Sign in to use this feature.

Years

Between: -

Subjects

remove_circle_outline
remove_circle_outline
remove_circle_outline
remove_circle_outline
remove_circle_outline
remove_circle_outline

Journals

Article Types

Countries / Regions

Search Results (8)

Search Parameters:
Keywords = cysticidal treatment

Order results
Result details
Results per page
Select all
Export citation of selected articles as:
13 pages, 945 KB  
Article
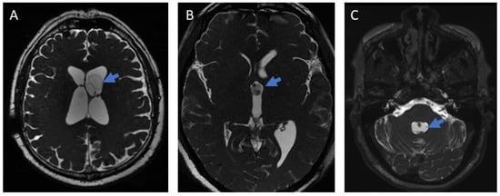
Comparison of Effectiveness Between Cysticidal and Surgical Treatments in Patients with Intraventricular Neurocysticercosis: A Single-Center Experience
by Alex Aarón Agallo-Martínez, Rebeca Ramírez-Bustamante, Polet Juárez-Ortíz, Ximena Gutiérrez-Bonilla, Sergio Moreno Jiménez, Roger Carrillo-Mezo and Agnès Fleury
Pathogens 2026, 15(1), 108; https://doi.org/10.3390/pathogens15010108 - 19 Jan 2026
Abstract
Neurocysticercosis (NCC) remains a major public health problem in endemic countries. Clinical manifestations and therapeutic strategies vary depending on the location of the parasite. While the benefits of cysticidal treatment are well established for parenchymal and subarachnoid NCC, the optimal management of intraventricular [...] Read more.
Neurocysticercosis (NCC) remains a major public health problem in endemic countries. Clinical manifestations and therapeutic strategies vary depending on the location of the parasite. While the benefits of cysticidal treatment are well established for parenchymal and subarachnoid NCC, the optimal management of intraventricular NCC (IVNCC) remains controversial. We conducted a retrospective study of 51 patients: 37 (72.54%) received cysticidal treatment as initial therapy and 14 (27.45%) underwent neurosurgical intervention. Although six months after treatment, the proportion of patients with inactive disease was higher in the surgical group, no significant difference was observed after one year. Patients in both groups showed significant improvement in functionality as measured by the Karnofsky Index (KI), with no significant difference between groups. These results are consistent with cysticidal treatment being a valid therapeutic option for IVNCC, with the choice of management largely determined by the available medical infrastructure and the degree of specialization of healthcare personnel. Full article
(This article belongs to the Section Parasitic Pathogens)
Show Figures

Figure 1

36 pages, 3121 KB  
Systematic Review
Identifying Promising Novel Compounds Against Free-Living Amoebae: A Systematic Review of In Vitro and In Vivo Studies
by Beni Jequicene Mussengue Chaúque, Thaisla Cristiane Borella da Silva, Luiza Bernardes Chagas, Letícia F. G. Kinape, Paula Eliete Rodrigues Bitencourt, Custódio José Gaspar, Alexandre Coelho Borges Cheinquer, Marilise Brittes Rott, Régis Adriel Zanette and José Roberto Goldim
Parasitologia 2025, 5(4), 56; https://doi.org/10.3390/parasitologia5040056 - 23 Oct 2025
Cited by 1 | Viewed by 1516
Abstract
The increasing global incidence of infections caused by free-living amoebae (FLA) and the lack of effective, safe, and approved treatments highlight the urgent need for novel amoebicidal compounds with pharmacological potential. Despite a growing body of literature on the anti-FLA properties of various [...] Read more.
The increasing global incidence of infections caused by free-living amoebae (FLA) and the lack of effective, safe, and approved treatments highlight the urgent need for novel amoebicidal compounds with pharmacological potential. Despite a growing body of literature on the anti-FLA properties of various compounds, comprehensive reviews summarizing this progress remain scarce. This study aimed to identify the most promising compounds tested in vitro and/or in vivo for anti-FLA activity. A systematic review was conducted, analyzing 108 studies published between 1986 and 2024, selected from an initial pool of 23,653 database results. A total of 537 compounds were evaluated for their in vitro anti-FLA activity. Compounds exhibiting ≥50% reduction in amoeba viability relative to untreated controls were classified as promising if they showed low toxicity in mammalian cell models, particularly when active at concentrations ≤ 10 µM, consistent with predicted favorable pharmacokinetic and pharmacodynamic profiles. The most promising compounds for drug and disinfectant development include ten trophocidal agents against B. mandrillaris, thirty-two trophocidal and four cysticidal agents against N. fowleri, and sixty-two trophocidal and nineteen cysticidal agents against Acanthamoeba spp. Compounds active at low concentrations (≤10 µM or <0.014 mg/mL) prioritized for in vivo drug development studies include: against Balamuthia mandrillaris, trophocidal 515, 531, 533; against Naegleria fowleri, trophocidal 421, 416, 518, 46, 254, 522, 111120 and cysticidal 16; and against Acanthamoeba spp., trophocidal 498, 499, 500, 535, 107, 347, 348, and 340. Future studies should evaluate their efficacy, safety, pharmacokinetics, and pharmacodynamics toward developing effective drugs, antiseptics, and disinfectants. Full article
Show Figures

