Mechanistic Studies of the Anti-Ulcerogenic Activity and Acute Toxicity Evaluation of Dichlorido-Copper(II)-4-(2-5-Bromo-benzylideneamino)ethyl) Piperazin-1-ium Phenolate Complex against Ethanol-Induced Gastric Injury in Rats
Abstract
:1. Introduction
2. Results and Discussion

| Groups | I | II | III | IV | V | VI |
|---|---|---|---|---|---|---|
| Body wt | 190 ± 11.0 | 200 ±9.00 | 205 ± 10.0 | 215 ± 10.0 | 195 ± 10.0 | 193 ± 8.00 |
| Liver wt | 2.89 ± 0.20 | 2.96 ± 0.18 | 3.21 ± 0.21 | 3.39 ± 0.19 | 2.92 ± 0.10 | 3.11 ± 0.20 |
| Kidney wt | 1.34 ±0.03 | 1.29 ± 0.02 | 1.36 ± 0.05 | 1.39 ± 0.03 | 1.32 ± 0.02 | 1.35 ± 0.04 |

| Animals | Na+ (mmol/L) | K+ (mmol/L) | Cl− (mmol/L) | CO2 (mmol/L) | AG (mmol/L) | Urea (mmol/L) | Crt (µmol/L) |
|---|---|---|---|---|---|---|---|
| Control | 132 ± 3.1 | 6.31 ± 1.3 | 120 ± 1.4 | 26 ± 1.5 | 20.8 ± 1.5 | 6.2 ± 1.6 | 45.8 ± 2.4 |
| LD (1 g/Kg) | 131 ± 2.4 | 6.42 ± 1.2 | 119 ± 1.7 | 25 ± 1.5 | 21.8 ± 1.6 | 6.5 ± 1.9 | 43.9 ± 2.6 |
| HD (2 g/Kg) | 134 ± 2.2 | 6.63 ± 1.4 | 122 ± 1.3 | 28 ± 1.2 | 21.6 ± 1.4 | 6.4 ± 1.3 | 46.3 ± 2.2 |
| Animals | T. Prot. (g/L) | Albumin (g/L) | Globulin (g/L) | TB (µmol/L) | CB (µmol/L) | AP (IU/L) | ALT (IU/L) | AST (IU/L) |
|---|---|---|---|---|---|---|---|---|
| Control | 78 ± 1.3 | 46.2 ± 1.8 | 39.6 ± 1.3 | 9.5 ± 1.8 | 1 | 128 ± 1.91 | 62 ± 1.3 | 249 ± 3.2 |
| LD (1 g/kg) | 77 ± 1.6 | 47.2 ± 1.3 | 37.8 ± 1.4 | 9.6 ± 1.6 | 1 | 127 ± 1.62 | 65 ± 1.4 | 248 ± 3.5 |
| HD (2 g/Kg) | 79 ± 1.8 | 48.5 ± 1.4 | 38.7 ± 1.6 | 9.8 ± 1.2 | 1 | 129 ± 1.67 | 64 ± 1.6 | 251 ± 3.1 |



| Animals | Treatments | ALT (IU/L) | AST (IU/L) | C-reactive | HDL | Creatinine | WBC |
|---|---|---|---|---|---|---|---|
| I | CMC (ulcer control) | 94.23 ± 8.2 | 296.2 ± 9.2 | 0.18 ± 0.04 | 0.09 ± 0.4 | 21.2 ± 1.9 | 4.16 ± 2.1 |
| II | Omeprazole (20 mg/Kg) | 65.22 ± 4.2 | 189.4 ± 7.6 | 0.63 ± 0.10 | 1.22 ± 0.5 | 47.9 ± 9.2 | 9.23 ± 3.2 |
| III | CuLBS-Et-(30 mg/Kg) | 67.31 ± 3.4 | 193.3 ± 8.4 | 0.65 ± 0.09 | 1.24 ± 0.3 | 48.6 ± 1.5 | 9.31 ± 2.7 |
| IV | CuLBS-Et-(60 mg/Kg) | 68.42 ± 5.2 | 195.7 ± 7.2 | 0.67 ± 0.04 | 1.26 ± 0.3 | 51.3 ± 2.3 | 10.21 ±3.2 |
| V | CuLBS-alone-0 mg/Kg | 59.61 ± 4.6 | 196.5 ± 6.4 | 0.55 ± 0.06 | 1.20 ± 0.4 | 45.2 ± 9.6 | 9.11 ± 1.3 |
| VI | Normal | 64.28 ± 4.7 | 194.9 ± 7.1 | 0.69 ± 0.07 | 1.25 ± 0.6 | 52.6 ± 7.3 | 10.61 ± 2.3 |
| Animal | Pretreatment (5 mL/Kg) | Gastric pH | Mucus wt (g) | Ulcer area (mm) | %Inhibition |
|---|---|---|---|---|---|
| I | CMC (ulcer control) | 1.43 ± 0.7 | 0.95 ± 1.3 | 962.19 ± 12.62 | - |
| II | Omeprazole (20 mg/Kg) | 4.92 ± 0.6 | 3.65 ± 1.2 | 189.24 ± 9.6 | 80.30 |
