Piceatannol Exerts Anti-Obesity Effects in C57BL/6 Mice through Modulating Adipogenic Proteins and Gut Microbiota
Abstract
:1. Introduction
2. Results
2.1. Effect of Pic Supplementation on Body Weight in HFD-Fed C57BL/6 Mice
2.2. Effect of Pic Supplementation on Adipose Tissue Weight in HFD-Fed C57BL/6 Mice
2.3. Effect of Pic Supplementation on Adipocyte Size in HFD-Fed C57BL/6 Mice
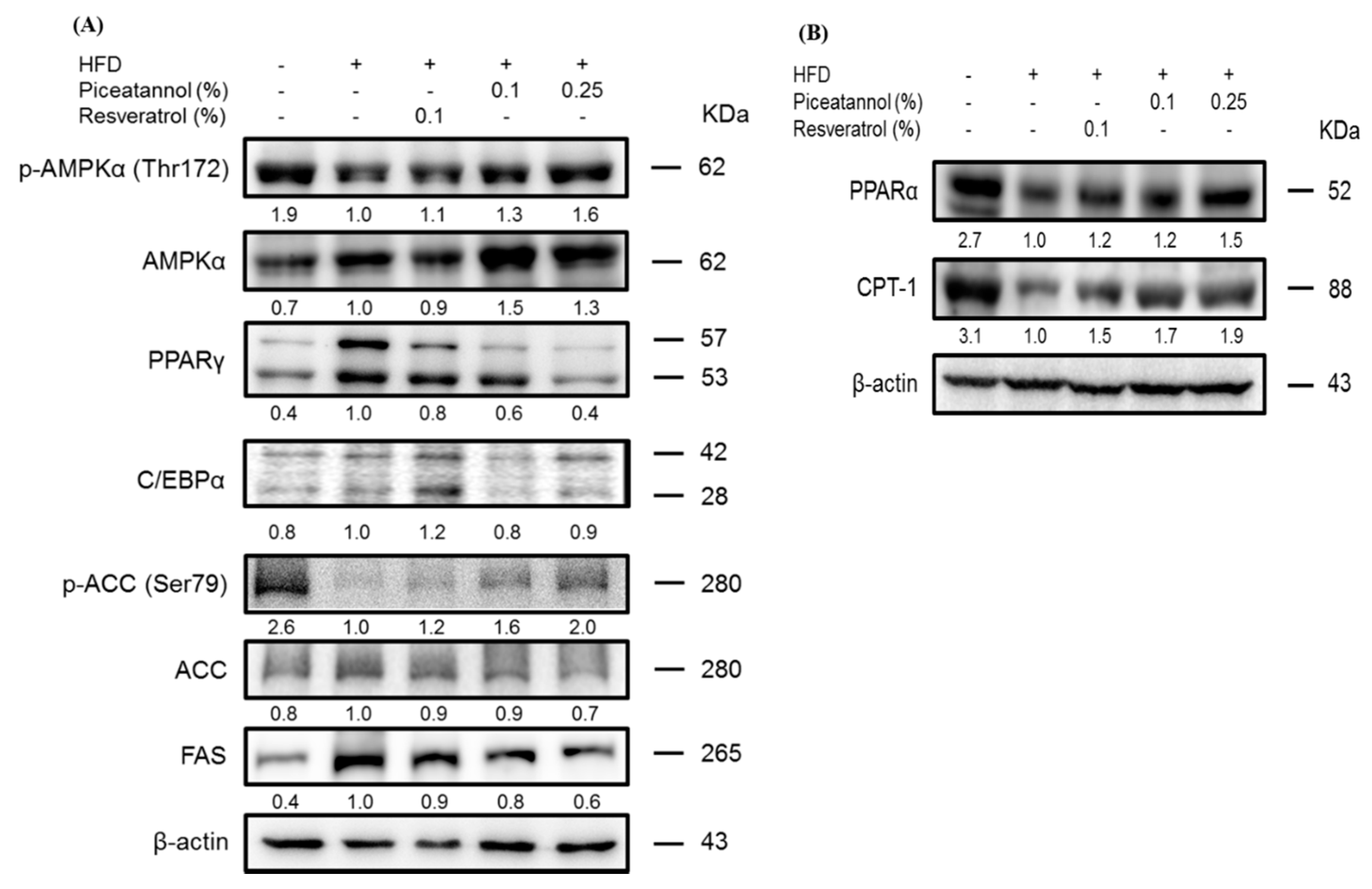
2.4. Effect of Pic Supplementation on Perigonadal Adipogenic Proteins in HFD-Fed C57BL/6 Mice
2.5. Effect of Piceatannol Supplementation on Organs in HFD-Fed C57BL/6 Mice
2.6. Effect of Pic Supplementation on Hepatic Adipogenic Proteins in HFD-Fed C57BL/6 Mice
2.7. Effect of Pic Supplementation on Serum Biochemical Parameters in HFD-Fed C57BL/6 Mice
2.8. Effect of Pic Supplementation on Gut Microbiota in HFD-Fed C57BL/6 Mice
3. Discussion
4. Materials and Methods
4.1. Chemicals
4.2. Animal Experiments
4.3. Histopathological Examinations
4.4. Western Blotting
4.5. Biochemical Analysis
4.6. Gut Microbiota Classification by Next Generation Sequencing (NGS)
4.7. Statistical Analysis
5. Conclusions
Acknowledgments
Author Contributions
Conflicts of Interest
Abbreviations
| ACC | acetyl-CoA carboxylase |
| ALT | alanine transaminase |
| AMPK | adenosine 5′-monophosphate-activated protein kinase |
| AST | aspartate transaminase |
| C/EBPs | CCAAT/enhancer-binding proteins |
| CPT | carnitine palmitoyltransferase |
| FAS | fatty acid synthase |
| FFA | free fatty acid |
| GLU | glucose |
| HDL | high density lipoprotein |
| H&E | hematoxylin and eosin |
| IRS | insulin receptor substrate |
| LDL | low density lipoprotein |
| pAMPK | phosphorylated AMPK |
| pACC | phosphorylated ACC |
| Pic | piceatannol |
| PPARs | peroxisome proliferators activated receptors |
| Res | resveratrol |
| TC | total cholesterol |
| TGs | triacylglycerols |
| WAT | white adipose tissue |
References
- Kopelman, P.G. Obesity as a medical problem. Nature 2000, 404, 635–643. [Google Scholar] [PubMed]
- Kershaw, E.E.; Flier, J.S. Adipose tissue as an endocrine organ. J. Clin. Endocrinol. Metab. 2004, 89, 2548–2556. [Google Scholar] [CrossRef] [PubMed]
- Kanneganti, T.-D.; Dixit, V.D. Immunological complications of obesity. Nat. Immunol. 2012, 13, 707–712. [Google Scholar] [CrossRef] [PubMed]
- Moffat, C.; Harper, M.E. Metabolic functions of AMPK: Aspects of structure and of natural mutations in the regulatory gamma subunits. IUBMB Life 2010, 62, 739–745. [Google Scholar] [CrossRef] [PubMed]