Graphical abstract

13 pages, 600 KB  
Article
The Antimicrobial Efficacy of Amine-Containing Surfactants Against Cysts and Trophozoites of Acanthamoeba spp.
by Dharanga Ratnayake, Michael Ansah, Brian Batham, Daniel Keddie, Gavin McNee and Wayne Heaselgrave
Microorganisms 2025, 13(3), 665; https://doi.org/10.3390/microorganisms13030665 - 15 Mar 2025
Viewed by 1079
Abstract
Microbial keratitis, a vision-threatening infection commonly linked to contact lens use, poses a significant challenge, particularly when caused by Acanthamoeba species. Acanthamoeba keratitis (AK) is difficult to treat due to the organism’s ability to form resilient cysts, necessitating prolonged and complex therapeutic interventions. [...] Read more.
Microbial keratitis, a vision-threatening infection commonly linked to contact lens use, poses a significant challenge, particularly when caused by Acanthamoeba species. Acanthamoeba keratitis (AK) is difficult to treat due to the organism’s ability to form resilient cysts, necessitating prolonged and complex therapeutic interventions. This study evaluated novel amidopropyl dimethylamines (APDs) and amidopropyl quaternary trimethylammoniums (APTs) for their antimicrobial efficacy against Acanthamoeba castellanii and Acanthamoeba polyphaga cysts. Minimum effective concentrations were determined, and time–kill assays assessed microbial inactivation over 24 h. The results indicated that certain APTs, particularly elaidamidopropyl trimethylammonium (EAPT) and oleamidopropyl trimethylammonium (OAPT), demonstrated superior cysticidal activity compared to the commercially used MAPD, achieving greater log reductions within 24 h (p < 0.0001) at a concentration of 25 µM. The enhanced efficacy of these compounds is potentially attributed to their unsaturated alkyl chains and positive charge, improving antimicrobial activity through the greater disruption of the Acanthamoeba cell membrane. These findings highlight the potential of APTs as alternative agents for incorporation into multipurpose lens disinfectants and AK treatment, offering improved disinfection efficacy. Further investigation is justified to optimise formulations for clinical and commercial applications. Full article
(This article belongs to the Special Issue Advances in Acanthamoeba, Second Edition)
Show Figures

