Sign in to use this feature.

Years

Between: -

Subjects

remove_circle_outline
remove_circle_outline
remove_circle_outline
remove_circle_outline

Journals

Article Types

Countries / Regions

Search Results (9)

Search Parameters:
Keywords = electrically evoked auditory brainstem response

Order results
Result details
Results per page
Select all
Export citation of selected articles as:
12 pages, 1543 KB  
Case Report
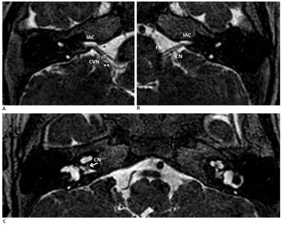
Cochlear Implantation in Narrow Duplicated Internal Auditory Canal: Case Report and Systematic Review
by Eleonora Lovati, Davide Soloperto, Michele Pellegrino, Elisabetta Genovese and Daniele Marchioni
J. Otorhinolaryngol. Hear. Balance Med. 2026, 7(1), 2; https://doi.org/10.3390/ohbm7010002 - 31 Dec 2025
Abstract
Background: Narrow duplicated internal auditory canal (IAC) is a rare congenital malformation frequently associated with severe-to-profound sensorineural hearing loss. Case Presentation: We present a one-year-old girl with bilateral narrow duplicated IAC and profound hearing loss evaluated through CT/MRI and electrically evoked auditory brainstem [...] Read more.
Background: Narrow duplicated internal auditory canal (IAC) is a rare congenital malformation frequently associated with severe-to-profound sensorineural hearing loss. Case Presentation: We present a one-year-old girl with bilateral narrow duplicated IAC and profound hearing loss evaluated through CT/MRI and electrically evoked auditory brainstem response (EABR). Methods: We conducted a systematic review (1990–2023), identifying 59 published cases of which 24 were bilateral. The mean age at diagnosis was 10.34 years, and 25 cases presented additional inner ear malformations. Only seven patients underwent cochlear implantation, and EABR was performed in four cases. Outcomes of cochlear implantation were heterogeneous. Discussion: In our case, EABR showed a reproducible wave V on the right side, supporting candidacy for cochlear implantation which led to positive early auditory responses. Conclusions: This case and review highlight the role of EABR in identifying residual cochlear nerve functionality and guiding candidacy for cochlear implantation in narrow duplicated IAC. Full article
(This article belongs to the Special Issue Etiology, Diagnosis, and Treatment of Congenital Hearing Loss)
Show Figures

Figure 1

14 pages, 1518 KB  
Article
Tympanic Pre-Operative Electrically Evoked Auditory Late Response (TympEALR) as an Alternative to Trans-Tympanic Tests Using Anesthesia in Cochlear Implant Candidacy
by Daniel Polterauer, Maike Neuling and Florian Simon
J. Clin. Med. 2024, 13(24), 7573; https://doi.org/10.3390/jcm13247573 - 12 Dec 2024
Viewed by 1837
Abstract
Background/Objectives: Before a cochlear implant is considered, patients undergo various audiological tests to assess their suitability. One key test measures the auditory brainstem response (ABR) to acoustic stimuli. However, in some cases, even with maximum sound stimulation, no response is detected. Methods [...] Read more.
Background/Objectives: Before a cochlear implant is considered, patients undergo various audiological tests to assess their suitability. One key test measures the auditory brainstem response (ABR) to acoustic stimuli. However, in some cases, even with maximum sound stimulation, no response is detected. Methods: The promontory test involves electrical stimulation near the auditory nerve, allowing patients to associate the sensation. Ideally, the electrode is placed in the middle ear after opening the eardrum. This method, along with trans-tympanic electrically evoked ABR in local anesthesia (LA-TT-EABR) and the cortical equivalent (LA-TT-EALR), helps assess the auditory nerve’s existence and excitability. The TympEALR test, utilizing a “tympanic LA-TT-EALR”, provides an alternative measurement. Previous research has shown the possibility of deriving brainstem and cortical potentials through trans-tympanic electrical stimulation, allowing for objective assessment of the auditory nerve’s integrity and potentially objectifying patient sensations. Results: Sixteen patients have been tested using TympEALR. In seven of these, we found a positive response. The morphology was similar to other electrically evoked cortical auditory responses (EALR), e.g., using cochlear implants or trans-tympanic stimulation electrodes. We observed a higher influence of electrical artifacts than in other EALRs. Conclusions: TympEALR showed positive results in nearly half of the study participants, potentially avoiding invasive procedures. TympEALR can be a valuable alternative to trans-tympanic methods. More research is needed to determine if a negative result suggests against cochlear implantation. Full article
(This article belongs to the Section Otolaryngology)
Show Figures