- Zhang, T.; Sawada, K.; Yamamoto, N.; Ashida, H. 4-hydroxyderricin and xanthoangelol from ashitaba (Angelica keiskei) suppress differentiation of preadipocytes to adipocytes via AMPK and MAPK pathways. Mol. Nutr. Food Res. 2013, 57, 1729–1740. [Google Scholar] [PubMed]
- Schreurs, M.; Kuipers, F.; van der Leij, F.R. Regulatory enzymes of mitochondrial beta-oxidation as targets for treatment of the metabolic syndrome. Obes. Rev. 2010, 11, 380–388. [Google Scholar] [CrossRef] [PubMed]
- Ley, R.E.; Turnbaugh, P.J.; Klein, S.; Gordon, J.I. Microbial ecology: Human gut microbes associated with obesity. Nature 2006, 444, 1022–1023. [Google Scholar] [CrossRef] [PubMed]
- Bäckhed, F.; Manchester, J.K.; Semenkovich, C.F.; Gordon, J.I. Mechanisms underlying the resistance to diet-induced obesity in germ-free mice. Proc. Natl. Acad. Sci. USA 2007, 16, 979–984. [Google Scholar]
- Cani, P.D.; Delzenne, N.M. The role of the gut microbiota in energy metabolism and metabolic disease. Curr. Pharm. 2009, 15, 1546–1558. [Google Scholar] [CrossRef]
- Piotrowska, H.; Kucinska, M.; Murias, M. Biological activity of piceatannol: Leaving the shadow of resveratrol. Mutat. Res. 2012, 750, 60–82. [Google Scholar] [CrossRef] [PubMed]
- Setoguchi, Y.; Oritani, Y.; Ito, R.; Inagaki, H.; Maruki-Uchida, H.; Ichiyanagi, T.; Ito, T. Absorption and metabolism of piceatannol in rats. J. Agric. Food Chem. 2014, 26, 2541–2548. [Google Scholar] [CrossRef] [PubMed]
- Kwon, J.Y.; Seo, S.G.; Heo, Y.S.; Yue, S.; Cheng, J.X.; Lee, K.W.; Kim, K.H. Piceatannol, natural polyphenolic stilbene, inhibits adipogenesis via modulation of mitotic clonal expansion and insulin receptor-dependent insulin signaling in early phase of differentiation. J. Biol. Chem. 2012, 287, 11566–11578. [Google Scholar] [CrossRef] [PubMed]
- Symonds, M.E. Adipose Tissue Biology; Springer: Berlin, Germany, 2012. [Google Scholar]
- Blüher, M. Adipose tissue dysfunction contributes to obesity related metabolic diseases. Best Pract. Res. Clin. Endocrinol. Metab. 2013, 27, 163–177. [Google Scholar] [CrossRef] [PubMed]
- Rupasinghe, H.P.; Sekhon-Loodu, S.; Mantso, T.; Panayiotidis, M.I. Phytochemicals in regulating fatty acid beta-oxidation: Potential underlying mechanisms and their involvement in obesity and weight loss. Pharmacol. Ther. 2016, 165, 153–163. [Google Scholar] [CrossRef] [PubMed]
- Balaji, M.; Ganjayi, M.S.; Hanuma Kumar, G.E.; Parim, B.N.; Mopuri, R.; Dasari, S. A review on possible therapeutic targets to contain obesity: The role of phytochemicals. Obes. Res. Clin. Pract. 2016, 10, 363–380. [Google Scholar] [CrossRef] [PubMed]
