Sign in to use this feature.

Years

Between: -

Subjects

remove_circle_outline
remove_circle_outline
remove_circle_outline
remove_circle_outline
remove_circle_outline

Journals

Article Types

Countries / Regions

Search Results (6)

Search Parameters:
Keywords = metal regulatory transcription factor 1 (MTF1)

Order results
Result details
Results per page
Select all
Export citation of selected articles as:
16 pages, 8530 KB  
Article
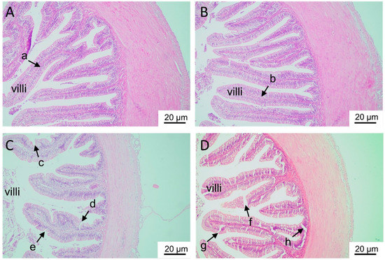
Expression and Functional Analysis of the Metallothionein and Metal-Responsive Transcription Factor 1 in Phascolosoma esculenta under Zn Stress
by Shenwei Gu, Jingqian Wang, Xinming Gao, Xuebin Zheng, Yang Liu, Yiner Chen, Lianlian Sun and Junquan Zhu
Int. J. Mol. Sci. 2024, 25(13), 7368; https://doi.org/10.3390/ijms25137368 - 5 Jul 2024
Cited by 4 | Viewed by 2098
Abstract
Metallothioneins (MTs) are non-enzymatic metal-binding proteins widely found in animals, plants, and microorganisms and are regulated by metal-responsive transcription factor 1 (MTF1). MT and MTF1 play crucial roles in detoxification, antioxidation, and anti-apoptosis. Therefore, they are key factors allowing organisms to endure the [...] Read more.
Metallothioneins (MTs) are non-enzymatic metal-binding proteins widely found in animals, plants, and microorganisms and are regulated by metal-responsive transcription factor 1 (MTF1). MT and MTF1 play crucial roles in detoxification, antioxidation, and anti-apoptosis. Therefore, they are key factors allowing organisms to endure the toxicity of heavy metal pollution. Phascolosoma esculenta is a marine invertebrate that inhabits intertidal zones and has a high tolerance to heavy metal stress. In this study, we cloned and identified MT and MTF1 genes from P. esculenta (designated as PeMT and PeMTF1). PeMT and PeMTF1 were widely expressed in all tissues and highly expressed in the intestine. When exposed to 16.8, 33.6, and 84 mg/L of zinc ions, the expression levels of PeMT and PeMTF1 in the intestine increased first and then decreased, peaking at 12 and 6 h, respectively, indicating that both PeMT and PeMTF1 rapidly responded to Zn stress. The recombinant pGEX-6p-1-MT protein enhanced the Zn tolerance of Escherichia coli and showed a dose-dependent ABTS free radical scavenging ability. After RNA interference (RNAi) with PeMT and 24 h of Zn stress, the oxidative stress indices (MDA content, SOD activity, and GSH content) and the apoptosis indices (Caspase 3, Caspase 8, and Caspase 9 activities) were significantly increased, implying that PeMT plays an important role in Zn detoxification, antioxidation, and anti-apoptosis. Moreover, the expression level of PeMT in the intestine was significantly decreased after RNAi with PeMTF1 and 24 h of Zn stress, which preliminarily proved that PeMTF1 has a regulatory effect on PeMT. Our data suggest that PeMT and PeMTF1 play important roles in the resistance of P. esculenta to Zn stress and are the key factors allowing P. esculenta to endure the toxicity of Zn. Full article
(This article belongs to the Section Molecular Toxicology)
Show Figures

