error_outline You can access the new MDPI.com website here. Explore and share your feedback with us.
 
 
Sign in to use this feature.

Years

Between: -

Subjects

remove_circle_outline
remove_circle_outline
remove_circle_outline
remove_circle_outline
remove_circle_outline

Journals

Article Types

Countries / Regions

Search Results (53)

Search Parameters:
Keywords = neurogenetic disorders

Order results
Result details
Results per page
Select all
Export citation of selected articles as:
15 pages, 5551 KB  
Article
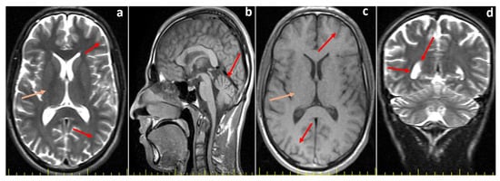
Biallelic Truncating DNAH14 Variant in Siblings with Neurodevelopmental Disorder and Predominant Ataxia: Clinical Report and Literature Review
by Savas Baris, Mustafa Dogan, Kerem Terali, Alper Gezdirici, Recep Eroz, Peren Perk Yucel, Huseyin Kilic, Cuneyd Yavas, Gizem Yildirim and Ibrahim Baris
Int. J. Mol. Sci. 2026, 27(2), 575; https://doi.org/10.3390/ijms27020575 - 6 Jan 2026
Viewed by 207
Abstract
Neurodevelopmental disorders (NDDs) with ataxia are genetically heterogeneous and remain a diagnostic challenge. Recent advances in genomic technologies have facilitated the identification of rare, potentially causative variants in genes not traditionally associated with classic NDD phenotypes. The DNAH14 gene, encoding a dynein axonemal [...] Read more.
Neurodevelopmental disorders (NDDs) with ataxia are genetically heterogeneous and remain a diagnostic challenge. Recent advances in genomic technologies have facilitated the identification of rare, potentially causative variants in genes not traditionally associated with classic NDD phenotypes. The DNAH14 gene, encoding a dynein axonemal heavy chain involved in ciliary motility, has recently emerged as a novel candidate in neurological syndromes. Here, we report two Turkish siblings presenting with late-onset balance disorder, progressive ataxia, and cognitive impairment. Initial genetic analysis revealed that both siblings also harbor FXN GAA repeat expansions consistent with pathogenic Friedreich’s ataxia (FRDA). To elucidate the molecular basis of the patients’ cognitive impairment, whole-exome sequencing was performed. This analysis identified a novel homozygous frameshift variant in the DNAH14 gene, located within the conserved linker domain upstream of the motor core, which is critical for ATP hydrolysis and microtubule interactions. The variant is absent from population databases, predicted to be deleterious by multiple in silico algorithms, and segregates in the family in a manner consistent with autosomal recessive inheritance. The coexistence of FRDA expansions and a truncating DNAH14 variant suggests a potential dual genetic contribution to the observed phenotype, in which FRDA-associated pathology likely underlies the ataxia, while DNAH14 disruption may contribute to additional neurodevelopmental features. This is the first report describing the co-occurrence of FRDA and a homozygous truncating DNAH14 variant in the same individuals, broadening our understanding of overlapping neurogenetic mechanisms. Our findings expand the phenotypic spectrum of DNAH14-related disorders and highlight the importance of considering multilocus pathogenic variants in patients with complex or atypical ataxia presentations. Full article
(This article belongs to the Section Molecular Genetics and Genomics)
Show Figures

