Recurrent Exacerbations and Evolution into Polymyositis in a Patient with Interstitial Pneumonia with Autoimmune Features: A Case Report and Literature Review
Abstract
1. Introduction
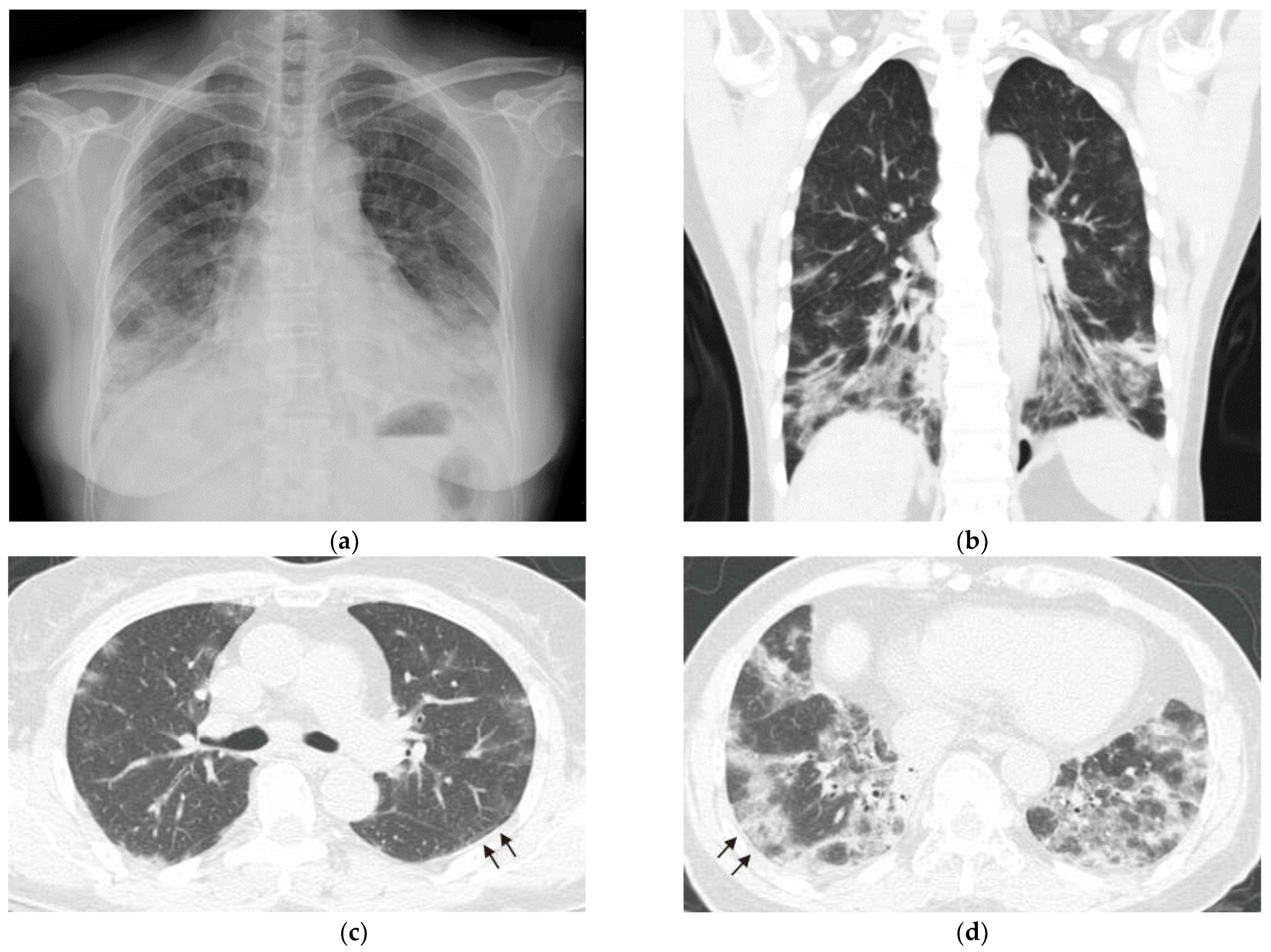
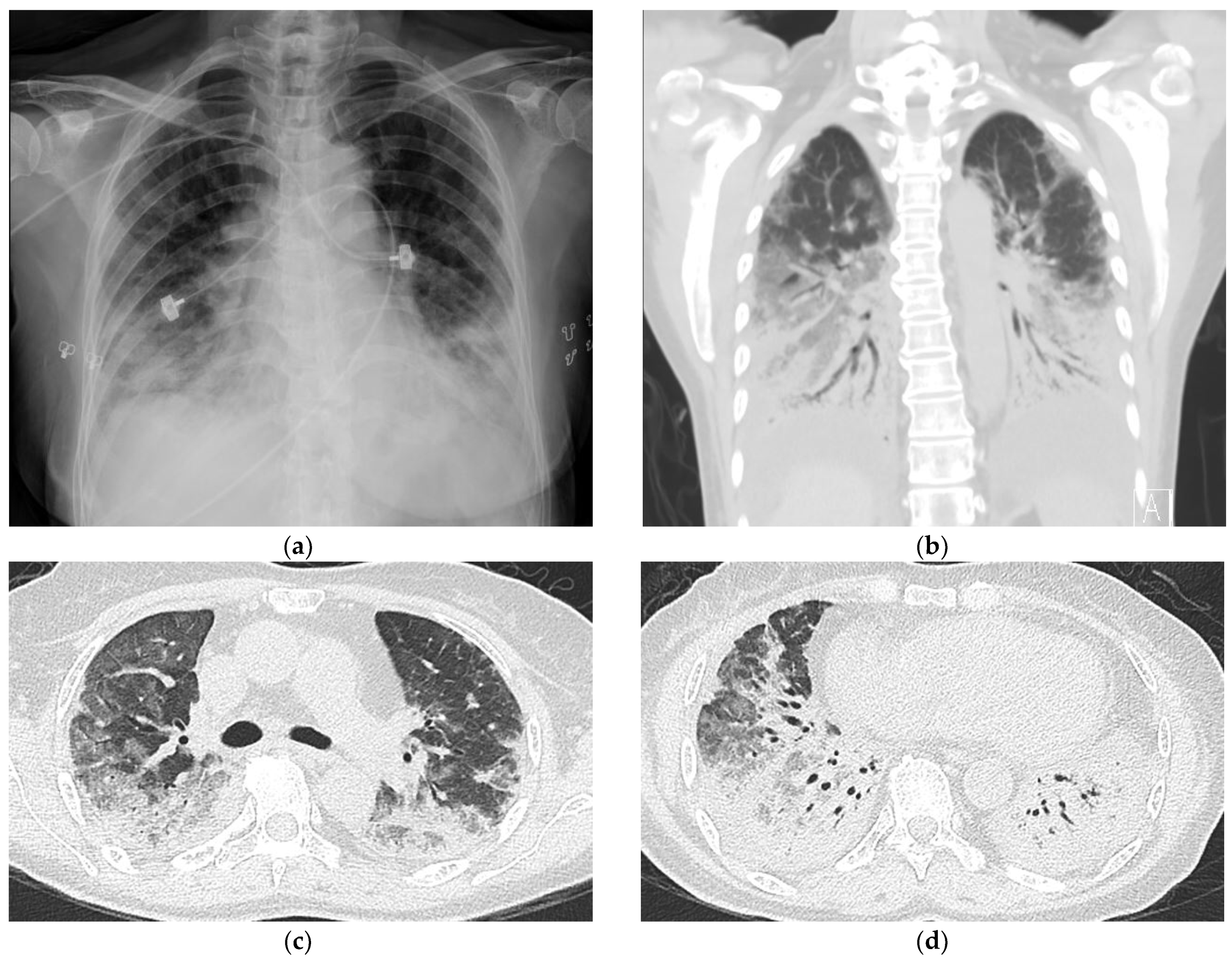
2. Case Report
3. Discussion
4. Conclusions
Author Contributions
Funding
Institutional Review Board Statement
Informed Consent Statement
Data Availability Statement
Conflicts of Interest
References
- Fischer, A.; Antoniou, K.M.; Brown, K.K.; Cadranel, J.; Corte, T.J.; du Bois, R.M.; Lee, J.S.; Leslie, K.O.; Lynch, D.A.; Matteson, E.L.; et al. An official European Respiratory Society/American Thoracic Society research statement: Interstitial pneumonia with autoimmune features. Eur. Respir. J. 2015, 46, 976–987. [Google Scholar] [CrossRef]
- Fernandes, L.; Nasser, M.; Ahmad, K.; Cottin, V. Interstitial Pneumonia With Autoimmune Features (IPAF). Front. Med. 2019, 6, 209. [Google Scholar] [CrossRef] [PubMed]
- Graney, B.A.; Fischer, A. Interstitial Pneumonia with Autoimmune Features. Ann. Am. Thorac. Soc. 2019, 16, 525–533. [Google Scholar] [CrossRef] [PubMed]
- Solomon, J.; Swigris, J.J.; Brown, K.K. Myositis-related interstitial lung disease and antisynthetase syndrome. J. Bras. Pneumol. 2011, 37, 100–109. [Google Scholar] [CrossRef]
- Ahmad, K.; Barba, T.; Gamondes, D.; Ginoux, M.; Khouatra, C.; Spagnolo, P.; Strek, M.; Thivolet-Béjui, F.; Traclet, J.; Cottin, V. Interstitial pneumonia with autoimmune features: Clinical, radiologic, and histological characteristics and outcome in a series of 57 patients. Respir. Med. 2017, 123, 56–62. [Google Scholar] [CrossRef] [PubMed]
- Chartrand, S.; Swigris, J.J.; Stanchev, L.; Lee, J.S.; Brown, K.K.; Fischer, A. Clinical features and natural history of interstitial pneumonia with autoimmune features: A single center experience. Respir. Med. 2016, 119, 150–154. [Google Scholar] [CrossRef]
- Dai, J.; Wang, L.; Yan, X.; Li, H.; Zhou, K.; He, J.; Meng, F.; Xu, S.; Liang, G.; Cai, H. Clinical features, risk factors, and outcomes of patients with interstitial pneumonia with autoimmune features: A population-based study. Clin. Rheumatol. 2018, 37, 2125–2132. [Google Scholar] [CrossRef]