Figure 1

11 pages, 4254 KB  
Article
Point-of-Care Testing of the MTF1 Osteoarthritis Biomarker Using Phenolphthalein-Soaked Swabs
by So Yeon Park, Dong-Sik Chae, Jae Sun Lee, Byung-Ki Cho and Nae Yoon Lee
Biosensors 2023, 13(5), 535; https://doi.org/10.3390/bios13050535 - 10 May 2023
Cited by 8 | Viewed by 2982
Abstract
Osteoarthritis (OA) is the most common joint disease, which accompanies pain and inconvenience in daily life owing to degradation of cartilage and adjacent tissues. In this study, we propose a simple point-of-care testing (POCT) kit for the detection of the MTF1 OA biomarker [...] Read more.
Osteoarthritis (OA) is the most common joint disease, which accompanies pain and inconvenience in daily life owing to degradation of cartilage and adjacent tissues. In this study, we propose a simple point-of-care testing (POCT) kit for the detection of the MTF1 OA biomarker to achieve on-site clinical diagnosis of OA. The kit contains an FTA card for patient sample treatments, a sample tube for loop-mediated isothermal amplification (LAMP), and a phenolphthalein-soaked swab for naked eye detection. The MTF1 gene was isolated from synovial fluids using an FTA card and amplified using the LAMP method at 65 °C for 35 min. A test part of the phenolphthalein-soaked swab was decolorized in the presence of the MTF1 gene due to the pH change after the LAMP, but the color remained pink in the absence of the MTF1 gene. The control part of the swab served as a reference color in relation to the test part. When real-time LAMP (RT-LAMP), gel electrophoresis, and colorimetric detection of the MTF1 gene were performed, the limit of detection (LOD) was confirmed at 10 fg/μL, and the overall processes were completed in 1 h. The detection of an OA biomarker in the form of POCT was reported for the first time in this study. The introduced method is expected to serve as a POCT platform directly applicable by clinicians for easy and rapid identification of OA. Full article
(This article belongs to the Special Issue Biosensing and Diagnosis)
Show Figures

Figure 1

10 pages, 2194 KB  
Article
The Difference in Zinc Concentrations Required for Induction among Metallothionein Isoforms Can Be Explained by the Different MTF1 Affinities to MREs in Its Promoter
by Shoko Ogushi and Tomoki Kimura
Int. J. Mol. Sci. 2023, 24(1), 283; https://doi.org/10.3390/ijms24010283 - 23 Dec 2022
Cited by 8 | Viewed by 3485
Abstract
Metallothioneins (MTs) are cysteine-rich low-molecular-weight proteins that protect cells from heavy metal toxicity. MT1 and MT2 are considered ubiquitously expressed among the MT isoforms ranging from 1 to 4. These MT1 and MT2 transcriptions are regulated by metal regulatory transcription factor 1 (MTF1) [...] Read more.
Metallothioneins (MTs) are cysteine-rich low-molecular-weight proteins that protect cells from heavy metal toxicity. MT1 and MT2 are considered ubiquitously expressed among the MT isoforms ranging from 1 to 4. These MT1 and MT2 transcriptions are regulated by metal regulatory transcription factor 1 (MTF1) binding to the metal response element (MRE) of the promoter, which is upregulated in response to zinc. The functional MT isoforms are MT1A, MT1B, MT1E, MT1F, MT1G, MT1H, MT1M, MT1X, and MT2A in humans, but these expressions were differently regulated. Here, MT1A was shown to be significantly less upregulated by zinc than MT1E, MT1G, MT1X, and MT2A. The poor responsiveness of the MT1A zinc was suggested to be due to the MRE sequence in the MT1A promoter region having a lower MTF1 binding affinity compared to the other isoforms. MT1A may be induced via pathways other than the MTF1–MRE binding pathway. These findings may help elucidate the differential regulation of MT isoform expression. Full article
(This article belongs to the Collection Feature Papers in Molecular Toxicology)
Show Figures

