Sign in to use this feature.

Years

Between: -

Subjects

remove_circle_outline
remove_circle_outline
remove_circle_outline

Journals

Article Types

Countries / Regions

Search Results (9)

Search Parameters:
Keywords = oral foci of infection

Order results
Result details
Results per page
Select all
Export citation of selected articles as:
17 pages, 308 KB  
Article
Assessment of Associations Between Sociodemographic and Analysis of Risk Factors for Oral Infectious Pathology in Patients Scheduled for Total Hip and Knee Arthroplasty
by Dana Nicoleta Mihai, Paul Dan Sîrbu, Liliana Savin, Norin Forna, Claudiu Topoliceanu, Cristina Dascălu and Norina Consuela Forna
Clin. Pract. 2025, 15(12), 220; https://doi.org/10.3390/clinpract15120220 - 24 Nov 2025
Viewed by 407
Abstract
The aim of this study was to evaluate the factors associated with the occurrence of oral infection sources in patients scheduled for total hip or knee arthroplasty, with the purpose of establishing standardized preoperative dental triage criteria. Materials and Methods: A retrospective research [...] Read more.
The aim of this study was to evaluate the factors associated with the occurrence of oral infection sources in patients scheduled for total hip or knee arthroplasty, with the purpose of establishing standardized preoperative dental triage criteria. Materials and Methods: A retrospective research was conducted on a study group of 89 patients diagnosed with hip osteoarthritis and knee osteoarthritis at the Clinical Rehabilitation Hospital (Iasi, Romania). Patients were divided according to the status of their oral cavity: study group (n = 51)—patients with diagnosed oral infection sites (oral foci of infection); control group (n = 38)—patients without oral foci of infection. The statistical analysis included a univariate stage followed by a multivariate binary logistic regression to identify demographic and clinical factors associated with the presence of oral foci of infection. Results: The strongest predictor of the presence of oral foci of infection was and Oral Hygiene Index (OHI) scorer of 2, which increased the risk 14.583-fold, followed by being aged between 50 and 65 years (OR = 4.038), tooth brushing once a day or less (OR = 3.488), and male sex (OR = 3.433). An OHI score of 2 raises the probability of oral infectious pathology to 30.3%, which increases to 85.1% when combined with being aged between 50 and 65 years. Conclusions: The risk factors for the presence or oral foci of infection in patients scheduled for total knee or hip arthroplasty support the inclusion of the preoperative assessment and management of these factors in order to reduce the risk of the postoperative periprosthetic joint infections. Full article
8 pages, 1096 KB  
Opinion
A Proposal for a Multidisciplinary Integrated Oral Health Network for Patients Undergoing Major Orthopaedic Surgery (IOHN-OS)
by Matteo Briguglio, Thomas W. Wainwright, Marialetizia Latella, Aurora Ninfa, Claudio Cordani, Cecilia Colombo, Giuseppe Banfi, Luca Francetti and Stefano Corbella
Geriatrics 2024, 9(2), 39; https://doi.org/10.3390/geriatrics9020039 - 19 Mar 2024
Cited by 6 | Viewed by 3606
Abstract
The passing of the years of life physiologically leads to the accumulation of changes in tissues in the oral cavity, influencing dentition, chewing and swallowing mechanisms, and the oral microbiota. Some diseases and medications can aggravate oral symptoms and negatively influence eating behaviours, [...] Read more.
The passing of the years of life physiologically leads to the accumulation of changes in tissues in the oral cavity, influencing dentition, chewing and swallowing mechanisms, and the oral microbiota. Some diseases and medications can aggravate oral symptoms and negatively influence eating behaviours, increasing the likelihood of becoming malnourished. This could make older individuals more vulnerable to complications when undergoing major orthopaedic surgery. Hidden infection foci in the oral cavity are a recognised cause of post-operative periprosthetic joint infections. Dysfunctional oral problems might also compromise feeding after surgery when good nutrition represents a fundamental aspect of a proper recovery. To manage these shortcomings, in this article, the authors hypothesise a multidisciplinary path of care named the Integrated Oral Health Network applied to major Orthopaedic Surgery (IOHN-OS). This peri-operative initiative would include pre-operative oral health screening and risk management by a dental team, patient education programmes before and after surgery, and bedside gerodontology actions like oral care and meal and eating support for fragile individuals. The IOHN-OS has the potential to reshape the concept of suitability for major orthopaedic surgery and generate momentum for designing community-based surveillance programmes that can keep the mouths of older subjects healthy for a long time. Full article
Show Figures

