Sign in to use this feature.

Years

Between: -

Subjects

remove_circle_outline
remove_circle_outline
remove_circle_outline
remove_circle_outline

Journals

Article Types

Countries / Regions

Search Results (9)

Search Parameters:
Keywords = lysophosphatidic acid receptor 5

Order results
Result details
Results per page
Select all
Export citation of selected articles as:
12 pages, 4389 KB  
Article
Lysophosphatidic Acid Signalling Regulates Human Sperm Viability via the Phosphoinositide 3-Kinase/AKT Pathway
by Hao-Yu Liao and Cristian O’Flaherty
Cells 2023, 12(17), 2196; https://doi.org/10.3390/cells12172196 - 2 Sep 2023
Cited by 8 | Viewed by 2487
Abstract
Lysophosphatidic acid (LPA) signalling is essential for maintaining germ cell viability during mouse spermatogenesis; however, its role in human spermatozoa is unknown. We previously demonstrated that peroxiredoxin 6 (PRDX6) calcium-independent phospholipase A2 (iPLA2) releases lysophospholipids such as LPA or arachidonic [...] Read more.
Lysophosphatidic acid (LPA) signalling is essential for maintaining germ cell viability during mouse spermatogenesis; however, its role in human spermatozoa is unknown. We previously demonstrated that peroxiredoxin 6 (PRDX6) calcium-independent phospholipase A2 (iPLA2) releases lysophospholipids such as LPA or arachidonic acid (AA) and that inhibiting PRDX6 iPLA2 activity impairs sperm cell viability. The exogenous addition of LPA bypassed the inhibition of PRDX6 iPLA2 activity and maintained the active phosphoinositide 3-kinase (PI3K)/AKT pathway. Here, we aimed to study PI3K/AKT pathway regulation via LPA signalling and protein kinases in maintaining sperm viability. The localization of LPARs in human spermatozoa was determined using immunocytochemistry, and P-PI3K and P-AKT substrate phosphorylations via immunoblotting. Sperm viability was determined using the hypo-osmotic swelling test. LPAR1, 3, 5 and 6 were located on the sperm plasma membrane. The inhibition of LPAR1-3 with Ki16425 promoted the impairment of sperm viability and decreased the phosphorylation of PI3K AKT substrates. Inhibitors of PKC, receptor-type PTK and PLC impaired sperm viability and the PI3K/AKT pathway. Adding 1-oleoyl-2-acetyl-snglycerol (OAG), a cell-permeable analog of diacylglycerol (DAG), prevented the loss of sperm viability and maintained the phosphorylation of PI3K. In conclusion, human sperm viability is supported by LPAR signalling and regulated by PLC, PKC and RT-PTK by maintaining phosphorylation levels of PI3K and AKT substrates. Full article
Show Figures

