Sign in to use this feature.

Years

Between: -

Subjects

remove_circle_outline
remove_circle_outline
remove_circle_outline
remove_circle_outline
remove_circle_outline
remove_circle_outline

Journals

Article Types

Countries / Regions

Search Results (4)

Search Parameters:
Keywords = LpqG

Order results
Result details
Results per page
Select all
Export citation of selected articles as:
21 pages, 3306 KB  
Article
An Approach for Selecting the Most Explanatory Features for Facial Expression Recognition
by Pedro D. Marrero-Fernandez, Jose M. Buades-Rubio, Antoni Jaume-i-Capó and Tsang Ing Ren
Appl. Sci. 2022, 12(11), 5637; https://doi.org/10.3390/app12115637 - 1 Jun 2022
Viewed by 2405
Abstract
The objective of this work is to analyze which features are most important in the recognition of facial expressions. To achieve this, we built a facial expression recognition system that learns from a controlled capture data set. The system uses different representations and [...] Read more.
The objective of this work is to analyze which features are most important in the recognition of facial expressions. To achieve this, we built a facial expression recognition system that learns from a controlled capture data set. The system uses different representations and combines them from a learned model. We studied the most important features by applying different feature extraction methods for facial expression representation, transforming each obtained representation into a sparse representation (SR) domain, and trained combination models to classify signals, using the extended Cohn–Kanade (CK+), BU-3DFE, and JAFFE data sets for validation. We compared 14 combination methods for 247 possible combinations of eight different feature spaces and obtained the most explanatory features for each facial expression. The results indicate that the LPQ (83%), HOG (82%), and RAW (82%) features are those features most able to improve the classification of expressions and that some features apply specifically to one expression (e.g., RAW for neutral, LPQ for angry and happy, LBP for disgust, and HOG for surprise). Full article
(This article belongs to the Special Issue Research on Facial Expression Recognition)
Show Figures

Figure 1

13 pages, 1366 KB  
Article
Drug-Target Interaction Prediction Based on Drug Fingerprint Information and Protein Sequence
by Yang Li, Yu-An Huang, Zhu-Hong You, Li-Ping Li and Zheng Wang
Molecules 2019, 24(16), 2999; https://doi.org/10.3390/molecules24162999 - 19 Aug 2019
Cited by 30 | Viewed by 4428
Abstract
The identification of drug-target interactions (DTIs) is a critical step in drug development. Experimental methods that are based on clinical trials to discover DTIs are time-consuming, expensive, and challenging. Therefore, as complementary to it, developing new computational methods for predicting novel DTI is [...] Read more.
The identification of drug-target interactions (DTIs) is a critical step in drug development. Experimental methods that are based on clinical trials to discover DTIs are time-consuming, expensive, and challenging. Therefore, as complementary to it, developing new computational methods for predicting novel DTI is of great significance with regards to saving cost and shortening the development period. In this paper, we present a novel computational model for predicting DTIs, which uses the sequence information of proteins and a rotation forest classifier. Specifically, all of the target protein sequences are first converted to a position-specific scoring matrix (PSSM) to retain evolutionary information. We then use local phase quantization (LPQ) descriptors to extract evolutionary information in the PSSM. On the other hand, substructure fingerprint information is utilized to extract the features of the drug. We finally combine the features of drugs and protein together to represent features of each drug-target pair and use a rotation forest classifier to calculate the scores of interaction possibility, for a global DTI prediction. The experimental results indicate that the proposed model is effective, achieving average accuracies of 89.15%, 86.01%, 82.20%, and 71.67% on four datasets (i.e., enzyme, ion channel, G protein-coupled receptors (GPCR), and nuclear receptor), respectively. In addition, we compared the prediction performance of the rotation forest classifier with another popular classifier, support vector machine, on the same dataset. Several types of methods previously proposed are also implemented on the same datasets for performance comparison. The comparison results demonstrate the superiority of the proposed method to the others. We anticipate that the proposed method can be used as an effective tool for predicting drug-target interactions on a large scale, given the information of protein sequences and drug fingerprints. Full article
Show Figures

