Sign in to use this feature.

Years

Between: -

Subjects

remove_circle_outline
remove_circle_outline
remove_circle_outline

Journals

Article Types

Countries / Regions

Search Results (5)

Search Parameters:
Keywords = voluminous breast

Order results
Result details
Results per page
Select all
Export citation of selected articles as:
10 pages, 3562 KB  
Article
Comparative Efficacy of Classic Versus Horizontal Incision Techniques in Skin-Reducing Mastectomy: A Single Center Retrospective Analysis
by Andrea Vittorio Emanuele Lisa, Alessandro Mela, Sergio Miranda, Mario Alessandri Bonetti, Manuela Bottoni, Mattia Intra, Eleonora Pagan, Vincenzo Bagnardi and Mario Rietjens
J. Clin. Med. 2024, 13(20), 6276; https://doi.org/10.3390/jcm13206276 - 21 Oct 2024
Cited by 1 | Viewed by 1842
Abstract
Background: The reconstruction of large breasts carries a heightened risk profile. While skin-reducing mastectomy (SRM) techniques facilitate the correction of breast ptosis, they are frequently associated with a high incidence of vascular complications. This study compares two SRM techniques—the horizontal incision and [...] Read more.
Background: The reconstruction of large breasts carries a heightened risk profile. While skin-reducing mastectomy (SRM) techniques facilitate the correction of breast ptosis, they are frequently associated with a high incidence of vascular complications. This study compares two SRM techniques—the horizontal incision and the classic inverted T incision—by examining their clinical and surgical outcomes. Methods: We retrospectively analyzed data from 24 patients (30 breasts) who underwent SRM with immediate prosthetic reconstruction between 2019 and 2023 at the European Institute of Oncology in Milan, Italy. Our comparison focused on breast aesthetic outcome, reconstruction quality, complication rates (early and late), and patient satisfaction, utilizing the BREAST-Q questionnaire to gauge the latter. Results: Among the 24 patients included in the study, 16 (20 breasts) were treated with the inverted T technique, and 8 (10 breasts) with the horizontal incision approach. A higher overall complication rate was observed with the inverted T technique compared to the horizontal method, with early complications outnumbering late ones. The most common issues were recurrent seroma and skin necrosis leading to implant exposure. Notably, there were no cases of implant infection. Although the horizontal incision technique achieved slightly higher patient satisfaction scores, the difference was not statistically significant. Discussion: The inverted T and horizontal incision techniques each have unique benefits and drawbacks. Our findings indicate enhanced patient satisfaction and reduced complication rates with the horizontal incision technique. The selection of the technique should be customized based on the patient’s individual risk factors, tissue quality, and preferences. Full article
(This article belongs to the Special Issue Managing Complications of Reconstructive and Aesthetic Breast Surgery)
Show Figures

Figure 1

17 pages, 1360 KB  
Review
Oncogenic BRCA1,2 Mutations in the Human Lineage—A By-Product of Sexual Selection?
by Tatyana V. Korneenko and Nikolay B. Pestov
Biomedicines 2024, 12(1), 22; https://doi.org/10.3390/biomedicines12010022 - 21 Dec 2023
Cited by 4 | Viewed by 3039
Abstract
In this review, we discuss the long-known problem of tissue-specific carcinogenesis in BRCA1 and BRCA2 mutation carriers: while the genes are expressed ubiquitously, increased cancer risk is observed mostly in the breast and ovaries, and to a much lesser extent, in some other [...] Read more.
In this review, we discuss the long-known problem of tissue-specific carcinogenesis in BRCA1 and BRCA2 mutation carriers: while the genes are expressed ubiquitously, increased cancer risk is observed mostly in the breast and ovaries, and to a much lesser extent, in some other tissues such as the prostate or pancreas. We reevaluate hypotheses on the evolutionary origin of these mutations in humans. Also, we align together the reports that at least some great apes have much lower risks of epithelial cancers in general and breast cancer in particular with the fact that humans have more voluminous breast tissue as compared to their closest extant relatives, particularly chimpanzees and bonobos. We conjecture that this disparity may be a consequence of sexual selection, augmented via selection for enhanced lactation. Further, we argue that there is an organ-specific enigma similar to the Peto paradox: breast cancer risk in humans is only minimally correlated with breast size. These considerations lead to the hypothesis that, along with the evolutionary development of larger breasts in humans, additional changes have played a balancing role in suppressing breast cancer. These yet-to-be-discovered mechanisms, while purely speculative, may be valuable to understanding human breast cancer, though they may not be exclusive to the mammary gland epithelial cells. Combining these themes, we review some anti-carcinogenesis preventive strategies and prospects of new interventions against breast cancer. Full article
(This article belongs to the Special Issue Reproductive Medicine: Focus on Cell and Molecule 2.0)
Show Figures