Figure 1

16 pages, 5557 KB  
Article
Lysophosphatidic Acid Promotes Epithelial–Mesenchymal Transition in Kidney Epithelial Cells via the LPAR1/MAPK-AKT/KLF5 Signaling Pathway in Diabetic Nephropathy
by Geon-Ho Lee, Jayeon Cheon, Donghee Kim and Hee-Sook Jun
Int. J. Mol. Sci. 2022, 23(18), 10497; https://doi.org/10.3390/ijms231810497 - 10 Sep 2022
Cited by 9 | Viewed by 3826
Abstract
The epithelial–mesenchymal transition (EMT) is a differentiation process associated with fibrogenesis in diabetic nephropathy (DN). Lysophosphatidic acid (LPA) is a small, naturally occurring glycerophospholipid implicated in the pathogenesis of DN. In this study, we investigated the role of LPA/LPAR1 signaling in the EMT [...] Read more.
The epithelial–mesenchymal transition (EMT) is a differentiation process associated with fibrogenesis in diabetic nephropathy (DN). Lysophosphatidic acid (LPA) is a small, naturally occurring glycerophospholipid implicated in the pathogenesis of DN. In this study, we investigated the role of LPA/LPAR1 signaling in the EMT of tubular cells as well as the underlying mechanisms. We observed a decrease in E-cadherin and an increase in vimentin expression levels in the kidney tubules of diabetic db/db mice, and treatment with ki16425 (LPAR1/3 inhibitor) inhibited the expression of these EMT markers. Ki16425 treatment also decreased the expression levels of the fibrotic factors fibronectin and alpha-smooth muscle actin (α-SMA) in db/db mice. Similarly, we found that LPA decreased E-cadherin expression and increased vimentin expression in HK-2 cells, which was reversed by treatment with ki16425 or AM095 (LPAR1 inhibitor). In addition, the expression levels of fibronectin and α-SMA were increased by LPA, and this effect was reversed by treatment with ki16425 and AM095 or by LPAR1 knockdown. Moreover, LPA induced the expression of the transcription factor, Krüppel-like factor 5 (KLF5), which was decreased by AM095 treatment or LPAR1 knockdown. The expression levels of EMT markers and fibrotic factors induced by LPA were decreased upon KLF5 knockdown in HK-2 cells. Inhibition of the extracellular signal-regulated kinase (ERK), c-Jun N-terminal kinase (JNK), and serine-threonine kinase (AKT) pathways decreased LPA-induced expression of KLF5 and EMT markers. In conclusion, these data suggest that LPA contributes to the pathogenesis of diabetic nephropathy by inducing EMT and renal tubular fibrosis via regulation of KLF5 through the LPAR1. Full article
(This article belongs to the Special Issue Diabetic Kidney Diseases)
Show Figures

Figure 1

13 pages, 1295 KB  
Article
Glucagon-like Peptide-1 Secretion Is Inhibited by Lysophosphatidic Acid
by Maria F. Fernandes, Michelle V. Tomczewski and Robin E. Duncan
Int. J. Mol. Sci. 2022, 23(8), 4163; https://doi.org/10.3390/ijms23084163 - 9 Apr 2022
Cited by 7 | Viewed by 3076
Abstract
Glucagon-like peptide-1 (GLP-1) potentiates glucose-stimulated insulin secretion (GSIS). While dozens of compounds stimulate GLP-1 secretion, few inhibit. Reduced GLP-1 secretion and impaired GSIS occur in chronic inflammation. Lysophosphatidic acids (LPAs) are bioactive phospholipids elevated in inflammation. The aim of this study was to [...] Read more.
Glucagon-like peptide-1 (GLP-1) potentiates glucose-stimulated insulin secretion (GSIS). While dozens of compounds stimulate GLP-1 secretion, few inhibit. Reduced GLP-1 secretion and impaired GSIS occur in chronic inflammation. Lysophosphatidic acids (LPAs) are bioactive phospholipids elevated in inflammation. The aim of this study was to test whether LPA inhibits GLP-1 secretion in vitro and in vivo. GLUTag L-cells were treated with various LPA species, with or without LPA receptor (LPAR) antagonists, and media GLP-1 levels, cellular cyclic AMP and calcium ion concentrations, and DPP4 activity levels were analyzed. Mice were injected with LPA, with or without LPAR antagonists, and serum GLP-1 and DPP4 activity were measured. GLUTag GLP-1 secretion was decreased ~70–90% by various LPAs. GLUTag expression of Lpar1, 2, and 3 was orders of magnitude higher than Lpar4, 5, and 6, implicating the former group in this effect. In agreement, inhibition of GLP-1 secretion was reversed by the LPAR1/3 antagonist Ki16425, the LPAR1 antagonists AM095 and AM966, or the LPAR2 antagonist LPA2-antagonist 1. We hypothesized involvement of Gαi-mediated LPAR activity, and found that intracellular cyclic AMP and calcium ion concentrations were decreased by LPA, but restored by Ki16425. Mouse LPA injection caused an ~50% fall in circulating GLP-1, although only LPAR1 or LPAR1/3 antagonists, but not LPAR2 antagonism, prevented this. GLUTag L-cell and mouse serum DPP4 activity was unchanged by LPA or LPAR antagonists. LPA therefore impairs GLP-1 secretion in vitro and in vivo through Gαi-coupled LPAR1/3 signaling, providing a new mechanism linking inflammation with impaired GSIS. Full article
Show Figures

