An Ultra-Rare Disorder: Case Report on Cerebrotendinous Xanthomatosis
Abstract
1. Introduction and Clinical Significance
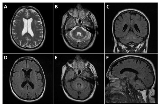
2. Case Presentation
3. Discussion
4. Conclusions
Author Contributions
Funding
Institutional Review Board Statement
Informed Consent Statement
Data Availability Statement
Conflicts of Interest
Abbreviations
| CTX | Cerebrotendinous xanthomatosis |
| CYP27A1 | enzyme 27-hydroxylase |
| MRI | magnetic resonance imaging |
| EEG | electroencephalogram |
| SWDs | single spike–wave discharges |
| MMSE | Mini-Mental State Examination |
| IADL | Instrumental Activities of Daily Living Scale |
| CDCA | chenodeoxycholic acid |
| CNV | copy number variant |
References
- Luo, F.; Ding, Y.; Zhang, S.; Diao, J.; Yuan, B. Frontier and hotspot evolution in cerebrotendinous xanthomatosis: A bibliometric analysis from 1993 to 2023. Front. Neurol. 2024, 15, 1371375. [Google Scholar] [CrossRef] [PubMed]
- Zubarioglu, T.; Kıykım, E.; Köse, E.; Eminoğlu, F.T.; Kısa, P.T.; Balcı, M.C.; Özer, I.; İnci, A.; Çilesiz, K.; Canda, E.; et al. Clinical, biochemical, and molecular insights into Cerebrotendinous Xanthomatosis: A nationwide study of 100 Turkish individuals. Mol. Genet. Metab. 2024, 142, 108493. [Google Scholar] [CrossRef] [PubMed]
- Behari, M. A Rare Symptomatic Case of Heterozygous Cerebro-Tendinous Xanthomatosis (CTX) Treated with Urso-Deoxycholic Acid (UDCA): With Mini Review. J. Neurosci. Neurol. Disord. 2024, 8, 57–63. [Google Scholar]
- Pavisich, K.; Jones, H.; Baynam, G. The Diagnostic Odyssey for Children Living with a Rare Disease–Caregiver and Patient Perspectives: A Narrative Review with Recommendations. Rare 2024, 2, 100022. [Google Scholar] [CrossRef]
- Guay, S.-P.; Paquette, M.; Poulin, V.; Levtova, A.; Baass, A.; Bernard, S. The 20-Year diagnostic odyssey of a milder form of cerebrotendinous xanthomatosis. JCEM Case Rep. 2024, 2, luae004. [Google Scholar] [CrossRef] [PubMed]
- Franklin by Genoox. Available online: https://franklin.genoox.com (accessed on 30 October 2024).
- Richards, S.; Aziz, N.; Bale, S.; Bick, D.; Das, S.; Gastier-Foster, J.; Grody, W.W.; Hegde, M.; Lyon, E.; Spector, E.; et al. Standards and guidelines for the interpretation of sequence variants: A joint consensus recommendation of the American College of Medical Genetics and Genomics and the Association for Molecular Pathology. Genet. Med. 2015, 17, 405–424. [Google Scholar] [CrossRef] [PubMed]
- Garuti, R.; Lelli, N.; Barozzini, M.; Tiozzo, R.; Dotti, M.; Federico, A.; Ottomano, A.; Croce, A.; Bertolini, S.; Calandra, S. Cerebrotendinous xanthomatosis caused by two new mutations of the sterol-27-hydroxylase gene that disrupt mRNA splicing. J. Lipid Res. 1996, 37, 1459–1467. [Google Scholar] [CrossRef] [PubMed]
- Bartholdi, D.; Zumsteg, D.; Verrips, A.; Wevers, R.; Sistermans, E.; Hess, K.; Jung, H. Spinal phenotype of cerebrotendinous xanthomatosis. J. Neurol. 2004, 251, 105–107. [Google Scholar] [CrossRef] [PubMed]
- Ginanneschi, F.; Mignarri, A.; Mondelli, M.; Gallus, G.; Del Puppo, M.; Giorgi, S.; Federico, A.; Rossi, A.; Dotti, M. Polyneuropathy in cerebrotendinous xanthomatosis and response to treatment with chenodeoxycholic acid. J. Neurol. 2013, 260, 268–274. [Google Scholar] [CrossRef] [PubMed]
- Sekijima, Y.; Koyama, S.; Yoshinaga, T.; Koinuma, M.; Inaba, Y. Nationwide survey on cerebrotendinous xanthomatosis in Japan. J. Hum. Genet. 2018, 63, 271–280. [Google Scholar] [CrossRef] [PubMed]
