Autoimmune Hepatitis—Challenging Diagnosis
Abstract
:1. Introduction
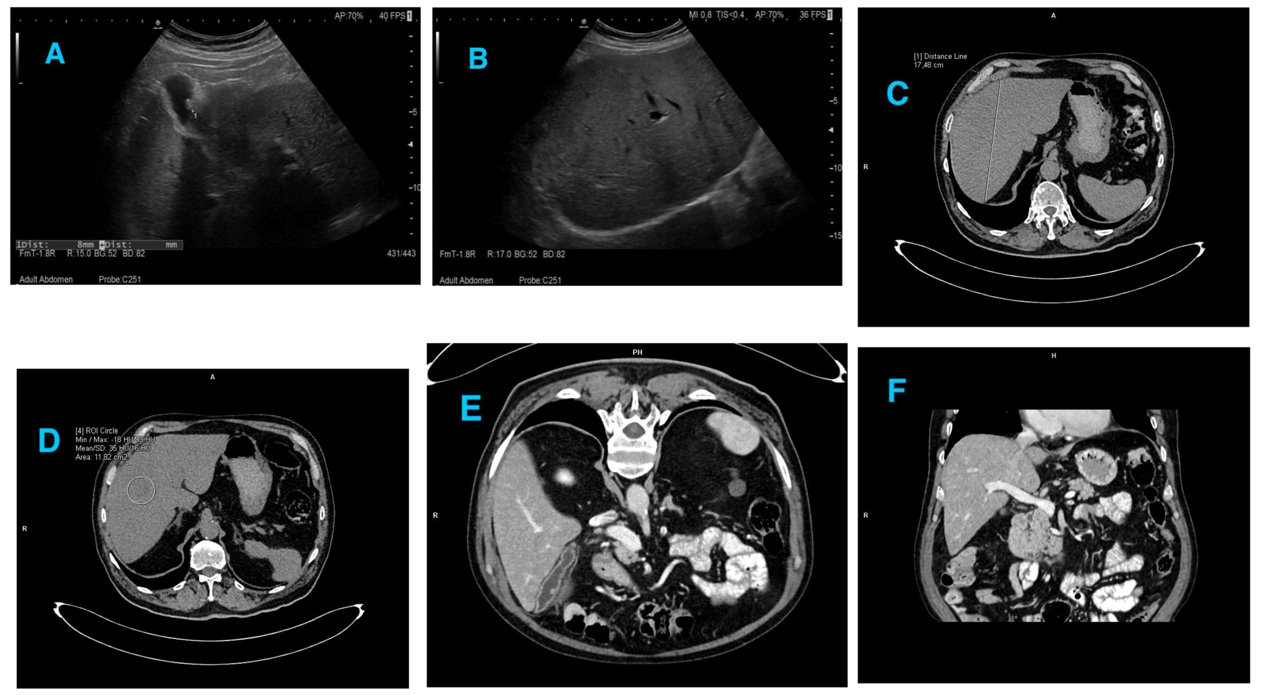
2. Case Presentation
3. Discussion
4. Conclusions
Author Contributions
Funding
Institutional Review Board Statement
Informed Consent Statement
Data Availability Statement
Acknowledgments
Conflicts of Interest
Appendix A

Appendix B

References
- Krawitt, E.L. Autoimmune Hepatitis. N. Engl. J. Med. 2006, 354, 54–66. [Google Scholar] [CrossRef] [PubMed] [Green Version]
- Tanaka, A. Autoimmune Hepatitis: 2019 Update. Gut Liver 2020, 14, 430–438. [Google Scholar] [CrossRef]
- Heneghan, M.A.; Yeoman, A.D.; Verma, S.; Smith, A.D.; Longhi, M.S. Autoimmune Hepatitis. Lancet 2013, 382, 1433–1444. [Google Scholar] [CrossRef]
- Bridoux—henno, L.; Maggiore, G.; Johanet, C.; Fabre, M.; Vajro, P.; Dommergues, J.P.; Reinert, P.; Bernard, O. Features and outcome of Autoimmune Hepatitis type 2 presenting with isolated positivity for anti-liver cytosol antibody. Clin. Gastroenterol. Hepatol. 2004, 2, 825–830. [Google Scholar] [CrossRef]
- Komori, A. Recent updates on the management of Autoimmune Hepatitis. Clin. Mol. Hepatol. 2021, 27, 58–69. [Google Scholar] [CrossRef]
- Pape, S.; Schramm, C.; Gevers, T.J. Clinical management of Autoimmune Hepatitis. United Eur. Gastroenterol. J. 2019, 7, 1156–1163. [Google Scholar] [CrossRef] [PubMed] [Green Version]
- Hennes, E.M.; Zeniya, M.; Czaja, A.J.; Parés, A.; Dalekos, G.N.; Krawitt, E.L.; Bittencourt, P.L.; Porta, G.; Boberg, K.M.; Hofer, H.; et al. Simplified criteria for the diagnosis of Autoimmune Hepatitis. Hepatology 2008, 48, 169–176. [Google Scholar] [CrossRef]
- Wawrzynowicz-Syczewska, M. Autoimmunologiczne Zapalenie Wątroby. Interna Szczeklika 2018; Medycyna Praktyczna: Kraków, Poland, 2018; pp. 1169–1173. [Google Scholar]
- Ralston, S.H.; Penman, I.D.; Strachan, M.W.J.; Hobson, R. Davidson’s Principles and Practice of Medicine, 23rd ed.; Elsevier: London, UK, 2018; pp. 381–382. [Google Scholar]