Figure 1

18 pages, 2874 KB  
Article
Lysophosphatidic Acid Receptor 5 (LPA5) Knockout Ameliorates the Neuroinflammatory Response In Vivo and Modifies the Inflammatory and Metabolic Landscape of Primary Microglia In Vitro
by Lisha Joshi, Ioanna Plastira, Eva Bernhart, Helga Reicher, Zhanat Koshenov, Wolfgang F. Graier, Nemanja Vujic, Dagmar Kratky, Richard Rivera, Jerold Chun and Wolfgang Sattler
Cells 2022, 11(7), 1071; https://doi.org/10.3390/cells11071071 - 22 Mar 2022
Cited by 8 | Viewed by 4185
Abstract
Systemic inflammation induces alterations in the finely tuned micromilieu of the brain that is continuously monitored by microglia. In the CNS, these changes include increased synthesis of the bioactive lipid lysophosphatidic acid (LPA), a ligand for the six members of the LPA receptor [...] Read more.
Systemic inflammation induces alterations in the finely tuned micromilieu of the brain that is continuously monitored by microglia. In the CNS, these changes include increased synthesis of the bioactive lipid lysophosphatidic acid (LPA), a ligand for the six members of the LPA receptor family (LPA1-6). In mouse and human microglia, LPA5 belongs to a set of receptors that cooperatively detect danger signals in the brain. Engagement of LPA5 by LPA polarizes microglia toward a pro-inflammatory phenotype. Therefore, we studied the consequences of global LPA5 knockout (-/-) on neuroinflammatory parameters in a mouse endotoxemia model and in primary microglia exposed to LPA in vitro. A single endotoxin injection (5 mg/kg body weight) resulted in lower circulating concentrations of TNFα and IL-1β and significantly reduced gene expression of IL-6 and CXCL2 in the brain of LPS-injected LPA5-/- mice. LPA5 deficiency improved sickness behavior and energy deficits produced by low-dose (1.4 mg LPS/kg body weight) chronic LPS treatment. LPA5-/- microglia secreted lower concentrations of pro-inflammatory cyto-/chemokines in response to LPA and showed higher maximal mitochondrial respiration under basal and LPA-activated conditions, further accompanied by lower lactate release, decreased NADPH and GSH synthesis, and inhibited NO production. Collectively, our data suggest that LPA5 promotes neuroinflammation by transmiting pro-inflammatory signals during endotoxemia through microglial activation induced by LPA. Full article
(This article belongs to the Special Issue Modulating Microglia to Restore Brain Health)
Show Figures