Figure 1

14 pages, 2457 KB  
Article
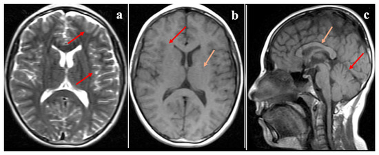
Marinesco–Sjögren Syndrome: A Novel SIL1 Variant with In Silico Analysis and Review of the Literature
by Elif Sibel Aslan, Sajjad Eslamkhah, Nermin Akcali, Cuneyd Yavas, Lutfiye Karcioglu Batur, Esma Sengenc and Adnan Yüksel
Life 2025, 15(12), 1855; https://doi.org/10.3390/life15121855 - 2 Dec 2025
Viewed by 443
Abstract
Marinesco–Sjögren syndrome (MSS) is a rare autosomal recessive disorder characterized by cerebellar ataxia, congenital cataracts, developmental delay, hypotonia, and progressive myopathy. Most reported cases are linked to pathogenic variants in SIL1, a gene encoding a co-chaperone essential for protein folding in the [...] Read more.
Marinesco–Sjögren syndrome (MSS) is a rare autosomal recessive disorder characterized by cerebellar ataxia, congenital cataracts, developmental delay, hypotonia, and progressive myopathy. Most reported cases are linked to pathogenic variants in SIL1, a gene encoding a co-chaperone essential for protein folding in the endoplasmic reticulum. Here, we present a comprehensive case study of a Turkish pediatric patient diagnosed with MSS, supported by genetic, bioinformatic, and structural modeling analyses. Whole-exome sequencing revealed a homozygous splice-site variant (SIL1 c.453+1G>T), confirmed by Sanger sequencing and segregation analysis. In silico annotation using Genomize, InterVar, Franklin, VarSome, ClinVar, OMIM, and PubMed classified the variant as pathogenic according to ACMG guidelines. Structural modeling by Phyre2 and I-TASSER demonstrated that the variant abolishes the intron 5 donor site, leading to truncation of the wild-type 461-amino-acid protein into a shortened ~189-amino-acid polypeptide. This truncation results in the loss of critical Armadillo (ARM) repeats required for HSPA5 interaction, explaining the observed instability and impaired chaperone function. Clinically, the patient presented with congenital cataracts, ataxia, developmental delay, and progressive muscle weakness, consistent with previously reported MSS cases. Comparison with the literature confirmed that splice-site variants frequently correlate with severe phenotypes, including early-onset ataxia and cataracts. This report highlights the importance of integrating genomic, structural, and clinical data to better understand genotype–phenotype correlations in MSS. Our findings expand the mutational spectrum of SIL1, reinforce the role of splicing defects in disease pathogenesis, and emphasize the necessity of comprehensive molecular diagnostics for rare neurogenetic syndromes. Full article
(This article belongs to the Section Physiology and Pathology)
Show Figures

Figure 1

21 pages, 3141 KB  
Article
Urinary Multi-Omics Profiling Reveals Systemic Molecular Alterations in Progressive External Ophthalmoplegia
by Michela Cicchinelli, Guido Primiano, Francesca Canu, Jacopo Gervasoni, Aniello Primiano, Lavinia Santucci, Anna Percio, Viviana Greco, Chiara Leoni, Andrea Sabino, Michelangelo Ardito, Giuseppe Zampino, Serenella Servidei, Andrea Urbani and Federica Iavarone
Int. J. Mol. Sci. 2025, 26(23), 11257; https://doi.org/10.3390/ijms262311257 - 21 Nov 2025
Viewed by 471
Abstract
Advances in next-generation sequencing have significantly improved the molecular diagnosis of mitochondrial diseases (MDs), a group of heterogeneous neurogenetic disorders. However, progress in understanding their pathogenic mechanisms and translating this knowledge into effective therapies remains limited. Elucidating the molecular determinants of phenotypic variability [...] Read more.
Advances in next-generation sequencing have significantly improved the molecular diagnosis of mitochondrial diseases (MDs), a group of heterogeneous neurogenetic disorders. However, progress in understanding their pathogenic mechanisms and translating this knowledge into effective therapies remains limited. Elucidating the molecular determinants of phenotypic variability in primary MDs is essential to uncover disease mechanisms and identify novel therapeutic targets. We investigated a cohort of eight adult patients with genetically confirmed Progressive External Ophthalmoplegia (PEO)—an extremely rare mitochondrial disorder—and compared them with eight age- and sex-matched healthy controls. A comprehensive multi-omics approach combining LC–MS/MS-based proteomics, UPLC–MS/MS-based metabolomics, ATR–FTIR spectroscopy, and chemometric multivariate analysis was employed to identify molecular alterations associated with mitochondrial dysfunction. Distinct proteomic and metabolic patterns related to energy metabolism were observed in PEO patients, correlating with their genetic background. Metabolomic analysis showed altered amino acid levels (seven statistically relevant) and disruptions in the metabolism of cysteine, methionine, and glutathione; proteomics finding (154 differentially expressed proteins) revealed dysregulation in extracellular matrix (ECM) organization and immune response pathways. This integrative analytical strategy offers new insights into the molecular complexity of PEO and mitochondrial disorders. The identification of disease-associated molecular signatures may enhance the understanding of pathogenic mechanisms and support the development of improved diagnostic and therapeutic approaches for MDs. Full article
(This article belongs to the Special Issue Mass Spectrometry Approaches as Clinical Diagnostic/Prognostic Tools)
Show Figures

