Infantile Sinonasal Tract Myxomas with Orbital Involvement: Presentation of Two Cases and Comprehensive Literature Review
Abstract
1. Introduction
2. Materials and Methods
3. Results
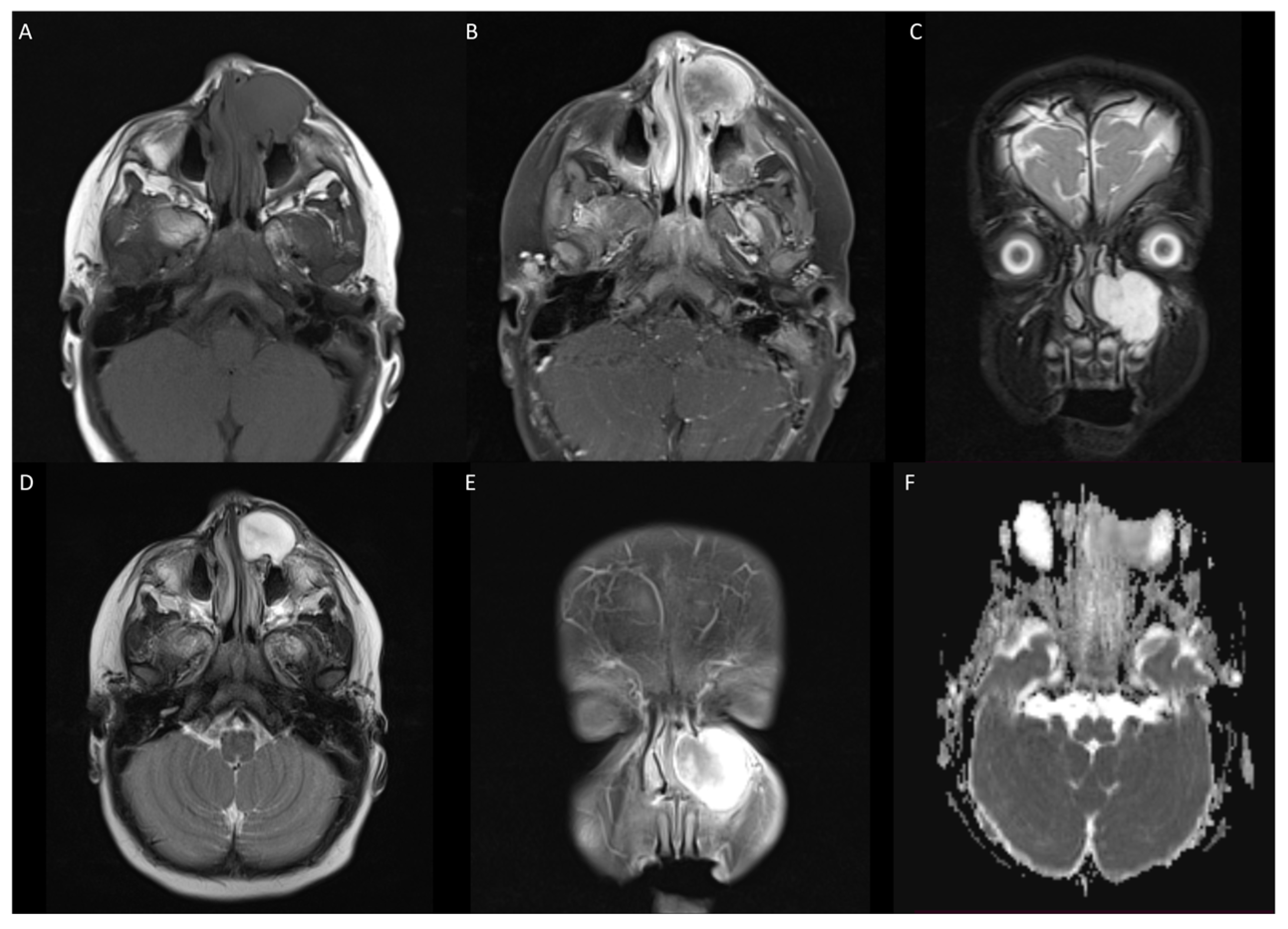
3.1. Case 1
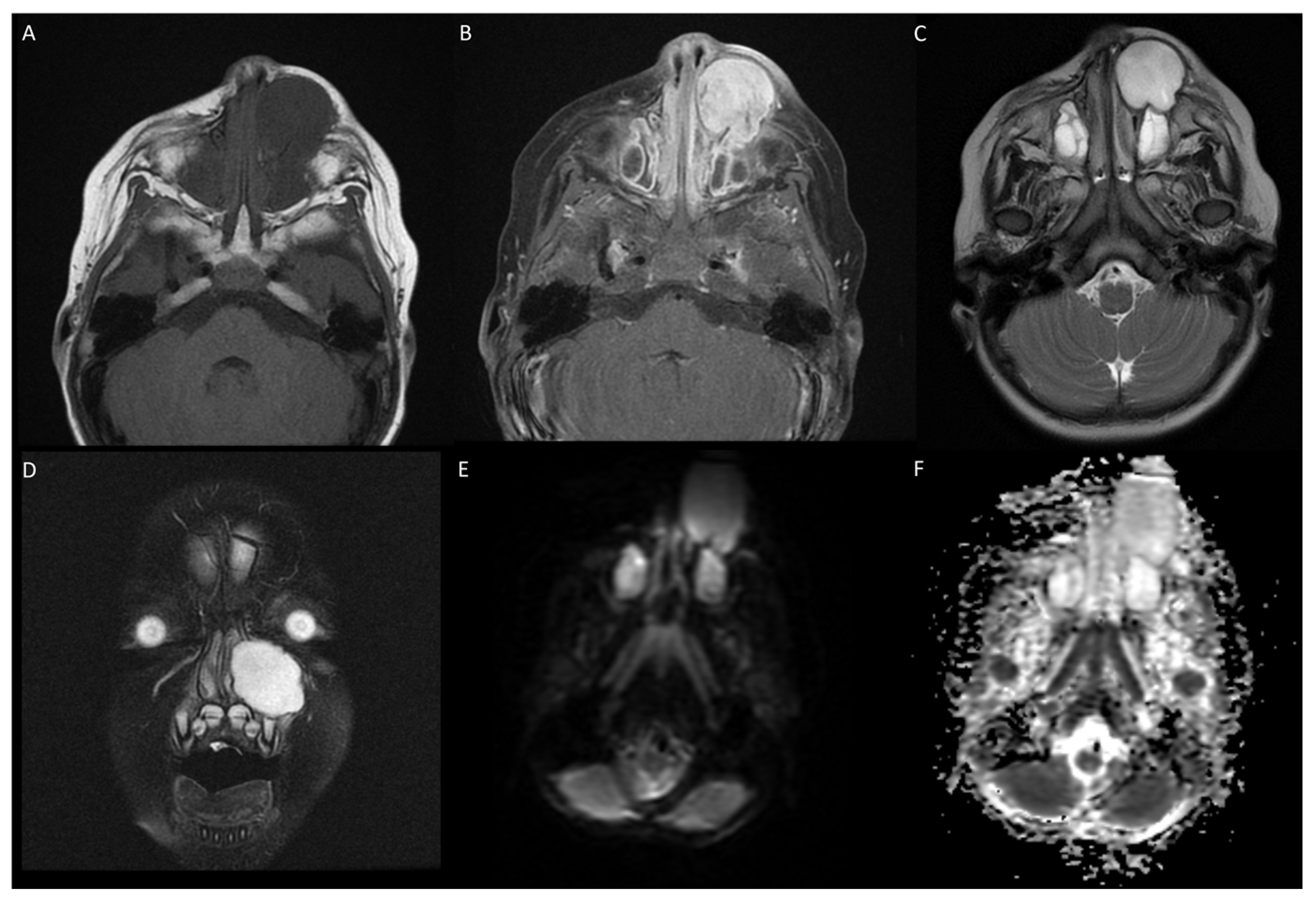
3.2. Case 2
3.3. Literature Review
4. Discussion
4.1. Demographics
4.2. Clinical Presentation and Imaging
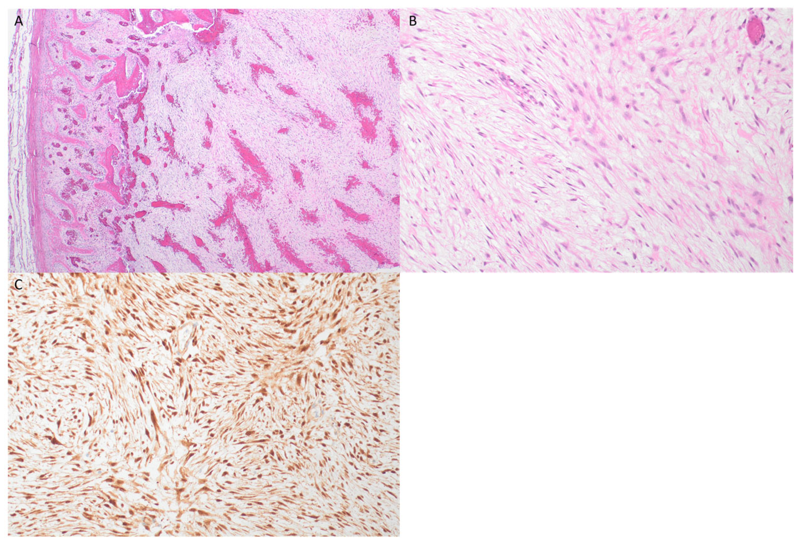
4.3. Histopathology and Immunohistochemistry
4.4. Molecular Pathology
4.5. Treatment
5. Conclusions
Supplementary Materials
Funding
Informed Consent Statement
Conflicts of Interest
References
- Yucel, E.N.; Yucel, G.; Haytoğlu, S.; Küllahci, Ö. A Giant Congenital Soft Tissue Sinonasal Fibromyxoma of the Nose in a Newborn Baby. J. Craniofacial Surg. 2018, 29, 2114–2115. [Google Scholar] [CrossRef] [PubMed]
- Mewar, P.; González-Torres, K.E.; Jacks, T.M.; Foss, R.D. Sinonasal Myxoma: A Distinct Lesion of Infants. Head Neck Pathol. 2020, 14, 212–219. [Google Scholar] [CrossRef] [PubMed]
- Chen, S.; Gallant, S.; Cunningham, M.J.; Robson, C.D.; Church, A.J.; Perez-Atayde, A.R.; Al-Ibraheemi, A. CTNNB1 and APC Mutations in Sinonasal Myxoma: Expanding the Spectrum of Tumors Driven By WNT/β-catenin Pathway. Am. J. Surg. Pathol. 2023, 47, 1291–1300. [Google Scholar] [CrossRef]
- Kong, W.K.; Kim, Y.J.; Chang, C. Cranial fasciitis presenting as a rapidly enlarging maxillary mass in a 2-year-old. Int. J. Pediatr. Otorhinolaryngol. Extra 2014, 9, 39–41. [Google Scholar] [CrossRef]
- Rakheja, D.; Cunningham, J.C.; Mitui, M.; Patel, A.S.; Tomlinson, G.E.; Weinberg, A.G. A subset of cranial fasciitis is associated with dysregulation of the Wnt/β-catenin pathway. Mod. Pathol. 2008, 21, 1330–1336. [Google Scholar] [CrossRef]
- Ang, H.K.; Ramani, P.; Michaels, L. Myxoma of the maxillary antrum in children. Histopathology 1993, 23, 361–365. [Google Scholar] [CrossRef]
