Sign in to use this feature.

Years

Between: -

Subjects

remove_circle_outline
remove_circle_outline
remove_circle_outline

Journals

Article Types

Countries / Regions

Search Results (7)

Search Parameters:
Keywords = CCDC88C mutation

Order results
Result details
Results per page
Select all
Export citation of selected articles as:
10 pages, 1796 KB  
Article
Novel MAML2 Fusions in Human Malignancy
by Takefumi Komiya, Kieran Sweeney, Chao H. Huang, Anthony Crymes, Emmanuel S. Antonarakis, Andrew Elliott, Matthew J. Oberley and Mark G. Evans
Cancers 2025, 17(19), 3146; https://doi.org/10.3390/cancers17193146 - 27 Sep 2025
Abstract
Background: Oncogenic fusions of MAML2 with CRTC1, CRTC3, YAP1, and NR1D1 retain the MAML2 transactivating domain (TAD) and are believed to drive aberrant gene transcription. While the oncogenic roles of these known fusions have been established, we aimed to identify [...] Read more.
Background: Oncogenic fusions of MAML2 with CRTC1, CRTC3, YAP1, and NR1D1 retain the MAML2 transactivating domain (TAD) and are believed to drive aberrant gene transcription. While the oncogenic roles of these known fusions have been established, we aimed to identify novel MAML2 fusions across a range of human malignancies. Methods: DNA and RNA sequencing were performed on tumor samples submitted to Caris Life Sciences. MAML2 fusions were identified from RNA transcripts and filtered to include only known pathogenic fusions or recurrent, in-frame fusions containing a C-terminal MAML2 TAD. Fusion burden was defined as the number of unique fusion isoforms per sample. Results: Among 180,124 tumor samples, 143 specimens harbored MAML2 fusions with a MAML2 TAD: >50% of specimens harbored known fusions, but novel fusions with MTMR2 (31/143), SESN3 (11/143), CCDC82 (6/143), FAM76B (4/143), and ATXN3 (3/143) were also identified. Compared to the known fusions, the novel fusions generally had lower expressions (median: 8 vs. 13 junction reads/sample, p = 0.0064), higher fusion burdens (median: 6 vs. 2 unique fusion isoforms/sample, p < 0.0001), more frequent TP53 co-mutations (80% vs. 11.5%, p < 0.0001), and no clear association with the tissue of origin. Excluding ATXN3::MAML2, the novel fusion partners were located near MAML2 in the genome, likely arose from duplications or deletions, and occurred in samples harboring concurrent mutations. In contrast, ATXN3::MAML2 arose via interchromosomal translocation, occurred in samples with a low fusion burden, and was not associated with TP53 mutations. Conclusions: We identified novel MAML2 fusion partners, most of which likely represent passenger alterations, possibly arising from genomic instability or impaired p53 function. However, ATXN3::MAML2 fusions, previously reported in a pre-cancerous pancreatic disease case, may represent a pathogenic alteration warranting further investigation. Full article
(This article belongs to the Section Molecular Cancer Biology)
Show Figures

