Sign in to use this feature.

Years

Between: -

Subjects

remove_circle_outline
remove_circle_outline
remove_circle_outline
remove_circle_outline
remove_circle_outline
remove_circle_outline
remove_circle_outline
remove_circle_outline

Journals

Article Types

Countries / Regions

Search Results (8)

Search Parameters:
Keywords = recursive neuronal network

Order results
Result details
Results per page
Select all
Export citation of selected articles as:
29 pages, 3798 KB  
Article
Hybrid Adaptive MPC with Edge AI for 6-DoF Industrial Robotic Manipulators
by Claudio Urrea
Mathematics 2025, 13(19), 3066; https://doi.org/10.3390/math13193066 - 24 Sep 2025
Viewed by 1642
Abstract
Autonomous robotic manipulators in industrial environments face significant challenges, including time-varying payloads, multi-source disturbances, and real-time computational constraints. Traditional model predictive control frameworks degrade by over 40% under model uncertainties, while conventional adaptive techniques exhibit convergence times incompatible with industrial cycles. This work [...] Read more.
Autonomous robotic manipulators in industrial environments face significant challenges, including time-varying payloads, multi-source disturbances, and real-time computational constraints. Traditional model predictive control frameworks degrade by over 40% under model uncertainties, while conventional adaptive techniques exhibit convergence times incompatible with industrial cycles. This work presents a hybrid adaptive model predictive control framework integrating edge artificial intelligence with dual-stage parameter estimation for 6-DoF industrial manipulators. The approach combines recursive least squares with a resource-optimized neural network (three layers, 32 neurons, <500 KB memory) designed for industrial edge deployment. The system employs innovation-based adaptive forgetting factors, providing exponential convergence with mathematically proven Lyapunov-based stability guarantees. Simulation validation using the Fanuc CR-7iA/L manipulator demonstrates superior performance across demanding scenarios, including precision laser cutting and obstacle avoidance. Results show 52% trajectory tracking RMSE reduction (0.022 m to 0.012 m) under 20% payload variations compared to standard MPC, while achieving sub-5 ms edge inference latency with 99.2% reliability. The hybrid estimator achieves 65% faster parameter convergence than classical RLS, with 18% energy efficiency improvement. Statistical significance is confirmed through ANOVA (F = 24.7, p < 0.001) with large effect sizes (Cohen’s d > 1.2). This performance surpasses recent adaptive control methods while maintaining proven stability guarantees. Hardware validation under realistic industrial conditions remains necessary to confirm practical applicability. Full article
(This article belongs to the Special Issue Computation, Modeling and Algorithms for Control Systems)
Show Figures

Figure 1

17 pages, 3452 KB  
Article
A Categorical Model of General Consciousness
by Yinsheng Zhang
Biomimetics 2025, 10(4), 241; https://doi.org/10.3390/biomimetics10040241 - 14 Apr 2025
Viewed by 2203
Abstract
Consciousness is liable to not be defined in scientific research, because it is an object of study in philosophy too, which actually hinders the integration of research on a large scale. The present study attempts to define consciousness with mathematical approaches by including [...] Read more.
Consciousness is liable to not be defined in scientific research, because it is an object of study in philosophy too, which actually hinders the integration of research on a large scale. The present study attempts to define consciousness with mathematical approaches by including the common meaning of consciousness across multiple disciplines. By extracting the essential characteristics of consciousness—transitivity—a categorical model of consciousness is established. This model is used to obtain three layers of categories, namely objects, materials as reflex units, and consciousness per se in homomorphism. The model forms a framework that functional neurons or AI (biomimetic) parts can be treated as variables, functions or local solutions of the model. Consequently, consciousness is quantified algebraically, which helps determining and evaluating consciousness with views that integrate nature and artifacts. Current consciousness theories and computation theories are analyzed to support the model. Full article
(This article belongs to the Special Issue Exploration of Bio-Inspired Computing)
Show Figures

