Sign in to use this feature.

Years

Between: -

Subjects

remove_circle_outline
remove_circle_outline
remove_circle_outline
remove_circle_outline

Journals

Article Types

Countries / Regions

Search Results (10)

Search Parameters:
Keywords = bilaterally balanced occlusion

Order results
Result details
Results per page
Select all
Export citation of selected articles as:
3 pages, 332 KB  
Interesting Images
Bilateral Tuberculum Sextum of Maxillary Permanent First Molar
by Mrunali Prashant Deshkar, Yash Naik, Ramakrishna Yeluri, Nilima Thosar, Monika Khubchandani and Meenal Pande
Diagnostics 2025, 15(2), 134; https://doi.org/10.3390/diagnostics15020134 - 8 Jan 2025
Viewed by 1023
Abstract
The human tooth’s morphology, which includes variations in cusp numbers and patterns, is of tremendous interest to anthropologists, morphologists, and dentists. Cusp 6 is an additional cusp that is very seldom encountered in primary or permanent mandibular molars, especially first molars. A supernumerary [...] Read more.
The human tooth’s morphology, which includes variations in cusp numbers and patterns, is of tremendous interest to anthropologists, morphologists, and dentists. Cusp 6 is an additional cusp that is very seldom encountered in primary or permanent mandibular molars, especially first molars. A supernumerary cusp located lingual to the distobuccal cusp at the crown’s distal border is cusp 6. According to the literature, cusp 6 is also known by other anthropologic designations, such as “Tuberculum Sextum” or “Entoconulid”. This case offers a unique instance of a bilateral tuberculum sextum in the maxillary permanent first molars, characterized by an additional cusp on the lingual surface. The patient, an adolescent, exhibited no associated symptoms. Early detection of such dental anomalies is essential for treatment planning, particularly in maintaining occlusal balance and preventing future complications. Regular monitoring is necessary to manage a bilateral tuberculum sextum in order to avoid enamel fractures and occlusal interference. To preserve functional occlusion and avoid problems, prophylactic sealants or selective grinding may be taken into consideration. This report highlights the importance of recognizing a tuberculum sextum for proper clinical management. Full article
(This article belongs to the Section Medical Imaging and Theranostics)
Show Figures

Figure 1

12 pages, 599 KB  
Systematic Review
Three-Dimensional Mandibular Condyle Remodeling Post-Orthognathic Surgery: A Systematic Review
by Zygimantas Petronis, Audra Janovskiene, Jan Pavel Rokicki and Dainius Razukevicius
Medicina 2024, 60(10), 1683; https://doi.org/10.3390/medicina60101683 - 14 Oct 2024
Cited by 3 | Viewed by 3748
Abstract
Background and Objectives: The most popular surgical procedures among orthognathic surgeries for Class II and III patients are Le Fort 1 osteotomy for the maxilla and bilateral sagittal split ramus osteotomy (BSSRO) for the mandible. Keeping the condyle in its proper place during [...] Read more.
Background and Objectives: The most popular surgical procedures among orthognathic surgeries for Class II and III patients are Le Fort 1 osteotomy for the maxilla and bilateral sagittal split ramus osteotomy (BSSRO) for the mandible. Keeping the condyle in its proper place during fixation is one of the difficulties of orthognathic surgery. One of the worst post-orthognathic surgery consequences in the temporomandibular joint (TMJ) area may be condylar resorption. Condylar remodeling refers to a group of processes that occur in reaction to forces and stress placed on the temporomandibular joint in order to preserve morphological, functional, and occlusal balance. A systematic review of the literature was performed with the aim of identifying the mandibular condylar component of TMJ changes after orthognathic surgery in class II and III patients. Materials and Methods: An electronic search was carried out using the PubMed, Cochrane Library, and Google Scholar, databases. The inclusion criteria included trials in non-growing patients upon whom orthognathic surgery was performed due to Angle II or Angle III classes malocclusion; in addition, a CT or cone beam computed tomography (CBCT) scan was performed before and after surgery to track the mandibular condylar component of TMJ changes. The quality of the studies was evaluated by two independent authors. The risk of bias was assessed by using the Downs and Black checklist. Results: The electronic and manual literature search yielded 12 studies that fulfilled all necessary inclusion criteria. Observed studies were evaluated as good (3), fair (8), and poor (1) quality. Two studies evaluated class II patients, six studies observed class III patients, and four studies were comparative. Most of the studies evaluated condyle angle and space changes, and the condylar surface and volume changes were also observed. However, the methodology of evaluation in the publications differs. Conclusions: Reduction of bone density, especially in class II patients, and morphological condyle reshaping, with the apposition of the bone, is the main adaptive mechanism after orthognathic surgery. However, all of the studies we examined were conducted using different methods of evaluation, measurement, and reference points. Full article
(This article belongs to the Section Dentistry and Oral Health)
Show Figures

