Sign in to use this feature.

Years

Between: -

Subjects

remove_circle_outline
remove_circle_outline
remove_circle_outline

Journals

Article Types

Countries / Regions

Search Results (7)

Search Parameters:
Keywords = uterine torsion

Order results
Result details
Results per page
Select all
Export citation of selected articles as:
3 pages, 153 KB  
Proceeding Paper
Survey on Dystocia in Sheep Farming in Batna Region: Causes, Risk Factors, and Veterinary Interventions
by Abdennour Azizi, Sameh Baghezza, Abdelhamid Achouri, Meriem Bouzenzana, Zinelabiddine Lamine and Bilal Bitam
Biol. Life Sci. Forum 2025, 49(1), 3; https://doi.org/10.3390/blsf2025049003 - 18 Sep 2025
Viewed by 509
Abstract
This study investigates the occurrence of dystocia in sheep farming, particularly focusing on the Batna region in eastern Algeria. Dystocia, or difficulty in parturition, represents a significant economic challenge, contributing to high perinatal mortality rates, maternal death, and reduced reproductive efficiency in sheep. [...] Read more.
This study investigates the occurrence of dystocia in sheep farming, particularly focusing on the Batna region in eastern Algeria. Dystocia, or difficulty in parturition, represents a significant economic challenge, contributing to high perinatal mortality rates, maternal death, and reduced reproductive efficiency in sheep. This study aimed to identify the primary causes and risk factors associated with dystocia through surveys conducted with local veterinarians. The research findings suggest that fetal malposition, fetal oversize, and incomplete cervical dilation are the leading causes of dystocia. Additionally, maternal factors such as incomplete cervical dilation and uterine torsion were also a common cause. The risk of dystocia increases with parity and litter size and decreases with body score. Early veterinary intervention, including cesarean sections, reduced lamb mortality and greatly improved reproductive outcomes. These findings underline the importance of effective management strategies in preventing and managing dystocia in sheep farming. Full article
27 pages, 4466 KB  
Review
“My Bitch Is Empty!” An Overview of the Reasons for Pregnancy Loss in Dogs
by George Mantziaras and Maja Zakosek Pipan
Vet. Sci. 2025, 12(2), 127; https://doi.org/10.3390/vetsci12020127 - 5 Feb 2025
Cited by 3 | Viewed by 9824
Abstract
The purpose of this review is to present reasons for pregnancy loss in dogs. Termination of pregnancy can occur at any stage of gestation, sometimes even before pregnancy is diagnosed. If embryonic death occurs before day 35 of gestation, the embryo is absorbed. [...] Read more.
The purpose of this review is to present reasons for pregnancy loss in dogs. Termination of pregnancy can occur at any stage of gestation, sometimes even before pregnancy is diagnosed. If embryonic death occurs before day 35 of gestation, the embryo is absorbed. Fetal death in the second half of gestation leads to abortion or fetal emphysema, maceration, or mummification. Abnormal embryonic development, competition between placental sites, or genetic abnormalities of the embryo(s) can lead to termination of pregnancy. Maternal factors that alter ovarian function or the environment in the oviducts and uterus, such as cystic endometrial hyperplasia or inflammation, can lead to pregnancy loss. Abnormalities of the placenta, uterine torsion, metrocoele, environmental stress, and malnutrition can have detrimental effects on fetal development. Several drugs or medications can also have embryotoxic/teratogenic effect. Endocrinological disorders such as hypoluteodism, gestational diabetes, and hypothyroidism can be reasons for pregnancy failure. Several bacteria, protozoa, and viruses can cause pregnancy loss in dogs. Etiological diagnoses of pregnancy loss in dogs are challenging as the exact causes are not always obvious; so, a multi-faceted approach is required. Full article
(This article belongs to the Section Veterinary Reproduction and Obstetrics)
Show Figures