Figure 1

9 pages, 4575 KB  
Case Report
Cochlear Implantation in a Patient with Implanted Trigeminus Stimulator—Clinical Considerations for Using Two Different Electrical Stimulators in the Same Patient and Our Results
by Daniel Polterauer, Maike Neuling, Sophia Stoecklein and Joachim Mueller
J. Otorhinolaryngol. Hear. Balance Med. 2024, 5(1), 2; https://doi.org/10.3390/ohbm5010002 - 31 Jan 2024
Cited by 1 | Viewed by 2661
Abstract
Implantation of two electrical stimulators of different cranial nerves in one patient is rare. We report the case of a forty-seven-year-old patient already implanted with a trigeminus nerve stimulator. In addition, this patient suffered from hearing problems. In one ear, the patient was [...] Read more.
Implantation of two electrical stimulators of different cranial nerves in one patient is rare. We report the case of a forty-seven-year-old patient already implanted with a trigeminus nerve stimulator. In addition, this patient suffered from hearing problems. In one ear, the patient was deaf. On the other side, the patient wore a bone conduction hearing aid to improve hearing. In this complex situation, we decided to check the possibility of cochlear implantation on the deaf side. Finally, we managed to provide electrical stimulation of the auditory pathway of the deaf ear to improve the patient’s hearing tests. In addition, this case report shows how the trigeminus stimulator interferes with the electrical stimulation in auditory evoked potentials measurement of the auditory brainstem and cortex via EABR (evoked auditory brainstem response) resp. EALR (evoked auditory late response). Full article
Show Figures

Figure 1

10 pages, 272 KB  
Article
The Effects of Stimulus Repetition Rate on Electrically Evoked Auditory Brainstem Potentials in Postlingually Deafened Adult Cochlear Implant Recipients
by Oliver C. Dziemba, Tina Brzoska, Thomas Hocke and Friedrich Ihler
J. Clin. Med. 2023, 12(22), 7188; https://doi.org/10.3390/jcm12227188 - 20 Nov 2023
Cited by 1 | Viewed by 1834
Abstract
Background: By using outcome prediction scores, it is possible to distinguish between good and poor performers with cochlear implants (CI) after CI implantation. The reasons for poor performance, despite good basic conditions, can be manifold. On the one hand, the postoperative fitting may [...] Read more.
Background: By using outcome prediction scores, it is possible to distinguish between good and poor performers with cochlear implants (CI) after CI implantation. The reasons for poor performance, despite good basic conditions, can be manifold. On the one hand, the postoperative fitting may be inadequate; on the other, neurophysiological disease processes may impair speech understanding with a CI. These disease processes are not yet fully understood. In acoustics, it is known that the auditory brainstem responses (ABR) and their latencies and amplitudes allow differential diagnosis based on reference values for normal-hearing individuals. The aim of this study was to provide reference values for electrically evoked brainstem responses (EABRs) in terms of rate-dependent latencies and amplitudes. Methods: 20 ears of 18 experienced adult CI recipients with a predicted and measured good postoperative word recognition score were recruited from the clinic’s patient pool. In the same stimulation mode and intensity we measured latencies and interpeak-latencies of EABRs and electrically evoked compound action potentials (ECAPs). With a defined supra-threshold stimulation intensity above the individual ECAP threshold, we applied stimulation at several rates between 11 and 91 stimuli per second. Results: We found rate dependences for EABR latency t3 and t5 in the order of 0.19 ms and 0.37 ms, respectively, while ECAP was not affected by rate. Correspondingly, the interpeak intervals’ rate dependences for t5t1, t5t3 and t3t1 were of the order of 0.37 ms, 0.18 ms and 0.19 ms. Comparing the EABR amplitudes between the stimulation rates 11/s and 81/s, we found that at 81/s the amplitudes were significantly reduced down: to 73% for A3 and 81% for A5. These rate dependences of latency and amplitude in EABR have characteristics comparable to those of acoustic ABR. Conclusions: These data may serve to provide reference values for EABR and ECAP latencies, interpeak intervals and amplitudes with respect to stimulation rate. Altered response patterns of ECAPs and EABRs to normalised stimulation modes could be used in the future to describe and classify neuropathological processes in a better-differentiated way. Full article
Show Figures