| III | CuLBS-Et- (30 mg/Kg) | 5.36 ± 1.2 | 4.47 ± 2.3 | 125.62 ± 5.3 | 86.94 |
| IV | CuLBS-Et- (60 mg/Kg) | 6.98 ± 1.4 | 5.31 ± 2.8 | 104.45 ± 4.6 | 89.14 |
| V | CuLBS-alone- 60 mg/Kg | 5.14 ± 0.9 | 3.82 ± 1.6 | 0 | 100 |
| VI | Normal | 3.28 ± 1.9 | 3.28 ± 1.8 | 0 | 100 |
| Animals | MDA (µmol/g Tissue) | NO (µmol) | TNF-α (pg/mg) | IL-6 (pg/mg) | IL-10 (pg/mg) |
|---|---|---|---|---|---|
| I | 25.32 ± 1.27 a | 3.32 ± 0.03 | 361 ± 3.8 | 67 ± 2.1 | 72 ± 6.2 |
| II | 13.65 ± 1.49 b | 7.85 ± 0.04 | 94.0 ± 2.8 | 10.4 ± 1.5 | 264 ± 4.5 |
| III | 12.21 ± 1.32 c | 9.42 ± 0.09 | 45.0 ± 4.5 | 6.20 ± 1.8 | 289 ± 3.3 |
| IV | 10.25 ± 0.85 c | 9.92 ± 0.85 | 21.4 ± 0.4 | 4.50 ± 1.6 | 342 ± 2.1 |
| V | 14.16 ± 1.23 c | 6.83 ± 1.20 | 0 | 0 | 258 ± 5.2 |
| VI | 12.51 ± 1.12 c | 8.93 ± 1.13 | 0 | 0 | 239 ± 6.5 |
3. Experimental
3.1. General
3.2. Synthesis and Isolation of CuLBS
3.3. Animals
3.4. Estimation of Oral Acute Toxicity
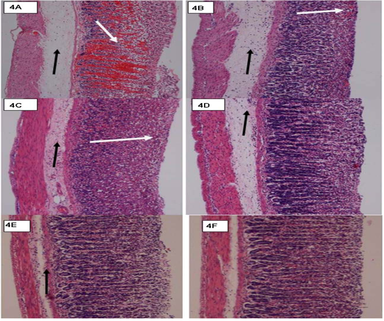
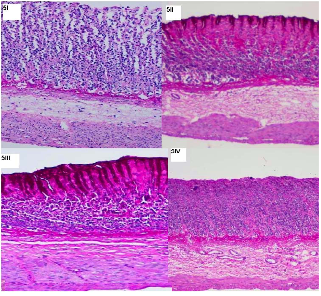
3.5. Ulcerogenic Study
3.6. Serum Biochemical Assays
3.7. Measurement of Gastric Juice Acidity
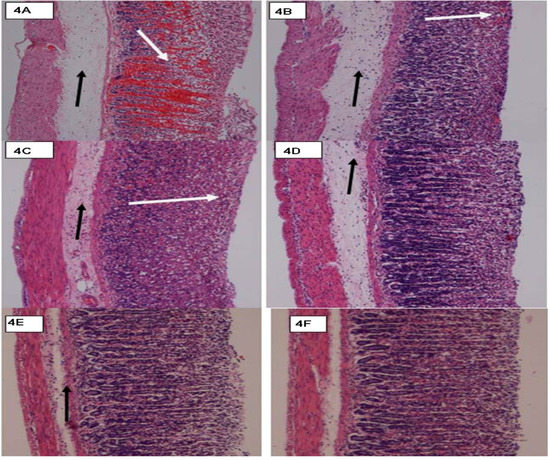
3.8. Histopathological Studies
3.9. Gastroprotective Assessments
3.10. Gastric Mucus Evaluations
3.11. PAS Staining
3.12. Estimation of the Role of Total Nitric Oxide
3.13. Estimation of Membrane Lipids Peroxidation
3.14. Estimation of IL-6, IL-10 and TNF-α
3.15. Estimation of Gastric Tolerance
3.16. Statistical Analysis
4. Conclusions
Conflict of Interest
Acknowledgements
References and Notes
- Nehad, A.E.; Fadi, M.A.; Nashwa, A.I.; Mohammed, T.E. Synthesis, anti-inflammatory and ulcerogenicity studies of some substituted pyrimido[1,6-a]azepine derivatives. Eur. J. Med. Chem. 2010, 45, 3147–3154. [Google Scholar] [CrossRef]
- Emiliano, R.V.R.; Nayrton, F.M.R.; Edith, T.V.; Brinell, A.M.; Mariana, L.F.; Gilberto, S.C.; Marcos, G.S.; David, J.W.; Francisca, C.F.S.; Luzia Kalyne, A.M.L.; et al. Mechanisms involved in the gastroprotective activity of esculin on acute gastric lesions in mice. Chem. Biol. Interact. 2010, 188, 246–254. [Google Scholar] [CrossRef]
- Mary, C.B.; Mary, A.F. Pharmacologic management of common gastrointestinal health problems in women. M. Ann. J. Nurse-Midwifery 1997, 42, 145–162. [Google Scholar] [CrossRef]
- Francesco, B.; Carmen, A.; Savina, F.; Anna, F.R.; Marcello, L.; Nicola, A.C.; Mauro, N.; Roberto, P. Novel 4-(4-aryl)cyclohexyl-1-(2-pyridyl)piperazines as Δ8-Δ7 sterol isomerase (EmopamilBinding Protein) selective ligands with antiproliferative activity. J. Med. Chem. 2008, 51, 7523–7531. [Google Scholar] [CrossRef]
