Sign in to use this feature.

Years

Between: -

Subjects

remove_circle_outline
remove_circle_outline
remove_circle_outline
remove_circle_outline
remove_circle_outline
remove_circle_outline

Journals

Article Types

Countries / Regions

Search Results (25)

Search Parameters:
Keywords = organizing hematoma

Order results
Result details
Results per page
Select all
Export citation of selected articles as:
15 pages, 665 KB  
Review
Duodenal Trauma: Mechanisms of Injury, Diagnosis, and Management
by Raffaele Bova, Giulia Griggio, Serena Scilletta, Federica Leone, Carlo Vallicelli, Vanni Agnoletti and Fausto Catena
J. Clin. Med. 2026, 15(2), 567; https://doi.org/10.3390/jcm15020567 - 10 Jan 2026
Viewed by 269
Abstract
Background: Traumatic injuries of the duodenum are generally rare but when they occur, they can result in serious complications. Inaccurate injury classification, delayed diagnosis, or late treatment can significantly raise morbidity and mortality. A multidisciplinary approach is often necessary. Mechanisms of injury [...] Read more.
Background: Traumatic injuries of the duodenum are generally rare but when they occur, they can result in serious complications. Inaccurate injury classification, delayed diagnosis, or late treatment can significantly raise morbidity and mortality. A multidisciplinary approach is often necessary. Mechanisms of injury: Isolated duodenal injuries are relatively uncommon due to the duodenum’s proximity to pancreas and major vascular structures. Duodenal injuries can result from blunt or penetrating trauma. Classification: The 2019 World Society of Emergency Surgery (WSES)-American Association for the Surgery of Trauma (AAST) guidelines recommend incorporating both the AAST-OIS grading and the patient’s hemodynamic status to stratify duodenal injuries into four categories: Minor injuries WSES class I, Moderate injuries WSES class II, Severe injuries WSES class III, and WSES class IV. Diagnosis: The diagnostic approach involves a combination of clinical assessment, laboratory investigations, radiological imaging and, in particular situations, surgery. Prompt diagnosis is critical because delays exceeding 24 h are associated with a higher incidence of postoperative complications and a significant rise in mortality. Contrast-enhanced abdominal computed tomography (CT) represents the gold standard for diagnosis in patients who are hemodynamically stable. Management: Duodenal trauma requires a multimodal approach that considers hemodynamic stability, the severity of the injury and the presence of associated lesions. Non-operative management (NOM) is reserved for hemodynamically stable patients with minor duodenal injuries without perforation (AAST I/WSES I), as well as all duodenal hematomas (WSES I–II/AAST I–II) in the absence of associated abdominal organ injuries requiring surgical intervention. All hemodynamically unstable patients, those with peritonitis, or with CT findings consistent with duodenal perforations or AAST grade III or higher injuries are candidates for emergency surgery. If intervention is required, primary repair should be the preferred option whenever feasible, while damage control surgery is the best choice in cases of hemodynamic instability, severe associated injuries, or complex duodenal lesions. Definitive reconstructive surgery should be postponed until the patient has been adequately resuscitated. The role of endoscopic techniques in the treatment of duodenal injuries and their complications is expanding. Conclusions: Duodenal trauma is burdened by potentially high mortality. Among the possible complications, duodenal fistula is the most common, followed by duodenal obstruction, bile duct fistula, abscess, and pancreatitis. The overall mortality rate for duodenal trauma persists to be significant with an average rate of 17%. Future prospective research needed to reduce the risk of complications following duodenal trauma. Full article
Show Figures

