Preoperative Embolization in the Management of Giant Thoracic Tumors: A Case Series
Abstract
1. Introduction
2. Materials and Methods
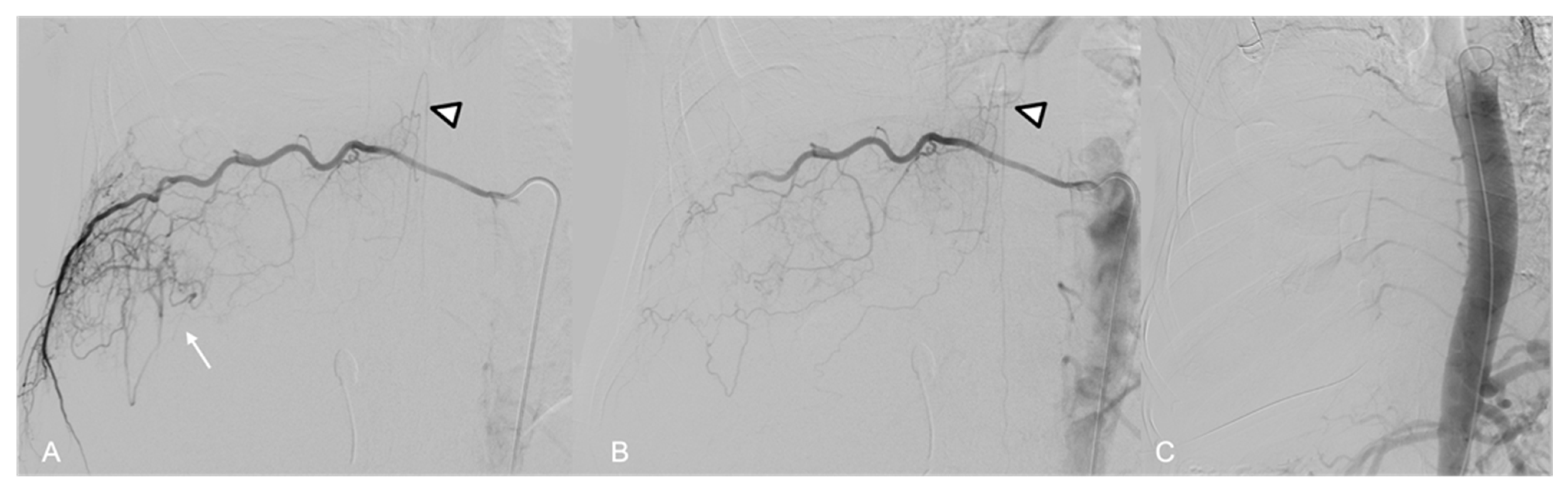
3. Results
4. Discussion
5. Conclusions
Author Contributions
Funding
Institutional Review Board Statement
Informed Consent Statement
Data Availability Statement
Conflicts of Interest
References
- Shi, X.; Liu, X.; Dong, X.; Wu, H.; Cai, K. Trends, symptoms, and outcomes of resectable giant mediastinal tumors. Front. Oncol. 2022, 12, 820720. [Google Scholar] [CrossRef] [PubMed]
- Sunam, G.S.; Öncel, M.; Ceran, S.; Ödev, K.; Yıldıran, H. Giant benign mediastinal masses extending into the pleural cavity. Surg. J. 2016, 2, e46–e50. [Google Scholar] [CrossRef] [PubMed][Green Version]
- Darbari, A.; Dutt, B.; Kumar, A.; Goswami, A.G.; Starlet, A.R. A retrospective observational study over surgical management of giant thoracic tumours: Horrendous but manageable. Cardiothorac. Surg. 2023, 31, 15. [Google Scholar] [CrossRef]
- Madariaga, M.L.; Borges, L.F.; Rabinov, J.D.; Chang, D.C.; Lanuti, M.; Mathisen, D.J.; Gaissert, H.A. Angiography before posterior mediastinal tumor resection: Selection criteria and patient outcomes. Ann. Thorac. Surg. 2018, 105, 1000–1007. [Google Scholar] [CrossRef] [PubMed]
- Brown, M.A.; Hu, J.; Tisol, W.; Grebe, P.; Howenstein, M. Pre-operative embolization, surgical resection, and follow-up evaluation of a giant intercostal schwannoma. Clin. Imaging. 2022, 85, 74–77. [Google Scholar] [CrossRef] [PubMed]
- Puma, F.; Cardini, C.L.; Passalacqua, G.; Ragusa, M. Preoperative embolization in surgical management of giant thoracic sarcomas. Eur. J. Cardiothorac. Surg. 2008, 33, 127–129. [Google Scholar] [CrossRef] [PubMed]
- Duwe, B.V.; Sterman, D.H.; Musani, A.I. Tumors of the mediastinum. Chest 2005, 128, 2893–2909. [Google Scholar] [CrossRef] [PubMed]
- Yang, Y.S.; Bai, C.Y.; Li, Z.C.; Li, W.J.; Li, Y. Giant primary liposarcoma of the anterior mediastinum: A case report. Medicine 2018, 97, e12873. [Google Scholar] [CrossRef] [PubMed] [PubMed Central]
- Fang, W.; Filosso, P.L.; Roden, A.C.; Gu, Z.; Liu, Y.; Agzarian, J.; Shen, R.K.; Ruffini, E. Clinicopathological features and current treatment outcomes of neuroendocrine thymic tumours. Eur. J. Cardiothorac. Surg. 2021, 59, 1004–1013. [Google Scholar] [CrossRef] [PubMed]
- Yao, K.; Zhu, L.; Wang, L.; Xia, R.; Yang, J.; Hu, W.; Yu, Z. Resection of giant malignant solitary fibrous pleural tumor after interventional embolization: A case report and literature review. J. Cardiothorac. Surg. 2022, 17, 134. [Google Scholar] [CrossRef] [PubMed] [PubMed Central]
- Loftus, T.J.; Pipkin, M.; Machuca, T.; Oduntan, O. Angiographic embolization followed by piecemeal resection of giant posterior mediastinal schwannoma: Case report and concise review. Int. J. Surg. Case Rep. 2018, 53, 250–253. [Google Scholar] [CrossRef] [PubMed] [PubMed Central]
- Li, W.W.; van Boven, W.J.; Annema, J.T.; Eberl, S.; Klomp, H.M.; de Mol, B.A. Management of large mediastinal masses: Surgical and anesthesiological considerations. J. Thorac. Dis. 2016, 8, E175–E184. [Google Scholar] [CrossRef] [PubMed] [PubMed Central]