- Dai, N.; Taketoshi, O.; Takaaki, I.; Kazuaki, T.; Shigeyuki, C.; Shigeru, O.; Atsuro, N. Novel piperazines: Potent melanocortin-4 receptor antagonists with anxiolytic-like activity. Bioorg. Med. Chem. 2007, 15, 2375–2385. [Google Scholar] [CrossRef]
- Christian, G.; Ivano, T.; Ursula, R. Structural and energetic properties of organometallic ruthenium (II) diamine anticancer compounds and their interaction with nucleobases. J. Chem. Theor. Comput. 2007, 3, 1212–1222. [Google Scholar] [CrossRef]
- Alka, B.; Komal, S.; Abhishek, B.; Suman, B.; Dinesh, R.; Anant, S.; Anil, K. Synthesis, evaluation and computational studies on a series of acetophenone based 1-(aryloxypropyl)-4-(chloroaryl) piperazines as potential atypical antipsychotics. Eur. J. Med. Chem. 2010, 45, 2656–2662. [Google Scholar] [CrossRef]
- Shreelekha, A.; Vivek, B.; Di, C.; Fakhara, A.; Ping Dou, Q.; Subhash, P.; Fazlul, H.S. Novel, Schiff base copper complexes of quinoline-2-carboxaldehyde as proteasome inhibitors in human prostate cancer cell. J. Med. Chem. 2006, 49, 7242–7246. [Google Scholar] [CrossRef]
- Deepa, S.; Anjani, K.T.; Sweta, S.; Gauri, S.; Pushpa, M.; Harish, C.; Anil, K.M. Synthesis, characterization and biological activity of Schiff base analogues of indole-3-carboxaldehyde. Eur. J. Med. Chem. 2008, 43, 160–165. [Google Scholar] [CrossRef]
- Marijana, H.; Kristina, S.; Sandra, K.P.; Pero, L.; Kresimir, P.; Grace, K.Z. Synthesis, spectroscopic characterization and antiproliferative evaluation in vitro of novel Schiff bases related to benzimidazoles. Eur. J. Med. Chem. 2011, 46, 2274–2279. [Google Scholar] [CrossRef]
- Narendra Sharath Chandra, J.N.; Sadashiva, C.T.; Kavitha, C.V.; Rangappa, K.S. Synthesis and in vitro antimicrobial studies of medicinally important novel N-alkyl and N-sulfonyl derivatives of 1-[bis(4-fluorophenyl)-methyl]piperazine. Bioorg. Med. Chem. 2006, 14, 6621–6627. [Google Scholar] [CrossRef]
- Marijana, H.; Kristina, S.; Sandra, K.P.; Pero, L.; Kresimir, P.; Grace, K.Z. Acute effects of carprofen and meloxicam on canine gastrointestinal permeability and mucosal absorptive capacity. J. Vet. Int. Med. 2007, 21, 917–923. [Google Scholar]
- Sadashiva, C.T.; Narendra, S.C.J.N; Ponnappa, K.C; Veerabasappa, G.T.; Rangappa, K.S. Synthesis and efficacy of 1-[bis (4-fluorophenyl)-methyl] piperazine derivatives for acetylcholinesterase inhibition, as a stimulant of central cholinergic neurotransmission in Alzheimer's disease. Bioorg. Med. Chem. Lett. 2006, 16, 3932–3936. [Google Scholar]
- Elena, C.; Carmen, A.; Manuel, M.; Marta, G.; Javier, B.; Julian, G.R.; Javier, F. Pyridylcyanomethy1) piperazines as orally active PAF antagonists. J. Med. Chem. 1992, 35, 4118–4134. [Google Scholar] [CrossRef]