Figure 1

10 pages, 247 KB  
Review
Intraoperative Cochlear Nerve Monitoring in Cochlear Implantation after Vestibular Schwannoma Resection
by Valerio Maria Di Pasquale Fiasca and Giulia Tealdo
Audiol. Res. 2023, 13(3), 398-407; https://doi.org/10.3390/audiolres13030035 - 30 May 2023
Cited by 11 | Viewed by 3120
Abstract
Background: The use of a cochlear implant (CI) for hearing rehabilitation after vestibular schwannoma (VS) resection is widely spreading. The procedure is usually performed simultaneously to tumor resection with a translabyrinthine approach. To ensure the best device function, assessing the integrity of the [...] Read more.
Background: The use of a cochlear implant (CI) for hearing rehabilitation after vestibular schwannoma (VS) resection is widely spreading. The procedure is usually performed simultaneously to tumor resection with a translabyrinthine approach. To ensure the best device function, assessing the integrity of the cochlear nerve is of primary importance. Methods: A narrative review of the literature on the present topic was carried out up to June 2022. Finally, nine studies were considered. Results: Electrically evoked auditory brainstem responses (eABR) is the most widely used method of intraoperative monitoring of cochlear nerve (CN) during VS resection, although its limits are known. It can be assessed through the CI electrode array or through an intracochlear test electrode (ITE). Variations of the graph are evaluated during the surgical procedure, in particular the wave V amplitude and latency. As tumor dissection progresses, the parameters may change, informing of the CN status, and the surgical procedure may be modulated. Conclusion: An eABR positive result seems to be reliably correlated with a good CI outcome in those cases in which a clear wave V is recorded before and after tumor removal. On the contrary, in those cases in which the eABR is lost or altered during the surgical procedure, the positioning of a CI is still debatable. Full article
(This article belongs to the Special Issue Hearing and Balance in Acoustic Neuroma)
11 pages, 1754 KB  
Article
Electrical Field Interactions during Adjacent Electrode Stimulations: eABR Evaluation in Cochlear Implant Users
by Nicolas Guevara, Eric Truy, Michel Hoen, Ruben Hermann, Clair Vandersteen and Stéphane Gallego
J. Clin. Med. 2023, 12(2), 605; https://doi.org/10.3390/jcm12020605 - 11 Jan 2023
Viewed by 2193
Abstract
The present study investigates how electrically evoked Auditory Brainstem Responses (eABRs) can be used to measure local channel interactions along cochlear implant (CI) electrode arrays. eABRs were recorded from 16 experienced CI patients in response to electrical pulse trains delivered using three stimulation [...] Read more.
The present study investigates how electrically evoked Auditory Brainstem Responses (eABRs) can be used to measure local channel interactions along cochlear implant (CI) electrode arrays. eABRs were recorded from 16 experienced CI patients in response to electrical pulse trains delivered using three stimulation configurations: (1) single electrode stimulations (E11 or E13); (2) simultaneous stimulation from two electrodes separated by one (En and En+2, E11 and E13); and (3) stimulations from three consecutive electrodes (E11, E12, and E13). Stimulation level was kept constant at 70% electrical dynamic range (EDR) on the two flanking electrodes (E11 and E13) and was varied from 0 to 100% EDR on the middle electrode (E12). We hypothesized that increasing the middle electrode stimulation level would cause increasing local electrical interactions, reflected in characteristics of the evoked compound eABR. Results show that group averaged eABR wave III and V latency and amplitude were reduced when stimulation level at the middle electrode was increased, in particular when stimulation level on E12 reached 40, 70, and 100% EDR. Compound eABRs can provide a detailed individual quantification of electrical interactions occurring at specific electrodes along the CI electrode array. This approach allows a fine determination of interactions at the single electrode level potentially informing audiological decisions regarding mapping of CI systems. Full article
(This article belongs to the Section Otolaryngology)
Show Figures

Figure 1

11 pages, 835 KB  
Article
Cochlear Implantation Following Transcanal Infrapromontorial Approach for Vestibular Schwannoma: A Case Series
by Virginia Dallari, Enrico Apa, Daniele Monzani, Elisabetta Genovese, Daniele Marchioni, Davide Soloperto and Luca Sacchetto
Audiol. Res. 2023, 13(1), 1-11; https://doi.org/10.3390/audiolres13010001 - 21 Dec 2022
Cited by 4 | Viewed by 2855
Abstract
Background: Cochlear implantation (CI) following endoscopic transcanal infrapromontorial vestibular schwannoma (VS) dissection is a feasible intervention in intracanalicular VS, with minimal extension into the cerebellopontine angle, but no audiologic results have ever been reported in the literature. Methods: From 2015 to 2021 [...] Read more.
Background: Cochlear implantation (CI) following endoscopic transcanal infrapromontorial vestibular schwannoma (VS) dissection is a feasible intervention in intracanalicular VS, with minimal extension into the cerebellopontine angle, but no audiologic results have ever been reported in the literature. Methods: From 2015 to 2021 in the Otorhynolaryngology Departments of Modena and Verona, three patients underwent this intervention. All were suffering from sporadic left-sided intracanalicular Koos I VS. Intraoperative electrically evoked auditory brainstem responses and electrophysiological measurements were performed before and after the placement of the electrode array, respectively. Since device activation one month after the surgery, each patient was followed up with audiometric tests, data logging, electrode impedance measurements and neural response telemetry performed at each scheduled fitting session at 15 days and 3, 6, 12 and 24 months. Results: Only in patient No. 3, an auditory benefit was observed and still evident even 36 months after activation. Impedances increased progressively in patient No. 1 and a benefit was never reported. Patient No. 2 left the follow-up for worsening comorbidities. Conclusions: CI following transcanal infrapromontorial VS resection is a beneficial intervention. The residual cochlear nerve after the tumour dissection and the course of electrophysiological measurements in the postoperative period were the main predictive factors for audiological outcomes. Full article
(This article belongs to the Special Issue Hearing and Balance in Acoustic Neuroma)
Show Figures