Figure 1

11 pages, 236 KB  
Article
The Influence of Occlusion Type on Oral Health-Related Quality of Life in Patients with Complete Dentures—Lingualized vs. Bilaterally Balanced Occlusion
by Nancy Poljak, Ivan Kovačić, Nikola Petričević, Antonija Tadin and Marisa Klančnik
J. Pers. Med. 2024, 14(9), 921; https://doi.org/10.3390/jpm14090921 - 29 Aug 2024
Cited by 1 | Viewed by 1860
Abstract
Objective: This randomized, single-blind controlled study aimed to investigate the QoL and satisfaction of patients wearing complete dentures with lingualized (LO) and bilaterally balanced occlusion (BBO). Participants were stratified based on their prior experience with complete dentures. Methods: The study involved 131 complete [...] Read more.
Objective: This randomized, single-blind controlled study aimed to investigate the QoL and satisfaction of patients wearing complete dentures with lingualized (LO) and bilaterally balanced occlusion (BBO). Participants were stratified based on their prior experience with complete dentures. Methods: The study involved 131 complete denture wearers who were categorized into four groups: G1—first-time prosthesis wearers treated with LO (n = 33); G2—first-time prosthesis wearers treated with BBO (n = 31); G3—participants with prior prosthesis experience treated with LO (n = 34); G4—participants with prior prosthesis experience treated with BBO (n = 33). After wearing the prosthesis for one month, all participants completed the Oral Health Impact Profile (OHIP-14) questionnaire. A statistical analysis was conducted using the χ2 test, Kruskal–Wallis analysis and Mann–Whitney test, with significance determined at p < 0.05. Results: After dividing the respondents into two groups, a statistically significant difference was observed in the distribution of scores for three questions related to oral pain severity, anxiety, and difficulty relaxing. However, the distribution of scores for all other questions did not show a statistically significant difference between the groups studied (p < 0.05). The total OHIP-14 score was also not statistically different (z = 0.469; p = 0.639). However, when respondents were divided into four groups, the median score for first-time denture wearers was 3.9 points higher in respondents who received dentures with BBO compared to those with LO (p < 0.001). Furthermore, the median score for first-time denture wearers who received BBO was higher than for those in the second group who received BBO (p = 0.013). Conclusion: Patients wearing complete dentures for the first time demonstrated significantly higher satisfaction with the LO scheme compared to the BBO scheme. In contrast, satisfaction levels between occlusal schemes did not significantly differ among patients with prior denture-wearing experience. Novice denture wearers reported heightened sensations of oral discomfort, anxiety, and difficulty relaxing regardless of the occlusal scheme compared to experienced wearers, likely due to the unrealistic expectations that first-time wearers often have about complete dentures. Full article
(This article belongs to the Section Personalized Therapy and Drug Delivery)
24 pages, 10159 KB  
Article
Trigeminal Stimulation and Visuospatial Performance: The Struggle between Chewing and Trigeminal Asymmetries
by Maria Paola Tramonti Fantozzi, Vincenzo De Cicco, Paola d’Ascanio, Enrico Cataldo, Davide De Cicco, Luca Bruschini, Massimo Barresi, Ugo Faraguna and Diego Manzoni
Biomedicines 2023, 11(8), 2307; https://doi.org/10.3390/biomedicines11082307 - 19 Aug 2023
Cited by 1 | Viewed by 1614
Abstract
Chewing improves visuospatial performance through locus coeruleus (LC) activation. The effects of bilateral and unilateral mastication were investigated in subjects showing different degrees of asymmetry in masseter electromyographic (EMG) activity during clenching and in pupil size at rest (anisocoria), which is a proxy [...] Read more.
Chewing improves visuospatial performance through locus coeruleus (LC) activation. The effects of bilateral and unilateral mastication were investigated in subjects showing different degrees of asymmetry in masseter electromyographic (EMG) activity during clenching and in pupil size at rest (anisocoria), which is a proxy of LC imbalance. Correlations between performance changes and asymmetry values were found in males, but not in females. Among males, subjects with low asymmetry values (balanced-BAL) were more sensitive than those with high asymmetry values (imbalanced-IMB) to bilateral and unilateral chewing on the side with higher EMG activity (hypertonic). The opposite was true for hypotonic side chewing. BAL subjects were sensitive to unilateral chewing on both sides, while in IMB subjects, hypertonic side chewing did not influence performance in either males or females. Bilateral chewing elicited larger effects in BAL subjects than in IMB subjects, exceeding the values predicted from unilateral chewing in both groups. Finally, pupil size and anisocoria changes elicited by chewing were correlated with asymmetry values, independent of sex. Data confirmed the facilitation of visuospatial performance exerted by chewing. Trigeminal asymmetries modulate the chewing effects, making occlusal rebalancing an appropriate strategy to improve performance. Full article
(This article belongs to the Special Issue State-of-the-Art Research in Trigeminal Nerve Stimulation)
Show Figures