Figure 1

8 pages, 1655 KB  
Case Report
Asymptomatic Cervical Amputation Caused by Uterine Torsion in a Non-Gravid Woman
by Milan Stefanović, Predrag Vukomanović, Ranko Kutlešić, Milan Trenkić, Vanja Dimitrov and Aleksa Stefanović
J. Clin. Med. 2024, 13(23), 7356; https://doi.org/10.3390/jcm13237356 - 3 Dec 2024
Viewed by 1683
Abstract
Background: Uterine torsion represents a rare condition that may occur during pregnancy or in non-gravid women. This condition is difficult to diagnose, since there are no specific signs besides abdominal pain. Thus, most of the cases are not diagnosed correctly before a surgical [...] Read more.
Background: Uterine torsion represents a rare condition that may occur during pregnancy or in non-gravid women. This condition is difficult to diagnose, since there are no specific signs besides abdominal pain. Thus, most of the cases are not diagnosed correctly before a surgical procedure and may result in complications and poor outcomes. Methods: We present the first case of uterine torsion of 1080 degrees counterclockwise, with asymptomatic cervical amputation. Results: The intraoperative finding was a uterus that was twisted 1080 degrees around its longitudinal axis, a large fibroid > 15 cm, a large ovarian tumor > 15 cm, and a missing cervix. Upon further inspection, the cervix was found, completely separated from the body of the uterus. After the surgery, the patient remained stable, and her postoperative course was uneventful. She was discharged on the eighth postoperative day. No complications were detected 2 months after the surgery. Conclusions: This specific case is extremely unique, being the only one in searched literature with a 1080° torsion and an amputated cervix. Uterine torsion, especially in postmenopausal women, is a highly rare condition and is difficult to diagnose, with potentially serious outcomes. Any doubts should be assessed as quickly as possible and be dealt with appropriately. If possible, MRI and CT scans could be of great help in differential diagnosis. Full article
(This article belongs to the Section Obstetrics & Gynecology)
Show Figures