Figure 1

11 pages, 4923 KB  
Article
Expanding the Phenotypic Spectrum of SPG4: Autism Spectrum Disorder in Early-Onset and Complex SPAST-HSP and Case Study
by Carlo Alberto Quaranta, Alice Gardani, Giulia Andorno, Anna Pichiecchio, Simone Gana, Renato Borgatti and Simona Orcesi
Genes 2025, 16(8), 970; https://doi.org/10.3390/genes16080970 - 18 Aug 2025
Viewed by 1264
Abstract
Background/Objectives: Hereditary spastic paraplegias (HSPs) comprise a heterogenous spectrum of rare neurogenetic disorders predominantly characterized by progressive spasticity and weakness of the lower extremities. Among autosomal-dominant forms of HSP, molecular defects in the SPAST gene—particularly those associated with the SPG4 subtype—represent the most [...] Read more.
Background/Objectives: Hereditary spastic paraplegias (HSPs) comprise a heterogenous spectrum of rare neurogenetic disorders predominantly characterized by progressive spasticity and weakness of the lower extremities. Among autosomal-dominant forms of HSP, molecular defects in the SPAST gene—particularly those associated with the SPG4 subtype—represent the most frequent genetic cause. SPAST encodes spastin, a microtubule-severing ATPase, crucial for cytoskeletal remodeling, neuronal connectivity, and intracellular trafficking. Disruption of spastin function can impair neurite outgrowth and synaptic formation, processes increasingly implicated in neurodevelopmental disorders (NDDs). Methods: We conducted a comprehensive clinical, neurological, and dysmorphological evaluation of a 4-year-old male. Standardized neuropsychological assessments were administered. Whole-exome sequencing (WES) was performed to identify underlying genetic causes. EEG and 3T-brain MRI were also acquired. Results: The proband harbored two novel de novo heterozygous missense variants in cis of the SPAST gene, displaying the typical features of early-onset and complex HSP, in addition to global developmental delay and severe autism spectrum disorder (ASD), an underexplored manifestation in this rare genetic disorder. Conclusions: These findings broaden the clinical and mutational spectrum of SPG4, underscoring the importance of considering SPAST gene analysis in patients with ASD in the early years of life and early motor delay, even in the presence of only subtle pyramidal signs. We advocate for comprehensive neuropsychiatric assessment in the diagnostic pathway of early-onset complex HSP presentations and support further investigation into the role of spastin in neuronal connectivity. Full article
(This article belongs to the Section Neurogenomics)
Show Figures

Figure 1

17 pages, 2381 KB  
Review
The Genetic Fingerprint of HIV in the Brain: Insights into Neurocognitive Dysfunction
by Sushama Jadhav, Shreeya Nair and Vijay Nema
Neuroglia 2025, 6(2), 23; https://doi.org/10.3390/neuroglia6020023 - 9 Jun 2025
Cited by 1 | Viewed by 2588
Abstract
HIV, primarily targeting CD4 cells, infiltrates the CNS through various mechanisms, including chemokine-mediated signaling and blood–brain barrier disruption, leading to neuroinflammation and neuronal dysfunction. Viral proteins such as gp120, Tat, and Vpr directly induce neurotoxicity, oxidative stress, and mitochondrial dysfunction, exacerbating cognitive deficits [...] Read more.
HIV, primarily targeting CD4 cells, infiltrates the CNS through various mechanisms, including chemokine-mediated signaling and blood–brain barrier disruption, leading to neuroinflammation and neuronal dysfunction. Viral proteins such as gp120, Tat, and Vpr directly induce neurotoxicity, oxidative stress, and mitochondrial dysfunction, exacerbating cognitive deficits and motor impairments observed in HIV-associated neurocognitive disorders (HANDs). Host genetic factors, including CCR5 mutations and HLA alleles, influence susceptibility to HIV-related neurologic complications, shaping disease progression and treatment responses. Advanced molecular and bioinformatics techniques, from genome sequencing to structural modeling and network analysis, provide insights into viral pathogenesis and identify potential therapeutic targets. These findings underscore the future potential of precision medicine approaches tailored to individual genetic profiles to mitigate neurologic complications and improve outcomes in HIV-infected populations. This comprehensive review explores the intricate interplay between HIV infection and neurogenetics, focusing on how the virus impacts the central nervous system (CNS) and contributes to neurocognitive disorders. This report delves into how the virus influences genetic expression, neuroinflammation, and neurodegeneration, offering insights into molecular mechanisms behind HAND. Full article
Show Figures

