Sign in to use this feature.

Years

Between: -

Subjects

remove_circle_outline
remove_circle_outline
remove_circle_outline
remove_circle_outline
remove_circle_outline
remove_circle_outline
remove_circle_outline

Journals

Article Types

Countries / Regions

Search Results (5)

Search Parameters:
Keywords = ICON Etch

Order results
Result details
Results per page
Select all
Export citation of selected articles as:
13 pages, 1485 KB  
Article
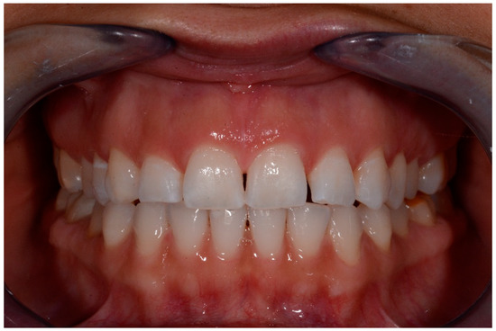
In Vitro Evaluation of the Effect of Microabrasion and Resin Infiltration Materials on Enamel Microhardness and Penetration Depth
by Elif Ercan Devrimci, İdil Gönüllü, Hande Kemaloğlu, Murat Türkün and Ayşegül Demirbaş
J. Funct. Biomater. 2026, 17(2), 67; https://doi.org/10.3390/jfb17020067 - 29 Jan 2026
Viewed by 157
Abstract
Background: This in vitro study aimed to evaluate the effect of microabrasion as a surface pretreatment and to compare an experimental resin infiltrant with a commercially available system (ICON) in terms of enamel surface microhardness recovery and resin penetration depth in artificially demineralized [...] Read more.
Background: This in vitro study aimed to evaluate the effect of microabrasion as a surface pretreatment and to compare an experimental resin infiltrant with a commercially available system (ICON) in terms of enamel surface microhardness recovery and resin penetration depth in artificially demineralized enamel lesions. Methods: Forty-eight caries-free human third molars were prepared to obtain standardized enamel specimens, and artificial enamel lesions were created using a pH-cycling model. Specimens were randomly allocated into four groups (n = 12): experimental resin with microabrasion, experimental resin without microabrasion, ICON resin with microabrasion, and ICON resin without microabrasion. When indicated, microabrasion was performed using a 6.6% hydrochloric acid paste for a total application time of 30 s, followed by standard hydrochloric acid etching as part of the infiltration protocol. Enamel surface microhardness was measured at baseline, after demineralization, and after resin infiltration. Resin penetration depth was assessed using confocal laser scanning microscopy, with six specimens per group (n = 6). Data were analyzed using repeated-measures mixed-effects models and one-way ANOVA (p < 0.05). Results: Resin infiltration resulted in a partial recovery of enamel surface microhardness following demineralization; however, baseline hardness values were not fully restored, and no statistically significant differences were observed among the study groups (p > 0.05). These findings indicate surface stabilization rather than complete mechanical or mineral restoration. The ICON resin demonstrated significantly greater penetration depth than the experimental resin. In both resin systems, microabrasion significantly increased penetration depth. Conclusions: Within the limitations of this in vitro study, resin infiltration primarily contributed to the stabilization of demineralized enamel surfaces rather than true remineralization or full mechanical recovery. Although microabrasion enhanced resin penetration depth, this effect should be interpreted with caution due to the potential for cumulative enamel loss. From a clinical perspective, these findings support the selective use of microabrasion to enhance resin infiltration in early enamel lesions with pronounced surface barriers, while emphasizing the need to balance penetration benefits against enamel preservation. Full article
(This article belongs to the Section Dental Biomaterials)
Show Figures