Figure 1

12 pages, 540 KB  
Article
The Genomic Landscape of Romanian Non-Small Cell Lung Cancer Patients: The Insights from Routine NGS Testing with the Oncomine Dx Target Panel at the PATHOS Molecular Pathology Laboratory
by Orsolya I. Gaal, Andrei Ungureanu, Bogdan Pop, Andreea Tomescu, Andreea Cătană, Milena Man, Ruxandra Mioara Râjnoveanu, Emanuel Palade, Marioara Simon, Stefan Dan Luchian, Milan Paul Kubelac, Annamaria Fulop, Zsolt Fekete, Tudor Eliade Ciuleanu, Ion Jentimir, Bogdan Popovici, Calin Cainap, Alexandra Cristina Preda, Cosmina Magdau, Andrei Lesan and Bogdan Feticaadd Show full author list remove Hide full author list
Cancers 2025, 17(12), 1947; https://doi.org/10.3390/cancers17121947 - 11 Jun 2025
Viewed by 1332
Abstract
Background: Comprehensive molecular profiling is essential for precision oncology in non-small cell lung cancer (NSCLC). However, genomic data from Eastern European populations, including Romania, remain limited. Methods: We analyzed 398 consecutive NSCLC cases tested at the PATHOS Molecular Pathology Laboratory (Cluj-Napoca, Romania) between [...] Read more.
Background: Comprehensive molecular profiling is essential for precision oncology in non-small cell lung cancer (NSCLC). However, genomic data from Eastern European populations, including Romania, remain limited. Methods: We analyzed 398 consecutive NSCLC cases tested at the PATHOS Molecular Pathology Laboratory (Cluj-Napoca, Romania) between April 2024 and February 2025 using the Ion Torrent™ Genexus™ System and the Oncomine™ Dx Target Test, which evaluates SNVs/indels in 46 genes, fusions in 23 genes, and CNVs in 19 genes from FFPE samples. Results: The cohort was predominantly male (66%) with a median age of 67 years. Adenocarcinoma represented 70% of cases with known histology. Genomic profiling revealed a high frequency of actionable alterations. KRAS mutations were the most common (29.1%), with p.G12C detected in 10.3% of all the cases. EGFR mutations were present in 14.3% of patients, mostly exon 19 deletions and L858R substitutions. BRAF alterations (5.3%) included both V600E and non-V600E variants. RET alterations were detected as eight missense mutations, two canonical fusions (KIF5BRET, CCDC6RET), one amplification, and three transcript imbalances. EML4-ALK fusions (1.77%), ERBB2 mutations/amplifications (3.0%), and FGFR1/FGFR3 amplifications were also observed. Conclusions: This study provides the first large-scale molecular snapshot of NSCLC in Romania. While the overall genomic profiles align with Western populations, the higher frequency of KRAS p.G12C and FGFR amplifications highlights the value of region-specific data to support targeted therapies in Eastern Europe. Full article
Show Figures

Figure 1

12 pages, 2991 KB  
Article
Functional Evidence of CCDC186 as a New Disease-Associated Gene with Endocrine and Central Nervous System Alterations
by Luisa Arrabal, Gerard Muñoz-Pujol, Inmaculada Medina Martínez, Laura Gort, Judit García-Villoria, Susana Roldán, Frederic Tort and Antonia Ribes
Int. J. Mol. Sci. 2023, 24(15), 12319; https://doi.org/10.3390/ijms241512319 - 1 Aug 2023
Cited by 2 | Viewed by 2319
Abstract
CCDC186 protein is involved in the maturation of dense-core vesicles (DCVs) in the trans-Golgi network in neurons and endocrine cells. Mutations in genes involved in DCV regulation, other than CCDC186, have been described in patients with neurodevelopmental disorders. To date, only one [...] Read more.
CCDC186 protein is involved in the maturation of dense-core vesicles (DCVs) in the trans-Golgi network in neurons and endocrine cells. Mutations in genes involved in DCV regulation, other than CCDC186, have been described in patients with neurodevelopmental disorders. To date, only one patient, within a large sequencing study of 1000 cases, and a single case report with variants in CCDC186, had previously been described. However, no functional studies in any of these two cases had been performed. We identified three patients from two gypsy families, unrelated to each other, with mutations in the CCDC186 gene. Clinically, all patients presented with seizures, frontotemporal atrophy, hypomyelination, recurrent infections, and endocrine disturbances such as severe non-ketotic hypoglycemia. Low levels of cortisol, insulin, or growth hormone could only be verified in one patient. All of them had a neonatal onset and died between 7 months and 4 years of age. Whole exome sequencing identified a homozygous variant in the CCDC186 gene (c.2215C>T, p.Arg739Ter) in the index patients of both families. Protein expression studies demonstrated that CCDC186 was almost undetectable in fibroblasts and muscle tissue. These observations correlated with the transcriptomic analysis performed in fibroblasts in one of the patients, which showed a significant reduction of CCDC186 mRNA levels. Our study provides functional evidence that mutations in this gene have a pathogenic effect on the protein and reinforces CCDC186 as a new disease-associated gene. In addition, mutations in CCDC186 could explain the combined endocrine and neurologic alterations detected in our patients. Full article
(This article belongs to the Section Molecular Endocrinology and Metabolism)
Show Figures

