Assessment of Intra- and Inter-observer Measurement Variability in a Radiographic Metacarpophalangeal Joint Osteophytosis Scoring System for the Horse
Abstract
1. Introduction
2. Materials and Methods
2.1. Patient Inclusion Criteria
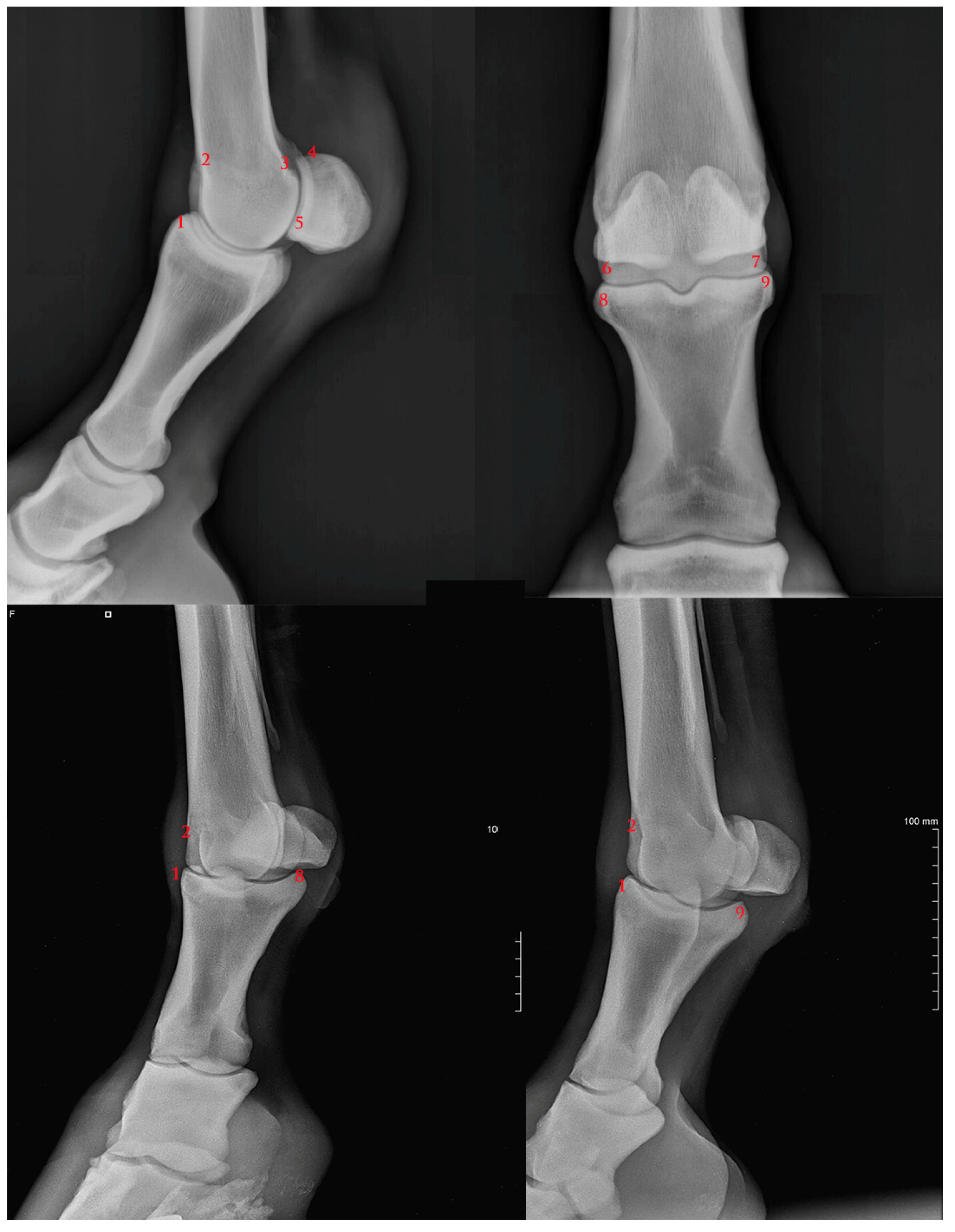
2.2. MCP Joint Osteophytes Scoring System
2.3. Observers
2.4. Statistical analysis
3. Results
3.1. Population
3.2. Intra-observer Measurements
3.3. Inter-observer Measurement
4. Discussion
5. Conclusions
Author Contributions
Funding
Conflicts of Interest
References
- Thrall, D. Textbook of Veterinary Diagnostic Radiology, 6th ed.; Saunders: Phyladelphia, PA, USA, 2012. [Google Scholar]
- Frisbie, D.D.; Ghivizzani, S.C.; Robbins, P.D.; Evans, C.H.; McIlwraith, C.W. Treatment of experimental equine osteoarthritis by in vivo delivery of the equine interleukin-1 receptor antagonist gene. Gene Ther. 2002, 9, 12–20. [Google Scholar] [CrossRef] [PubMed]
- Frisbie, D.D.; Kawcak, C.E.; Baxter, G.M.; Trotter, G.W.; Powers, B.E.; Lassen, E.D.; McIlwraith, C.W. Effects of 6alpha-methylprednisolone acetate on an equine osteochondral fragment exercise model. Am. J. Vet/Res. 1998, 59, 1619–1628. [Google Scholar]
- Frisbie, D.D.; Kawcak, C.E.; Werpy, N.M.; Park, R.D.; McIlwraith, C.W. Clinical, biochemical, and histologic effects of intra-articular administration of autologous conditioned serum in horses with experimentally induced osteoarthritis. Am. J. Vet. Res. 2007, 68, 290–296. [Google Scholar] [CrossRef] [PubMed]
- Kawcak, C.E.; Frisbie, D.D.; McIlwraith, C.W.; Werpy, N.M.; Park, R.D. Evaluation of avocado and soybean unsaponifiable extracts for treatment of horses with experimentally induced osteoarthritis. Am. J. Vet. Res. 2007, 68, 598–604. [Google Scholar] [CrossRef] [PubMed]
- Kawcak, C.E.; Frisbie, D.D.; Werpy, N.M.; Park, R.D.; McIlwraith, C.W. Effects of exercise vs. experimental osteoarthritis on imaging outcomes. Osteoarthr. Cartil. 2008, 16, 1519–1525. [Google Scholar] [CrossRef]
- Olive, J.; D’Anjou, M.A.; Alexander, K.; Laverty, S.; Theoret, C. Comparison of magnetic resonance imaging, computed tomography, and radiography for assessment of noncartilaginous changes in equine metacarpophalangeal osteoarthritis. Vet. Radiol. Ultrasound 2010, 51, 267–279. [Google Scholar] [CrossRef]