Figure 1

14 pages, 3622 KB  
Case Report
Substantial Improvements in Facial Morphology through Surgical-Orthodontic Treatment: A Case Report and Literature Review
by Luminița Ligia Vaida, Bianca Maria Negruțiu, Irina Nicoleta Zetu, Abel Emanuel Moca and Simion Bran
Medicina 2022, 58(8), 1043; https://doi.org/10.3390/medicina58081043 - 3 Aug 2022
Cited by 3 | Viewed by 7106
Abstract
Background and Objectives: The long face type is associated with excessive vertical facial growth and most often with anterior open bite. In many cases of anterior open bite of high severity associated with bimaxillary dento-alveolar protrusion, lips are unable to form an [...] Read more.
Background and Objectives: The long face type is associated with excessive vertical facial growth and most often with anterior open bite. In many cases of anterior open bite of high severity associated with bimaxillary dento-alveolar protrusion, lips are unable to form an adequate seal at rest. This leads to many issues, including facial dysmorphism. The aim of this study was to describe the case of a 15 year old girl who addressed the orthodontist in November 2015, having complaints related to the skeletal and dental open bite. Case Description: A 15.7 year old patient required a consultation with the orthodontic service for impaired dento-facial aesthetics at rest, smile and speech due to an exaggerated superior protrusion of the upper frontal teeth, labial incompetence with excessive gingival exposure at rest and smile associated with upper and lower anterior teeth crowding. The orthodontic diagnostic consisted of skeletal open bite with a hyperleptoprosop morphological facial type, high degree of hyperdivergence, bimaxillary dento-alveolar protrusion, 7 mm skeletal open-bite, 3 mm vertical inocclusion of the anterior teeth, skeletal class II relationships, bilateral half cusp class II molar and canine relationships, labial incompetence, highly increased interlabial gap, facial asymmetry, excessive gingival exposure of 7 mm at smiling and bimaxillary anterior crowding. Because the patient initially refused orthognathic surgery, prior to starting the orthodontic treatment, the patient was recommended to receive a bilateral extraction of the first upper premolars. Key objectives of pre-surgical orthodontic treatment were to achieve a retroclined position of the upper incisors under their normal inclination for the planned upward maxillary rotation, to maintain slightly lower incisor proclination. The orthognathic surgery consisted of Le Fort I impaction osteotomy with 8 mm anterior impactation, bilateral sagittal split osteotomy, and mandibular repositioning using occlusal splint. Conclusions: At the end of the orthodontic-surgical treatment, the patient presented significant improvement in dento-facial aesthetics, and optimal skeletal, muscular and dental balance. Full article
(This article belongs to the Special Issue Advances in Interdisciplinary Research in Medicine and Dentistry)
Show Figures