Figure 1

11 pages, 1794 KB  
Article
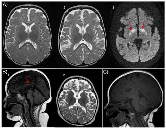
Spinocerebellar Ataxia in a Hungarian Female Patient with a Novel Variant of Unknown Significance in the CCDC88C Gene
by Fanni Annamária Boros, László Szpisjak, Renáta Bozó, Evelyn Kelemen, Dénes Zádori, András Salamon, Judit Danis, Tibor Kalmár, Zoltán Maróti, Mária Judit Molnár, Péter Klivényi, Márta Széll and Éva Ádám
Int. J. Mol. Sci. 2023, 24(3), 2617; https://doi.org/10.3390/ijms24032617 - 30 Jan 2023
Cited by 5 | Viewed by 2930
Abstract
Spinocerebellar ataxia (SCA) 40 is an extremely rare subtype of the phenotypically and genetically diverse autosomal dominant ataxias caused by mutations of the CCDC88C gene. Most reported cases of SCA40 are characterized by late-onset cerebellar ataxia and variable extrapyramidal features; however, there is [...] Read more.
Spinocerebellar ataxia (SCA) 40 is an extremely rare subtype of the phenotypically and genetically diverse autosomal dominant ataxias caused by mutations of the CCDC88C gene. Most reported cases of SCA40 are characterized by late-onset cerebellar ataxia and variable extrapyramidal features; however, there is a report of a patient with early-onset spastic paraparesis as well. Here, we describe a novel missense CCDC88C mutation (p.R203W) in the hook domain of the DAPLE protein encoded by the CCDC88C gene that was identified in a female patient who developed late-onset ataxia, dysmetria and intention tremor. To explore the molecular consequences of the newly identified and previously described CCDC88C mutations, we carried out in vitro functional tests. The CCDC88C alleles were expressed in HEK293 cells, and the impact of the mutant DAPLE protein variants on JNK pathway activation and apoptosis was assessed. Our results revealed only a small-scale activation of the JNK pathway by mutant DAPLE proteins; however, increased JNK1 phosphorylation could not be detected. Additionally, none of the examined mutations triggered proapoptotic effect. In conclusion, we identified a novel mutation of the CCDC88C gene from a patient with spinocerebellar ataxia. Our results are not in accord with previous observations and do not support the primary role of the CCDC88C mutations in induction of JNK pathway activation in ataxia. Therefore, we propose that CCDC88C mutations may exert their effects through different and possibly in much broader, yet unexplored, biological processes. Full article
(This article belongs to the Special Issue Molecular Effects of Mutations in Human Genetic Diseases 2.0)
Show Figures

Figure 1

17 pages, 13211 KB  
Article
Expression of a Truncated Form of ODAD1 Associated with an Unusually Mild Primary Ciliary Dyskinesia Phenotype
by Lawrence E. Ostrowski, Weining Yin, Amanda J. Smith, Patrick R. Sears, Ximena M. Bustamante-Marin, Hong Dang, Friedhelm Hildebrandt, Leigh Anne Daniels, Nicole A. Capps, Kelli M. Sullivan, Margaret W. Leigh, Maimoona A. Zariwala and Michael R. Knowles
Int. J. Mol. Sci. 2022, 23(3), 1753; https://doi.org/10.3390/ijms23031753 - 3 Feb 2022
Cited by 9 | Viewed by 3603
Abstract
Primary ciliary dyskinesia (PCD) is a rare lung disease caused by mutations that impair the function of motile cilia, resulting in chronic upper and lower respiratory disease, reduced fertility, and a high prevalence of situs abnormalities. The disease is genetically and phenotypically heterogeneous, [...] Read more.
Primary ciliary dyskinesia (PCD) is a rare lung disease caused by mutations that impair the function of motile cilia, resulting in chronic upper and lower respiratory disease, reduced fertility, and a high prevalence of situs abnormalities. The disease is genetically and phenotypically heterogeneous, with causative mutations in > 50 genes identified, and clinical phenotypes ranging from mild to severe. Absence of ODAD1 (CCDC114), a component of the outer dynein arm docking complex, results in a failure to assemble outer dynein arms (ODAs), mostly immotile cilia, and a typical PCD phenotype. We identified a female (now 34 years old) with an unusually mild clinical phenotype who has a homozygous non-canonical splice mutation (c.1502+5G>A) in ODAD1. To investigate the mechanism for the unusual phenotype, we performed molecular and functional studies of cultured nasal epithelial cells. We demonstrate that this splice mutation results in the expression of a truncated protein that is attached to the axoneme, indicating that the mutant protein retains partial function. This allows for the assembly of some ODAs and a significant level of ciliary activity that may result in the atypically mild clinical phenotype. The results also suggest that partial restoration of ciliary function by therapeutic agents could lead to significant improvement of disease symptoms. Full article
Show Figures