Figure 1

8 pages, 995 KB  
Case Report
An Ultra-Rare Disorder: Case Report on Cerebrotendinous Xanthomatosis
by Mariya Levkova, Mari Hachmeriyan, Margarita Grudkova, Mihael Tsalta-Mladenov and Ara Kaprelyan
Reports 2025, 8(2), 77; https://doi.org/10.3390/reports8020077 - 22 May 2025
Viewed by 1623
Abstract
Background and Clinical Significance: Cerebrotendinous xanthomatosis (CTX) is a rare autosomal recessive disorder caused by mutations in the CYP27A1 gene, leading to impaired bile acid synthesis and systemic cholesterol deposition. The condition presents with a broad spectrum of symptoms affecting multiple organs and [...] Read more.
Background and Clinical Significance: Cerebrotendinous xanthomatosis (CTX) is a rare autosomal recessive disorder caused by mutations in the CYP27A1 gene, leading to impaired bile acid synthesis and systemic cholesterol deposition. The condition presents with a broad spectrum of symptoms affecting multiple organs and systems, including the eyes, central nervous system, tendons, and skeletal muscles. Due to its heterogeneous and often ambiguous clinical manifestations, CTX is frequently misdiagnosed or remains undiagnosed for years. Case Presentation: We report the case of a 37-year-old male who was admitted to our university hospital with a long-standing history of progressive muscle weakness in the arms and legs. His medical history revealed bilateral cataract surgery in childhood, cognitive decline, epilepsy, and bilateral round swellings of the Achilles tendons, suspected to be xanthomas. A clinical diagnosis of CTX was established, and sequencing analysis confirmed the presence of a homozygous pathogenic variant in the CYP27A1 gene. Despite the unavailability of chenodeoxycholic acid (CDCA) therapy in Bulgaria, symptomatic management was provided. Conclusions: This case underscores the diagnostic challenges associated with CTX and highlights the prolonged diagnostic journey faced by patients with rare neurogenetic disorders. It also emphasizes the need for increased awareness and early recognition of such conditions to improve patient outcomes. Full article
Show Figures

Figure 1

29 pages, 12311 KB  
Article
Expanded Phenotype of the Cln6nclf Mouse Model
by Victoria Chaoul, Sara Saab, Omar Shmoury, Ramy Alam, Lynn Al Aridi, Nadine J. Makhoul, Jihane Soueid and Rose-Mary Boustany
Cells 2025, 14(9), 661; https://doi.org/10.3390/cells14090661 - 30 Apr 2025
Viewed by 1443
Abstract
Neuronal ceroid lipofuscinoses (NCLs) are a group of autosomal recessive neurogenetic disorders caused by mutations in 14 different genes. CLN6 disease manifests as variant late-infantile NCL (vLINCL) or as an adult variant. In childhood, symptoms include speech delay, vision loss, cognitive and motor [...] Read more.
Neuronal ceroid lipofuscinoses (NCLs) are a group of autosomal recessive neurogenetic disorders caused by mutations in 14 different genes. CLN6 disease manifests as variant late-infantile NCL (vLINCL) or as an adult variant. In childhood, symptoms include speech delay, vision loss, cognitive and motor decline, seizures, and early death. An in-depth characterization of a naturally occurring Cln6 mutant mouse (Cln6nclf) is presented, with implications for translational research. The expanded phenotype provides data showing early death, vision loss, and motor deficits in male and female Cln6nclf mice. Diminished visual acuity in Cln6nclf mice was noted at 28 weeks of age, but the pathological loss of retinal layers began as early as 2 weeks or postnatal day 14 (P14). Apoptosis was confirmed by TUNEL staining in the Cln6nclf mouse brain at P8 and in the retina at P12. A peak in glial fibrillary acidic protein (GFAP) expression was established as a normal developmental phenomenon in the wild-type and Cln6nclf mouse brain cerebellum and the CA2–CA3 regions of the hippocampus at P8. In Cln6nclf mice, GFAP levels were elevated at P12 in the cerebellum and hippocampus. In the retina, a developmental peak in gliosis was absent, with increased astrogliosis noted at P6 and P8 in female and male Cln6nclf mice, respectively. This highlights the lack of a sex-dependent response in wild-type mice. These novel data position the Cln6nclf mouse model as a useful tool for screening potential therapeutics for human CLN6 disease. Full article
Show Figures

