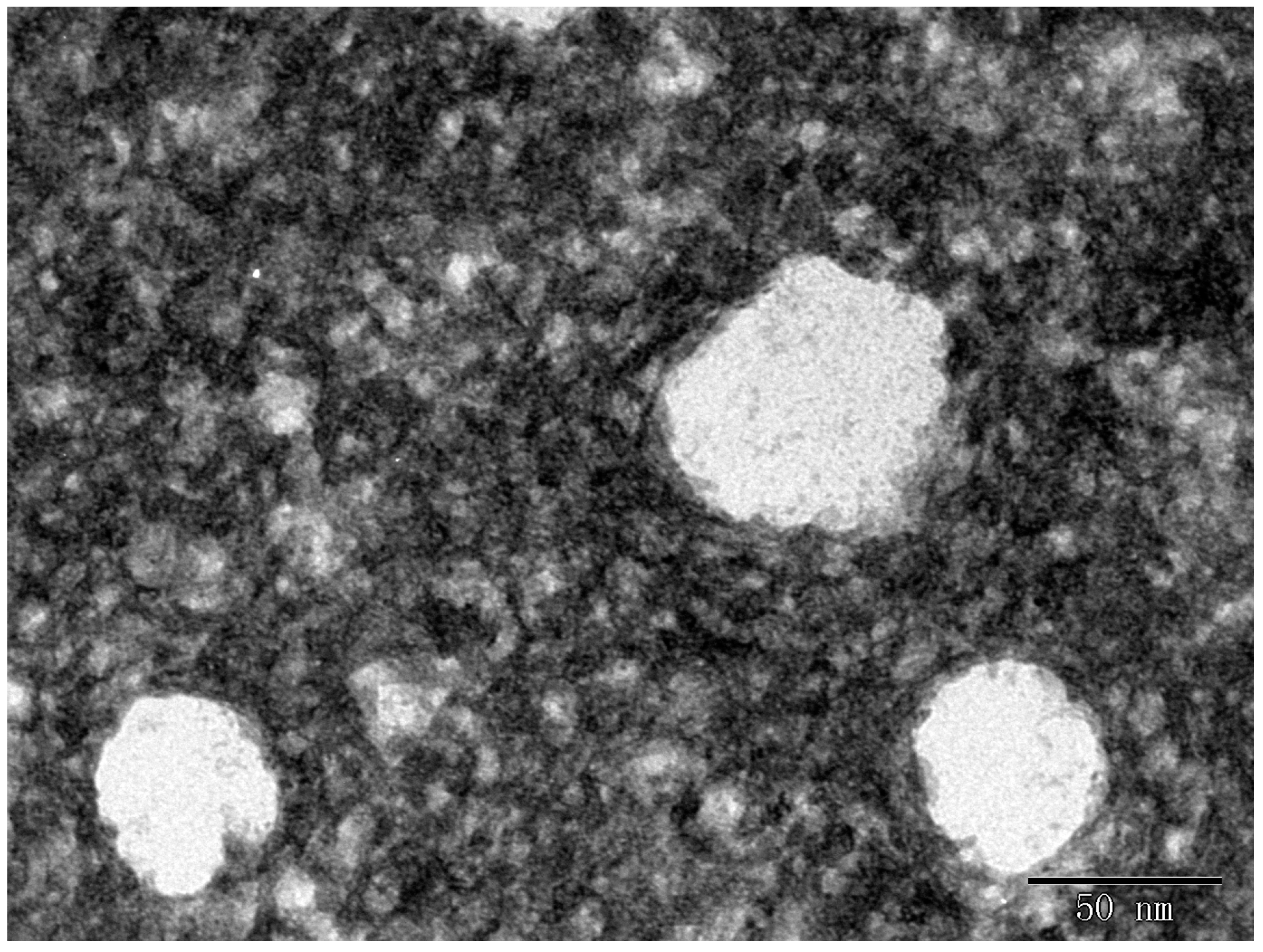
3.8. Morphology
3.9. Effect of Different Dilution Media on the Resveratrol Emulsion
3.10. Cell Culture
3.11. Cytotoxicity Studies
3.12. Measurement of Intracellular Relative Oxygen Species (ROS)
3.13. Statistical Analysis
4. Conclusions
Acknowledgments
Authors Contributions
Conflicts of Interest
References
- Renaud, S.; de Lorgeril, M. Wine, alcohol, platelets, and the French paradox for coronary heart disease. Lancet 1992, 339, 1523–1526. [Google Scholar] [CrossRef]
- Delmas, D.; Jannin, B.; Latruffe, N. Resveratrol: Preventing properties against vascular alterations and ageing. Mol. Nutr. Food Res. 2005, 49, 377–395. [Google Scholar] [CrossRef] [PubMed]
- Jang, M.; Cai, L.; Udeani, G.O.; Slowing, K.V.; Thomas, C.F.; Beecher, C.W.; Fong, H.H.S.; Farnsworth, N.R.; Kinghorn, D.; Mehta, R.G.; et al. Cancer chemopreventive activity of resveratrol, a natural product derived from grapes. Science 1997, 275, 218–220. [Google Scholar] [CrossRef] [PubMed]
- Quincozes-Santos, A.; Bobermin, L.D.; Latini, A.; Wajner, M.; Souza, D.O.; Goncalves, C.A.; Gottfried, C. Resveratrol protects C6 astrocyte cell line against hydrogen peroxide-induced oxidative stress through heme oxygenase 1. PLoS ONE 2013, 8, e64372. [Google Scholar] [CrossRef] [PubMed]
- Mattarei, A.; Azzolini, M.; Carraro, M.; Sassi, N.; Zoratti, M.; Paradisi, C.; Biasutto, L. Acetal derivatives as prodrugs of resveratrol. Mol. Pharm. 2013, 10, 2781–2792. [Google Scholar] [CrossRef] [PubMed]
- Rossi, D.; Guerrini, A.; Bruni, R.; Brognara, E.; Borgatti, M.; Gambari, R.; Maietti, S.; Sacchetti, G. Trans-Resveratrol in nutraceuticals: Issues in retailquality and effectiveness. Molecules 2012, 17, 12393–12405. [Google Scholar] [CrossRef] [PubMed]
- Gokce, E.H.; Korkmaz, E.; Dellera, E.; Sandri, G.; Bonferoni, M.C.; Ozer, O. Resveratrol-loaded solid lipid nanoparticles versus nanostructured lipid carriers: Evaluation of antioxidant potential for dermal applications. Int. J. Nanomed. 2012, 7, 1841–1850. [Google Scholar] [CrossRef] [PubMed]