- Tani, K.; Kimura, D.; Matsuo, T.; Sasaki, T.; Kimura, S.; Muto, C.; Minakawa, M. Perioperative strategies and management of giant anterior mediastinal tumors: A narrative review. Mediastinum 2024, 8, 34. [Google Scholar] [CrossRef]
- Rodriguez, M.; Milla, L.; Wee, J.O. The role of minimally invasive surgery in the management of giant mediastinal tumors: A narrative review. Mediastinum 2022, 25, 37. [Google Scholar] [CrossRef] [PubMed]
- Andreini, D.; Pontone, G.; Dainese, L.; Formenti, A.; Mushtaq, S.; Cappai, A.; Pepi, M.; Ballerini, G.; Biglioli, P. Preoperative assessment of thymoma: Evaluation of mediastinal arterial anatomy by cardiac multidetector computed tomography. J. Thorac. Imaging 2009, 24, 31–33. [Google Scholar] [CrossRef] [PubMed]
- Ho, M.Y.; Fleischmann, D.; Forrester, M.D.; Lee, D.P. Coil embolization of a left circumflex feeder branch in a patient with a mediastinal paraganglioma. JACC Cardiovasc. Interv. 2011, 4, 1345–1346. [Google Scholar] [CrossRef] [PubMed][Green Version]
- Nakazono, T.; Yamaguchi, K.; Egashira, R.; Mizuguchi, M.; Irie, H. Anterior mediastinal lesions: CT and MRI features and differential diagnosis. Jpn. J. Radiol. 2021, 39, 101–117. [Google Scholar] [CrossRef]
- Liu, F.Y.; Wang, M.Q.; Fan, Q.S.; Duan, F.; Wang, Z.J.; Song, P. Interventional embolization of giant thoracic tumors before surgical resection. Acta Radiol. 2013, 54, 61–66. [Google Scholar] [CrossRef] [PubMed]
- Wang, Y.; Xu, Y.; Li, R.; Yuan, Y. Rapidly growing giant solitary fibrous tumor of the pleura: A case report and review of the literature. Int. J. Clin. Exp. Pathol. 2020, 13, 2363–2368. [Google Scholar] [PubMed] [PubMed Central]
- Robert, J.H.; Sgourdos, G.; Kritikos, N.; Didier, D.; Terraz, S. Preoperative embolization of hypervascular Castleman’s disease of the mediastinum. Cardiovasc. Interv. Radiol. 2008, 31, 186–188. [Google Scholar] [CrossRef] [PubMed]
- Chen, J.; Gailloud, P. Safety of spinal angiography: Complication rate analysis in 302 diagnostic angiograms. Neurology 2011, 77, 1235–1240. [Google Scholar] [CrossRef] [PubMed]
- Almeida, J.; Leal, C.; Figueiredo, L. Evaluation of the bronchial arteries: Normal findings, hypertrophy and embolization in patients with hemoptysis. Insights Imaging 2020, 11, 70. [Google Scholar] [CrossRef] [PubMed] [PubMed Central]
- Thurer, R.J. Communication between the pulmonary and systemic circulations. Ann. Thorac. Surg. 1976, 21, 114–122. [Google Scholar] [CrossRef] [PubMed]
- Cominesi, D.R.; Forcione, M.; Pozzi, M.; Giani, M.; Foti, G.; Rezoagli, E.; Cipulli, F. Pulmonary shunt in critical care: A practical approach with clinical scenarios. J. Anesth. Analg. Crit. Care 2024, 4, 18. [Google Scholar] [CrossRef]
- Zhang, Q.; Li, J.; He, G.; Tang, J.; Zhang, G. Utility of intra-procedural cone- beam computed tomography imaging for the determination of the artery of Adamkiewicz suspected by angiography during transarterial embolization for hemoptysis. Diagn. Interv. Radiol. 2023, 29, 713–718. [Google Scholar] [CrossRef]