Figure 1

21 pages, 760 KB  
Article
Perioperative Complications in the Primary Vaginal Mesh Surgery for Pelvic Organ Prolapse
by Francesco Deltetto, Irene Deltetto, Antonella Giannantoni, Margaret Jorgensen, Stefano Landi, Marco Manni, Luisa Marcato, Daniela Mirabella, Alessandro Libretti and Valentino Remorgida
Surgeries 2025, 6(4), 89; https://doi.org/10.3390/surgeries6040089 - 16 Oct 2025
Viewed by 1195
Abstract
Background/Objectives: The use of vaginal mesh for pelvic organ prolapse (POP) repair remains controversial following global restrictions due to safety concerns. This study evaluated intra- and perioperative morbidity following a standardized single-incision, six-point fixation approach using an ultralight vaginal mesh in primary surgery [...] Read more.
Background/Objectives: The use of vaginal mesh for pelvic organ prolapse (POP) repair remains controversial following global restrictions due to safety concerns. This study evaluated intra- and perioperative morbidity following a standardized single-incision, six-point fixation approach using an ultralight vaginal mesh in primary surgery for anterior/central POP. Methods: We conducted a retrospective multicenter study including 426 women who underwent primary POP repair with the InGYNious mesh system between May 2016 and February 2024. All surgeries followed a uniform technique across seven Italian centers. Data were collected on perioperative complications, urinary function, postoperative pain, and catheter duration. Results: The overall morbidity rate was 7.3% (31/426), primarily due to hematomas (4.5%), bladder injuries (1.4%), and ureteral injuries (0.7%). Median surgery duration was 40 min with minimal blood loss. Early postoperative pain was associated with higher POP-Q scores, longer surgical duration, and lower BMI. No cases of de novo urinary incontinence or urinary tract infection were reported in the perioperative period. Conclusions: This large multicenter case series suggests that, in experienced hands, this standardized vaginal mesh approach is associated with a low perioperative complication rate. However, the absence of a control group and the short follow-up are major limitations. Long-term outcome data, particularly regarding mesh-related complications, are essential before drawing firm conclusions on the broader safety or role of vaginal mesh in POP repair. Full article
Show Figures

Figure 1

17 pages, 8254 KB  
Article
Aquaporins in the Capillaries of the Dura Mater of Pigs
by Slavica Martinović, Dinko Smilović, Boris Pirkić, Petra Dmitrović, Leonarda Grandverger and Marijan Klarica
Int. J. Mol. Sci. 2025, 26(15), 7653; https://doi.org/10.3390/ijms26157653 - 7 Aug 2025
Viewed by 876
Abstract
Dura mater plays a critical role in neurofluid homeostasis, yet comparative data on capillary network density and organization between cranial and spinal regions remain limited. This study addresses this gap by systematically analyzing capillary architecture and aquaporin (AQP) expression in porcine cranial (parietal, [...] Read more.
Dura mater plays a critical role in neurofluid homeostasis, yet comparative data on capillary network density and organization between cranial and spinal regions remain limited. This study addresses this gap by systematically analyzing capillary architecture and aquaporin (AQP) expression in porcine cranial (parietal, falx) and spinal dura mater. Immunofluorescence labeling and confocal microscopy were used to assess capillary density, spatial distribution, and AQP1/AQP4 expression patterns across over 1000 capillaries in these regions. Cranial dura exhibited a 3–4 times higher capillary density compared to spinal dura, with capillaries predominantly localized to meningeal–dural border cell interfaces in cranial regions and a more dispersed distribution in spinal dura. Both AQP1 and AQP4 were detected as discrete clusters within capillary walls, with higher expression in cranial compared to spinal dura. Lymphatic vessels (PDPN-positive) were also observed adjacent to capillaries, supporting a dual-system model for fluid and waste exchange. These findings highlight the dura’s region-specific vascular specialization, with cranial regions favoring dense, structured capillary networks suited for active fluid exchange. This work establishes a foundation for investigating capillary-driven fluid dynamics in pathological states like subdural hematomas or hydrocephalus. Full article
(This article belongs to the Special Issue Aquaporins in Brain Disease, 2nd Edition)
Show Figures