Figure 1

11 pages, 1962 KB  
Article
Thermal Imaging of Tongue Surface as a Prognostic Method in the Diagnosis of General Diseases—Preliminary Study
by Daria Wziątek-Kuczmik, Iwona Niedzielska, Aleksandra Mrowiec, Agata Stanek, Piotr Gościniewicz, Ewa Mrukwa-Kominek and Armand Cholewka
J. Clin. Med. 2023, 12(21), 6860; https://doi.org/10.3390/jcm12216860 - 30 Oct 2023
Cited by 3 | Viewed by 2115
Abstract
The aim of this work was to develop an original method of thermographic measurement of tongue temperature as a prognostic method in the diagnosis of general diseases. This study examined the temperature distribution on the dorsal and apical surfaces of the tongue in [...] Read more.
The aim of this work was to develop an original method of thermographic measurement of tongue temperature as a prognostic method in the diagnosis of general diseases. This study examined the temperature distribution on the dorsal and apical surfaces of the tongue in patients with various general diseases and introduced a procedure for cooling the oral cavity. Patients with a high risk of systemic infections were referred to the Oral and Maxillofacial Surgery Outpatient Clinic of the Medical University of Silesia (SUM) in Katowice to identify potential foci of dental infections. They underwent an evaluation of their dentition as well as a prognostic tongue examination using the thermal camera FLIR T540 with a sensitivity of <0.03 K. The obtained results revealed statistically significant differences in the tongue average temperature parameters between the two study groups—healthy patients and patients with disorders. We obtained median temperatures for tongue dorsum (TD) of 35.8 °C and 35.2 °C for healthy patients and patients with disorders, respectively. Also, statistical differences have been obtained for tongue apex (TA) average temperatures. They were 35.5 °C and 34.0 °C for healthy and patients, respectively (p = 0.0001). Similar statistical results presented significant differences in the temperature difference (defined as DT = average temperature 10 min − average temperature 2 min after rinsing of the mouth) of the examined areas of the tongue between the healthy temperature and the unhealthy patient’s temperature. It seems that thermal imaging has potential in the prevention and diagnosis of general diseases. Full article
(This article belongs to the Section Dentistry, Oral Surgery and Oral Medicine)
Show Figures

Figure 1

11 pages, 1106 KB  
Article
Dental Therapy of Patients Prior to Endoprostheses: A Retrospective, Telephone-Based Cohort Study
by Gerhard Schmalz, Julian Wirtz, Rainer Haak, Fabian Fenske, Andreas Roth and Dirk Ziebolz
Dent. J. 2023, 11(8), 198; https://doi.org/10.3390/dj11080198 - 18 Aug 2023
Viewed by 1569
Abstract
The aim of this study was to assess, whether patients prior to endoprosthesis (EP) visit their dentist for need-oriented therapy and whether this would be associated with the occurrence of complications. Based on a cohort of patients, which was orally investigated prior to [...] Read more.
The aim of this study was to assess, whether patients prior to endoprosthesis (EP) visit their dentist for need-oriented therapy and whether this would be associated with the occurrence of complications. Based on a cohort of patients, which was orally investigated prior to EP surgery between 04/2020 and 12/2021, a telephone interview was performed at least six months after EP implantation. Patients were classified into either low-risk (LR), moderate-risk (MR), or high-risk (HR) groups. Participants were interviewed based on a structured questionnaire regarding dental visits, dental therapy, and potential complications during the observational period. Out of the 311 patients from the baseline cohort, 96 patients after EP implantation could be included (participation rate of 31%). Nineteen patients were in LR (20%), 41 in MR (43%), and 36 in the HR group (37%). Overall, 79% (n = 76) of the patients followed the recommendation to visit their dentist; 94% of patients within the HR group visited the dentist (p = 0.02). Dental treatment procedures included tooth cleaning (57%), periodontal treatment (31%), restorative therapy/filling (28%), and tooth extraction (28%). In 64% of the HR patients (n = 23), the potential oral foci with a risk of EP infection were eliminated by their general dentist. Fourteen different complications occurred within the observation period, without any group effect (p > 0.05). In conclusion, most patients prior to EP visit their general dentist following referral, especially if they have a potential oral focus. The effect of dental clearance on infectious complications of EP remains unclear, whereby further clinical studies are needed. Full article
(This article belongs to the Section Preventive Dentistry)
Show Figures