- Sun, L.; Wang, Y.; Song, Y.; Cheng, X.R.; Xia, S.; Rahman, M.R.; Shi, Y.; Le, G. Resveratrol restores the circadian rhythmic disorder of lipid metabolism induced by high-fat diet in mice. Biochem. Biophys. Res. Commun. 2015, 458, 86–91. [Google Scholar] [CrossRef] [PubMed]
- Uchida-Maruki, H.; Inagaki, H.; Ito, R.; Kurita, I.; Sai, M.; Ito, T. Piceatannol lowers the blood glucose level in diabetic mice. Biol. Pharm. Bull. 2015, 38, 629–633. [Google Scholar] [CrossRef] [PubMed]
- Winder, W.W.; Hardie, D.G. Amp-activated protein kinase, a metabolic master switch: Possible roles in type 2 diabetes. Am. J. Physiol. 1999, 277, E1–E10. [Google Scholar] [PubMed]
- Wang, S.; Liang, X.; Yang, Q.; Fu, X.; Rogers, C.J.; Zhu, M.; Rodgers, B.D.; Jiang, Q.; Dodson, M.V.; Du, M. Resveratrol induces brown-like adipocyte formation in white fat through activation of AMP-activated protein kinase (AMPK) α1. Int. J. Obes. (Lond.) 2015, 39, 967–976. [Google Scholar] [CrossRef] [PubMed]
- Alberdi, G.; Rodríguez, V.M.; Macarulla, M.T.; Miranda, J.; Churruca, I.; Portillo, M.P. Hepatic lipid metabolic pathways modified by resveratrol in rats fed an obesogenic diet. Nutrition 2013, 29, 562–567. [Google Scholar] [CrossRef] [PubMed]
- Corey, K.E.; Kaplan, L.M. Obesity and liver disease: The epidemic of the twenty-first century. Clin. Liver Dis. 2014, 18, 1–18. [Google Scholar] [CrossRef] [PubMed]
- Andrade, J.M.; Paraíso, A.F.; de Oliveira, M.V.; Martins, A.M.; Neto, J.F.; Guimarães, A.L.; de Paula, A.M.; Qureshi, M.; Santos, S.H. Resveratrol attenuates hepatic steatosis in high-fat fed mice by decreasing lipogenesis and inflammation. Nutrition 2014, 30, 915–919. [Google Scholar] [CrossRef] [PubMed]
- Qiao, Y.; Sun, J.; Xia, S.; Tang, X.; Shi, Y.; Le, G. Effects of resveratrol on gut microbiota and fat storage in a mouse model with high-fat-induced obesity. Food Funct. 2014, 5, 1241–1249. [Google Scholar] [CrossRef] [PubMed]
- Hijona, E.; Aguirre, L.; Pérez-Matute, P.; Villanueva-Millán, M.J.; Mosqueda-Solis, A.; Hasnaoui, M.; Nepveu, F.; Senard, J.M.; Bujanda, L.; Aldámiz-Echevarría, L.; et al. Limited beneficial effects of piceatannol supplementation on obesity complications in the obese Zucker rat: Gut microbiota, metabolic, endocrine, and cardiac aspects. J. Physiol. Biochem. 2016, 72, 567–582. [Google Scholar] [CrossRef] [PubMed]
- Baur, J.A.; Sinclair, D.A. Therapeutic potential of resveratrol: The in vivo evidence. Nat. Rev. Drug Discov. 2006, 5, 493–506. [Google Scholar] [CrossRef] [PubMed]