Graphical abstract

16 pages, 98831 KB  
Article
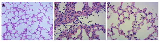
Anti-Inflammatory, Antioxidant, and Antifibrotic Effects of Gingival-Derived MSCs on Bleomycin-Induced Pulmonary Fibrosis in Mice
by Xishuai Wang, Shiyu Zhao, Junhui Lai, Weijun Guan and Yang Gao
Int. J. Mol. Sci. 2022, 23(1), 99; https://doi.org/10.3390/ijms23010099 - 22 Dec 2021
Cited by 36 | Viewed by 5588
Abstract
Background: Mesenchymal stem cell (MSC) intervention has been associated with lung protection. We attempted to determine whether mouse gingival-derived mesenchymal stem cells (GMSCs) could protect against bleomycin-induced pulmonary fibrosis. Methods: Mice were divided into three groups: control (Con), bleomycin (Bl), and bleomycin + [...] Read more.
Background: Mesenchymal stem cell (MSC) intervention has been associated with lung protection. We attempted to determine whether mouse gingival-derived mesenchymal stem cells (GMSCs) could protect against bleomycin-induced pulmonary fibrosis. Methods: Mice were divided into three groups: control (Con), bleomycin (Bl), and bleomycin + MSCs (Bl + MSCs). Mice were treated with 5 mg/kg bleomycin via transtracheal instillation to induce pulmonary fibrosis. We assessed the following parameters: histopathological severity of injury in the lung, liver, kidney, and aortic tissues; the degree of pulmonary fibrosis; pulmonary inflammation; pulmonary oedema; profibrotic factor levels in bronchoalveolar lavage fluid (BALF) and lung tissue; oxidative stress-related indicators and apoptotic index in lung tissue; and gene expression levels of IL-1β, IL-8, TNF-α, lysophosphatidic acid (LPA), lysophosphatidic acid receptor 1 (LPA1), TGF-β, matrix metalloproteinase 9 (MMP-9), neutrophil elastase (NE), MPO, and IL-10 in lung tissue. Results: GMSC intervention attenuated bleomycin-induced pulmonary fibrosis, pulmonary inflammation, pulmonary oedema, and apoptosis. Bleomycin instillation notably increased expression levels of the IL-1β, IL-8, TNF-α, LPA, LPA1, TGF-β, MMP-9, NE, and MPO genes and attenuated expression levels of the IL-10 gene in lung tissue, and these effects were reversed by GMSC intervention. Bleomycin instillation notably upregulated MDA and MPO levels and downregulated GSH and SOD levels in lung tissue, and these effects were reversed by GMSC intervention. GMSC intervention prevented upregulation of neutrophil content in the lung, liver, and kidney tissues and the apoptotic index in lung tissue. Conclusions: GMSC intervention exhibits anti-inflammatory and antioxidant capacities. Deleterious accumulation of neutrophils, which is reduced by GMSC intervention, is a key component of bleomycin-induced pulmonary fibrosis. GMSC intervention impairs bleomycin-induced NE, MMP-9, LPA, APL1, and TGF-β release. Full article
(This article belongs to the Section Molecular Biology)
Show Figures

Figure 1

22 pages, 3553 KB  
Article
Inhibition of Autotaxin and Lysophosphatidic Acid Receptor 5 Attenuates Neuroinflammation in LPS-Activated BV-2 Microglia and a Mouse Endotoxemia Model
by Lisha Joshi, Ioanna Plastira, Eva Bernhart, Helga Reicher, Alexander Triebl, Harald C. Köfeler and Wolfgang Sattler
Int. J. Mol. Sci. 2021, 22(16), 8519; https://doi.org/10.3390/ijms22168519 - 7 Aug 2021
Cited by 16 | Viewed by 4409
Abstract
Increasing evidence suggests that systemic inflammation triggers a neuroinflammatory response that involves sustained microglia activation. This response has deleterious consequences on memory and learning capability in experimental animal models and in patients. However, the mechanisms connecting systemic inflammation and microglia activation remain poorly [...] Read more.
Increasing evidence suggests that systemic inflammation triggers a neuroinflammatory response that involves sustained microglia activation. This response has deleterious consequences on memory and learning capability in experimental animal models and in patients. However, the mechanisms connecting systemic inflammation and microglia activation remain poorly understood. Here, we identify the autotaxin (ATX)/lysophosphatidic acid (LPA)/LPA-receptor axis as a potential pharmacological target to modulate the LPS-mediated neuroinflammatory response in vitro (the murine BV-2 microglia cell line) and in vivo (C57BL/6J mice receiving a single i.p. LPS injection). In LPS-stimulated (20 ng/mL) BV-2 cells, we observed increased phosphorylation of transcription factors (STAT1, p65, and c-Jun) that are known to induce a proinflammatory microglia phenotype. LPS upregulated ATX, TLR4, and COX2 expression, amplified NO production, increased neurotoxicity of microglia conditioned medium, and augmented cyto-/chemokine concentrations in the cellular supernatants. PF8380 (a type I ATX inhibitor, used at 10 and 1 µM) and AS2717638 (an LPA5 antagonist, used at 1 and 0.1 µM) attenuated these proinflammatory responses, at non-toxic concentrations, in BV-2 cells. In vivo, we demonstrate accumulation of PF8380 in the mouse brain and an accompanying decrease in LPA concentrations. In vivo, co-injection of LPS (5 mg/kg body weight) and PF8380 (30 mg/kg body weight), or LPS/AS2717638 (10 mg/kg body weight), significantly attenuated LPS-induced iNOS, TNFα, IL-1β, IL-6, and CXCL2 mRNA expression in the mouse brain. On the protein level, PF8380 and AS2717638 significantly reduced TLR4, Iba1, GFAP and COX2 expression, as compared to LPS-only injected animals. In terms of the communication between systemic inflammation and neuroinflammation, both inhibitors significantly attenuated LPS-mediated systemic TNFα and IL-6 synthesis, while IL-1β was only reduced by PF8380. Inhibition of ATX and LPA5 may thus provide an opportunity to protect the brain from the toxic effects that are provoked by systemic endotoxemia. Full article
(This article belongs to the Special Issue Molecular, Cellular and Systemic Signature of Microglia 2.0)
Show Figures