- Venuti, V.; Cannava, C.; Cristiano, M.C.; Fresta, M.; Majolino, D.; Paolino, D.; Stancanelli, R.; Tommasini, S.; Ventura, C.A. A characterization study of resveratrol/sulfobutyl ether-beta-cyclodextrin inclusion complex and in vitro anticancer activity. Colloids Surf. B 2014, 115, 22–28. [Google Scholar] [CrossRef] [PubMed]
- Sessa, M.; Tsao, R.; Liu, R.; Ferrari, G.; Donsi, F. Evaluation of the stability and antioxidant activity of nanoencapsulated resveratrol during in vitro digestion. J. Agric. Food Chem. 2011, 59, 12352–12360. [Google Scholar] [CrossRef] [PubMed]
- Villar, A.M.; Naveros, B.C.; Campmany, A.C.; Trenchs, M.A.; Rocabert, C.B.; Bellowa, L.H. Design and optimization of self-nanoemulsifying drug delivery systems (SNEDDS) for enhanced dissolution of gemfibrozil. Int. J. Pharm. 2012, 431, 161–175. [Google Scholar] [CrossRef] [PubMed]
- Zhang, L.; Zhu, W.; Yang, C.; Guo, H.; Yu, A.; Ji, J.; Gao, Y.; Sun, M.; Zhai, G. A novel folatemodified self-microemulsifying drug delivery system of curcumin for colon targeting. Int. J. Nanomed. 2012, 7, 151–162. [Google Scholar]
- Shah, N.H.; Carvajal, M.T.; Patel, C.I.; Infeld, M.H.; Malick, A.W. Self-emulsifying drug delivery systems (SEDDS) with polyglycolyzed glycerides for improving in vitro dissolution and oral absorption of lipophilic drugs. Int. J. Pharm. 1994, 106, 15–23. [Google Scholar] [CrossRef]
- Bolko, K.; Zvonar, A.; Gašperlin, M. Mixed lipid phase SMEDDS as an innovative approach to enhance resveratrol solubility. Drug Dev. Ind. Pharm. 2014, 40, 102–109. [Google Scholar] [CrossRef] [PubMed]
- Augustin, M.A.; Abeywardena, M.Y.; Patten, G.; Head, R.; Lockett, T.; De Luca, A.; Sanguansri, L. Effects of microencapsulation on the gastrointestinal transit and tissue distribution of a bioactive mixture of fish oil, trubutyrin and resveratrol. J. Funct. Foods 2011, 3, 25–37. [Google Scholar] [CrossRef]
- Shen, H.; Zhong, M. Preparation and evaluation of self-microemulsifying drug delivery systems (SMEDDS) containing atorvastatin. J. Pharm. Pharmacol. 2006, 58, 1183–1191. [Google Scholar] [CrossRef] [PubMed]
- Kang, B.K.; Lee, J.S.; Chon, S.K.; Jeong, S.Y.; Yuk, S.H.; Khang, G.; Lee, H.B.; Cho, S.H. Development of self-microemulsifying drug delivery systems (SMEDDS) for oral bioavailability enhancement of simvastatin in beagle dogs. Int. J. Pharm. 2004, 274, 65–73. [Google Scholar] [CrossRef] [PubMed]