Figure 1

10 pages, 1243 KB  
Case Report
A Case of Rheumatoid Arthritis Complicated by Compression of the Popliteal Artery and Tibial Nerve Due to an Organized Hematoma in the Popliteal Fossa: A Case Report and Literature Review
by Gi Beom Kim, Min Cheol Chang and Hyun-Je Kim
Diagnostics 2025, 15(10), 1265; https://doi.org/10.3390/diagnostics15101265 - 16 May 2025
Cited by 1 | Viewed by 1789
Abstract
Background/Objectives: Among the various types of masses that can cause compression, hematomas are a relatively common but often overlooked cause. Rheumatoid arthritis (RA) is associated with bleeding problems due to vascular inflammation, platelet dysfunction, impaired production of clotting factors, and medication use. Case [...] Read more.
Background/Objectives: Among the various types of masses that can cause compression, hematomas are a relatively common but often overlooked cause. Rheumatoid arthritis (RA) is associated with bleeding problems due to vascular inflammation, platelet dysfunction, impaired production of clotting factors, and medication use. Case Presentation: We report a case of a 76-year-old woman with RA who developed vascular and neurological symptoms in her right lower leg due to compression of the popliteal artery and tibial nerve by an organized hematoma in the popliteal fossa. She experienced swelling, pain, and plantar flexor weakness in the affected leg with no history of trauma. Magnetic resonance imaging revealed a mass measuring 1.2 × 1.0 × 3.0 cm in size in the right popliteal fossa that was in contact with the popliteal artery and tibial nerve on its posterolateral aspect. Electrodiagnostic examination revealed that the right tibial neuropathy developed most probably around the knee level. Surgical excision of the hematoma resulted in almost complete resolution of symptoms, and excisional biopsy disclosed findings of an organized hematoma. We confirmed that the patient’s symptoms were induced by compression of the popliteal artery and tibial nerve due to the organized hematoma in the right popliteal fossa. Conclusions: This case report emphasizes the importance of considering space-occupying lesions, such as organized hematomas, in patients with RA who develop neurological and vascular symptoms. Full article
(This article belongs to the Special Issue Diagnosis and Management of Musculoskeletal Disorders)
Show Figures

Figure 1

12 pages, 1241 KB  
Article
The “Spider Web” Technique in Difficult Chest Wall Reconstructions: A 5-Year Experience
by Emanuel Palade, Stefanie Schierholz, Tobias Keck and David Benjamin Ellebrecht
J. Clin. Med. 2025, 14(9), 2903; https://doi.org/10.3390/jcm14092903 - 23 Apr 2025
Cited by 1 | Viewed by 841
Abstract
Background/Objectives: Primary chest wall tumors or malignancies of adjacent organs with chest wall infiltration present a significant challenge for surgical resection and reconstruction. Larger defects involving the sternum, resections in the area of the thoracic apertures, or those near the spine are [...] Read more.
Background/Objectives: Primary chest wall tumors or malignancies of adjacent organs with chest wall infiltration present a significant challenge for surgical resection and reconstruction. Larger defects involving the sternum, resections in the area of the thoracic apertures, or those near the spine are difficult to reconstruct. The reconstruction has to ensure stability, to prevent paradoxical movements and lung herniation, while also achieving a satisfactory cosmetic result. The “spider web” technique restores chest wall stability by creating a web-like framework made of non-resorbable threads fixed to adjacent bony structures. Additionally, a synthetic mesh is placed over the web construct, and both layers are covered with muscles (local muscles or different types of flaps). In this prospective study, clinical data from patients who underwent surgery using the “spider web” technique were analyzed with respect to chest wall stability, procedure-specific complications, pulmonary function, and patient satisfaction. Methods: A total of 16 patients receiving 18 chest wall resections and reconstructions using the “spider web” technique were followed for at least one year. Chest wall stability and lung function (FEV1 and DLCO) were assessed. Quality of life, cosmetic satisfaction, potential functional impairment, and analgesic consumption were measured using a modified EORTC QLQ-C30 questionnaire. Results: The follow-up period ranged from 12 to 32 months. In all cases, optimal chest wall stability was maintained without impairment of respiratory mechanics. Procedure-specific complications occurred in five cases (27.8%), including seroma (one case), hematoma (two cases), necrosis at the TRAM flap donor site (one case), and mesh infection (one case), all of which were resolved without further complications. Postoperative FEV1 and DLCO were not significantly reduced compared with preoperative values. The global health status score for quality of life was 60 ± 27 points. Nine patients reported being able to ascend at least one floor of stairs without shortness of breath and half of the patients were able to participate in sports activities. One patient required prolonged analgesic medication due to chronic pain. In all cases, patients were satisfied with the cosmetic result. Both 30-day and 90-day mortality were 0%. No local recurrence at the chest wall reconstruction site occurred. Conclusions: The “spider web” technique is a highly suitable method for chest wall reconstruction, allowing covering all types of chest wall defects, regardless of size and location. This cost-effective technique not only provides optimal stability but also good functional results. Full article
Show Figures