- Boussault, P.; Boralevi, F.; Raux-Rakotomalala, F.; Chauvel, A.; Taïeb, A.; Léauté-Labrèze, C. Odontogenic myxoma: A diagnosis to add to the list of facial tumours in infants. J. Eur. Acad. Dermatol. Venereol. 2006, 20, 864–867. [Google Scholar] [CrossRef]
- Brewis, C.; Roberts, D.N.; Malone, M.; Leighton, S.E. Maxillary myxoma: A rare midfacial mass in a child. Int. J. Pediatr. Otorhinolaryngol. 2000, 56, 207–209. [Google Scholar] [CrossRef]
- Caleffi, E.; Toschi, S.; Bocchi, A. Myxoma of the maxilla: Surgical treatment of an unusual case in a child. Plast. Reconstr. Surg. 1994, 93, 1274–1276. [Google Scholar] [CrossRef]
- Canalis, R.F.; Smith, G.A.; Konrad, H.R. Myxomas of the head and neck. Arch. Otolaryngol. 1976, 102, 300–305. [Google Scholar] [CrossRef]
- Chen, H.H.; Streubel, S.O.; Durairaj, V.D. Odontogenic myxoma with orbital involvement. Ophthalmic Plast. Reconstr. Surg. 2013, 29, e47–e49. [Google Scholar] [CrossRef] [PubMed]
- Fenton, S.; Slootweg, P.J.; Dunnebier, E.A.; Mourits, M.P. Odontogenic myxoma in a 17-month-old child: A case report. J. Oral Maxillofac. Surg. 2003, 61, 734–736. [Google Scholar] [CrossRef]
- Fu, Y.S.; Perzin, K.H. Non-epithelial tumors of the nasal cavity, paranasal sinuses and nasopharynx: A clinico-pathologic study XI. Fibrous histiocytomas. Cancer 1977, 39, 195–203. [Google Scholar] [CrossRef]
- Gandhi, D.; Pawar, V.; Chandane, P.; Shah, I. Maxillary myxoma misdiagnosed as tuberculosis. Trop. Dr. 2019, 49, 227–229. [Google Scholar] [CrossRef] [PubMed]
- Greenfield, S.D.; Friedman, O. Myxoma of maxillary sinus. N. Y. State J. Med. 1951, 51, 1319–1320. [Google Scholar]
- Harris, R.J.; Garrow, E.; Spinnato, G. Myxoma of the maxilla: Report of case. J. Oral Surg. 1977, 35, 70–73. [Google Scholar]
- Hayes, D.K.; Madsen, J.M.; Simpson, R.; Jarchow, R.C. Myxomas of the maxilla in infants and children. Otolaryngol. Head Neck Surg. 1991, 105, 464–468. [Google Scholar]
- Heffner, D.K. Sinonasal myxomas and fibromyxomas in children. Ear Nose Throat J. 1993, 72, 365–368. [Google Scholar] [CrossRef]