Figure 1

11 pages, 1044 KB  
Article
Pre-Chemotherapy Dental Screening: Is There Additional Diagnostic Value for a Panoramic Radiograph?
by Judith A. E. M. Zecha, Alexa M. G. A. Laheij, Judith E. Raber-Durlacher, Anneke M. Westermann, Jan de Lange and Ludwig E. Smeele
Dent. J. 2023, 11(5), 122; https://doi.org/10.3390/dj11050122 - 4 May 2023
Cited by 1 | Viewed by 3065
Abstract
Background: The oral cavity is a potential source of infectious complications in patients treated with myelosuppressive chemotherapy (CT). Pre-chemotherapy oral examination to identify foci of infection is recommended, but it is unclear whether this should include panoramic radiography. The present study aimed to [...] Read more.
Background: The oral cavity is a potential source of infectious complications in patients treated with myelosuppressive chemotherapy (CT). Pre-chemotherapy oral examination to identify foci of infection is recommended, but it is unclear whether this should include panoramic radiography. The present study aimed to evaluate the additional diagnostic merit of panoramic radiography as part of pre-CT oral screening. Methods: Patients with solid tumors scheduled to receive a myelosuppressive CT were eligible. The foci definition followed the guidelines of the Dutch Association of Maxillofacial Surgery. Oral foci assessed by clinical evaluation and panoramic radiography were compared. Results: In 33 out of 93 patients (35.5%), one or more foci were identified by clinical examination, whereas in 49.5% of patients, panoramic radiography showed pathology. In 19 patients, an oral focus was missed by clinical examination only, whereas in 11 patients, panoramic radiography indicated periodontal bone loss, but advanced periodontitis was not substantiated by clinical examination. Conclusions: Panoramic radiographs complement clinical examinations and have additional diagnostic value. Nevertheless, the additional merit seems small, and the clinical relevance may vary depending on the anticipated risk of developing oral complications and the need for detailed diagnosis and rigorous elimination of oral foci prior to the start of cancer therapy. Full article
Show Figures

Figure 1

12 pages, 867 KB  
Article
One Third of Patients before Endoprosthesis Implantation Show an Oral Focus as Potential Source of Infectious Complication—The Value of Pre-Operative Dental Risk Stratification in a German Cohort
by Gerhard Schmalz, Florentine Reuschel, Markus Bartl, Laura Schmidt, Janine Runge, Rainer Haak, Szymon Goralski, Andreas Roth and Dirk Ziebolz
J. Clin. Med. 2022, 11(13), 3686; https://doi.org/10.3390/jcm11133686 - 26 Jun 2022
Cited by 11 | Viewed by 2746
Abstract
Objective: The aim of this cross-sectional cohort study was to evaluate a comprehensive dental examination and referral concept for patients prior to endoprosthesis (EP) implantation in an interdisciplinary setting. Methods: Patients, who were prepared for EP surgery in the clinic for orthopaedics, were [...] Read more.
Objective: The aim of this cross-sectional cohort study was to evaluate a comprehensive dental examination and referral concept for patients prior to endoprosthesis (EP) implantation in an interdisciplinary setting. Methods: Patients, who were prepared for EP surgery in the clinic for orthopaedics, were referred to the dental clinic for a dental examination. Thereby, dental and periodontal treatment need, radiographic and temporomandibular joint findings were assessed. Based on oral and radiographic investigation, a risk classification for potential source of prosthetic infection was performed. If potential oral foci of EP infection were present (e.g., apically radiolucent teeth, severe periodontitis or additional inflammatory findings), patients were classified as at high risk for EP infection with oral origin. Those individuals were allocated to their family dentist or special clinic for dental treatment prior to EP surgery. Results: A total of 311 patients were included (mean age: 67.84 ± 10.96 years, 51% male). A dental treatment need of 33% was found, while the periodontal treatment need was 83%. Thirty-one percent of patients showed at least one apical radiolucency (a sign of chronic infection/inflammation). Furthermore, additional findings such as radiographic signs of sinusitis maxillaris were found in 24% of patients. Temporomandibular disease was probable in 17% of individuals. One-third (34%) were assigned to the high risk group for an EP infection with oral origin. Conclusion: German patients before EP have a high periodontal treatment need and show frequently (34%) a potential oral focus of infection, underlining the necessity of including dental examination and risk stratification as part of the pre-operative assessment prior to EP implantation. Therefore, an approach as applied in this study appears reasonable for those individuals. Full article
Show Figures