Figure 1

14 pages, 4140 KB  
Article
In Vitro Evaluation of Esters of Quinoxaline-1,4-di-N-oxide Derivatives as New Antitaeniasis Agents and Their Inhibitory Activity Against Triosephosphate Isomerase
by Francisca Palomares-Alonso, Alonzo González-González, Alma D. Paz-González, Eyra Ortiz-Pérez, Ana Verónica Martínez-Vázquez, Itzhel García-Torres, Gabriel López-Velázquez, Helgi Jung-Cook and Gildardo Rivera
Pharmaceuticals 2025, 18(3), 406; https://doi.org/10.3390/ph18030406 - 13 Mar 2025
Viewed by 1305
Abstract
Background/Objectives: Pork tapeworm Taenia solium is the causative agent of cysticercosis which may develop in muscle tissue, skin, eyes, and the central nervous system (neurocysticercosis). It is estimated by the World Health Organization (WHO) that about 2.56–8.30 million are infected worldwide. Praziquantel and [...] Read more.
Background/Objectives: Pork tapeworm Taenia solium is the causative agent of cysticercosis which may develop in muscle tissue, skin, eyes, and the central nervous system (neurocysticercosis). It is estimated by the World Health Organization (WHO) that about 2.56–8.30 million are infected worldwide. Praziquantel and albendazole are used for anthelminthic treatment of neurocysticercosis; however, not all patients have a complete elimination of cysts, which makes it necessary to seek new and improved treatment options. Methods: In this study, methyl, ethyl, n-propyl, and iso-propyl quinoxaline-7-carboxylate-1,4-di-N-oxide derivatives were evaluated in vitro against Taenia crassiceps (T. crassiceps) cysts. Additionally, to know their potential mode of action, a molecular docking analysis on T. solium triosephosphate isomerase (TsTIM) and an enzyme inactivation assay on recombinant TsTIM were carried out. Results: Nine compounds had time- and concentration-dependent cysticidal activity. Particularly, compounds TS-12, TS-19, and TS-20 (EC50 values 0.58, 1.02, and 0.80 µM, respectively) were equipotent to albendazole sulfoxide (EC50 = 0.68 µM). However, TS-12 compounds only cause a slight inhibition of TsTIM (<40% at 1000 µM), suggested that another drug target is implicated in the biological effects. Conclusions: These results demonstrated that quinoxaline 1,4-di-N-oxide is a scaffold to develop new and more potent antitaeniasis agents, although it is necessary to explore other pharmacological targets to understand their mode of action. Full article
(This article belongs to the Special Issue Drug Discovery and Development for Parasitic Diseases)
Show Figures

Graphical abstract

15 pages, 22288 KB  
Article
Iris setosa Pall. ex Link Extract Reveals Amoebicidal Activity against Acanthamoeba castellanii and Acanthamoeba polyphaga with Low Toxicity to Human Corneal Cells
by Hương Giang Lê, Buyng Su Hwang, Ji-Su Choi, Yong Tae Jeong, Jung-Mi Kang, Tuấn Cường Võ, Young Taek Oh and Byoung-Kuk Na
Microorganisms 2024, 12(8), 1658; https://doi.org/10.3390/microorganisms12081658 - 13 Aug 2024
Cited by 6 | Viewed by 1547
Abstract
Acanthamoeba keratitis (AK) is a sight-threatening and difficult-to-treat ocular infection. The significant side effects of current AK treatments highlight the urgent need to develop a safe and effective AK medication. In this study, the amoebicidal activity of Iris setosa Pall. ex Link extract [...] Read more.
Acanthamoeba keratitis (AK) is a sight-threatening and difficult-to-treat ocular infection. The significant side effects of current AK treatments highlight the urgent need to develop a safe and effective AK medication. In this study, the amoebicidal activity of Iris setosa Pall. ex Link extract (ISE) against Acanthamoeba was examined and its specific amoebicidal mechanism was explored. ISE induced significant morphological changes in Acanthamoeba trophozoites and exhibited amoebicidal activity against A. castellanii and A. polyphaga. ISE was further fractionated into five subfractions by sequential extraction with n-hexane, chloroform, ethyl acetate, n-butanol, and water, and their amoebicidal activities and underlying amoebicidal mechanisms were investigated. The n-butanol subfraction of ISE (ISE-BuOH) displayed selective amoebicidal activity against the Acanthamoeba species with minimal cytotoxicity in human corneal cells (HCE-2). ISE-BuOH triggered apoptosis-like programmed cell death (PCD) in amoebae, characterized by DNA fragmentation, increased ROS production, and caspase-3 activity elevation. ISE-BuOH also demonstrated a partial cysticidal effect against the amoeba species. ISE-BuOH could be a promising candidate in the development of therapeutic drugs for AK. Full article
(This article belongs to the Special Issue Advances in Acanthamoeba, Second Edition)
Show Figures