- Ito, Y.; Arita, M.; Kumagai, S.; Takei, R.; Noyama, M.; Tokioka, F.; Nishimura, K.; Koyama, T.; Notohara, K.; Ishida, T. Serological and morphological prognostic factors in patients with interstitial pneumonia with autoimmune features. BMC Pulm. Med. 2017, 17, 111. [Google Scholar] [CrossRef]
- Kim, H.C.; Lee, J.H.; Chae, E.J.; Song, J.S.; Song, J.W. Long-term clinical course and outcome of interstitial pneumonia with autoimmune features. Respirology 2020, 25, 636–643. [Google Scholar] [CrossRef]
- Lim, J.U.; Gil, B.M.; Kang, H.S.; Oh, J.; Kim, Y.H.; Kwon, S.S. Interstitial pneumonia with autoimmune features show better survival and less exacerbations compared to idiopathic pulmonary fibrosis. BMC Pulm. Med. 2019, 19, 120. [Google Scholar] [CrossRef]
- Oldham, J.M.; Adegunsoye, A.; Valenzi, E.; Lee, C.; Witt, L.; Chen, L.; Husain, A.N.; Montner, S.; Chung, J.H.; Cottin, V.; et al. Characterisation of patients with interstitial pneumonia with autoimmune features. Eur. Respir. J. 2016, 47, 1767–1775. [Google Scholar] [CrossRef]
- Yoshimura, K.; Kono, M.; Enomoto, Y.; Nishimoto, K.; Oyama, Y.; Yasui, H.; Hozumi, H.; Karayama, M.; Suzuki, Y.; Furuhashi, K.; et al. Distinctive characteristics and prognostic significance of interstitial pneumonia with autoimmune features in patients with chronic fibrosing interstitial pneumonia. Respir. Med. 2018, 137, 167–175. [Google Scholar] [CrossRef] [PubMed]
- Mackintosh, J.A.; Wells, A.U.; Cottin, V.; Nicholson, A.G.; Renzoni, E.A. Interstitial pneumonia with autoimmune features: Challenges and controversies. Eur. Respir. Rev. 2021, 30, 210177. [Google Scholar] [CrossRef] [PubMed]
- Connors, G.R.; Christopher-Stine, L.; Oddis, C.V.; Danoff, S.K. Interstitial lung disease associated with the idiopathic inflammatory myopathies: What progress has been made in the past 35 years? Chest 2010, 138, 1464–1474. [Google Scholar] [CrossRef] [PubMed]
- Knitza, J.; Cavagna, L.; Schett, G.; Distler, J.H.W. Comment on: ‘Idiopathic inflammatory myopathies and antisynthetase syndrome: Contribution of antisynthetase antibodies to improve current classification criteria’ by Greco et al. Ann. Rheum. Dis. 2020, 79, e85. [Google Scholar] [CrossRef]