- Murias, M.; Jager, W.; Handler, N.; Erker, T.; Horvath, Z.; Szekeres, T.; Gille, L. Antioxidant, prooxidant and cytotoxic activity of hydroxylated resveratrol analogues: Structure-activity relationship. Biochem. Pharmacol. 2005, 69, 903–912. [Google Scholar] [CrossRef] [PubMed]
- Reagan-Shaw, S.; Nihal, M.; Ahmad, N. Dose translation from animal to human studies revisited. FASEB J. 2008, 22, 659–661. [Google Scholar] [CrossRef] [PubMed]
- Lai, C.S.; Liao, S.N.; Tsai, M.L.; Kalyanam, N.; Majeed, M.; Majeed, A.; Ho, C.T.; Pan, M.H. Calebin-A inhibits adipogenesis and hepatic steatosis in high-fat diet-induced obesity via activation of AMPK signaling. Mol. Nutr. Food Res. 2015, 59, 1883–1895. [Google Scholar] [CrossRef] [PubMed]
- Caporaso, J.G.; Lauber, C.L.; Walters, W.A.; Berg-Lyons, D.; Lozupone, C.A.; Turnbaugh, P.J.; Fierer, N.; Knight, R. Global patterns of 16s rrna diversity at a depth of millions of sequences per sample. Proc. Natl. Acad. Sci. USA 2011, 108 (Suppl. 1), 4516–4522. [Google Scholar] [CrossRef] [PubMed]
- Sample Availability: Samples of the compounds piceatannol and resveratrol are available from the authors.








| ND | HFD | 0.1% Res | 0.1% Pic | 0.25% Pic | |
|---|---|---|---|---|---|
| TC (mg/dL) | 70.6 ± 7.81 c | 193.2 ± 30.26 a | 159.9 ± 40.65 a | 122.8 ± 27.34 b | 130.8 ± 12.65 b |
| TG (mg/dL) | 48.3 ± 5.41 a | 48.5 ± 7.11 a | 40.4 ± 11.93 a | 44.1 ± 13.46 a | 42.4 ± 10.29 a |
| LDL-C (mg/dL) | 4.7 ± 1.40 c | 42.7 ± 9.61 a | 37.9 ± 9.06 a | 26.4 ± 9.08 b | 23.9 ± 2.59 b |
| HDL-C (mg/dL) | 54.9 ± 7.15 c | 143.1 ± 22.03 a | 119.8 ± 28.61 a | 86.7 ± 18.72 b | 99.2 ± 10.73 b |
| LDL-C/HDL-C | 0.08 ± 0.03 c | 0.28 ± 0.04 a | 0.28 ± 0.06 a | 0.28 ± 0.07 a | 0.24 ± 0.02 b |
| AST (U/L) | 134.6 ± 57.41 a | 177.9 ± 79.05 a | 184.6 ± 83.84 a | 217.4 ± 73.16 a | 139.2 ± 50.62 a |
| ALT (U/L) | 41.2 ± 4.00 a | 118.4 ± 120.21 a | 41.1 ± 10.30 a | 49.1 ± 14.82 a | 39.8 ± 7.66 a |
| GLU (mg/dL) | 422.1 ± 44.06 a | 431.7 ± 45.42 a | 401.9 ± 73.12 a | 374.5 ± 45.96 b | 361.3 ± 40.14 b |
| Groups | Firmicutes | Bacteroidetes | F/B Ratio | Bifidobacterium | Lactobacillus |
|---|---|---|---|---|---|
| ND | 69.17% | 25.62% | 2.70 | 0.05% | 1.58% |
| HFD | 45.84% | 51.96% | 0.88 | 0.07% | 1.37% |
| 0.1% Pic | 54.03% | 39.24% | 1.38 | 0.03% | 2.46% |
| 0.25% Pic | 74.53% | 21.37% | 3.49 | 0.04% | 7.26% |
| Groups | Kingdom | Phylum | Class | Order | Family | Genus | Species | % Hits |
|---|---|---|---|---|---|---|---|---|
| ND | Bacteria | Firmicutes | Clostridia | Clostridiales | Lachnospiraceae | Blautia | 31.943 | |
| Bacteria | Bacteroidetes | Sphingobacteria | Sphingobacteriales | Sphingobacteriaceae | Pedobacter | kwangyangensis | 14.288 | |