Figure 1

16 pages, 8057 KB  
Article
Standardizing an Experimental Murine Model of Extraparenchymal Neurocysticercosis That Immunologically Resembles Human Infection
by Alejandro Espinosa-Cerón, Alejandro Méndez, Juan Hernández-Aceves, Juan C. Juárez-González, Nelly Villalobos, Marisela Hernández, Georgina Díaz, Paola Soto, Luis Concha, Iván N. Pérez-Osorio, Juan J. Ortiz-Retana, Raúl J. Bobes, Robert M. Parkhouse, P. T. Hamamoto Filho, Gladis Fragoso and Edda Sciutto
Brain Sci. 2023, 13(7), 1021; https://doi.org/10.3390/brainsci13071021 - 1 Jul 2023
Cited by 5 | Viewed by 2939
Abstract
Background: Neurocysticercosis (NCC) is endemic in non-developed regions of the world. Two forms of NCC have been described, for which neurological morbidity depends on the location of the lesion, which can be either within the cerebral parenchyma or in extraparenchymal spaces. The extraparenchymal [...] Read more.
Background: Neurocysticercosis (NCC) is endemic in non-developed regions of the world. Two forms of NCC have been described, for which neurological morbidity depends on the location of the lesion, which can be either within the cerebral parenchyma or in extraparenchymal spaces. The extraparenchymal form (EXP-NCC) is considered the most severe form of NCC. EXP-NCC often requires several cycles of cysticidal treatment and the concomitant use of glucocorticoids to prevent increased inflammation, which could lead to intracranial hypertension and, in rare cases, to death. Thus, the improvement of EXP-NCC treatment is greatly needed. Methods: An experimental murine model of EXP-NCC, as an adequate model to evaluate new therapeutic approaches, and the parameters that support it are described. EXP-NCC was established by injecting 30 Taenia crassiceps cysticerci, which are less than 0.5 mm in diameter, into the cisterna magna of male and female Wistar rats. Results: Cyst implantation and infection progression were monitored by detecting the HP10 antigen and anti-cysticercal antibodies in the serum and cerebral spinal fluid (CSF) of infected rats and by magnetic resonance imaging. Higher HP10 levels were observed in CSF than in the sera, as in the case of human EXP-NCC. Low cell recruitment levels were observed surrounding established cysticerci in histological analysis, with a modest increase in GFAP and Iba1 expression in the parenchyma of female animals. Low cellularity in CSF and low levels of C-reactive protein are consistent with a weak inflammatory response to this infection. After 150 days of infection, EXP-NCC is accompanied by reduced levels of mononuclear cell proliferation, resembling the human disease. EXP-NCC does not affect the behavior or general status of the rats. Conclusions: This model will allow the evaluation of new approaches to control neuroinflammation and immunomodulatory treatments to restore and improve the specific anti-cysticercal immunity in EXP-NCC. Full article
(This article belongs to the Section Neuropathology)
Show Figures