- D’Anjou, M.A.; Moreau, M.; Troncy, E.; Martel-Pelletier, J.; Abram, F.; Raynauld, J.P.; Pelletier, J.P. Osteophytosis, subchondral bone sclerosis, joint effusion and soft tissue thickening in canine experimental stifle osteoarthritis: Comparison between 1.5 T magnetic resonance imaging and computed radiography. Vet. Surg. 2008, 37, 166–177. [Google Scholar] [CrossRef]
- Gunther, K.P.; Sun, Y. Reliability of radiographic assessment in hip and knee osteoarthritis. Osteoarthr. Cartil. 1999, 7, 239–246. [Google Scholar] [CrossRef]
- Innes, J.F.; Costello, M.; Barr, F.J.; Rudorf, H.; Barr, A.R. Radiographic progression of osteoarthritis of the canine stifle joint: A prospective study. Vet. Radiol. Ultrasound 2004, 45, 143–148. [Google Scholar] [CrossRef] [PubMed]
- Rayward, R.M.; Thomson, D.G.; Davies, J.V.; Innes, J.F.; Whitelock, R.G. Progression of osteoarthritis following TPLO surgery: A prospective radiographic study of 40 dogs. J. Small Anim. Pract. 2004, 45, 92–97. [Google Scholar] [CrossRef] [PubMed]
- Roemer, F.W.; Eckstein, F.; Hayashi, D.; Guermazi, A. The role of imaging in osteoarthritis. Best Pract. Res. Clin. Rheumatol. 2014, 28, 31–60. [Google Scholar] [CrossRef] [PubMed]
- Morgan, J.P. Radiological pathology and diagnosis of degenerative joint disease in the stifle joint of the dog. J. Small Anim. Pract. 1969, 10, 541–544. [Google Scholar] [CrossRef] [PubMed]
- Wessely, M.; Bruhschwein, A.; Schnabl-Feichter, E. Evaluation of Intra- and Inter-observer Measurement Variability of a Radiographic Stifle Osteoarthritis Scoring System in Dogs. Vet. Comp. Orthop. Traumatol. 2017, 30, 377–384. [Google Scholar] [CrossRef] [PubMed]
- Junker, S.; Krumbholz, G.; Frommer, K.W.; Rehart, S.; Steinmeyer, J.; Rickert, M.; Schett, G.; Muller-Ladner, U.; Neumann, E. Differentiation of osteophyte types in osteoarthritis—Proposal of a histological classification. Jt. Bone Spine 2016, 83, 63–67. [Google Scholar] [CrossRef] [PubMed]
- van der Kraan, P.M.; van den Berg, W.B. Osteophytes: Relevance and biology. Osteoarthr. Cartil. 2007, 15, 237–244. [Google Scholar] [CrossRef] [PubMed]
- Felson, D.T.; McAlindon, T.E.; Anderson, J.J.; Naimark, A.; Weissman, B.W.; Aliabadi, P.; Evans, S.; Levy, D.; LaValley, M.P. Defining radiographic osteoarthritis for the whole knee. Osteoarthr. Cartil. 1997, 5, 241–250. [Google Scholar] [CrossRef]