Figure 1

19 pages, 3338 KB  
Article
Mutated CCDC51 Coding for a Mitochondrial Protein, MITOK Is a Candidate Gene Defect for Autosomal Recessive Rod-Cone Dystrophy
by Christina Zeitz, Cécile Méjécase, Christelle Michiels, Christel Condroyer, Juliette Wohlschlegel, Marine Foussard, Aline Antonio, Vanessa Démontant, Lisa Emmenegger, Audrey Schalk, Marion Neuillé, Elise Orhan, Sébastien Augustin, Crystel Bonnet, Amrit Estivalet, Frédéric Blond, Steven Blanchard, Camille Andrieu, Sandra Chantot-Bastaraud, Thierry Léveillard, Saddek Mohand-Saïd, José-Alain Sahel and Isabelle Audoadd Show full author list remove Hide full author list
Int. J. Mol. Sci. 2021, 22(15), 7875; https://doi.org/10.3390/ijms22157875 - 23 Jul 2021
Cited by 6 | Viewed by 3632
Abstract
The purpose of this work was to identify the gene defect underlying a relatively mild rod-cone dystrophy (RCD), lacking disease-causing variants in known genes implicated in inherited retinal disorders (IRD), and provide transcriptomic and immunolocalization data to highlight the best candidate. The DNA [...] Read more.
The purpose of this work was to identify the gene defect underlying a relatively mild rod-cone dystrophy (RCD), lacking disease-causing variants in known genes implicated in inherited retinal disorders (IRD), and provide transcriptomic and immunolocalization data to highlight the best candidate. The DNA of the female patient originating from a consanguineous family revealed no large duplication or deletion, but several large homozygous regions. In one of these, a homozygous frameshift variant, c.244_246delins17 p.(Trp82Valfs*4); predicted to lead to a nonfunctional protein, was identified in CCDC51. CCDC51 encodes the mitochondrial coiled-coil domain containing 51 protein, also called MITOK. MITOK ablation causes mitochondrial dysfunction. Here we show for the first time that CCDC51/MITOK localizes in the retina and more specifically in the inner segments of the photoreceptors, well known to contain mitochondria. Mitochondrial proteins have previously been implicated in IRD, although usually in association with syndromic disease, unlike our present case. Together, our findings add another ultra-rare mutation implicated in non-syndromic IRD, whose pathogenic mechanism in the retina needs to be further elucidated. Full article
Show Figures

Figure 1

13 pages, 609 KB  
Review
The Genetic Architecture of Gliomagenesis–Genetic Risk Variants Linked to Specific Molecular Subtypes
by Wendy Yi-Ying Wu, Gunnar Johansson, Carl Wibom, Thomas Brännström, Annika Malmström, Roger Henriksson, Irina Golovleva, Melissa L. Bondy, Ulrika Andersson, Anna M. Dahlin and Beatrice Melin
Cancers 2019, 11(12), 2001; https://doi.org/10.3390/cancers11122001 - 12 Dec 2019
Cited by 12 | Viewed by 4457
Abstract
Genome-wide association studies have identified 25 germline genetic loci that increase the risk of glioma. The somatic tumor molecular alterations, including IDH-mutation status and 1p/19q co-deletion, have been included into the WHO 2016 classification system for glioma. To investigate how the germline [...] Read more.
Genome-wide association studies have identified 25 germline genetic loci that increase the risk of glioma. The somatic tumor molecular alterations, including IDH-mutation status and 1p/19q co-deletion, have been included into the WHO 2016 classification system for glioma. To investigate how the germline genetic risk variants correlate with the somatic molecular subtypes put forward by WHO, we performed a meta-analysis that combined findings from 330 Swedish cases and 876 controls with two other recent studies. In total, 5,103 cases and 10,915 controls were included. Three categories of associations were found. First, variants in TERT and TP53 were associated with increased risk of all glioma subtypes. Second, variants in CDKN2B-AS1, EGFR, and RTEL1 were associated with IDH-wildtype glioma. Third, variants in CCDC26 (the 8q24 locus), C2orf80 (close to IDH), LRIG1, PHLDB1, ETFA, MAML2 and ZBTB16 were associated with IDH-mutant glioma. We therefore propose three etiopathological pathways in gliomagenesis based on germline variants for future guidance of diagnosis and potential functional targets for therapies. Future prospective clinical trials of patients with suspicion of glioma diagnoses, using the genetic variants as biomarkers, are necessary to disentangle how strongly they can predict glioma diagnosis. Full article
(This article belongs to the Special Issue Tumors of the Central Nervous System: An Update)
Show Figures

Figure 1

Back to TopTop