- Sambataro, G.; Vancheri, A.; Torrisi, S.E.; Colaci, M.; Pavone, M.; Libra, A.; Martorana, E.; Rosso, R.; Pignataro, F.; Del Papa, N.; et al. The Morphological Domain Does Not Affect the Rate of Progression to Defined Autoimmune Diseases in Patients With Interstitial Pneumonia With Autoimmune Features. Chest 2020, 157, 238–242. [Google Scholar] [CrossRef]
- Alevizos, M.K.; Giles, J.T.; Patel, N.M.; Bernstein, E.J. Risk of progression of interstitial pneumonia with autoimmune features to a systemic autoimmune rheumatic disease. Rheumatology 2020, 59, 1233–1240. [Google Scholar] [CrossRef]
- Sebastiani, M.; Cassone, G.; De Pasquale, L.; Cerri, S.; Della Casa, G.; Vacchi, C.; Luppi, F.; Salvarani, C.; Manfredi, A. Interstitial pneumonia with autoimmune features: A single center prospective follow-up study. Autoimmun. Rev. 2020, 19, 102451. [Google Scholar] [CrossRef]
- Decker, P.; Sobanski, V.; Moulinet, T.; Launay, D.; Hachulla, E.; Valentin, V.; Godbert, B.; Revuz, S.; Guillaumot, A.; Gomez, E.; et al. Interstitial pneumonia with autoimmune features: Evaluation of connective tissue disease incidence during follow-up. Eur. J. Intern. Med. 2022, 97, 62–68. [Google Scholar] [CrossRef]
- Jiwrajka, N.; Loizidis, G.; Patterson, K.C.; Kreider, M.E.; Johnson, C.R.; Miller, W.T., Jr.; Barbosa, E.J.M., Jr.; Patel, N.; Beers, M.F.; Litzky, L.A.; et al. Identification and Prognosis of Patients With Interstitial Pneumonia With Autoimmune Features. J. Clin. Rheumatol. 2022, 28, 257–264. [Google Scholar] [CrossRef]
- De Lorenzis, E.; Bosello, S.L.; Varone, F.; Sgalla, G.; Calandriello, L.; Natalello, G.; Iovene, B.; Cicchetti, G.; Gigante, L.; Verardi, L.; et al. Multidisciplinary Evaluation of Interstitial Lung Diseases: New Opportunities Linked to Rheumatologist Involvement. Diagnostics 2020, 10, 664. [Google Scholar] [CrossRef] [PubMed]
- Sebastiani, M.; Faverio, P.; Manfredi, A.; Cassone, G.; Vacchi, C.; Stainer, A.; Pozzi, M.R.; Salvarani, C.; Pesci, A.; Luppi, F. Interstitial Pneumonia with Autoimmune Features: Why Rheumatologist-Pulmonologist Collaboration Is Essential. Biomedicines 2020, 9, 17. [Google Scholar] [CrossRef] [PubMed]