- Wafa, S.; Nawal, S.; Nathalie, D.B.; Georges, D.; Pascal, C.; Francoise, H. Structure-activity relationships in platelet-activating factor. Part 14: Synthesis and biological evaluation of piperazine derivatives with dual anti-PAF and anti-HIV-1 activity. Bioorg. Med. Chem. 2006, 14, 7999–8013. [Google Scholar] [CrossRef]
- Guo-Dong, L.; Jian-Pie, L.; Sha-Sheng, H.; Guo-Li, S.; Ru-Qin, Y. Fluorescence spectral study of interaction of water-soluble metal complexes of Schiff-base and DNA. Anal. Sci. 2001, 17, 1031–1036. [Google Scholar] [CrossRef]
- Neelam, B.; Shailendra, M.T.; Gonzalez, G.; Delia, E.C.; Castro-Garza, J.; Kishwar, S.; Fehmida, N.; Mannar, R.M.; Amir, A. Synthesis, characterization and antiamoebic activity of benzimidazole derivatives and their vanadium and molybdenum complexes. Bioorg. Med. Chem. Lett. 2002, 12, 869–871. [Google Scholar]
- Fischer, W.F.F.; L'Abbe, M.R. Copper transport by intestinal brush border membrane vesicles from rats fed high zinc or copper deficient diets. Nutr. Res. 1985, 5, 759–767. [Google Scholar] [CrossRef]
- Frausto da Silva, J.J.R.; William, R.J.P. The Biological Chemistry of the Elements; Clarendon: Oxford, UK, 1991. [Google Scholar]
- Lippard, S.J.; Berg, J.M. Principles of Bioinorganic Chemistry; University Science Books: Mill Valley, CA, USA, 1994. [Google Scholar]
- Kraatz, H.B.; Metzler-Nolte, N. Concepts and Models in Bioinorganic Chemistry; Wiley-VCH: Weinheim, Germany, 2006. [Google Scholar]
- Darrell, R.V.C.; Priscilla, U.S. Zinc interference with copper absorption in rats. J. Nutr. 1967, 91, 473. [Google Scholar]
- L'Abbé, M.R.; Fischer, W.F.F. The effects of high dietary zinc and copper deficiency on the activity of copper-requiring metalloenzymes in the growing rat. J. Nutr. 1984, 114, 813–822. [Google Scholar]
- Donna, B.; Micheal, H. Clinical conditions altering copper metabolism in humans. Am. J. Clin. Nutr. 1998, 67, 1017–1021. [Google Scholar]
- Yasuhiro, N.; Byung-Eun, K.; Dennis, J.T. Control drives intestinal copper absorption and is essential for growth, iron metabolism, and neonatal cardiac function. Cell Metab. 2006, 4, 235–244. [Google Scholar] [CrossRef]
- Joseph, R.P. Changes in tissue growth, concentrations of copper, iron, cytochrome oxidase and superoxide dismutase subsequent to dietary or genetic copper deficiency in mice. J. Nutr. 1983, 113, 2148–2158. [Google Scholar]
- Danks, D.M. Copper deficiency in humans. Annu. Rev. Nutr. 1988, 8, 235–257. [Google Scholar] [CrossRef]