Figure 1

10 pages, 2075 KB  
Article
Efficacy of Off-Label Anti-Amoebic Agents to Suppress Trophozoite Formation of Acanthamoeba spp. on Non-Nutrient Agar Escherichia Coli Plates
by Vithusan Muthukumar, Lei Shi, Ning Chai, Achim Langenbucher, Sören L. Becker, Berthold Seitz, Erika Orosz, Tanja Stachon, Albrecht F. Kiderlen, Markus Bischoff and Nóra Szentmáry
Microorganisms 2022, 10(8), 1642; https://doi.org/10.3390/microorganisms10081642 - 13 Aug 2022
Cited by 3 | Viewed by 2656
Abstract
Acanthamoeba keratitis (AK) is a dangerous infectious disease, which is associated with a high risk of blindness for the infected patient, and for which no standard therapy exists thus far. Patients suffering from AK are thus treated, out of necessity, with an off-label [...] Read more.
Acanthamoeba keratitis (AK) is a dangerous infectious disease, which is associated with a high risk of blindness for the infected patient, and for which no standard therapy exists thus far. Patients suffering from AK are thus treated, out of necessity, with an off-label therapy, using drugs designed and indicated for other diseases/purposes. Here, we tested the capability of the off-label anti-amoebic drugs chlorhexidine (CH; 0.1%), dibromopropamidine diisethionate (DD; 0.1%), hexamidine diisethionate (HD; 0.1%), miltefosine (MF; 0.0065%), natamycin (NM; 5%), polyhexamethylene biguanide (PHMB; 0.02%), povidone iodine (PVPI; 1%), and propamidine isethionate (PD; 0.1%) to suppress trophozoite formation of Acantamoeba castellanii and Acanthamoeba hatchetti cysts on non-nutrient agar Escherichia coli plates. Of the eight off-label anti-amoebic drugs tested, only PVPI allowed for a complete suppression of trophozoite formation by drug-challenged cysts for all four Acanthamoeba isolates in all five biological replicates. Drugs such as NM, PD, and PHMB repeatedly suppressed trophozoite formation with some, but not all, tested Acanthamoeba isolates, while other drugs such as CH, DD, and MF failed to exert a relevant effect on the excystation capacities of the tested Acanthamoeba isolates in most, if not all, of our repetitions. Our findings suggest that pre-testing of the AK isolate with the non-nutrient agar E. coli plate assay against the anti-amoebic drug intended for treatment should be performed to confirm that the selected drug is cysticidal for the Acanthamoeba isolate. Full article
(This article belongs to the Special Issue Acanthamoeba spp. as Factors for Severe Infectious Diseases in Humans)
Show Figures

Figure 1

9 pages, 2573 KB  
Article
Evaluation of Amebicidal and Cysticidal Activities of Antifungal Drug Isavuconazonium Sulfate against Acanthamoeba T4 Strains
by Brian Shing, Mina Balen and Anjan Debnath
Pharmaceuticals 2021, 14(12), 1294; https://doi.org/10.3390/ph14121294 - 11 Dec 2021
Cited by 8 | Viewed by 3252
Abstract
Acanthamoeba species of amebae are often associated with Acanthamoeba keratitis, a severe corneal infection. Isavuconazonium sulfate is an FDA-approved drug for the treatment of invasive aspergillosis and mucormycosis. This prodrug is metabolized into the active isavuconazole moiety. Isavuconazole was previously identified to have [...] Read more.
Acanthamoeba species of amebae are often associated with Acanthamoeba keratitis, a severe corneal infection. Isavuconazonium sulfate is an FDA-approved drug for the treatment of invasive aspergillosis and mucormycosis. This prodrug is metabolized into the active isavuconazole moiety. Isavuconazole was previously identified to have amebicidal and cysticidal activity against Acanthamoeba T4 strains, but the activity of its prodrug, isavuconazonium sulfate, against trophozoites and cysts remains unknown. Since it is not known if isavuconazonium can be metabolized into isavuconazole in the human eye, we evaluated the activities of isavuconazonium sulfate against trophozoites and cysts of three T4 genotype strains of Acanthamoeba. Isavuconazonium displayed amebicidal activity at nanomolar concentrations as low as 1.4 nM and prevented excystation of cysts at concentrations as low as 136 μM. We also investigated the cysticidal activity of isavuconazonium sulfate in combination with a currently used amebicidal drug polyhexamethylene biguanide (PHMB). Although combination of isavuconazonium with PHMB did not elicit an obvious synergistic cysticidal activity, the combination did not cause an antagonistic effect on the cysts of Acanthamoeba T4 strains. Collectively, these findings suggest isavuconazonium retains potency against Acanthamoeba T4 strains and could be adapted for Acanthamoeba keratitis treatment. Full article
Show Figures

Figure 1

Back to TopTop