- Mathai, S.C.; Danoff, S.K. Management of interstitial lung disease associated with connective tissue disease. Bmj 2016, 352, h6819. [Google Scholar] [CrossRef] [PubMed]
- Wilfong, E.M.; Lentz, R.J.; Guttentag, A.; Tolle, J.J.; Johnson, J.E.; Kropski, J.A.; Kendall, P.L.; Blackwell, T.S.; Crofford, L.J. Interstitial Pneumonia With Autoimmune Features: An Emerging Challenge at the Intersection of Rheumatology and Pulmonology. Arthritis Rheumatol. 2018, 70, 1901–1913. [Google Scholar] [CrossRef]
- Fischer, A.; Brown, K.K.; Du Bois, R.M.; Frankel, S.K.; Cosgrove, G.P.; Fernandez-Perez, E.R.; Huie, T.J.; Krishnamoorthy, M.; Meehan, R.T.; Olson, A.L.; et al. Mycophenolate mofetil improves lung function in connective tissue disease-associated interstitial lung disease. J. Rheumatol. 2013, 40, 640–646. [Google Scholar] [CrossRef]
- Keir, G.J.; Maher, T.M.; Ming, D.; Abdullah, R.; de Lauretis, A.; Wickremasinghe, M.; Nicholson, A.G.; Hansell, D.M.; Wells, A.U.; Renzoni, E.A. Rituximab in severe, treatment-refractory interstitial lung disease. Respirology 2014, 19, 353–359. [Google Scholar] [CrossRef]
- Wiertz, I.A.; van Moorsel, C.H.M.; Vorselaars, A.D.M.; Quanjel, M.J.R.; Grutters, J.C. Cyclophosphamide in steroid refractory unclassifiable idiopathic interstitial pneumonia and interstitial pneumonia with autoimmune features (IPAF). Eur. Respir. J. 2018, 51, 1702519. [Google Scholar] [CrossRef]
- Flaherty, K.R.; Wells, A.U.; Cottin, V.; Devaraj, A.; Walsh, S.L.F.; Inoue, Y.; Richeldi, L.; Kolb, M.; Tetzlaff, K.; Stowasser, S.; et al. Nintedanib in Progressive Fibrosing Interstitial Lung Diseases. N Engl. J. Med. 2019, 381, 1718–1727. [Google Scholar] [CrossRef]
- Maher, T.M.; Corte, T.J.; Fischer, A.; Kreuter, M.; Lederer, D.J.; Molina-Molina, M.; Axmann, J.; Kirchgaessler, K.U.; Samara, K.; Gilberg, F.; et al. Pirfenidone in patients with unclassifiable progressive fibrosing interstitial lung disease: A double-blind, randomised, placebo-controlled, phase 2 trial. Lancet Respir. Med. 2020, 8, 147–157. [Google Scholar] [CrossRef]