Figure 1

17 pages, 13756 KB  
Communication
Sign Language Interpreting System Using Recursive Neural Networks
by Erick A. Borges-Galindo, Nayely Morales-Ramírez, Mario González-Lee, José R. García-Martínez, Mariko Nakano-Miyatake  and Hector Perez-Meana 
Appl. Sci. 2024, 14(18), 8560; https://doi.org/10.3390/app14188560 - 23 Sep 2024
Cited by 4 | Viewed by 2820
Abstract
According to the World Health Organization (WHO), 5% of people around the world have hearing disabilities, which limits their capacity to communicate with others. Recently, scientists have proposed systems based on deep learning techniques to create a sign language-to-text translator, expecting this to [...] Read more.
According to the World Health Organization (WHO), 5% of people around the world have hearing disabilities, which limits their capacity to communicate with others. Recently, scientists have proposed systems based on deep learning techniques to create a sign language-to-text translator, expecting this to help deaf people communicate; however, the performance of such systems is still low for practical scenarios. Furthermore, the proposed systems are language-oriented, which leads to particular problems related to the signs for each language. For this reason, to address this problem, in this paper, we propose a system based on a Recursive Neural Network (RNN) focused on Mexican Sign Language (MSL) that uses the spatial tracking of hands and facial expressions to predict the word that a person intends to communicate. To achieve this, we trained four RNN-based models using a dataset of 600 clips that were 30 s long; each word included 30 clips. We conducted two experiments; we tailored the first experiment to determine the most well-suited model for the target application and measure the accuracy of the resulting system in offline mode; in the second experiment, we measured the accuracy of the system in online mode. We assessed the system’s performance using the following metrics: the precision, recall, F1-score, and the number of errors during online scenarios, and the results computed indicate an accuracy of 0.93 in the offline mode and a higher performance for the online operating mode compared to previously proposed approaches. These results underscore the potential of the proposed scheme in scenarios such as teaching, learning, commercial transactions, and daily communications among deaf and non-deaf people. Full article
(This article belongs to the Section Computing and Artificial Intelligence)
Show Figures

Figure 1

15 pages, 2231 KB  
Article
Vehicle Driving Safety of Underground Interchanges Using a Driving Simulator and Data Mining Analysis
by Zhen Liu, Qifeng Yang, Anlue Wang and Xingyu Gu
Infrastructures 2024, 9(2), 28; https://doi.org/10.3390/infrastructures9020028 - 2 Feb 2024
Cited by 24 | Viewed by 3290
Abstract
In the process of driving in an underground interchange, drivers are faced with many challenges, such as being in a closed space, visual changes alternating between light and dark conditions, complex road conditions in the confluence section, and dense signage, which directly affect [...] Read more.
In the process of driving in an underground interchange, drivers are faced with many challenges, such as being in a closed space, visual changes alternating between light and dark conditions, complex road conditions in the confluence section, and dense signage, which directly affect the safety and comfort of drivers in an underground interchange. Thus, driving simulation, building information modeling (BIM), and data mining were used to analyze the impact of underground interchange safety facilities on driving safety and comfort. Acceleration disturbance and steering wheel comfort loss values were used to assist the comfort analysis. The CART algorithm, classification decision trees, and neural networks were used for data mining, which uses a dichotomous recursive partitioning technique where multiple layers of neurons are superimposed to fit and replace very complex nonlinear mapping relationships. Ten different scenarios were designed for comparison. Multiple linear regression combined with ANOVA was used to calculate the significance of the control variables for each scenario on the evaluation index. The results show that appropriately reducing the length of the deceleration section can improve driving comfort, setting reasonable reminder signs at the merge junction can improve driving safety, and an appropriate wall color can reduce speed oscillation. This study indicates that the placement of traffic safety facilities significantly influences the safety and comfort of driving in underground interchanges. This study may provide support for the optimization of the design of underground interchange construction and internal traffic safety facilities. Full article
(This article belongs to the Special Issue Recent Progress in Transportation Infrastructures)
Show Figures