- Loren, L.; Koji, T.; Andrzej, T. Reviews in basic and clinical gastroenterology Gastric mucosal defense and cytoprotection: Bench to bedside. Gastroenterology 2008, 135, 41–60. [Google Scholar] [CrossRef]
- Jong-il, C.; Hanumatha, R.B.R.; Nak-Yun, S.; Jae-Hun, K.; Byeong, S.C.; Dong, H.A.; Hong-Seok, C.; Keon-Wook, K; Ju-Woon, L. Effect of fucoidan on aspirin-induced stomach ulceration in rats. Chem. Biol. Interact. 2010, 183, 249–254. [Google Scholar] [CrossRef]
- Kryger, G.; Harel, M.; Giles, K.; Toker, L.; Velan, B.; Lazar, A.; Kronman, C.; Barak, D.; Ariel, N.; Shafferman, A.; et al. Structures of recombinant native and E202Q mutant human acetylcholinesterase complexed with the snake-venom toxin fasciculin-II. Acta Crystallogr. D Biol. Crystallogr. 2000, 56, 1385–1394. [Google Scholar] [CrossRef]
- Sandor, S. Mechanisms of mucosal injury in the stomach and duodenum: time-sequence analysis of morphologic, functional, biochemical and histochemical studies. Scand. J. Gastroenterol. 1987, 22, 21–28. [Google Scholar]
- Bo-Sheng, Q.; Qi-Bing, M.; Li, L.; Kam-Meng, T.W. Effects of nitric oxide on gastric ulceration induced by nicotine and cold-restraint stress. World J. Gastroenterol. 2004, 10, 594–597. [Google Scholar]
- Mahmoud, M.K.; Mohamed, Z.G.; Dalaal, A. Protective role of nitric oxide in indomethacin-induced gastric ulceration by a mechanism independent of gastric acid secretion. Pharmacol. Res. 2001, 43, 463–467. [Google Scholar] [CrossRef]
- Dixon, W.J. Design and Analysis of Quantal Dose-Response Experiments (with Emphasis on Staircase Designs); Dixon Statistical Associates: Los Angeles, CA, USA, 1991. [Google Scholar]
- Mansoor, S.A.; Ageel, A.M.; Parmar, N.S. Tariq, M. Evaluation of mastic, a crude drug obtained from Pistacia lentiscus for gastric and duodenal anti-ulcer activity. J. Ethnopharmacol. 1986, 15, 271–278. [Google Scholar] [CrossRef]
- Jenna, G.W.; Anthony, B.S.; Blikslager, T.; Kathleen, A.; Ryan, B.S.; Steve, L.M.; Mac, L.; Duncan, B.; Lascelles, X. Cyclooxygenase expression and prostanoid production in pyloric and duodenal mucosae in dogs after administration of nonsteroidal anti-inflammatory drugs. Am. J. Vet. Res. 2008, 69, 457–464. [Google Scholar] [CrossRef]
- Njar, V.C.O.; Adesanwo, J.K.; Raji, Y. Methyl Angolenate: The Antiulcer Agent from the Stem Bark of Entandrophragmaangolense. Planta Med. 1995, 61, 91–91. [Google Scholar] [CrossRef]
- Ota, H.; Katsuyama, T.; Ishii, K.; Nakayama, J.; Shiozawa, T.; Tsukahara, Y. A dual staining method for identifying mucins of different gastric epithelial mucous cells. J. Histochem. 1991, 23, 22–28. [Google Scholar] [CrossRef]