- Taterra, D.; Skinningsrud, B.; Pękala, P.A.; Hsieh, W.C.; Cirocchi, R.; Walocha, J.A.; Tubbs, R.S.; Tomaszewski, K.A.; Henry, B.M. Artery of Adamkiewicz: A meta-analysis of anatomical characteristics. Neuroradiology 2019, 61, 869–880. [Google Scholar] [CrossRef] [PubMed] [PubMed Central]
- Finstein, J.L.; Chin, K.R.; Alvandi, F.; Lackman, R.D. Case Report: Postembolization paralysis in a man with a thoracolumbar giant cell tumor. Clin. Orthop. Relat. Res. 2006, 453, 335–340. [Google Scholar] [CrossRef] [PubMed]
- Papalexis, N.; Peta, G.; Gasbarrini, A.; Miceli, M.; Spinnato, P.; Facchini, G. Unraveling the enigma of Adamkiewicz: Exploring the prevalence, anatomical variability, and clinical impact in spinal embolization procedures for bone metastases. Acta Radiol. 2023, 64, 2908–2914. [Google Scholar] [CrossRef] [PubMed] [PubMed Central]
- Brown, A.C.; Ray, C.E. Anterior Spinal Cord Infarction following Bronchial Artery Embolization. Semin. Interv. Radiol. 2012, 29, 241–244. [Google Scholar] [CrossRef] [PubMed] [PubMed Central]
- Ramakantan, R.; Bandekar, V.G.; Gandhi, M.S.; Aulakh, B.G.; Deshmukh, H.L. Massive hemoptysis due to pulmonary tuberculosis: Control with bronchial artery embolization. Radiology 1996, 200, 691–694. [Google Scholar] [CrossRef] [PubMed]








Disclaimer/Publisher’s Note: The statements, opinions and data contained in all publications are solely those of the individual author(s) and contributor(s) and not of MDPI and/or the editor(s). MDPI and/or the editor(s) disclaim responsibility for any injury to people or property resulting from any ideas, methods, instructions or products referred to in the content. |
© 2024 by the authors. Licensee MDPI, Basel, Switzerland. This article is an open access article distributed under the terms and conditions of the Creative Commons Attribution (CC BY) license (https://creativecommons.org/licenses/by/4.0/).
Share and Cite
Lucarelli, N.M.; Maggialetti, N.; Marulli, G.; Mariani, P.; Villanova, I.; Mirabile, A.; Morelli, C.; De Palma, A.; Stabile Ianora, A.A. Preoperative Embolization in the Management of Giant Thoracic Tumors: A Case Series. J. Pers. Med. 2024, 14, 1019. https://doi.org/10.3390/jpm14101019
Lucarelli NM, Maggialetti N, Marulli G, Mariani P, Villanova I, Mirabile A, Morelli C, De Palma A, Stabile Ianora AA. Preoperative Embolization in the Management of Giant Thoracic Tumors: A Case Series. Journal of Personalized Medicine. 2024; 14(10):1019. https://doi.org/10.3390/jpm14101019
Chicago/Turabian StyleLucarelli, Nicola Maria, Nicola Maggialetti, Giuseppe Marulli, Pierluigi Mariani, Ilaria Villanova, Alessandra Mirabile, Chiara Morelli, Angela De Palma, and Amato Antonio Stabile Ianora. 2024. "Preoperative Embolization in the Management of Giant Thoracic Tumors: A Case Series" Journal of Personalized Medicine 14, no. 10: 1019. https://doi.org/10.3390/jpm14101019
APA StyleLucarelli, N. M., Maggialetti, N., Marulli, G., Mariani, P., Villanova, I., Mirabile, A., Morelli, C., De Palma, A., & Stabile Ianora, A. A. (2024). Preoperative Embolization in the Management of Giant Thoracic Tumors: A Case Series. Journal of Personalized Medicine, 14(10), 1019. https://doi.org/10.3390/jpm14101019