- Buechter, M.; Manka, P.; Heinemann, F.M.; Lindemann, M.; Baba, H.A.; Schlattjan, M.; Canbay, A.; Gerken, G.; Kahraman, A. Potential triggering factors of acute liver failure as a first manifestation of Autoimmune Hepatitis—A single center experience of 52 adult patients. WJG 2018, 24, 1410–1418. [Google Scholar] [CrossRef] [PubMed]
- Linzay, C.D.; Sharma, B.; Pandit, S. Autoimmune Hepatitis. In StatPearls; StatPearls Publishing: Treasure Island, FL, USA, 2022. Available online: https://www.ncbi.nlm.nih.gov/books/NBK459186/ (accessed on 27 August 2021).
- Muratori, P.; Lalanne, C.; Fabbri, A.; Cassani, F.; Lenzi, M.; Muratori, L. Type 1 and type 2 Autoimmune Hepatitis in adults share the same clinical phenotype. Aliment. Pharmacol. Ther. 2015, 41, 1281–1287. [Google Scholar] [CrossRef]
- Rigopoulou, E.I.; Smyk, D.S.; Matthews, C.E.; Billinis, C.; Burroughs, A.K.; Lenzi, M.; Bogdanos, D.P. Epstein-Barr Virus as a Trigger of Autoimmune Liver Diseases. Adv. Virol. 2012, 2012, 987471. [Google Scholar] [CrossRef]
- Salcedo, M.; Rodríguez-Mahou, M.; Rodríguez-Sainz, C.; Rincón, D.; Alvarez, E.; Vicario, J.L.; Catalina, M.-V.; Matilla, A.; Ripoll, C.; Clemente, G.; et al. Risk factors for developing de novo Autoimmune Hepatitis associated with anti-glutathione S-transferase T1 antibodies after liver transplantation: De novo Autoimmune Hepatitis. Liver Transpl. 2009, 15, 530–539. [Google Scholar] [CrossRef] [PubMed]
- Gordon, V.; Adhikary, R.; Appleby, V.; Das, D.; Day, J.; Delahooke, T.; Dixon, S.; Elphick, D.; Hardie, C.; Hoeroldt, B.; et al. Diagnosis, presentation and initial severity of Autoimmune Hepatitis (AIH) in patients attending 28 hospitals in the UK. Liver Int. 2018, 38, 1686–1695. [Google Scholar] [CrossRef] [PubMed]
| Clinical Feature | Points |
|---|---|
| ANA or SMA | |
| +1 +2 |
| Serum IgG | |
| +1 +2 |
| Histologic findings | |
| +1 +2 |
| Hepatitis viral markers | |
| +2 |
| Aggregate score without treatment | |
| ≥7 ≥6 |
| Laboratory Parameters | First Hospitalization | Second Hospitalization |
|---|---|---|
| CRP (mg/dL) | 11.1 | 8.5 |
| Na+ (mmol/L) | 130.8 | 136.9 |
| K+ (mmol/L) | 3.8 | 4.74 |
| Cl− (mmol/L) | 96.5 | 101.2 |
| Total bilirubin (mg/dL) | 23.9 | 1.95 |
| ALT (U/L) | 4778 | 128 |