- Sripanidkulchai, K.; Teepsawang, S.; Sripanidkulchai, B. Protective effect of cratoxylumformosum extract against acid/alcohol-induced gastric mucosal damage in rats. J. Med. Food 2010, 13, 1097–1103. [Google Scholar] [CrossRef]
- Anderson, L.F.; Maira, C.M.; Victor, B.; Clelia, A.H.L.; Wagner, V.; Alba, R.M.S.B. Should Anacardiumhumile St. Hil be used as an antiulcer agent? A scientific approach to the traditional knowledge. Fitoterapia 2008, 79, 207–209. [Google Scholar] [CrossRef]
- Adami, H.O.; Bergstrom, R.; Mohner, M.; Zatooski, W.; Storm, H.; Ekbom, A.; Rahu, M. Testicular cancer in nine northern European countries. Int. J. Cancer 1994, 59, 33–38. [Google Scholar] [CrossRef]
- Sample Availability: Samples of the compounds are available from the authors.
© 2011 by the authors; licensee MDPI, Basel, Switzerland. This article is an open access article distributed under the terms and conditions of the Creative Commons Attribution license ( http://creativecommons.org/licenses/by/3.0/).
Share and Cite
Salga, M.S.; Ali, H.M.; Abdullah, M.A.; Abdelwahab, S.I.; Hussain, P.D.; Hadi, A.H.A. Mechanistic Studies of the Anti-Ulcerogenic Activity and Acute Toxicity Evaluation of Dichlorido-Copper(II)-4-(2-5-Bromo-benzylideneamino)ethyl) Piperazin-1-ium Phenolate Complex against Ethanol-Induced Gastric Injury in Rats. Molecules 2011, 16, 8654-8669. https://doi.org/10.3390/molecules16108654
Salga MS, Ali HM, Abdullah MA, Abdelwahab SI, Hussain PD, Hadi AHA. Mechanistic Studies of the Anti-Ulcerogenic Activity and Acute Toxicity Evaluation of Dichlorido-Copper(II)-4-(2-5-Bromo-benzylideneamino)ethyl) Piperazin-1-ium Phenolate Complex against Ethanol-Induced Gastric Injury in Rats. Molecules. 2011; 16(10):8654-8669. https://doi.org/10.3390/molecules16108654
Chicago/Turabian StyleSalga, Muhammad Saleh, Hapipah Mohd Ali, Mahmood Ameen Abdullah, Siddig Ibrahim Abdelwahab, Pouya Davish Hussain, and A. Hamid A. Hadi. 2011. "Mechanistic Studies of the Anti-Ulcerogenic Activity and Acute Toxicity Evaluation of Dichlorido-Copper(II)-4-(2-5-Bromo-benzylideneamino)ethyl) Piperazin-1-ium Phenolate Complex against Ethanol-Induced Gastric Injury in Rats" Molecules 16, no. 10: 8654-8669. https://doi.org/10.3390/molecules16108654
APA StyleSalga, M. S., Ali, H. M., Abdullah, M. A., Abdelwahab, S. I., Hussain, P. D., & Hadi, A. H. A. (2011). Mechanistic Studies of the Anti-Ulcerogenic Activity and Acute Toxicity Evaluation of Dichlorido-Copper(II)-4-(2-5-Bromo-benzylideneamino)ethyl) Piperazin-1-ium Phenolate Complex against Ethanol-Induced Gastric Injury in Rats. Molecules, 16(10), 8654-8669. https://doi.org/10.3390/molecules16108654