Figure 1

15 pages, 1253 KB  
Case Report
A One Health Zoonotic Vector Borne Infectious Disease Family Outbreak Investigation
by Edward B. Breitschwerdt, Ricardo G. Maggi, Charlotte O. Moore, Cynthia Robveille, Rosalie Greenberg and Emily Kingston
Pathogens 2025, 14(2), 110; https://doi.org/10.3390/pathogens14020110 - 23 Jan 2025
Cited by 3 | Viewed by 10798
Abstract
This study reinforces the value of a One Health approach to infectious disease outbreak investigations. After the onset of neuropsychiatric symptoms in their son, our investigation focused on a family composed of a mother, father, two daughters, the son, two dogs, and a [...] Read more.
This study reinforces the value of a One Health approach to infectious disease outbreak investigations. After the onset of neuropsychiatric symptoms in their son, our investigation focused on a family composed of a mother, father, two daughters, the son, two dogs, and a rabbit, all with exposures to vectors (fleas and ticks), rescued dogs, and other animals. Between 2020 and 2022, all family members experienced illnesses that included neurological symptoms. Prolonged menorrhagia (130d) in the youngest daughter ultimately resolved following antibiotic administration. One dog was diagnosed with a splenic hematoma and months later spinal histiocytic sarcoma. The father, both daughters, and one dog were seroreactive to multiple Bartonella spp. antigens, whereas the mother and son were not seroreactive. Bartonella quintana DNA was amplified from specimens obtained from all family members. Based upon DNA sequencing, infection with B. quintana was confirmed for the mother and both pet dogs. Bartonella henselae DNA was amplified and sequenced from the youngest daughter, the son, and one dog (co-infected with B. quintana), and from Ctenocephalides felis collected from their pet rabbit. All five family members and one dog were infected with Babesia divergens-like MO-1. Both parents were co-infected with Babesia microti. Droplet digital PCR supported potential infection with a Borrelia species in three family members. This study provided additional case-based evidence supporting the role of stealth Babesia, Bartonella, and Borrelia pathogens as a cause or cofactor in neurological and neuropsychiatric symptoms. We conclude that a One Health investigation approach, particularly for stealth vector borne pathogens such as Babesia, Bartonella, and Borrelia spp., will enhance clinical and epidemiological understanding of these organisms for animal and human health. During outbreak investigations it is critical to document travel and vector exposure histories, symptoms, and pathology in pets and human patients, contact with rescued, wild, or feral animals and perform diagnostic testing that includes family members, pets, and vectors. Full article
Show Figures