- Gonzálvez, A.G.; González Ureña, A.; lewis, R.J.; van der Zwan, G. Spectroscopy and kinetics of tyrosinase catalyzed trans-resveratrol oxidation. J. Phys. Chem. B 2012, 116, 2553–2560. [Google Scholar] [CrossRef] [PubMed]
- Doane, T.L.; Chuang, C.H.; Hill, R.J.; Burda, C. Nanoparticle zeta-potentials. Acc. Chem. Res. 2011, 45, 317–326. [Google Scholar] [CrossRef] [PubMed]
- Donini, C.; Robinson, D.N.; Colombo, P.; Giordano, F.; Peppas, N.A. Preparation of poly(methacrylic acid-g-poly(ethyleneglycol)) nanospheres from methacrylic monomers for pharmaceutical applications. Int. J. Pharm. 2002, 245, 83–91. [Google Scholar] [CrossRef]
- Chiu, Y.Y.; Higaki, K.; Neudeck, B.L.; Barnett, J.L.; Welage, L.S.; Amidon, G.L. Human jejunal permeability of cyclosporin A: Influence of surfactants on P-glycoprotein efflux in Caco-2 cells. Pharm. Res. 2003, 20, 749–756. [Google Scholar] [CrossRef] [PubMed]
- La Porte, C.; Voduc, N.; Zhang, G.; Seguin, I.; Tardiff, D.; Singhal, N.; Cameron, D.W. Steady-State pharmacokinetics and tolerability of trans-resveratrol 2000 mg twice daily with food, quercetin and alcohol (ethanol) in healthy human subjects. Clin. Pharmacokinet. 2010, 49, 449–454. [Google Scholar] [CrossRef] [PubMed]
- Popat, R.; Plesner, T.; Davies, F.; Cook, G.; Cook, M.; Elliott, P.; Jacobson, E.; Gumbleton, T.; Oakervee, H.; Cavenagh, C. A phase 2 study of SRT501 (resveratrol) with bortezomib for patients with relapsed and or refractory multiple myeloma. Br. J. Haematol. 2013, 160, 714–717. [Google Scholar] [CrossRef] [PubMed]
- Teskac, K.; Kristl, J. The evidence for solid lipid nanoparticles mediated cell uptake of resveratrol. Int. J. Pharm. 2010, 390, 61–69. [Google Scholar] [CrossRef] [PubMed]
- Lin, P.; Tian, X.H.; Yi, Y.S.; Jaing, W.S.; Zhou, Y.J.; Cheng, W.J. Luteolin-induced protection of H2O2-induced apoptosis in PC12 cells and the associated pathway. Mol. Med. Rep. 2015, 12, 7699–7704. [Google Scholar] [CrossRef] [PubMed]
- Liu, W.; Tian, R.; Hu, W.; Jia, Y.; Jiang, H.; Zhang, J.; Zhang, L. Preparation and evaluation of self-microemulsifying drug delivery system of baicalein. Fitoterapia 2012, 83, 1532–1539. [Google Scholar] [CrossRef] [PubMed]