- DeBarber, A.E.; Schaefer, E.J.; Do, J.; Ray, J.W.; Larson, A.; Redder, S.; Fowler, M.; Duell, P.B. Genetically and clinically confirmed atypical cerebrotendinous xanthomatosis with normal cholestanol and marked elevations of bile acid precursors and bile alcohols. J. Clin. Lipidol. 2024, 18, e465–e476. [Google Scholar] [CrossRef] [PubMed]
- Jain, R.S.; Sannegowda, R.B.; Agrawal, A.; Hemrajani, D.; Jain, R.; Mathur, T. ‘Hot cross bun’sign in a case of cerebrotendinous xanthomatosis: A rare neuroimaging observation. Case Rep. 2013, 2013, bcr2012006641. [Google Scholar]
- Fussiger, H.; Lima, P.L.G.S.B.; Souza, P.V.S.; Freua, F.; Husny, A.S.E.; Leão, E.K.E.A.; Braga-Neto, P.; Kok, F.; Lynch, D.S.; Saute, J.A.M.; et al. Clinicogenetic characterization of cerebrotendinous xanthomatosis in Brazil. Clin. Genet. 2024, 106, 721–732. [Google Scholar] [CrossRef] [PubMed]
- Salardaine, Q.; Shor, N.; Villain, N.; Bozon, F.; Amador, M.D.M.; Duchon, C.; Mélé, N.; Schiff, M.; Brassier, A.; Nadjar, Y. Cognitive impairment in children and adults with cerebrotendinous xanthomatosis: A French cohort study. J. Inherit. Metab. Dis. 2024, 47, 1069–1079. [Google Scholar] [CrossRef] [PubMed]
- Zhao, W.; Han, J.; Tao, D.; Zheng, H. Cerebrotendinous xanthomatosis with tremor as the main manifestation: A case report. Medicine 2024, 103, e37976. [Google Scholar] [CrossRef] [PubMed]
- Chun, M.Y.; Heo, N.J.; Seo, S.W.; Jang, H.; Suh, Y.-L.; Jang, J.-H.; Kim, Y.-E.; Kim, E.-J.; Moon, S.Y.; Jung, N.-Y.; et al. Case report: Cerebrotendinous xanthomatosis with a novel mutation in the CYP27A1 gene mimicking behavioral variant frontotemporal dementia. Front. Neurol. 2023, 14, 1131888. [Google Scholar] [CrossRef] [PubMed]
- Min, J.H.; Kim, Y.S.; Son, M.J.; Joo, I.S. A double CYP27A1 gene mutation in spinal cerebrotendinous xanthomatosis in a patient presenting with spastic gait: A case report. J. Med. Case Rep. 2024, 18, 334. [Google Scholar] [CrossRef]
- Jenzer, H.; Groesser, S.; Miljković, N. Availability of Medicines. In Practical Pharmaceutics; Springer: Berlin/Heidelberg, Germany, 2023; pp. 23–55. [Google Scholar]



Disclaimer/Publisher’s Note: The statements, opinions and data contained in all publications are solely those of the individual author(s) and contributor(s) and not of MDPI and/or the editor(s). MDPI and/or the editor(s) disclaim responsibility for any injury to people or property resulting from any ideas, methods, instructions or products referred to in the content. |
© 2025 by the authors. Licensee MDPI, Basel, Switzerland. This article is an open access article distributed under the terms and conditions of the Creative Commons Attribution (CC BY) license (https://creativecommons.org/licenses/by/4.0/).
Share and Cite
Levkova, M.; Hachmeriyan, M.; Grudkova, M.; Tsalta-Mladenov, M.; Kaprelyan, A. An Ultra-Rare Disorder: Case Report on Cerebrotendinous Xanthomatosis. Reports 2025, 8, 77. https://doi.org/10.3390/reports8020077
Levkova M, Hachmeriyan M, Grudkova M, Tsalta-Mladenov M, Kaprelyan A. An Ultra-Rare Disorder: Case Report on Cerebrotendinous Xanthomatosis. Reports. 2025; 8(2):77. https://doi.org/10.3390/reports8020077
Chicago/Turabian StyleLevkova, Mariya, Mari Hachmeriyan, Margarita Grudkova, Mihael Tsalta-Mladenov, and Ara Kaprelyan. 2025. "An Ultra-Rare Disorder: Case Report on Cerebrotendinous Xanthomatosis" Reports 8, no. 2: 77. https://doi.org/10.3390/reports8020077
APA StyleLevkova, M., Hachmeriyan, M., Grudkova, M., Tsalta-Mladenov, M., & Kaprelyan, A. (2025). An Ultra-Rare Disorder: Case Report on Cerebrotendinous Xanthomatosis. Reports, 8(2), 77. https://doi.org/10.3390/reports8020077