Figure 1

29 pages, 5479 KB  
Article
Sheltered in Stromal Tissue Cells, Trypanosoma cruzi Orchestrates Inflammatory Neovascularization via Activation of the Mast Cell Chymase Pathway
by Lucas Vellasco, Erik Svensjö, Carlos Alberto Bulant, Pablo Javier Blanco, Fábio Nogueira, Gilberto Domont, Natália Pinto de Almeida, Clarissa Rodrigues Nascimento, Danielle Silva-dos-Santos, Carla Eponina Carvalho-Pinto, Emiliano Horácio Medei, Igor C. Almeida and Julio Scharfstein
Pathogens 2022, 11(2), 187; https://doi.org/10.3390/pathogens11020187 - 29 Jan 2022
Cited by 5 | Viewed by 4581
Abstract
Microangiopathy may worsen the clinical outcome of Chagas disease. Given the obstacles to investigating the dynamics of inflammation and angiogenesis in heart tissues parasitized by Trypanosoma cruzi, here we used intravital microscopy (IVM) to investigate microcirculatory alterations in the hamster cheek pouch [...] Read more.
Microangiopathy may worsen the clinical outcome of Chagas disease. Given the obstacles to investigating the dynamics of inflammation and angiogenesis in heart tissues parasitized by Trypanosoma cruzi, here we used intravital microscopy (IVM) to investigate microcirculatory alterations in the hamster cheek pouch (HCP) infected by green fluorescent protein-expressing T. cruzi (GFP-T. cruzi). IVM performed 3 days post-infection (3 dpi) consistently showed increased baseline levels of plasma extravasation. Illustrating the reciprocal benefits that microvascular leakage brings to the host-parasite relationship, these findings suggest that intracellular amastigotes, acting from inside out, stimulate angiogenesis while enhancing the delivery of plasma-borne nutrients and prosurvival factors to the infection foci. Using a computer-based analysis of images (3 dpi), we found that proangiogenic indexes were positively correlated with transcriptional levels of proinflammatory cytokines (pro-IL1β and IFN-γ). Intracellular GFP-parasites were targeted by delaying for 24 h the oral administration of the trypanocidal drug benznidazole. A classification algorithm showed that benznidazole (>24 h) blunted angiogenesis (7 dpi) in the HCP. Unbiased proteomics (3 dpi) combined to pharmacological targeting of chymase with two inhibitors (chymostatin and TY-51469) linked T. cruzi-induced neovascularization (7 dpi) to the proangiogenic activity of chymase, a serine protease stored in secretory granules from mast cells. Full article
(This article belongs to the Special Issue Current Research on Trypanosoma cruzi Infection)
Show Figures

Figure 1

12 pages, 2286 KB  
Case Report
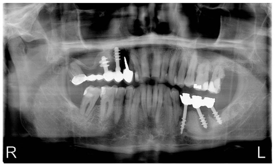
Pilot Study of Use of Nitric Oxide in Monitoring Multiple Dental Foci in Oral Cavity—A Case Report
by Magdalena Wyszyńska, Przemysław Rosak, Aleksandra Czelakowska, Ewa Białożyt-Bujak, Jacek Kasperski, Maciej Łopaciński, Nour Al Khatib and Małgorzata Skucha-Nowak
Healthcare 2022, 10(2), 195; https://doi.org/10.3390/healthcare10020195 - 20 Jan 2022
Cited by 4 | Viewed by 2641
Abstract
Background: The most common cause of implant loss and deteriorating restoration aesthetics is infection and chronic inflammation of the tissues around the implants. Inflammation in the oral cavity, confirmed by clinical and histopathological examination and determination of exhaled nitric oxide, is a situation [...] Read more.
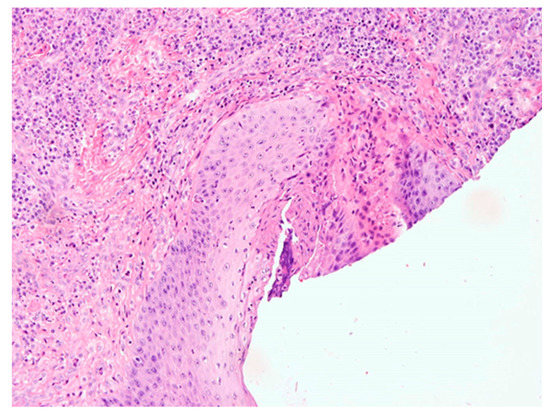
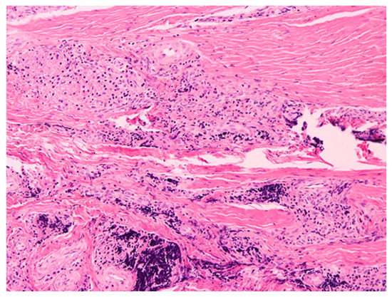
Background: The most common cause of implant loss and deteriorating restoration aesthetics is infection and chronic inflammation of the tissues around the implants. Inflammation in the oral cavity, confirmed by clinical and histopathological examination and determination of exhaled nitric oxide, is a situation which may cause the complications on the whole human body. Elimination of the patology in the oral cavity in some cases is the only resonable treatment. The aims and objectives of our work is to present a gradual treatment of advanced infalmmation and present huge reduction stamp of inflammation measured with marker nitric oxide (NO) in exhaled air. Materials and Methods: Simple treatment containing elimantion of pathology in the oral cavity was conducted. Patient that came to the dental practice suffered from the inflammation caused by lack of proper hygiene. First aid in this situation was to eliminate the inflammation which may affect negatively for general health. At first visit full hygienization was performed, at the second visit roots of abutment teeth and implants were removed under local anesthesia along with cystic changes. Results: The hygiene precedures and extraction of the unsteady inflammationprosthetic restorations significantly decreased the level of NO in exhaled air. Conclusions: During the examination of the patient coming to the dental practice great attention should be paid to the coexistence of pathologies related to the oral cavity. Omission of a dental examination and possible elimination of odontogenic foci may affect the implication of the results of general diagnostics and subsequent treatment. Measuring the level of NO on exhaled air seems to be useful diagnostic method. Full article
Show Figures

