Sign in to use this feature.

Years

Between: -

Subjects

remove_circle_outline
remove_circle_outline
remove_circle_outline

Journals

Article Types

Countries / Regions

Search Results (7)

Search Parameters:
Keywords = iris cysts

Order results
Result details
Results per page
Select all
Export citation of selected articles as:
11 pages, 1523 KB  
Review
A Review of the Ocular Phenotype and Correlation with Genotype in Poretti–Boltshauser Syndrome
by Won Young Moon, Sanil Shah, Nervine ElMeshad and Samantha R. De Silva
Medicina 2025, 61(5), 881; https://doi.org/10.3390/medicina61050881 - 12 May 2025
Viewed by 1160
Abstract
Background and Objectives: Poretti–Boltshauser syndrome (PBS) is a rare, autosomal recessive disorder caused by pathogenic variants in the LAMA1 gene, resulting in laminin dysfunction. This manifests as a cerebellar malformation with cysts, and patients present with developmental delay and ataxia; however, ocular [...] Read more.
Background and Objectives: Poretti–Boltshauser syndrome (PBS) is a rare, autosomal recessive disorder caused by pathogenic variants in the LAMA1 gene, resulting in laminin dysfunction. This manifests as a cerebellar malformation with cysts, and patients present with developmental delay and ataxia; however, ocular features are not well-characterised. We aimed to summarise the ocular phenotypes of PBS based on cases reported in the literature. Materials and Methods: A literature search was conducted on Medline, Embase, and PubMed on PBS and its ocular associations. Genetically confirmed PBS cases were reviewed, and genotype–phenotype correlations were investigated. Results: Comprehensive reporting of genotypes and associated systemic and ocular phenotypes was available in 51 patients with PBS, who had 52 distinct variants in LAMA1. Most patients carried homozygous variants. The most common genotype was a c.2935delA homozygous mutation, followed by the c.768+1G>A; c.6701delC compound heterozygous mutation. High myopia was the most common ocular phenotype (n = 39), followed by strabismus (n = 27) and ocular motor apraxia (n = 26). A wide range of other ocular manifestations, including retinal dystrophy, retinal neovascularisation, retinal detachment, strabismus, nystagmus, optic disc and iris hypoplasia, were reported. Patients with the same genotype exhibited variable expressivity. Conclusions: PBS has a broad ocular phenotypic spectrum, and characterisation of this variability is important for making an accurate diagnosis and informing genetic counselling. Full article
(This article belongs to the Section Ophthalmology)
Show Figures

Figure 1

7 pages, 6928 KB  
Interesting Images
Unilateral Reverse Pupillary Block Associated with Multiple Ciliary Body Cysts and Pseudoexfoliative Syndrome
by Idoia Goñi Guarro, Mia Zorić Geber, Rašeljka Tadić, Renata Iveković and Zoran Vatavuk
Diagnostics 2025, 15(6), 758; https://doi.org/10.3390/diagnostics15060758 - 18 Mar 2025
Viewed by 1334
Abstract
The aim of this study is to present interesting images of a clinical case of asymmetrical bilateral ciliary body cysts associated with pseudoexfoliative syndrome (PEX), leading to unilateral reverse pupillary block and subsequent secondary angle-closure glaucoma in a 64-year-old patient who presented with [...] Read more.
The aim of this study is to present interesting images of a clinical case of asymmetrical bilateral ciliary body cysts associated with pseudoexfoliative syndrome (PEX), leading to unilateral reverse pupillary block and subsequent secondary angle-closure glaucoma in a 64-year-old patient who presented with vision loss and redness, revealing angle-closure glaucoma in the left eye. Slit lamp examination showed an asymmetrical iris configuration between the eyes, with a normal appearance in the right eye and an inverted “volcano-shape” iris appearance, corresponding to reverse pupillary block, with pseudoexfoliation in the left eye. Multimodal imaging confirmed the presence of bilateral ciliary body cysts, which were unexpectedly identified in the right eye. The patient’s secondary angle-closure glaucoma in the left eye was likely due to anterior displacement of the iris from these cysts. Following an inadequate response to topical and systemic treatments, the patient underwent trabeculectomy in the left eye, successfully stabilizing the intraocular pressure (IOP) and leading to the resolution of the reverse pupillary block. This case underscores the importance of thorough ocular examination and multimodal imaging in diagnosing complex clinical presentations like secondary angle-closure glaucoma stemming from the combination of ciliary body cysts’ pressure towards the angle, the pseudoexfoliative material component, and the reverse pupillary block configuration. All of the findings provided critical diagnostic clues leading to the identification of the underlying pathology. Full article
Show Figures