Figure 1

19 pages, 22617 KB  
Review
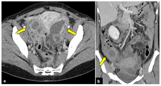
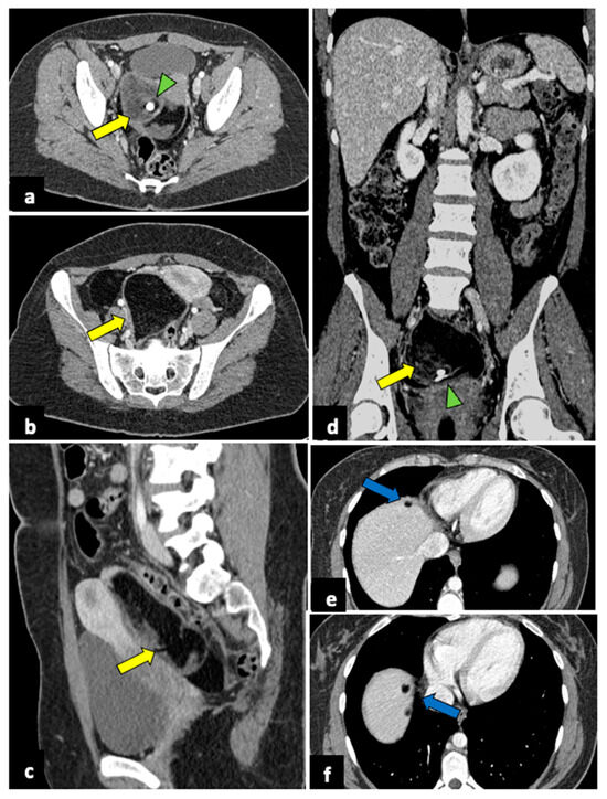
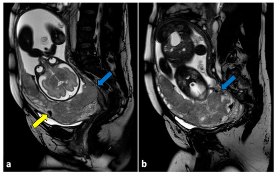
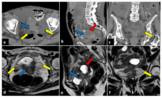
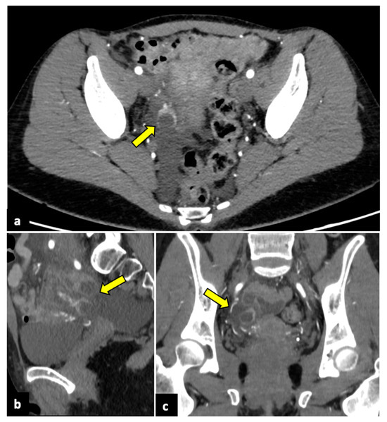
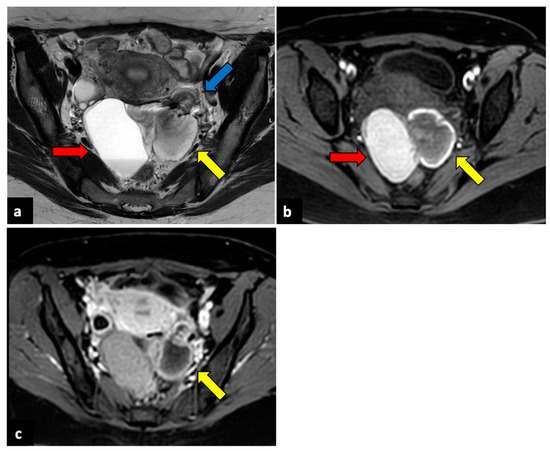
Gynaecological Causes of Acute Pelvic Pain: Common and Not-So-Common Imaging Findings
by Paolo Niccolò Franco, Alejandra García-Baizán, María Aymerich, Cesare Maino, Sofia Frade-Santos, Davide Ippolito and Milagros Otero-García
Life 2023, 13(10), 2025; https://doi.org/10.3390/life13102025 - 9 Oct 2023
Cited by 14 | Viewed by 11064
Abstract
In female patients, acute pelvic pain can be caused by gynaecological, gastrointestinal, and urinary tract pathologies. Due to the variety of diagnostic possibilities, the correct assessment of these patients may be challenging. The most frequent gynaecological causes of acute pelvic pain in non-pregnant [...] Read more.
In female patients, acute pelvic pain can be caused by gynaecological, gastrointestinal, and urinary tract pathologies. Due to the variety of diagnostic possibilities, the correct assessment of these patients may be challenging. The most frequent gynaecological causes of acute pelvic pain in non-pregnant women are pelvic inflammatory disease, ruptured ovarian cysts, ovarian torsion, and degeneration or torsion of uterine leiomyomas. On the other hand, spontaneous abortion, ectopic pregnancy, and placental disorders are the most frequent gynaecological entities to cause acute pelvic pain in pregnant patients. Ultrasound (US) is usually the first-line diagnostic technique because of its sensitivity across most common aetiologies and its lack of radiation exposure. Computed tomography (CT) may be performed if ultrasound findings are equivocal or if a gynaecologic disease is not initially suspected. Magnetic resonance imaging (MRI) is an extremely useful second-line technique for further characterisation after US or CT. This pictorial review aims to review the spectrum of gynaecological entities that may manifest as acute pelvic pain in the emergency department and to describe the imaging findings of these gynaecological conditions obtained with different imaging techniques. Full article
(This article belongs to the Section Medical Research)
Show Figures