Graphical abstract

15 pages, 2177 KB  
Article
Knockdown of POLG Mimics the Neuronal Pathology of Polymerase-γ Spectrum Disorders in Human Neurons
by Çağla Çakmak Durmaz, Felix Langerscheidt, Imra Mantey, Xinyu Xia and Hans Zempel
Cells 2025, 14(7), 480; https://doi.org/10.3390/cells14070480 - 22 Mar 2025
Viewed by 1318
Abstract
Impaired function of Polymerase-γ (Pol-γ) results in impaired replication of the mitochondrial genome (mtDNA). Pathogenic mutations in the POLG gene cause dysfunctional Pol-γ and dysfunctional mitochondria and are associated with a spectrum of neurogenetic disorders referred to as POLG spectrum disorders (POLG-SDs), which [...] Read more.
Impaired function of Polymerase-γ (Pol-γ) results in impaired replication of the mitochondrial genome (mtDNA). Pathogenic mutations in the POLG gene cause dysfunctional Pol-γ and dysfunctional mitochondria and are associated with a spectrum of neurogenetic disorders referred to as POLG spectrum disorders (POLG-SDs), which are characterized by neurologic dysfunction and premature death. Pathomechanistic studies and human cell models of these diseases are scarce. SH-SY5Y cells (SHC) are an easy-to-handle and low-cost human-derived neuronal cell model commonly used in neuroscientific research. Here, we aimed to study the effect of reduced Pol-γ function using stable lentivirus-based shRNA-mediated knockdown of POLG in SHC, in both the proliferating cells and SHC-derived neurons. POLG knockdown resulted in approximately 50% reductions in POLG mRNA and protein levels in naïve SHC, mimicking the residual Pol-γ activity observed in patients with common pathogenic POLG mutations. Knockdown cells exhibited decreased mtDNA content, reduced levels of mitochondrial-encoded proteins, and altered mitochondrial morphology and distribution. Notably, while chemical induction of mtDNA depletion via ddC could be rescued by the mitochondrial biosynthesis stimulators AICAR, cilostazol and resveratrol (but not MitoQ and formoterol) in control cells, POLG-knockdown cells were resistant to mitochondrial biosynthesis-mediated induction of mtDNA increase, highlighting the specificity of the model, and pathomechanistically hinting towards inefficiency of mitochondrial stimulation without sufficient Pol-γ activity. In differentiated SHC-derived human neurons, POLG-knockdown cells showed impaired neuronal differentiation capacity, disrupted cytoskeletal organization, and abnormal perinuclear clustering of mitochondria. In sum, our model not only recapitulates key features of POLG-SDs such as impaired mtDNA content, which cannot be rescued by mitochondrial biosynthesis stimulation, but also reduced ATP production, perinuclear clustering of mitochondria and impaired neuronal differentiation. It also offers a simple, cost-effective and human (and, as such, disease-relevant) platform for investigating disease mechanisms, one with screening potential for therapeutic approaches for POLG-related mitochondrial dysfunction in human neurons. Full article
Show Figures