Graphical abstract

7 pages, 219 KB  
Article
Uterus Transplantation from Deceased Donors: First Italian Experience
by Pierfrancesco Veroux, Paolo Scollo, Alessia Giaquinta, Giuseppe Roscitano, Martina Maria Giambra, Basilio Pecorino, Concetta De Pasquale, Giuseppe Scibilia, Maria Luisa Pistorio and Massimiliano Veroux
J. Clin. Med. 2024, 13(22), 6821; https://doi.org/10.3390/jcm13226821 - 13 Nov 2024
Cited by 2 | Viewed by 1419
Abstract
Background: Uterus transplantation (UTx) is currently the only available treatment for absolute uterine factor infertility. Deceased donors have recently emerged as a valid alternative to living donors for uterus transplantation, with similar results. Methods: We report the first experience in Italy [...] Read more.
Background: Uterus transplantation (UTx) is currently the only available treatment for absolute uterine factor infertility. Deceased donors have recently emerged as a valid alternative to living donors for uterus transplantation, with similar results. Methods: We report the first experience in Italy of uterus transplantation from deceased donors. Three uterus transplantations from deceased donors were performed at the Organ Transplant Unit of the University Hospital of Catania, Italy, between August 2020 and January 2022. Results: Two patients underwent UTx due to Mayer–Rokitansky–Küster–Hauser syndrome, while one patient had a previous hysterectomy due to benign disease. The donors’ ages were between 25 and 43 years and the mean cold ischemia time was 18.3 h. The mean age of the recipients was 31.6 years, and the mean recipient surgery duration was 5.3 h, with a mean blood loss of 766.66 mL. Two recipients developed a post-transplant hematoma, which was treated conservatively. No uterus recipient needed a re-operation during the first 30 days after transplantation. No histological signs of acute rejection were detected at the cervical biopsies performed at 1, 3, and 6 months after transplantation. First menstruation occurred in all recipients after 39 ± 12 days after transplantation. One live birth was reported 15 months after UTx. One graft was lost three months after UTx due to graft thrombosis. Conclusions: Uterus transplantation from deceased donors is emerging as a valid alternative to living donors in order to increase the donor pool. Full article
(This article belongs to the Special Issue The Changing Landscape of Fertility Diagnosis and Treatment)
19 pages, 4379 KB  
Case Report
Comprehensive Literature Review on Melanoma of Unknown Primary Site Triggered by an Intriguing Case Report
by Eliza-Maria Bordeanu-Diaconescu, Andrei Cretu, Andreea Grosu-Bularda, Mihaela-Cristina Andrei, Florin-Vlad Hodea, Catalina-Stefania Dumitru, Valentin Enache, Cosmin-Antoniu Creanga, Ioan Lascar and Cristian-Sorin Hariga
Diagnostics 2024, 14(19), 2210; https://doi.org/10.3390/diagnostics14192210 - 3 Oct 2024
Cited by 2 | Viewed by 4212
Abstract
Melanoma is one of the most aggressive forms of skin cancer. While most melanomas have a discernible primary site, a small subset, approximately 3.2%, present as a metastatic disease without an identifiable primary origin, a condition known as melanoma of unknown primary (MUP). [...] Read more.
Melanoma is one of the most aggressive forms of skin cancer. While most melanomas have a discernible primary site, a small subset, approximately 3.2%, present as a metastatic disease without an identifiable primary origin, a condition known as melanoma of unknown primary (MUP). Unusual cases of primary melanoma have also been previously reported in the respiratory, gastrointestinal, and urogenital tracts. MUP typically is found in lymph nodes, subcutaneous sites, and visceral organs, with hypotheses about its origin including spontaneous primary tumor regression and ectopic melanocytes. MUP presents unique challenges in diagnosis and treatment due to the absence of a detectable primary tumor. Understanding its genetic and molecular features, epidemiology, prognostic factors, and treatment options is crucial for optimizing patient care and outcomes in this subset of melanoma patients. We conducted an extensive literature review triggered by a case report of a patient with suspected MUP. A 51-year-old woman was transferred from another hospital where an incision was performed for a suspected superinfected hematoma of the left thigh. Since the patient showed high leukocytosis and redness and swelling of the thigh, local debridement, drainage, and excisional biopsy of the tumor mass were performed in our unit in the emergency setting, and the tumor was taken for histopathology evaluation. Intraoperatively, the mass appeared nonspecific. The permanent histopathology report established a diagnosis of melanoma, with tumor proliferation also involving lymphoid tissue, and despite broad clinical and imagistic assessments, the primary melanoma could not be identified. Clinicians must be aware of the varied clinical manifestations of malignant melanoma, especially in cases of occult melanoma where the primary site is not evident. Full article
(This article belongs to the Section Pathology and Molecular Diagnostics)
Show Figures

Figure 1

11 pages, 3611 KB  
Review
Patient-Tailored Therapy for Complex Aortic Arch Anatomy: An Evolving Research Field with Custom-Made Solutions
by Daniele Linardi, Jacopo Gardellini, Vincenzo Boschetti, Venanzio Di Nicola, Mariateresa Denora, Gino Puntel, Giovanni Puppini and Giovanni B. Luciani
J. Clin. Med. 2024, 13(17), 4975; https://doi.org/10.3390/jcm13174975 - 23 Aug 2024
Viewed by 1439
Abstract
The treatment of complex aortic pathologies requires specialized techniques and tailored approaches due to each patient’s unique anatomical and clinical challenges. The European Association for Cardiothoracic Surgery (EACTS) and the Society of Thoracic Surgeons (STS) new guidelines identify the aorta as the body’s [...] Read more.
The treatment of complex aortic pathologies requires specialized techniques and tailored approaches due to each patient’s unique anatomical and clinical challenges. The European Association for Cardiothoracic Surgery (EACTS) and the Society of Thoracic Surgeons (STS) new guidelines identify the aorta as the body’s 24th organ and reiterate that multidisciplinary aortic teams are recommended for shared decision-making to determine optimal treatment strategies. Patients treated for conditions such as aneurysms, dissections, intramural hematomas, or penetrating aortic ulcers may develop complex forms over time, necessitating careful follow-up and timely corrective actions. Endovascular solutions can be favorable for older patients with complex anatomies and multiple comorbidities. However, when endovascular treatment is not feasible, hybrid treatments or open surgery must be considered if the patient’s condition allows it. The risk–benefit ratio of each procedure must be carefully evaluated; choosing the best intervention or deciding not to intervene becomes a critical and challenging decision. At our Cardiac Surgery Center in Verona, a multidisciplinary team with over 20 years of experience in treating complex aortic arch pathologies extensively discussed different cases of complex aortic pathologies treated with endovascular, hybrid, or surgical approaches, emphasizing the importance of considering both anatomical and patient-specific characteristics. The decisions and treatments were often challenging, and unanimity was not always achieved, reflecting the complexity of finding the best solutions. Full article
(This article belongs to the Special Issue Recent Developments and Emerging Trends in Aortic Surgery)
Show Figures