Figure 1

13 pages, 2818 KB  
Article
Predicting Cryptocurrency Fraud Using ChaosNet: The Ethereum Manifestation
by Anurag Dutta, Liton Chandra Voumik, Athilingam Ramamoorthy, Samrat Ray and Asif Raihan
J. Risk Financial Manag. 2023, 16(4), 216; https://doi.org/10.3390/jrfm16040216 - 29 Mar 2023
Cited by 23 | Viewed by 5773
Abstract
Cryptocurrencies are in high demand now due to their volatile and untraceable nature. Bitcoin, Ethereum, and Dogecoin are just a few examples. This research seeks to identify deception and probable fraud in Ethereum transactional processes. We have developed this capability via ChaosNet, an [...] Read more.
Cryptocurrencies are in high demand now due to their volatile and untraceable nature. Bitcoin, Ethereum, and Dogecoin are just a few examples. This research seeks to identify deception and probable fraud in Ethereum transactional processes. We have developed this capability via ChaosNet, an Artificial Neural Network constructed using Generalized Luröth Series maps. Chaos has been objectively discovered in the brain at many spatiotemporal scales. Several synthetic neuronal simulations, including the Hindmarsh–Rose model, possess chaos, and individual brain neurons are known to display chaotic bursting phenomena. Although chaos is included in several Artificial Neural Networks (ANNs), for instance, in Recursively Generating Neural Networks, no ANNs exist for classical tasks entirely made up of chaoticity. ChaosNet uses the chaotic GLS neurons’ property of topological transitivity to perform classification problems on pools of data with cutting-edge performance, lowering the necessary training sample count. This synthetic neural network can perform categorization tasks by gathering a definite amount of training data. ChaosNet utilizes some of the best traits of networks composed of biological neurons, which derive from the strong chaotic activity of individual neurons, to solve complex classification tasks on par with or better than standard Artificial Neural Networks. It has been shown to require much fewer training samples. This ability of ChaosNet has been well exploited for the objective of our research. Further, in this article, ChaosNet has been integrated with several well-known ML algorithms to cater to the purposes of this study. The results obtained are better than the generic results. Full article
(This article belongs to the Special Issue Financial Applications to Business and Financial Risk Management)
Show Figures

Figure 1

35 pages, 18834 KB  
Article
Different Forecasting Horizons Based Performance Analysis of Electricity Load Forecasting Using Multilayer Perceptron Neural Network
by Manogaran Madhiarasan and Mohamed Louzazni
Forecasting 2021, 3(4), 804-838; https://doi.org/10.3390/forecast3040049 - 2 Nov 2021
Cited by 9 | Viewed by 4549
Abstract
With an uninterrupted power supply to the consumer, it is obligatory to balance the electricity generated by the electricity load. The effective planning of economic dispatch, reserve requirements, and quality power provision for accurate consumer information concerning the electricity load is needed. The [...] Read more.
With an uninterrupted power supply to the consumer, it is obligatory to balance the electricity generated by the electricity load. The effective planning of economic dispatch, reserve requirements, and quality power provision for accurate consumer information concerning the electricity load is needed. The burden on the power system engineers eased electricity load forecasting is essential to ensure the enhanced power system operation and planning for reliable power provision. Fickle nature, atmospheric parameters influence makes electricity load forecasting a very complex and challenging task. This paper proposed a multilayer perceptron neural network (MLPNN) with an association of recursive fine-tuning strategy-based different forecasting horizons model for electricity load forecasting. We consider the atmospheric parameters as the inputs to the proposed model, overcoming the atmospheric effect on electricity load forecasting. Hidden layers and hidden neurons based on performance investigation performed. Analyzed performance of the proposed model with other existing models; the comparative performance investigation reveals that the proposed forecasting model performs rigorous with a minimal evaluation index (mean square error (MSE) of 1.1506 × 10−05 for Dataset 1 and MSE of 4.0142 × 10−07 for Dataset 2 concern to the single hidden layer and MSE of 2.9962 × 10−07 for Dataset 1, and MSE of 1.0425 × 10−08 for Dataset 2 concern to two hidden layers based proposed model) and compared to the considered existing models. The proposed neural network possesses a good forecasting ability because we develop based on various atmospheric parameters as the input variables, which overcomes the variance. It has a generic performance capability for electricity load forecasting. The proposed model is robust and more reliable. Full article
(This article belongs to the Special Issue Advanced Forecasting Methods with Applications to Smart Grids)
Show Figures

Figure 1

19 pages, 2487 KB  
Article
Echo State Network Based Model Predictive Control for Active Vibration Control of Hybrid Electric Vehicle Powertrains
by Hideki Ogawa and Yasutake Takahashi
Appl. Sci. 2021, 11(14), 6621; https://doi.org/10.3390/app11146621 - 19 Jul 2021
Cited by 9 | Viewed by 3345
Abstract
Reservoir computing refers to a computational framework based on recurrent neural networks that can process time-series data. In an echo state network (ESN), which is a type of reservoir computing framework, the reservoir consists of a recursive network of artificial neurons with nonlinear [...] Read more.
Reservoir computing refers to a computational framework based on recurrent neural networks that can process time-series data. In an echo state network (ESN), which is a type of reservoir computing framework, the reservoir consists of a recursive network of artificial neurons with nonlinear activation functions. A model predictive control (MPC) technique can determine the control signals by solving the optimization problem of a system using the finite-time domain of each control period. However, real-time optimization cannot be achieved unless the optimal control problem can be solved within the next control period. To overcome this limitation, we propose a new control method based on MPC that explicitly incorporates the predicted disturbance of a time-varying trajectory using ESN to achieve the active vibration control of hybrid electric vehicle (HEV) powertrains. Once the ESN has been trained, the associated MPC explicitly satisfies the constraints over a moving horizon without further training. Instead of completing the real-time optimization within the control period, ESN predicts the future disturbance and applies it to the MPC in the future control period. Based on the predicted future disturbance, the system calculates the optimal control signals required for the future. Thus, real-time control can be realized because the optimal signals are determined before the subsequent control period occurs. The proposed method can be implemented in MPC even if the control period is too short to optimize as long as the disturbance can be reasonably measured and predicted. In this study, the simulation approach was demonstrated using the engine start condition in an HEV powertrain. The importance of this study is that the limitation of MPC relevant to real-time optimization can be relaxed by applying our proposed method. Full article
(This article belongs to the Section Applied Industrial Technologies)
Show Figures