Figure 1

16 pages, 6479 KB  
Article
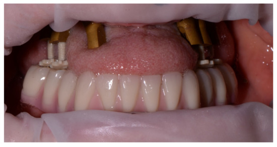
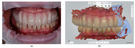
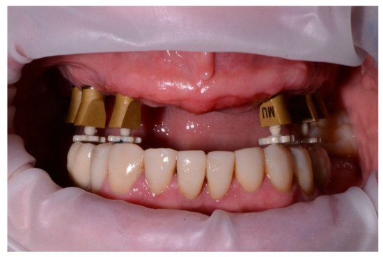
Reliability and Time Efficiency of Digital vs. Analog Bite Registration Technique for the Manufacture of Full-Arch Fixed Implant Prostheses
by Philippe Nuytens, Rani D’haese and Stefan Vandeweghe
J. Clin. Med. 2022, 11(10), 2882; https://doi.org/10.3390/jcm11102882 - 19 May 2022
Cited by 11 | Viewed by 6453
Abstract
Objective: Information about full-digital protocols for bite registration with intraoral scanners on multiple implants in the edentulous jaw is scarce. The purpose of this comparative in vivo study was to investigate the reliability and time efficiency of a novel full-digital bite registration technique [...] Read more.
Objective: Information about full-digital protocols for bite registration with intraoral scanners on multiple implants in the edentulous jaw is scarce. The purpose of this comparative in vivo study was to investigate the reliability and time efficiency of a novel full-digital bite registration technique for the manufacture of full-arch maxillary fixed implant prostheses. Material and methods: In ten patients, a full-arch maxillary fixed implant prosthesis was manufactured on multi-unit abutment level through an analog prosthetic workflow. The bite registration was performed with use of a screw-retained polymethyl methacrylate (PMMA) verification jig with detachable wax rim. To articulate the definitive edentulous maxillary implant cast in centric relation at the appropriate occlusal vertical dimension (OVD) to the mandibular antagonist cast, a type II articulator (Artex, Amann Girrbach) was used. Three to six months later, a full-digital bite registration was performed with use of dual-function scan bodies and bilateral connected bite pillars. The bite pillars screwed into the scan bodies were used to adjust and articulate the edentulous maxillary implant arch to the mandibular antagonist arch at the defined OVD. Treatment time for analog and digital bite registration technique was measured in each patient. The reliability of the digital bite registration technique was evaluated by 3D comparison of two sets of stereo lithographic (STL) files obtained from each patient. The three-dimensional deviation was defined along the X-, Y- and Z-axes (Geomagic Control X, 3D Systems Inc., Rock Hill, SC, USA). Results: The treatment time for digital bite registration using dual-function scan bodies and bite pillars was significantly shorter than analog bite registration with verification jig and wax rim (60.30%, SD 5.72%). Minor differences between the two techniques were observed with a linear deviation range of 1115 µm (SD 668 µm) overall, 46.2 µm (SD 731.3 µm) along the X-axis, −200.3 µm (SD 744.3 µm) along the Y-axis and 67.1 µm (SD 752.2 µm) along the Z-axis. Bilateral balanced contacts were registered in all patients during full-digital bite registration. Conclusions: The novel digital bite registration technique with dual-function scan bodies and bite pillars allows for a full-digital workflow for full-arch implant supported restorations. The digital bite workflow was 60% faster, and the overall deviation was around 1 mm, which can be considered clinically acceptable. Full article
(This article belongs to the Section Dentistry, Oral Surgery and Oral Medicine)
Show Figures