Figure 1

11 pages, 11204 KB  
Technical Note
A New, Safe, and Effective Technique for Percutaneous Insertion of a Peritoneal Dialysis Catheter
by Andrzej Jaroszyński, Jarosław Miszczuk, Marcin Jadach, Stanisław Głuszek and Wojciech Dąbrowski
J. Clin. Med. 2024, 13(9), 2618; https://doi.org/10.3390/jcm13092618 - 29 Apr 2024
Viewed by 3639
Abstract
A properly functioning peritoneal catheter is an essential element of effective peritoneal dialysis (PD). Currently, there are three techniques available for PD catheter placement, which include open surgery, laparoscopic surgery, and percutaneous catheter placement (PCP). Currently, no particular catheter placement approach has been [...] Read more.
A properly functioning peritoneal catheter is an essential element of effective peritoneal dialysis (PD). Currently, there are three techniques available for PD catheter placement, which include open surgery, laparoscopic surgery, and percutaneous catheter placement (PCP). Currently, no particular catheter placement approach has been proven with certainty to provide superior outcomes. We present a new modified PCP method with the use of the Veress needle covered with an intravascular catheter (IC) and preliminary clinical results of PD catheter placements with this new technique. The endpoints used in the study were 1-year technical survival of the catheter, and the incidence of early (1 month) mechanical as well as infection complications. The catheter was implanted in 24 patients. The catheter survival rate was 100%; however, in two cases, the catheters were removed due to complications not associated with PD treatment. No early mechanical complications such as bleeding, hematoma, perforations, internal organ damage, exit site leaks, or hernia in the place of insertion were observed. Similarly, no early infectious complications were observed. During the 1-year follow-up, no catheter migration occurred. Our results showed that the new PCP technique is a safe and easy procedure that minimizes the occurrence of both mechanical and infectious complications and ensures good catheter survival. Full article
(This article belongs to the Section General Surgery)
Show Figures

Figure 1

10 pages, 242 KB  
Article
Meckel’s Diverticulum Injuries after Blunt Trauma
by Piotr T. Arkuszewski, Karol K. Kłosiński, Oliwia J. Kawa, Bartosz M. Czyżewski and Zbigniew W. Pasieka
J. Clin. Med. 2024, 13(6), 1614; https://doi.org/10.3390/jcm13061614 - 12 Mar 2024
Cited by 3 | Viewed by 1716
Abstract
Background: The complications associated with Meckel’s diverticulum (MD) are well-known. However, blunt injuries regarding MD have not been widely described in the literature. This was the reason for undertaking research on MD lesions. Materials and Methods: The materials consisted of 28 [...] Read more.
Background: The complications associated with Meckel’s diverticulum (MD) are well-known. However, blunt injuries regarding MD have not been widely described in the literature. This was the reason for undertaking research on MD lesions. Materials and Methods: The materials consisted of 28 cases of damage to MD after blunt trauma published during the years 1921–2022. The collected data were subjected to statistical analysis. Results: The following MD injuries have been identified, starting with the most common isolated perforation of MD, bleeding from the area of MD, perforation of MD with concomitant tearing of the mesentery intestines and bleeding, intussusception of MD, and intramural hematoma of MD with adjacent mesenteric hematoma. Most injuries were caused by a traffic accident, followed by sports, accidents at work, and then violence. Almost all the cases (27) involved men. Several possible mechanisms may contribute to post-traumatic damage to MD. First of all, they are associated with abdominal compression and a secondary increase in intra-abdominal pressure as well as with the action of shearing forces during deceleration. Conclusions: Traumatic MD injuries are differentiated and very rare. They can coexist with other serious injuries to the abdominal organs. Full article
(This article belongs to the Section General Surgery)
10 pages, 1948 KB  
Case Report
Spontaneous Retroperitoneal Bleeding in a Patient with Systemic Lupus Erythematosus
by Wei-Hung Chen and Deng-Ho Yang
Medicina 2024, 60(1), 78; https://doi.org/10.3390/medicina60010078 - 30 Dec 2023
Cited by 2 | Viewed by 2672
Abstract
Background and Objectives: Systemic lupus erythematosus (SLE) is a disease with multiple organ involvement, and spontaneous hemorrhage, especially perirenal hemorrhage, is rare. Case Presentation: We report the case of a 19-year-old teenager with SLE who experienced left flank pain and hypovolemic [...] Read more.
Background and Objectives: Systemic lupus erythematosus (SLE) is a disease with multiple organ involvement, and spontaneous hemorrhage, especially perirenal hemorrhage, is rare. Case Presentation: We report the case of a 19-year-old teenager with SLE who experienced left flank pain and hypovolemic shock. Abdominal computed tomography revealed a large left retroperitoneal hematoma. Recurrent hypovolemic shock occurred despite the transcatheter arterial embolization of the left renal artery. Repetitive abdominal computed tomography results showed active hemorrhage. Result: An exploratory laparotomy was used to confirm descending colonic mesenteric artery bleeding, which was resolved. The patient needed temporary regular kidney replacement therapy for active lupus nephritis, which terminated one month after discharge. Conclusions: When patients with SLE experience acute abdominal pain, flank pain, or back pain combined with hypovolemia, there is a higher risk of bleeding due to spontaneous hemorrhage, which should be included in the differential diagnosis. Therefore, early diagnosis and adequate emergency intervention are necessary. Full article
(This article belongs to the Section Hematology and Immunology)
Show Figures