Figure 1

19 pages, 6343 KB  
Article
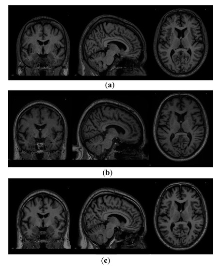
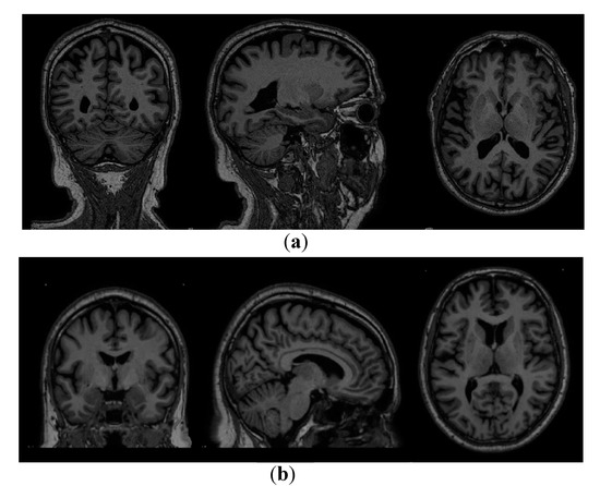
3D Textural, Morphological and Statistical Analysis of Voxel of Interests in 3T MRI Scans for the Detection of Parkinson’s Disease Using Artificial Neural Networks
by Sabyasachi Chakraborty, Satyabrata Aich and Hee-Cheol Kim
Healthcare 2020, 8(1), 34; https://doi.org/10.3390/healthcare8010034 - 7 Feb 2020
Cited by 28 | Viewed by 6546
Abstract
Parkinson’s disease is caused due to the progressive loss of dopaminergic neurons in the substantia nigra pars compacta (SNc). Presently, with the exponential growth of the aging population across the world the number of people being affected by the disease is also increasing [...] Read more.
Parkinson’s disease is caused due to the progressive loss of dopaminergic neurons in the substantia nigra pars compacta (SNc). Presently, with the exponential growth of the aging population across the world the number of people being affected by the disease is also increasing and it imposes a huge economic burden on the governments. However, to date, no therapy or treatment has been found that can completely eradicate the disease. Therefore, early detection of Parkinson’s disease is very important so that the progressive loss of dopaminergic neurons can be controlled to provide the patients with a better life. In this study, 3T T1-MRI scans were collected from 906 subjects, out of which, 203 are control subjects, 66 are prodromal subjects and 637 are Parkinson’s disease patients. To analyze the MRI scans for the detection of neurodegeneration and Parkinson’s disease, eight subcortical structures were segmented from the acquired MRI scans using atlas based segmentation. Further, on the extracted eight subcortical structures, feature extraction was performed to extract textural, morphological and statistical features, respectively. After the feature extraction process, an exhaustive set of 107 features were generated for each MRI scan. Therefore, a two-level feature extraction process was implemented for finding the best possible feature set for the detection of Parkinson’s disease. The two-level feature extraction procedure leveraged correlation analysis and recursive feature elimination, which at the end provided us with 20 best performing features out of the extracted 107 features. Further, all the features were trained using machine learning algorithms and a comparative analysis was performed between four different machine learning algorithms based on the selected performance metrics. And at the end, it was observed that artificial neural network (multi-layer perceptron) performed the best by providing an overall accuracy of 95.3%, overall recall of 95.41%, overall precision of 97.28% and f1-score of 94%, respectively. Full article
Show Figures

Figure 1

Back to TopTop