| Bacteria | Bacteroidetes | Bacteroidia | Bacteroidales | Porphyromonadaceae | Dysgonomonas | wimpennyi | 7.236 | |
| HFD | Bacteria | Bacteroidetes | Sphingobacteria | Sphingobacteriales | Sphingobacteriaceae | Pedobacter | kwangyangensis | 30.228 |
| Bacteria | Firmicutes | Clostridia | Clostridiales | Lachnospiraceae | Blautia | 18.596 | ||
| Bacteria | Bacteroidetes | Bacteroidia | Bacteroidales | Porphyromonadaceae | Dysgonomonas | wimpennyi | 15.058 | |
| 0.1% Pic | Bacteria | Bacteroidetes | Sphingobacteria | Sphingobacteriales | Sphingobacteriaceae | Pedobacter | kwangyangensis | 23.152 |
| Bacteria | Firmicutes | Clostridia | Clostridiales | Lachnospiraceae | Blautia | 23.114 | ||
| Bacteria | Bacteroidetes | Bacteroidia | Bacteroidales | Porphyromonadaceae | Dysgonomonas | wimpennyi | 11.505 | |
| 0.25% Pic | Bacteria | Firmicutes | Clostridia | Clostridiales | Lachnospiraceae | Blautia | 30.205 | |
| Bacteria | Bacteroidetes | Sphingobacteria | Sphingobacteriales | Sphingobacteriaceae | Pedobacter | kwangyangensis | 11.638 | |
| Bacteria | Bacteroidetes | Bacteroidia | Bacteroidales | Porphyromonadaceae | Dysgonomonas | wimpennyi | 5.884 |
© 2016 by the authors. Licensee MDPI, Basel, Switzerland. This article is an open access article distributed under the terms and conditions of the Creative Commons Attribution (CC-BY) license ( http://creativecommons.org/licenses/by/4.0/).
Share and Cite
Tung, Y.-C.; Lin, Y.-H.; Chen, H.-J.; Chou, S.-C.; Cheng, A.-C.; Kalyanam, N.; Ho, C.-T.; Pan, M.-H. Piceatannol Exerts Anti-Obesity Effects in C57BL/6 Mice through Modulating Adipogenic Proteins and Gut Microbiota. Molecules 2016, 21, 1419. https://doi.org/10.3390/molecules21111419
Tung Y-C, Lin Y-H, Chen H-J, Chou S-C, Cheng A-C, Kalyanam N, Ho C-T, Pan M-H. Piceatannol Exerts Anti-Obesity Effects in C57BL/6 Mice through Modulating Adipogenic Proteins and Gut Microbiota. Molecules. 2016; 21(11):1419. https://doi.org/10.3390/molecules21111419
Chicago/Turabian StyleTung, Yen-Chen, Yu-Hsuan Lin, Hong-Jhang Chen, Shen-Chieh Chou, An-Chin Cheng, Nagabhushanam Kalyanam, Chi-Tang Ho, and Min-Hsiung Pan. 2016. "Piceatannol Exerts Anti-Obesity Effects in C57BL/6 Mice through Modulating Adipogenic Proteins and Gut Microbiota" Molecules 21, no. 11: 1419. https://doi.org/10.3390/molecules21111419
APA StyleTung, Y.-C., Lin, Y.-H., Chen, H.-J., Chou, S.-C., Cheng, A.-C., Kalyanam, N., Ho, C.-T., & Pan, M.-H. (2016). Piceatannol Exerts Anti-Obesity Effects in C57BL/6 Mice through Modulating Adipogenic Proteins and Gut Microbiota. Molecules, 21(11), 1419. https://doi.org/10.3390/molecules21111419