Figure 1

7 pages, 1368 KB  
Case Report
Whole Corneal Descemetocele
by Mao Kusano, Yasser Helmy Mohamed, Masafumi Uematsu, Daisuke Inoue, Kohei Harada, Diya Tang and Takashi Kitaoka
Medicina 2023, 59(10), 1780; https://doi.org/10.3390/medicina59101780 - 6 Oct 2023
Cited by 2 | Viewed by 2969
Abstract
Background and Objectives: To report a case of microbial keratitis complicated by severe corneal melting and whole corneal descemetocele. Methods: A 72-year-old male farmer presented with a right corneal ulcer involving nearly the entire cornea, which was almost completely melted down [...] Read more.
Background and Objectives: To report a case of microbial keratitis complicated by severe corneal melting and whole corneal descemetocele. Methods: A 72-year-old male farmer presented with a right corneal ulcer involving nearly the entire cornea, which was almost completely melted down with the remaining Descemet’s membrane (DM). The pupil area was filled with melted necrotic material, with the intraocular lens partially protruding from the pupil and indenting the DM. Corneal optical coherence tomography (OCT) examination revealed a corneal thickness of 37 µm that was attached to its back surface, with the iris and a part of the intraocular lens (IOL) protruding through the pupil. The patient was hospitalized and treated with local and systemic antibiotics until control of the inflammation was achieved. Corneoscleral transplantation plus excision/transplantation of the corneal limbus were performed, and the entire corneal limbus was lamellarly incised. After completely suturing all around the transplanted corneoscleral graft, the anterior chamber was formed. Postoperative treatment included local antibiotics, anti-inflammatory drugs, and cycloplegic drops. Results: There was no recurrence of infection, and the corneal epithelium gradually regenerated and covered the whole graft. Visual acuity was light perception at 6 months after the surgery. The patient was satisfied that the globe was preserved and did not wish to undergo any further treatment. Conclusions: Corneoscleral transplantation is preferred for the treatment of large-sized descemetoceles with active microbial keratitis and extensive infiltrates, especially in cases where the whole cornea has transformed into a large cyst. Full article
(This article belongs to the Section Ophthalmology)
Show Figures

Figure 1

10 pages, 1485 KB  
Article
IRIS—Intelligent Rapid Interactive Segmentation for Measuring Liver Cyst Volumes in Autosomal Dominant Polycystic Kidney Disease
by Collin Li, Dominick Romano, Sophie J. Wang, Hang Zhang, Martin R. Prince and Yi Wang
Tomography 2022, 8(1), 447-456; https://doi.org/10.3390/tomography8010037 - 9 Feb 2022
Cited by 3 | Viewed by 3792
Abstract
Purpose: To develop and integrate interactive features with automatic methods for accurate liver cyst segmentation in patients with autosomal dominant polycystic kidney and liver disease (ADPKD). Methods: SmartClick and antiSmartClick were developed using iterative region growth guided by spatial and intensity connections and [...] Read more.
Purpose: To develop and integrate interactive features with automatic methods for accurate liver cyst segmentation in patients with autosomal dominant polycystic kidney and liver disease (ADPKD). Methods: SmartClick and antiSmartClick were developed using iterative region growth guided by spatial and intensity connections and were integrated with automated level set (LS) segmentation and graphical user interface, forming an intelligent rapid interactive segmentation (IRIS) tool. IRIS and LS segmentations of liver cysts on T2 weighted images of patients with ADPKD (n = 17) were compared with manual segmentation as ground truth (GT). Results: Compared to manual GT, IRIS reduced the segmentation time by more than 10-fold. Compared to automated LS, IRIS reduced the mean liver cyst volume error from 42.22% to 13.44% (p < 0.001). IRIS segmentation agreed well with manual GT (79% dice score and 99% intraclass correlation coefficient). Conclusion: IRIS is feasible for fast, accurate liver cyst segmentation in patients with ADPKD. Full article
Show Figures