Figure 1

7 pages, 1026 KB  
Case Report
A Case of Life-Threatening Bleeding Due to a Locally Advanced Breast Carcinoma Successfully Treated with Transcatheter Arterial Embolization
by Giulia Atzori, Raquel Diaz, Marco Gipponi, Chiara Cornacchia, Federica Murelli, Francesca Depaoli, Marco Sparavigna, Valentina Barbero, Francesco Petrocelli, Francesca Pitto, Simonetta Franchelli, Daniele Friedman and Piero Fregatti
Curr. Oncol. 2023, 30(2), 2187-2193; https://doi.org/10.3390/curroncol30020169 - 9 Feb 2023
Cited by 5 | Viewed by 6824
Abstract
Locally advanced breast cancer (LABC) may rarely present with acute severe bleeding. A case report dealing with transcatheter arterial embolization to control acute bleeding in a patient with a voluminous ulcerated breast mass is described. Our findings confirm that the endovascular approach is [...] Read more.
Locally advanced breast cancer (LABC) may rarely present with acute severe bleeding. A case report dealing with transcatheter arterial embolization to control acute bleeding in a patient with a voluminous ulcerated breast mass is described. Our findings confirm that the endovascular approach is effective in such patients in order to stabilize the patient whenever conventional treatments have failed or bleeding may be life-threatening. Full article
Show Figures

Figure 1

8 pages, 6391 KB  
Review
Malignant Phyllodes Tumor of the Breast and Pregnancy: A Rare Case Report and Literature Review
by Laura Mustață, Nicolae Gică, Radu Botezatu, Raluca Chirculescu, Corina Gică, Gheorghe Peltecu and Anca Maria Panaitescu
Medicina 2022, 58(1), 36; https://doi.org/10.3390/medicina58010036 - 26 Dec 2021
Cited by 11 | Viewed by 6325
Abstract
Phyllodes Tumor (PT) is a rare fibroepithelial breast tumor that can behave differently depending on its biologic features. Traditionally, PTs are classified by their histologic features into benign, borderline, and malignant. In most cases that were reported, all PTs may recur, but only [...] Read more.
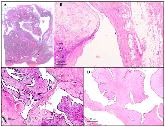
Phyllodes Tumor (PT) is a rare fibroepithelial breast tumor that can behave differently depending on its biologic features. Traditionally, PTs are classified by their histologic features into benign, borderline, and malignant. In most cases that were reported, all PTs may recur, but only the borderline and malignant PT can metastasize. PT usually occurs as a breast lump or accidental finding on ultrasound (US) examination. The clinical features include a well-defined breast mass, regular or lobulated. The diagnosis is based on the integration of morphology features, but remains challenging, particularly in the distinction from fibroadenomas. We report a case of a 36-year-old patient who presented for a voluminous breast mass, rapidly growing in the past 3–4 months. At presentation, the patient was 19 weeks pregnant. The breast tumor had the clinical and US aspect of PT. A core needle biopsy was obtained, confirming a benign PT, and local excision was performed with no postoperative complications. The final pathology report showed a borderline PT with close resection margins of 1 mm. Immunohistochemistry (IHC) established the diagnosis of malignant PT with heterologous sarcomatous differentiation. The case was discussed in the multidisciplinary tumor board (MDT) and mastectomy was recommended. The patient fully consented but refused surgery at 25 weeks’ gestation, fearing premature delivery. The right breast was closely monitored by US, and at 9 weeks after the first surgery, signs of local recurrence were detected. At 35 weeks’ gestation, right mastectomy was performed, with no perioperative complications. The pregnancy was closely followed up and no complication were found. The final pathology report describes multiples PT recurrences with heterologous sarcomatous differentiation. The pregnancy outcome was uneventful, and the patient delivered a healthy child vaginally at term with no peripartum complication. Postpartum, a computer tomography (CT) examination of the head, thorax, abdomen and pelvis was performed, with no evidence of metastases. Adjuvant chemotherapy and radiotherapy completed the treatment. The follow-up and CT scan showed no metastases or further recurrence 4 years after diagnosis. In conclusion, diagnosis of PT can be difficult, especially because of the easy confusion with fibroadenoma of the breast. There are rare cases when a pathology exam needs further assessment and IHC is recommended for accurate diagnosis. Although malignant PT is rare and accounts for <1% of all breast cancers, the diagnosis and treatment that are recommended are based on the reported cases. Moreover, when complete surgical excision is achieved, the rates of recurrence and distant metastases are low, and adjuvant therapy might not be necessary. Full article
(This article belongs to the Special Issue High-Risk Pregnancy)
Show Figures