- James, D.R.; Lucas, V.S. Maxillary myxoma in a child of 11 months. A case report. J. Craniomaxillofac. Surg. 1987, 15, 42–44. [Google Scholar] [CrossRef]
- Kadlub, N.; Mbou, V.B.; Leboulanger, N.; Lepointe, H.D.; Ansari, E.; L’Hermine, A.C.; Davrou, J.; Vazquez, M.P.; Picard, A. Infant Odontogenic Myxoma: A specific entity. J. Craniomaxillofac. Surg. 2014, 42, 2082–2086. [Google Scholar] [CrossRef]
- Kansy, K.; Juergens, P.; Krol, Z.; Paulussen, M.; Baumhoer, D.; Bruder, E.; Schneider, J.; Zeilhofer, H.F.; Schwenzer-Zimmerer, K. Odontogenic myxoma: Diagnostic and therapeutic challenges in paediatric and adult patients—A case series and review of the literature. J. Craniomaxillofac. Surg. 2012, 40, 271–276. [Google Scholar] [CrossRef] [PubMed]
- King, T.J., 3rd; Lewis, J.; Orvidas, L.; Kademani, D. Pediatric maxillary odontogenic myxoma: A report of 2 cases and review of management. J. Oral Maxillofac. Surg. 2008, 66, 1057–1062. [Google Scholar] [CrossRef] [PubMed]
- Leiberman, A.; Forte, V.; Thorner, P.; Crysdale, W. Maxillary myxoma in children. Int. J. Pediatr. Otorhinolaryngol. 1990, 18, 277–284. [Google Scholar] [CrossRef] [PubMed]
- Odman, M.; Jaques, B.; Meagher-Villemure, K.; Pasche, P. Myxoid fibroblastic tumor of the maxillary sinus in a 21-month-old child: An unusual diagnosis. Eur. Arch. Otorhinolaryngol. 2006, 263, 747–749. [Google Scholar] [CrossRef][Green Version]
- Prasannan, L.; Warren, L.; Herzog, C.E.; Lopez-Camarillo, L.; Frankel, L.; Goepfert, H. Sinonasal myxoma: A pediatric case. J. Pediatr. Hematol. Oncol. 2005, 27, 90–92. [Google Scholar] [CrossRef]
- Ríos, Y.V.-V.D.; Vera-Torres, A.M.; Rodríguez-Martínez, H.A.; Rodríguez-Reyes, A.A. Periocular myxoma in a child. Case Rep. Ophthalmol. Med. 2012, 2012, 739094. [Google Scholar]
- Rotenberg, B.W.; Daniel, S.J.; Nish, I.A.; Ngan, B.Y.; Forte, V. Myxomatous lesions of the maxilla in children: A case series and review of management. Int. J. Pediatr. Otorhinolaryngol. 2004, 68, 1251–1256. [Google Scholar] [CrossRef]