Figure 1

12 pages, 851 KB  
Article
Expanding the Clinical Phenotype of 19q Interstitial Deletions: A New Case with 19q13.32-q13.33 Deletion and Short Review of the Literature
by Elena-Silvia Shelby, Michael Morris, Liliana Pădure, Andrada Mirea, Relu Cocoș, Alexandru Cărămizaru, Simona Șerban-Sosoi, Andrei Pîrvu and Ioana Streață
Genes 2022, 13(2), 212; https://doi.org/10.3390/genes13020212 - 24 Jan 2022
Cited by 2 | Viewed by 5085
Abstract
19q13 microdeletion syndrome is a very rare genetic disease characterized by pre- and postnatal growth retardation, intellectual disability, expressive language impairment, ectodermal dysplasia, and slender habitus. Since the description of the first case in 1998, less than 30 cases have been reported worldwide. [...] Read more.
19q13 microdeletion syndrome is a very rare genetic disease characterized by pre- and postnatal growth retardation, intellectual disability, expressive language impairment, ectodermal dysplasia, and slender habitus. Since the description of the first case in 1998, less than 30 cases have been reported worldwide. This article aims to review the knowledge gathered so far on this subject and to present the case of a 10-year-old girl admitted to the National University Center for Children Neurorehabilitation “Dr. Nicolae Robanescu” in November of 2018 who presented a slender habitus, growth retardation, facial dysmorphism, skeletal abnormalities, and ectodermal dysplasia. Array-CGH analysis revealed a 1.53 Mb deletion in the 19q13.32-q13.33 region. MLPA for the FKRP gene revealed that the microdeletion was de novo. The patient’s phenotype overlapped with the clinical features of 19q13 microdeletion syndrome. To our knowledge, this is the first case of 19q13 microdeletion syndrome to ever be reported in Romania. We believe our case presents additional features that have never been previously reported in this syndrome, namely, dilatation of the third ventricle and subependymal cyst, left iris coloboma, and tracheomalacia. Moreover, unlike the other 19q13 microdeletion cases that presented with dystonia, our patient also presented dystonia but, interestingly, without having haploinsufficiency of the KMT2B gene. Full article
(This article belongs to the Section Molecular Genetics and Genomics)
Show Figures

Figure 1

9 pages, 2323 KB  
Article
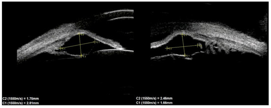
Clinical Features of Iris Cysts in Long-Term Follow-Up
by Joanna Konopińska, Łukasz Lisowski, Zofia Mariak and Iwona Obuchowska
J. Clin. Med. 2021, 10(2), 189; https://doi.org/10.3390/jcm10020189 - 7 Jan 2021
Cited by 4 | Viewed by 3811
Abstract
This study evaluated the characteristics and clinical course of patients with iris cysts in the long-term follow-up (24–48 months). We retrospectively analyzed the medical records of 39 patients with iris cysts (27 women and 12 men). Age, visual acuity, intraocular pressure (IOP), slit-lamp [...] Read more.
This study evaluated the characteristics and clinical course of patients with iris cysts in the long-term follow-up (24–48 months). We retrospectively analyzed the medical records of 39 patients with iris cysts (27 women and 12 men). Age, visual acuity, intraocular pressure (IOP), slit-lamp evaluation, and ultrasound biomicroscopy images were assessed. The mean age at diagnosis was 40.6 ± 17.48 years. Thirty (76.9%) cysts were peripheral, five (12.8%) were located at the pupillary margin, two (5.1%) were midzonal, and two (5.1%) were multichamber cysts extending from the periphery to the pupillary margin. A total of 23 (59%) cysts were in the lower temporal quadrant, 11 (28.2%) were in the lower nasal quadrant, and 5 (12.8%) were in the upper nasal quadrant. Cyst size was positively correlated with patient age (rs = 0.38, p = 0.003) and negatively correlated with visual acuity (rs = −0.42, p = 0.014). Cyst growth was not observed. The only complication was an increase in IOP in three (7.7%) patients with multiple cysts. The anatomical location of the cysts cannot differentiate them from solid tumors. The vast majority of cysts are asymptomatic, do not increase in size, and do not require treatment during long-term follow-up. Full article
(This article belongs to the Section Ophthalmology)
Show Figures

Figure 1

7 pages, 786 KB  
Review
Extensive central nervous system cryptococcal disease presenting as immune reconstitution syndrome in a patient with advanced HIV: report of a case and review of management dilemmas and strategies
by Onyema Ogbuagu and Merceditas Villanueva
Infect. Dis. Rep. 2014, 6(4), 5576; https://doi.org/10.4081/idr.2014.5576 - 19 Nov 2014
Cited by 8 | Viewed by 821
Abstract
One of the complications of the use of anti-retroviral therapy (ART), immune reconstitution inflammatory syndrome (IRIS), is particularly problematic in the management of cryptococcal meningitis. We present the case of a 35- year-old male with acquired immune deficiency syndrome diagnosed with extensive central [...] Read more.
One of the complications of the use of anti-retroviral therapy (ART), immune reconstitution inflammatory syndrome (IRIS), is particularly problematic in the management of cryptococcal meningitis. We present the case of a 35- year-old male with acquired immune deficiency syndrome diagnosed with extensive central nervous system (CNS) cryptococcal disease, including meningitis and multiple intracranial cysts, diagnosed eight weeks after the initiation of ART. The patient experienced a relapsing and remitting clinical course despite repeated courses of potent antifungal therapy and aggressive management of raised intracranial pressure. This review highlights therapeutic dilemmas and strategies in the management of CNS cryptococcosis complicated with IRIS and highlights gaps in available treatment guidelines. Full article
Back to TopTop