Figure 1

25 pages, 359 KB  
Review
Neuroglial Dysregulation in Autism Spectrum Disorder: Pathogenetic Insights, Genetic Threads, and Therapeutic Horizons
by Nikola Ilic and Adrijan Sarajlija
Neuroglia 2025, 6(1), 11; https://doi.org/10.3390/neuroglia6010011 - 1 Mar 2025
Cited by 6 | Viewed by 5362
Abstract
Background/Objectives: Autism Spectrum Disorder (ASD) is a complex neurodevelopmental condition marked by challenges in social communication, restricted interests, and repetitive behaviors. Recent studies highlight the crucial roles of neuroglial cells—astrocytes, microglia, and oligodendrocytes—in synaptic function, neural connectivity, and neuroinflammation. These findings offer a [...] Read more.
Background/Objectives: Autism Spectrum Disorder (ASD) is a complex neurodevelopmental condition marked by challenges in social communication, restricted interests, and repetitive behaviors. Recent studies highlight the crucial roles of neuroglial cells—astrocytes, microglia, and oligodendrocytes—in synaptic function, neural connectivity, and neuroinflammation. These findings offer a fresh perspective on ASD pathophysiology. This review synthesizes current knowledge on neuroglial dysfunction in ASD, emphasizing its role in pathophysiological mechanisms, genetic influences, and potential therapeutic strategies. Methods: We conducted a comprehensive literature review, integrating insights from neuroscience, molecular biology, and clinical studies. Special focus was given to glial-mediated neuroinflammatory mechanisms, synaptic plasticity regulation, and the impact of genetic mutations on neuroglial signaling and homeostasis. Results: Neuroglial dysfunction in ASD is evident in abnormal synaptic pruning by microglia, impaired astrocytic glutamate regulation, and defective oligodendrocyte-driven myelination, which collectively disrupt neuronal architecture. Emerging therapies targeting these pathways, including anti-inflammatory drugs, microglial modulators, and cell-based approaches, show promise in alleviating key ASD symptoms. Additionally, advanced interventions such as gene editing and glial progenitor therapy present opportunities to correct underlying neuroglial dysfunction. Conclusions: This review establishes a comprehensive framework for understanding neuroglial contributions to ASD. By integrating insights from diverse disciplines, it enhances our understanding of ASD pathophysiology and paves the way for novel therapeutic strategies targeting neuroglial pathways. Full article
38 pages, 9543 KB  
Article
Biotin Induces Inactive Chromosome X Reactivation and Corrects Physiopathological Alterations in Beta-Propeller-Protein-Associated Neurodegeneration
by Diana Reche-López, Ana Romero-González, Mónica Álvarez-Córdoba, Alejandra Suárez-Carrillo, Paula Cilleros-Holgado, Rocío Piñero-Pérez, David Gómez-Fernández, José Manuel Romero-Domínguez, Alejandra López-Cabrera, Susana González-Granero, José Manuel García-Verdugo and José A. Sánchez-Alcázar
Int. J. Mol. Sci. 2025, 26(3), 1315; https://doi.org/10.3390/ijms26031315 - 4 Feb 2025
Cited by 1 | Viewed by 3011
Abstract
Neurodegeneration with brain iron accumulation (NBIA) involves a group of rare neurogenetic disorders often linked with iron overload in the basal nuclei of the brain presenting with spasticity, dystonia, muscle rigidity, neuropsychiatric symptoms, and retinal degeneration. Among NBIA subtypes, beta-propeller-protein-associated neurodegeneration (BPAN) is [...] Read more.
Neurodegeneration with brain iron accumulation (NBIA) involves a group of rare neurogenetic disorders often linked with iron overload in the basal nuclei of the brain presenting with spasticity, dystonia, muscle rigidity, neuropsychiatric symptoms, and retinal degeneration. Among NBIA subtypes, beta-propeller-protein-associated neurodegeneration (BPAN) is associated with mutations in the autophagy gene WDR45 (WD repeat domain 45). Previously, we demonstrated that WDR45 mutations in BPAN cellular models impaired autophagy, iron metabolism, and cell bioenergetics. In addition, antioxidant supplementation partially improved cell physiopathology; however, autophagy and cell bioenergetics remained affected. In this work, we explored the possibility of expressing the normal WDR45 allele present in the inactive chromosome X (Xi) of BPAN cells through treatment with epigenetic modulators. The aim of this study was to demonstrate whether biotin, an epigenetic nutrient, was able to restore the expression levels of WDR45 by a mechanism involving Xi reactivation and, consequently, correct BPAN defects. Our study demonstrated that biotin supplementation increases histone biotinylation and allows for the transcription of the WDR45 allele in Xi. Consequently, all physiopathological alterations in BPAN cells were notably corrected. The reactivation of Xi by epigenetic modulators can be a promising approach for the treatment of BPAN and other X-linked diseases. Full article
(This article belongs to the Special Issue Rare Diseases and Neuroscience)
Show Figures

Figure 1

12 pages, 4045 KB  
Article
Analysis of Short Tandem Repeat Expansions in a Cohort of 12,496 Exomes from Patients with Neurological Diseases Reveals Variable Genotyping Rate Dependent on Exome Capture Kits
by Clarissa Rocca, David Murphy, Chris Clarkson, Matteo Zanovello, Delia Gagliardi, Queen Square Genomics, Rauan Kaiyrzhanov, Javeria Alvi, Reza Maroofian, Stephanie Efthymiou, Tipu Sultan, Jana Vandrovcova, James Polke, Robyn Labrum, Henry Houlden and Arianna Tucci
Genes 2025, 16(2), 169; https://doi.org/10.3390/genes16020169 - 28 Jan 2025
Viewed by 1984
Abstract
Background/Objectives: Short tandem repeat expansions are the most common cause of inherited neurological diseases. These disorders are clinically and genetically heterogeneous, such as in myotonic dystrophy and spinocerebellar ataxia, and they are caused by different repeat motifs in different genomic locations. Major advances [...] Read more.
Background/Objectives: Short tandem repeat expansions are the most common cause of inherited neurological diseases. These disorders are clinically and genetically heterogeneous, such as in myotonic dystrophy and spinocerebellar ataxia, and they are caused by different repeat motifs in different genomic locations. Major advances in bioinformatic tools used to detect repeat expansions from short read sequencing data in the last few years have led to the implementation of these workflows into next generation sequencing pipelines in healthcare. Here, we aimed to evaluate the clinical utility of analysing repeat expansions through exome sequencing in a large cohort of genetically undiagnosed patients with neurological disorders. Methods: We here analyse 27 disease-causing DNA repeats found in the coding, intronic and untranslated regions in 12,496 exomes in patients with a range of neurogenetic conditions. Results: We identified—and validated by polymerase chain reaction—29 repeat expansions across a range of loci, 48% (n = 14) of which were diagnostic. We then analysed the genotyping performance across all repeat loci and found that, despite high coverage in most repeats in coding regions, some loci had low genotyping rates, such as those that cause spinocerebellar ataxia 2 (ATXN2, 0.1–8.4%) and Huntington disease (HTT, 0.2–58.2%), depending on the capture kit. Conversely, while most intronic repeats were not genotyped, we found a high genotyping rate in the intronic locus that causes spinocerebellar ataxia 36 (NOP56, 30.1–98.3%) and in the one that causes myotonic dystrophy type 1 (DMPK, myotonic dystrophy type 1). Conclusions: We show that the key factors that influence the genotyping rate of repeat expansion loci analysis are the sequencing read length and exome capture kit. These results provide important information about the performance of exome sequencing as a genetic test for repeat expansion disorders. Full article
Show Figures