Figure 1

15 pages, 3311 KB  
Article
Evaluation of Infiltrant Application in the Course of Root Cementum Caries with Different Methods of Surface Preparation—An In Vitro Study
by Anna Nowak-Wachol, Anna Korytkowska-Wałach, Bartosz Chmiela, Kacper Wachol, Magdalena Wyszyńska, Maciej Łopaciński, Sayedamirreza Mostafavi, Tadeusz Morawiec and Małgorzata Skucha-Nowak
Coatings 2022, 12(5), 675; https://doi.org/10.3390/coatings12050675 - 14 May 2022
Cited by 1 | Viewed by 3876
Abstract
The aim of this study is to evaluate the depth of penetration of an experimental preparation with the characteristics of a dental infiltrant into the decalcified root cementum tissue and observation of the root cementum tissue subjected to a single and repeated twice [...] Read more.
The aim of this study is to evaluate the depth of penetration of an experimental preparation with the characteristics of a dental infiltrant into the decalcified root cementum tissue and observation of the root cementum tissue subjected to a single and repeated twice hydrochloric acid etching process. The study material consisted of 20 human teeth (the study group—12 demineralised teeth, the control group—8 teeth). A commercially available Icon preparation and an experimental preparation were used for the study with addition 2% of YF3 (yttrium trifluoride) added as an indicator to facilitate microscopic observation. Each tooth was divided into two zones, blue (Icon) and red (experimental preparation). The teeth were divided into two subgroups—in the first subgroup, the etching preparation was applied once, in the second subgroup twice, and at the end the teeth were infiltrated with the experimental preparation and the Icon preparation. The study of tooth longitudinal section morphology and chemical composition was performed with the use of a Hitachi S-3400N scanning electron microscope. Microscopic observations show that the applied YF3 tracer in most cases agglomerates and remains in the form of conglomerates on the surface of the root cementum. Single particles of YF3 are visible, penetrating through the cementum tissues into the root dentine structure. The degree of tissue infiltration with the resin (depth of penetration into decalcified tissues) is visible at a depth of approx. 80–120 μm. In the test group subjected to a single etching process, good penetration of both resins was noticeable, however, excessive erosion of the root surface was evident in several of the specimens—indicating that damage occurred as a result of the etching process. In the test group subjected to two etching processes, excessive erosion of the cementum is visible in each deposit. Full article
(This article belongs to the Special Issue Advances and Innovations in Dental Materials and Coatings)
Show Figures

Figure 1

7 pages, 2196 KB  
Article
Hypersensitivity in Molar Incisor Hypomineralization: Superficial Infiltration Treatment
by Alberto Murri Dello Diago, Milena Cadenaro, Rossana Ricchiuto, Federico Banchelli, Enrico Spinas, Vittorio Checchi and Luca Giannetti
Appl. Sci. 2021, 11(4), 1823; https://doi.org/10.3390/app11041823 - 18 Feb 2021
Cited by 16 | Viewed by 6833
Abstract
To date, there are no standardized protocols available in the literature for hypersensitivity treatment in molar incisor hypomineralization (MIH) patients. The aim of this study was to evaluate the efficacy of erosion–infiltration treatments with resin in children with a strong hypersensitivity and also [...] Read more.
To date, there are no standardized protocols available in the literature for hypersensitivity treatment in molar incisor hypomineralization (MIH) patients. The aim of this study was to evaluate the efficacy of erosion–infiltration treatments with resin in children with a strong hypersensitivity and also to develop a minimally invasive diagnostic–therapeutic pathway for young MIH patients. Patients with clinical signs of MIH were enrolled according to international guidelines. A total of 42 patients (8–14 years old) with sensitivity of at least one molar and patients with post eruptive enamel fractures, but without dentin involvement or cavitated carious lesions were selected. A single superficial infiltration treatment with ICON (DMG, Germany) was performed with a modified etching technique. Sensitivity was tested with the Schiff Scale and Wong Baker Face Scale and was repeated at 12 months follow-up. All patients reported lower sensitivity values at the end of the treatment. Significant differences of sensitivity according to the Schiff scale were reported between T0 and all subsequent follow-ups, p < 0.05. The treatment of erosion infiltration with ICON resin is a minimally invasive preventive treatment that significantly improves the problem of hypersensitivity in permanent molars with MIH. Full article
(This article belongs to the Special Issue Dental Materials: Latest Advances and Prospects)
Show Figures