| AST (U/L) | 2530 | 61.3 |
| GGTP (U/L) | 269 | 300 |
| ALP (U/L) | 228 | 168 |
| Amylase (U/L) | 63.5 | 91.2 |
| Lipase (U/L) | 36.2 | 51.4 |
| Total protein (g/dL) | 4.91 | 6.44 |
| TSH (mIU/L) | 0.53 | 1.07 |
| D-Dimer (ng/mL) | 1005 | 905 |
| INR (s) | 1.59 | 1.07 |
| APTT (s) | 30.4 | 34.3 |
| Morphology Parameters | First Hospitalization | Second Hospitalization |
|---|---|---|
| WBC (103/μL) | 7.43 | 6.52 |
| RBC (106/μL) | 5.27 | 4.63 |
| HGB (g/dL) | 16.3 | 15.4 |
| HCT (%) | 44.5 | 43.9 |
| MCV (fL) | 84.4 | 94.8 |
| MCH (pg) | 30.9 | 33.3 |
| MCHC (g/dL) | 36.6 | 35.1 |
| PLT (103/μL) | 293 | 233 |
| RDW (%) | 14.9 | 16.2 |
| RDW-SD (fL) | 45.6 | 57.0 |
| PCT (%) | 0.32 | 0.24 |
| MPV (fL) | 11.0 | 10.4 |
| PDW (%) | 12.5 | 11.7 |
| P-LCR (%) | 32.4 | 28.0 |
| Lymphocytes (%) | 27.1 | |
| Monocytes (%) | 10.9 | |
| Neutrophils (%) | 55.7 | |
| Eosinophils (%) | 5.2 | |
| Basophils (%) | 0.5 |
Publisher’s Note: MDPI stays neutral with regard to jurisdictional claims in published maps and institutional affiliations. |
© 2022 by the authors. Licensee MDPI, Basel, Switzerland. This article is an open access article distributed under the terms and conditions of the Creative Commons Attribution (CC BY) license (https://creativecommons.org/licenses/by/4.0/).
Share and Cite
Mroskowiak, A.; Suleja, A.; Stec, M.; Kuczmik, W.; Migacz, M.; Holecki, M. Autoimmune Hepatitis—Challenging Diagnosis. Medicina 2022, 58, 896. https://doi.org/10.3390/medicina58070896
Mroskowiak A, Suleja A, Stec M, Kuczmik W, Migacz M, Holecki M. Autoimmune Hepatitis—Challenging Diagnosis. Medicina. 2022; 58(7):896. https://doi.org/10.3390/medicina58070896
Chicago/Turabian StyleMroskowiak, Aleksandra, Agata Suleja, Maria Stec, Wiktoria Kuczmik, Maciej Migacz, and Michał Holecki. 2022. "Autoimmune Hepatitis—Challenging Diagnosis" Medicina 58, no. 7: 896. https://doi.org/10.3390/medicina58070896
APA StyleMroskowiak, A., Suleja, A., Stec, M., Kuczmik, W., Migacz, M., & Holecki, M. (2022). Autoimmune Hepatitis—Challenging Diagnosis. Medicina, 58(7), 896. https://doi.org/10.3390/medicina58070896