Figure 1

15 pages, 243 KB  
Article
AI-Powered Neurogenetics: Supporting Patient’s Evaluation with Chatbot
by Stefania Zampatti, Juliette Farro, Cristina Peconi, Raffaella Cascella, Claudia Strafella, Giulia Calvino, Domenica Megalizzi, Giulia Trastulli, Carlo Caltagirone and Emiliano Giardina
Genes 2025, 16(1), 29; https://doi.org/10.3390/genes16010029 - 27 Dec 2024
Cited by 2 | Viewed by 2096
Abstract
Background/Objectives: Artificial intelligence and large language models like ChatGPT and Google’s Gemini are promising tools with remarkable potential to assist healthcare professionals. This study explores ChatGPT and Gemini’s potential utility in assisting clinicians during the first evaluation of patients with suspected neurogenetic disorders. [...] Read more.
Background/Objectives: Artificial intelligence and large language models like ChatGPT and Google’s Gemini are promising tools with remarkable potential to assist healthcare professionals. This study explores ChatGPT and Gemini’s potential utility in assisting clinicians during the first evaluation of patients with suspected neurogenetic disorders. Methods: By analyzing the model’s performance in identifying relevant clinical features, suggesting differential diagnoses, and providing insights into possible genetic testing, this research seeks to determine whether these AI tools could serve as a valuable adjunct in neurogenetic assessments. Ninety questions were posed to ChatGPT (Versions 4o, 4, and 3.5) and Gemini: four questions about clinical diagnosis, seven about genetic inheritance, estimable recurrence risks, and available tests, and four questions about patient management, each for six different neurogenetic rare disorders (Hereditary Spastic Paraplegia type 4 and type 7, Huntington Disease, Fragile X-associated Tremor/Ataxia Syndrome, Becker Muscular Dystrophy, and FacioScapuloHumeral Muscular Dystrophy). Results: According to the results of this study, GPT chatbots demonstrated significantly better performance than Gemini. Nonetheless, all AI chatbots showed notable gaps in diagnostic accuracy and a concerning level of hallucinations. Conclusions: As expected, these tools can empower clinicians in assessing neurogenetic disorders, yet their effective use demands meticulous collaboration and oversight from both neurologists and geneticists. Full article
13 pages, 990 KB  
Article
Studying Rare Movement Disorders: From Whole-Exome Sequencing to New Diagnostic and Therapeutic Approaches in a Modern Genetic Clinic
by Luca Marsili, Kevin R. Duque, Jesus Abanto, Nathaly O. Chinchihualpa Paredes, Andrew P. Duker, Kathleen Collins, Marcelo Miranda, M. Leonor Bustamante, Michael Pauciulo, Michael Dixon, Hassan Chaib, Josefina Perez-Maturo, Emily J. Hill, Alberto J. Espay and Marcelo A. Kauffman
Biomedicines 2024, 12(12), 2673; https://doi.org/10.3390/biomedicines12122673 - 23 Nov 2024
Viewed by 2008
Abstract
Background: Rare movement disorders often have a genetic etiology. New technological advances have increased the odds of achieving genetic diagnoses: next-generation sequencing (NGS) (whole-exome sequencing—WES; whole-genome sequencing—WGS) and long-read sequencing (LRS). In 2017, we launched a WES program for patients with rare movement [...] Read more.
Background: Rare movement disorders often have a genetic etiology. New technological advances have increased the odds of achieving genetic diagnoses: next-generation sequencing (NGS) (whole-exome sequencing—WES; whole-genome sequencing—WGS) and long-read sequencing (LRS). In 2017, we launched a WES program for patients with rare movement disorders of suspected genetic etiology. We aim to describe the accumulated experience of a modern movement disorder genetic clinic, highlighting how different available genetic tests might be prioritized according to the clinical phenotype and pattern of inheritance. Methods: Participants were studied through WES analysis. Descriptive statistics, including the mean, standard deviation, counts, and percentages, were used to summarize demographic and clinical characteristics in all subjects and with each type of result [pathogenic or likely pathogenic, variants of uncertain significance (VUS), negative]. Results: We studied 88 patients (93.2% Caucasian, 5.72% African American, and 1.08% Hispanic or Latino). After excluding six family members from four index participants, the diagnostic yield of WES reached 27% (22/82 probands). The age at onset was significantly lower in patients with pathogenic/likely pathogenic variants. The most common clinical phenotypes were ataxia and parkinsonism. Dystonia, ataxia, leukoencephalopathy, and parkinsonism were associated with most genetic diagnoses. Conclusions: We propose a comprehensive protocol with decision tree testing for WGS and LRS, a return of results, and a re-analysis of inconclusive genetic data to increase the diagnostic yield of patients with rare neurogenetic disorders. Full article
(This article belongs to the Section Neurobiology and Clinical Neuroscience)
Show Figures