- Smith, G.A.; Konrad, H.R.; Canalis, R.F. Childhood myxomas of the head and neck. J. Otolaryngol. 1977, 6, 423–430. [Google Scholar]
- Subramaiam, R.; Narashiman, S.; Narasimhan, M.; Giri, V.; Kumar, S. Odontogenic Myxoma of the Maxilla—A Rare case Report. J. Clin. Diagn. Res. 2015, 9, Zd29–Zd31. [Google Scholar] [CrossRef]
- Wachter, B.G.; Steinberg, M.J.; Darrow, D.H.; McGinn, J.D.; Park, A.H. Odontogenic myxoma of the maxilla: A report of two pediatric cases. Int. J. Pediatr. Otorhinolaryngol. 2003, 67, 389–393. [Google Scholar] [CrossRef]
- Zainine, R.; Mizouni, H.; El Korbi, A.; Beltaief, N.; Sahtout, S.; Besbes, G. Maxillary bone myxoma. Eur. Ann. Otorhinolaryngol. Head Neck Dis. 2014, 131, 257–259. [Google Scholar] [CrossRef] [PubMed]
- Hansen, T.S.; Danielsson, L.I.; Fast, S.; Thygesen, T.H. Odontogenic myxoma involving the orbit in a 3-year-old boy: Removal, reconstruction and review of the literature. BMJ Case Rep. 2016, 2016, bcr2015212465. [Google Scholar] [CrossRef] [PubMed]
- Kondamuri, N.S.; Bharathi, R.; Woo, A.S.; Groblewski, J.C. Sinonasal Myxoma with Intraorbital Expansion: A Rare Case. OTO Open 2021, 5, 2473974X211045300. [Google Scholar] [CrossRef] [PubMed]
- Yılmaz, S.; Edizer, D.T.; Yağız, C.; Sar, M.; Cansız, H. Maxillary sinus nonodontogenic myxoma extending into the sphenoid sinus and pterygopalatine fossa: Case report. Ear Nose Throat J. 2011, 90, E28–E30. [Google Scholar] [CrossRef]
- WHO. WHO Classification of Tumours (Online)—Paediatric Tumours, 5th ed.; IARC Publications: Lyon, France, 2023. [Google Scholar]
- Mani, N.B.; Shankar, S.; Singh, P.; Khandelwal, N.; Suri, S. MRI findings of retrobulbar myxoma—A case report. Clin. Imaging 2000, 24, 81–83. [Google Scholar] [CrossRef]
- Mupas-Uy, J.; Kitaguchi, Y.; Takahashi, Y.; Takahashi, E.; Kakizaki, H. Orbital myxoma comorbid with acute myelomonocytic leukemia. Orbit 2017, 36, 465–467. [Google Scholar] [CrossRef]