- Chen, T.; Li, Q.H.; Zhang, Y.; Yin, C.S.; Weng, D.; Zhou, Y.; Hu, Y.; Shi, J.Y.; Chen, Y.N.; Ye, S.; et al. The role of pirfenidone in the treatment of interstitial pneumonia with autoimmune features. Clin. Exp. Rheumatol. 2022, 40, 560–567. [Google Scholar] [CrossRef]
- Kamiya, H.; Panlaqui, O.M. Systematic review and meta-analysis of the prognosis and prognostic factors of interstitial pneumonia with autoimmune features. BMJ Open 2019, 9, e031444. [Google Scholar] [CrossRef] [PubMed]
- Marie, I.; Hatron, P.Y.; Dominique, S.; Cherin, P.; Mouthon, L.; Menard, J.F.; Levesque, H.; Jouen, F. Short-term and long-term outcome of anti-Jo1-positive patients with anti-Ro52 antibody. Semin. Arthritis Rheum. 2012, 41, 890–899. [Google Scholar] [CrossRef] [PubMed]
- Shi, J.; Li, S.; Yang, H.; Zhang, Y.; Peng, Q.; Lu, X.; Wang, G. Clinical Profiles and Prognosis of Patients with Distinct Antisynthetase Autoantibodies. J. Rheumatol. 2017, 44, 1051–1057. [Google Scholar] [CrossRef]
- Graham, J.; Bauer Ventura, I.; Newton, C.A.; Lee, C.; Boctor, N.; Pugashetti, J.V.; Cutting, C.; Joerns, E.; Sandhu, H.; Chung, J.H.; et al. Myositis-specific Antibodies Identify A Distinct Interstitial Pneumonia with Autoimmune Features Phenotype. Eur. Respir. J. 2020, 56, 2001205. [Google Scholar] [CrossRef] [PubMed]
- Callen, J.P. The value of malignancy evaluation in patients with dermatomyositis. J. Am. Acad. Dermatol. 1982, 6, 253–259. [Google Scholar] [CrossRef] [PubMed]


| Study | Patients (n) | Evolution into CTDs (n, %) | Numbers of Specific CTDs | Median Follow-Up Time | Reference |
|---|---|---|---|---|---|
| Ito et al. 2017 | 98 | 12 (12.2%) | 7 Rheumatoid arthritis 2 Systemic sclerosis 1 Systemic lupus erythematosus 1 Sjögren syndrome and systemic sclerosis 1 Dermatomyositis and systemic sclerosis | 4.5 years | [8] |
| Kim et al. 2020 | 109 | 13 (11.9%) | 4 Rheumatoid arthritis 9 Not reported | 3.8 years | [9] |
| Sambataro et al. 2020 | 32 | 6 (18.8%) | 3 Polymyositis 1 Systemic sclerosis 1 Sjögren syndrome 1 Polymyositis and Sjögren syndrome | 1 year | [16] |
| Alevizos et al. 2020 | 50 | 8 (16%) | 3 Systemic sclerosis 2 Rheumatoid arthritis 2 ANCA-associated vasculitis 1 Polymyositis | 5.2 years | [17] |