Figure 1

24 pages, 4502 KB  
Article
Development and Evaluation of Automated Tools for Auditory-Brainstem and Middle-Auditory Evoked Potentials Waves Detection and Annotation
by Ourania Manta, Michail Sarafidis, Nikolaos Vasileiou, Winfried Schlee, Christos Consoulas, Dimitris Kikidis, Evgenia Vassou, George K. Matsopoulos and Dimitrios D. Koutsouris
Brain Sci. 2022, 12(12), 1675; https://doi.org/10.3390/brainsci12121675 - 6 Dec 2022
Cited by 8 | Viewed by 7734
Abstract
Auditory evoked potentials (AEPs) are brain-derived electrical signals, following an auditory stimulus, utilised to examine any obstructions along the brain neural-pathways and to diagnose hearing impairment. The clinical evaluation of AEPs is based on the measurements of the latencies and amplitudes of waves [...] Read more.
Auditory evoked potentials (AEPs) are brain-derived electrical signals, following an auditory stimulus, utilised to examine any obstructions along the brain neural-pathways and to diagnose hearing impairment. The clinical evaluation of AEPs is based on the measurements of the latencies and amplitudes of waves of interest; hence, their identification is a prerequisite for AEP analysis. This process has proven to be complex, as it requires relevant clinical experience, and the existing software for this purpose has little practical use. The aim of this study was the development of two automated annotation tools for ABR (auditory brainstem response)- and AMLR (auditory middle latency response)-tests. After the acquisition of 1046 raw waveforms, appropriate pre-processing and implementation of a four-stage development process were performed, to define the appropriate logical conditions and steps for each algorithm. The tools’ detection and annotation results, regarding the waves of interest, were then compared to the clinicians’ manual annotation, achieving match rates of at least 93.86%, 98.51%, and 91.51% respectively, for the three ABR-waves of interest, and 93.21%, 92.25%, 83.35%, and 79.27%, respectively, for the four AMLR-waves. The application of such tools in AEP analysis is expected to assist towards an easier interpretation of these signals. Full article
(This article belongs to the Section Sensory and Motor Neuroscience)
Show Figures

Figure 1

13 pages, 2240 KB  
Article
Consecutive Treatment with Brain-Derived Neurotrophic Factor and Electrical Stimulation Has a Protective Effect on Primary Auditory Neurons
by Verena Scheper, Ira Seidel-Effenberg, Thomas Lenarz, Timo Stöver and Gerrit Paasche
Brain Sci. 2020, 10(8), 559; https://doi.org/10.3390/brainsci10080559 - 15 Aug 2020
Cited by 17 | Viewed by 3900
Abstract
Degeneration of neurons, such as the inner ear spiral ganglion neurons (SGN), may be decelerated or even stopped by neurotrophic factor treatment, such as brain-derived neurotrophic factor (BDNF), as well as electrical stimulation (ES). In a clinical setting, drug treatment of the SGN [...] Read more.
Degeneration of neurons, such as the inner ear spiral ganglion neurons (SGN), may be decelerated or even stopped by neurotrophic factor treatment, such as brain-derived neurotrophic factor (BDNF), as well as electrical stimulation (ES). In a clinical setting, drug treatment of the SGN could start directly during implantation of a cochlear implant, whereas electrical stimulation begins days to weeks later. The present study was conducted to determine the effects of consecutive BDNF and ES treatments on SGN density and electrical responsiveness. An electrode drug delivery device was implanted in guinea pigs 3 weeks after deafening and five experimental groups were established: two groups received intracochlear infusion of artificial perilymph (AP) or BDNF; two groups were treated with AP respectively BDNF in addition to ES (AP + ES, BDNF + ES); and one group received BDNF from the day of implantation until day 34 followed by ES (BDNF ⇨ ES). Electrically evoked auditory brainstem responses were recorded. After one month of treatment, the tissue was harvested and the SGN density was assessed. The results show that consecutive treatment with BDNF and ES was as successful as the simultaneous combined treatment in terms of enhanced SGN density compared to the untreated contralateral side but not in regard to the numbers of protected cells. Full article
(This article belongs to the Special Issue Brain-Derived Neurotrophic Factor in the Auditory System)
Show Figures

Figure 1

Back to TopTop