Figure 1

7 pages, 1933 KB  
Case Report
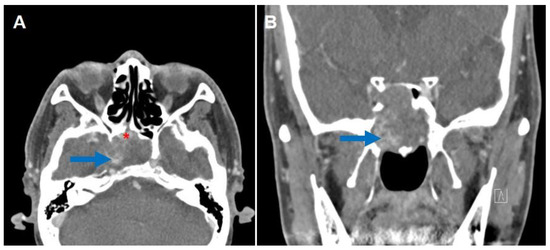
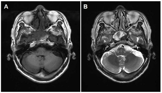
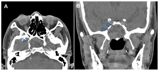
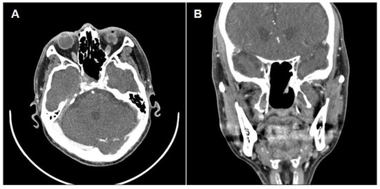
Successful Endoscopic Transsphenoidal Approach Treatment of Sphenoid Sinus Organized Hematoma Causing Visual Deficit: A Case Report
by Kyu Young Choi, Sun Choi, Suji Jeong and Tae-Bin Won
Medicina 2023, 59(10), 1802; https://doi.org/10.3390/medicina59101802 - 10 Oct 2023
Cited by 1 | Viewed by 2024
Abstract
Background: Organized hematoma in the sphenoid sinus is rare, but serious complications, such as visual deficits, can occur. Three such case reports have been published previously in the literature; however, none have achieved complete recovery of the vision. Case presentation: A [...] Read more.
Background: Organized hematoma in the sphenoid sinus is rare, but serious complications, such as visual deficits, can occur. Three such case reports have been published previously in the literature; however, none have achieved complete recovery of the vision. Case presentation: A 69-year-old male patient was referred to the ear, nose, and throat department with an expansile soft tissue mass filling the right sphenoid sinus and blurry vision in his right eye. Complete mass removal was achieved by a wide opening of the sphenoid sinus via an endoscopic transsphenoidal approach, followed by cauterization of the feeding artery and coverage by a nasoseptal flap. The patient’s vision was restored after the operation, and he declared no visual symptoms until the latest follow-up (one year after the surgery). Conclusions: Complete excision with an endoscopic endonasal transsphenoidal approach can restore visual deterioration caused by a sphenoid sinus organized hematoma. Full article
Show Figures