| Sebastiani et al. 2020 | 52 | 7 (13.5%) | 4 Sjögren syndrome 2 Rheumatoid arthritis 1 Polymyositis | 2.3 years | [18] |
| Decker et al. 2022 | 70 | 18 (26%) | 9 Antisynthetase syndrome 8 Systemic sclerosis 1 Overlap myositis | 6.4 years | [19] |
| Jiwrajka et al. 2022 | 60 | 6 (10%) | 3 Antisynthetase syndrome 1 Rheumatoid arthritis 1 Systemic sclerosis 1 Sjögren syndrome | 3 years | [20] |
Disclaimer/Publisher’s Note: The statements, opinions and data contained in all publications are solely those of the individual author(s) and contributor(s) and not of MDPI and/or the editor(s). MDPI and/or the editor(s) disclaim responsibility for any injury to people or property resulting from any ideas, methods, instructions or products referred to in the content. |
© 2023 by the authors. Licensee MDPI, Basel, Switzerland. This article is an open access article distributed under the terms and conditions of the Creative Commons Attribution (CC BY) license (https://creativecommons.org/licenses/by/4.0/).
Share and Cite
Huang, C.-T.; Ou, T.-T.; Hsu, J.-S.; Cheng, C.-H.; Sheu, C.-C. Recurrent Exacerbations and Evolution into Polymyositis in a Patient with Interstitial Pneumonia with Autoimmune Features: A Case Report and Literature Review. Medicina 2023, 59, 330. https://doi.org/10.3390/medicina59020330
Huang C-T, Ou T-T, Hsu J-S, Cheng C-H, Sheu C-C. Recurrent Exacerbations and Evolution into Polymyositis in a Patient with Interstitial Pneumonia with Autoimmune Features: A Case Report and Literature Review. Medicina. 2023; 59(2):330. https://doi.org/10.3390/medicina59020330
Chicago/Turabian StyleHuang, Chien-Tzu, Tsan-Teng Ou, Jui-Sheng Hsu, Chih-Hung Cheng, and Chau-Chyun Sheu. 2023. "Recurrent Exacerbations and Evolution into Polymyositis in a Patient with Interstitial Pneumonia with Autoimmune Features: A Case Report and Literature Review" Medicina 59, no. 2: 330. https://doi.org/10.3390/medicina59020330
APA StyleHuang, C.-T., Ou, T.-T., Hsu, J.-S., Cheng, C.-H., & Sheu, C.-C. (2023). Recurrent Exacerbations and Evolution into Polymyositis in a Patient with Interstitial Pneumonia with Autoimmune Features: A Case Report and Literature Review. Medicina, 59(2), 330. https://doi.org/10.3390/medicina59020330