Figure 1

15 pages, 3438 KB  
Article
Proteomic Analysis of Antigen 60 Complex of M. bovis Bacillus Calmette-Guérin Reveals Presence of Extracellular Vesicle Proteins and Predicted Functional Interactions
by Khayriyyah Mohd Hanafiah, Norsyahida Arifin, Paul R. Sanders, Nurulhasanah Othman, Mary L. Garcia and David A. Anderson
Vaccines 2019, 7(3), 80; https://doi.org/10.3390/vaccines7030080 - 2 Aug 2019
Cited by 5 | Viewed by 3955
Abstract
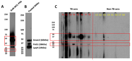
Tuberculosis (TB) is ranked among the top 10 causes of death worldwide. New biomarker-based serodiagnostics and vaccines are unmet needs stalling disease control. Antigen 60 (A60) is a thermostable mycobacterial complex typically purified from Bacillus Calmette-Guérin (BCG) vaccine. A60 was historically evaluated for [...] Read more.
Tuberculosis (TB) is ranked among the top 10 causes of death worldwide. New biomarker-based serodiagnostics and vaccines are unmet needs stalling disease control. Antigen 60 (A60) is a thermostable mycobacterial complex typically purified from Bacillus Calmette-Guérin (BCG) vaccine. A60 was historically evaluated for TB serodiagnostic and vaccine potential with variable findings. Despite containing immunogenic proteins, A60 has yet to be proteomically characterized. Here, commercial A60 was (1) trypsin-digested in-solution, analyzed by LC-MS/MS, searched against M. tuberculosis H37Rv and M.bovis BCG Uniprot databases; (2) analyzed using STRING to predict protein–protein interactions; and (3) probed with anti-TB monoclonal antibodies and patient immunoglobulin G (IgG) on Western blot to evaluate antigenicity. We detected 778 proteins in two A60 samples (440 proteins shared), including DnaK, LprG, LpqH, and GroEL1/2, reportedly present in mycobacterial extracellular vesicles (EV). Of these, 107 were also reported in EVs of M. tuberculosis, and 27 key proteins had significant protein–protein interaction, with clustering for chaperonins, ribosomal proteins, and proteins for ligand transport (LpqH and LprG). On Western blot, 7/8 TB and 1/8 non-TB sera samples had reactivity against 37–50 kDa proteins, while LpqH, GroEL2, and PstS1 were strongly detected. In conclusion, A60 comprises numerous proteins, including EV proteins, with predicted biological interactions, which may have implications on biomarker and vaccine development. Full article
Show Figures

Figure 1

16 pages, 2562 KB  
Article
Mycobacterium tuberculosis H37Rv LpqG Protein Peptides Can Inhibit Mycobacterial Entry through Specific Interactions
by Christian David Sánchez-Barinas, Marisol Ocampo, Magnolia Vanegas, Jeimmy Johana Castañeda-Ramirez, Manuel Alfonso Patarroyo and Manuel Elkin Patarroyo
Molecules 2018, 23(3), 526; https://doi.org/10.3390/molecules23030526 - 27 Feb 2018
Cited by 6 | Viewed by 4632
Abstract
Mycobacterium tuberculosis is the causative agent of tuberculosis, a disease causing major mortality worldwide. As part of a systematic methodology for studying M. tuberculosis surface proteins which might be involved in host-pathogen interactions, our group found that LpqG surface protein (Rv3623) found in [...] Read more.
Mycobacterium tuberculosis is the causative agent of tuberculosis, a disease causing major mortality worldwide. As part of a systematic methodology for studying M. tuberculosis surface proteins which might be involved in host-pathogen interactions, our group found that LpqG surface protein (Rv3623) found in M. tuberculosis complex strains was located on the mycobacterial envelope and that peptide 16661 (21SGCDSHNSGSLGADPRQVTVY40) had high specific binding to U937 monocyte-derived macrophages and inhibited mycobacterial entry to such cells in a concentration-dependent way. A region having high specific binding to A549 alveolar epithelial cells was found which had low mycobacterial entry inhibition. As suggested in previous studies, relevant sequences in the host-pathogen interaction do not induce an immune response and peptides characterised as HABPs are poorly recognised by sera from individuals regardless of whether they have been in contact with M. tuberculosis. Our approach to designing a synthetic, multi-epitope anti-tuberculosis vaccine has been based on identifying sequences involved in different proteins’ mycobacteria-target cell interaction and modifying their sequence to improve their immunogenic characteristics, meaning that peptide 16661 sequence should be considered in such design. Full article
Show Figures

Graphical abstract

Back to TopTop