Figure 1

12 pages, 273 KB  
Article
Patterns of Mandibular Fractures through Human Aggression: A 10-Year Cross-Sectional Cohort Retrospective Study
by Mircea Rivis, Raluca Iulia Juncar, Abel Emanuel Moca, Rahela Tabita Moca, Mihai Juncar and Paul Andrei Țenț
J. Clin. Med. 2023, 12(12), 4103; https://doi.org/10.3390/jcm12124103 - 17 Jun 2023
Cited by 3 | Viewed by 2233
Abstract
The World Health Organization considers the victims of interpersonal violence to be a medical priority. In order to provide services at the highest level, we aimed to evaluate the patterns of maxillofacial fractures caused by interpersonal violence, in order to treat, counsel and [...] Read more.
The World Health Organization considers the victims of interpersonal violence to be a medical priority. In order to provide services at the highest level, we aimed to evaluate the patterns of maxillofacial fractures caused by interpersonal violence, in order to treat, counsel and guide these patients. This retrospective study was conducted in 478 patients with mandibular fractures caused by interpersonal violence over 10 years in a university clinic. The most affected were male patients (95.19%), 20–29 years of age (46.86%), under the influence of alcohol (83.26%) and without education (43.9%). The majority of mandibular fractures were displaced (89.3%) and intraorally open (64.0%). The most frequent location was the mandibular angle (34.84%). The most frequent soft tissue lesions were hematomas (45.04%) and abrasions (34.71%), being associated frequently with closed (p = 0.945/p = 0.237), displaced (p = 0.001/p = 0.002), single angle fractures (p = 0.081/p = 0.222). Educating the population and fighting alcohol consumption would decrease the occurrence of mandibular fractures through aggression. Clinical diagnosis should be made, keeping in mind that the severity of associated soft tissue lesions is directly proportional to the pattern and number of underlying fracture lines. Full article
12 pages, 1966 KB  
Article
Preventive Proximal Splenic Artery Embolization for High-Grade AAST-OIS Adult Spleen Trauma without Vascular Anomaly on the Initial CT Scan: Technical Aspect, Safety, and Efficacy—An Ancillary Study
by Skander Sammoud, Julien Ghelfi, Sandrine Barbois, Jean-Paul Beregi, Catherine Arvieux and Julien Frandon
J. Pers. Med. 2023, 13(6), 889; https://doi.org/10.3390/jpm13060889 - 24 May 2023
Cited by 5 | Viewed by 3264
Abstract
The spleen is the most commonly injured organ in blunt abdominal trauma. Its management depends on hemodynamic stability. According to the American Association for the Surgery of Trauma-Organ Injury Scale (AAST-OIS ≥ 3), stable patients with high-grade splenic injuries may benefit from preventive [...] Read more.
The spleen is the most commonly injured organ in blunt abdominal trauma. Its management depends on hemodynamic stability. According to the American Association for the Surgery of Trauma-Organ Injury Scale (AAST-OIS ≥ 3), stable patients with high-grade splenic injuries may benefit from preventive proximal splenic artery embolization (PPSAE). This ancillary study, using the SPLASH multicenter randomized prospective cohort, evaluated the feasibility, safety, and efficacy of PPSAE in patients with high-grade blunt splenic trauma without vascular anomaly on the initial CT scan. All patients included were over 18 years old, had high-grade splenic trauma (≥AAST-OIS 3 + hemoperitoneum) without vascular anomaly on the initial CT scan, received PPSAE, and had a CT scan at one month. Technical aspects, efficacy, and one-month splenic salvage were studied. Fifty-seven patients were reviewed. Technical efficacy was 94% with only four proximal embolization failures due to distal coil migration. Six patients (10.5%) underwent combined embolization (distal + proximal) due to active bleeding or focal arterial anomaly discovered during embolization. The mean procedure time was 56.5 min (SD = 38.1 min). Embolization was performed with an Amplatzer™ vascular plug in 28 patients (49.1%), a Penumbra occlusion device in 18 patients (31.6%), and microcoils in 11 patients (19.3%). There were two hematomas (3.5%) at the puncture site without clinical consequences. There were no rescue splenectomies. Two patients were re-embolized, one on Day 6 for an active leak and one on Day 30 for a secondary aneurysm. Primary clinical efficacy was, therefore, 96%. There were no splenic abscesses or pancreatic necroses. The splenic salvage rate on Day 30 was 94%, while only three patients (5.2%) had less than 50% vascularized splenic parenchyma. PPSAE is a rapid, efficient, and safe procedure that can prevent splenectomy in high-grade spleen trauma (AAST-OIS) ≥ 3 with high splenic salvage rates. Full article
(This article belongs to the Special Issue Present and Future Perspectives of Vascular Interventional Radiology)
Show Figures

Figure 1

Back to TopTop