Figure 1

9 pages, 6533 KB  
Case Report
Bilateral Phyllodes Giant Tumor. A Case Report Analyzed by Array-CGH
by Francesco Fortarezza, Federica Pezzuto, Gerardo Cazzato, Clelia Punzo, Antonio d’Amati, Teresa Lettini, Mattia Gentile, Antonia Lucia Buonadonna, Marta Mariano, Angela Pezzolla and Gabriella Serio
Diagnostics 2020, 10(10), 825; https://doi.org/10.3390/diagnostics10100825 - 15 Oct 2020
Cited by 4 | Viewed by 3357
Abstract
The breast phyllodes tumor is a biphasic tumor that accounts for less than of 1% of all breast neoplasms. It is classified as benign, borderline, or malignant, and can mimic benign masses. Some recurrent alterations have been identified. However, a precise molecular classification [...] Read more.
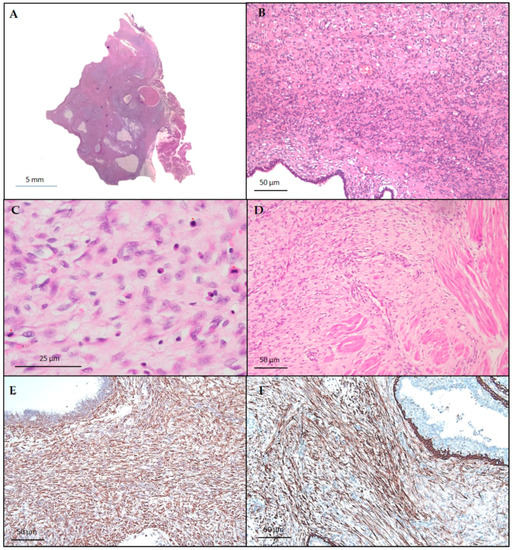
The breast phyllodes tumor is a biphasic tumor that accounts for less than of 1% of all breast neoplasms. It is classified as benign, borderline, or malignant, and can mimic benign masses. Some recurrent alterations have been identified. However, a precise molecular classification of these tumors has not yet been established. Herein, we describe a case of a 43-year-old woman that was admitted to the emergency room for a significant bleeding from the breast skin. A voluminous ulcerative mass of the left breast and multiple nodules with micro-calcifications on the right side were detected at a physical examination. A left total mastectomy and a nodulectomy of the right breast was performed. The histological diagnosis of the surgical specimens reported a bilateral giant phyllodes tumor, showing malignant features on the left and borderline characteristics associated with a fibroadenoma on the right. A further molecular analysis was carried out by an array-Comparative Genomic Hybridization (CGH) to characterize copy-number alterations. Many losses were detected in the malignant mass, involving several tumor suppressor genes. These findings could explain the malignant growth and the metastatic risk. In our study, genomic profiling by an array-CGH revealed a greater chromosomal instability in the borderline mass (40 total defects) than in the malignant (19 total defects) giant phyllodes tumor, reflecting the tumor heterogeneity. Should our results be confirmed with more sensitive and specific molecular tests (DNA sequencing and FISH analysis), they could allow a better selection of patients with adverse pathological features, thus optimizing and improving patient’s management. Full article
(This article belongs to the Section Pathology and Molecular Diagnostics)
Show Figures

Figure 1

Back to TopTop