Figure 1

12 pages, 2082 KB  
Article
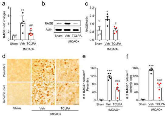
Receptor for Advanced Glycation End Products Is Involved in LPA5-Mediated Brain Damage after a Transient Ischemic Stroke
by Arjun Sapkota, Sung Jean Park and Ji Woong Choi
Life 2021, 11(2), 80; https://doi.org/10.3390/life11020080 - 22 Jan 2021
Cited by 7 | Viewed by 2995
Abstract
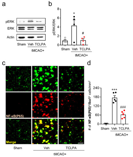
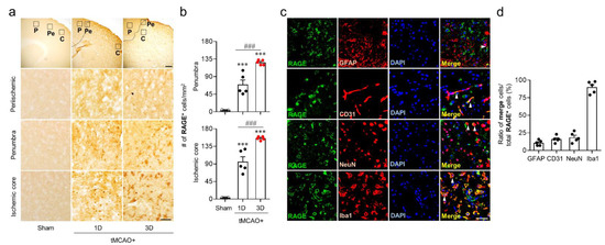
Lysophosphatidic acid receptor 5 (LPA5) has been recently identified as a novel pathogenic factor for brain ischemic stroke. However, its underlying mechanisms remain unclear. Here, we determined whether the receptor for advanced glycation end products (RAGE) could be involved in LPA [...] Read more.
Lysophosphatidic acid receptor 5 (LPA5) has been recently identified as a novel pathogenic factor for brain ischemic stroke. However, its underlying mechanisms remain unclear. Here, we determined whether the receptor for advanced glycation end products (RAGE) could be involved in LPA5-mediated brain injuries after ischemic challenge using a mouse model of transient middle cerebral artery occlusion (tMCAO). RAGE was upregulated in the penumbra and ischemic core regions after tMCAO challenge. RAGE upregulation was greater at 3 days than that at 1 day after tMCAO challenge. It was mostly observed in Iba1-immunopositive cells of a post-ischemic brain. Suppressing LPA5 activity with its antagonist, TCLPA5, attenuated RAGE upregulation in the penumbra and ischemic core regions, particularly on Iba1-immunopositive cells, of injured brains after tMCAO challenge. It also attenuated blood–brain barrier disruption, one of the core pathogenesis upon RAGE activation, after tMCAO challenge. As an underlying signaling pathways, LPA5 could contribute to the activation of ERK1/2 and NF-κB in injured brains after tMCAO challenge. Collectively, the current study suggests that RAGE is a possible mediator for LPA5-dependent ischemic brain injury. Full article
(This article belongs to the Section Pharmaceutical Science)
Show Figures