Figure 1

9 pages, 3015 KB  
Case Report
Oral Function Rehabilitation with the Simplified Lauritzen Clinical Remount Technique in a Patient with Bimaxillary Alveolar Exostoses: A Case Report
by Chi-Hsiang Cheng, Ikiru Atsuta, Yuki Egashira, Kiyoshi Koyano and Yasunori Ayukawa
Healthcare 2022, 10(4), 682; https://doi.org/10.3390/healthcare10040682 - 5 Apr 2022
Cited by 2 | Viewed by 3465
Abstract
This case report describes a 70 year-old man with IVA lung cancer who required oral function rehabilitation by fabricating dentures with a simplified clinical remount technique. A pair of dentures were fabricated for a 70-year-old man with stage IVA lung cancer. Due to [...] Read more.
This case report describes a 70 year-old man with IVA lung cancer who required oral function rehabilitation by fabricating dentures with a simplified clinical remount technique. A pair of dentures were fabricated for a 70-year-old man with stage IVA lung cancer. Due to severe bimaxillary exostoses, the dentures could not properly extend and achieve a peripheral seal. The treatment philosophy was to stabilize the dentures and achieve proper function with optimized occlusion. The simplified Lauritzen clinical remount technique was performed at the time of denture delivery and 3 months later. After the second clinical remount procedure, the patient was able to eat meals with the dentures and maintained in a stable condition. Compared with the original technique, the simplified Lauritzen clinical remount omits the facebow transfer and keeps the condylar guidance setting and the Bennett angle unchanged during the adjustment. The prostheses are mounted to a type 3, non-arcon type articulator with anterior stop screws attached to the bilateral condylar parts. With the aid of anterior stop screws, the eccentric movement of dentures can be differentiated on a millimeter scale and balanced easily. It is effective to use occlusal-optimized dentures and the clinical remount technique, especially in difficult cases. Full article
(This article belongs to the Special Issue Oral Rehabilitation from Oral and Dental Diseases)
Show Figures

Figure 1

11 pages, 1110 KB  
Article
Delta Sleep-Inducing Peptide Recovers Motor Function in SD Rats after Focal Stroke
by Elena A. Tukhovskaya, Alina M. Ismailova, Elvira R. Shaykhutdinova, Gulsara A. Slashcheva, Igor A. Prudchenko, Inessa I. Mikhaleva, Oksana N. Khokhlova, Arkady N. Murashev and Vadim T. Ivanov
Molecules 2021, 26(17), 5173; https://doi.org/10.3390/molecules26175173 - 26 Aug 2021
Cited by 1 | Viewed by 8872
Abstract
Background and Objectives: Mutual effect of the preliminary and therapeutic intranasal treatment of SD rats with DSIP (8 days) on the outcome of focal stroke, induced with intraluminal middle cerebral occlusion (MCAO), was investigated. Materials and Methods: The groups were the [...] Read more.
Background and Objectives: Mutual effect of the preliminary and therapeutic intranasal treatment of SD rats with DSIP (8 days) on the outcome of focal stroke, induced with intraluminal middle cerebral occlusion (MCAO), was investigated. Materials and Methods: The groups were the following: MCAO + vehicle, MCAO + DSIP, and SHAM-operated. DSIP or vehicle was applied nasally 60 (±15) minutes prior to the occlusion and for 7 days after reperfusion at dose 120 µg/kg. The battery of behavioral tests was performed on 1, 3, 7, 14, and 21 days after MCAO. Motor coordination and balance and bilateral asymmetry were tested. At the end of the study, animals were euthanized, and their brains were perfused, serial cryoslices were made, and infarction volume in them was calculated. Results: Although brain infarction in DSIP-treated animals was smaller than in vehicle-treated animals, the difference was not significant. However, motor performance in the rotarod test significantly recovered in DSIP-treated animals. Conclusions: Intranasal administration of DSIP in the course of 8 days leads to accelerated recovery of motor functions. Full article
(This article belongs to the Special Issue Bioactive Peptides and Proteins)
Show Figures