Figure 1

16 pages, 3772 KB  
Article
Dietary Nano-ZnO Is Absorbed via Endocytosis and ZIP Pathways, Upregulates Lipogenesis, and Induces Lipotoxicity in the Intestine of Yellow Catfish
by Shu-Wei Chen, Wu-Hong Lv, Kun Wu, Guang-Hui Chen, Fang Chen, Chang-Chun Song and Zhi Luo
Int. J. Mol. Sci. 2021, 22(21), 12047; https://doi.org/10.3390/ijms222112047 - 7 Nov 2021
Cited by 9 | Viewed by 3200
Abstract
Nano-sized zinc oxide (nano-ZnO) affects lipid deposition, but its absorption patterns and mechanisms affecting lipid metabolism are still unclear. This study was undertaken to investigate the molecular mechanism of nano-ZnO absorption and its effects on lipid metabolism in the intestinal tissues of a [...] Read more.
Nano-sized zinc oxide (nano-ZnO) affects lipid deposition, but its absorption patterns and mechanisms affecting lipid metabolism are still unclear. This study was undertaken to investigate the molecular mechanism of nano-ZnO absorption and its effects on lipid metabolism in the intestinal tissues of a widely distributed freshwater teleost yellow catfish Pelteobagrus fulvidraco. We found that 100 mg/kg dietary nano-ZnO (H-Zn group) significantly increased intestinal Zn contents. The zip6 and zip10 mRNA expression levels were higher in the H-Zn group than those in the control (0 mg/kg nano-ZnO), and zip4 mRNA abundances were higher in the control than those in the L-Zn (50 mg/kg nano-ZnO) and H-Zn groups. Eps15, dynamin1, dynamin2, caveolin1, and caveolin2 mRNA expression levels tended to reduce with dietary nano-ZnO addition. Dietary nano-ZnO increased triglyceride (TG) content and the activities of the lipogenic enzymes glucose 6-phosphate dehydrogenase (G6PD), 6-phosphogluconate dehydrogenase (6PGD), and isocitrate dehydrogenase (ICDH), upregulated the mRNA abundances of lipogenic genes 6pgd, fatty acid synthase (fas), and sterol regulatory element binding protein 1 (srebp1), and reduced the mRNA expression of farnesoid X receptor (fxr) and small heterodimer partner (shp). The SHP protein level in the H-Zn group was lower than that in the control and the L-Zn group markedly. Our in vitro study indicated that the intestinal epithelial cells (IECs) absorbed nano-ZnO via endocytosis, and nano-Zn-induced TG deposition and lipogenesis were partially attributable to the endocytosis of nano-ZnO in IECs. Mechanistically, nano-ZnO-induced TG deposition was closely related to the metal responsive transcription factor 1 (MTF-1)-SHP pathway. Thus, for the first time, we found that the lipogenesis effects of nano-ZnO probably depended on the key gene shp, which is potentially regulated by MTF1 and/or FXR. This novel signaling pathway of MTF-1 through SHP may be relevant to explain the toxic effects and lipotoxicity ascribed to dietary nano-ZnO addition. Full article
(This article belongs to the Section Molecular Endocrinology and Metabolism)
Show Figures

Figure 1

10 pages, 2150 KB  
Article
MTF1 Is Essential for the Expression of MT1B, MT1F, MT1G, and MT1H Induced by PHMG, but Not CMIT, in the Human Pulmonary Alveolar Epithelial Cells
by Sang-Hoon Jeong, Cherry Kim, Jaeyoung Kim, Yoon-Jeong Nam, Hong Lee, Ariunaa Togloom, Ja-Young Kang, Jin-Young Choi, Hyejin Lee, Myeong-Ok Song, Eun-Kee Park, Yong-Wook Baek, Ju-Han Lee and Ki-Yeol Lee
Toxics 2021, 9(9), 203; https://doi.org/10.3390/toxics9090203 - 29 Aug 2021
Cited by 13 | Viewed by 5101
Abstract
The inhalation of humidifier disinfectants (HDs) is linked to HD-associated lung injury (HDLI). Polyhexamethylene guanidine (PHMG) is significantly involved in HDLI, but the correlation between chloromethylisothiazolinone (CMIT) and HDLI remains ambiguous. Additionally, the differences in the molecular responses to PHMG and CMIT are [...] Read more.
The inhalation of humidifier disinfectants (HDs) is linked to HD-associated lung injury (HDLI). Polyhexamethylene guanidine (PHMG) is significantly involved in HDLI, but the correlation between chloromethylisothiazolinone (CMIT) and HDLI remains ambiguous. Additionally, the differences in the molecular responses to PHMG and CMIT are poorly understood. In this study, RNA sequencing (RNA-seq) data showed that the expression levels of metallothionein-1 (MT1) isoforms, including MT1B, MT1E, MT1F, MT1G, MT1H, MT1M, and MT1X, were increased in human pulmonary alveolar epithelial cells (HPAEpiCs) that were treated with PHMG but not in those treated with CMIT. Moreover, upregulation of MT1B, MT1F, MT1G, and MT1H was observed only in PHMG-treated HPAEpiCs. The protein expression level of metal regulatory transcription factor 1 (MTF1), which binds to the promoters of MT1 isoforms, was increased in PHMG-treated HPAEpiCs but not in CMIT-treated HPAEpiCs. However, the expression of early growth response 1 (EGR1) and nuclear receptor superfamily 3, group C, member 1 (NR3C1), other transcriptional regulators involved in MT1 isomers, were increased regardless of treatment with PHMG or CMIT. These results suggest that MTF1 is an essential transcription factor for the induction of MT1B, MT1F, MT1G, and MT1H by PHMG but not by CMIT. Full article
(This article belongs to the Section Toxicology)
Show Figures