Figure 1

3 pages, 611 KB  
Proceeding Paper
Reproductive Troubles: Cases Report in Camels—First Caesarean in Camilidae in Algeria
by Said Fettata
Biol. Life Sci. Forum 2023, 22(1), 20; https://doi.org/10.3390/blsf2023022020 - 13 Apr 2023
Viewed by 1764
Abstract
The camel is a highly valuable animal which contributes effectively to the welfare of people in difficult environments such as the Algerian Sahara. Reproduction in the camel is not as well understood as in more common species of domestic animals. Reproductive problems in [...] Read more.
The camel is a highly valuable animal which contributes effectively to the welfare of people in difficult environments such as the Algerian Sahara. Reproduction in the camel is not as well understood as in more common species of domestic animals. Reproductive problems in the camel are not researched as, for example, in the bovine and small ruminants. Our study demonstrates a clinical case in the Ghardaïa district: cesarean section in female’s camels. The incidence of camel dystocia does not differ from that of bovines. The etiologies of dystocia include uterine torsion, carpal flexion, lateral deviation of the head and hock and hip flexion of the fetus. However, the camel fetus survives dystocia better than the equine fetus, and the camel is a good subject for cesarean section. Cesarean section could be performed on the left flank using xylazine sedation and local regional or infiltration anesthesia. A camel, 17 h in dystocia, delivered a live fetus via cesarean section. The camel placenta is diffuse epitheliochorial type, and placental retention subsequent to parturition is rare. The camel placenta is expelled within 49 min to 6 h of calving. Full article
Show Figures

Figure 1

19 pages, 9656 KB  
Review
Utility of the Diffusion Weighted Sequence in Gynecological Imaging: Review Article
by Apurva Bonde, Eduardo Andreazza Dal Lago, Bryan Foster, Sanaz Javadi, Sarah Palmquist and Priya Bhosale
Cancers 2022, 14(18), 4468; https://doi.org/10.3390/cancers14184468 - 15 Sep 2022
Cited by 21 | Viewed by 6829
Abstract
Functional imaging with diffusion-weighted imaging (DWI) is a complementary tool to conventional diagnostic magnetic resonance imaging sequences. It is being increasingly investigated to predict tumor response and assess tumor recurrence. We elucidate the specific technical modifications of DWI preferred for gynecological imaging, including [...] Read more.
Functional imaging with diffusion-weighted imaging (DWI) is a complementary tool to conventional diagnostic magnetic resonance imaging sequences. It is being increasingly investigated to predict tumor response and assess tumor recurrence. We elucidate the specific technical modifications of DWI preferred for gynecological imaging, including the different b-values and planes for image acquisition. Additionally, we discuss the problems and potential pitfalls encountered during DWI interpretation and ways to overcome them. DWI has a wide range of clinical applications in malignant and non-malignant gynecological conditions. It provides supplemental information helpful in diagnosing and managing tubo-ovarian abscess, uterine fibroids, endometriosis, adnexal torsion, and dermoid. Similarly, DWI has diverse applications in gynecological oncology in diagnosis, staging, detection of recurrent disease, and tumor response assessment. Quantitative evaluation with apparent diffusion coefficient (ADC) measurement is being increasingly evaluated for correlation with various tumor parameters in managing gynecological malignancies aiding in preoperative treatment planning. Newer advanced DWI techniques of diffusion tensor imaging (DTI) and whole body DWI with background suppression (DWIBS) and their potential uses in pelvic nerve mapping, preoperative planning, and fertility-preserving surgeries are briefly discussed. Full article
(This article belongs to the Special Issue Gynecologic Cancers: Imaging Updates and Advances)
Show Figures