- McIlwraith, C.W.; Frisbie, D.D.; Kawcak, C.E.; Fuller, C.J.; Hurtig, M.; Cruz, A. The OARSI histopathology initiative—Recommendations for histological assessments of osteoarthritis in the horse. Osteoarthr. Cartil. 2010, 18 (Suppl. 3), S93–S105. [Google Scholar] [CrossRef] [PubMed]
- Lazar, T.P.; Berry, C.R.; Dehaan, J.J.; Peck, J.N.; Correa, M. Long-term radiographic comparison of tibial plateau leveling osteotomy versus extracapsular stabilization for cranial cruciate ligament rupture in the dog. Vet. Surg. 2005, 34, 133–141. [Google Scholar] [CrossRef] [PubMed]



| Grade | Severity | Findings |
|---|---|---|
| 0 | no osteoarthritis | normal radiographic aspect |
| 1 | mild osteoarthritis | slight osteophytosis and/or slight sclerosis is observed |
| 2 | moderate osteoarthritis | sclerosis and osteophytosis appear moderate |
| 3 | severe osteoarthritis | severe sclerosis and the presence of marked osteophytes |
© 2020 by the authors. Licensee MDPI, Basel, Switzerland. This article is an open access article distributed under the terms and conditions of the Creative Commons Attribution (CC BY) license (http://creativecommons.org/licenses/by/4.0/).
Share and Cite
Lacitignola, L.; Imperante, A.; Staffieri, F.; De Siena, R.; De Luca, P.; Muci, A.; Crovace, A. Assessment of Intra- and Inter-observer Measurement Variability in a Radiographic Metacarpophalangeal Joint Osteophytosis Scoring System for the Horse. Vet. Sci. 2020, 7, 39. https://doi.org/10.3390/vetsci7020039
Lacitignola L, Imperante A, Staffieri F, De Siena R, De Luca P, Muci A, Crovace A. Assessment of Intra- and Inter-observer Measurement Variability in a Radiographic Metacarpophalangeal Joint Osteophytosis Scoring System for the Horse. Veterinary Sciences. 2020; 7(2):39. https://doi.org/10.3390/vetsci7020039
Chicago/Turabian StyleLacitignola, Luca, Annarita Imperante, Francesco Staffieri, Rocco De Siena, Pasquale De Luca, Arianna Muci, and Antonio Crovace. 2020. "Assessment of Intra- and Inter-observer Measurement Variability in a Radiographic Metacarpophalangeal Joint Osteophytosis Scoring System for the Horse" Veterinary Sciences 7, no. 2: 39. https://doi.org/10.3390/vetsci7020039
APA StyleLacitignola, L., Imperante, A., Staffieri, F., De Siena, R., De Luca, P., Muci, A., & Crovace, A. (2020). Assessment of Intra- and Inter-observer Measurement Variability in a Radiographic Metacarpophalangeal Joint Osteophytosis Scoring System for the Horse. Veterinary Sciences, 7(2), 39. https://doi.org/10.3390/vetsci7020039