Figure 1

15 pages, 4412 KB  
Article
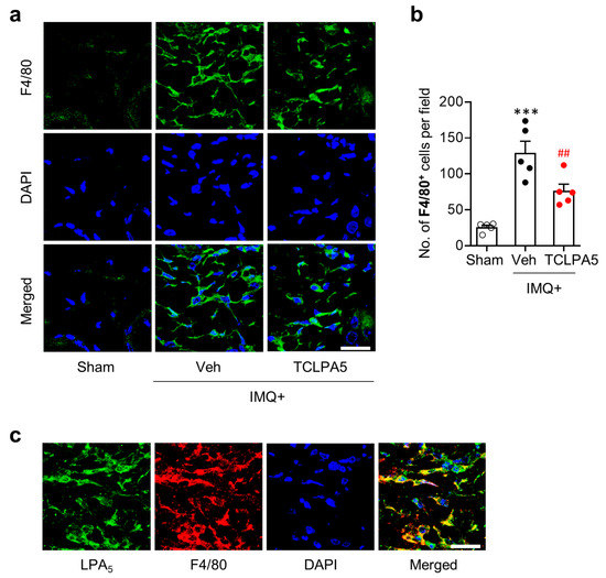
Lysophosphatidic Acid Receptor 5 Contributes to Imiquimod-Induced Psoriasis-Like Lesions through NLRP3 Inflammasome Activation in Macrophages
by Bhakta Prasad Gaire, Chi-Ho Lee, Wondong Kim, Arjun Sapkota, Do Yup Lee and Ji Woong Choi
Cells 2020, 9(8), 1753; https://doi.org/10.3390/cells9081753 - 22 Jul 2020
Cited by 34 | Viewed by 5023
Abstract
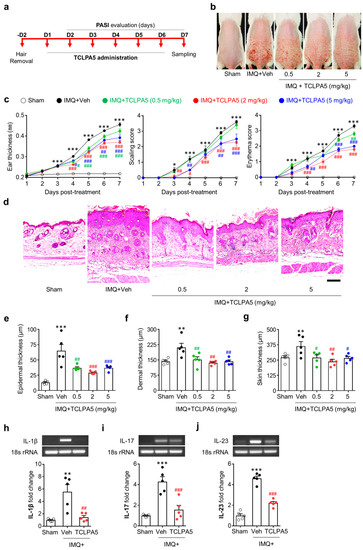
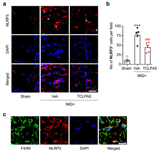
The pathogenesis of psoriasis, an immune-mediated chronic skin barrier disease, is not fully understood yet. Here, we identified lysophosphatidic acid (LPA) receptor 5 (LPA5)-mediated signaling as a novel pathogenic factor in psoriasis using an imiquimod-induced psoriasis mouse model. Amounts of most [...] Read more.
The pathogenesis of psoriasis, an immune-mediated chronic skin barrier disease, is not fully understood yet. Here, we identified lysophosphatidic acid (LPA) receptor 5 (LPA5)-mediated signaling as a novel pathogenic factor in psoriasis using an imiquimod-induced psoriasis mouse model. Amounts of most LPA species were markedly elevated in injured skin of psoriasis mice, along with LPA5 upregulation in injured skin. Suppressing the activity of LPA5 with TCLPA5, a selective LPA5 antagonist, improved psoriasis symptoms, including ear thickening, skin erythema, and skin scaling in imiquimod-challenged mice. TCLPA5 administration attenuated dermal infiltration of macrophages that were found as the major cell type for LPA5 upregulation in psoriasis lesions. Notably, TCLPA5 administration attenuated the upregulation of macrophage NLRP3 in injured skin of mice with imiquimod-induced psoriasis. This critical role of LPA5 in macrophage NLRP3 was further addressed using lipopolysaccharide-primed bone marrow-derived macrophages. LPA exposure activated NLRP3 inflammasome in lipopolysaccharide-primed cells, which was evidenced by NLRP3 upregulation, caspase-1 activation, and IL-1β maturation/secretion. This LPA-driven NLRP3 inflammasome activation in lipopolysaccharide-primed cells was significantly attenuated upon LPA5 knockdown. Overall, our findings establish a pathogenic role of LPA5 in psoriasis along with an underlying mechanism, further suggesting LPA5 antagonism as a potential strategy to treat psoriasis. Full article
Show Figures