- Vasconcelos, A.C.U.; Silveira, F.M.; Gomes, A.P.N.; Tarquinio, S.B.C.; Sobral, A.P.V.; de Arruda, J.A.A.; da Silva, L.P.; da Silveira, M.M.; Barbosa, L.F.; Kato, C.D.; et al. Odontogenic myxoma: A 63-year retrospective multicenter study of 85 cases in a Brazil population and a review of 999 cases from literature. J. Oral Pathol. Med. 2018, 47, 71–77. [Google Scholar] [CrossRef]
- Iatrou, I.A.; Theologie-Lygidakis, N.; Leventis, M.D.; Michail-Strantzia, C. Sinonasal myxoma in an infant. J. Craniofacial Surg. 2010, 21, 1649–1651. [Google Scholar] [CrossRef]
- Jiang, H.; Rosenblatt, S.; Keller, R.; Butts, S.; Raavi, G. Sinonasal Myxoma in an Infant. Am. J. Clin. Pathol. 2012, 138 (Suppl. S1), A327. [Google Scholar] [CrossRef][Green Version]
- Kelly, T.G.; Hong, S.; Jarzembowski, J.; Beste, D. Erratum to Infant with nasolacrimal sinonasal myxoma: Diffusion MRI features [Radiology Case Reports 2015;10: Article 1104]. Radiol. Case Rep. 2016, 12, 210. [Google Scholar] [CrossRef]
- Phillips, M.A.; Lind, M.; McGwire, G.; Rodriguez, D.; Logan, S. Paranasal Mass in a Healthy Male Toddler. Ear Nose Throat J. 2023, 102, 405–408. [Google Scholar] [CrossRef] [PubMed]
- Safadi, A.; Fliss, D.M.; Issakov, J.; Kaplan, I. Infantile sinonasal myxoma: A unique variant of maxillofacial myxoma. J. Oral. Maxillofac. Surg. 2011, 69, 553–558. [Google Scholar] [CrossRef] [PubMed]
- Heffner, D.K. Problems in pediatric otorhinolaryngic pathology. I. Sinonasal and nasopharyngeal tumors and masses with myxoid features. Int. J. Pediatr. Otorhinolaryngol. 1983, 5, 77–91. [Google Scholar] [CrossRef] [PubMed]
- Odintsov, I.; Dong, F.; Guenette, J.P.; Fritchie, K.J.; Jo, V.Y.; Fletcher, C.D.M.; Papke, D.J., Jr. Infantile Sinonasal Myxoma Is Clinically and Genetically Distinct From Other Myxomas of the Craniofacial Bones and from Desmoid Fibromatosis. Am. J. Surg. Pathol. 2023, 47, 1301–1315. [Google Scholar] [CrossRef]