Figure 1

14 pages, 1466 KB  
Systematic Review
Comparison of Canine-Guided Occlusion with Other Occlusal Schemes in Removable Complete Dentures: A Systematic Review
by Naseer Ahmed, Muhammad Anas Humayun, Maria Shakoor Abbasi, Nafij Bin Jamayet, Syed Rashid Habib and Muhammad Sohail Zafar
Prosthesis 2021, 3(1), 85-98; https://doi.org/10.3390/prosthesis3010009 - 11 Mar 2021
Cited by 13 | Viewed by 9103
Abstract
Choosing an adequate occlusion is challenging during the construction of artificial dentures, and critical for patient satisfaction. However, there is no conclusive evidence to support which occlusal design is more appropriate. The aim of this systematic review was to evaluate canine-guided occlusion in [...] Read more.
Choosing an adequate occlusion is challenging during the construction of artificial dentures, and critical for patient satisfaction. However, there is no conclusive evidence to support which occlusal design is more appropriate. The aim of this systematic review was to evaluate canine-guided occlusion in comparison to other occlusal schemes in removable complete denture wearers. The review was conducted according to the Preferred Reported Items for Systematic Review and Meta-Analysis (PRISMA) guidelines. An extensive search was carried out on (PubMed (National Library of Medicine)), Scopus (Elsevier), Cochrane collaboration (Wiley), Science Direct (Elsevier) and Europe PMC (European Bioinformatics Institute). English and non-English studies were identified using keywords on canine-guided occlusion, denture occlusion, dental occlusion and artificial occlusal schemes. Out of 1759 articles searched, 18 were selected based on the inclusion criteria. The included studies were interpreted for the descriptive analysis for the calculation of occlusal schemes, occlusion assessment parameters, the outcome of the occlusal schemes and types of removable prosthesis used. The systematic analysis of occlusal schemes revealed that canine-guided occlusion is viable compared with other occlusal designs in terms of patient satisfaction, mastication, retention, esthetics, phonetics, oral-health-related quality of life and muscle activity. The type of occlusal scheme influences the complete denture patient’s’ masticatory efficiency, satisfaction, retention, phonetics and esthetics. Nevertheless, physical, physiological, mechanical and psychological factors play a vital role in the success of removable complete dentures. The canine-guided occlusal scheme is preferred because of its simplicity, less time consumption, good masticatory performance, ease of fabrication and modification into bilateral balanced occlusion if required. Further studies are required to reduce the controversies related to jaw relations, gnathology and occlusal schemes in complete dentures. Full article
Show Figures

Figure 1

8 pages, 447 KB  
Article
Bilateral Mandibular Condylysis from Systemic Sclerosis: Case Report of Surgical Correction with Bilateral Total Temporomandibular Joint Replacement
by Jean-Charles Doucet and Archie D. Morrison
Craniomaxillofac. Trauma Reconstr. 2011, 4(1), 11-18; https://doi.org/10.1055/s-0031-1272904 - 22 Feb 2011
Cited by 13 | Viewed by 199
Abstract
Systemic sclerosis (SSc) is a multisystem connective tissue disease of unknown etiology. The hallmark of SSc is scleroderma, referring to the presence of thickened, hardened skin. Oral and maxillofacial manifestations of the disease are numerous including masklike appearance, trismus, muscular atrophy, thin atrophied [...] Read more.
Systemic sclerosis (SSc) is a multisystem connective tissue disease of unknown etiology. The hallmark of SSc is scleroderma, referring to the presence of thickened, hardened skin. Oral and maxillofacial manifestations of the disease are numerous including masklike appearance, trismus, muscular atrophy, thin atrophied lips, secondary microstomia, xerostomia, rigidity of tongue and lips, widening of the periodontal ligament space, trigeminal neuralgia, and resorption of the mandible. A 35-year-old woman with limited cutaneous SSc presented with bilateral mandibular condylysis, severe class II mandibular deficiency, and large anterior open bite and limited range of mandibular opening at 27 mm. Surgical correction consisted of bilateral total temporomandibular joint reconstruction with stock prostheses combined with Le Fort I maxillary impaction and functional advancement genioplasty. This resulted in a functional occlusion with elimination of her open bite and a more esthetic profile. Her occlusion has remained stable at 7 months. The incidence of mandibular resorption in SSc has been found to be 20% to 33%. The mandibular angles are most commonly involved (37.6%), followed by the condyle (20.8%), coronoid process (20.0%), and the posterior border of the ascending ramus (14.4%). Bilateral condylysis is present in 13.7% of the cases. Very few cases of surgical correction of malocclusion induced by SSc-related condylysis have been reported in the literature. To the best of our knowledge, this is the first case report of bilateral condylysis from SSc where surgical replacement of the resorbed condyles was attempted. Bilateral total temporomandibular joint replacement can give these patients a functional occlusion, improved facial balance, and improved quality of life. Full article
Show Figures

Figure 1

Back to TopTop