- You, J.; Cui, F.D.; Li, Q.P.; Han, X.; Yu, Y.W.; Yang, M.S. Anovel formulation design about water-insoluble oily drug: Preparation of zedoary turmeric oil microspheres with self-emulsifying ability and evaluation in rabbits. Int. J. Pharm. 2005, 288, 315–323. [Google Scholar] [CrossRef] [PubMed]
- Zhang, P.; Liu, Y.; Feng, N.; Xu, J. Preparation and evaluation of self-microemulsifying drug delivery system of oridonin. Int. J. Pharm. 2008, 355, 269–276. [Google Scholar] [CrossRef] [PubMed]
- Pouton, C.W. Self-emulsifying drug delivery systems: Assessment of the efficiency of emulsification. Int. J. Pharm. 1985, 27, 335–348. [Google Scholar] [CrossRef]
- Wolfe, K.L.; Liu, R.H. Cellular antioxidant activity (CAA) assay for assessing antioxidants, foods, and dietary supplements. J. Agric. Food Chem. 2007, 55, 8896–8907. [Google Scholar] [CrossRef] [PubMed]
- Sample Availability: Samples of the compounds are available from the authors.
© 2015 by the authors. Licensee MDPI, Basel, Switzerland. This article is an open access article distributed under the terms and conditions of the Creative Commons by Attribution (CC-BY) license ( http://creativecommons.org/licenses/by/4.0/).
Share and Cite
Chen, Y.; Zhang, H.; Yang, J.; Sun, H. Improved Antioxidant Capacity of Optimization of a Self-Microemulsifying Drug Delivery System for Resveratrol. Molecules 2015, 20, 21167-21177. https://doi.org/10.3390/molecules201219750
Chen Y, Zhang H, Yang J, Sun H. Improved Antioxidant Capacity of Optimization of a Self-Microemulsifying Drug Delivery System for Resveratrol. Molecules. 2015; 20(12):21167-21177. https://doi.org/10.3390/molecules201219750
Chicago/Turabian StyleChen, Ying, Huiyong Zhang, Jing Yang, and Haiyan Sun. 2015. "Improved Antioxidant Capacity of Optimization of a Self-Microemulsifying Drug Delivery System for Resveratrol" Molecules 20, no. 12: 21167-21177. https://doi.org/10.3390/molecules201219750
APA StyleChen, Y., Zhang, H., Yang, J., & Sun, H. (2015). Improved Antioxidant Capacity of Optimization of a Self-Microemulsifying Drug Delivery System for Resveratrol. Molecules, 20(12), 21167-21177. https://doi.org/10.3390/molecules201219750