Figure 1

13 pages, 1996 KB  
Article
Resolving Phenotypic Variability in Mitochondrial Diseases: Preliminary Findings of a Proteomic Approach
by Michela Cicchinelli, Guido Primiano, Serenella Servidei, Michelangelo Ardito, Anna Percio, Andrea Urbani and Federica Iavarone
Int. J. Mol. Sci. 2024, 25(19), 10731; https://doi.org/10.3390/ijms251910731 - 5 Oct 2024
Cited by 5 | Viewed by 1658
Abstract
The introduction of new sequencing approaches into clinical practice has radically changed the diagnostic approach to mitochondrial diseases, significantly improving the molecular definition rate in this group of neurogenetic disorders. At the same time, there have been no equal successes in the area [...] Read more.
The introduction of new sequencing approaches into clinical practice has radically changed the diagnostic approach to mitochondrial diseases, significantly improving the molecular definition rate in this group of neurogenetic disorders. At the same time, there have been no equal successes in the area of in-depth understanding of disease mechanisms and few innovative therapeutic approaches have been proposed recently. In this regard, the identification of the molecular basis of phenotypic variability in primary mitochondrial disorders represents a key aspect for deciphering disease mechanisms with important therapeutic implications. In this study, we present data from proteomic investigations in two subjects affected by mitochondrial disease characterized by a different clinical severity and associated with the same variant in the TWNK gene, encoding the mitochondrial DNA and RNA helicase with a specific role in the mtDNA replisome. Heterozygous pathogenic variants in this gene are associated with progressive external ophthalmoplegia and ptosis, usually with adult onset. The overall results suggest an imbalance in glucose metabolism and ROS production/regulation, with possible consequences on the phenotypic manifestations of the enrolled subjects. Although the data will need to be validated in a large cohort, proteomic investigations have proven to be a valid approach for a deep understanding of these neurometabolic disorders. Full article
(This article belongs to the Section Biochemistry)
Show Figures

Figure 1

15 pages, 679 KB  
Review
A Systematic Review of Genetics- and Molecular-Pathway-Based Machine Learning Models for Neurological Disorder Diagnosis
by Nasser Ali Aljarallah, Ashit Kumar Dutta and Abdul Rahaman Wahab Sait
Int. J. Mol. Sci. 2024, 25(12), 6422; https://doi.org/10.3390/ijms25126422 - 11 Jun 2024
Cited by 7 | Viewed by 3058
Abstract
The process of identification and management of neurological disorder conditions faces challenges, prompting the investigation of novel methods in order to improve diagnostic accuracy. In this study, we conducted a systematic literature review to identify the significance of genetics- and molecular-pathway-based machine learning [...] Read more.
The process of identification and management of neurological disorder conditions faces challenges, prompting the investigation of novel methods in order to improve diagnostic accuracy. In this study, we conducted a systematic literature review to identify the significance of genetics- and molecular-pathway-based machine learning (ML) models in treating neurological disorder conditions. According to the study’s objectives, search strategies were developed to extract the research studies using digital libraries. We followed rigorous study selection criteria. A total of 24 studies met the inclusion criteria and were included in the review. We classified the studies based on neurological disorders. The included studies highlighted multiple methodologies and exceptional results in treating neurological disorders. The study findings underscore the potential of the existing models, presenting personalized interventions based on the individual’s conditions. The findings offer better-performing approaches that handle genetics and molecular data to generate effective outcomes. Moreover, we discuss the future research directions and challenges, emphasizing the demand for generalizing existing models in real-world clinical settings. This study contributes to advancing knowledge in the field of diagnosis and management of neurological disorders. Full article
(This article belongs to the Special Issue Machine Learning and Bioinformatics in Human Health and Disease)
Show Figures

Figure 1

Back to TopTop