Figure 1

17 pages, 2704 KB  
Article
Clinical, Histopathologic, and Immunohistochemical Characterization of Experimental Marburg Virus Infection in A Natural Reservoir Host, the Egyptian Rousette Bat (Rousettus aegyptiacus)
by Megan E.B. Jones, Brian R. Amman, Tara K. Sealy, Luke S. Uebelhoer, Amy J. Schuh, Timothy Flietstra, Brian H. Bird, JoAnn D. Coleman-McCray, Sherif R. Zaki, Stuart T. Nichol and Jonathan S. Towner
Viruses 2019, 11(3), 214; https://doi.org/10.3390/v11030214 - 2 Mar 2019
Cited by 38 | Viewed by 6928
Abstract
Egyptian rousette bats (Rousettus aegyptiacus) are natural reservoir hosts of Marburg virus (MARV), and Ravn virus (RAVV; collectively called marburgviruses) and have been linked to human cases of Marburg virus disease (MVD). We investigated the clinical and pathologic effects of experimental [...] Read more.
Egyptian rousette bats (Rousettus aegyptiacus) are natural reservoir hosts of Marburg virus (MARV), and Ravn virus (RAVV; collectively called marburgviruses) and have been linked to human cases of Marburg virus disease (MVD). We investigated the clinical and pathologic effects of experimental MARV infection in Egyptian rousettes through a serial euthanasia study and found clear evidence of mild but transient disease. Three groups of nine, captive-born, juvenile male bats were inoculated subcutaneously with 10,000 TCID50 of Marburg virus strain Uganda 371Bat2007, a minimally passaged virus originally isolated from a wild Egyptian rousette. Control bats (n = 3) were mock-inoculated. Three animals per day were euthanized at 3, 5–10, 12 and 28 days post-inoculation (DPI); controls were euthanized at 28 DPI. Blood chemistry analyses showed a mild, statistically significant elevation in alanine aminotransferase (ALT) at 3, 6 and 7 DPI. Lymphocyte and monocyte counts were mildly elevated in inoculated bats after 9 DPI. Liver histology revealed small foci of inflammatory infiltrate in infected bats, similar to lesions previously described in wild, naturally-infected bats. Liver lesion severity scores peaked at 7 DPI, and were correlated with both ALT and hepatic viral RNA levels. Immunohistochemical staining detected infrequent viral antigen in liver (3–8 DPI, n = 8), spleen (3–7 DPI, n = 8), skin (inoculation site; 3–12 DPI, n = 20), lymph nodes (3–10 DPI, n = 6), and oral submucosa (8–9 DPI, n = 2). Viral antigen was present in histiocytes, hepatocytes and mesenchymal cells, and in the liver, antigen staining co-localized with inflammatory foci. These results show the first clear evidence of very mild disease caused by a filovirus in a reservoir bat host and provide support for our experimental model of this virus-reservoir host system. Full article
(This article belongs to the Special Issue Pathogenesis of Emerging Viral Infections)
Show Figures

Figure 1

Back to TopTop