Figure 1

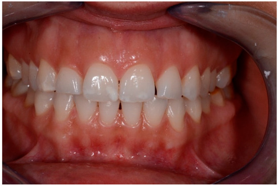
14 pages, 4918 KB  
Article
Resin Infiltration in Dental Fluorosis Treatment—1-Year Follow-Up
by Francesca Zotti, Luca Albertini, Nicolò Tomizioli, Giorgia Capocasale and Massimo Albanese
Medicina 2021, 57(1), 22; https://doi.org/10.3390/medicina57010022 - 29 Dec 2020
Cited by 27 | Viewed by 8925
Abstract
Background and Objective: Dental fluorosis is a disease affecting dental hard tissues featured with white or yellowish lesions. Several treatments are proposed in the literature, some even invasive. This clinical study aimed to evaluate the effectiveness of resin infiltration in terms of lesions [...] Read more.
Background and Objective: Dental fluorosis is a disease affecting dental hard tissues featured with white or yellowish lesions. Several treatments are proposed in the literature, some even invasive. This clinical study aimed to evaluate the effectiveness of resin infiltration in terms of lesions resolution, trend of sensitive teeth and satisfaction of patients over time. Methods and Material: 200 fluorosis lesions were treated using ICON infiltrating resin (DMG, Hamburg, Germany). Parameters related to patients were collected by a questionnaire and analyzed aesthetic dissatisfaction about lesions, Shiff Air Index Sensitive Scale, sensitive teeth after treatment, the satisfaction of duration of treatment. The same operator measured dimensions of lesions Tooth Surface Index of Fluorosis (TSIF) and numbers of etching cycles needed for treating lesions. Statistical analysis was performed. The follow-up was of 1-year a measurement were performed at baseline (t0), immediately after the treatment (t1) and every three months during the observation period. Results: All lesions disappeared after one treatment. Pain or sensitive teeth were reported inside the 72 h and they disappeared after. Statistical analysis showed highly statistically correlation between etching cycles and the dimension of lesions and TSIF at the time-points evaluated as well as for pain during treatment, whereas a statistical significance was not noticed where etching cycles were correlated to sensitive teeth after 72 h. Overall, the treatment was found to be statistically significantly associated with differences in answers of aesthetic dissatisfaction between t0 and t1 and those collected between t1 and t2. Between t2 and t3 and between t3 and t4 no statistical differences were found in answers of patients about dissatisfaction, indicating the stability of the results. Conclusions: The ICON resin infiltration technique was found to be effective in lesions resolution with steady results. Full article
(This article belongs to the Section Dentistry and Oral Health)
Show Figures

Figure 1

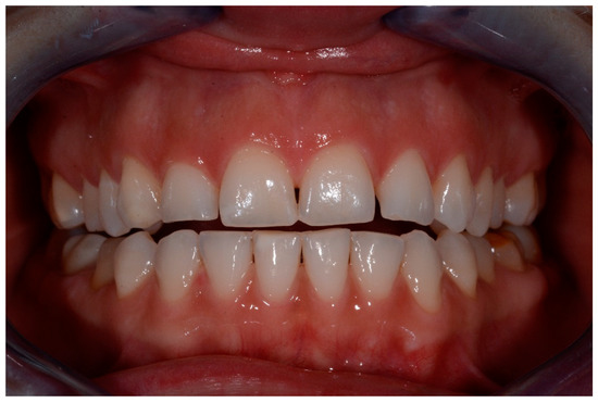
16 pages, 8725 KB  
Article
Dental Treatment of White Spots and a Description of the Technique and Digital Quantification of the Loss of Enamel Volume
by Ana Roig-Vanaclocha, María Fernanda Solá-Ruiz, Juan Luis Román-Rodríguez, José Amengual-Lorenzo, Jorge Alonso Pérez-Barquero and Rubén Agustín-Panadero
Appl. Sci. 2020, 10(12), 4369; https://doi.org/10.3390/app10124369 - 25 Jun 2020
Cited by 3 | Viewed by 9394
Abstract
The prevalence of white spots on teeth has increased in recent years. Regardless of their etiology, these lesions are characterized by a reduction in the enamel’s mineral phase, which is replaced by organic fluids. This causes an alteration of its chemical composition that [...] Read more.
The prevalence of white spots on teeth has increased in recent years. Regardless of their etiology, these lesions are characterized by a reduction in the enamel’s mineral phase, which is replaced by organic fluids. This causes an alteration of its chemical composition that affects its optical characteristics. Subsurface demineralization increases the pore volume of enamel, which in turn changes its optical refraction and results in the opaque color of white spot lesions. Here, we examined a non-invasive clinical technique used for eliminating these white spot lesions from enamel via two HCl-based products at different concentrations (6.6% and 15%). We used a digital method for evaluating the volumetric changes produced in dental enamel by the application of both products, one of which involved chemical erosion and the other, abrasive erosion. The mean volume of the enamel eliminated was −0.042 mm in 15% HCl, and −0.12 mm in 6.6% HCl. Thus, both 15% HCl and 6.6% HCl are capable of eroding the surface of the tooth enamel without reaching dentin. Moreover, 6.6% HCl produced a greater erosion of the dental enamel and left the surface a texture typical of an abrasive chemical-erosive product. The 15% HCl, however, produced an etching pattern typical of an erosive chemical with open enamel prisms prepared for subsequent adhesive procedures and restorers. Full article
(This article belongs to the Section Applied Dentistry and Oral Sciences)
Show Figures

Figure 1

Back to TopTop