- Hosogi, H.; Nagayama, S.; Kanamoto, N.; Yoshizawa, A.; Suzuki, T.; Nakao, K.; Sakai, Y. Biallelic APC inactivation was responsible for functional adrenocortical adenoma in familial adenomatous polyposis with novel germline mutation of the APC gene: Report of a case. Jpn. J. Clin. Oncol. 2009, 39, 837–846. [Google Scholar] [CrossRef]





Disclaimer/Publisher’s Note: The statements, opinions and data contained in all publications are solely those of the individual author(s) and contributor(s) and not of MDPI and/or the editor(s). MDPI and/or the editor(s) disclaim responsibility for any injury to people or property resulting from any ideas, methods, instructions or products referred to in the content. |
© 2024 by the authors. Licensee MDPI, Basel, Switzerland. This article is an open access article distributed under the terms and conditions of the Creative Commons Attribution (CC BY) license (https://creativecommons.org/licenses/by/4.0/).
Share and Cite
Burns, M.J.; Graf, N.S.; Hobson, M.; Moghimi, A.; Tumuluri, K. Infantile Sinonasal Tract Myxomas with Orbital Involvement: Presentation of Two Cases and Comprehensive Literature Review. J. Clin. Med. 2024, 13, 6818. https://doi.org/10.3390/jcm13226818
Burns MJ, Graf NS, Hobson M, Moghimi A, Tumuluri K. Infantile Sinonasal Tract Myxomas with Orbital Involvement: Presentation of Two Cases and Comprehensive Literature Review. Journal of Clinical Medicine. 2024; 13(22):6818. https://doi.org/10.3390/jcm13226818
Chicago/Turabian StyleBurns, Mason Jenner, Nicole S. Graf, Megan Hobson, Ali Moghimi, and Krishna Tumuluri. 2024. "Infantile Sinonasal Tract Myxomas with Orbital Involvement: Presentation of Two Cases and Comprehensive Literature Review" Journal of Clinical Medicine 13, no. 22: 6818. https://doi.org/10.3390/jcm13226818
APA StyleBurns, M. J., Graf, N. S., Hobson, M., Moghimi, A., & Tumuluri, K. (2024). Infantile Sinonasal Tract Myxomas with Orbital Involvement: Presentation of Two Cases and Comprehensive Literature Review. Journal of Clinical Medicine, 13(22), 6818. https://doi.org/10.3390/jcm13226818