Figure 1

33 pages, 969 KB  
Article
Microarray Analysis of Mercury-Induced Changes in Gene Expression in Human Liver Carcinoma (HepG2) Cells: Importance in Immune Responses
by Wellington K. Ayensu and Paul B. Tchounwou
Int. J. Environ. Res. Public Health 2006, 3(2), 141-173; https://doi.org/10.3390/ijerph2006030018 - 30 Jun 2006
Cited by 29 | Viewed by 13648
Abstract
Mercury is widely distributed in the biosphere, and its toxic effects have been associated with human death and several ailments that include cardiovascular diseases, anemia, kidney and liver damage, developmental abnormalities, neurobehavioral disorders, autoimmune diseases, and cancers in experimental animals. At the cellular [...] Read more.
Mercury is widely distributed in the biosphere, and its toxic effects have been associated with human death and several ailments that include cardiovascular diseases, anemia, kidney and liver damage, developmental abnormalities, neurobehavioral disorders, autoimmune diseases, and cancers in experimental animals. At the cellular level, mercury has been shown to interact with sulphydryl groups of proteins and enzymes, to damage DNA, and to modulate cell cycle progression and/or apoptosis. However, the underlying molecular mechanisms of mercury toxicity remain to be elucidated. Our laboratory has demonstrated that mercury exposure induces cytotoxicity and apoptosis, modulates cell cycle, and transcriptionally activates specific stress genes in human liver carcinoma cells. The liver is one of the few organs capable of regeneration from injury. Dormant genes in the liver are therefore capable of reactivation. In this research, we hypothesize that mercury-induced hepatotoxicity is associated with the modulation of specific gene expressions in liver cells that can lead to several disease states involving immune system dysfunctions. In testing this hypothesis, we used an Affymetrix oligonucleotide microarray with probe sets complementary to more than 20,000 genes to determine whether patterns of gene expressions differ between controls and mercury (1-3μg/mL) treated cells. There was a clear separation in gene expression profiles between controls and mercury-treated cells. Hierarchical cluster analysis identified 2,211 target genes that were affected. One hundred and thirty-eight of these genes were up-regulated, among which forty three were significantly over-expressed (p = 0.001) with greater than a two-fold change, and ninety five genes were moderately over-expressed with an increase of more than one fold (p = 0.004). Two thousand and twentythree genes were down-regulated with only forty five of them reaching a statistically significant decline at p = 0.05 according to the Welch’s ANOVA/Welch’s t-test. Further analyses of affected genes identified genes located on all human chromosomes except chromosome 22 with higher than normal effects on genes found on chromosomes 1-14, 17-20 (sex-determining region Y)-box18SRY, 21 (splicing factor, arginine/serine-rich 15 and ATP-binding), and X (including BCL6-co-repressor). These genes are categorized as control and regulatory genes for metabolic pathways involving the cell cycle (cyclin-dependent kinases), apoptosis, cytokine expression, Na+/K+ ATPase, stress responses, G-protein signal transduction, transcription factors, DNA repair as well as metal-regulatory transcription factor 1, MTF1 HGNC, chondroitin sulfate proteoglycan 5 (neuroglycan C), ATPbinding cassette, sub-family G (WHITE), cytochrome b-561 family protein, CDC-like kinase 1 (CLK1 HGNC) (protein tyrosine kinase STY), Na+/H+ exchanger regulatory factor (NHERF HGNC), potassium voltage-gated channel subfamily H member 2 (KCNH2), putative MAPK activating protein (PM20, PM21), ras homolog gene family, polymerase (DNA directed), δ regulatory subunit (50kDa), leptin receptor involved in hematopoietin/interferon-class (D200-domain) cytokine receptor activity and thymidine kinase 2, mitochondrial TK2 HGNC and related genes. Significant alterations in these specific genes provide new directions for deeper mechanistic investigations that would lead to a better understanding of the molecular basis of mercury-induced toxicity and human diseases that may result from disturbances in the immune system. Full article
Show Figures

Back to TopTop