Figure 1

18 pages, 4960 KB  
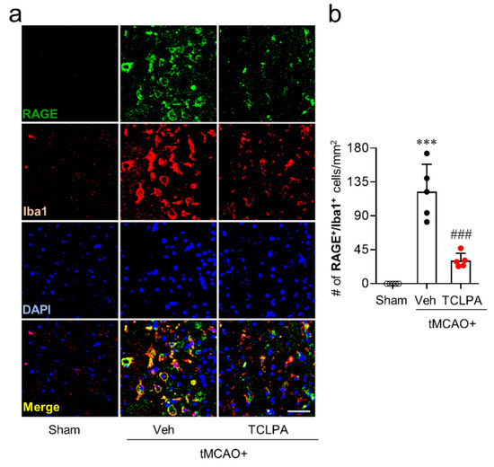
Article
Lysophosphatidic Acid Receptor 5 Plays a Pathogenic Role in Brain Damage after Focal Cerebral Ischemia by Modulating Neuroinflammatory Responses
by Arjun Sapkota, Chi-Ho Lee, Se Jin Park and Ji Woong Choi
Cells 2020, 9(6), 1446; https://doi.org/10.3390/cells9061446 - 10 Jun 2020
Cited by 24 | Viewed by 4020
Abstract
Receptor-mediated lysophosphatidic acid (LPA) signaling has come to be considered an important event for various diseases. In cerebral ischemia, LPA1 has recently been identified as a receptor subtype that mediates brain injury, but the roles of other LPA receptor subtypes remain unknown. [...] Read more.
Receptor-mediated lysophosphatidic acid (LPA) signaling has come to be considered an important event for various diseases. In cerebral ischemia, LPA1 has recently been identified as a receptor subtype that mediates brain injury, but the roles of other LPA receptor subtypes remain unknown. Here, we investigated the potential role of LPA5 as a novel pathogenic factor for cerebral ischemia using a mouse model of transient middle cerebral artery occlusion (tMCAO). LPA5 was upregulated in the ischemic core region after tMCAO challenge, particularly in activated microglia. When TCLPA5, a selective LPA5 antagonist, was given to tMCAO-challenged mice immediately after reperfusion, brain damage, including brain infarction, functional neurological deficit, and neuronal and non-neuronal apoptosis, was reduced in mice. Similarly, delayed TCLPA5 administration (at three hours after reperfusion) reduced brain infarction and neurological deficit. The histological results demonstrated that TCLPA5 administration attenuated microglial activation, as evidenced by the decreased Iba1 immunoreactivities, the number of amoeboid cells, and proliferation in an injured brain. TCLPA5 administration also attenuated the upregulation of the expression of pro-inflammatory cytokines at mRNA levels in post-ischemic brain, which was also observed in lipopolysaccharide-stimulated BV2 microglia upon LPA5 knockdown. Overall, this study identifies LPA5 as a novel pathogenic factor for cerebral ischemia, further implicating it as a promising target for drug development to treat this disease. Full article
(This article belongs to the Special Issue Molecular and Cellular Mechanisms of Cerebral Ischemia)
Show Figures

Figure 1

Back to TopTop