Figure 1

14 pages, 3038 KB  
Article
The Diagnostic Accuracy of Magnetic Resonance Imaging for Maternal Acute Adnexal Torsion during Pregnancy: Single-Institution Clinical Performance Review
by Jong Hwa Lee, Hyun Jin Roh, Jun Woo Ahn, Jeong Sook Kim, Jin Young Choi, Soo-Jeong Lee and Sang Hun Lee
J. Clin. Med. 2020, 9(7), 2209; https://doi.org/10.3390/jcm9072209 - 13 Jul 2020
Cited by 15 | Viewed by 6784
Abstract
Background: For acute adnexal torsion of pregnant women, appropriate treatment based on an accurate diagnosis is especially important for fertility preservation and timely treatment. The 2017 American College of Obstetricians and Gynecologists (ACOG) Committee Opinion No. 723 announced its practice-changing guidelines to ensure [...] Read more.
Background: For acute adnexal torsion of pregnant women, appropriate treatment based on an accurate diagnosis is especially important for fertility preservation and timely treatment. The 2017 American College of Obstetricians and Gynecologists (ACOG) Committee Opinion No. 723 announced its practice-changing guidelines to ensure that diagnostic magnetic resonance imaging (MRI) conducted during the first trimester and gadolinium exposure at any time during pregnancy are safe for fetal stability. Unfortunately, few studies have been performed to evaluate the usefulness of the diagnostic accuracy of MRI for acute adnexal torsion during pregnancy. Objective: We sought to determine the efficacy of diagnostic MRI modality using multiparameter for maternal adnexal torsion during pregnancy. Methods: From 1 January 2007 to 31 January 2019, 131 pregnant with MRI tests were reviewed. In this retrospective cohort study, 94 women were excluded due to conditions other than an adnexal mass, and 37 were identified through MRI analyses conducted before surgery for suspected adnexal torsion. The primary outcome was the diagnostic accuracy of sonography and MRI, and the secondary outcome was the usefulness of Apparent diffusion coefficient (ADC) values for predicting the severity of hemorrhagic infarction between the medulla and cortex of the torsed ovarian parenchyma. Results: Our study demonstrates that in the diagnosis of adnexal torsion during pregnancy, the sensitivity, specificity, positive predictive value, and negative predictive value are 62.5%, 83.3%, 90.9%, and 45.5% for sonography and 100%, 77.8%, 90.5%, and 100% for MRI. MRI results in surgical-proven adnexal torsion patients revealed unilocular ovarian cysts (36.8% (7/19)), multilocular ovarian cysts (31.6% (6/19)), and near normal-appearing ovaries (31.6% (6/19)). Pathology in adnexal torsion revealed a corpus luteal ovarian cyst (63.2% (12/19)) and underlying adnexal pathology (46.8% (7/19)). Maternal adnexal torsion during pregnancy was more likely to occur in corpus luteal ovarian cysts than in underlying adnexal masses (odds ratio, 2.14; 95% confidence interval (CI), 0.428–10.738). MRI features for adnexal torsion were as follows: tubal wall thickness, 100% (19/19); ovarian stromal (medullary) edema, 100% (19/19); symmetrical or asymmetrical ovarian cystic wall, 100%(19/19); prominent follicles in the ovarian parenchyma periphery, 57.9% (11/19); periadenxal fat stranding, 84.2% (16/19); uterine deviation to the twisted side, 21.1% (4/19); and peritoneal fluid, 42.1% (8/19). The signal intensity of the ADC values of the ovarian medulla and cortex were compared between the cystectomy and detorsion (CD) and salpingo-oophorectomy (SO) groups. The ADC values of the CD and SO groups were 1.81 ± 0.09 × 10−3 mm2/s and 1.91 ± 0.18 × 10−3 mm2/s, respectively (P = 0.209), in the ovarian medulla and 1.37 ± 0.32 × 10−3 mm2/s and 0.96 ± 0.36 × 10−3 mm2/s, respectively (P = 0.022), in the ovarian cortex. The optimal cut-off value of ADC values for predictable total necrosis in the torsed ovarian cortex was ≤ 1.31 × 10−3 mm2/s (area under the curve (AUC) = 0.81; 95% CI 0.611–1.0; P = 0.028). Conclusion: Our data showed that maternal adnexal torsion during pregnancy occurred in most corpus luteal cystic ovary cases and some normal-appearing ovary during the 1st and 2nd trimesters of gestation. Therefore, this study is the first study to elaborate on the existence or usefulness of the diagnostic MRI for acute maternal adnexal torsion during pregnancy and to provide a predictive diagnosis of the severity of hemorrhagic infarction for deciding surgical radicality. Full article
(This article belongs to the Special Issue New Prospects for Prenatal Diagnosis and Fetal Therapy)
Show Figures

Figure 1

Back to TopTop